Clinical Significance of Intratumoral Contrast Pooling on Contrast-Enhanced CT After Atezolizumab Plus Bevacizumab for Unresectable Hepatocellular Carcinoma
Simple Summary
Abstract
1. Introduction
2. Case Presentation
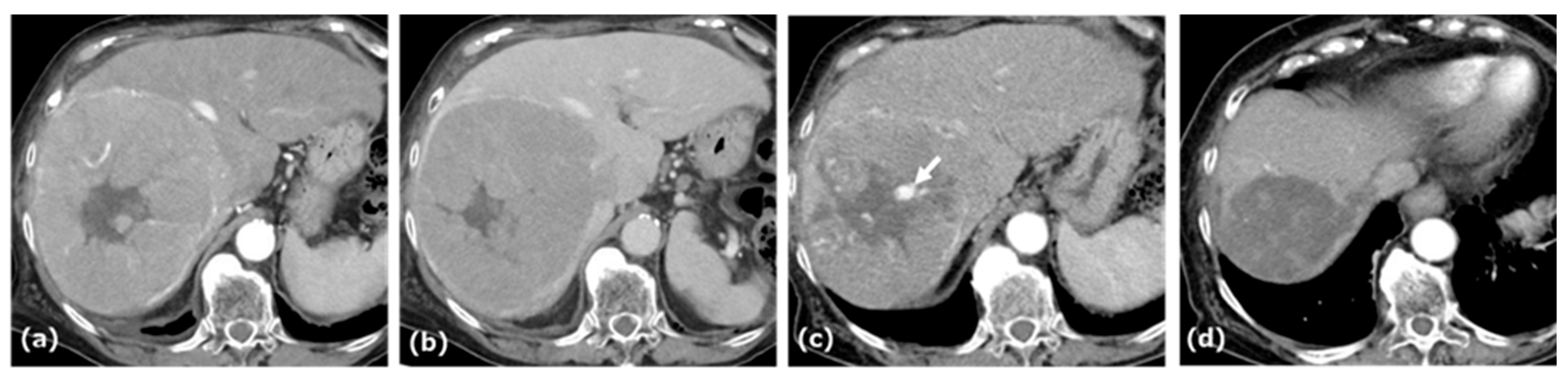
2.1. Case 1
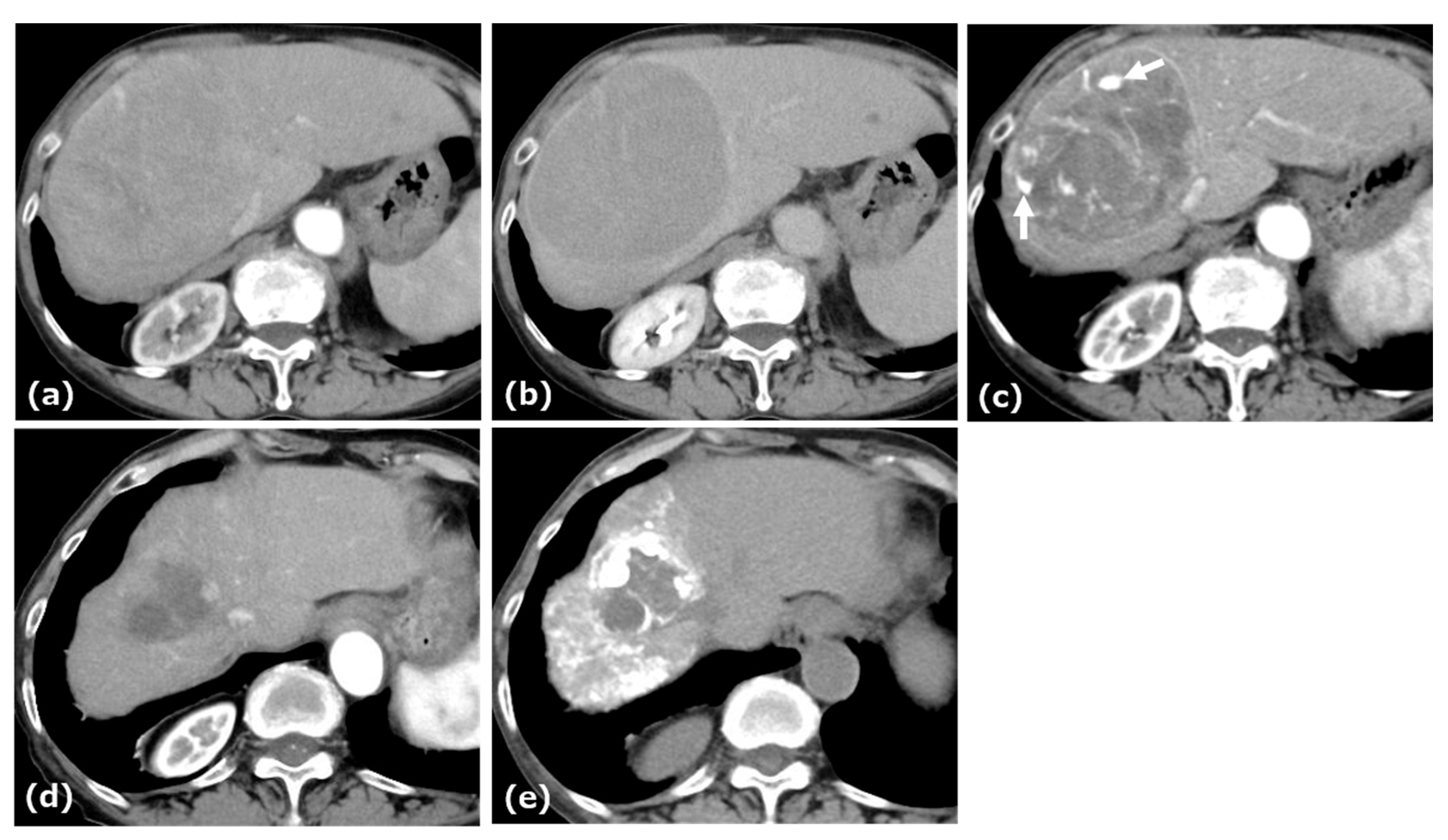
2.2. Case 2
3. Discussion
4. Conclusions
Author Contributions
Funding
Institutional Review Board Statement
Informed Consent Statement
Data Availability Statement
Acknowledgments
Conflicts of Interest
References
- Reig, M.; Forner, A.; Rimola, J.; Ferrer-Fàbrega, J.; Burrel, M.; Garcia-Criado, Á.; Kelley, R.K.; Galle, P.R.; Mazzaferro, V.; Salem, R.; et al. BCLC strategy for prognosis prediction and treatment recommendation: The 2022 update. J. Hepatol. 2022, 76, 681–693. [Google Scholar] [CrossRef] [PubMed]
- Abou-Alfa, G.K.; Lau, G.; Kudo, M.; Chan, S.L.; Kelley, R.K.; Furuse, J.; Sukeepaisarnjaroen, W.; Kang, Y.K.; Van Dao, T.; De Toni, E.N.; et al. Tremelimumab plus Durvalumab in Unresectable Hepatocellular Carcinoma. NEJM Evid. 2022, 1, EVIDoa2100070. [Google Scholar] [CrossRef] [PubMed]
- Yau, T.; Galle, P.R.; Decaens, T.; Sangro, B.; Qin, S.; da Fonseca, L.G.; Karachiwala, H.; Blanc, J.F.; Park, J.W.; Gane, E.; et al. Nivolumab plus ipilimumab versus lenvatinib or sorafenib as first-line treatment for unresectable hepatocellular carcinoma (CheckMate 9DW): An open-label, randomised, phase 3 trial. Lancet 2025, 405, 1851–1864. [Google Scholar] [CrossRef] [PubMed]
- Mitsuyama, Y.; Kageyama, K.; Shinkawa, H.; Yamamoto, A.; Jogo, A.; Sohgawa, E.; Tanaka, S.; Takemura, S.; Kubo, S.; Ishizawa, T.; et al. Atezolizumab plus bevacizumab-induced intratumoral hemorrhage in a patient with rib metastasis from unresectable hepatocellular carcinoma. Radiol. Case Rep. 2023, 18, 3037–3040. [Google Scholar] [CrossRef] [PubMed]
- Uchida-Kobayashi, S.; Kageyama, K.; Yamamoto, A.; Ikenaga, H.; Yoshida, K.; Kotani, K.; Kimura, K.; Odagiri, N.; Hagihara, A.; Fujii, H.; et al. Lenvatinib-Induced Tumor-Related Hemorrhages in Patients with Large Hepatocellular Carcinomas. Oncology 2021, 99, 186–191. [Google Scholar] [CrossRef] [PubMed]
- Seki, A.; Hori, S.; Shimono, C. Management of vascular lake phenomenon on angiography during chemoembolization with superabsorbent polymer microspheres. Jpn. J. Radiol. 2015, 33, 741–748. [Google Scholar] [CrossRef] [PubMed]
- Yano, R.; Hirooka, M.; Nakamura, Y.; Imai, Y.; Koizumi, Y.; Watanabe, T.; Yoshida, O.; Tokumoto, Y.; Abe, M.; Hiasa, Y. A case of hepatocellular carcinoma with pseudoaneurysm formation upon lenvatinib administration. Clin. J. Gastroenterol. 2024, 17, 319–326. [Google Scholar] [CrossRef] [PubMed]
- Park, J.H.; Goh, M.J.; Sinn, D.H.; Shin, J.; Rhee, H. Predicting early progression to atezolizumab-bevacizumab in hepatocellular carcinoma: A clinical and imaging-based scoring system. Eur. Radiol. 2025. [Google Scholar] [CrossRef]
- Choi, S.J.; Chung, S.W.; Choi, J.; Kim, K.M.; Kim, H.D.; Yoo, C.; Ryoo, B.Y.; Lee, S.S.; Choi, W.M.; Choi, S.H. Clinical and Radiologic Predictors of Response to Atezolizumab-Bevacizumab in Advanced Hepatocellular Carcinoma. Cancer Res. Treat. 2024, 56, 1219–1230. [Google Scholar] [CrossRef] [PubMed]
- Kunichika, H.; Minamiguchi, K.; Tachiiri, T.; Shimizu, K.; Taiji, R.; Yamada, A.; Nakano, R.; Irizato, M.; Yamauchi, S.; Marugami, A.; et al. Prediction of Efficacy for Atezolizumab/Bevacizumab in Unresectable Hepatocellular Carcinoma with Hepatobiliary-Phase Gadolinium Ethoxybenzyl-Diethylenetriaminepentaacetic Acid MRI. Cancers 2024, 16, 2275. [Google Scholar] [CrossRef] [PubMed]
- Wang, G.; Zhang, W.; Chen, J.; Luan, X.; Wang, Z.; Wang, Y.; Xu, X.; Yao, S.; Guan, Z.; Tian, J.; et al. Pretreatment Metabolic Parameters Measured by 18F-FDG PET to Predict the Pathological Treatment Response of HCC Patients Treated With PD-1 Inhibitors and Lenvatinib as a Conversion Therapy in BCLC Stage C. Front. Oncol. 2022, 12, 884372. [Google Scholar] [CrossRef] [PubMed]
- Lee, J.W.; Lee, S.M.; Kang, B.; Kim, J.S.; An, C.; Chon, H.J.; Jang, S.J. Prognostic Significance of Volumetric Parameters on Pretreatment FDG PET/CT in Patients With Hepatocellular Carcinoma Receiving Atezolizumab Plus Bevacizumab Therapy. Clin. Nucl. Med. 2025, 50, 486–494. [Google Scholar] [CrossRef] [PubMed]
- Kudo, M. Fluorine-18 Fluorodeoxyglucose Positron Emission Tomography: A Potential Imaging Biomarker for Predicting Response to Combination Immunotherapy in Hepatocellular Carcinoma. Liver Cancer 2025, 14, 511–517. [Google Scholar] [CrossRef] [PubMed]
- Antony, A.; Tran, N.H.; Patnam, N.G.; Trivedi, K.H.; Karbhari, A.; Garima, S.; Mukherjee, S.; Jacobson, M.S.; Kemp, B.J.; Thompson, S.M.; et al. Interpretive consistency of a qualitative 68Ga-PSMA PET framework for treatment response assessment in hepatocellular carcinoma: A head-to-head comparison with cross-sectional imaging. Eur. J. Nucl. Med. Mol. Imaging 2025. [Google Scholar] [CrossRef] [PubMed]
- Wu, M.; Wang, Y.; Yang, Q.; Wang, X.; Yang, X.; Xing, H.; Sang, X.; Li, X.; Zhao, H.; Huo, L. Comparison of Baseline 68Ga-FAPI and 18F-FDG PET/CT for Prediction of Response and Clinical Outcome in Patients with Unresectable Hepatocellular Carcinoma Treated with PD-1 Inhibitor and Lenvatinib. J. Nucl. Med. 2023, 64, 1532–1539. [Google Scholar] [CrossRef] [PubMed]
- Mellman, I.; Chen, D.S.; Powles, T.; Turley, S.J. The cancer-immunity cycle: Indication, genotype, and immunotype. Immunity 2023, 56, 2188–2205. [Google Scholar] [CrossRef] [PubMed]



Disclaimer/Publisher’s Note: The statements, opinions and data contained in all publications are solely those of the individual author(s) and contributor(s) and not of MDPI and/or the editor(s). MDPI and/or the editor(s) disclaim responsibility for any injury to people or property resulting from any ideas, methods, instructions or products referred to in the content. |
© 2025 by the authors. Licensee MDPI, Basel, Switzerland. This article is an open access article distributed under the terms and conditions of the Creative Commons Attribution (CC BY) license (https://creativecommons.org/licenses/by/4.0/).
Share and Cite
Minamiguchi, K.; Irizato, M.; Nakano, R.; Kunichika, H.; Tachiiri, T.; Taiji, R.; Tsuji, Y.; Yasuda, S.; Yoshiji, H.; Sho, M.; et al. Clinical Significance of Intratumoral Contrast Pooling on Contrast-Enhanced CT After Atezolizumab Plus Bevacizumab for Unresectable Hepatocellular Carcinoma. Curr. Oncol. 2025, 32, 694. https://doi.org/10.3390/curroncol32120694
Minamiguchi K, Irizato M, Nakano R, Kunichika H, Tachiiri T, Taiji R, Tsuji Y, Yasuda S, Yoshiji H, Sho M, et al. Clinical Significance of Intratumoral Contrast Pooling on Contrast-Enhanced CT After Atezolizumab Plus Bevacizumab for Unresectable Hepatocellular Carcinoma. Current Oncology. 2025; 32(12):694. https://doi.org/10.3390/curroncol32120694
Chicago/Turabian StyleMinamiguchi, Kiyoyuki, Mariko Irizato, Ryota Nakano, Hideki Kunichika, Tetsuya Tachiiri, Ryosuke Taiji, Yuki Tsuji, Satoshi Yasuda, Hitoshi Yoshiji, Masayuki Sho, and et al. 2025. "Clinical Significance of Intratumoral Contrast Pooling on Contrast-Enhanced CT After Atezolizumab Plus Bevacizumab for Unresectable Hepatocellular Carcinoma" Current Oncology 32, no. 12: 694. https://doi.org/10.3390/curroncol32120694
APA StyleMinamiguchi, K., Irizato, M., Nakano, R., Kunichika, H., Tachiiri, T., Taiji, R., Tsuji, Y., Yasuda, S., Yoshiji, H., Sho, M., & Tanaka, T. (2025). Clinical Significance of Intratumoral Contrast Pooling on Contrast-Enhanced CT After Atezolizumab Plus Bevacizumab for Unresectable Hepatocellular Carcinoma. Current Oncology, 32(12), 694. https://doi.org/10.3390/curroncol32120694

