Efficacy of a Fully Implantable Pleural Device in the Management of Complex Pleural Effusions
Simple Summary
Abstract
1. Introduction
2. Materials and Methods
2.1. Design of the Study
2.2. Device Specifications
2.3. Preclinical Device Testing
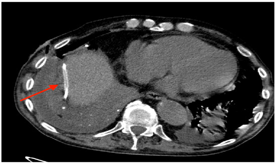
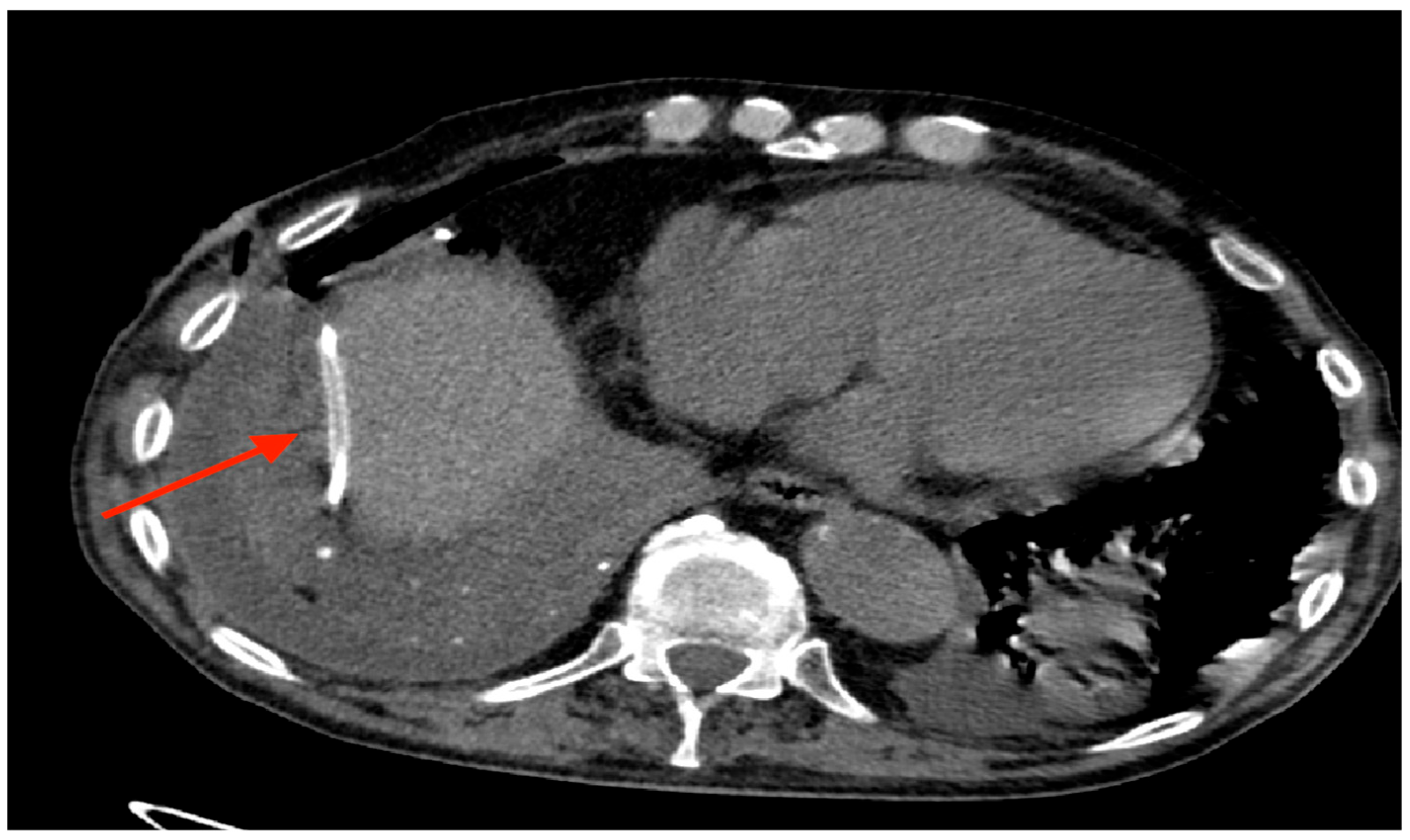
2.4. Surgical Implantation Technique
2.5. Clinical Data
2.6. Statistical Analyses
3. Results
3.1. Preclinical Device Testing
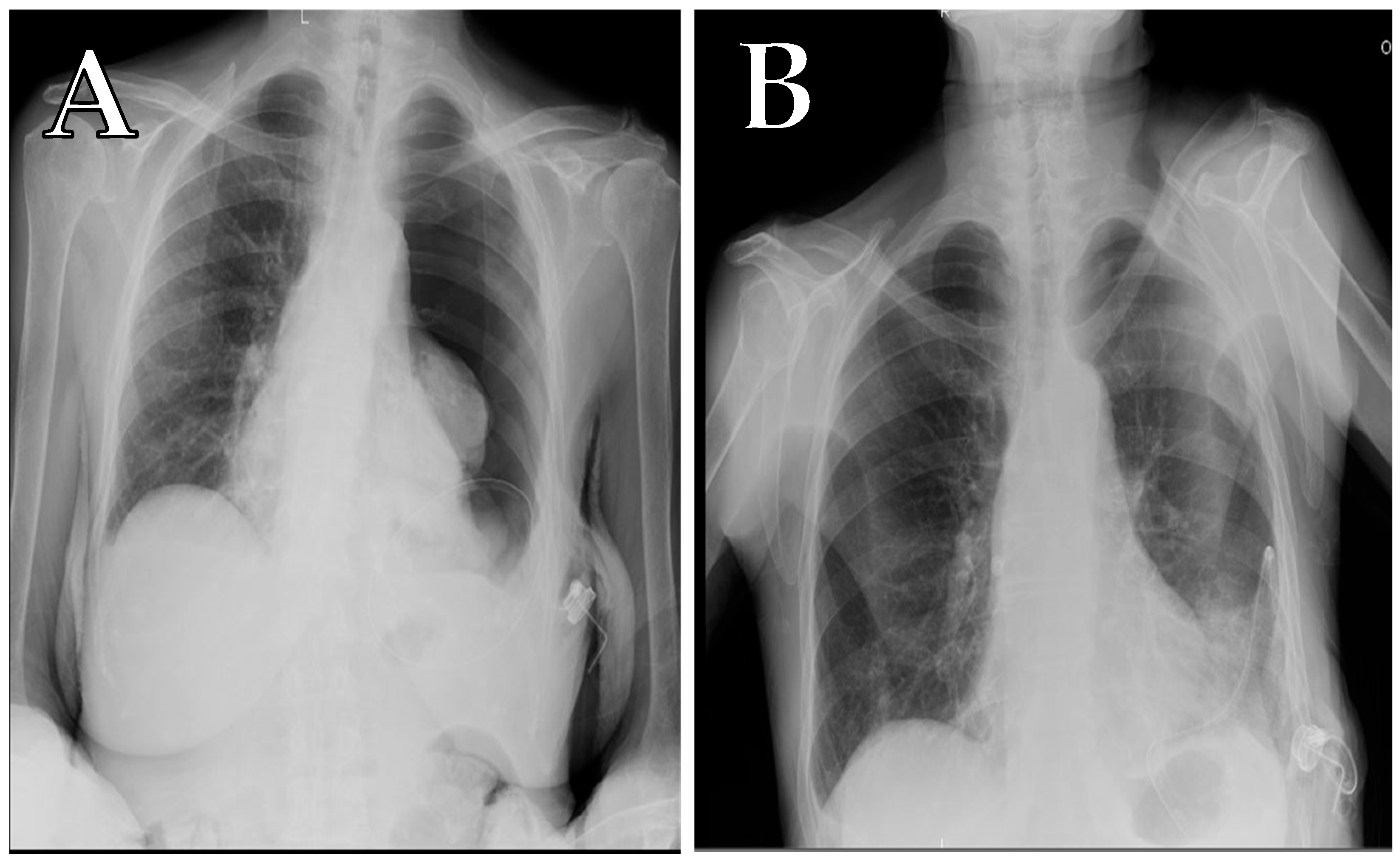
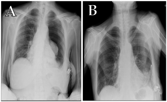
3.2. Clinical Results
4. Discussion
5. Conclusions
Author Contributions
Funding
Institutional Review Board Statement
Informed Consent Statement
Data Availability Statement
Conflicts of Interest
Abbreviations
| VATS | Video-assisted thoracoscopic surgery |
| IPC | Indwelling pleural catheter |
| BTS | British Thoracic Society |
| ERS/EACTS | European Respiratory Society/European Association for Cardio-Thoracic Surgery |
| mMRC | Modified Medical Research Council |
| CVAS | Cough visual analog score |
| MPM | Malignant pleural mesothelioma |
References
- Sahn, S.A. Talc Should Be Used for Pleurodesis. Am. J. Respir. Crit. Care Med. 2000, 162, 2023–2024, discussion 2026. [Google Scholar] [CrossRef]
- Sioris, T.; Sihvo, E.; Salo, J.; Räsänen, J.; Knuuttila, A. Long-Term Indwelling Pleural Catheter (PleurX) for Malignant Pleural Effusion Unsuitable for Talc Pleurodesis. Eur. J. Surg. Oncol. 2009, 35, 546–551. [Google Scholar] [CrossRef] [PubMed]
- Bibby, A.C.; Dorn, P.; Psallidas, I.; Porcel, J.M.; Janssen, J.; Froudarakis, M.; Subotic, D.; Astoul, P.; Licht, P.; Schmid, R.; et al. ERS/EACTS Statement on the Management of Malignant Pleural Effusions. Eur. Respir. J. 2018, 52, 1800349. [Google Scholar] [CrossRef] [PubMed]
- Tremblay, A.; Michaud, G. Single-Center Experience with 250 Tunnelled Pleural Catheter Insertions for Malignant Pleural Effusion. Chest 2006, 129, 362–368. [Google Scholar] [CrossRef] [PubMed]
- Musani, A.I.; Haas, A.R.; Seijo, L.; Wilby, M.; Sterman, D.H. Outpatient Management of Malignant Pleural Effusions with Small-Bore, Tunneled Pleural Catheters. Respiration 2004, 71, 559–566. [Google Scholar] [CrossRef]
- Adams, K.; Bhatnagar, R. Con: Indwelling Pleural Catheters Cause Harm to Patients. Breathe 2024, 20, 240111. [Google Scholar] [CrossRef]
- Roberts, M.E.; Neville, E.; Berrisford, R.G.; Antunes, G.; Ali, N.J.; on behalf of the BTS Pleural Disease Guideline Group. Management of a Malignant Pleural Effusion: British Thoracic Society Pleural Disease Guideline 2010. Thorax 2010, 65, ii32–ii40. [Google Scholar] [CrossRef]
- Bhatnagar, R.; Maskell, N.A. Indwelling Pleural Catheters. Respiration 2014, 88, 74–85. [Google Scholar] [CrossRef]
- Van Meter, M.E.M.; McKee, K.Y.; Kohlwes, R.J. Efficacy and Safety of Tunneled Pleural Catheters in Adults with Malignant Pleural Effusions: A Systematic Review. J. Gen. Intern. Med. 2011, 26, 70–76. [Google Scholar] [CrossRef]
- Peel, A.M.; Mishra, E.K. The Psychosocial Impact of Indwelling Pleural Catheters: A Scoping Review. Cureus 2023, 15, e41689. [Google Scholar] [CrossRef]
- Celsite® Drainaport|B. Braun. Available online: https://catalogs.bbraun.com/en-01/p/PRID00004318/celsite-drainport-drainage-maligment-ascites?bomUsage=documents (accessed on 19 October 2024).
- Vittorakis, S.; Anagnostakos, T.; Apollonatos, G.; Gaki, E.; Latsios, D.; Melachroinidou, M.; Chorianopoulos, D.; Tzortzaki, E.; Katsoulis, K.; Bakakos, P.; et al. The Continuous Challenge of Cough in Adults: A Narrative Review Based on Hellenic Thoracic Society Guidelines. Pneumon 2024, 37, 38. [Google Scholar] [CrossRef]
- Baguneid, A.; Wijayaratne, T.; Aujayeb, A.; Panchal, R. The Evolution of the Indwelling Pleural Catheter. Pulm. Ther. 2025, 11, 519–533. [Google Scholar] [CrossRef] [PubMed]
- Callahan, T.J. Summary of Safety and Effectiveness Denver PleurX Pleural Catheter Kit, Denver PleurX Home Drainage Kit; Food & Drug Administration: Rockville, MD, USA, 1997.
- Efthymiou, C.A.; Masudi, T.; Charles Thorpe, J.A.; Papagiannopoulos, K. Malignant Pleural Effusion in the Presence of Trapped Lung. Five-Year Experience of PleurX Tunnelled Catheters. Interact. Cardiovasc. Thorac. Surg. 2009, 9, 961–964. [Google Scholar] [CrossRef] [PubMed]
- Pollak, J.S. Malignant Pleural Effusions: Treatment with Tunneled Long-Term Drainage Catheters. Curr. Opin. Pulm. Med. 2002, 8, 302–307. [Google Scholar] [CrossRef] [PubMed]
- Chalhoub, M.; Saqib, A.; Castellano, M. Indwelling Pleural Catheters: Complications and Management Strategies. J. Thorac. Dis. 2018, 10, 4659–4666. [Google Scholar] [CrossRef]
- van den Toorn, L.M.; Schaap, E.; Surmont, V.F.M.; Pouw, E.M.; van der Rijt, K.C.D.; van Klaveren, R.J. Management of Recurrent Malignant Pleural Effusions with a Chronic Indwelling Pleural Catheter. Lung Cancer Amst. Neth. 2005, 50, 123–127. [Google Scholar] [CrossRef]
- Thong, L.; Mitha, M.; Langan, D.; Mulryan, H.; Breen, D. Indwelling Pleural Catheter for Malignant Pleural Effusion: A Real-Life Experience in a Tertiary Centre with a Dedicated Pleural Service in the Republic of Ireland. Ir. J. Med. Sci. 2025, 194, 1365–1370. [Google Scholar] [CrossRef]
- Sethi, D.K.; Webber, M.A.; Mishra, E.K. Indwelling Pleural Catheter Infection and Colonisation: A Clinical Practice Review. J. Thorac. Dis. 2024, 16, 2196–2204. [Google Scholar] [CrossRef]
- Dilkaute, M.; Klapdor, B.; Scherff, A.; Ostendorf, U.; Ewig, S. PleurX drainage catheter for palliative treatment of malignant pleural effusion. Pneumol. Stuttg. Ger. 2012, 66, 637–644. [Google Scholar] [CrossRef]
- Zhang, J.; Liang, J.; Kadwani, O.; Agoramoorthy, L.; Montalvo, S.; Radcliffe, G.; Sivakumar, P. S138 Malignant Pleural Effusions: Evaluating the Psychosocial Impact of Indwelling Pleural Catheters on Patients (MY-IPC)—An Interim Analysis. Thorax 2023, 78, A100. [Google Scholar] [CrossRef]
- Kriegel, I.; Daniel, C.; Falcou, M.-C.; Marcou, A.; De Bosschère, L.; Benarab, S.; Livartowski, A.; Estève, M. Use of a Subcutaneous Implantable Pleural Port in the Management of Recurrent Malignant Pleurisy: Five-Year Experience Based on 168 Subcutaneous Implantable Pleural Ports. J. Palliat. Med. 2011, 14, 829–834. [Google Scholar] [CrossRef]











| Huber Needle Size | 19G | 20G | 19G + 20G | 19G + 19G | ||||
|---|---|---|---|---|---|---|---|---|
| Suction Pressure (cmH2O) | Air (mL/min) | Saline Solution (mL/min) | Air (mL/min) | Saline Solution (mL/min) | Air (mL/min) | Saline Solution (mL/min) | Air (mL/min) | Saline Solution (mL/min) |
| −5 | 140 | 5 | 70 | 5 | 190 | 10 | 180 | 15 |
| −10 | 240 | 5 | 150 | 5 | 340 | 15 | 390 | 20 |
| −15 | 330 | 15 | 190 | 10 | 490 | 20 | 570 | 30 |
| −20 | 410 | 15 | 230 | 10 | 610 | 25 | 720 | 30 |
| −25 | 480 | 20 | 270 | 10 | 720 | 25 | 860 | 30 |
| −30 | 540 | 25 | 320 | 10 | 820 | 25 | 980 | 35 |
| −35 | 600 | 25 | 350 | 15 | 920 | 30 | 1100 | 40 |
| −40 | 640 | 25 | 390 | 15 | 1000 | 35 | 1200 | 40 |
| −45 | 710 | 25 | 430 | 15 | 1100 | 40 | 1300 | 40 |
| −50 | 760 | 30 | 450 | 15 | 1200 | 45 | 1400 | 50 |
| −55 | 800 | 30 | 480 | 20 | 1250 | 45 | 1500 | 50 |
| −60 | 860 | 35 | 510 | 20 | 1300 | 45 | 1600 | 55 |
| −65 | 910 | 35 | 530 | 20 | 1400 | 50 | 1700 | 60 |
| −70 | 940 | 35 | 570 | 25 | 1500 | 55 | 1800 | 60 |
| −75 | 960 | 40 | 580 | 25 | 1500 | 60 | 1800 | 65 |
| −80 | 1000 | 40 | 600 | 25 | 1600 | 60 | 1900 | 70 |
| −85 | 1100 | 40 | 620 | 30 | 1700 | 60 | 2000 | 70 |
| −90 | 1100 | 45 | 650 | 30 | 1700 | 60 | 2100 | 70 |
| −95 | 1100 | 45 | 670 | 30 | 1800 | 65 | 2200 | 70 |
| −100 | 1200 | 50 | 700 | 35 | 1900 | 75 | 2200 | 80 |
| Unfit for Surgery 68 (45.3%) | Trapped Lung 82 (54.7%) | Total (150) | |
|---|---|---|---|
| Sex | |||
| Male | 40 (26.7%) | 59 (39.3%) | 99 (66%) |
| Female | 28 (18.7%) | 23 (15.3%) | 51 (34%) |
| Mean age | 78.6 (SD 9.2) | 71.7 (SD 10.5) | 74.8 (SD 10.5) |
| Main disease | |||
| Lung cancer mts | 30 (20.0%) | 40 (26.7%) | 70 (47%) |
| MPM * | 14 (9.3%) | 28 (18.7%) | 42 (28%) |
| Other cancer | 18 (12.0%) | 10 (6.7%) | 28 (19%) |
| Benign disease | 6 (4.0%) | 4 (2.7%) | 10 (7%) |
| Unfit for Surgery 68 (45.3%) | Trapped Lung 82 (54.7%) | Total (150) | |
|---|---|---|---|
| Implantation | |||
| Under local anesthesia | 68 (100%) | 32 (21.3%) | 100 (66.7%) |
| During thoracoscopy | 0 | 50 (33.3%) | 50 (33.3%) |
| Complications | |||
| Yes | 5 (3.3%) | 13 (9%) | 18 (12%) |
| Early (>30 days) | |||
| Wrong placement | 0 (0%) | 1 (0.7%) | 1 (0.7%) |
| Pneumothorax | 1 (0.7%) | 0 (0%) | 1 (0.7%) |
| Emphysema | 0 (0%) | 1 (0.7%) | 1 (0.7%) |
| Swelling | 2 (1.3%) | 0 (0%) | 2 (1.3%) |
| Pain | 1 (0.7%) | 0 (0%) | 1 (0.7%) |
| Late (>30 days) | |||
| Malfunction | 0 (0%) | 5 (3%) | 5 (3%) |
| Wound dehiscence | 0 (0%) | 3 (2%) | 3 (2%) |
| Fever and infection | 1 (0.7%) | 2 (1.3%) | 3 (2%) |
| Removal | 0 (0%) | 1 (0.7%) | 1 (0.7%) |
| No | 63 (42%) | 69 (46%) | 132 (88%) |
| Management | |||
| Home | 46 (30.7%) | 52 (34.7%) | 98 (65.3%) |
| Outpatient | 22 (14.7%) | 30 (12.0%) | 52 (34.7%) |
| Oncological treatment | 15 (10%) | 28(18.7%) | 43 (28.7%) |
| Lung cancer mts | 10 (6.7%) | 18 (12%) | 28 (18.7%) |
| MPM+ | 3 (2%) | 8 (5.3%) | 11 (7.3%) |
| Other cancer | 2 (1.3%) | 2 (1.3%) | 4 (2.6%) |
| 1 month survival | 58 (38.7%) | 72 (48%) | 130 (86.7%) |
| 6 months survival | 33 (48.5%) | 40 (48.7%) | 73 (48.7%) |
| Symptom palliation | |||
| Yes | 68 (100%) | 75 (50%) | 143 (95.3%) |
| No | 0 (0%) | 7 (4.7%) | 7 (4.7%) |
Disclaimer/Publisher’s Note: The statements, opinions and data contained in all publications are solely those of the individual author(s) and contributor(s) and not of MDPI and/or the editor(s). MDPI and/or the editor(s) disclaim responsibility for any injury to people or property resulting from any ideas, methods, instructions or products referred to in the content. |
© 2025 by the authors. Licensee MDPI, Basel, Switzerland. This article is an open access article distributed under the terms and conditions of the Creative Commons Attribution (CC BY) license (https://creativecommons.org/licenses/by/4.0/).
Share and Cite
Marcaccini, M.; Sobrero, S.; Vaisitti, F.; Russo, A.; Rudella, S.; Mellone, F.; Grispi, C.; Errico, L.; Leo, F. Efficacy of a Fully Implantable Pleural Device in the Management of Complex Pleural Effusions. Curr. Oncol. 2025, 32, 622. https://doi.org/10.3390/curroncol32110622
Marcaccini M, Sobrero S, Vaisitti F, Russo A, Rudella S, Mellone F, Grispi C, Errico L, Leo F. Efficacy of a Fully Implantable Pleural Device in the Management of Complex Pleural Effusions. Current Oncology. 2025; 32(11):622. https://doi.org/10.3390/curroncol32110622
Chicago/Turabian StyleMarcaccini, Marco, Simona Sobrero, Federico Vaisitti, Alessandra Russo, Stefano Rudella, Federica Mellone, Chiara Grispi, Luca Errico, and Francesco Leo. 2025. "Efficacy of a Fully Implantable Pleural Device in the Management of Complex Pleural Effusions" Current Oncology 32, no. 11: 622. https://doi.org/10.3390/curroncol32110622
APA StyleMarcaccini, M., Sobrero, S., Vaisitti, F., Russo, A., Rudella, S., Mellone, F., Grispi, C., Errico, L., & Leo, F. (2025). Efficacy of a Fully Implantable Pleural Device in the Management of Complex Pleural Effusions. Current Oncology, 32(11), 622. https://doi.org/10.3390/curroncol32110622

