Primary Intracranial Meningeal Melanocytoma with Malignant Transformation: A Case Report and Comparison of Early Versus Late Immunotherapy Interventions
Simple Summary
Abstract
1. Introduction
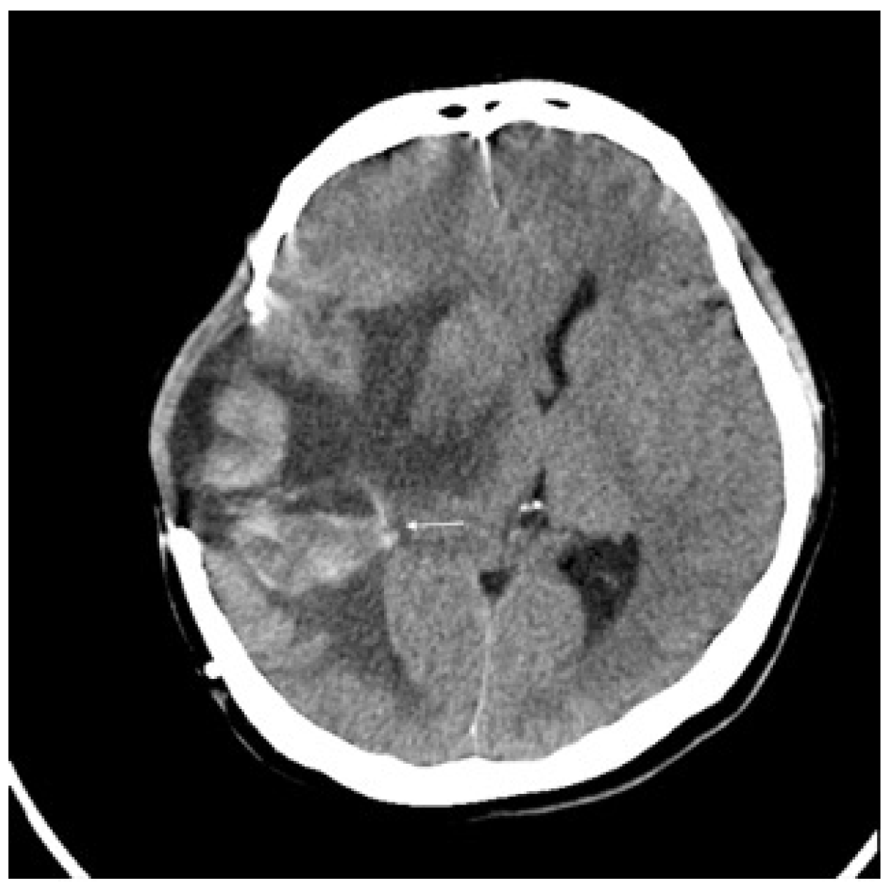
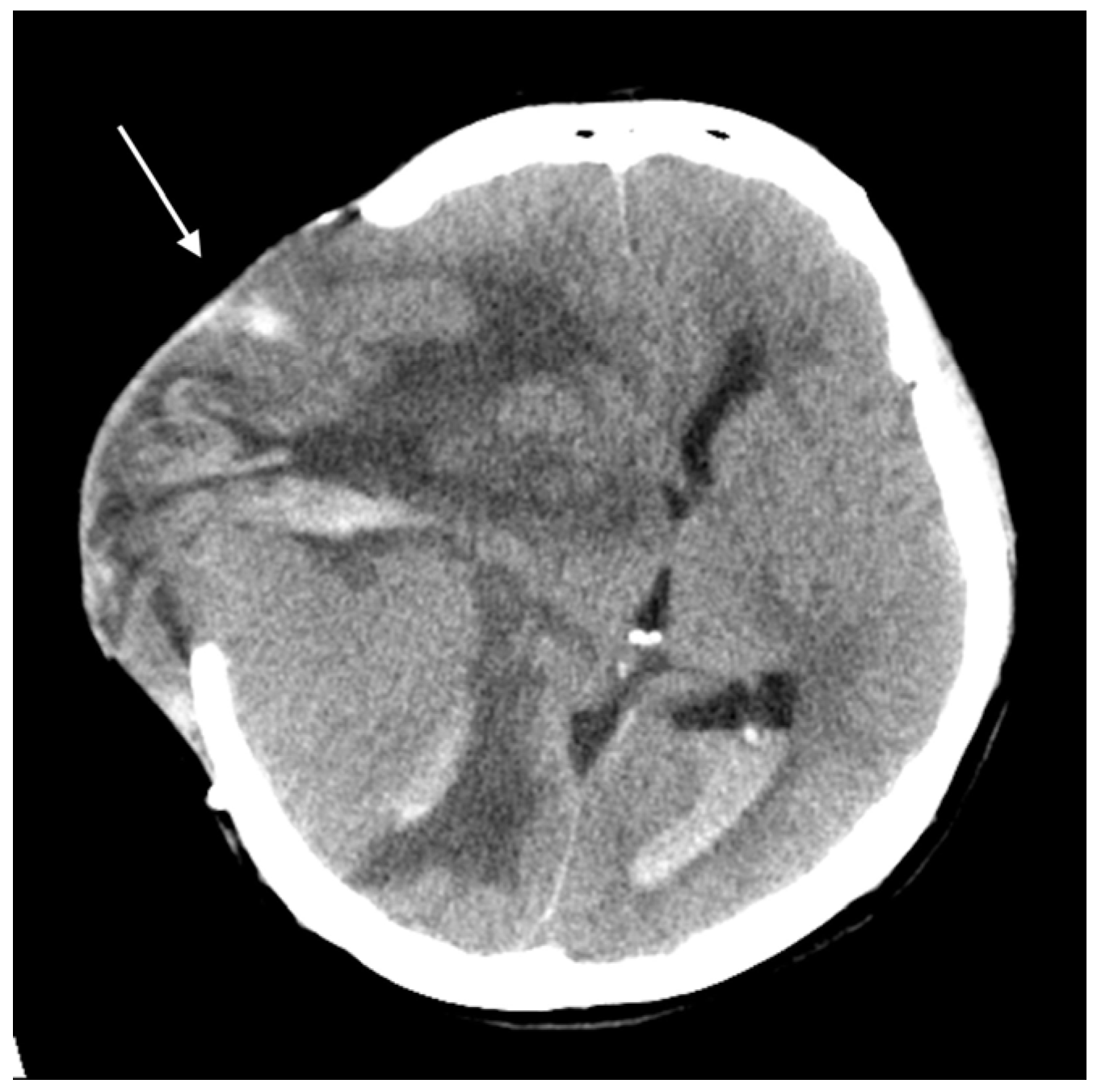
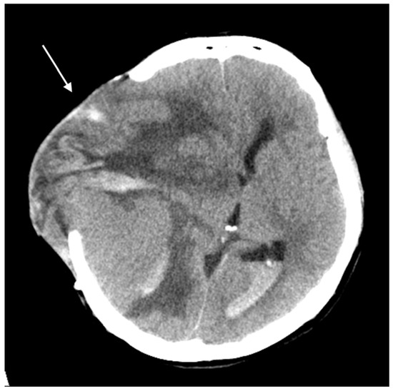
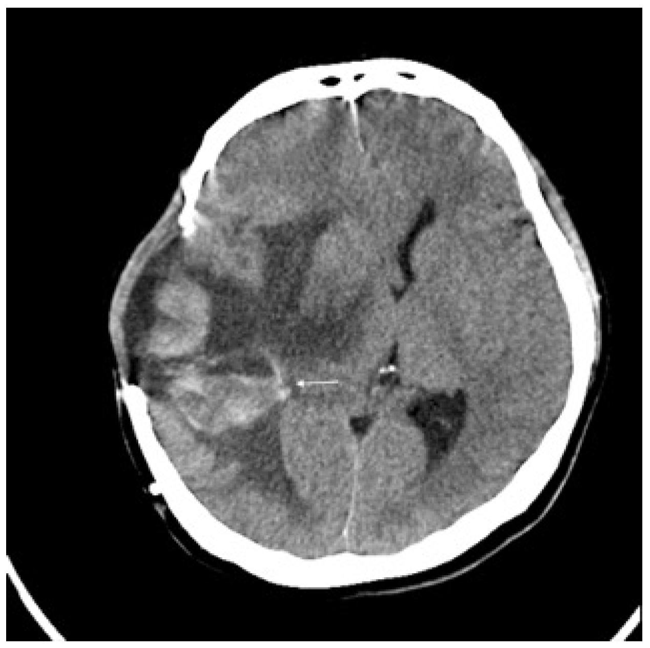
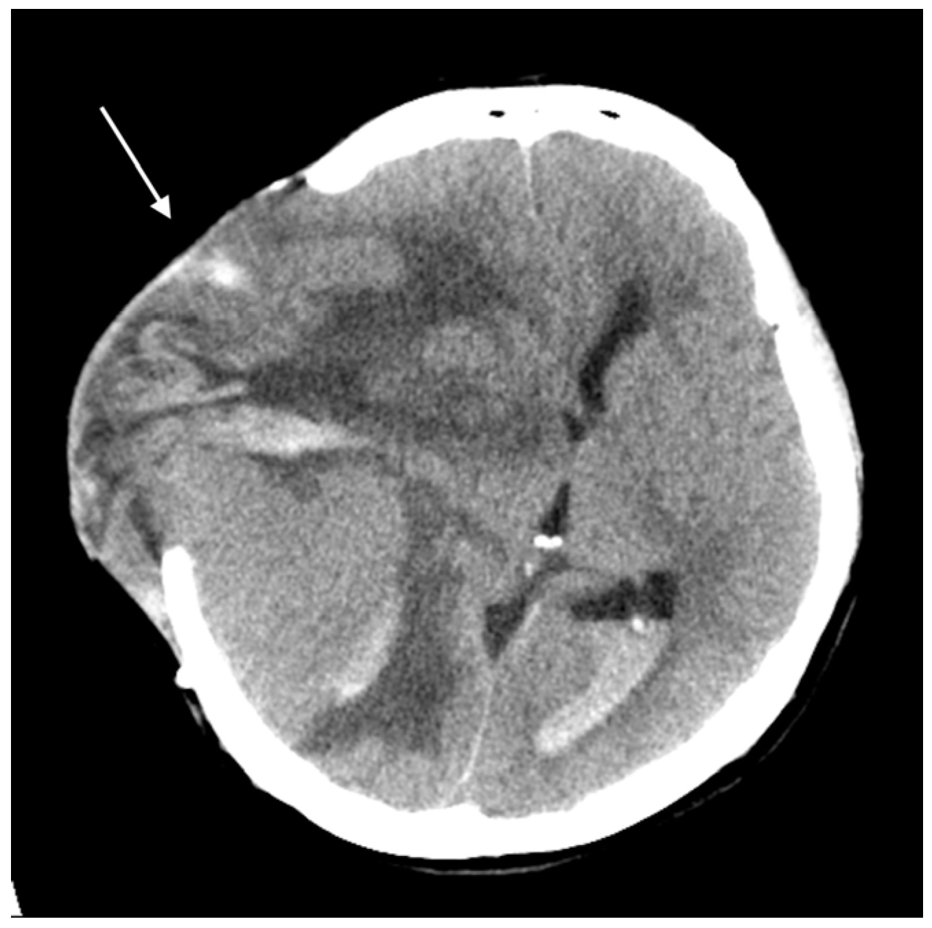
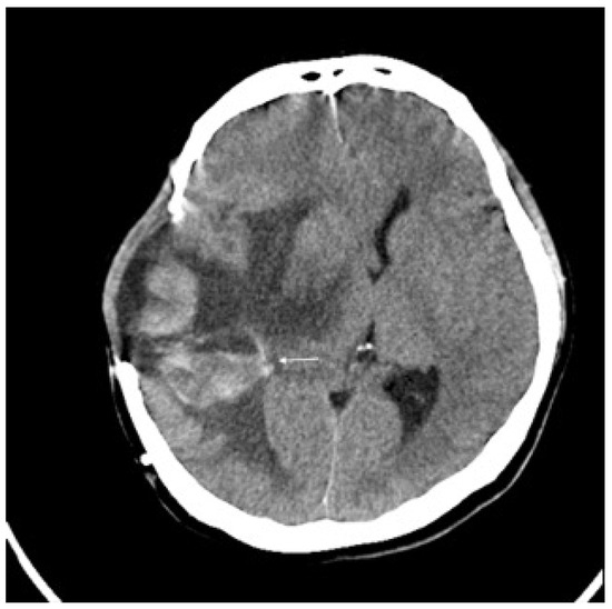
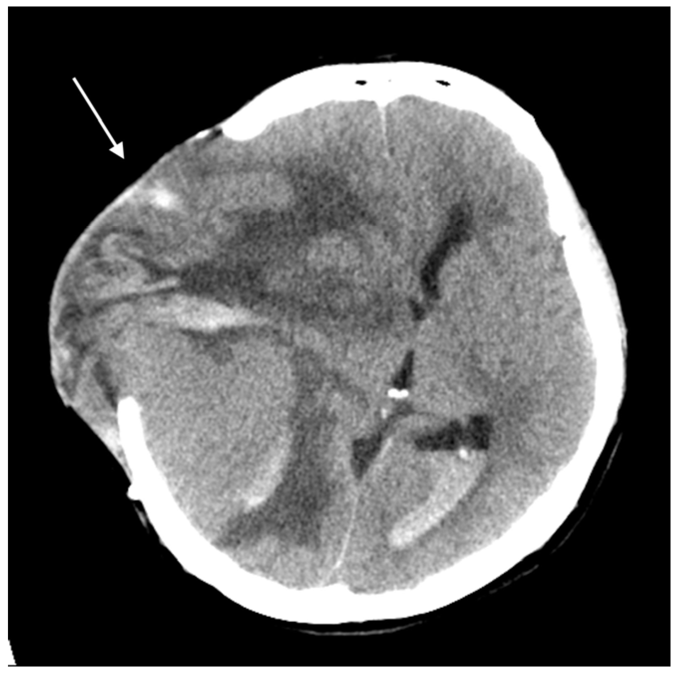
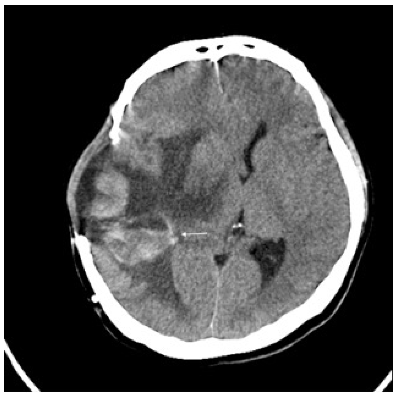
2. Detailed Case Description
3. Discussion
4. Conclusions
Author Contributions
Funding
Institutional Review Board Statement
Informed Consent Statement
Data Availability Statement
Conflicts of Interest
References
- Roser, F.; Nakamura, M.; Brandis, A.; Hans, V.; Vorkapic, P.; Samii, M. Transition from meningeal melanocytoma to primary cerebral melanoma: Case report. J. Neurosurg. 2004, 101, 528–531. [Google Scholar] [CrossRef] [PubMed]
- Uramaru, K.; Sakata, K.; Shimohigoshi, W.; Kawasaki, T.; Manaka, H. Primary Meningeal Melanocytoma Located in the Craniovertebral Junction: A Case Report and Literature Review. NMC Case Rep. J. 2021, 8, 349–354. [Google Scholar] [CrossRef] [PubMed]
- Koch, H.J.; Roeber, S.; Zimmermann, U.W.; Schäfer, C.; Villarrubia, V.; Kuchelmeister, K.; Schachenmayr, W.; Bogdahn, U.; Steinbrecher, A. Spinale und zerebrale Meningeosis eines sekundär malignisierten Melanozytoms des Kleinhirnbrückenwinkels. Wien. Med. Wochenschr. 2005, 155, 360–364. [Google Scholar] [CrossRef] [PubMed]
- Gempt, J.; Buchmann, N.; Grams, A.E.; Zoubaa, S.; Schlegel, J.; Meyer, B.; Ringel, F. Black brain: Transformation of a melanocytoma with diffuse melanocytosis into a primary cerebral melanoma. J. Neurooncol. 2011, 102, 323–328. [Google Scholar] [CrossRef] [PubMed]
- Küsters-Vandevelde, H.V.; Kruse, V.; Van Maerken, T.; Boterberg, T.; Pfundt, R.; Creytens, D.; Broecke, C.V.D.; Machielsen, T.C.; Koelsche, C.; von Deimling, A.; et al. Copy number variation analysis and methylome profiling of a GNAQ-mutant primary meningeal melanocytic tumor and its liver metastasis. Exp. Mol. Pathol. 2017, 102, 25–31. [Google Scholar] [CrossRef] [PubMed]
- Henrique, R.; Azevedo, R.; Bento, M.J.; Domingues, J.C.; Silva, C.; Jerónimo, C. Prognostic value of Ki-67 expression in localized cutaneous malignant melanoma. J. Am. Acad. Dermatol. 2000, 43, 991–1000. [Google Scholar] [CrossRef] [PubMed]
- Liu, Q.; Peng, Z.; Shen, L.; Shen, L. Prognostic and Clinicopathological Value of Ki-67 in Melanoma: A Meta-Analysis. Front. Oncol. 2021, 11, 737760. [Google Scholar] [CrossRef] [PubMed]
- Chhabra, R.; Misra, S.; Prasad, P.; Khati, S. Meningeal Melanocytoma—A Clinicohistological Masquerader. Neurol. India 2022, 70, 2153–2155. [Google Scholar] [CrossRef] [PubMed]
- Sun, J.; Wang, C.; Shu, Q.; Liu, J.; Mao, G. A case report on intermediate-grade malignant meningeal melanocytoma with elevated cell proliferation index. Int. J. Clin. Exp. Pathol. 2015, 8, 11698–11703. [Google Scholar] [PubMed]
- Pellerino, A.; Verdijk, R.M.; Nichelli, L.; Andratschke, N.H.; Idbaih, A.; Goldbrunner, R. Primary Meningeal Melanocytic Tumors of the Central Nervous System: A Review from the Ultra-Rare Brain Tumors Task Force of the European Network for Rare Cancers (EURACAN). Cancers 2024, 16, 2508. [Google Scholar] [CrossRef] [PubMed]
- Küsters-Vandevelde, H.V.; Küsters, B.; Grunsven, A.C.v.E.; Groenen, P.J.; Wesseling, P.; Blokx, W.A. Primary melanocytic tumors of the central nervous system: A review with focus on molecular aspects. Brain Pathol. 2015, 25, 209–226. [Google Scholar] [CrossRef] [PubMed]
- da Silveira, H.G.; Junior, H.F.; Campos, L.D.d.S.; Stall, J.; Blasius, R.; Kricheski, C.; Silva, B.L.; de França, P.H.C.; Coelho, K.M.d.P.A. PRAME immunohistochemistry distinguishes nodal nevi from metastatic melanoma. Surg. Exp. Pathol. 2024, 7, 28. [Google Scholar] [CrossRef]
- Lezcano, C.; Pulitzer, M.; Moy, A.P.; Hollmann, T.J.; Jungbluth, A.A.; Busam, K.J. Immunohistochemistry for PRAME in the Distinction of Nodal Nevi From Metastatic Melanoma. Am. J. Surg. Pathol. 2020, 44, 503–508. [Google Scholar] [CrossRef] [PubMed]
- Donati, M.; Kazakov, D.V. Beyond typical histology of BAP1-inactivated melanocytoma. Pathol. Res. Pract. 2024, 259, 155162. [Google Scholar] [CrossRef] [PubMed]
- Wang, J.-W.; Feng, Y.-F.; Liu, J.-H. CTLA-4 and PD-1 combined blockade therapy for malignant melanoma brain metastases: Mechanisms, challenges, and prospects. Front. Immunol. 2025, 16, 1629879. [Google Scholar] [CrossRef] [PubMed]
- Pilch, J.; Mizera, J.; Tota, M.; Donizy, P. GNAQ/GNA11-Related Benign and Malignant Entities—A Common Histoembriologic Origin or a Tissue-Dependent Coincidence. Cancers 2024, 16, 3672. [Google Scholar] [CrossRef] [PubMed]
- Riaz, N.; Havel, J.J.; Kendall, S.M.; Makarov, V.; Walsh, L.A.; Desrichard, A.; Weinhold, N.; Chan, T.A. Recurrent SERPINB3 and SERPINB4 mutations in patients who respond to anti-CTLA4 immunotherapy. Nat. Genet. 2016, 48, 1327–1329. [Google Scholar] [CrossRef] [PubMed]
- Oliva, I.C.G. Intrathecal immunotherapy in patients who have melanoma with leptomeningeal disease. Clin. Adv. Hematol. Oncol. 2025, 23, 204–206. [Google Scholar]
- Oliva, I.C.G.; Ferguson, S.D.; Bassett, R.; Foster, A.P.; John, I.; Hennegan, T.D.; Rohlfs, M.; Richard, J.; Iqbal, M.; Dett, T.; et al. Concurrent intrathecal and intravenous nivolumab in leptomeningeal disease: Phase 1 trial interim results. Nat. Med. 2023, 29, 898–905. [Google Scholar] [CrossRef] [PubMed]




| Citation | Age/ Sex/ Ethnicity | Primary Tumor Location | Metastatic Sites | Treatment Approach | Immunotherapy Timing | Clinical Response | Time to Malignant Transformation | Overall Survival | Ki-67 |
|---|---|---|---|---|---|---|---|---|---|
| Present case | 43/ F/ Asian | Right temporal (intracranial) | Leptomeningeal (spine); bone, liver, etc. | Surgery (subtotal) + Gamma Knife; Early pembrolizumab; Ipilimumab on progression | Early (~1-month post-transformation) | Improved mobility after pembrolizumab; later decline | ~15 months after the initial diagnosis | ~15 months PT (2.5 years from initial) | 50% |
| 1. | 37/ F/ Caucasian | Petroclival (posterior fossa) | Diffuse leptomeningeal spread (brain/spine) | Multiple surgeries; Whole-brain RT; Temozolomide chemotherapy | None a | Rapid progression; no neurological improvement reported | ~12 years after identifying the initial tumor | ~4 months PT (14 years from initial) | 25% |
| 2. | 38/ M/ Caucasian | Left CPA | Intracerebral and spinal leptomeningeal seeding | Surgery ×2; Fractionated RT; Temozolomide chemotherapy | None a | Tumor refractory to CRT; neurological decline | ~6 years after the initial diagnosis | ~5 months PT (6.5 years from initial) | NM |
| 3. | 43/ F/ Caucasian | Right parietal (supratentorial) | Liver, pancreas (systemic metastases); recurrent brain lesions | Surgery ×2 (brain); Stereotactic RT/radiosurgery (brain); ALPPS liver resection; Temozolomide; Delayed ipilimumab | Late (~7 months post-metastasis) | Systemic disease stabilized (no new mets) but intracranial progression observed; no motor improvement documented | ~4 years after the initial diagnosis | ~15 months PT (~63 months from initial) | 10% |
| 4. | 71/ F/ Caucasian | Right frontal + diffuse melanosis | Diffuse intracranial (leptomeningeal spread) | Surgery (gross total resection); Whole-brain RT | None b | Continued neurological decline (progressive bulbar symptoms) | ~0 years (malignant at presentation) | Alive 18 months post-diagnosis c | 12% |
Disclaimer/Publisher’s Note: The statements, opinions and data contained in all publications are solely those of the individual author(s) and contributor(s) and not of MDPI and/or the editor(s). MDPI and/or the editor(s) disclaim responsibility for any injury to people or property resulting from any ideas, methods, instructions or products referred to in the content. |
© 2025 by the authors. Licensee MDPI, Basel, Switzerland. This article is an open access article distributed under the terms and conditions of the Creative Commons Attribution (CC BY) license (https://creativecommons.org/licenses/by/4.0/).
Share and Cite
Zhang, Y.-Q.; Rau, K.-M.; Liang, C.-L.; Tsai, Y.-D.; Jheng, H.-T.; Wang, K.-W. Primary Intracranial Meningeal Melanocytoma with Malignant Transformation: A Case Report and Comparison of Early Versus Late Immunotherapy Interventions. Curr. Oncol. 2025, 32, 595. https://doi.org/10.3390/curroncol32110595
Zhang Y-Q, Rau K-M, Liang C-L, Tsai Y-D, Jheng H-T, Wang K-W. Primary Intracranial Meningeal Melanocytoma with Malignant Transformation: A Case Report and Comparison of Early Versus Late Immunotherapy Interventions. Current Oncology. 2025; 32(11):595. https://doi.org/10.3390/curroncol32110595
Chicago/Turabian StyleZhang, Yi-Qi, Kun-Ming Rau, Cheng-Loong Liang, Yu-Duan Tsai, He-Tai Jheng, and Kuo-Wei Wang. 2025. "Primary Intracranial Meningeal Melanocytoma with Malignant Transformation: A Case Report and Comparison of Early Versus Late Immunotherapy Interventions" Current Oncology 32, no. 11: 595. https://doi.org/10.3390/curroncol32110595
APA StyleZhang, Y.-Q., Rau, K.-M., Liang, C.-L., Tsai, Y.-D., Jheng, H.-T., & Wang, K.-W. (2025). Primary Intracranial Meningeal Melanocytoma with Malignant Transformation: A Case Report and Comparison of Early Versus Late Immunotherapy Interventions. Current Oncology, 32(11), 595. https://doi.org/10.3390/curroncol32110595

