Current Trends in the Surgical Management of Yolk Sac Tumors
Abstract
1. Introduction
2. Materials and Methods
2.1. The Sources and Search Strategy
2.2. Selection and Data Collection Process
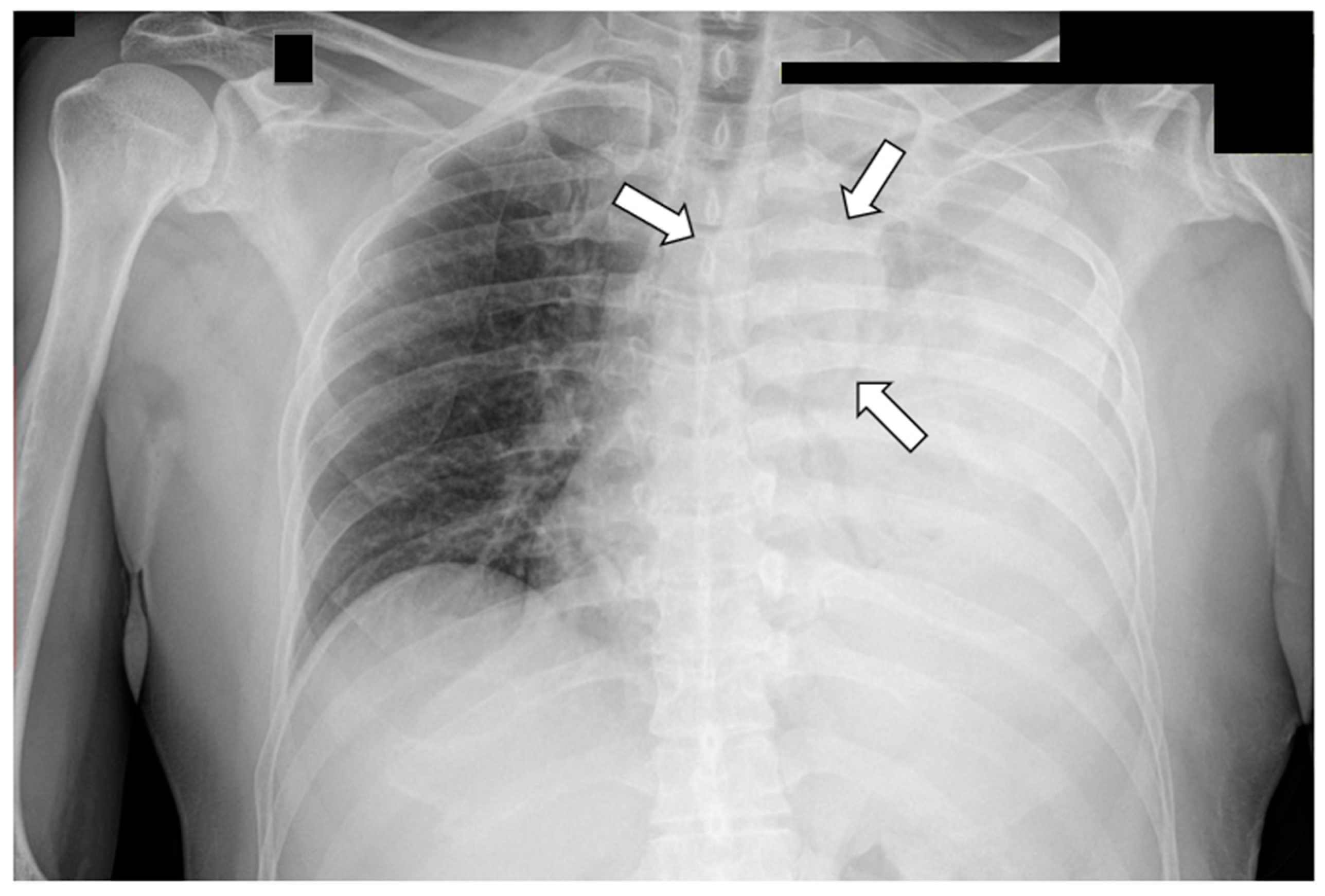
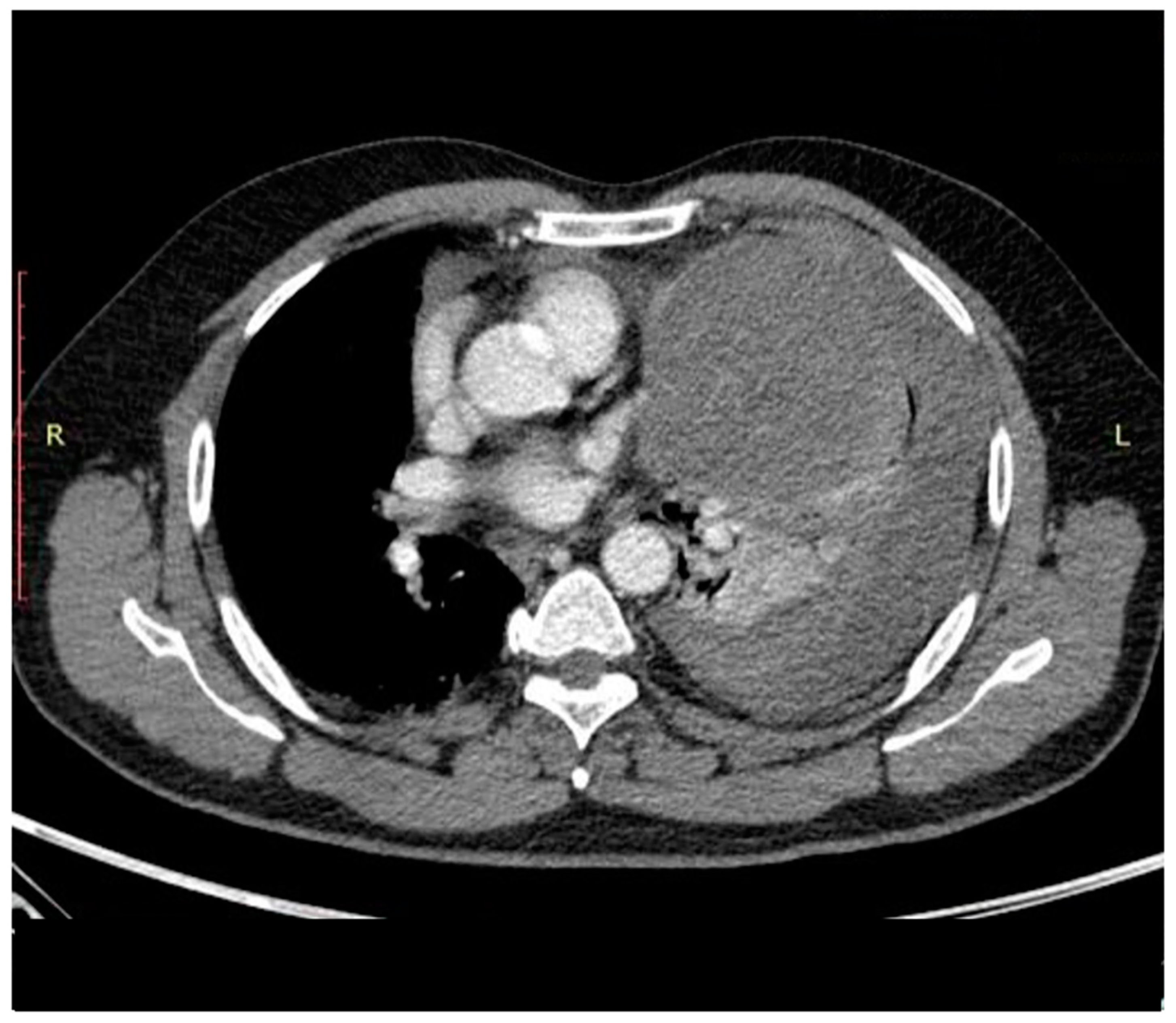
3. Diagnostic Imaging and Biomarkers
4. Treatment Modalities
5. Discussion
6. Conclusions
Author Contributions
Funding
Conflicts of Interest
References
- Shahana, B.; Ayub, I.I.; Dhanasekar, T.; Sundaram, S. Clinico-Pathological and Radiological Spectrum of Mediastinal Masses in a Tertiary Care Center: A Cross-Sectional Study. Cureus 2023, 15, e37922. [Google Scholar] [CrossRef]
- Jilani, T.N.; Killeen, R.B.; Siddiqui, A.H. Mediastinal Cancer. In StatPearls; StatPearls Publishing: Treasure Island, FL, USA, 2024. Available online: http://www.ncbi.nlm.nih.gov/books/NBK513231/ (accessed on 4 August 2024).
- McKenney, J.K.; Heerema-McKenney, A.; Rouse, R.V. Extragonadal germ cell tumors: A review with emphasis on pathologic features, clinical prognostic variables, and differential diagnostic considerations. Adv. Anat. Pathol. 2007, 14, 69–92. [Google Scholar] [CrossRef] [PubMed]
- Rodney, A.J.; Tannir, N.M.; Siefker-Radtke, A.O.; Liu, P.; Walsh, G.L.; Millikan, R.E.; Swisher, S.G.; Tu, S.M.; Pagliaro, L.C. Survival outcomes for men with mediastinal germ-cell tumors: The University of Texas M. D. Anderson Cancer Center experience. Urol. Oncol. 2012, 30, 879–885. [Google Scholar] [CrossRef] [PubMed]
- Akasbi, Y.; Najib, R.; Arifi, S.; Lakranbi, M.; Smahi, M.; Mellas, N.; Elmesbahi, O. Complete histologic response to chemotherapy in a patient with a mediastinal yolk sac tumor: A case report. BMC Res. Notes 2014, 7, 803. [Google Scholar] [CrossRef]
- Yang, X.; Zhao, K.; Mei, J.; Wei, S.; Xia, L.; Pu, Y.; Liu, L. Primary mediastinal nonseminomas: A population-based surveillance, epidemiology, and end results analysis. J. Surg. Res. 2021, 267, 25–36. [Google Scholar] [CrossRef] [PubMed]
- Mukai, K.; Adams, W.R. Yolk sac tumor of the anterior mediastinum. Case report with light- and electron-microscopic examination and immunohistochemical study of alpha-fetoprotein. Am. J. Surg. Pathol. 1979, 3, 77–83. [Google Scholar] [CrossRef]
- Teilmann, I.; Kassis, H.; Pietra, G. Primary germ cell tumor of the anterior mediastinum with features of endodermal sinus tumor. (Mesoblastoma vitellinum). Acta Pathol. Microbiol. Scand. 1967, 70, 267–278. [Google Scholar] [CrossRef]
- Chaudhry, I.U.; Rahhal, M.; Khurshid, I.; Mutairi, H. Radical surgical resection for giant primary mediastinal endodermal sinus tumour with pulmonary metastasis after chemotherapy: Can be curative. BMJ Case Rep. 2014, 2014, bcr2014204662. [Google Scholar] [CrossRef]
- Qin, L.; Zhu, M.; Wang, T.; Wang, H.; Pan, Q.; He, D. The clinical features and prognostic outcomes of primary mediastinal yolk sac tumors: A retrospective analysis of 15 rare cases from multiple centers. Medicine 2021, 100, e26480. [Google Scholar] [CrossRef] [PubMed]
- Liu, B.; Lin, G.; Liu, J.; Liu, H.; Shang, X.; Li, J. Primary mediastinal yolk sac tumor treated with platinum-based chemotherapy and extended resection: Report of seven cases. Thorac. Cancer 2018, 9, 491–494. [Google Scholar] [CrossRef] [PubMed]
- Nakhla, S.G.; Sundararajan, S. A Rare Case of Primary Anterior Mediastinal Yolk Sac Tumor in an Elderly Adult Male. Case Rep. Oncol. Med. 2016, 2016, 8961486. [Google Scholar] [CrossRef] [PubMed]
- Moran, C.A. Germ Cell Tumors of the Mediastinum. Pathol.—Res. Pract. 1999, 195, 583–587. [Google Scholar] [CrossRef] [PubMed]
- Fox, M.A.; Vix, V.A. Endodermal sinus (yolk sac) tumors of the anterior mediastinum. AJR Am. J. Roentgenol. 1980, 135, 291–294. [Google Scholar] [CrossRef]
- Zhu, F.; Wang, L.; Zhai, X. Primary mediastinal yolk sac tumor: A case report and literature review. Int. J. Clin. Exp. Pathol. 2020, 13, 2772–2777. [Google Scholar] [PubMed]
- Koizumi, T.; Kanda, S.; Nihonmatu, R.; Gomi, D.; Sekiguchi, N.; Noguchi, T.; Fukushima, T.; Kobayashi, T.; Yamamoto, H.; Takeda, T. Primary mediastinal germ cell tumors—A retrospective analysis of >30 years of experience in a single institution. Thorac. Cancer 2021, 12, 807–813. [Google Scholar] [CrossRef] [PubMed]
- Siltanen, S.; Anttonen, M.; Heikkilä, P.; Narita, N.; Laitinen, M.; Ritvos, O.; Wilson, D.B.; Heikinheimo, M. Transcription factor GATA-4 is expressed in pediatric yolk sac tumors. Am. J. Pathol. 1999, 155, 1823–1829. [Google Scholar] [CrossRef]
- Takeda, S.; Miyoshi, S.; Ohta, M.; Minami, M.; Masaoka, A.; Matsuda, H. Primary germ cell tumors in the mediastinum: A 50-year experience at a single Japanese institution. Cancer 2003, 97, 367–376. [Google Scholar] [CrossRef] [PubMed]
- Hirakawa, H.; Nakashima, C.; Nakamura, T.; Masuda, M.; Funakoshi, T.; Nakagawa, S.; Horimatsu, T.; Matsubara, K.; Muto, M.; Kimura, S.; et al. Chemotherapy for primary mediastinal yolk sac tumor in a patient undergoing chronic hemodialysis: A case report. J. Med. Case Rep. 2017, 11, 43. [Google Scholar] [CrossRef][Green Version]
- Froehner, M.; Passauer, J.; Schuler, U.; Hakenberg, O.W.; Wirth, M.P. Successful chemotherapy for advanced nonseminomatous germ-cell tumor in a patient undergoing chronic hemodialysis. J. Clin. Oncol. 2007, 25, 1282–1284. [Google Scholar] [CrossRef]
- Hazzard, C.; Flores, R.; Nicastri, D.G. Mediastinal surgery: Modern treatment of primary germ cell tumor of the mediastinum. J. Vis. Surg. 2018, 4, 1–7. [Google Scholar] [CrossRef]
- Sakaguchi, M.; Maebayashi, T.; Aizawa, T.; Ishibashi, N.; Fukushima, S.; Saito, T. Successful radiotherapy in postoperative recurrence of a primary mediastinal yolk sac tumor: A case report. Thorac. Cancer 2016, 7, 358–362. [Google Scholar] [CrossRef] [PubMed]
- Wang, X.; Zhao, S.; Zhao, M.; Wang, D.; Chen, H.; Jiang, L. Use of targeted therapy and immunotherapy for the treatment of yolk sac tumors in extragonadal pelvic sites: Two case reports. Gland. Surg. 2021, 10, 3045–3052. [Google Scholar] [CrossRef]
- Tsimberidou, A.-M.; Vo, H.H.; Subbiah, V.; Janku, F.; Piha-Paul, S.; Yilmaz, B.; Gong, J.; Naqvi, M.F.; Tu, S.-M.; Campbell, M.; et al. Pembrolizumab in Patients with Advanced Metastatic Germ Cell Tumors. Oncologist 2021, 26, 558-e1098. [Google Scholar] [CrossRef] [PubMed]
- Zschäbitz, S.; Lasitschka, F.; Hadaschik, B.; Hofheinz, R.-D.; Jentsch-Ullrich, K.; Grüner, M.; Jäger, D.; Grüllich, C. Response to anti-programmed cell death protein-1 antibodies in men treated for platinum refractory germ cell cancer relapsed after high-dose chemotherapy and stem cell transplantation. Eur. J. Cancer 2017, 76, 1–7. [Google Scholar] [CrossRef]
- Shimizu, Y.; Suzuki, T.; Yoshikawa, T.; Endo, I.; Nakatsura, T. Next-Generation Cancer Immunotherapy Targeting Glypican-3. Front. Oncol. 2019, 9, 248. [Google Scholar] [CrossRef]
- Zhao, J.; Qin, L.; He, G.; Xie, T.; Hu, G.; Wang, F.; Zhong, H.; Zhu, J.; Xu, Y. Administration of a glypican-3 peptide increases the infiltration and cytotoxicity of CD8+ T cells against testicular yolk sac tumor, associated with enhancing the intratumoral cGAS/STING signaling. Cancer Med. 2023, 12, 21293–21307. [Google Scholar] [CrossRef] [PubMed]
- Dehner, L.P. Germ cell tumors of the mediastinum. Semin. Diagn. Pathol. 1990, 7, 266–284. [Google Scholar]
- Beg, A.; Kumar, R.; Sahay, A.; Janu, A.; Joshi, A.; Noronha, V.; Prabhash, K.; Karimundackal, G.; Jiwnani, S.; Agarwal, J.; et al. Primary mediastinal germ cell tumours with high prevalence of somatic malignancy: An experience from a single tertiary care oncology centre. Ann. Diagn. Pathol. 2021, 53, 151763. [Google Scholar] [CrossRef]
- Biswas, B.; Dabkara, D.; Sengupta, M.; Ganguly, S.; Ghosh, J.; S, M.A.; Sen, S. Multimodality treatment outcome in patients with primary malignant mediastinal germ cell tumor in adults. Cancer Rep. 2021, 4, e1306. [Google Scholar] [CrossRef]
- Aroshidze, B.; Boyapati, L.; Pokhrel, A.; Gotlieb, V.; Khan, A.; Erdinc, B.; Cheema, M.A. Yolk Sac Tumor in the Anterior Mediastinum Presenting as Acute Pericarditis. Am. J. Case Rep. 2022, 23, e932616. [Google Scholar] [CrossRef]
- Mishra, S.; Das Majumdar, S.K.; Sable, M.; Parida, D.K. Primary malignant mediastinal germ cell tumors: A single institutional experience. South Asian J. Cancer 2020, 9, 27–29. [Google Scholar] [CrossRef] [PubMed]
- Testori, A.; Perfetti, V.; De Carlo, C.; Bossi, P.; Alloisio, M.; Mangiameli, G. Locally advanced primary mediastinal atypical carcinoid successfully resected after neoadjuvant treatment: A case report. Thorac. Cancer 2021, 12, 2415–2419. [Google Scholar] [CrossRef] [PubMed]
- Tanase, B.; Burlacu, A.; Mugescu, M.; Neicu, A.; Radoi, S.; Constantinoiu, S.; Horvat, T. Malignant Extramucosal Esophageal Tumor—Yolk Sac Tumor—Case Report. Chirurgia 2022, 117, 222–229. [Google Scholar] [CrossRef]
- Li, Z.; Lv, Z.; Yang, Q.; Li, J. Successful treatment of a primary thoracic dumb-bell yolk sac tumor presenting with severe spinal cord compression. Medicine 2019, 98, e17610. [Google Scholar] [CrossRef]
- Kano, M.; Furugane, R.; Hogetsu, K.; Yamada, Y.; Maniwa, J.; Kobayashi, T.; Hashizume, N.; Mori, T.; Watanabe, E.; Takahashi, M.; et al. Vaginal yolk sac tumor resected by a novel laparo/endoscope-assisted posterior sagittal approach: A case report. Surg. Case Rep. 2022, 8, 162. [Google Scholar] [CrossRef] [PubMed]
- Qin, J.; Wang, P.; Jing, T.; Kong, D.; Xia, D.; Wang, S. Extraperitoneal robot-assisted laparoscopic retroperitoneal lymph node dissection for early-stage testicular nonseminomatous germ cell tumors: A case report and literature review. Medicine 2017, 96, e8938. [Google Scholar] [CrossRef]
- Kesler, K.A.; Rieger, K.M.; Ganjoo, K.N.; Sharma, M.; Fineberg, N.S.; Einhorn, L.H.; Brown, J.W. Primary mediastinal nonseminomatous germ cell tumors: The influence of post chemotherapy pathology on long term survival after surgery. J. Thorac. Cardiovasc. Surg. 1999, 118, 692–701. [Google Scholar] [CrossRef] [PubMed]
- Huang, J.; Tan, Y.; Zhen, Z.; Lu, S.; Sun, F.; Zhu, J.; Wang, J.; Liao, R.; Sun, X. Role of post-chemotherapy radiation in the management of children and adolescents with primary advanced malignant mediastinal germ cell tumors. PLoS ONE 2017, 12, e0183219. [Google Scholar] [CrossRef] [PubMed]
- Duwe, B.V.; Sterman, D.H.; Musani, A.I. Tumors of the mediastinum. Chest 2005, 128, 2893–2909. [Google Scholar] [CrossRef]
- Wright, C.D.; Kesler, K.A. Surgical techniques and outcomes for primary nonseminomatous germ cell tumors. Chest Surg. Clin. N. Am. 2002, 12, 707–715. [Google Scholar] [CrossRef]
- Walsh, G.L.; Taylor, G.D.; Nesbitt, J.C.; Amato, R.J. Intensive chemotherapy and radical resections for primary nonseminomatous mediastinal germ cell tumors. Ann. Thorac. Surg. 2000, 69, 337–343. [Google Scholar] [CrossRef] [PubMed]
- Dabsha, A.; Elkharbotly, I.A.; Yaghmour, M.; Badr, A.; Badie, F.; Khairallah, S.; Esmail, Y.M.; Hossny, M.; Rizk, A.; El-Demiry, A.; et al. Survival difference among adult and pediatric mediastinal yolk sac tumors cases: A meta-analysis of case reports. Eur. J. Surg. Oncol. 2024, 50, 108019. [Google Scholar] [CrossRef] [PubMed]
- Ozgun, G.; Nappi, L. Primary Mediastinal Germ Cell Tumors: A Thorough Literature Review. Biomedicines 2023, 11, 487. [Google Scholar] [CrossRef] [PubMed]
- Tanaka, Y.; Okamura, T.; Nagai, T.; Kobayashi, D.; Kobayashi, T.; Akita, H.; Moritoki, Y.; Yasui, T. A Study of Patients with Primary Mediastinal Germ Cell Tumors Treated Using Multimodal Therapy. Adv. Urol. 2017, 2017, 1404610. [Google Scholar] [CrossRef]
- May, M.; Finkbeiner, Y.; Gunia, S.; Seehafer, M.; Knörig, J.; Hetzer, R. Metastasizing testicular germ-cell tumor with infiltration of the right heart: Indication for primary metastasectomy. Heart Vessels 2006, 21, 63–65. [Google Scholar] [CrossRef] [PubMed]





| Inclusion Criteria | Exclusion Criteria | |
|---|---|---|
| Patient | Patients with confirmed diagnosis of yolk-sac tumor | - |
| Intervention | Diagnostics, pharmacological or surgical treatment | - |
| Comparator | Control case or cases not required | - |
| Outcomes | Final diagnosis, successful treatment | - |
| Timeframe | Papers published since 1949 | - |
| Study design | Case report or case series | Articles in languages other than English |
Disclaimer/Publisher’s Note: The statements, opinions and data contained in all publications are solely those of the individual author(s) and contributor(s) and not of MDPI and/or the editor(s). MDPI and/or the editor(s) disclaim responsibility for any injury to people or property resulting from any ideas, methods, instructions or products referred to in the content. |
© 2024 by the authors. Licensee MDPI, Basel, Switzerland. This article is an open access article distributed under the terms and conditions of the Creative Commons Attribution (CC BY) license (https://creativecommons.org/licenses/by/4.0/).
Share and Cite
Wojtyś, M.E.; Kostopanagiotou, K.; Kordykiewicz, D.; Skórka, P.; Gkioulekas, A.P.; Guimarães Dourado, J.A.; Wójcik, J.; Tomos, P. Current Trends in the Surgical Management of Yolk Sac Tumors. Curr. Oncol. 2024, 31, 6898-6908. https://doi.org/10.3390/curroncol31110510
Wojtyś ME, Kostopanagiotou K, Kordykiewicz D, Skórka P, Gkioulekas AP, Guimarães Dourado JA, Wójcik J, Tomos P. Current Trends in the Surgical Management of Yolk Sac Tumors. Current Oncology. 2024; 31(11):6898-6908. https://doi.org/10.3390/curroncol31110510
Chicago/Turabian StyleWojtyś, Małgorzata Edyta, Konstantinos Kostopanagiotou, Dawid Kordykiewicz, Patryk Skórka, Alexandros Polykarpos Gkioulekas, Julia Augusta Guimarães Dourado, Janusz Wójcik, and Periklis Tomos. 2024. "Current Trends in the Surgical Management of Yolk Sac Tumors" Current Oncology 31, no. 11: 6898-6908. https://doi.org/10.3390/curroncol31110510
APA StyleWojtyś, M. E., Kostopanagiotou, K., Kordykiewicz, D., Skórka, P., Gkioulekas, A. P., Guimarães Dourado, J. A., Wójcik, J., & Tomos, P. (2024). Current Trends in the Surgical Management of Yolk Sac Tumors. Current Oncology, 31(11), 6898-6908. https://doi.org/10.3390/curroncol31110510

