Pregnancy in a Young Patient with Metastatic HER2-Positive Breast Cancer—Between Fear of Recurrence and Desire to Procreate
Abstract
1. Introduction
Psychological Implications of Breast Cancer Diagnosis
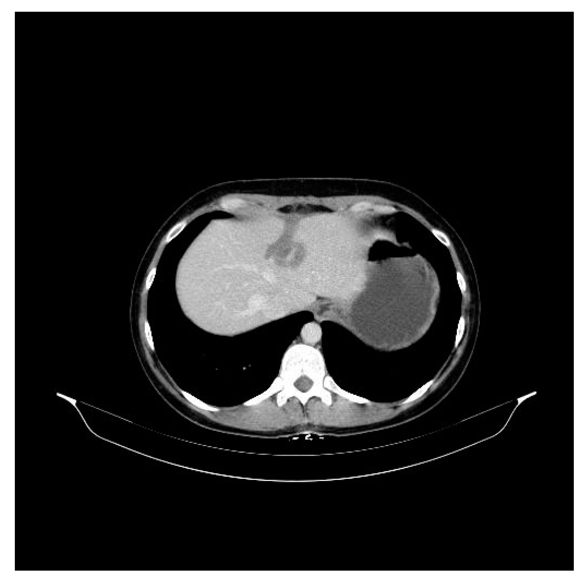
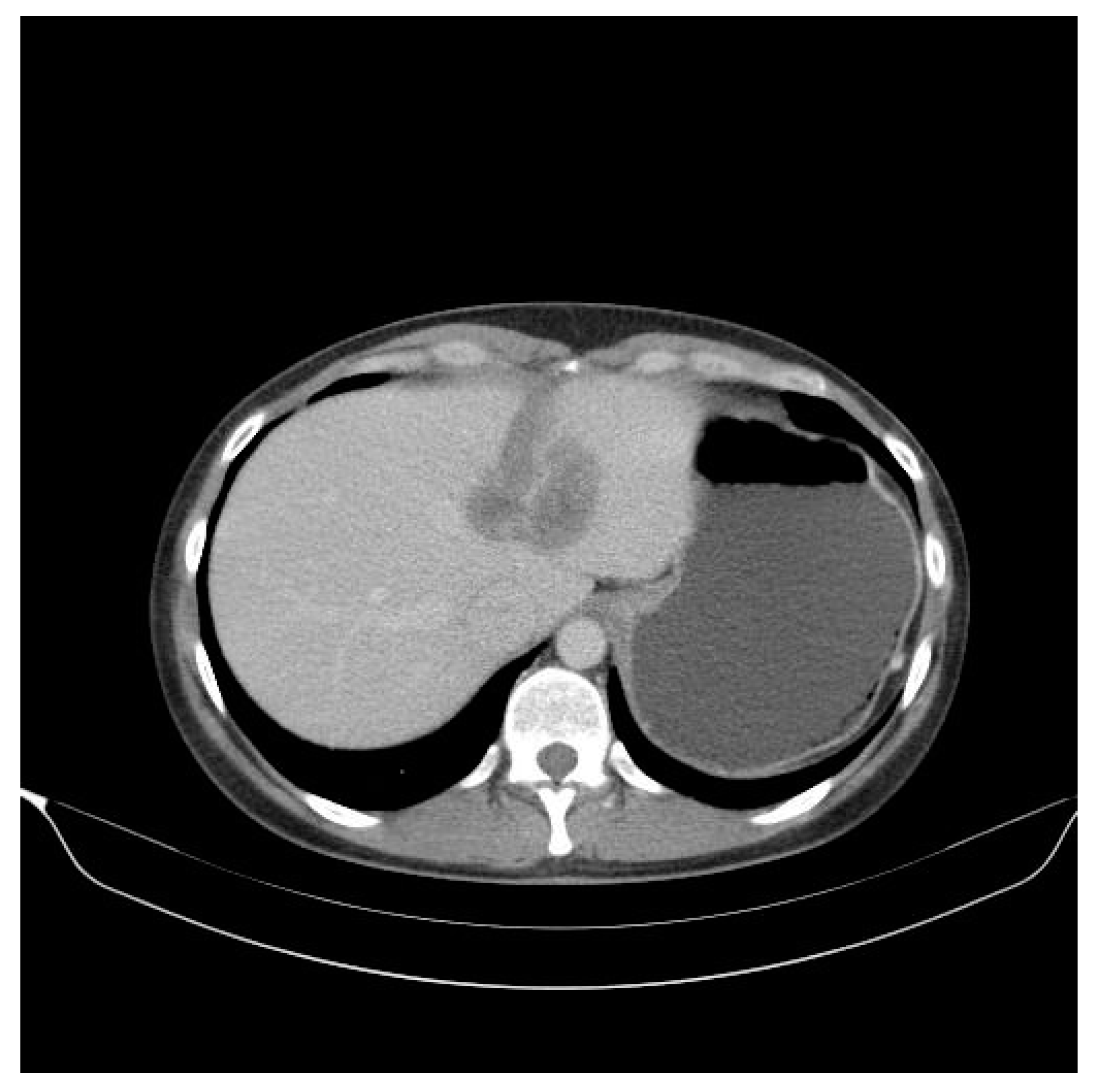
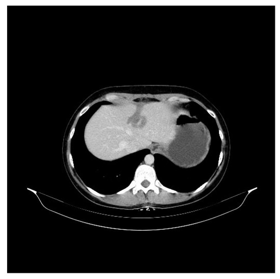
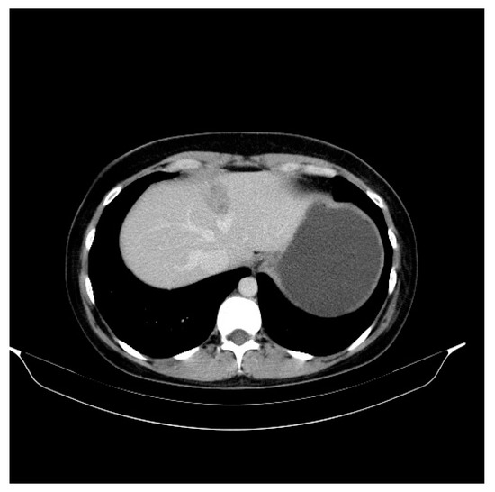
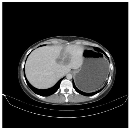
2. Case Presentation
3. Discussion
4. Conclusions
Author Contributions
Funding
Institutional Review Board Statement
Informed Consent Statement
Data Availability Statement
Conflicts of Interest
References
- Kelsey, J.L. Breast Cancer Epidemiology: Summary and Future Directions. Epidemiol. Rev. 1993, 15, 256–263. [Google Scholar] [CrossRef] [PubMed]
- Rosenberg, S.; Newman, L.; Partridge, A. Breast Cancer in Young Women. JAMA Oncol. 2015, 1, 877–878. [Google Scholar] [CrossRef] [PubMed]
- Merlo, D.F.; Wg, A.; Ceppi, M.; Filiberti, R.; Bocchini, V.; Znaor, A.; Gamulin, M.; Primic-Žakelj, M.; Bruzzi, P.; Bouchardy, C.; et al. Breast cancer incidence trends in European women aged 20–39 years at diagnosis. Breast Cancer Res. Treat. 2012, 134, 363–370. [Google Scholar] [CrossRef] [PubMed]
- Mathews, T.J. Delayed Childbearing: More Women Are Having Their First Child Later in Life. 2021. Available online: https://pubmed.ncbi.nlm.nih.gov/19674536/ (accessed on 21 October 2021).
- Peccatori, F.A.; Azim, J.H.A.; Orecchia, R.; Hoekstra, H.J.; Pavlidis, N.; Kesic, V.; Pentheroudakis, G. Cancer, pregnancy and fertility: ESMO Clinical Practice Guidelines for diagnosis, treatment and follow-up. Ann. Oncol. 2013, 24, vi160–vi170. [Google Scholar] [CrossRef] [PubMed]
- Loibl, S.; Schmidt, A.; Gentilini, O.; Kaufman, B.; Kuhl, C.; Denkert, C.; Von Minckwitz, G.; Parokonnaya, A.; Stensheim, H.; Thomssen, C.; et al. Breast Cancer Diagnosed During Pregnancy. JAMA Oncol. 2015, 1, 1145–1153. [Google Scholar] [CrossRef]
- Loibl, S.; Von Minckwitz, G.; Gwyn, K.; Ellis, P.; Blohmer, J.U.; Schlegelberger, B.; Keller, M.; Harder, S.; Theriault, R.L.; Crivellari, D.; et al. Breast carcinoma during pregnancy. Cancer 2006, 106, 237–246. [Google Scholar] [CrossRef]
- Anderson, J.M. Mammary cancers and pregnancy. BMJ 1979, 1, 1124–1127. [Google Scholar] [CrossRef]
- Navrozoglou, I.; Vrekoussis, T.; Kontostolis, E.; Dousias, V.; Zervoudis, S.; Stathopoulos, E.; Zoras, O.; Paraskevaidis, E. Breast cancer during pregnancy: A mini-review. Eur. J. Surg. Oncol. (EJSO) 2008, 34, 837–843. [Google Scholar] [CrossRef]
- Hartman, E.K.; Eslick, G.D. The prognosis of women diagnosed with breast cancer before, during and after pregnancy: A meta-analysis. Breast Cancer Res. Treat. 2016, 160, 347–360. [Google Scholar] [CrossRef]
- Alfasi, A.; Ben-Aharon, I. Breast Cancer during Pregnancy—Current Paradigms, Paths to Explore. Cancers 2019, 11, 1669. [Google Scholar] [CrossRef]
- Durrani, S.; Akbar, S.; Heena, H. Breast Cancer During Pregnancy. Cureus 2018, 10, e2941. [Google Scholar] [CrossRef] [PubMed]
- Fedro, A.P.; Matteo, L.; Giovanna, S.; Lino, D.P.; Giovanni, C.-P. Biology, staging, and treatment of breast cancer during pregnancy: Reassessing the evidences. Cancer Biol. Med. 2018, 15, 6. [Google Scholar] [CrossRef] [PubMed]
- Theriault, R.; Hahn, K. Management of breast cancer in pregnancy. Curr. Oncol. Rep. 2007, 9, 17–21. [Google Scholar] [CrossRef]
- Mir, O.; Berveiller, P.; Ropert, S.; Goffinet, F.; Pons, G.; Treluyer, J.-M.; Goldwasser, F. Emerging therapeutic options for breast cancer chemotherapy during pregnancy. Ann. Oncol. 2007, 19, 607–613. [Google Scholar] [CrossRef] [PubMed]
- Fanale, M.A.; Uyei, A.R.; Theriault, R.L.; Adam, K.; Thompson, R.A. Treatment of Metastatic Breast Cancer with Trastuzumab and Vinorelbine During Pregnancy. Clin. Breast Cancer 2005, 6, 354–356. [Google Scholar] [CrossRef]
- Nave, O.; Elbaz, M.; Bunimovich-Mendrazitsky, S. Analysis of a breast cancer mathematical model by a new method to find an optimal protocol for HER2-positive cancer. Biosystems 2020, 197, 104191. [Google Scholar] [CrossRef]
- Bickell, N.A.; Lepar, F.; Wang, J.J.; Leventhal, H. Lost Opportunities: Physicians’ Reasons and Disparities in Breast Cancer Treatment. J. Clin. Oncol. 2007, 25, 2516–2521. [Google Scholar] [CrossRef]
- Coyne, E.; Borbasi, S.A. Living the experience of breast cancer treatment: The younger women’s perspective. Aust. J. Adv. Nurs. 2009, 26, 6–13. [Google Scholar]
- Miranda, C.; De Resende, C.; Melo, C.; Costa, A.; Friedman, H. Depression before and after uterine cervix and breast cancer neoadjuvant chemotherapy. Int. J. Gynecol. Cancer 2002, 12, 773–776. [Google Scholar] [CrossRef]
- Zabin, L.; Huggins, G.; Emerson, M.; Cullins, V. Partner Effects on a Woman’s Intention to Conceive: ‘Not with This Partner’. Fam. Plan. Perspect. 2000, 32, 39. [Google Scholar] [CrossRef]
- Wesley, Y.; Scoloveno, M. Perception of self, motherhood and gender attitudes among black women. In Gender Roles; Lee, J.W., Ed.; Nova Science Publishers Inc.: Hauppauge, NY, USA, 2005; pp. 33–51. [Google Scholar]
- Braun, M.; Hasson-Ohayon, I.; Perry, S.; Kaufman, B.; Uziely, B. Motivation for giving birth after breast cancer. Psycho-Oncol. 2005, 14, 282–296. [Google Scholar] [CrossRef] [PubMed]
- Siegel, K.; Gluhoski, V.; Gorey, E. Age-Related Distress Among Young Women with Breast Cancer. J. Psychosoc. Oncol. 1999, 17, 1–20. [Google Scholar] [CrossRef]
- Northouse, L. The impact of breast cancer on patients and husbands. Cancer Nurs. 1989, 12, 278–284. [Google Scholar] [CrossRef]
- Burotto, M.; Gormaz, J.G.; Samtani, S.; Valls, N.; Silva, R.; Rojas, C.; Portiño, S.; de la Jara, C. Viable Pregnancy in a patient with metastatic melanoma treated with double checkpoint immunotherapy. Semin. Oncol. 2018, 45, 164–169. [Google Scholar] [CrossRef] [PubMed]
- Jha, S.; Chan, K.; Poole, C.J.; Rollason, T. Pregnancy following recurrent angiosarcoma of the ovary—A case report and review of literature. Gynecol. Oncol. 2005, 97, 935–937. [Google Scholar] [CrossRef] [PubMed]
- Sathi, B.K.; Khurana, M.; Gruner, B. Recurrent metastatic high-grade osteosarcoma: Disease stabilization and successful pregnancy outcome following aggressive multimodality treatment. Indian J. Med. Paediatr. Oncol. 2018, 39, 530–532. [Google Scholar] [CrossRef]
- Shao, C.; Yu, Z.; Xiao, J.; Liu, L.; Hong, F.; Zhang, Y.; Jia, H. Prognosis of pregnancy-associated breast cancer: A meta-analysis. BMC Cancer 2020, 20, 746. [Google Scholar] [CrossRef]
- Iqbal, J.; Amir, E.; Rochon, P.; Giannakeas, V.; Sun, P.; Narod, S.A. Association of the Timing of Pregnancy with Survival in Women with Breast Cancer. JAMA Oncol. 2017, 3, 659–665. [Google Scholar] [CrossRef]
- Ploquin, A.; Pistilli, B.; Tresch, E.; Frenel, J.; Lerebours, F.; Lesur, A.; Loustalot, C.; Bachelot, T.; Provansal, M.; Ferrero, J.; et al. 5-year overall survival after early breast cancer diagnosed during pregnancy: A retrospective case-control multicentre French study. Eur. J. Cancer 2018, 95, 30–37. [Google Scholar] [CrossRef]
- Boudy, A.-S.; Naoura, I.; Selleret, L.; Zilberman, S.; Gligorov, J.; Richard, S.; Thomassin-Naggara, I.; Chabbert-Buffet, N.; Ballester, M.; Bendifallah, S.; et al. Propensity score to evaluate prognosis in pregnancy-associated breast cancer: Analysis from a French cancer network. Breast 2018, 40, 10–15. [Google Scholar] [CrossRef]
- Choi, M.; Han, J.; Yang, B.R.; Jang, M.-J.; Kim, M.; Kim, T.-Y.; Im, S.-A.; Lee, H.-B.; Moon, H.-G.; Han, W.; et al. Prognostic Impact of Pregnancy in Korean Patients with Breast Cancer. Oncologist 2019, 24, e1268–e1276. [Google Scholar] [CrossRef] [PubMed]
- Rodriguez, A.O.; Chew, H.; Cress, R.; Xing, G.; McElvy, S.; Danielsen, B.; Smith, L. Evidence of Poorer Survival in Pregnancy-Associated Breast Cancer. Obstet. Gynecol. 2008, 112, 71–78. [Google Scholar] [CrossRef] [PubMed]
- Litton, J.K.; Warneke, C.L.; Hahn, K.M.; Palla, S.L.; Kuerer, H.M.; Perkins, G.H.; Mittendorf, E.A.; Barnett, C.; Gonzalez-Angulo, A.M.; Hortobágyi, G.N.; et al. Case Control Study of Women Treated with Chemotherapy for Breast Cancer During Pregnancy as Compared with Nonpregnant Patients with Breast Cancer. Oncologist 2013, 18, 369–376. [Google Scholar] [CrossRef] [PubMed]
- Amant, F.; Von Minckwitz, G.; Han, S.; Bontenbal, M.; Ring, A.E.; Giermek, J.; Wildiers, H.; Fehm, T.; Linn, S.C.; Schlehe, B.; et al. Prognosis of Women with Primary Breast Cancer Diagnosed During Pregnancy: Results From an International Collaborative Study. J. Clin. Oncol. 2013, 31, 2532–2539. [Google Scholar] [CrossRef]
- Cardonick, E.; Dougherty, R.; Grana, G.; Gilmandyar, D.; Ghaffar, S.; Usmani, A. Breast Cancer During Pregnancy. Cancer J. 2010, 16, 76–82. [Google Scholar] [CrossRef]
- Smith, W.; Smith, K. Aggressive Metastatic Breast Cancer to the Placenta Causing Placental Abruption. Rem. Publ. LLC 2019, 3, 1109. [Google Scholar]
- Vetter, G.; Zimmermann, F.; Bruder, E.; Schulzke, S.; Hösli, I.; Vetter, M. Aggressive Breast Cancer during Pregnancy with a Rare Form of Metastasis in the Maternal Placenta. Geburtshilfe Frauenheilkd. 2014, 74, 579–582. [Google Scholar] [CrossRef]
- Potter, J.F.; Schoeneman, M. Metastasis of maternal cancer to the placenta and fetus. Cancer 1970, 25, 380–388. [Google Scholar] [CrossRef]
- Harvey, P.; Moorey, S.; Greer, S. Cognitive Behaviour Therapy for People with Cancer; Oxford University Press: Oxford, UK, 2002; 220p, ISBN 0198508662. [Google Scholar]
- Averette, H.E.; Mirhashemi, R.; Moffat, F.L. Pregnancy after breast carcinoma. Cancer 1999, 85, 2301–2304. [Google Scholar] [CrossRef]
- Lambertini, M.; Viglietti, G. Pregnancies in young women with diagnosis and treatment of HER2-positive breast cancer. Oncotarget 2019, 10, 803–804. [Google Scholar] [CrossRef]




Disclaimer/Publisher’s Note: The statements, opinions and data contained in all publications are solely those of the individual author(s) and contributor(s) and not of MDPI and/or the editor(s). MDPI and/or the editor(s) disclaim responsibility for any injury to people or property resulting from any ideas, methods, instructions or products referred to in the content. |
© 2023 by the authors. Licensee MDPI, Basel, Switzerland. This article is an open access article distributed under the terms and conditions of the Creative Commons Attribution (CC BY) license (https://creativecommons.org/licenses/by/4.0/).
Share and Cite
Oprean, C.M.; Ciocoiu, A.D.; Segarceanu, N.A.; Moldoveanu, D.; Stan, A.; Hoinoiu, T.; Chiorean-Cojocaru, I.; Grujic, D.; Stefanut, A.; Pit, D.; et al. Pregnancy in a Young Patient with Metastatic HER2-Positive Breast Cancer—Between Fear of Recurrence and Desire to Procreate. Curr. Oncol. 2023, 30, 4833-4843. https://doi.org/10.3390/curroncol30050364
Oprean CM, Ciocoiu AD, Segarceanu NA, Moldoveanu D, Stan A, Hoinoiu T, Chiorean-Cojocaru I, Grujic D, Stefanut A, Pit D, et al. Pregnancy in a Young Patient with Metastatic HER2-Positive Breast Cancer—Between Fear of Recurrence and Desire to Procreate. Current Oncology. 2023; 30(5):4833-4843. https://doi.org/10.3390/curroncol30050364
Chicago/Turabian StyleOprean, Cristina Marinela, Andrei Dorin Ciocoiu, Nusa Alina Segarceanu, Diana Moldoveanu, Alexandra Stan, Teodora Hoinoiu, Ioana Chiorean-Cojocaru, Daciana Grujic, Adelina Stefanut, Daniel Pit, and et al. 2023. "Pregnancy in a Young Patient with Metastatic HER2-Positive Breast Cancer—Between Fear of Recurrence and Desire to Procreate" Current Oncology 30, no. 5: 4833-4843. https://doi.org/10.3390/curroncol30050364
APA StyleOprean, C. M., Ciocoiu, A. D., Segarceanu, N. A., Moldoveanu, D., Stan, A., Hoinoiu, T., Chiorean-Cojocaru, I., Grujic, D., Stefanut, A., Pit, D., & Dema, A. (2023). Pregnancy in a Young Patient with Metastatic HER2-Positive Breast Cancer—Between Fear of Recurrence and Desire to Procreate. Current Oncology, 30(5), 4833-4843. https://doi.org/10.3390/curroncol30050364

