Immune-Checkpoint Induced Skin Toxicity Masked as Squamous Cell Carcinoma: Case Report on Mimickers of Dermatological Toxicity with PD-1 Inhibition
Abstract
1. Introduction
2. Case Presentations
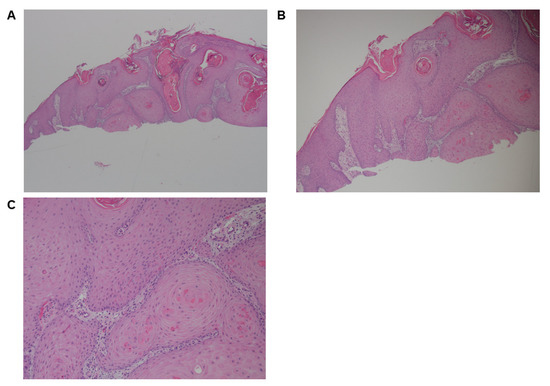
2.1. Case 1
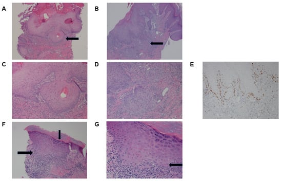
2.2. Case 2
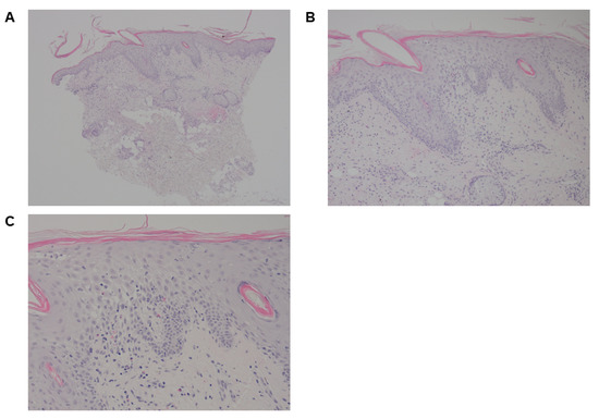
3. Discussion
Author Contributions
Funding
Institutional Review Board Statement
Informed Consent Statement
Data Availability Statement
Conflicts of Interest
References
- El Osta, B.; Hu, F.; Sadek, R.; Chintalapally, R.; Tang, S.C. Not All Immune-Checkpoint Inhibitors Are Created Equal: Meta-Analysis and Systematic Review of Immune-Related Adverse Events in Cancer Trials. Crit. Rev. Oncol. Hematol. 2017, 119, 1–12. [Google Scholar] [CrossRef] [PubMed]
- Xing, P.; Zhang, F.; Wang, G.; Xu, Y.; Li, C.; Wang, S.; Guo, Y.; Cai, S.; Wang, Y.; Li, J. Incidence Rates of Immune-Related Adverse Events and Their Correlation with Response in Advanced Solid Tumours Treated with NIVO or NIVO+IPI: A Systematic Review and Meta-Analysis. J. Immunother. Cancer 2019, 7, 341. [Google Scholar] [CrossRef] [PubMed]
- Villadolid, J.; Amin, A. Immune Checkpoint Inhibitors in Clinical Practice: Update on Management of Immune-Related Toxicities. Transl. Lung Cancer Res. 2015, 4, 560. [Google Scholar] [CrossRef] [PubMed]
- Sibaud, V. Dermatologic Reactions to Immune Checkpoint Inhibitors: Skin Toxicities and Immunotherapy. Am. J. Clin. Derm. 2018, 19, 345–361. [Google Scholar] [CrossRef] [PubMed]
- Coscarart, A.; Martel, J.; Lee, M.P.; Wang, A.R. Pembrolizumab-Induced Pseudoepitheliomatous Eruption Consistent with Hypertrophic Lichen Planus. J. Cutan. Pathol. 2020, 47, 275–279. [Google Scholar] [CrossRef]
- Sethi, A.; Raj, M. Pembrolizumab-Induced Lichenoid Dermatitis in a Patient With Metastatic Cancer of Unknown Primary. Cureus 2021, 13. [Google Scholar] [CrossRef]
- Fixsen, E.; Patel, J.; Selim, M.A.; Kheterpal, M. Resolution of Pembrolizumab-Associated Steroid-Refractory Lichenoid Dermatitis with Cyclosporine. Oncologist 2019, 24, e103. [Google Scholar] [CrossRef]
- Naidoo, J.; Schindler, K.; Querfeld, C.; Busam, K.; Cunningham, J.; Page, D.B.; Postow, M.A.; Weinstein, A.; Lucas, A.S.; Ciccolini, K.T.; et al. Autoimmune Bullous Skin Disorders with Immune Checkpoint Inhibitors Targeting PD-1 and PD-L1. Cancer Immunol. Res. 2016, 4, 383. [Google Scholar] [CrossRef]
- Salati, M.; Pifferi, M.; Baldessari, C.; Bertolini, F.; Tomasello, C.; Cascinu, S.; Barbieri, F. Stevens–Johnson Syndrome during Nivolumab Treatment of NSCLC. Ann. Oncol. 2018, 29, 283–284. [Google Scholar] [CrossRef]
- Mirza, S.; Hill, E.; Ludlow, S.; Nanjappa, S. Checkpoint Inhibitor-Associated Drug Reaction with Eosinophilia and Systemic Symptom Syndrome. Melanoma Res. 2017, 27, 271–273. [Google Scholar] [CrossRef]
- Lu, J.; Thuraisingam, T.; Chergui, M.; Nguyen, K. Nivolumab-Associated DRESS Syndrome: A Case Report. JAAD Case Rep. 2019, 5, 216. [Google Scholar] [CrossRef] [PubMed]
- Nguyen, R.; Murray, B.; Mccormack, C. Case-Based Review Hypertrophic Lichen Planus: Masquerading as Squamous Cell Carcinoma. Clin. Dermatol. 2014, 2, 136–139. [Google Scholar]
- Levandoski, K.A.; Nazarian, R.M.; Asgari, M.M. Hypertrophic Lichen Planus Mimicking Squamous Cell Carcinoma: The Importance of Clinicopathologic Correlation. JAAD Case Rep. 2017, 3, 151. [Google Scholar] [CrossRef]
- Ameri, A.H.; Foreman, R.K.; Vedak, P.; Chen, S.; Miller, D.M.; Demehri, S. Hypertrophic Lichen Planus with Histological Features of Squamous Cell Carcinoma Associated with Immune Checkpoint Blockade Therapy. Oncologist 2020, 25, 366. [Google Scholar] [CrossRef] [PubMed]
- Fontecilla, N.M.; Kittler, N.W.; Lopez, A.; Yang, C.; Geskin, L. Programmed Cell Death Protein-1 Inhibitor–Induced Granuloma Annulare and Hypertrophic Lichen Planus Masquerading as Squamous Cell Carcinoma. JAAD Case Rep. 2018, 4, 636. [Google Scholar] [CrossRef]
- Shi, V.J.; Rodic, N.; Gettinger, S.; Leventhal, J.S.; Neckman, J.P.; Girardi, M.; Bosenberg, M.; Choi, J.N. Clinical and Histologic Features of Lichenoid Mucocutaneous Eruptions Due to Anti–Programmed Cell Death 1 and Anti–Programmed Cell Death Ligand 1 Immunotherapy. JAMA Derm. 2016, 152, 1128. [Google Scholar] [CrossRef]
- Keir, M.E.; Butte, M.J.; Freeman, G.J.; Sharpe, A.H. PD-1 and Its Ligands in Tolerance and Immunity. Annu. Rev. Immunol. 2008, 26, 677–704. [Google Scholar] [CrossRef] [PubMed]
- Cortazar, F.B.; Kibbelaar, Z.A.; Glezerman, I.G.; Abudayyeh, A.; Mamlouk, O.; Motwani, S.S.; Murakami, N.; Herrmann, S.M.; Manohar, S.; Shirali, A.C.; et al. Clinical Features and Outcomes of Immune Checkpoint Inhibitor–Associated AKI: A Multicenter Study. J. Am. Soc. Nephrol. 2020, 31, 435–446. [Google Scholar] [CrossRef]
- Maarouf, M.; Alexander, C.; Shi, V.Y. Nivolumab Reactivation of Hypertrophic Lichen Planus, a Case Report and Review of Published Literature. Derm. Online J. 2018, 24. [Google Scholar] [CrossRef]
- Kunimasa, K.; Isei, T.; Nakamura, H.; Kimura, M.; Inoue, T.; Tamiya, M.; Nishino, K.; Kumagai, T.; Nakatsuka, S.; Endo, H.; et al. Proliferative CD8(+) PD-1(+) T-Cell Infiltration in a Pembrolizumab-Induced Cutaneous Adverse Reaction. Investig. New Drugs 2018, 36, 1138–1142. [Google Scholar] [CrossRef]
- Mayba, J.N.; Gooderham, M.J. A Guide to Topical Vehicle Formulations. J. Cutan. Med. Surg. 2018, 22, 207–212. [Google Scholar] [CrossRef] [PubMed]
- Stacey, S.K.; McEleney, M. Topical Corticosteroids: Choice and Application. Am. Fam. Physician 2021, 103, 337–343. [Google Scholar] [PubMed]
- Haanen, J.B.A.G.; Carbonnel, F.; Robert, C.; Kerr, K.M.; Peters, S.; Larkin, J.; Jordan, K. Management of Toxicities from Immunotherapy: ESMO Clinical Practice Guidelines for Diagnosis, Treatment and Follow-Up. Ann. Oncol. 2017, 28, iv119–iv142. [Google Scholar] [CrossRef]
- Schneider, B.J.; Naidoo, J.; Santomasso, B.D.; Lacchetti, C.; Adkins, S.; Anadkat, M.; Atkins, M.B.; Brassil, K.J.; Caterino, J.M.; Chau, I.; et al. Management of Immune-Related Adverse Events in Patients Treated with Immune Checkpoint Inhibitor Therapy: ASCO Guideline Update. J. Clin. Oncol. 2021, 39, 4073–4126. [Google Scholar] [CrossRef]
- Brahmer, J.R.; Abu-Sbeih, H.; Ascierto, P.A.; Brufsky, J.; Cappelli, L.C.; Cortazar, F.B.; Gerber, D.E.; Hamad, L.; Hansen, E.; Johnson, D.B.; et al. Society for Immunotherapy of Cancer (SITC) Clinical Practice Guideline on Immune Checkpoint Inhibitor-Related Adverse Events. J. Immunother. Cancer 2021, 9, e002435. [Google Scholar] [CrossRef] [PubMed]
- Lee, M.; Seetharamu, N. An Atypical Presentation of Lichen Planus-Like Reaction from Pembrolizumab. Case Rep. Derm. Med. 2019. [Google Scholar] [CrossRef]
- Choi, S.; Zhou, M.; Bahrani, E.; Martin, B.A.; Ganjoo, K.N.; Zaba, L.C. Rare and Fatal Complication of Immune Checkpoint Inhibition: A Case Report of Haemophagocytic Lymphohistiocytosis with Severe Lichenoid Dermatitis. Br. J. Haematol. 2021, 193, e44–e47. [Google Scholar] [CrossRef]
- Coleman, E.; Ko, C.; Dai, F.; Tomayko, M.M.; Kluger, H.; Leventhal, J.S. Inflammatory Eruptions Associated with Immune Checkpoint Inhibitor Therapy: A Single-Institutional, Retrospective Analysis with Stratification of Reactions by Toxicity and Implications for Management. J. Am. Acad. Derm. 2019, 80, 990. [Google Scholar] [CrossRef]
- Nadelmann, E.R.; Yeh, J.E.; Chen, S.T. Management of Cutaneous Immune-Related Adverse Events in Patients With Cancer Treated With Immune Checkpoint Inhibitors: A Systematic Review. JAMA Oncol. 2021, 8, 130–138. [Google Scholar] [CrossRef]
- Donaldson, M.; Owen, J.L.; Chae, Y.K.; Choi, J.N. Management of Persistent Pruritus and Lichenoid Reaction Secondary to Nivolumab With Narrowband Ultraviolet B Phototherapy. Front. Oncol. 2018, 8, 405. [Google Scholar] [CrossRef]
- Wu, C.-E.; Yang, C.-K.; Peng, M.-T.; Huang, P.-W.; Chang, C.-F.; Yeh, K.-Y.; Chen, C.-B.; Wang, C.-L.; Hsu, C.-W.; Chen, I.-W.; et al. The Association between Immune-Related Adverse Events and Survival Outcomes in Asian Patients with Advanced Melanoma Receiving Anti-PD-1 Antibodies. BMC Cancer 2020, 20, 1–12. [Google Scholar] [CrossRef] [PubMed]
- Gulati, N.; Donnelly, D.; Qian, Y.; Moran, U.; Johannet, P.; Zhong, J.; Osman, I. Revisiting the Association between Skin Toxicity and Better Response in Advanced Cancer Patients Treated with Immune Checkpoint Inhibitors. J. Transl. Med. 2020, 18, 1–6. [Google Scholar] [CrossRef]
- Chan, L.; Hwang, S.J.E.; Byth, K.; Kyaw, M.; Carlino, M.S.; Chou, S.; Fernandez-Penas, P. Survival and Prognosis of Individuals Receiving Programmed Cell Death 1 Inhibitor with and without Immunologic Cutaneous Adverse Events. J. Am. Acad. Derm. 2020, 82, 311–316. [Google Scholar] [CrossRef]
- Shankar, B.; Zhang, J.; Naqash, A.R.; Forde, P.M.; Feliciano, J.L.; Marrone, K.A.; Ettinger, D.S.; Hann, C.L.; Brahmer, J.R.; Ricciuti, B.; et al. Multisystem Immune-Related Adverse Events Associated With Immune Checkpoint Inhibitors for Treatment of Non–Small Cell Lung Cancer. JAMA Oncol. 2020, 6, 1952–1956. [Google Scholar] [CrossRef] [PubMed]
- Myrdal, C.N.; Sundararajan, S.; Curiel-Lewandrowski, C. Widespread Hypertrophic Lichen Planus Following Programmed Cell Death Ligand 1 Blockade. Case Rep. Derm. 2020, 12, 119–123. [Google Scholar] [CrossRef]
- Chen, C.H.; Yu, H.S.; Yu, S. Cutaneous Adverse Events Associated with Immune Checkpoint Inhibitors: A Review Article. Curr. Oncol. 2022, 29, 2871–2886. [Google Scholar] [CrossRef]
- Lynch, J.M. Understanding Pseudoepitheliomatous Hyperplasia. Pathol. Case Rev. 2004, 9, 36–45. [Google Scholar] [CrossRef]





Disclaimer/Publisher’s Note: The statements, opinions and data contained in all publications are solely those of the individual author(s) and contributor(s) and not of MDPI and/or the editor(s). MDPI and/or the editor(s) disclaim responsibility for any injury to people or property resulting from any ideas, methods, instructions or products referred to in the content. |
© 2023 by the authors. Licensee MDPI, Basel, Switzerland. This article is an open access article distributed under the terms and conditions of the Creative Commons Attribution (CC BY) license (https://creativecommons.org/licenses/by/4.0/).
Share and Cite
Chan, S.W.S.; Shukla, R.; Ramsay, J.; McWhirter, E.; Barnfield, P.; Juergens, R.A. Immune-Checkpoint Induced Skin Toxicity Masked as Squamous Cell Carcinoma: Case Report on Mimickers of Dermatological Toxicity with PD-1 Inhibition. Curr. Oncol. 2023, 30, 4527-4537. https://doi.org/10.3390/curroncol30050342
Chan SWS, Shukla R, Ramsay J, McWhirter E, Barnfield P, Juergens RA. Immune-Checkpoint Induced Skin Toxicity Masked as Squamous Cell Carcinoma: Case Report on Mimickers of Dermatological Toxicity with PD-1 Inhibition. Current Oncology. 2023; 30(5):4527-4537. https://doi.org/10.3390/curroncol30050342
Chicago/Turabian StyleChan, Sze Wah Samuel, Rahul Shukla, Jennifer Ramsay, Elaine McWhirter, Paul Barnfield, and Rosalyn A. Juergens. 2023. "Immune-Checkpoint Induced Skin Toxicity Masked as Squamous Cell Carcinoma: Case Report on Mimickers of Dermatological Toxicity with PD-1 Inhibition" Current Oncology 30, no. 5: 4527-4537. https://doi.org/10.3390/curroncol30050342
APA StyleChan, S. W. S., Shukla, R., Ramsay, J., McWhirter, E., Barnfield, P., & Juergens, R. A. (2023). Immune-Checkpoint Induced Skin Toxicity Masked as Squamous Cell Carcinoma: Case Report on Mimickers of Dermatological Toxicity with PD-1 Inhibition. Current Oncology, 30(5), 4527-4537. https://doi.org/10.3390/curroncol30050342
