Percutaneous CT-Guided Microwave Ablation Combined with Pedicle Screw Fixation Followed by Vertebroplasty (MASFVA): Initial Experience of a Minimally Invasive Treatment of Vertebral Metastases with Extension to the Vertebral Pedicle
Abstract
1. Introduction
2. Materials and Methods
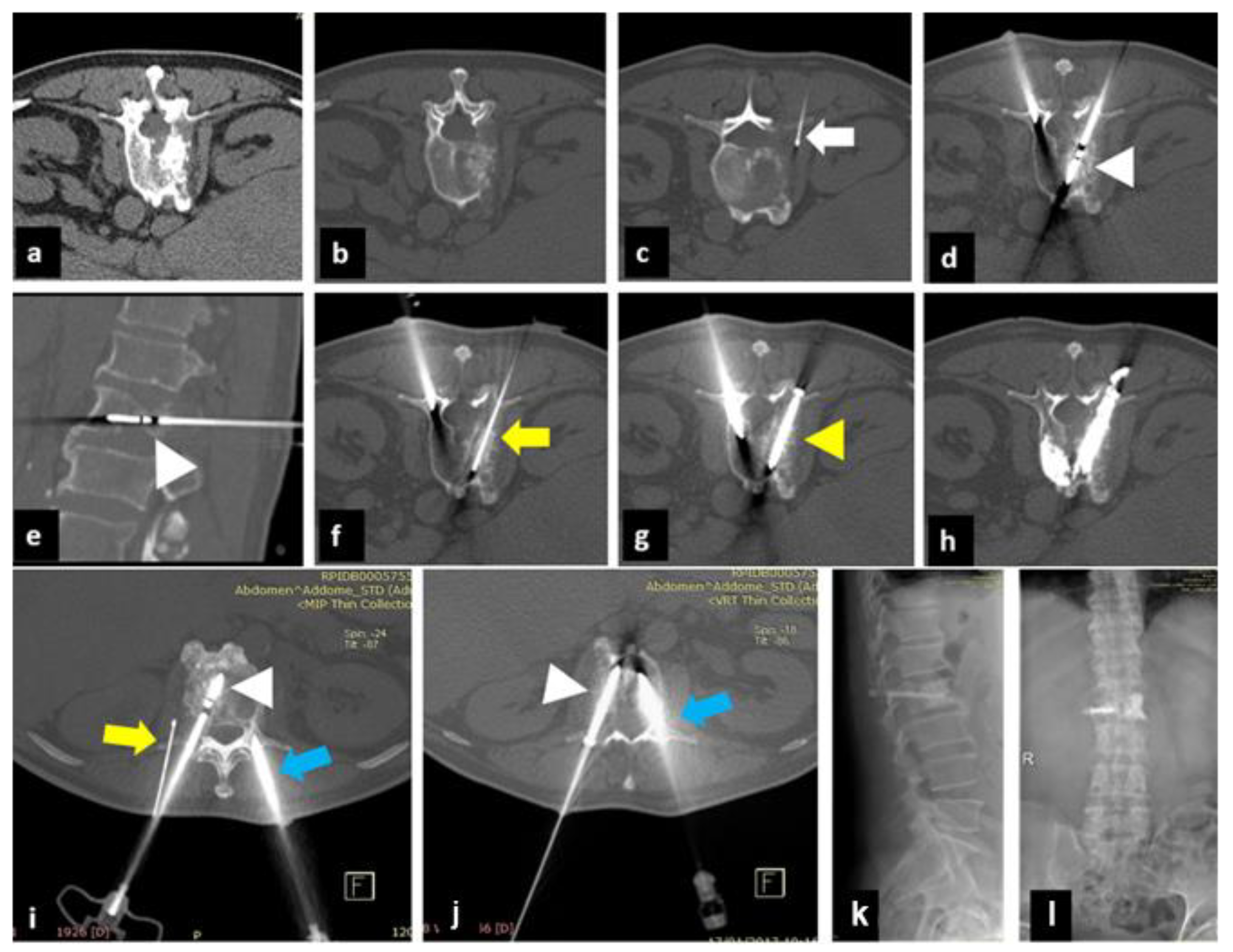
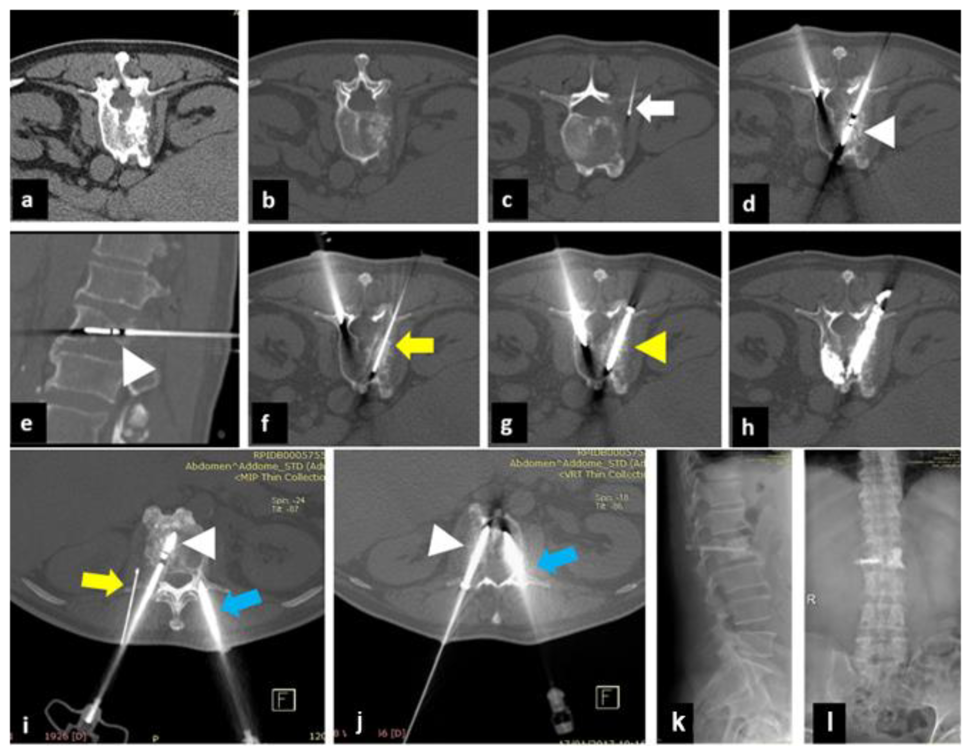
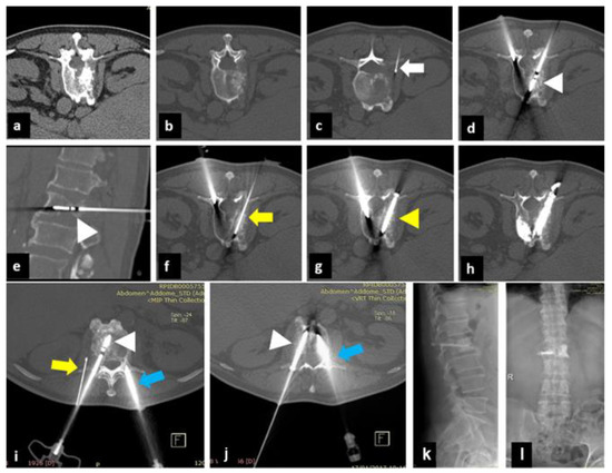
2.1. Treatment Technique
2.2. Statistical Analysis
3. Results
4. Discussion
5. Conclusions
Author Contributions
Funding
Institutional Review Board Statement
Informed Consent Statement
Data Availability Statement
Conflicts of Interest
References
- Janjan, N. Bone metastases: Approaches to management. Semin. Oncol. 2001, 28, 28–34. [Google Scholar] [CrossRef] [PubMed]
- Hinojosa-Gonzalez, D.E.; Roblesgil-Medrano, A.; Villarreal-Espinosa, J.B.; Tellez-Garcia, E.; Bueno-Gutierrez, L.C.; Rodriguez-Barreda, J.R.; Flores-Villalba, E.; Martinez, H.R.; Benvenutti-Regato, M.; Figueroa-Sanchez, J.A. Minimally Invasive versus Open Surgery for Spinal Metastasis: A Systematic Review and Meta-Analysis. Asian Spine J. 2021, 16, 583–597. [Google Scholar] [CrossRef] [PubMed]
- Tsoumakidou, G.; Too, C.W.; Koch, G.; Caudrelier, J.; Cazzato, R.L.; Garnon, J.; Gangi, A. CIRSE Guidelines on Percutaneous Vertebral Augmentation. Cardiovasc. Intervent. Radiol. 2017, 40, 331–342. [Google Scholar] [CrossRef] [PubMed]
- Gangi, A.; Kastler, B.; Klinkert, A.; Dietemann, J.L. Injection of alcohol into bone metastases under CT guidance. J. Comput. Assist. Tomogr. 1994, 18, 932–935. [Google Scholar] [CrossRef] [PubMed]
- Cotten, A.; Demondion, X.; Boutry, N.; Cortet, B.; Chastanet, P.; Duquesnoy, B.; Leblond, D. Therapeutic percutaneous injections in the treatment of malignant acetabular osteolyses. Radiographics 1999, 19, 647–653. [Google Scholar] [CrossRef] [PubMed]
- Gangi, A.; Gasser, B.; De Unamuno, S.; Fogarrassy, E.; Fuchs, C.; Siffert, P.; Dietemann, J.L.; Roy, C. New trends in interstitial laser photocoagulation of bones. Semin. Musculoskelet. Radiol. 1997, 1, 331–338. [Google Scholar] [CrossRef]
- Gröenemeyer, D.H.; Schirp, S.; Gevargez, A. Image-guided percutaneous thermal ablation of bone tumors. Acad. Radiol. 2002, 9, 467–477. [Google Scholar] [CrossRef]
- Cooper, I. Cryogenic surgery: A new method of destruction or extirpation of benign or malignant tissues. N. Engl. J. Med. 1963, 268, 743–749. [Google Scholar] [CrossRef]
- Sewell, P.; Jackson, M.; Dhillon, G. Percutaneous MRI guided cryosurgery of bone tumors. Radiology 2002, 225, 514. [Google Scholar]
- Callstrom, M.R.; Atwell, T.D.; Charboneau, J.W.; Farrell, M.A.; Goetz, M.P.; Rubin, J.; Sloan, J.A.; Novotny, P.J.; Welch, T.J.; Maus, T.P.; et al. Painful metastases involving bone: Percutaneous image-guided cryoablation-prospective trial interim analysis. Radiology 2006, 241, 572–580. [Google Scholar] [CrossRef]
- Goetz, M.P.; Callstrom, M.R.; Charboneau, J.W.; Farrell, M.A.; Maus, T.P.; Welch, T.J.; Wong, G.Y.; Sloan, J.A.; Novotny, P.J.; Petersen, I.A.; et al. Percutaneous image-guided radiofrequency ablation of painful metastases involving bone: A multicenter study. J. Clin. Oncol. 2004, 22, 300–306. [Google Scholar] [CrossRef] [PubMed]
- Posteraro, A.F.; Dupuy, D.E.; Mayo-Smith, W.W. Radiofrequency ablation of bony metastatic disease. Clin. Radiol. 2004, 59, 803–811. [Google Scholar] [CrossRef] [PubMed]
- Pusceddu, C.; Sotgia, B.; Fele, R.M.; Melis, L. Treatment of bone metastases with microwave thermal ablation. J. Vasc. Interv. Radiol. 2013, 24, 229–233. [Google Scholar] [CrossRef] [PubMed]
- Buy, X.; Tok, C.H.; Szwarc, D.; Bierry, G.; Gangi, A. Thermal protection during percutaneous thermal ablation procedures: Interest of carbon dioxide dissection and temperature monitoring. Cardiovasc. Interv. Radiol. 2009, 32, 529–534. [Google Scholar] [CrossRef] [PubMed]
- Harel, R.; Angelov, L. Spine metastases: Current treatments and future directions. Eur. J. Cancer 2010, 46, 2696–2707. [Google Scholar] [CrossRef]
- Correia, D.; Moullet, B.; Cullmann, J.; Heiss, R.; Ermiş, E.; Aebersold, D.M.; Hemmatazad, H. Response assessment after stereotactic body radiation therapy for spine and non-spine bone metastases: Results from a single institutional study. Radiat. Oncol. 2022, 17, 37. [Google Scholar] [CrossRef]
- Kirkpatrick, J.P.; van der Kogel, A.J.; Schultheiss, T.E. Radiation dose-volume effects in the spinal cord. Int. J. Radiat. Oncol. Biol. Phys. 2010, 76 (Suppl. S3), S42–S49. [Google Scholar] [CrossRef] [PubMed]
- Pusceddu, C.; De Francesco, D.; Ballicu, N.; Santucci, D.; Marsico, S.; Venturini, M.; Fior, D.; Moramarco, L.P.; Faiella, E. Safety and Feasibility of Steerable Radiofrequency Ablation in Combination with Cementoplasty for the Treatment of Large Extraspinal Bone Metastases. Curr. Oncol. 2022, 29, 5891–5900. [Google Scholar] [CrossRef]
- Sagoo, N.S.; Haider, A.S.; Rowe, S.E.; Haider, M.; Sharma, R.; Neeley, O.J.; Dahdaleh, N.S.; Adogwa, O.; Bagley, C.A.; El Ahmadieh, T.Y.; et al. Microwave Ablation as a Treatment for Spinal Metastatic Tumors: A Systematic Review. World Neurosurg. 2021, 148, 15–23. [Google Scholar] [CrossRef]
- Kastler, A.; Alnassan, H.; Aubry, S.; Kastler, B. Microwave thermal ablation of spinal metastatic bone tumors. J. Vasc. Interv. Radiol. 2014, 25, 1470–1475. [Google Scholar] [CrossRef]
- Khan, M.A.; Deib, G.; Deldar, B.; Patel, A.M.; Barr, J.S. Efficacy and safety of percutaneous microwave ablation and cementoplasty in the treatment of painful spinal metastases and myeloma. Am. J. Neuroradiol. 2018, 39, 1376–1383. [Google Scholar] [CrossRef]
- Luna, L.P.; Sankaran, N.; Ehresman, J.; Sciubba, D.M.; Khan, M. Successful percutaneous treatment of bone tumors using microwave ablation in combination with Zoledronic acid infused PMMA cementoplasty. J. Clin. Neurosci. 2020, 76, 219–225. [Google Scholar] [CrossRef] [PubMed]
- Weill, A.; Chiras, J.; Simon, J.M.; Rose, M.; Sola-Martinez, T.; Enkaoua, E. Spinal metastases: Indications for and results of percutaneous injection of acrylic surgical cement. Radiology 1996, 199, 241–247. [Google Scholar] [CrossRef]
- Pusceddu, C.; Fancellu, A.; Ballicu, N.; Fele, R.M.; Sotgia, B.; Melis, L. CT-guided percutaneous screw fixation plus cementoplasty in the treatment of painful bone metastases with fractures or a high risk of pathological fracture. Skelet. Radiol. 2017, 46, 539–545. [Google Scholar] [CrossRef] [PubMed]
- Kim, P.; Kim, S.W. Bone Cement-Augmented Percutaneous Screw Fixation for Malignant Spinal Metastases: Is It Feasible? J. Korean Neurosurg. Soc. 2017, 60, 189–194. [Google Scholar] [CrossRef] [PubMed]
- Giammalva, G.R.; Costanzo, R.; Paolini, F.; Benigno, U.E.; Porzio, M.; Brunasso, L.; Basile, L.; Gulì, C.; Pino, M.A.; Gerardi, R.M.; et al. Management of Spinal Bone Metastases With Radiofrequency Ablation, Vertebral Reinforcement and Transpedicular Fixation: A Retrospective Single-Center Case Series. Front. Oncol. 2022, 11, 818760. [Google Scholar] [CrossRef] [PubMed]
- Yoshida, G.; Kanemura, T.; Ishikawa, Y. Percutaneous Pedicle Screw Fixation of a Hangman’s Fracture Using Intraoperative, Full Rotation, Three-dimensional Image (O-arm)-based Navigation: A Technical Case Report. Asian Spine J. 2012, 6, 194–198. [Google Scholar] [CrossRef]
- Uei, H.; Tokuhashi, Y. Therapeutic Impact of Percutaneous Pedicle Screw Fixation on Palliative Surgery for Metastatic Spine Tumors. Indian J. Orthop. 2019, 53, 533–541. [Google Scholar] [CrossRef]
- Gu, Y.T.; Zhu, D.H.; Liu, H.F.; Zhang, F.; McGuire, R. Minimally invasive pedicle screw fixation combined with percutaneous vertebroplasty for preventing secondary fracture after vertebroplasty. J. Orthop. Surg. Res. 2015, 10, 31. [Google Scholar] [CrossRef]




| Patient | Age (years) | Primary Tumor | Sites of Treatment | Number of Screws | Number of Microwave Probes | Baseline VAS Score /ODI Index | 1 Month VAS Score /ODI Index | 3 Months VAS Score /ODI Index |
|---|---|---|---|---|---|---|---|---|
| 1 | 57 | breast cancer | L1 | 1 | 1 | 6/2 | 2/1 | 0/1 |
| 2 | 40 | thymoma | L1 | 1 | 2 | 7/3 | 1/1 | 1/1 |
| 3 | 70 | NSCLC | D8–D9 | 2 | 2 | 6/4 | 1/2 | 1/1 |
| 4 | 67 | NSCLC | D7–D8 | 2 | 2 | 7/2 | 2/1 | 0/1 |
| 5 | 74 | SCLC | L1 | 1 | 1 | 8/4 | 4/2 | 2/2 |
| 6 | 50 | NSCLC | D10 | 2 | 2 | 6/3 | 3/2 | 0/1 |
| 7 | 84 | breast cancer | D11 | 1 | 2 | 7/3 | 1/2 | 1/2 |
| 8 | 72 | NSCLC | D11 | 2 | 2 | 6/3 | 1/1 | 1/1 |
| 9 | 70 | NSCLC | D12 | 1 | 2 | 7/4 | 1/2 | 1/2 |
| 10 | 64 | breast cancer | L3 | 2 | 2 | 8/4 | 2/1 | 0/1 |
| 11 | 65 | SCLC | L2 | 1 | 1 | 7/3 | 1/1 | 0/1 |
Disclaimer/Publisher’s Note: The statements, opinions and data contained in all publications are solely those of the individual author(s) and contributor(s) and not of MDPI and/or the editor(s). MDPI and/or the editor(s) disclaim responsibility for any injury to people or property resulting from any ideas, methods, instructions or products referred to in the content. |
© 2023 by the authors. Licensee MDPI, Basel, Switzerland. This article is an open access article distributed under the terms and conditions of the Creative Commons Attribution (CC BY) license (https://creativecommons.org/licenses/by/4.0/).
Share and Cite
Pusceddu, C.; Marsico, S.; Derudas, D.; Ballicu, N.; Melis, L.; de Felice, C.; Calabrese, A.; Santucci, D.; Faiella, E. Percutaneous CT-Guided Microwave Ablation Combined with Pedicle Screw Fixation Followed by Vertebroplasty (MASFVA): Initial Experience of a Minimally Invasive Treatment of Vertebral Metastases with Extension to the Vertebral Pedicle. Curr. Oncol. 2023, 30, 1663-1672. https://doi.org/10.3390/curroncol30020127
Pusceddu C, Marsico S, Derudas D, Ballicu N, Melis L, de Felice C, Calabrese A, Santucci D, Faiella E. Percutaneous CT-Guided Microwave Ablation Combined with Pedicle Screw Fixation Followed by Vertebroplasty (MASFVA): Initial Experience of a Minimally Invasive Treatment of Vertebral Metastases with Extension to the Vertebral Pedicle. Current Oncology. 2023; 30(2):1663-1672. https://doi.org/10.3390/curroncol30020127
Chicago/Turabian StylePusceddu, Claudio, Salvatore Marsico, Daniele Derudas, Nicola Ballicu, Luca Melis, Carlo de Felice, Alessandro Calabrese, Domiziana Santucci, and Eliodoro Faiella. 2023. "Percutaneous CT-Guided Microwave Ablation Combined with Pedicle Screw Fixation Followed by Vertebroplasty (MASFVA): Initial Experience of a Minimally Invasive Treatment of Vertebral Metastases with Extension to the Vertebral Pedicle" Current Oncology 30, no. 2: 1663-1672. https://doi.org/10.3390/curroncol30020127
APA StylePusceddu, C., Marsico, S., Derudas, D., Ballicu, N., Melis, L., de Felice, C., Calabrese, A., Santucci, D., & Faiella, E. (2023). Percutaneous CT-Guided Microwave Ablation Combined with Pedicle Screw Fixation Followed by Vertebroplasty (MASFVA): Initial Experience of a Minimally Invasive Treatment of Vertebral Metastases with Extension to the Vertebral Pedicle. Current Oncology, 30(2), 1663-1672. https://doi.org/10.3390/curroncol30020127

