Müllerian-Type Clear Cell Carcinoma of Donor Origin in a Male Patient with a Kidney Transplant: Ascertained by Molecular Testing
Abstract
:1. Introduction
2. Case Presentation
2.1. Initial Clinical Presentation
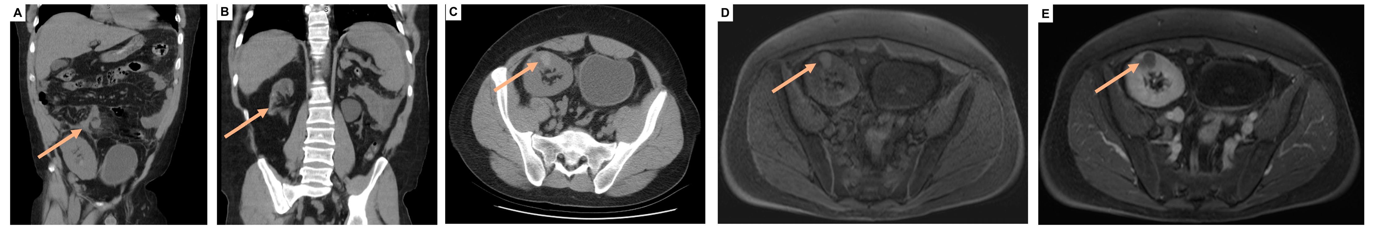
2.2. Diagnostic Imaging
2.3. Surgery and Histopathologic Work-Up
2.4. Molecular Testing Results
2.5. Management and Outcomes
3. Discussion
4. Conclusions
Author Contributions
Funding
Institutional Review Board Statement
Informed Consent Statement
Data Availability Statement
Acknowledgments
Conflicts of Interest
References
- Alduaij, A.; Hansen, K.; Karim, T.A.; Zhang, C.; Lomme, M.M.; Sung, C.J.; Lawrence, W.D.; Quddus, M.R. Clear cell carcinomas of the mullerian system: Does the pathogenesis vary depending on their nuclear grade and their association with endometriosis? An immunohistochemical analysis. Pathol. Res. Int. 2012, 2012, 674748. [Google Scholar] [CrossRef] [PubMed]
- van der Aa, M.A.; Helmerhorst, T.J.; Siesling, S.; Riemersma, S.; Coebergh, J.W. Vaginal and (uncommon) cervical cancers in the Netherlands, 1989–2003. Int. J. Gynecol. Cancer 2010, 20, 638–645. [Google Scholar] [CrossRef] [PubMed]
- Lester, F.C.; Farmer, D.L.; Rabban, J.T.; Chen, L.M. Radical trachelectomy for clear cell carcinoma of the cervix in a 6-year old: A case report, review, and description of the surgical technique. J. Pediatr. Surg. 2010, 45, E1–E5. [Google Scholar] [CrossRef] [PubMed]
- Warmke, L.; Vining, D.; Ward, J.; Lin, M.; Ro, J.Y.; Zhang, M. Paratesticular clear cell carcinoma of müllerian origin—A case report. Hum. Pathol. Case Rep. 2020, 21, 200401. [Google Scholar] [CrossRef]
- Perez, D.; Naous, R. A Rare Case of Clear Cell Carcinoma, Mullerian Type in the Renal Pelvis of a 21-Year-Old Woman. Case Rep. Pathol. 2018, 2018, 1521598. [Google Scholar] [CrossRef] [PubMed]
- Bertz, S.; Ensser, A.; Stoehr, R.; Eckstein, M.; Apel, H.; Mayr, D.; Buettner-Herold, M.; Gaisa, N.T.; Comperat, E.; Wullich, B.; et al. Variant morphology and random chromosomal integration of BK polyomavirus in posttransplant urothelial carcinomas. Mod. Pathol. 2020, 33, 1433–1442. [Google Scholar] [CrossRef] [PubMed]
- Tsuchiya, A.; Sakamoto, M.; Yasuda, J.; Chuma, M.; Ohta, T.; Ohki, M.; Yasugi, T.; Taketani, Y.; Hirohashi, S. Expression profiling in ovarian clear cell carcinoma: Identification of hepatocyte nuclear factor-1 beta as a molecular marker and a possible molecular target for therapy of ovarian clear cell carcinoma. Am. J. Pathol. 2003, 163, 2503–2512. [Google Scholar] [CrossRef]
- Talia, K.L.; Wong, R.W.; McCluggage, W.G. Expression of Markers of Mullerian Clear Cell Carcinoma in Primary Cervical and Vaginal Gastric-type Adenocarcinomas. Int. J. Gynecol. Pathol. 2019, 38, 276–282. [Google Scholar] [CrossRef]
- Pors, J.; Segura, S.; Cheng, A.; Ji, J.X.; Tessier-Cloutier, B.; Cochrane, D.; Fix, D.J.; Park, K.; Gilks, B.; Hoang, L. Napsin-A and AMACR are Superior to HNF-1beta in Distinguishing between Mesonephric Carcinomas and Clear Cell Carcinomas of the Gynecologic Tract. Appl. Immunohistochem. Mol. Morphol. 2020, 28, 593–601. [Google Scholar] [CrossRef]
- Luthra, R.; Patel, K.P.; Routbort, M.J.; Broaddus, R.R.; Yau, J.; Simien, C.; Chen, W.; Hatfield, D.Z.; Medeiros, L.J.; Singh, R.R. A Targeted High-Throughput Next-Generation Sequencing Panel for Clinical Screening of Mutations, Gene Amplifications, and Fusions in Solid Tumors. J. Mol. Diagn. 2017, 19, 255–264. [Google Scholar] [CrossRef]
- Tate, S.; Nishikimi, K.; Matsuoka, A.; Otsuka, S.; Shiko, Y.; Ozawa, Y.; Kawasaki, Y.; Shozu, M. Bevacizumab in First-Line Chemotherapy Improves Progression-Free Survival for Advanced Ovarian Clear Cell Carcinoma. Cancers 2021, 13, 3177. [Google Scholar] [CrossRef] [PubMed]
- Leveridge, M.; Musquera, M.; Evans, A.; Cardella, C.; Pei, Y.; Jewett, M.; Robinette, M.; Finelli, A. Renal cell carcinoma in the native and allograft kidneys of renal transplant recipients. J. Urol. 2011, 186, 219–223. [Google Scholar] [CrossRef] [PubMed]
- Saleeb, R.; Faragalla, H.; Yousef, G.M.; Stewart, R.; Streutker, C.J. Malignancies arising in allograft kidneys, with a first reported translocation RCC post-transplantation: A case series. Pathol. Res. Pract. 2015, 211, 584–587. [Google Scholar] [CrossRef] [PubMed]
- Robin, A.J.; Cohen, E.P.; Chongkrairatanakul, T.; Saad, E.; Mackinnon, A.C. A single center’s approach to discriminating donor versus host origin of renal neoplasia in the allograft kidney. Ann. Diagn. Pathol. 2016, 23, 32–34. [Google Scholar] [CrossRef] [PubMed]
- Ye, S.; Li, Q.; Wu, Y.; Jiang, W.; Zhou, S.; Zhou, X.; Yang, W.; Tu, X.; Shan, B.; Huang, S.; et al. Integrative genomic and transcriptomic analysis reveals immune subtypes and prognostic markers in ovarian clear cell carcinoma. Br. J. Cancer 2022, 126, 1215–1223. [Google Scholar] [CrossRef] [PubMed]
- Shibuya, Y.; Tokunaga, H.; Saito, S.; Shimokawa, K.; Katsuoka, F.; Bin, L.; Kojima, K.; Nagasaki, M.; Yamamoto, M.; Yaegashi, N.; et al. Identification of somatic genetic alterations in ovarian clear cell carcinoma with next generation sequencing. Genes Chromosomes Cancer 2018, 57, 51–60. [Google Scholar] [CrossRef] [PubMed]
- Irshaid, L.; Costigan, D.C.; Dong, F.; Matulonis, U.A.; Nucci, M.R.; Kolin, D.L. Molecular Landscape of Mullerian Clear Cell Carcinomas Identifies The Cancer Genome Atlas-like Prognostic Subgroups. Mod. Pathol. 2023, 36, 100123. [Google Scholar] [CrossRef] [PubMed]
- Talhouk, A.; McConechy, M.K.; Leung, S.; Li-Chang, H.H.; Kwon, J.S.; Melnyk, N.; Yang, W.; Senz, J.; Boyd, N.; Karnezis, A.N.; et al. A clinically applicable molecular-based classification for endometrial cancers. Br. J. Cancer 2015, 113, 299–310. [Google Scholar] [CrossRef]
- Hacking, S.M.; Pavlick, D.; Wang, Y.; Carneiro, B.A.; Mullally, M.; Lu, S.; Canepa, M.; Bratslavsky, G.; Jacob, J.; Necchi, A.; et al. Comprehensive Genomic Profiling of NF2-Mutated Kidney Tumors Reveals Potential Targets for Therapy. Oncologist 2023, 28, e508–e519. [Google Scholar] [CrossRef]
- Malouf, G.G.; Ali, S.M.; Wang, K.; Balasubramanian, S.; Ross, J.S.; Miller, V.A.; Stephens, P.J.; Khayat, D.; Pal, S.K.; Su, X.; et al. Genomic Characterization of Renal Cell Carcinoma with Sarcomatoid Dedifferentiation Pinpoints Recurrent Genomic Alterations. Eur. Urol. 2016, 70, 348–357. [Google Scholar] [CrossRef]
- Chen, Y.B.; Xu, J.; Skanderup, A.J.; Dong, Y.; Brannon, A.R.; Wang, L.; Won, H.H.; Wang, P.I.; Nanjangud, G.J.; Jungbluth, A.A.; et al. Molecular analysis of aggressive renal cell carcinoma with unclassified histology reveals distinct subsets. Nat. Commun. 2016, 7, 13131. [Google Scholar] [CrossRef]
- Au, E.; Wong, G.; Chapman, J.R. Cancer in kidney transplant recipients. Nat. Rev. Nephrol. 2018, 14, 508–520. [Google Scholar] [CrossRef]
- Carroll, R.P.; Boyer, M.; Gebski, V.; Hockley, B.; Johnston, J.K.; Kireta, S.; Tan, H.; Taylor, A.; Wyburn, K.; Zalcberg, J.R. Immune checkpoint inhibitors in kidney transplant recipients: A multicentre, single-arm, phase 1 study. Lancet Oncol. 2022, 23, 1078–1086. [Google Scholar] [CrossRef]




| Positive Markers | Negative Markers |
|---|---|
|
|
| Variant Allele Frequency (VAF) | ||||
|---|---|---|---|---|
| Peritoneal Metastasis | Lymph Node Metastasis | Patient Blood | Transplant Donor Blood | |
| Somatic mutations in tumor only | ||||
| NF2 c.781del p.I261fs | 8% | 28% | 0% | 0% |
| SETD2 c.4687G > C p.G1563R | 13% | 31% | 0% | 0% |
| SNPs in tumor and patient’s blood | ||||
| Multiple SNPs | ~50% | ~50% | ~50% | 0% |
| Common SNPs in tumor but not patient’s blood | ||||
| 7 SNPs | 8–10% | 20–34% | 0% | ~50% |
Disclaimer/Publisher’s Note: The statements, opinions and data contained in all publications are solely those of the individual author(s) and contributor(s) and not of MDPI and/or the editor(s). MDPI and/or the editor(s) disclaim responsibility for any injury to people or property resulting from any ideas, methods, instructions or products referred to in the content. |
© 2023 by the authors. Licensee MDPI, Basel, Switzerland. This article is an open access article distributed under the terms and conditions of the Creative Commons Attribution (CC BY) license (https://creativecommons.org/licenses/by/4.0/).
Share and Cite
Iorgulescu, J.B.; Shaw, L.K.; Rashid, A.; Rao, P.; Mandayam, S.; Patel, K.P.; Schmeler, K.M.; Yang, R.K.; Msaouel, P. Müllerian-Type Clear Cell Carcinoma of Donor Origin in a Male Patient with a Kidney Transplant: Ascertained by Molecular Testing. Curr. Oncol. 2023, 30, 9019-9027. https://doi.org/10.3390/curroncol30100651
Iorgulescu JB, Shaw LK, Rashid A, Rao P, Mandayam S, Patel KP, Schmeler KM, Yang RK, Msaouel P. Müllerian-Type Clear Cell Carcinoma of Donor Origin in a Male Patient with a Kidney Transplant: Ascertained by Molecular Testing. Current Oncology. 2023; 30(10):9019-9027. https://doi.org/10.3390/curroncol30100651
Chicago/Turabian StyleIorgulescu, J. Bryan, Leah K. Shaw, Asif Rashid, Priya Rao, Sreedhar Mandayam, Keyur P. Patel, Kathleen M. Schmeler, Richard K. Yang, and Pavlos Msaouel. 2023. "Müllerian-Type Clear Cell Carcinoma of Donor Origin in a Male Patient with a Kidney Transplant: Ascertained by Molecular Testing" Current Oncology 30, no. 10: 9019-9027. https://doi.org/10.3390/curroncol30100651
APA StyleIorgulescu, J. B., Shaw, L. K., Rashid, A., Rao, P., Mandayam, S., Patel, K. P., Schmeler, K. M., Yang, R. K., & Msaouel, P. (2023). Müllerian-Type Clear Cell Carcinoma of Donor Origin in a Male Patient with a Kidney Transplant: Ascertained by Molecular Testing. Current Oncology, 30(10), 9019-9027. https://doi.org/10.3390/curroncol30100651

