Recurrent Metastatic Chordoma to the Liver: A Case Report and Review of the Literature
Abstract
:1. Introduction
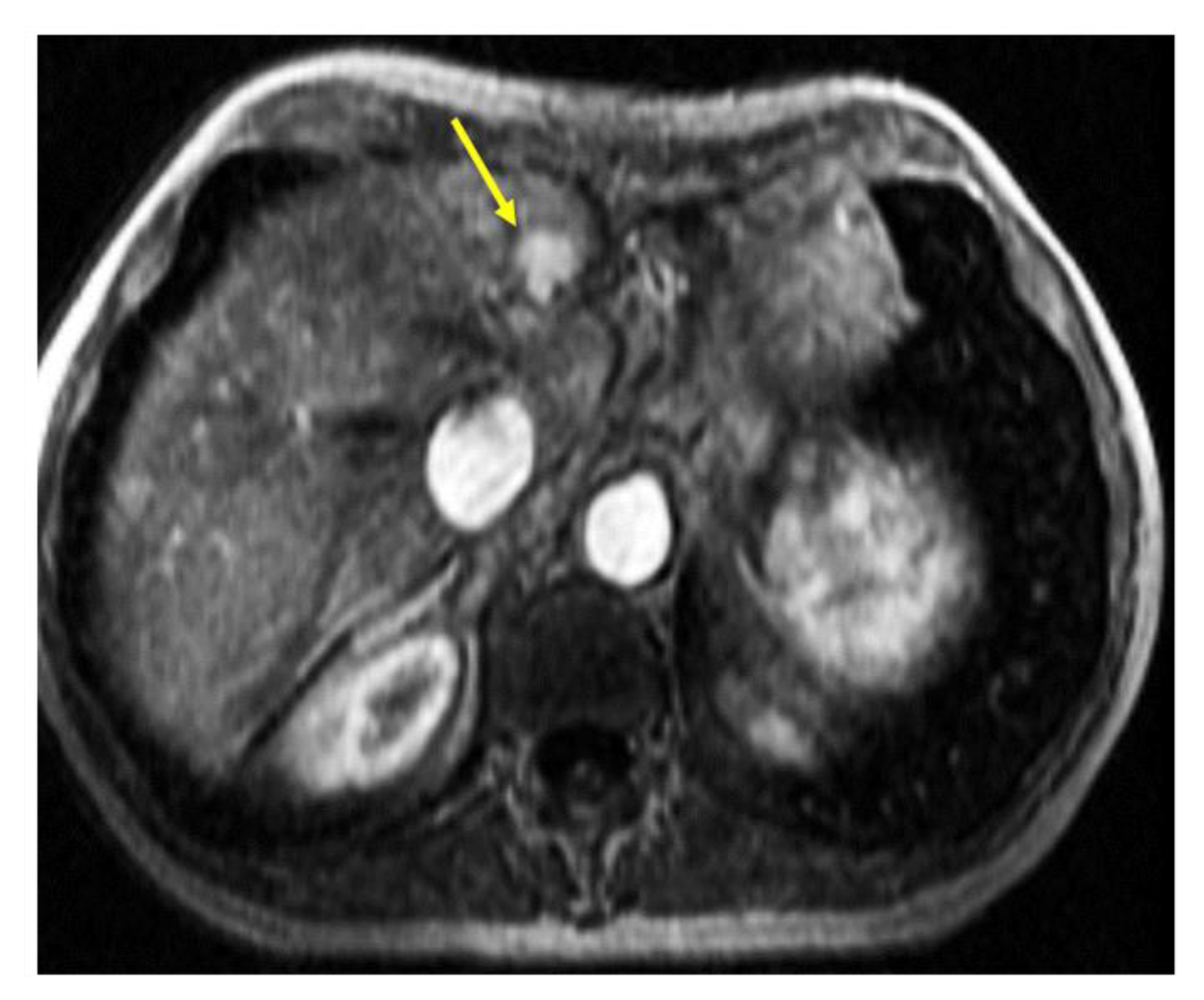
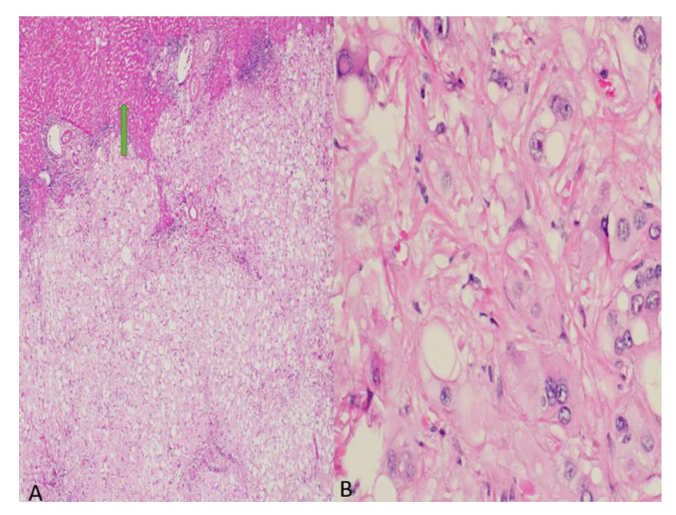
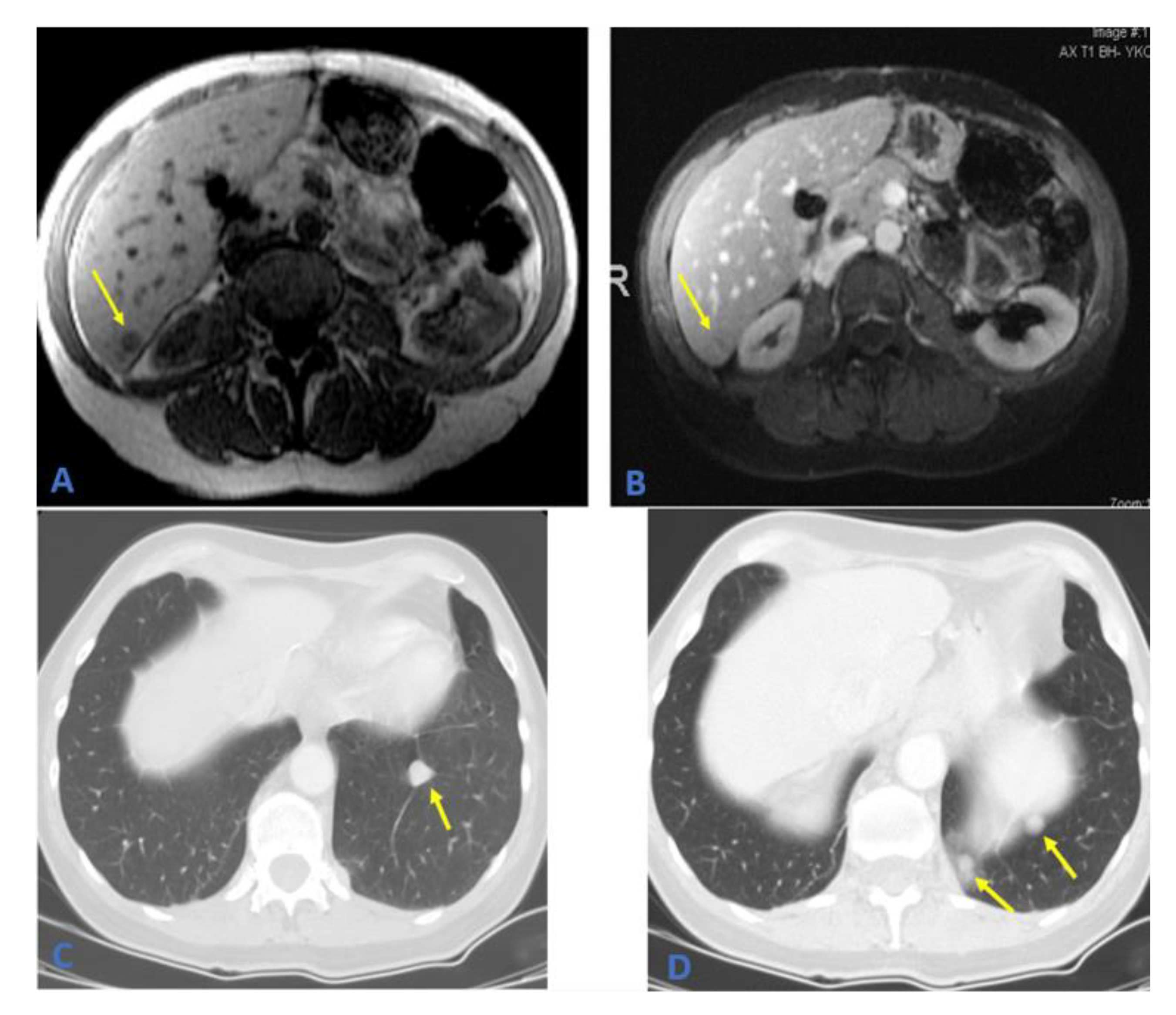
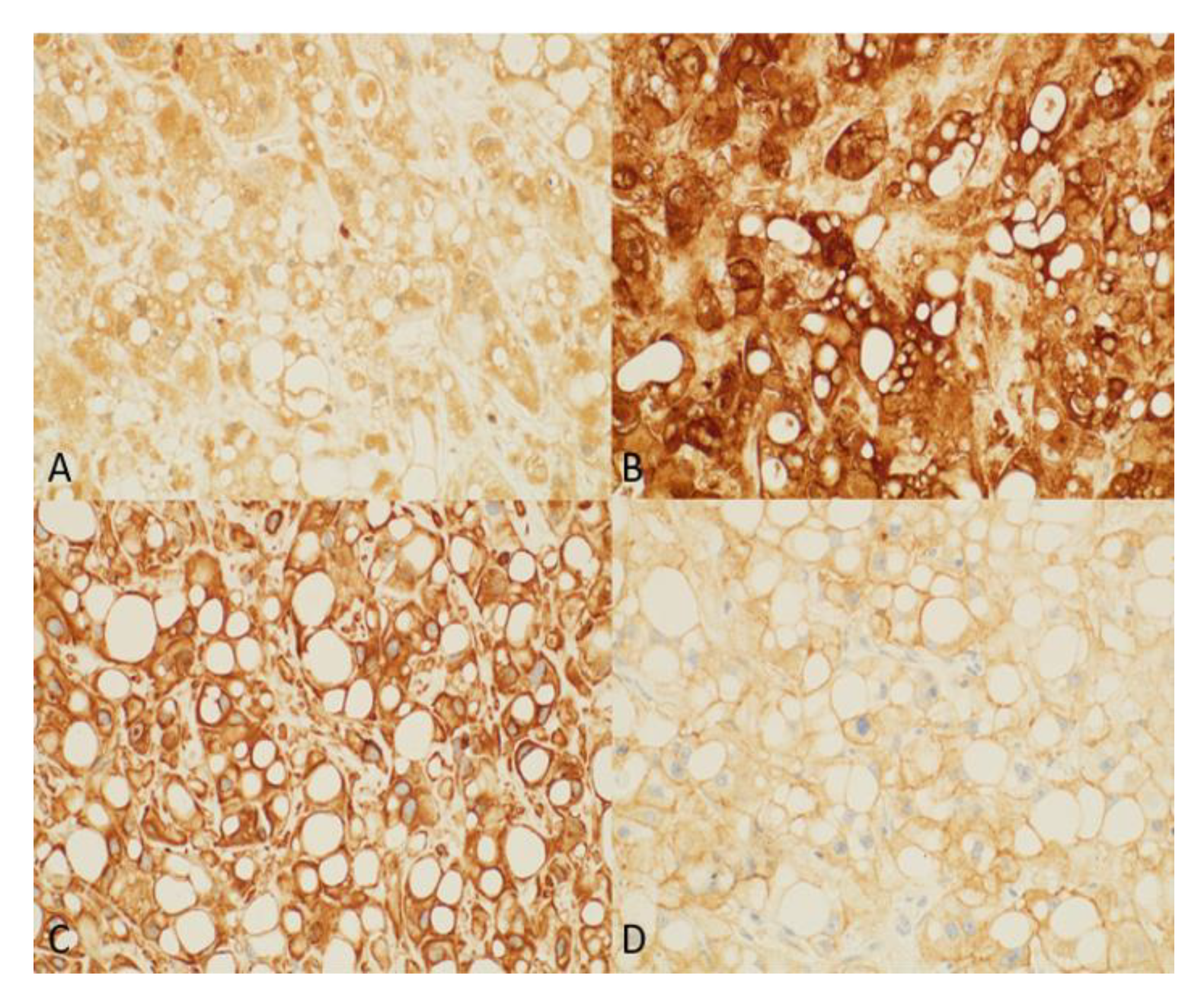
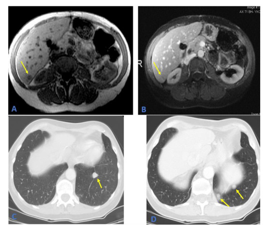
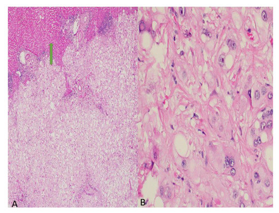
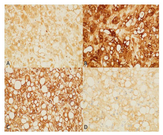
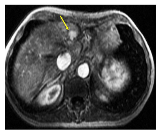
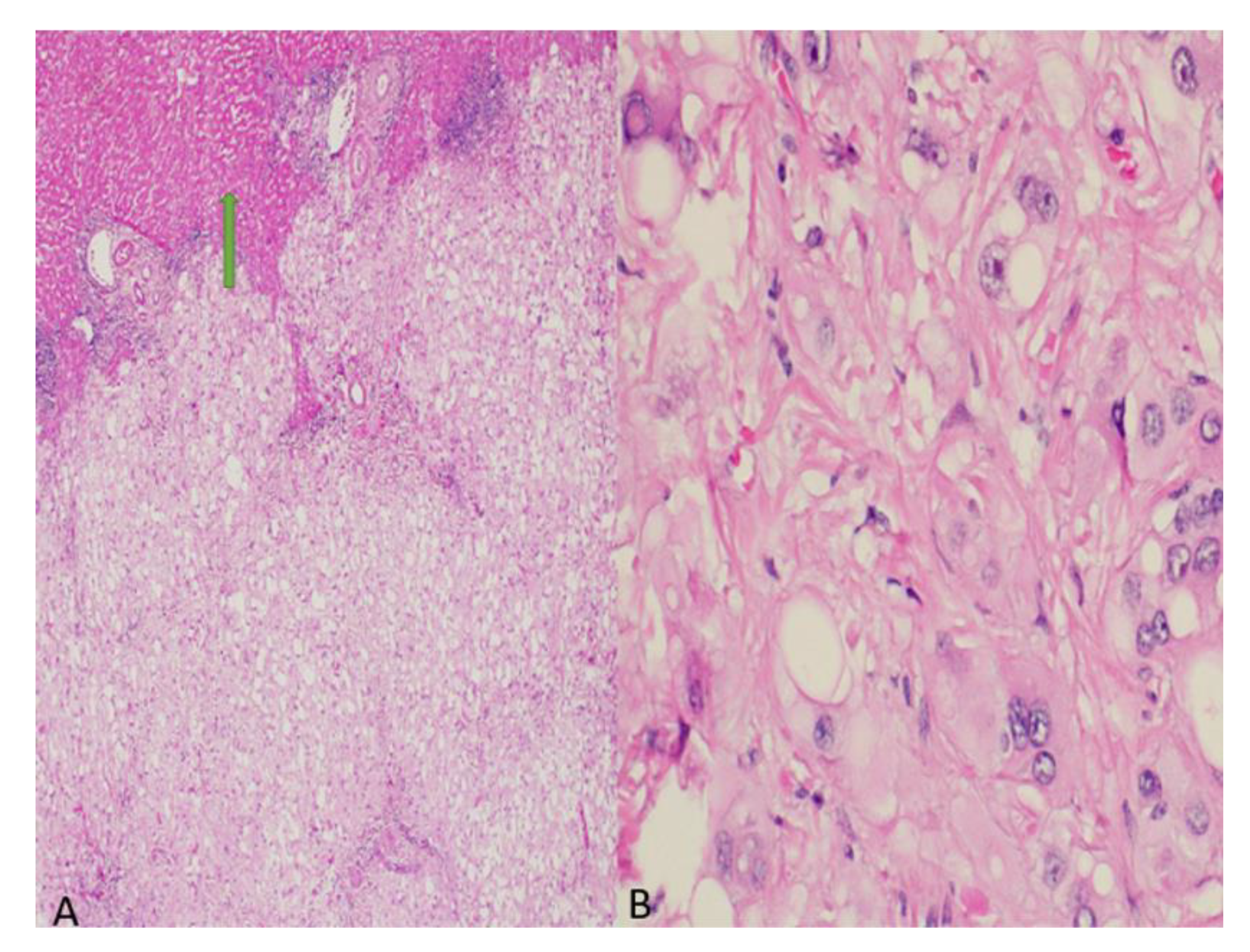
2. Case Presentation
3. Discussion
4. Conclusions
Author Contributions
Funding
Institutional Review Board Statement
Informed Consent Statement
Data Availability Statement
Conflicts of Interest
References
- Young, V.A.; Curtis, K.M.; Temple, H.T.; Eismont, F.J.; Delaney, T.F.; Hornicek, F.J. Characteristics and patterns of metastatic dis-ease from chordoma. Sarcoma 2015, 2015. [Google Scholar] [CrossRef] [PubMed] [Green Version]
- McPherson, C.M.; Suki, D.; McCutcheon, I.E.; Gokaslan, Z.L.; Rhines, L.D.; Mendel, E. Metastatic disease from spinal chordoma: A 10-year experience. J. Neurosurg. Spine 2006, 5, 277–280. [Google Scholar] [CrossRef] [PubMed] [Green Version]
- Walcott, B.P.; Nahed, B.V.; Mohyeldin, A.; Coumans, J.-V.; Kahle, K.T.; Ferreira, M.J. Chordoma: Current concepts, management, and future directions. Lancet Oncol. 2012, 13, e69–e76. [Google Scholar] [CrossRef]
- McMaster, M.L.; Goldstein, A.M.; Bromley, C.M.; Ishibe, N.; Parry, D.M. Chordoma: Incidence and survival patterns in the United States, 1973–1995. Cancer Causes Control 2001, 12, 1–11. [Google Scholar] [CrossRef] [PubMed]
- Denaro, L.; Berton, A.; Ciuffreda, M.; Loppini, M.; Candela, V.; Brandi, M.L.; Longo, U.G. Surgical management of chordoma: A systematic review. J. Spinal Cord Med. 2018, 43, 797–812. [Google Scholar] [CrossRef] [PubMed]
- Sun, I.; Guduk, M.; Gucyetmez, B.; Yapicier, O.; Pamir, M. Chordoma: Immunohistochemical analysis of brachyury. Turk. Neurosurg. 2016, 28, 174–178. [Google Scholar] [CrossRef] [Green Version]
- Chambers, M.P.W.; Schwinn, M.C.P. Chordoma: A Clinicopathologic Study of Metastasis. Am. J. Clin. Pathol. 1979, 72, 765–776. [Google Scholar] [CrossRef]
- Magrini, S.M.; Papi, M.G.; Marletta, F.; Tomaselli, S.; Cellai, E.; Mungai, V.; Biti, G. Chordoma-Natural History, Treatment and Prognosis the Florence Radiotherapy Department Experience (1956–1990) and a Critical Review of the Literature. Acta Oncol. 1992, 31, 847–851. [Google Scholar] [CrossRef]
- Yonemoto, T.; Tatezaki, S.; Takenouchi, T.; Ishii, T.; Satoh, T.; Moriya, H. The surgical management of sacrococcygeal chordoma. Cancer 1999, 85, 878–883. [Google Scholar] [CrossRef]
- Hassanabad, M.F.; Mansouri, A.; Alotaibi, N.M.; Hazrati, L.-N.; Bernstein, M. Metastatic saccrococcygeal chordoma. J. Clin. Neurosci. 2016, 23, 149–152. [Google Scholar] [CrossRef]
- Tavernaraki, A.; Andriotis, E.; Moutaftsis, E.; Attard, A.; Liodantonaki, P.; Stasinopoulou, M. Isolated liver metastasis from sacral chordoma. Case report and review of the literature. J. Balk. Union Oncol. 2003, 8, 381–383. [Google Scholar]
- Akiyama, T.; Ogura, K.; Gokita, T.; Tsukushi, S.; Iwata, S.; Nakamura, T.; Matsumine, A.; Yonemoto, T.; Nishida, Y.; Saita, K.; et al. Analysis of the Infiltrative Features of Chordoma: The Relationship between Micro-Skip Metastasis and Postoperative Outcomes. Ann. Surg. Oncol. 2017, 25, 912–919. [Google Scholar] [CrossRef] [PubMed]
- Kishimoto, R.; Omatsu, T.; Hasegawa, A.; Imai, R.; Kandatsu, S.; Kamada, T. Imaging characteristics of metastatic chordoma. Jpn. J. Radiol. 2012, 30, 509–516. [Google Scholar] [CrossRef] [PubMed]
- Stacchiotti, S.; Casali, P.G.; Vullo, S.L.; Mariani, L.; Palassini, E.; Mercuri, M.; Alberghini, M.; Pilotti, S.; Zanella, L.; Gronchi, A.; et al. Chordoma of the Mobile Spine and Sacrum: A Retrospective Analysis of a Series of Patients Surgically Treated at Two Referral Centers. Ann. Surg. Oncol. 2009, 17, 211–219. [Google Scholar] [CrossRef]
- Fleming, G.F.; Heimann, P.S.; Stephens, J.K.; Simon, M.A.; Ferguson, M.K.; Benjamin, R.S.; Samuels, B.L. Dedifferentiated chordoma. Response to aggressive chemotherapy in two cases. Cancer 1993, 72, 714–718. [Google Scholar] [CrossRef]
- Hof, H.; Welzel, T.; Debus, J. Effectiveness of Cetuximab/Gefitinib in the Therapy of a Sacral Chordoma. Oncol. Res. Treat. 2006, 29, 572–574. [Google Scholar] [CrossRef]
- Wu, X.; Lin, X.; Chen, Y.; Kong, W.; Xu, J.; Yu, Z. Response of Metastatic Chordoma to the Immune Checkpoint Inhibitor Pembrolizumab: A Case Report. Front. Oncol. 2020, 10, 565945. [Google Scholar] [CrossRef]
- Hsu, W.; Mohyeldin, A.; Shah, S.R.; ap Rhys, C.M.; Johnson, L.F.; Sedora-Roman, N.I.; Kosztowski, T.A.; Awad, O.A.; McCarthy, E.F.; Loeb, D.M.; et al. Generation of chordoma cell line JHC7 and the identification of Brachyury as a novel molecular target. J. Neurosurg. 2011, 115, 760–769. [Google Scholar] [CrossRef] [Green Version]
- Choi, P.J.; Oskouian, R.J.; Tubbs, R.S. The Current Understanding of MicroRNA’s Therapeutic, Diagnostic, and Prognostic Role in Chordomas: A Review of the Literature. Cureus 2018, 10, e3772. [Google Scholar] [CrossRef] [Green Version]
- Bayrak, O.F.; Gulluoglu, S.; Aydemir, E.; Ture, U.; Acar, H.; Atalay, B.; Demir, Z.; Sevli, S.; Creighton, C.J.; Ittmann, M.; et al. MicroRNA expression profiling reveals the potential function of microRNA-31 in chordomas. J. Neuro-Oncol. 2013, 115, 143–151. [Google Scholar] [CrossRef]
- Zhang, H.; Yang, K.; Ren, T.; Huang, Y.; Tang, X.; Guo, W. miR-16-5p inhibits chordoma cell proliferation, invasion and metastasis by targeting Smad3. Cell Death Dis. 2018, 9, 680. [Google Scholar] [CrossRef] [PubMed]
- Ozair, M.Z.; Shah, P.P.; Mathios, D.; Lim, M.; Moss, N.S. New Prospects for Molecular Targets for Chordomas. Neurosurg. Clin. N. Am. 2020, 31, 289–300. [Google Scholar] [CrossRef] [PubMed]
- Akhavan-Sigari, R.; Gaab, M.R.; Rohde, V.; Abili, M.; Ostertag, H. Expression of PDGFR-α, EGFR and c-MET in spinal chor-doma: A series of 52 patients. Anticancer Res. 2014, 34, 623–630. [Google Scholar] [PubMed]
- Scheipl, S.; Barnard, M.; Cottone, L.; Jorgensen, M.; Drewry, D.H.; Zuercher, W.J.; Turlais, F.; Ye, H.; Leite, A.P.; Smith, A.J.; et al. EGFR inhibitors identified as a potential treatment for chordoma in a focused compound screen. J. Pathol. 2016, 239, 320–334. [Google Scholar] [CrossRef] [Green Version]
- Siu, I.-M.; Salmasi, V.; Orr, B.A.; Zhao, Q.; Binder, Z.A.; Tran, C.; Ishii, M.; Riggins, G.J.; Hann, C.L.; Gallia, G.L. Establishment and characterization of a primary human chordoma xenograft model. J. Neurosurg. 2012, 116, 801–809. [Google Scholar] [CrossRef] [Green Version]
- Siu, I.-M.; Ruzevick, J.; Zhao, Q.; Connis, N.; Jiao, Y.; Bettegowda, C.; Xia, X.; Burger, P.C.; Hann, C.L.; Gallia, G.L. Erlotinib Inhibits Growth of a Patient-Derived Chordoma Xenograft. PLoS ONE 2013, 8, e78895. [Google Scholar] [CrossRef]
- Magnaghi, P.; Salom, B.; Cozzi, L.; Amboldi, N.; Ballinari, D.; Tamborini, E.; Gasparri, F.; Montagnoli, A.; Raddrizzani, L.; Somaschini, A.; et al. Afatinib Is a New Therapeutic Approach in Chordoma with a Unique Ability to Target EGFR and Brachyury. Mol. Cancer Ther. 2018, 17, 603–613. [Google Scholar] [CrossRef] [Green Version]
- Asquith, C.R.M.; Maffuid, K.A.; Laitinen, T.; Torrice, C.D.; Tizzard, G.J.; Crona, D.J.; Zuercher, W.J. Targeting an EGFR Water Network with 4-Anilinoquin(az)oline Inhibitors for Chordoma. ChemMedChem 2019, 14, 1693–1700. [Google Scholar] [CrossRef] [Green Version]
- Anderson, E.; Havener, T.M.; Zorn, K.M.; Foil, D.; Lane, T.R.; Capuzzi, S.J.; Morris, D.; Hickey, A.J.; Drewry, D.H.; Ekins, S. Synergistic drug combinations and machine learning for drug repurposing in chordoma. Sci. Rep. 2020, 10, 12982. [Google Scholar] [CrossRef]




Publisher’s Note: MDPI stays neutral with regard to jurisdictional claims in published maps and institutional affiliations. |
© 2022 by the authors. Licensee MDPI, Basel, Switzerland. This article is an open access article distributed under the terms and conditions of the Creative Commons Attribution (CC BY) license (https://creativecommons.org/licenses/by/4.0/).
Share and Cite
Dickerson, T.E.; Ullah, A.; Saineni, S.; Sultan, S.; Sama, S.; Ghleilib, I.; Patel, N.G.; Elhelf, I.A.; Karim, N.A. Recurrent Metastatic Chordoma to the Liver: A Case Report and Review of the Literature. Curr. Oncol. 2022, 29, 4625-4631. https://doi.org/10.3390/curroncol29070367
Dickerson TE, Ullah A, Saineni S, Sultan S, Sama S, Ghleilib I, Patel NG, Elhelf IA, Karim NA. Recurrent Metastatic Chordoma to the Liver: A Case Report and Review of the Literature. Current Oncology. 2022; 29(7):4625-4631. https://doi.org/10.3390/curroncol29070367
Chicago/Turabian StyleDickerson, Thomas E., Asad Ullah, Sathvik Saineni, Sandresh Sultan, Srikar Sama, Intisar Ghleilib, Nikhil G. Patel, Islam A. Elhelf, and Nagla Abdel Karim. 2022. "Recurrent Metastatic Chordoma to the Liver: A Case Report and Review of the Literature" Current Oncology 29, no. 7: 4625-4631. https://doi.org/10.3390/curroncol29070367
APA StyleDickerson, T. E., Ullah, A., Saineni, S., Sultan, S., Sama, S., Ghleilib, I., Patel, N. G., Elhelf, I. A., & Karim, N. A. (2022). Recurrent Metastatic Chordoma to the Liver: A Case Report and Review of the Literature. Current Oncology, 29(7), 4625-4631. https://doi.org/10.3390/curroncol29070367

