Metabolic Activity Assessment by 18F-Fluorodeoxyglucose Positron Emission Tomography in Patients after COVID-19 Vaccination
Abstract
:1. Introduction
2. Materials and Methods
3. Cases
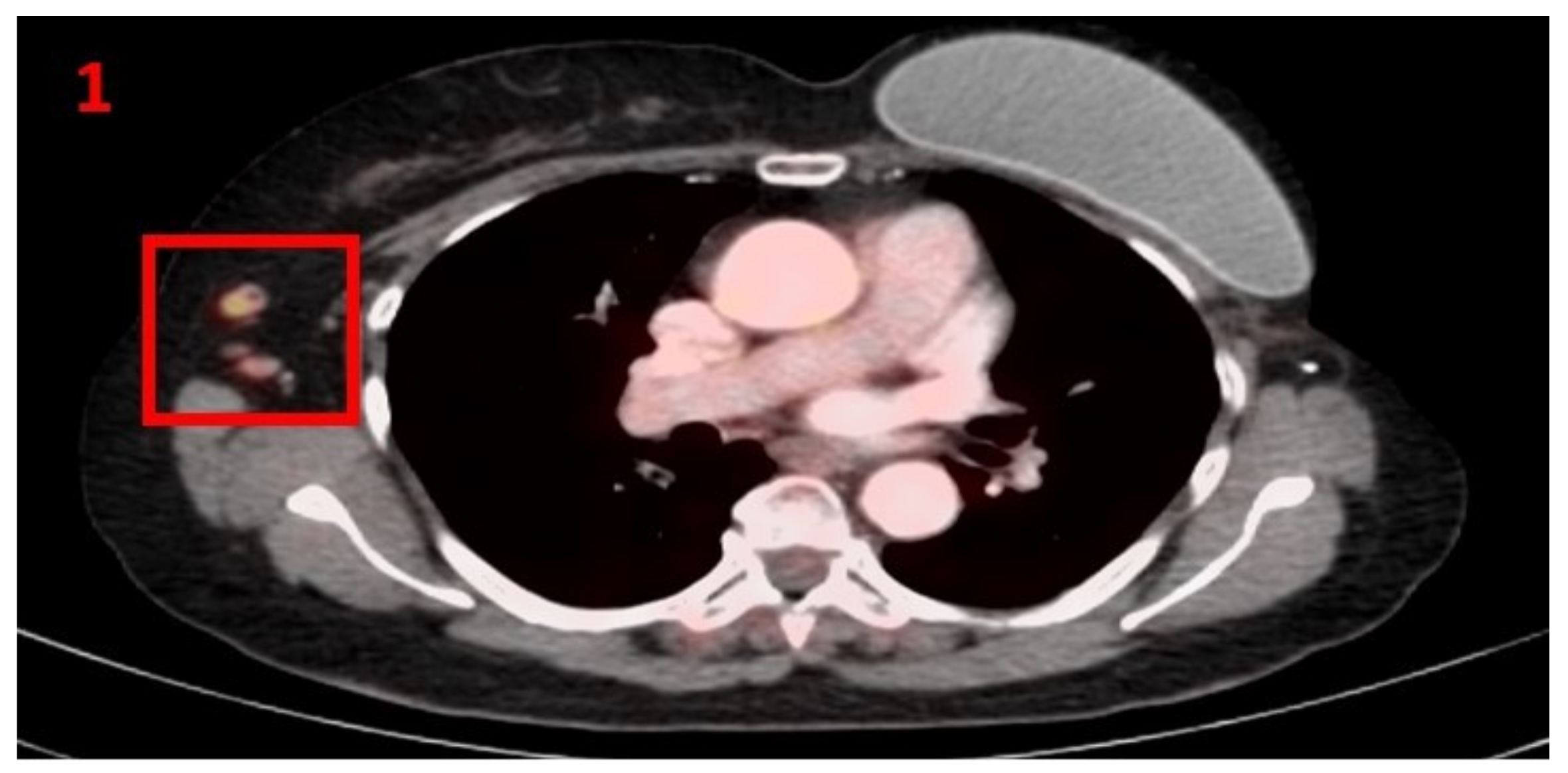
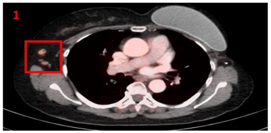
3.1. Case No 1
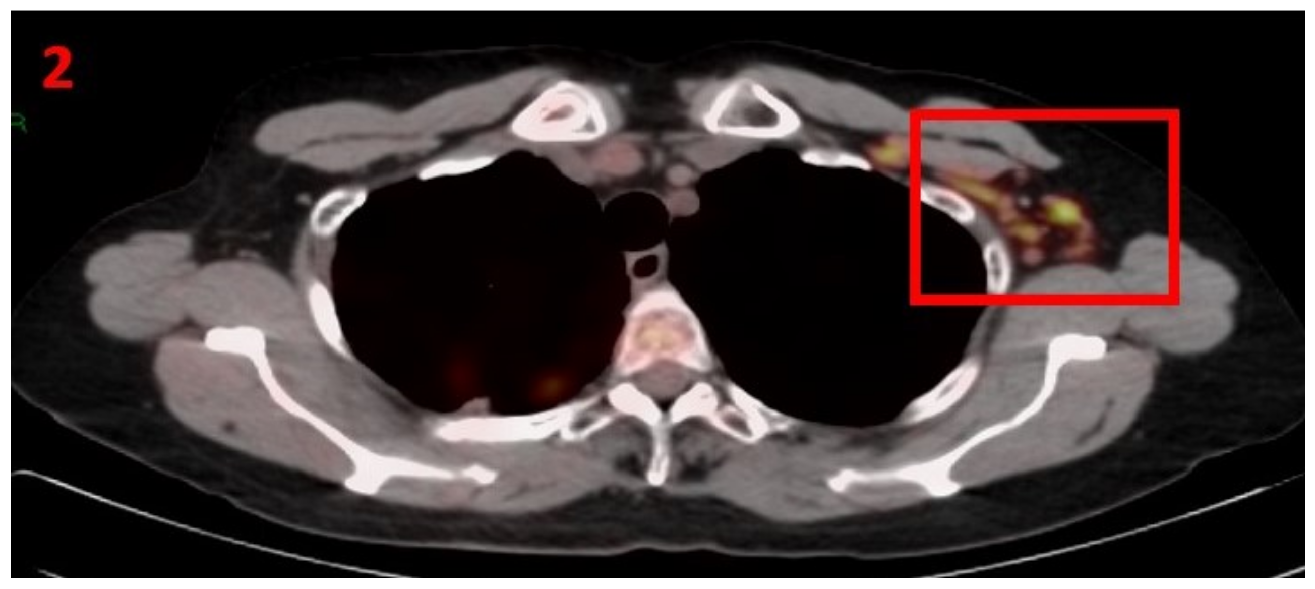
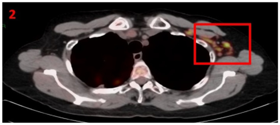
3.2. Case No 2
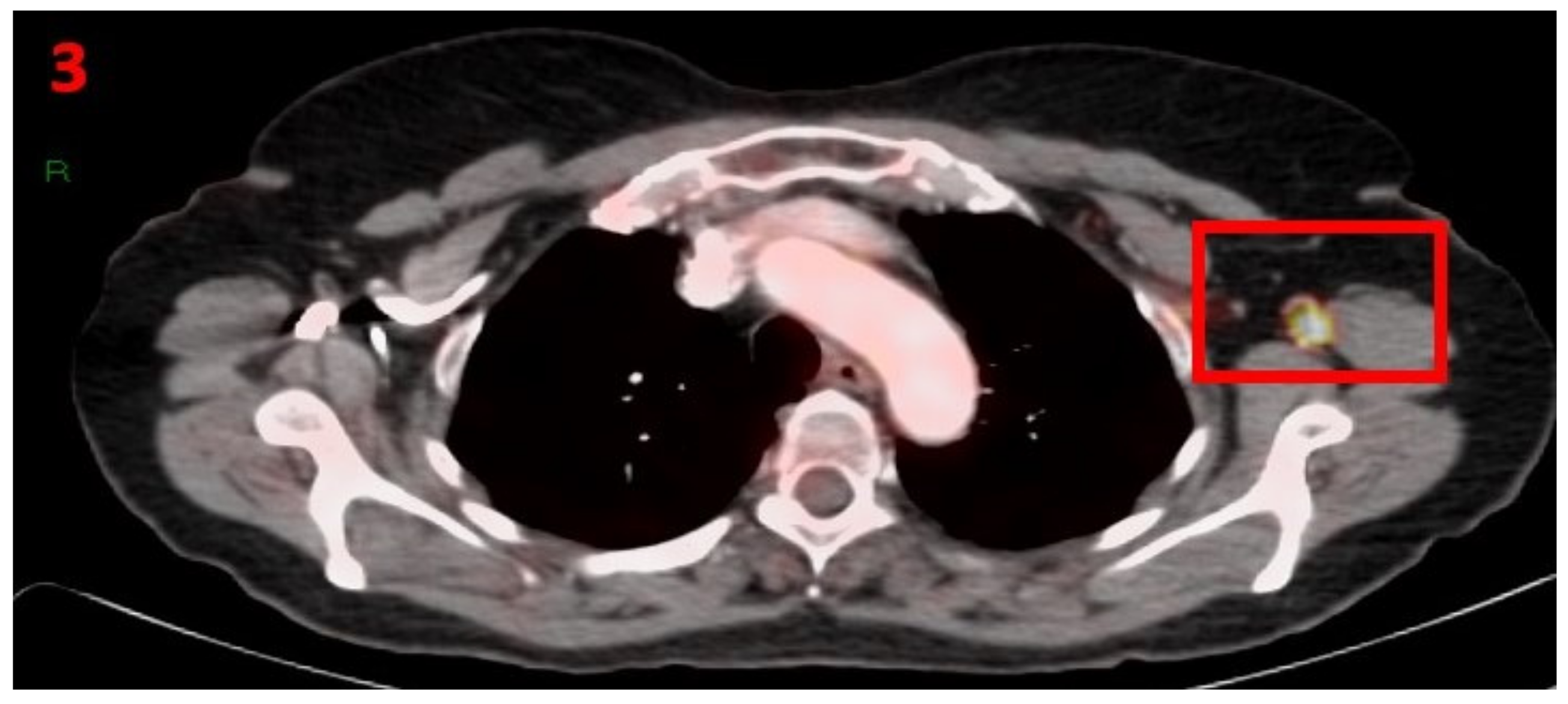
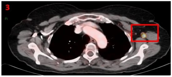
3.3. Case No 3
3.4. Case No 4
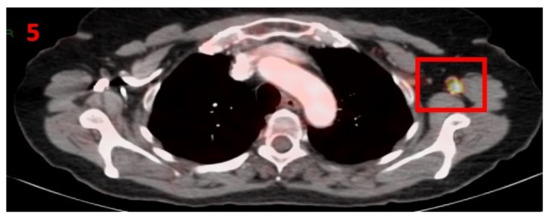
3.5. Case No 5
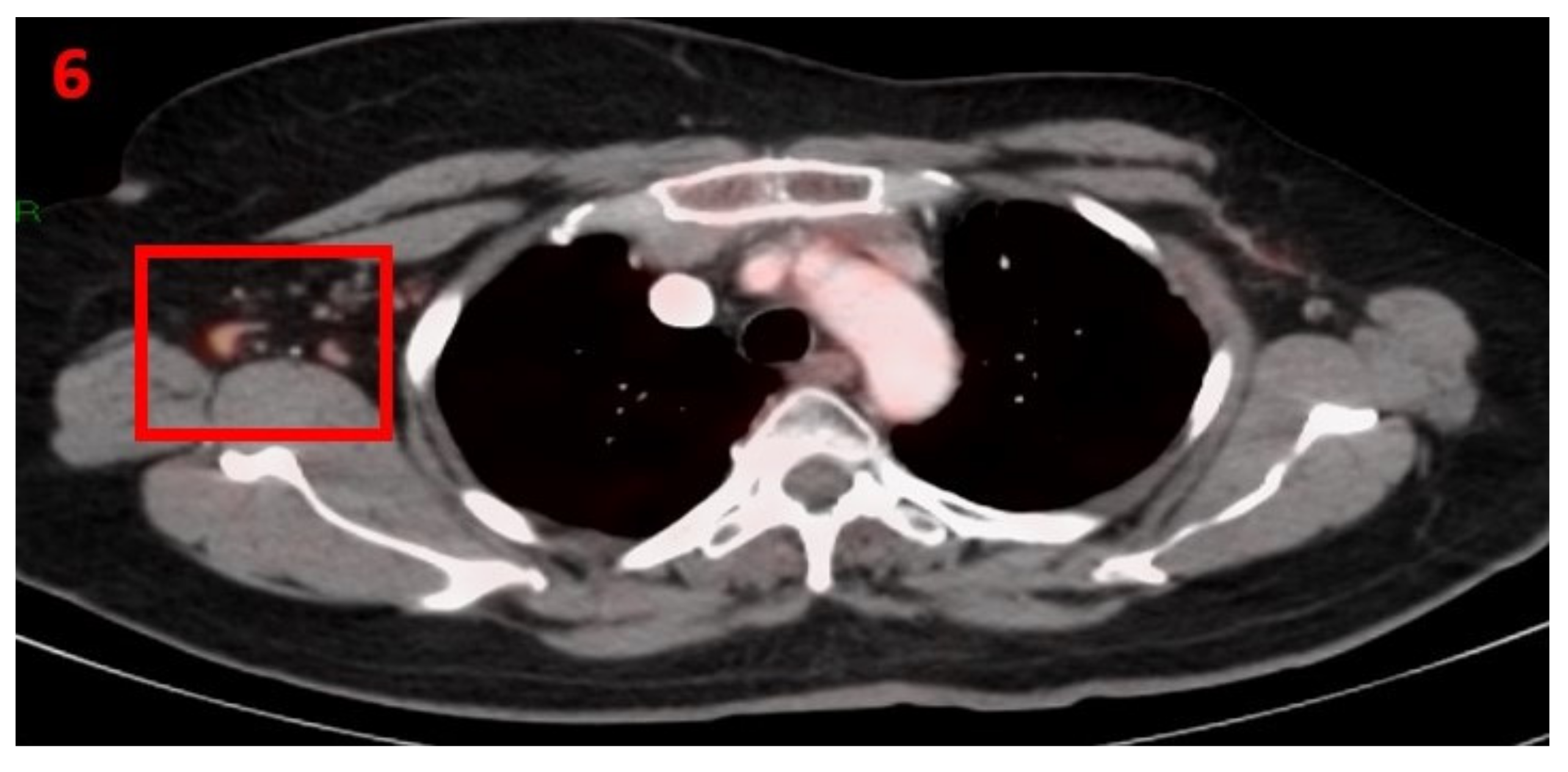
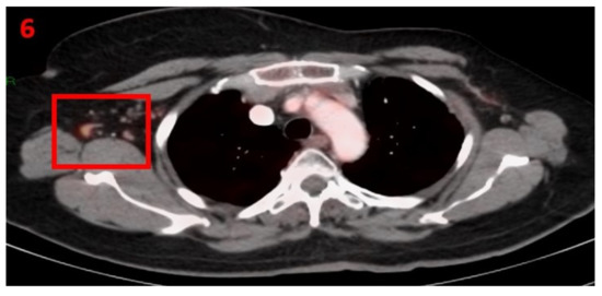
3.6. Case No 6
3.7. Case No 7
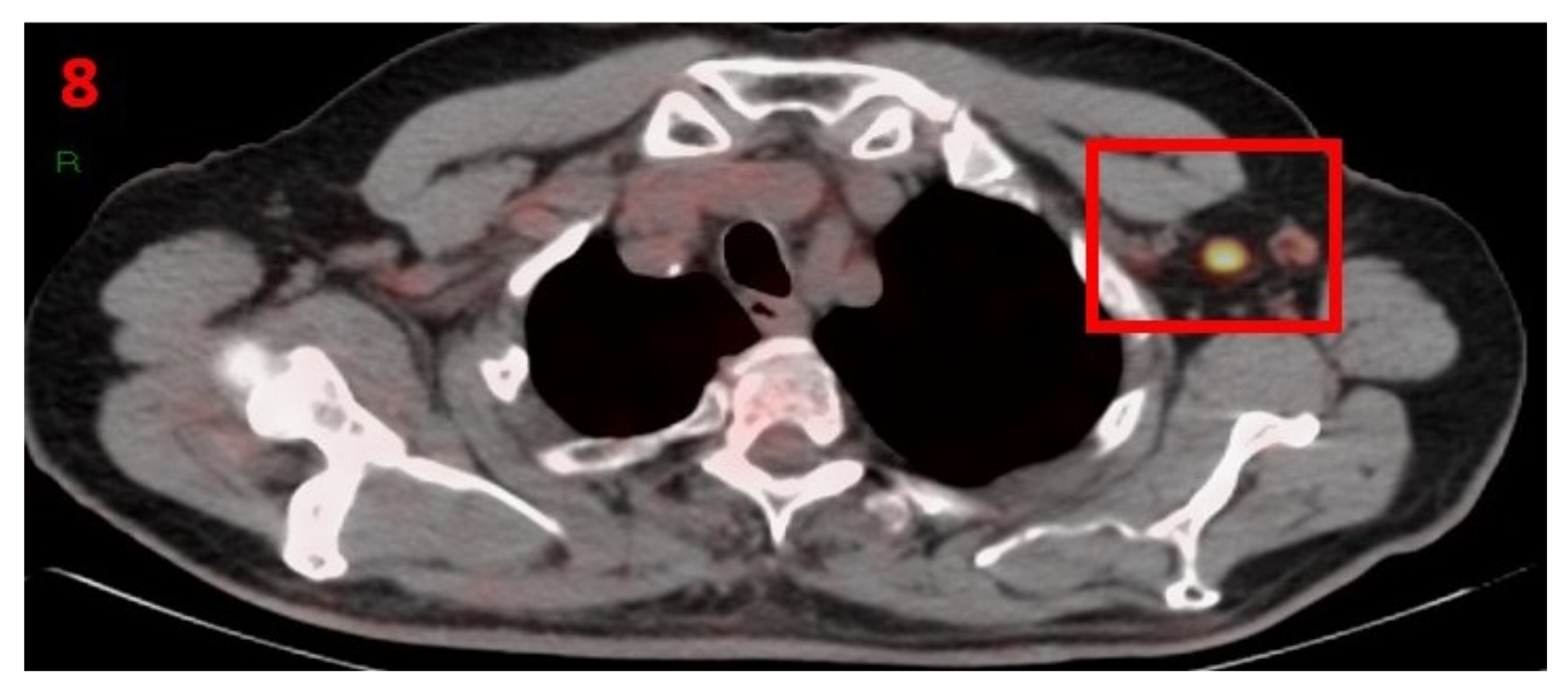
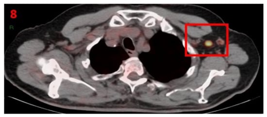
3.8. Case No 8
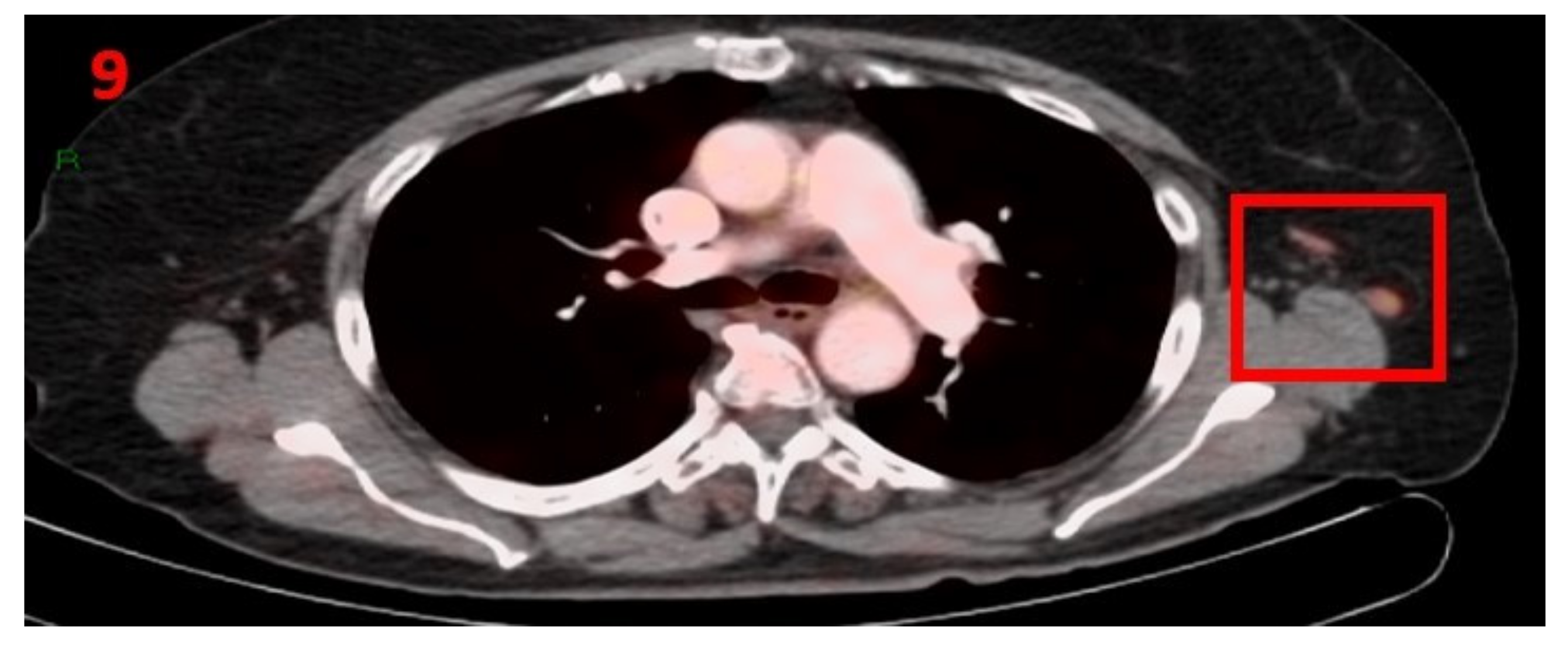
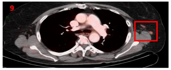
3.9. Case No 9
3.10. Case No 10
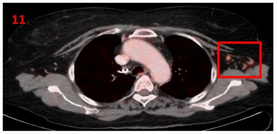
3.11. Case No 11
4. Discussion
5. Conclusions
Author Contributions
Funding
Institutional Review Board Statement
Informed Consent Statement
Data Availability Statement
Acknowledgments
Conflicts of Interest
References
- Miller, K.D.; Nogueira, L.; Mariotto, A.B.; Rowland, J.H.; Yabroff, K.R.; Alfano, C.M.; Jemal, A.; Kramer, J.L.; Siegel, R.L. Cancer treatment and survivorship statistics, 2019. CA Cancer J Clin. 2019, 69, 363–385. [Google Scholar] [CrossRef] [PubMed] [Green Version]
- Global Cancer Observatory: Cancer Today; International Agency for Research on Cancer: Lyon, France, 2020; Available online: https://gco.iarc.fr/today (accessed on 11 February 2021).
- Schöder, H.; Gönen, M. Screening for cancer with PET and PET/CT: Potential and limitations. J. Nucl. Med. 2007, 48 (Suppl. 1), 4S–18S. [Google Scholar] [PubMed]
- Poeppel, T.D.; Krause, B.J.; Heusner, T.A.; Boy, C.; Bockisch, A.; Antoch, G. PET/CT for the staging and follow-up of patients with malignancies. Eur. J. Radiol. 2009, 70, 382–392. [Google Scholar] [CrossRef] [PubMed]
- Hermann, K.A.; Krause, B.J. [18F]-labelled PET and PET/CT compounds in oncology. In Fluorine and Health: Molecular Imaging, Biomedical Materials and Pharmaceuticals; Tressaud, A., Haufe, G., Eds.; Elsevier Science & Technology: Amsterdam, The Netherlands, 2008; pp. 141–196. [Google Scholar] [CrossRef]
- FDA. Fact Sheet for Healthcare Providers Administering Vaccine (Vaccination Providers): Emergency Use Authorization (EUA) of the Pfizer-BioNTech COVID-19 Vaccine to Prevent Coronavirus Disease 2019 (COVID-19). Available online: https://www.fda.gov/media/144413/download (accessed on 17 January 2021).
- Shimabukuro, T.; Nair, N. Allergic Reactions Including Anaphylaxis after Receipt of the First Dose of Pfizer-BioNTech COVID-19 Vaccine. JAMA 2021, 325, 780. [Google Scholar] [CrossRef] [PubMed]
- FDA Takes Key Action in Fight against COVID-19 By Issuing Emergency Use Authorization for First COVID-19 Vaccine. 2021. Available online: https://www.fda.gov/news-events/press-announcements/fda-takes-key-action-fight-against-covid-19-issuing-emergency-use-authorization-first-covid-19 (accessed on 29 November 2021).
- Local Reactions, Systemic Reactions, Adverse Events, and Serious Adverse Events: Pfizer-BioNTech COVID-19 Vaccine. Centers for Disease Control and Prevention, Centers for Disease Control and Prevention. 13 December 2020. Available online: www.cdc.gov/vaccines/covid-19/info-by-product/pfizer/reactogenicity.html (accessed on 5 November 2021).
- Local Reactions, Systemic Reactions, Adverse Events, and Serious Adverse Events: Moderna COVID-19 Vaccine. Published 11 February 2021. Available online: vaccine.www.cdc.gov/vaccines/covid-19/info-by-product/moderna/reactogenicity.html (accessed on 16 February 2021).
- McIntosh, L.J.; Bankier, A.A.; Vijayaraghavan, G.R.; Licho, R.; Rosen, M.P. COVID-19 Vaccination-Related Uptake on FDG PET/CT: An Emerging Dilemma and Suggestions for Management. AJR Am. J. Roentgenol. 2021, 217, 975–983. [Google Scholar] [CrossRef] [PubMed]
- Baden, L.R.; El Sahly, H.M.; Essink, B.; Kotloff, K.; Frey, S.; Novak, R.; Diemert, D.; Spector, S.A.; Rouphael, N.; Creech, C.B.; et al. Efficacy and Safety of the mRNA-1273 SARS-CoV-2 Vaccine. N. Engl. J. Med. 2021, 384, 403–416. [Google Scholar] [CrossRef] [PubMed]
- Pardi, N.; Hogan, M.J.; Porter, F.W.; Weissman, D. mRNA vaccines—A new era in vaccinology. Nat. Rev. Drug Discov. 2018, 17, 261–279. [Google Scholar] [CrossRef] [PubMed] [Green Version]
- Mehta, N.; Sales, R.M.; Babagbemi, K.; Levy, A.D.; McGrath, A.L.; Drotman, M.; Dodelzon, K. Unilateral axillary Adenopathy in the setting of COVID-19 vaccine. Clin. Imaging 2021, 75, 12–15. [Google Scholar] [CrossRef] [PubMed]
- Alavi, A.; Gupta, N.; Alberini, J.L.; Hickeson, M.; Adam, L.E.; Bhargava, P.; Zhuang, H. Positron emission tomography Imaging in nonmalignant thoracic disorders. Semin. Nucl. Med. 2002, 32, 293–321. [Google Scholar] [CrossRef] [PubMed]
- Chang, J.M.; Lee, H.J.; Goo, J.M.; Lee, H.-Y.; Lee, J.J.; Chung, J.-K.; Im, J.-G. False positive and false negative FDG-PET scans in various thoracic diseases. Korean J. Radiol. 2006, 7, 57–69. [Google Scholar] [CrossRef] [PubMed] [Green Version]
- McIntosh, L.J.; Rosen, M.P.; Mittal, K.; Whalen, G.F.; Bathini, V.G.; Ali, T.; Edmiston, K.L.; Walsh, W.V.; Gerber, J.M. Coordination and optimization of FDG PET/CT and COVID-19 vaccination; Lessons learned in the early stages of mass vaccination. Cancer Treat. Rev. 2021, 98, 102220. [Google Scholar] [CrossRef] [PubMed]
- Treglia, G.; Cuzzocrea, M.; Muoio, B.; Elzi, L. PET findings after COVID-19 vaccination: “Keep Calm and Carry On”. Clin. Transl. Imaging 2021, 9, 209–214. [Google Scholar] [CrossRef] [PubMed]
- Treglia, G.; Cuzzocrea, M.; Giovanella, L.; Elzi, L.; Muoio, B. Prevalence and Significance of Hypermetabolic Lymph Nodes Detected by 2-[18F]FDG PET/CT after COVID-19 Vaccination: A Systematic Review and a Meta-Analysis. Pharmaceuticals 2021, 14, 762. [Google Scholar] [CrossRef] [PubMed]
- Schroeder, D.G.; Jang, S.; Johnson, D.R.; Takahashi, H.; Navin, P.J.; Broski, S.M.; Thorpe, M.P.; Johnson, G.B.; Young, J.R. Frequency and Characteristics of Nodal and Deltoid FDG and 11C-Choline Uptake on PET Performed After COVID-19 Vaccination. AJR Am. J. Roentgenol. 2021, 217, 1206–1216. [Google Scholar] [CrossRef] [PubMed]
- Landete, E.; Gómez-Fernández, I.; González-Gascón-Y-Marín, I.; Durán-Barquero, C.; Churruca, J.; Infante, M.S.; Muñoz-Novas, C.; Foncillas, M.Á.; Marín, K.; Ramos-de-Ascanio, V.; et al. Hypermetabolic abdominal and cervical lymph nodes mimicking Hodgkin lymphoma relapse on FDG PET/CT after adenovirus-vectored COVID-19 vaccine. Hum. Vaccines Immunother. 2021, 1–4. [Google Scholar] [CrossRef]











| Patient | Primary Tumor | Vaccination Location | Period between Vaccination and PET-CT | PET-CT Result | Number of Vaccines Received | Diameter of the LN | SUV of LN | Type of Vaccine |
|---|---|---|---|---|---|---|---|---|
| Case no.1 | Breast cancer | Right arm | 5 days | Hypermetabolic uptake in the right axillary region and lymphadenopathy | First vaccine | 10 mm | 4.6 | Pfizer-BioNTech |
| Case no.2 | Breast cancer | Left arm | 7 days | Hypermetabolic uptake in the left axillary region and lymphadenopathy | First vaccine | 7 mm | 3.7 | Pfizer-BioNTech |
| Case no.3 | Melanoma | Left arm | 13 days | Hypermetabolic uptake in the left axillary region and lymphadenopathy | Second vaccine | 5 mm | 1 | Pfizer-BioNTech |
| Case no.4 | Scc of skin | Left arm | 10 days | Hypermetabolic uptake in the left axillary region and lymphadenopathy | First vaccine | 9 mm | 4.2 | Pfizer-BioNTech |
| Case no.5 | Colon cancer | Left arm | 12 days | Hypermetabolic uptake in the left axillary region and lymphadenopathy | Second vaccine | 8 mm | 6 | Pfizer-BioNTech |
| Case no.6 | Breast cancer | Right arm | 8 days | Hypermetabolic uptake in the right axillary region and lymphadenopathy | Second vaccine | 10 mm | 3 | Pfizer-BioNTech |
| Case no.7 | Gastric lymphoma | Left arm | 6 days | Hypermetabolic uptake in the left axillary region and lymphadenopathy | Second vaccine | 10 mm | 3 | Pfizer-BioNTech |
| Case no.8 | Prostate cancer | Left arm | 9 days | Hypermetabolic uptake in the left axillary region and lymphadenopathy | Second vaccine | 8 mm | 5 | Pfizer-BioNTech |
| Case no.9 | Follicular lymphoma | Left arm | 12 days | Hypermetabolic uptake in the left axillary region and lymphadenopathy | Second vaccine | 7 mm | 1.9 | Pfizer-BioNTech |
| Case no.10 | Breast cancer | Left arm | 5 days | Hypermetabolic uptake in the left axillary region and lymphadenopathy | Second vaccine | 11 mm | 4.5 | Pfizer-BioNTech |
| Case no.11 | Uterine cervix | Left arm | 13 days | Hypermetabolic uptake in the left axillary region and lymphadenopathy | Second vaccine | 9 mm | 2.1 | Pfizer-BioNTech |
Publisher’s Note: MDPI stays neutral with regard to jurisdictional claims in published maps and institutional affiliations. |
© 2022 by the authors. Licensee MDPI, Basel, Switzerland. This article is an open access article distributed under the terms and conditions of the Creative Commons Attribution (CC BY) license (https://creativecommons.org/licenses/by/4.0/).
Share and Cite
Shalata, W.; Levin, D.; Fridman, J.; Makarov, V.; Iraqi, M.; Golosky, M.; Rouvinov, K.; Kian, W.; Yakobson, A. Metabolic Activity Assessment by 18F-Fluorodeoxyglucose Positron Emission Tomography in Patients after COVID-19 Vaccination. Curr. Oncol. 2022, 29, 989-1000. https://doi.org/10.3390/curroncol29020084
Shalata W, Levin D, Fridman J, Makarov V, Iraqi M, Golosky M, Rouvinov K, Kian W, Yakobson A. Metabolic Activity Assessment by 18F-Fluorodeoxyglucose Positron Emission Tomography in Patients after COVID-19 Vaccination. Current Oncology. 2022; 29(2):989-1000. https://doi.org/10.3390/curroncol29020084
Chicago/Turabian StyleShalata, Walid, Daniel Levin, Janna Fridman, Victoria Makarov, Muhammed Iraqi, Mitchell Golosky, Keren Rouvinov, Waleed Kian, and Alexander Yakobson. 2022. "Metabolic Activity Assessment by 18F-Fluorodeoxyglucose Positron Emission Tomography in Patients after COVID-19 Vaccination" Current Oncology 29, no. 2: 989-1000. https://doi.org/10.3390/curroncol29020084
APA StyleShalata, W., Levin, D., Fridman, J., Makarov, V., Iraqi, M., Golosky, M., Rouvinov, K., Kian, W., & Yakobson, A. (2022). Metabolic Activity Assessment by 18F-Fluorodeoxyglucose Positron Emission Tomography in Patients after COVID-19 Vaccination. Current Oncology, 29(2), 989-1000. https://doi.org/10.3390/curroncol29020084

