Intrapericardial Doppler Flow Signals in a Patient with Pericardial Effusion
Abstract
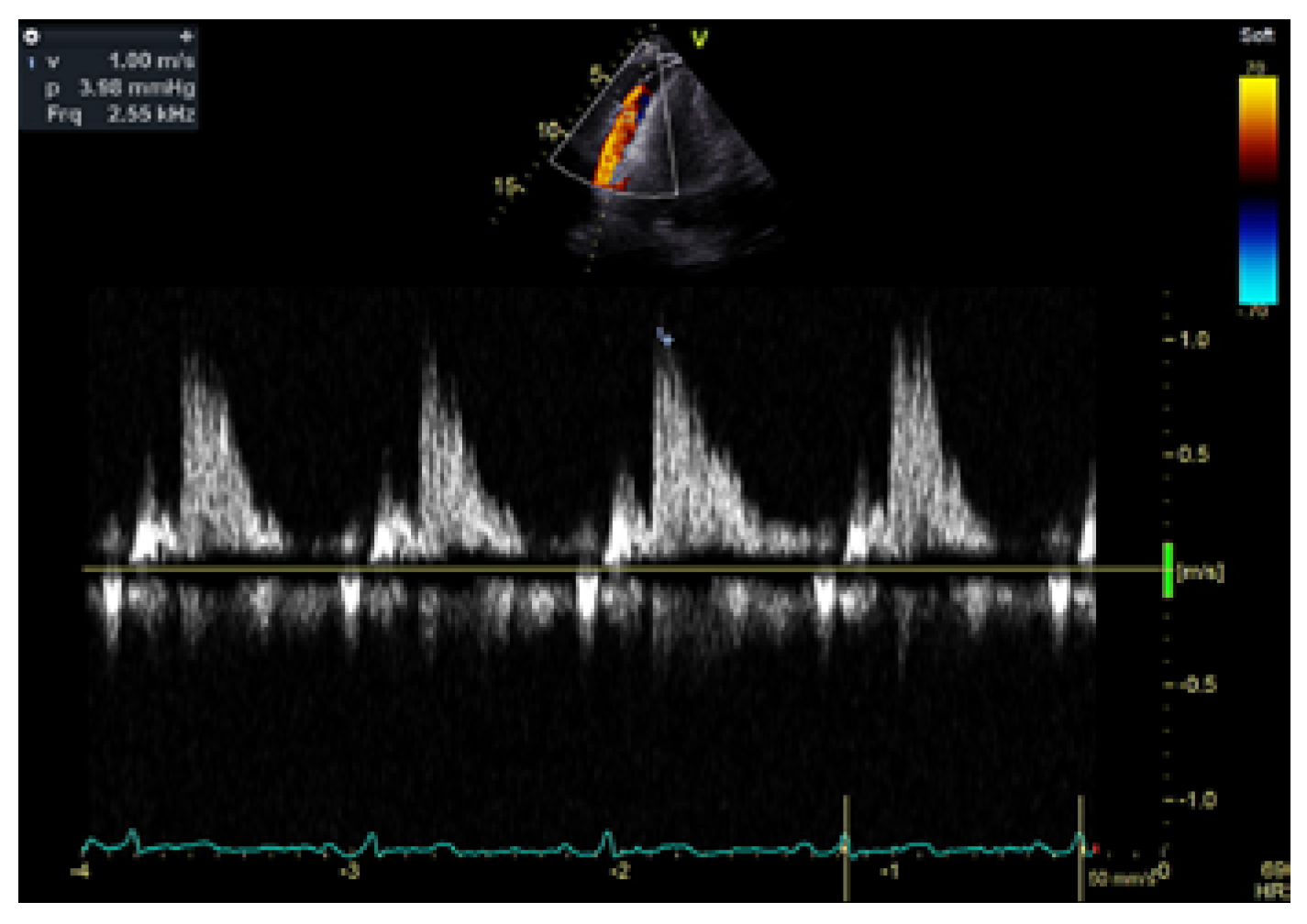
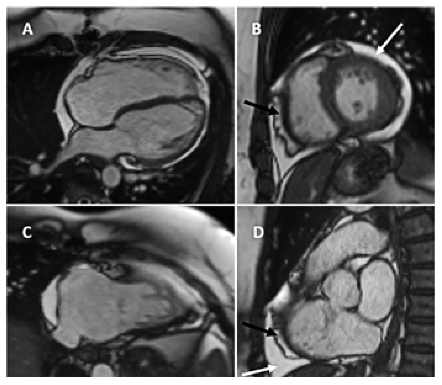
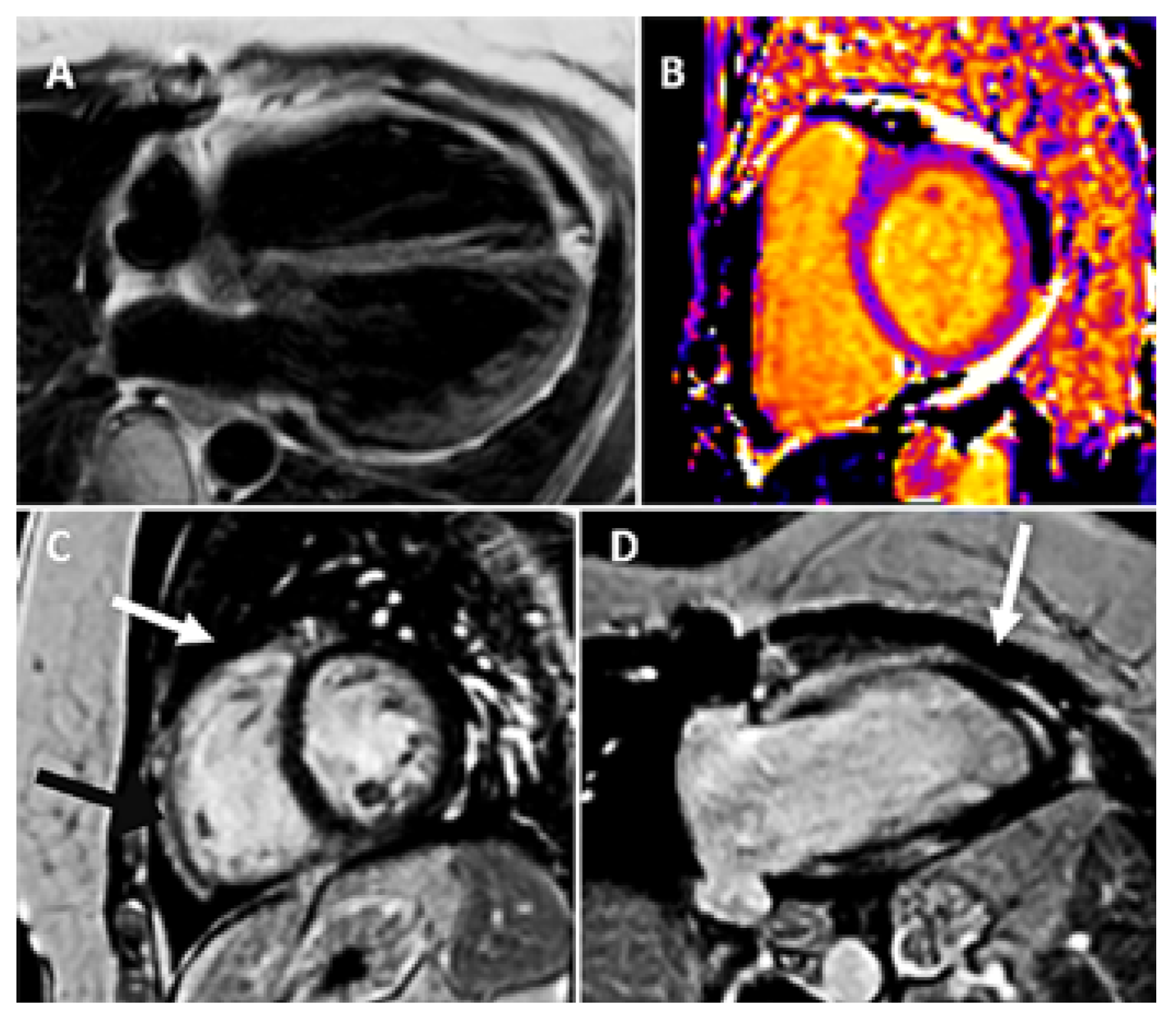
Case Description
Discussion
Disclosure Statement
References
- Burazor, I.; Imazio, M.; Markel, G.; Adler, Y. Malignant Pericardial Effusion. Cardiology. 2013, 124, 224–232. [Google Scholar] [CrossRef] [PubMed]
- Maisch, B.; Ristic, A.; Pankuweit, S. Evaluation and Management of Pericardial Effusion in Patients with Neoplastic Disease. Progress in Cardiovascular Diseases. 2010, 53, 157–163. [Google Scholar] [CrossRef] [PubMed]
- Aoki, T.; Izutsu, K.; Suzuki, R.; et al. Prognostic significance of pleural or pericardial effusion and the implication of optimal treatment in primary mediastinal large B-cell lymphoma: A multicenter retrospective study in Japan. Haematologica. 2014, 99, 1817–1825. [Google Scholar] [CrossRef] [PubMed]
- Ozeki, S.; Utsunomiya, T.; Kishi, T.; et al. Coronary arteriovenous fistula presenting as chronic pericardial effusion. Circ J. 2002, 66, 779–782. [Google Scholar] [CrossRef] [PubMed]
- Mutlu, H.; Serdar Küçükoğlu, M.; Ozhan, H.; et al. A case of coronary artery fistula draining into the pericardium causing hematoma. Cardiovasc Surg. 2001, 9, 201203. [Google Scholar] [CrossRef]
- Gerber, T.C.; Safford, R.E. Intrapericardial Doppler-flow signals in cardiac tamponade. Clin Cardiol. 1999, 22, 231–232. [Google Scholar] [CrossRef] [PubMed]
- Mancuso, L.; Camarda, P.; Mancuso, A.; Valerio, E.; Rebulla, E. Intrapericardial Doppler Flow Signals in a Patient with Postsurgical Pericardial Effusion. J Med Ultrasound. 2017, 25, 173–176. [Google Scholar] [CrossRef] [PubMed]
- Sun, J.P.; Lee, A.P.-W.; Yang, X.S.; Yu, C.M. Doppler flow signals in small amount pericardial effusion after radiofrequency ablation. Intern J Cardiol. 2014, 171, 447–448. [Google Scholar] [CrossRef] [PubMed]




© 2023 by the author. Attribution - Non-Commercial - NoDerivatives 4.0.
Share and Cite
Stempfel, S.; Wustmann, K.; Cook, S.; Arroyo, D. Intrapericardial Doppler Flow Signals in a Patient with Pericardial Effusion. Cardiovasc. Med. 2023, 26, 174. https://doi.org/10.4414/cvm.2023.1243882557
Stempfel S, Wustmann K, Cook S, Arroyo D. Intrapericardial Doppler Flow Signals in a Patient with Pericardial Effusion. Cardiovascular Medicine. 2023; 26(5):174. https://doi.org/10.4414/cvm.2023.1243882557
Chicago/Turabian StyleStempfel, Samuel, Kerstin Wustmann, Stéphane Cook, and Diego Arroyo. 2023. "Intrapericardial Doppler Flow Signals in a Patient with Pericardial Effusion" Cardiovascular Medicine 26, no. 5: 174. https://doi.org/10.4414/cvm.2023.1243882557
APA StyleStempfel, S., Wustmann, K., Cook, S., & Arroyo, D. (2023). Intrapericardial Doppler Flow Signals in a Patient with Pericardial Effusion. Cardiovascular Medicine, 26(5), 174. https://doi.org/10.4414/cvm.2023.1243882557
