Next Article in Journal
Approche de L’insuffisance Cardiaque Terminale dans la Perspective d’une Transplantation
Previous Article in Journal
«My Brain Is My Second Favourite Organ»
 
 
Cardiovascular Medicine is published by MDPI from Volume 28 Issue 1 (2025). Previous articles were published by another publisher in Open Access under a CC-BY (or CC-BY-NC-ND) licence, and they are hosted by MDPI on mdpi.com as a courtesy and upon agreement with Editores Medicorum Helveticorum (EMH).
Font Type:
Arial Georgia Verdana
Font Size:
Aa Aa Aa
Line Spacing:
Column Width:
Background:
Case Report

Intrakoronare Thrombusaspiration Bei Komplexen Perkutanen Rekanalisationen

Kardiologie FMH, HerzZentrum Hirslanden, Witellikerstrasse 36, CH-8008 Zurich, Switzerland
Cardiovasc. Med. 2005, 8(7), 290; https://doi.org/10.4414/cvm.2005.01113
Submission received: 31 May 2005 / Revised: 30 June 2005 / Accepted: 31 July 2005 / Published: 31 August 2005

Summary

The role of a distal protection device in percutaneous coronary interventions is still controversial, although the concept of reducing thrombus load, distal embolisation with consecutive “no-flow” and ultimately negative remodelling due to myocardial scarring is attractive. The lack of widespread popularity of some of the devices in this setting, where “time is muscle”, has been attributed to their somewhat cumbersome handling. In this report we discuss two cases in which thrombus aspiration, using an intuitive and “easy to handle device”, has been pivotal to successful recanalisation of very complex lesions. In one case the culprit lesion had been recanalised 1999 and stented with bare metal stents. Two years later a total chronic-reocclusion recanalised for the second time, restented and brachytherapy applied. Again 2 years later, anginal symptoms recurred. Reestablishment of flow after recanalisation could only be established after repeated thrombus aspiration. The second patient with subacute, severely symptomatic occlusion of a 14-year-old bypass-graft underwent PCI. Due to the heavy thrombus burden, recanalisation and reestablishment of adequate flow was only successful after repeated thrombus aspiration and consecutive stenting.

Zusammenfassung

Das Potential distaler Embolieschutzverfahren bei perkutanen Interventionen im Rahmen des akuten Myokardinfarktes ist umstritten, sie werden daher im klinischen Alltag nicht routinemässig eingesetzt. Grund dafür dürfte deren eher schwerfällige Handhabung sein, die in akuten Situationen besonders bedeutungsvoll werden kann. Wir stellen zwei komplexe Fälle vor, bei denen eine Thrombusaspiration, mittels eines einfachen Verfahrens, eine zentrale Rolle für den Erfolg des Rekanalisationsverfahrens zukam. Beim ersten Patienten wurde 1999 die rechte Kranzarterie bei chronischem Verschluss erstmals rekanalisiert und gestentet. Zwei Jahre später erfolgte eine erneute Rekanalisation, Stent-Einlage und Brachytherapie. Nach weiteren 2 Jahren wurde der Patient wieder symptomatisch, die Koronarangiographie zeigte einen erneuten Verschluss am Gefässabgang. Trotz Rekanalisation und Stent-Einlage konnte der Fluss erst nach wiederholter Thrombusaspiration aufrechterhalten werden. Bei einem zweiten, symptomatischen Patienten mit einer Angina pectoris CCS III zeigte sich ein subakuter, stark mit Thromben beladener Verschluss eines 14jährigen Venengraftes. Auch in diesem Falle war die Rekanalisation nur nach mehrfacher Thrombusaspiration erfolgreich.

Einleitung

Ein distaler Embolisationsschutz wird bei perkutanen Interventionen an den Arteriae carotides zwingend empfohlen. Bei Interventionen an den Koronararterien wird ein solcher unter anderem im Rahmen des akuten Myokardinfarktes und bei der Intervention an Venengrafts propagiert [1], obschon die klinische Bedeutung dieser «protection devices» nicht unumstritten ist. Insbesondere in Europa hat das Guardwire-System Anklang gefunden. Die etwas anspruchsvollere Handhabung des Systems scheint vor allem in den USA sowohl Anwendungsfreudigkeit als auch Interventionsresultate negativ beeinflusst zu haben [2]. Die EMERALD-Studie konnte keinen Vorteil für die Patientengruppe nachweisen, welche auf das PercuSurge Guardwire-System randomisiert wurden. Sowohl der postinterventionelle TIMI-Fluss als auch die szintigraphisch erfasste Infarktgrösse unterschieden sich nicht von denjenigen der Kontrollgruppe [3]. Wir berichten über die Anwendung eines einfach handzuhabenden «Export»-Thrombus-Aspirationskatheters (Abb. 1) unter schwierigeren Rekanalisationsverhältnissen. Dabei handelt es sich um einen 6F-Aspirationskatheter ohne distalen Protektionsmechanismus [4]. Das durch den Katheter aspirierte Thrombusmaterial wird in einem kleinen Sieb zurückgehalten.
Abbildung 1. «Export™»-Thrombus-Aspirationskatheters.. Es handelt sich um einen 6F-Aspirationskatheter ohne distalen Protektionsmechanismus. Das durch den Katheter (schwarzer Pfeil) aspirierte Thrombusmaterial wird in einem kleinen Sieb zurückgehalten (Blockpfeil).
Abbildung 1. «Export™»-Thrombus-Aspirationskatheters.. Es handelt sich um einen 6F-Aspirationskatheter ohne distalen Protektionsmechanismus. Das durch den Katheter (schwarzer Pfeil) aspirierte Thrombusmaterial wird in einem kleinen Sieb zurückgehalten (Blockpfeil).
Cardiovascmed 08 00290 g001
Abbildung 2. Die RCA ist am Abgang über eine lange Strecke verschlossen.
Abbildung 2. Die RCA ist am Abgang über eine lange Strecke verschlossen.
Cardiovascmed 08 00290 g002
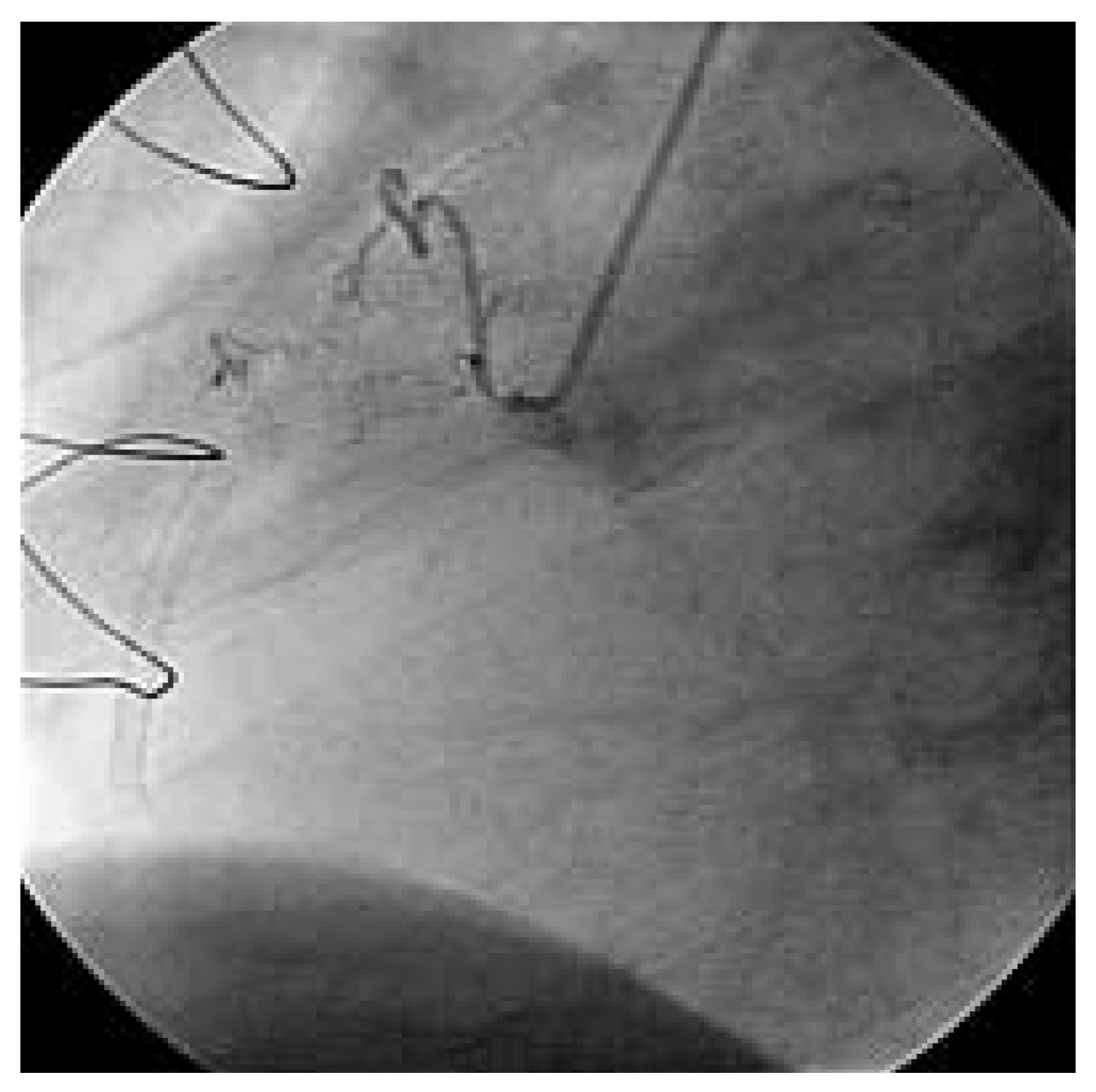
Abbildung 3. Einlage zweier langer beschichteter Stents bis über dem mittleren Gefässdrittel, wobei die Kontrastmittelsäule immer noch im proximalen Gefässanteil still steht.
Abbildung 3. Einlage zweier langer beschichteter Stents bis über dem mittleren Gefässdrittel, wobei die Kontrastmittelsäule immer noch im proximalen Gefässanteil still steht.
Cardiovascmed 08 00290 g003

Fallbeschreibung

Der 74jährige Patient wurde 1991 chirurgisch revaskularisiert (LIMA zu Diagonal-Ast und RIVA, Venengraft zum Ramus intermedius und Posterolateral-Ast [PLA]. 1999 wurde eine perkutane Intervention am RCAmit Stent-Einlage vorgenommen. Zwei Jahre später wurde der Venengraft mit einem Stent versorgt und der RCA rekanalisiert, erneut dilatiert und eine Brachytherapie appliziert. Im Herbst 2003 begann der Patient erneut über typische und reproduzierbare Präkordialgien, entsprechend einer CCS-Klasse III, zu berichten. Eine Rekoronarangiographie zeigte weiterhin einwandfreie Verhältnisse des LIMA- und des gestenteten Venengraftes, die RCA war jedoch am Abgang langstreckig verschlossen (Abb. 2). Der Herzchirurg war der Meinung, dass eine erneute perkutane einer chirurgischen Revaskularisation vorerst vorzuziehen wäre. Eine intravenöse Abciximab-Gabe wurde begonnen. Nach schrittweiser Drahtpassage, alternierend mit repetitiver Ballondilatation bis über die Bifurkation, intrakoronarer Nitrat-Gabe und Einlage zweier langer beschichteter Stents bis über dem mittleren Gefässdrittel, stand die Kontrastmittelsäule immer noch im proximalen Gefässanteil still (Abb. 3). Wir entschieden uns zur Verwendung des «Export»-Thrombus-Aspirationskatheters. Erst nach mehreren Durchgängen mit dem Aspirationskatheter, bei denen thrombotische Debris aspiriert wurden, kam das grosse Gefäss zur Darstellung und wurde der Fluss wieder hergestellt. Das angiographische Resultat war nach Vervollständigung der Intervention sehr zufriedenstellend (Abb. 4). Der Patient war nach der Intervention während 8 Monaten beschwerdefrei und leistungsfähig. Aufgrund eines Prostatakarzinoms wurden mehrere urologische Eingriffe und eine lokale Bestrahlungstherapie notwendig, weshalb Clopidogrel und die orale Antikoagulation sistiert werden mussten. Die perioperative Periode verlief ohne kardiale Komplikationen, der Patient jedoch wurde wieder symptomatisch (CCS-Klasse II). Nicht zuletzt, weil nun wahrscheinlich eine chirurgische Revaskularisation nicht mehr zu umgehen ist, kann sich der Patient zurzeit noch nicht zur diagnostischen Koronarangiographie entschliessen.
Beim zweiten Patienten handelt es sich um einen 72jährigen Patienten, welcher sich 1980 erstmals einer Bypass-Operation unterzog. 1988 wurde er reoperiert (LIMA zu RIVAund Diagonal-Ast, RIMA auf PLA des Ramus circumflexus, Vene zum RIVP der RCA und zum 2. PLA). Nach einer Prostata-Radikaloperation im Sommer 2003 kam es zu einer progredienten Angina pectoris CCS III. Trotz voll ausgebauter antiischämischer Behandlung traten immer häufigere Episoden von Ruhe-Angor auf. Im Februar 2004 zeigte die Koronarangiographie einwandfreie arterielle Bypass-Verhältnisse und einen proximalen, langstrekkigen Verschluss des Venengraftes (Abb. 5). Nach Drahtpassage und mehrfacher, langstreckiger Ballondilatation und intravaskulärer Nitrat-Gabe kommt kein antegrader Fuss zustande (Abb. 6). Erst nach mehreren Passagen mit dem Thrombusaspirationskatheter kommt der Venenbypass und die angeschlossenen Gefässe zur Darstellung. Das Endresultat nach Stenteinlage (Abb. 7 und 8) ist sehr zufriedenstellend. Der Patient ist seit dem Eingriff beschwerdefrei.
Abbildung 4. Nach mehreren Durchgängen mit dem «Export™»-Thrombus-Aspirationskatheter, bei denen thrombotische Debris aspiriert wurde, kommt der RCA zur Darstellung, der Fluss ist wieder hergestellt. Das angiographische Resultat ist sehr zufriedenstellend.
Abbildung 4. Nach mehreren Durchgängen mit dem «Export™»-Thrombus-Aspirationskatheter, bei denen thrombotische Debris aspiriert wurde, kommt der RCA zur Darstellung, der Fluss ist wieder hergestellt. Das angiographische Resultat ist sehr zufriedenstellend.
Cardiovascmed 08 00290 g004
Abbildung 5. 2.Patient: Proximaler, langstreckiger Verschluss des Venengraftes.
Abbildung 5. 2.Patient: Proximaler, langstreckiger Verschluss des Venengraftes.
Cardiovascmed 08 00290 g005
Abbildung 6. Nach Drahtpassage und trotz mehrfacher, langstrekkiger Ballon-Dilatation und intravaskulärer Nitrat-Gabe kommt kein antegrader Fuss im Venengraft zustande.
Abbildung 6. Nach Drahtpassage und trotz mehrfacher, langstrekkiger Ballon-Dilatation und intravaskulärer Nitrat-Gabe kommt kein antegrader Fuss im Venengraft zustande.
Cardiovascmed 08 00290 g006

Diskussion

Die Nachteile des ursprünglichen Guardwire-Verfahrens sind die etwas umständliche Vorbereitung des Systems und die mögliche zusätzliche Ischämie durch die längere Gefässokklusion durch den Ballon sowie das embolisieren von Thromben in die vor der Okklusion abgehenden Seitenäste. Zudem ist eine angiographische Orientierung durch Kontrastmittel-Injektion während der Stent-Apposition bei entfaltetem System nicht möglich. Der rein mechanische Ansatz der Thrombus-Aspiration ohne distale Protektion bedarf ebenfalls – wie im Falle seines etwas komplizierteren Vorgängers – einer genaueren prospektiven Analyse, zumal die ersten kleineren Kasuistiken beim Guardwire-System durchwegs positiv ausgefallen waren. Die einfache Handhabung des Systems scheint jedoch einen Vorteil darzustellen. Die klinische Erfahrung zeigt, dass bei einzelnen Patienten ein vernünftiger Koronarfluss erst mit dem Absaugen von thrombotischem und Débris-beladenem Material hergestellt werden kann. Als Alternative könnten sich diverse «Filter» anbieten, welche distal der Stenose und vor der Dilatation entfaltet werden. Einer der potentiellen Nachteile ist jedoch auch hier, dass die Passage des Filters zur Löslösung und distalen Embolisation von Plaque und Thrombus führen kann.
Zusammenfassend kann gesagt werden, dass die Anwendung einer einfachen Thrombus-Aspirationsmethode auch im Falle chronisch langstreckig mehrfach verschlossener und rekanalisierter Gefässe sinnvoll sein kann, insbesondere wenn sich kein prompter Fluss nach den ersten Ballon-Inflationen einstellt.
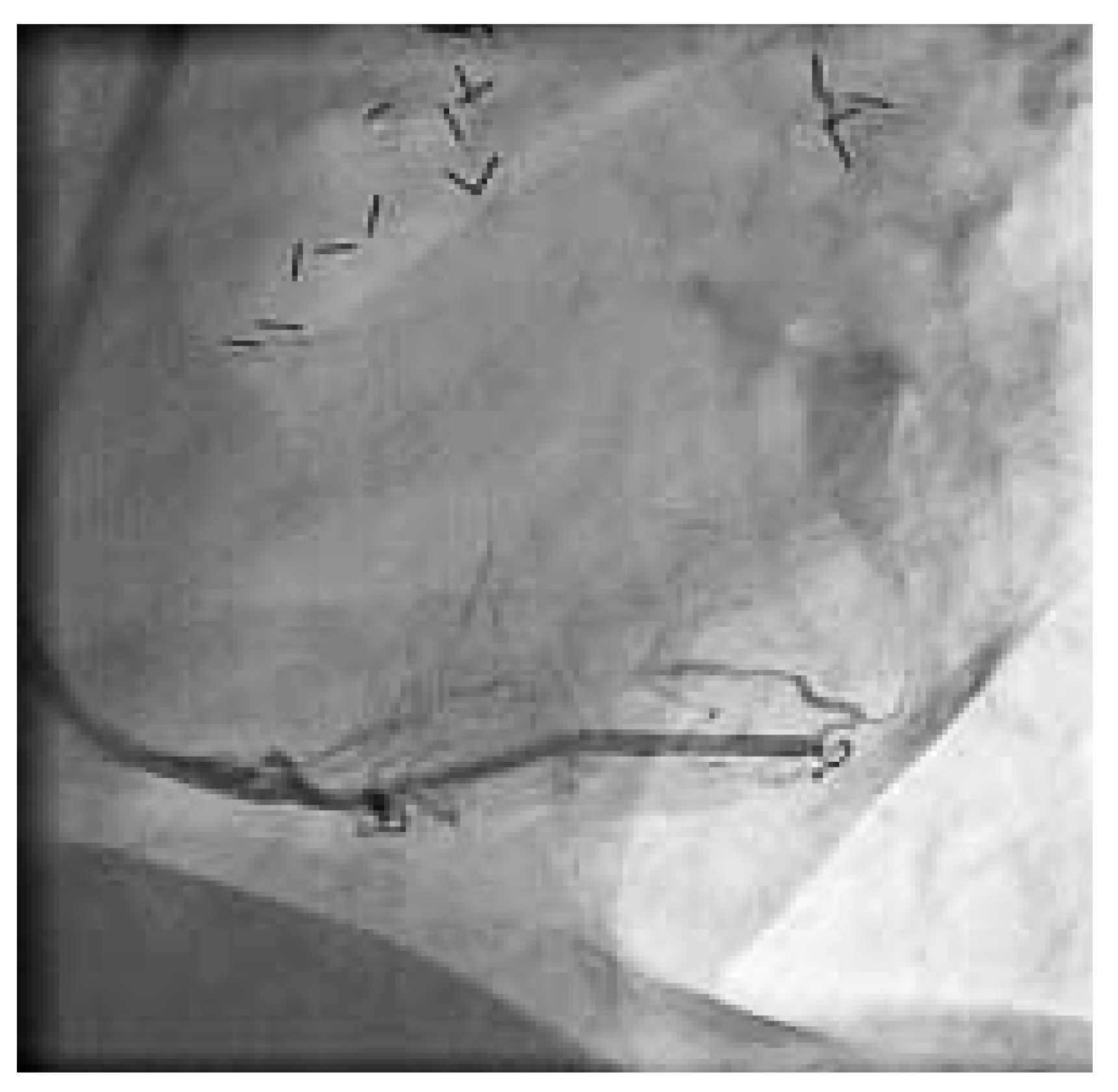
Abbildung 7. Nach Thrombus-Aspirationskatheter kommt der Venenbypass zur Darstellung (hier proximaler Abschnitt).
Abbildung 7. Nach Thrombus-Aspirationskatheter kommt der Venenbypass zur Darstellung (hier proximaler Abschnitt).
Cardiovascmed 08 00290 g007
Abbildung 8. Fortsetzung des Venengraftes (Abb. 7) und Peripherie mit promptem Fluss.
Abbildung 8. Fortsetzung des Venengraftes (Abb. 7) und Peripherie mit promptem Fluss.
Cardiovascmed 08 00290 g008

References

  1. Baim, D.S.; Wahr, D.; George, B.; Leon, M.B.; Greenberg, J.; Cutlip, D.E.; et al. Randomized trial of a distal embolic protection device during percutaneous intervention of saphenous vein aorto-coronary bypass grafts. Circulation 2002, 105, 1285–1290. [Google Scholar] [CrossRef] [PubMed]
  2. Stone, G.W.; Cox, D.A.; Babb, J.; Nutka, et al. Prospective, randomized evaluation of thrombectomy prior to percutaneous intervention in diseased saphenous vein grafts and thrombus containing coronary arteries. J Am Coll Cardiol 2003, 42, 2007–2013. [Google Scholar] [CrossRef] [PubMed][Green Version]
  3. Stone, G. Communication on the behalf of the EMERALD investigators, ACC-Kongress New Orleans, 7.3.2004.[Green Version]
  4. Wang, H.J.; Kao, H.L.; Liau, C.S.; Lee, Y.T. Export aspiration catheter thrombosuction before actual angioplasty in primary coronary intervention for acute myocardial infarction. Cathet Cardiovasc Interv 2002, 57, 332–339. [Google Scholar] [CrossRef] [PubMed]

Share and Cite

MDPI and ACS Style

Wagdi, P. Intrakoronare Thrombusaspiration Bei Komplexen Perkutanen Rekanalisationen. Cardiovasc. Med. 2005, 8, 290. https://doi.org/10.4414/cvm.2005.01113

AMA Style

Wagdi P. Intrakoronare Thrombusaspiration Bei Komplexen Perkutanen Rekanalisationen. Cardiovascular Medicine. 2005; 8(7):290. https://doi.org/10.4414/cvm.2005.01113

Chicago/Turabian Style

Wagdi, P. 2005. "Intrakoronare Thrombusaspiration Bei Komplexen Perkutanen Rekanalisationen" Cardiovascular Medicine 8, no. 7: 290. https://doi.org/10.4414/cvm.2005.01113

APA Style

Wagdi, P. (2005). Intrakoronare Thrombusaspiration Bei Komplexen Perkutanen Rekanalisationen. Cardiovascular Medicine, 8(7), 290. https://doi.org/10.4414/cvm.2005.01113

Article Metrics

Back to TopTop