Eine Frau mit einer Intramyokardialen Verkalkung
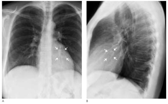
Fallbeschreibung
Diskussion

References
- Klein, G.J.; Kostuk, W.J.; Black, L.; Ahuja, S.P. Calcification in an intramyocardial mass lesion: isolated calcification of an accessory papillary muscle in a patient with mitral prolapse. Cathet Cardiovasc. Diagn. 1978, 4, 91–95. [Google Scholar] [CrossRef] [PubMed]
- Sekine, S.; Abe, T.; Kuribayashi, R.; Aida, H.; Seki, K.; Shibata, Y. Mitral regurgitation caused by mitral paraannular cyst. J. Heart Valve Dis. 1997, 6, 67–68. [Google Scholar] [PubMed]
- Huhmann, W.; Frank, G.; Lichtlen, P.; Borst, H.G. Intramyocardial calcification of unknown origin. Thoraxchir. Vask. Chir. 1977, 25, 45–51. [Google Scholar] [PubMed]
- Sommer, K.; Lajos, T.Z.; Visco, J.P. Intramyocardial calcification in the elderly. A diagnostic and therapeutic puzzle. Chest 1992, 102, 317–319. [Google Scholar] [CrossRef] [PubMed]


© 2025 by the authors. Licensee MDPI, Basel, Switzerland. This article is an open access article distributed under the terms and conditions of the Creative Commons Attribution (CC BY) license (https://creativecommons.org/licenses/by/4.0/).
Share and Cite
Spieker, L.; Maier, W.; Jenni, R. Eine Frau mit einer Intramyokardialen Verkalkung. Cardiovasc. Med. 2004, 7, 218. https://doi.org/10.4414/cvm.2004.01025
Spieker L, Maier W, Jenni R. Eine Frau mit einer Intramyokardialen Verkalkung. Cardiovascular Medicine. 2004; 7(5):218. https://doi.org/10.4414/cvm.2004.01025
Chicago/Turabian StyleSpieker, Lukas, Willibald Maier, and Rolf Jenni. 2004. "Eine Frau mit einer Intramyokardialen Verkalkung" Cardiovascular Medicine 7, no. 5: 218. https://doi.org/10.4414/cvm.2004.01025
APA StyleSpieker, L., Maier, W., & Jenni, R. (2004). Eine Frau mit einer Intramyokardialen Verkalkung. Cardiovascular Medicine, 7(5), 218. https://doi.org/10.4414/cvm.2004.01025
