Next Article in Journal
Appropriateness of Cholesterol Management in Swiss Clinical Practice
Previous Article in Journal
La Réadaptation Cardiaque: Une Expérience de 30 ans
 
 
Cardiovascular Medicine is published by MDPI from Volume 28 Issue 1 (2025). Previous articles were published by another publisher in Open Access under a CC-BY (or CC-BY-NC-ND) licence, and they are hosted by MDPI on mdpi.com as a courtesy and upon agreement with Editores Medicorum Helveticorum (EMH).
Font Type:
Arial Georgia Verdana
Font Size:
Aa Aa Aa
Line Spacing:
Column Width:
Background:
Case Report

Interventionelle Behandlung der Massiven Lungenembolien

LA Kardiologie Cardiocentro Ticino Via Tesserete 48, CH-6900 Lugano, Switzerland
*
Author to whom correspondence should be addressed.
Cardiovasc. Med. 2004, 7(3), 136; https://doi.org/10.4414/cvm.2004.01016
Submission received: 31 December 2003 / Revised: 31 January 2004 / Accepted: 29 February 2004 / Published: 31 March 2004

Summary

Massive pulmonary embolism (PE) is a potentially life threatening disease. Besides systemic thrombolysis, which is indicated in massive or submassive PE, mechanical thrombectomy using surgical or endoluminal techniques could be an alternative therapeutic option. A multitude of different devices (Pigtail rotational catheter, Clot-Buster, etc.) are available to treat severe cases of massive PE. Several case reports and small studies reported optimistic results and qualified some devices as safe and effective in patients with contraindications to thrombolytic therapy.
We report on a 60-years-old man with increasing dyspnea for several weeks and signs of cardiogenic shock at the arrival in the emergency room. ECG and echocardiography with massive dilatation of the right ventricle lead to the diagnosis of massive pulmonary embolism. A systemic thrombolytic therapy failed to improve the clinical or haemodynamical situation. An attempt to remove/fragment the thrombotic material by an endoluminal catheter (Pig Tail) resulted only in a partial angiographic improvement. The patient died after prolonged reanimation in electromechanical dissociation.

Zusammenfassung

Massive Lungenembolien (LE) stellen eine lebensbedrohliche Situation dar. Neben der systemischen Lyse-Therapie, deren Indikation bei massiver LE gesichert erscheint, bietet sich auch eine mechanische Thrombektomie, sei es auf chirurgischem oder endoluminalem Wege, als therapeutische Alternative an. Heutzutage stehen eine Vielzahl verschiedener Katheter-«Devices» (Pigtail-Rotationskatheter, Impeller-Katheter, Thrombusfragmentierung mittels Wasserstrahlprinzip, ...) der Therapie von massiven Lungenembolien zur Verfügung. Erste Ergebnisse von Fallstudien geben durchaus Anlass zu Optimismus, die Systeme werden als sichere und effektive Therapie-Optionen beschrieben bei absoluter Kontraindikation zur systemischen Lyse oder bei deren Versagen.
Bei unserem Patienten handelt es sich um einen 60jährigen Mann, der sich aufgrund seit Wochen zunehmender Luftnot bereits mit den Zeichen eines kardiogenen Schocks in der Notaufnahme einfand. EKG und Echokardiografie führten rasch zur Arbeitsdiagnose einer massiven Lungenembolie. Die systemische Thrombolyse sorgte nicht für die erhoffte Besserung der klinischen und hämodynamischen Situation. Der Versuch der mechanischen Fragmentierung des Thrombusmaterials mittels Rotationskatheter war aus angiographischer Sicht teilweise erfolgreich, der Patient verstarb allerdings wegen persistierendem Schock an einer elektromechanischen Dissoziation.

Fallbeschreibung

Ein 60jähriger Mann ohne bekannte kardiovaskuläre Risikofaktoren stellte sich mit seit einigen Wochen zunehmender Dyspnoe in der Notaufnahme vor. Schon bei Spitaleintritt waren die Kriterien eines kardiogenen Schocks erfüllt: Der systemische Blutdruck betrug 80/60 mm Hg, die Herzfrequenz 110/min, auffällig waren zudem massiv gestaute Halsvenen. Aufgrund des Rechtsschenkelblockbildes im EKG mit S1—Q3-Phänomen (Abb. 1) sowie einer massiven Dilatation der rechten Herzkammern in der Echokardiographie stellten wir die Verdachtsdiagnose einer zentralen, lebensbedrohlichen Lungenembolie und leiteten eine systemische Fibrinolyse mit r-tPA (front loaded) ein. Leider führte diese Massnahme nicht zu einer klinischen bzw. hämodynamischen Besserung des mittlerweile kritischen Zustands des Patienten, so dass rasch ein chirurgischer Eingriff bzw. eine mechanische Desobstruktion der Lungenzirkulation in Erwägung gezogen werden musste. Da die Herz-Lungen-Maschine wegen einer gleichzei-tig stattfindenden Bypass-Operation nicht zur Verfügung stand, entschieden wir uns für eine mechanische, endoluminale Fragmentierung und damit Mobilisierung des thrombotischen Materials. Zwischenzeitlich machten zunehmende, therapierefraktäre Bradykardien die Einlage eines provisorischen Herzschrittmachers notwendig. Schliesslich zeigte die nicht selektive Pulmonalis-Angiographie (Abb. 2) eine fast vollständige Amputation beider pulmonal-arterieller Gefässstämme. Mit verschiedenen Kathetern versuchten wir die ausgeprägten thrombotischen Ablagerungen zu zerkleinern und damit zu mobilisieren, allerdings nur mit partiellem Erfolg (Abb. 3). Der Patient verstarb schliesslich nach einer prolongierten Reanimation in Folge einer elektromechanischen Entkopplung.

Diskussion

Im Falle von massiven Lungenarterienembolien mit hämodynamischer Beeinträchtigung (Schock-Index ≥1) gilt die Indikation zur systemischen Lyse-Therapie als gesichert (Abb. 4). Alternativ dazu können auch eine mechanische Thrombektomie, sei es auf endoluminalem oder chirurgischem Wege, in Betracht gezogen werden. Auch wenn heutzutage noch kein Konsens über die Bedeutung der endoluminalen Therapie besteht, so liefern doch zahlreiche Fallstudien ermutigende Resultate. Die verschiedenen Therapieansätze unterscheiden sich hierbei zum Teil erheblich.
Die ersten Erfahrungen auf dem Gebiet der interventionellen Behandlung der Lungenembolie sammelte 1993 Greenfield [1] mit einem 10-F-Extraktionskatheter. Seitdem wurden zahlreiche weitere Methoden erprobt: Fragmentierung mittels Pigtail-Rotationskatheter, Fragmentierung mittels Propeller (Clot-Buster), Thrombusfragmentierung mittels Wasserstrahlprinzip (Angiojet, Hydrolyser), Aspirationstechnik usw. [2,3,4,5,6,7,8,9,10].
Besonders gute Ergebnisse scheint die Kombination von mechanischer Fragmentierung des Embolus mit lokaler Lyse zu liefern [2,8]. Diverse Studien belegen einen angiographisch ermittelten Therapieerfolg von 76% bei einer peri-interventionellen Mortalität von 25% [11].
Sicherlich sind zukünftig noch randomisierte Studien notwendig, um den Nutzen dieser katheterinterventionellen Methoden definitiv zu beurteilen.

References

  1. Kucher, N.; et al. Novel management strategy for patients with suspected pulmonary embolism. Eur Heart J 2003, 24, 366–376. [Google Scholar] [CrossRef] [PubMed]
  2. Greenfiled, L.J.; Proctor, M.C.; Williams, D.M.; Wakefield, T.W. Long-term experience with transvenous catheter pulmonary embolectomy. J Vasc Surg 1993, 18, 450. [Google Scholar] [CrossRef][Green Version]
  3. Fava, M.; et al. Mechanical fragmentation and pharmacological thrombolysis in massive pulmonary embolism. J Vasc Interv Radiol 1997, 8, 261. [Google Scholar] [CrossRef] [PubMed]
  4. Schmitz-Rode, T.; et al. Fragmentation of massive pulmonary embolism using a pigtail rotation catheter. Chest 1998, 114, 1427. [Google Scholar] [CrossRef]
  5. Fava, M.; et al. Massive pulmonary embolism: treatment with the hydrolyser thrombectomy catheter. J Vasc Interv Radiol 2000, 11, 1159–1164. [Google Scholar] [CrossRef] [PubMed]
  6. Koenig, R.; et al. A new treatment for severe pulmonary embolism: percutaneuos rheolytic thrombectomy. Circulation 1997, 96, 2498–2500. [Google Scholar] [CrossRef] [PubMed]
  7. Uflaker, R. Interventional therapy for pulmonary embolism. J Vasc Interv Radiol 2001, 12, 147. [Google Scholar] [CrossRef] [PubMed]
  8. Murphy, J.M.; et al. Percutaneous catheter and guidewire fragmentation with local administration of recombinant tissue plasminogen activator as a treatment for massive pulmonary embolism. Eur Radiol 1999, 9, 959. [Google Scholar] [CrossRef] [PubMed]
  9. Cho, K.J.; et al. Catheter technique for pulmonary embolectomy or thrombofragmentation. Semin Vasc Surg 2000, 13, 221. [Google Scholar] [PubMed]
  10. Muller-Hulsbeck, S.; et al. Mechanical thrombectomy of major and massive pulmonary with use of the Amplatz thrombectomy device. Invest Radiol 2001, 36, 317. [Google Scholar] [CrossRef] [PubMed]
  11. Sharaffudin, M.J.A.; et al. Current status of percutaneous mechanical thrombectomy. Part II. Devices and mechanism of action. J Vasc Interv Radiol 1998, 9, 15. [Google Scholar] [CrossRef] [PubMed]
Abbildung 1. EKG bei Spitaleintritt: Tachykarder Sinusrhythmus, überdrehter Rechtslagetyp, partieller Rechtsschenkelblock. Zu erwähnen neben der Tachykardie und der ungewöhnlichen Lage ein S1–Q3-Phänomen.
Abbildung 1. EKG bei Spitaleintritt: Tachykarder Sinusrhythmus, überdrehter Rechtslagetyp, partieller Rechtsschenkelblock. Zu erwähnen neben der Tachykardie und der ungewöhnlichen Lage ein S1–Q3-Phänomen.
Cardiovascmed 07 00136 g001
Abbildung 2. Nicht-selektive Pulmonalis-Angiographie (Pigtail 6 F) mit auffälliger Amputation zahlreicher ar-terieller Lungensegmente (Markierung), insbesondere der oberen rechten und der gesamten linken Strombahn.
Abbildung 2. Nicht-selektive Pulmonalis-Angiographie (Pigtail 6 F) mit auffälliger Amputation zahlreicher ar-terieller Lungensegmente (Markierung), insbesondere der oberen rechten und der gesamten linken Strombahn.
Cardiovascmed 07 00136 g002
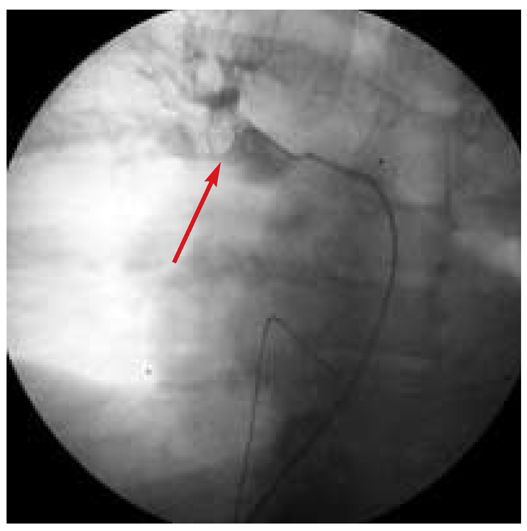
Abbildung 3. Partielle Rekanalisierung der oberen rechten Lungenarterie durch Katheterfragmentierung. Es können nun vorher nicht sichtbare Gefässe dargestellt werden (Markierung).
Abbildung 3. Partielle Rekanalisierung der oberen rechten Lungenarterie durch Katheterfragmentierung. Es können nun vorher nicht sichtbare Gefässe dargestellt werden (Markierung).
Cardiovascmed 07 00136 g003
Abbildung 4. Therapiemanagement der akuten Lungembolie (N. Kucher, O. Hess. Eur Heart J 2003;24:366–76).
Abbildung 4. Therapiemanagement der akuten Lungembolie (N. Kucher, O. Hess. Eur Heart J 2003;24:366–76).
Cardiovascmed 07 00136 g004

Share and Cite

MDPI and ACS Style

Pedrazzini, G.B.; Sürder, D.; Bomio, F.; Moccetti, T. Interventionelle Behandlung der Massiven Lungenembolien. Cardiovasc. Med. 2004, 7, 136. https://doi.org/10.4414/cvm.2004.01016

AMA Style

Pedrazzini GB, Sürder D, Bomio F, Moccetti T. Interventionelle Behandlung der Massiven Lungenembolien. Cardiovascular Medicine. 2004; 7(3):136. https://doi.org/10.4414/cvm.2004.01016

Chicago/Turabian Style

Pedrazzini, G. B., D. Sürder, F. Bomio, and T. Moccetti. 2004. "Interventionelle Behandlung der Massiven Lungenembolien" Cardiovascular Medicine 7, no. 3: 136. https://doi.org/10.4414/cvm.2004.01016

APA Style

Pedrazzini, G. B., Sürder, D., Bomio, F., & Moccetti, T. (2004). Interventionelle Behandlung der Massiven Lungenembolien. Cardiovascular Medicine, 7(3), 136. https://doi.org/10.4414/cvm.2004.01016

Article Metrics

Back to TopTop