Next Article in Journal
Short-Term Outcomes in Influenza Virus-Related Myocarditis: A Single-Centre Real-Life Experience
Previous Article in Journal
The Prevalence of Cardiovascular–Kidney–Metabolic Syndrome: A Review of Published Estimates and New Findings from BRFSS Surveys
 
 
Font Type:
Arial Georgia Verdana
Font Size:
Aa Aa Aa
Line Spacing:
Column Width:
Background:
Case Report

Prolonged Sinus Arrest Following Traumatic Brain Injury: A Case of Reversible Autonomic Cardiac Dysfunction

1
Department of Medicine, Brookdale University Hospital & Medical Center, Brooklyn, NY 11203, USA
2
Department of Medicine, SUNY Downstate Medical Center, Brooklyn, NY 11203, USA
3
Department of Medicine, Division of Cardiovascular Diseases, NYC Health + Hospitals/Kings County, SUNY Downstate Health Sciences University, Brooklyn, NY 11203, USA
*
Author to whom correspondence should be addressed.
Cardiovasc. Med. 2026, 29(1), 6; https://doi.org/10.3390/cardiovascmed29010006
Submission received: 2 November 2025 / Revised: 14 January 2026 / Accepted: 28 January 2026 / Published: 10 February 2026

Abstract

Cardiac disturbances are well-recognized in traumatic brain injury (TBI), but most involve supraventricular arrhythmias or repolarization abnormalities, while sinus arrest is rarely reported. We present a case of a 37-year-old man who developed recurrent, prolonged sinus arrest following severe TBI. He arrived intubated for airway protection after an assault, and imaging demonstrated an acute, depressed, comminuted right temporoparietal skull fracture scattered subarachnoid hemorrhage, and bilateral humeral head fractures with posterior shoulder subluxation. After craniotomy and placement of an external ventricular drain (EVD) for intracranial pressure (ICP) monitoring, the patient experienced multiple spontaneous sinus arrest episodes lasting up to 15 s despite normal metabolic, electrolyte, and toxicology evaluations. A transvenous pacemaker (TVP) was inserted to maintain adequate cardiac output and cerebral perfusion. As ICP improved, the sinus arrests resolved and the TVP was removed. This case highlights a rare neurocardiac manifestation of TBI, demonstrating that elevated ICP can precipitate profound conduction disturbances that may require temporary pacing to manage hemodynamics and prevent secondary brain injury.

1. Introduction

Traumatic brain injury (TBI) is a significant public health issue, with even mild TBI leading to cardiovascular events and fatalities [1]. Cardiac injury in TBI can be seen with arrhythmias, regional wall motion abnormalities, troponin elevation, myocardial stunning and even takotsubo cardiomyopathy [2]. In TBI, autonomic dysregulation can result in cardiac arrhythmia. This is commonly associated with prolonged QTc and supraventricular arrhythmias, and other studies have shown atrial fibrillation, atrial flutter, premature atrial contractions, and bradycardia [3]. We present a rare case of a patient with TBI presenting with multiple episodes of sinus arrest which improved with reduction in intracranial pressure.

2. Case Presentation

A 37-year-old man with no prior medical history was brought to the emergency department after sustaining multiple blows to the head and torso during an assault. He arrived unresponsive with a Glasgow Coma Scale (GCS) score of 6 (E1V1M4). His initial vital signs included a blood pressure of 110/70 mmHg, heart rate of 68 beats/min, respiratory rate of 20 breaths/min, oxygen saturation of 96% on room air, and temperature of 36.9 °C. Due to poor airway protection, he was intubated shortly after arrival.
Primary trauma assessment revealed no thoracoabdominal injuries; however, a large right temporal scalp hematoma was present. Secondary survey identified bilateral shoulder deformities with restricted movement. Laboratory evaluations—including complete blood count, metabolic profile, arterial blood gas, and electrolytes (potassium, calcium, magnesium, and phosphorus)—were within normal limits, ruling out metabolic precipitants of arrhythmia. Toxicology screening was negative.
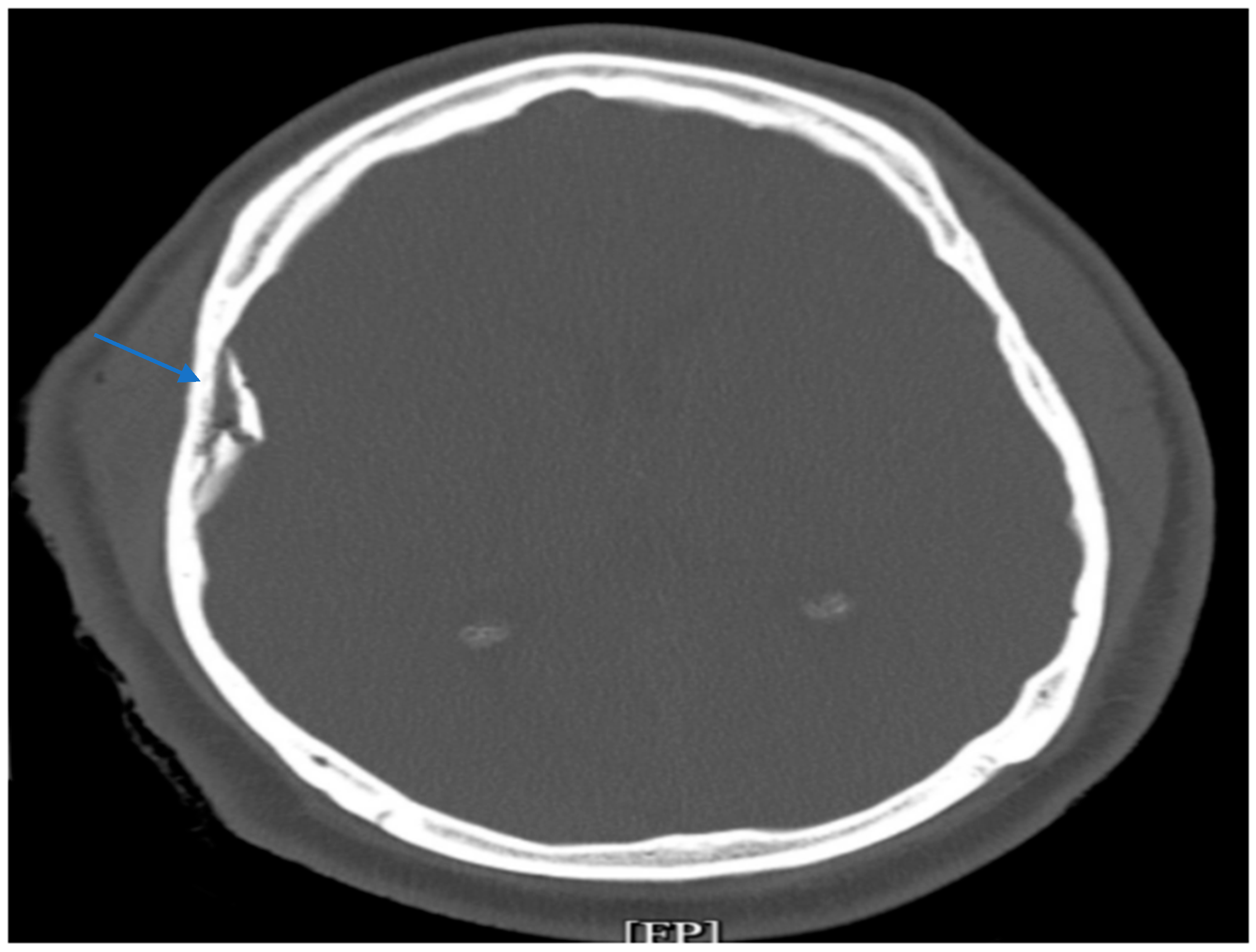
Non-contrast head CT demonstrated (Figure 1) an acute, depressed, comminuted right temporoparietal skull fracture with a small underlying contusion, scattered subarachnoid hemorrhage, and mild pneumocephalus (Figure 1). According to the Marshall CT Classification, this corresponded to Diffuse Injury II. His trauma severity was significant, with an Injury Severity Score (ISS) of 29, reflecting severe polytrauma. Imaging also showed bilateral displaced humeral head fractures with posterior glenohumeral subluxation. Neurosurgery performed urgent craniotomy, elevated the depressed bone fragments, evacuated the contusion, and placed an external ventricular drain (EVD) for continuous intracranial pressure (ICP) monitoring and cerebrospinal fluid diversion.
Postoperatively, the patient was admitted to the ICU. Initial ICP remained elevated at 22–25 mmHg. Sedation consisted of propofol 30–50 mcg/kg/min and fentanyl 25–75 mcg/h, and norepinephrine was titrated to maintain adequate cerebral perfusion. Approximately 12 h later, he developed multiple episodes of spontaneous sinus arrests lasting up to 15 s (Figure 2). During these events, his heart rate dropped to zero, his arterial tracing flattened, and his ICP remained within the 22–25 mmHg range, suggesting a pressure-driven autonomic disturbance. Blood pressure transiently decreased to 70/40 mmHg but recovered spontaneously. No metabolic abnormalities, hypoxia, or drug-related triggers were identified.
A transvenous pacemaker (TVP) was inserted via the right internal jugular vein to maintain cardiac output, after which his mean arterial pressure stabilized above 80 mmHg. Concurrent ICP measurements gradually improved over the next 72 h to 12–15 mmHg, paralleling cessation of the sinus arrests. A transthoracic echocardiogram obtained early during these episodes showed normal biventricular size and function with no structural or valvular abnormalities, supporting a neurogenic rather than cardiogenic etiology. No electrophysiology study was pursued, as the arrhythmia resolved with ICP control.
Once neurologically improved (GCS 14) and stable in sinus rhythm, the patient was extubated. His shoulder fractures were treated conservatively with planned outpatient rehabilitation. After 14 days, he was discharged with a 24 h Holter monitor and cardiology, neurosurgical, and orthopedic follow-ups were scheduled.

3. Discussion

This case highlights a rare presentation of recurrent sinus arrest in the setting of acute traumatic brain injury (TBI) associated with elevated intracranial pressure (ICP). Although cardiac arrhythmias are recognized in severe TBI, they are most often limited to sinus tachycardia, sinus bradycardia, or repolarization abnormalities; prolonged sinus arrest lasting up to 15 s is exceedingly uncommon. In this patient, the close relationship between elevated ICP (22–25 mmHg), declining neurological status, and repeated sinus pauses strongly supports a neurogenic mechanism of conduction disturbance.
TBI patients are typically stabilized in the ED and then admitted to the ICU for ICP-directed management. In this case, craniotomy with hematoma evacuation and EVD placement allowed both decompression and continuous monitoring [3]. As the spectrum of ECG abnormalities in TBI is still evolving [4], continuous telemetry was essential, particularly because ECG changes described in the literature—such as ST-segment or T-wave abnormalities—are usually repolarization disturbances rather than profound conduction issues [3]. Although prior studies describe arrhythmias in TBI, recurrent sinus arrest remains uncommon. A number of operative and postoperative strategies could further mitigate early postoperative ICP elevation.
ECG abnormalities in severe TBI generally fall into two groups: repolarization disorders (ST-segment changes, T-wave abnormalities, pathologic Q waves) and conduction disturbances such as QT prolongation or QRS widening [3]. Arrhythmias associated with increased ICP are typically supraventricular—most often sinus tachycardia or bradycardia—while atrial or atrioventricular junctional rhythms are less frequently observed. These disturbances are believed to result from sympathetic surges and catecholamine-mediated myocardial injury [3,4,5].
Despite surgical decompression, the patient’s ICP remained elevated, contributing to recurrent sinus arrest and associated hypotension to 70/40 mmHg. Placement of a transvenous pacemaker (TVP) stabilized his rhythm, maintained a heart rate of 70–80 bpm, and improved mean arterial pressure above 80 mmHg. As ICP improved over 72 h, the arrhythmias resolved and the TVP was discontinued. Sedation with propofol (30–50 mcg/kg/min) and fentanyl (25–75 mcg/hour), along with norepinephrine (0.03–0.06 mcg/kg/min), supported cerebral perfusion; beta-blockers were avoided because they would have suppressed the compensatory sympathetic tone required to maintain cardiac output in the setting of bradyarrhythmia.
Following TBI, a marked catecholamine surge can trigger paroxysmal sympathetic hyperactivity, characterized by episodic hypertension, tachycardia, hyperthermia, diaphoresis, and multiorgan dysfunction—and may worsen cerebral edema via neuroinflammation [6]. Although beta-blockers have been associated with possible mortality benefit [7], their early use in this case could have exacerbated sinus arrest and precipitated further cerebral hypoperfusion.
Hypotension is a major predictor of poor outcomes in severe TBI and must be aggressively prevented [8]. Common causes include blood loss, ICP-induced diabetes insipidus, myocardial contusion, or spinal cord injury [8]. Bradyarrhythmia-related hypotension, though less frequent, can also contribute to secondary brain injury, while in some cases the opposite pattern,; Cushing’s reflex with hypertension and bradycardia, may occur.
Early TVP placement likely minimized secondary brain injury by maintaining adequate cerebral perfusion during prolonged sinus pauses. However, the role of temporary pacing in TBI-related arrhythmias remains poorly defined, and further research is needed to identify which patients may benefit most from its use.
Following stabilization and removal of the TVP, the patient was discharged with a 24 h Holter monitor to screen for delayed arrhythmias and was scheduled for cardiology follow-up at two weeks, neurosurgical evaluation at one month, and orthopedic care for fracture rehabilitation. Early outpatient visits showed no recurrence of arrhythmias, syncope, or neurological deterioration, supporting a stable recovery trajectory.

4. Conclusions

This case illustrates a rare presentation of recurrent sinus arrest triggered by elevated intracranial pressure following traumatic brain injury. Early recognition and prompt intervention—including ICP control and temporary transvenous pacing—were essential in stabilizing hemodynamics and preventing secondary brain injury. As the patient’s ICP normalized, the arrhythmias resolved completely, underscoring their neurogenic origin. Continued post-discharge cardiac and neurological follow-up is critical to detect delayed complications and ensure full recovery.

Author Contributions

K.P. and C.S.—Primary author; conceptualized, designed, and led the study. A.G.—Assisted with case identification and provided clinical and academic expertise. V.T.P.—Contributed to literature review, data analysis, and manuscript editing. U.R.—Assisted with acquisition of imaging data and preparation of case presentations. A.B.—Served as mentor; guided study design, manuscript review, and quality assurance. All authors have read and agreed to the published version of the manuscript.

Funding

This study received no external funding or financial support.

Institutional Review Board Statement

Not required as per the SUNY Downstate Health Sciences University Institutional Review Board (IRB) policies (No. IRB-01).

Informed Consent Statement

Written informed consent has been obtained from the patient to publish this paper.

Data Availability Statement

The original contributions presented in this study are included in the article. Further inquiries can be directed to the corresponding author.

Acknowledgments

We gratefully acknowledge the Cardiovascular Division at SUNY Downstate Medical Center and the Interventional Cardiology Team for their continued support and expertise throughout this study.

Conflicts of Interest

The authors declare no conflicts of interest.

Correction Statement

This article has been republished with a minor correction of the information included in the Institutional Review Board Statement. This change does not affect the scientific content of the article.

References

  1. Hilz, M.J.; DeFina, P.A.; Anders, S.; Koehn, J.; Lang, C.J.; Pauli, E.; Flanagan, S.R.; Schwab, S.; Marthol, H. Frequency analysis unveils cardiac autonomic dysfunction after mild traumatic brain injury. J. Neurotrauma 2011, 28, 1727–1738. [Google Scholar] [CrossRef] [PubMed]
  2. Coppalini, G.; Salvagno, M.; Peluso, L.; Bogossian, E.G.; Quispe Cornejo, A.; Labbé, V.; Annoni, F.; Taccone, F.S. Cardiac Injury After Traumatic Brain Injury: Clinical Consequences and Management. Neurocritical Care 2024, 40, 477–485. [Google Scholar] [CrossRef] [PubMed]
  3. Lenstra, J.J.; Kuznecova-Keppel Hesselink, L.; la Bastide-van Gemert, S.; Jacobs, B.; Nijsten, M.W.N.; van der Horst, I.C.C.; van der Naalt, J. The Association of Early Electrocardiographic Abnormalities With Brain Injury Severity and Outcome in Severe Traumatic Brain Injury. Front. Neurol. 2021, 11, 597737. [Google Scholar] [CrossRef] [PubMed]
  4. Krishnamoorthy, V.; Prathep, S.; Sharma, D.; Gibbons, E.; Vavilala, M.S. Association between electrocardiographic findings and cardiac dysfunction in adult isolated traumatic brain injury. Indian J. Crit. Care Med. Peer-Rev. Off. Publ. Indian Soc. Crit. Care Med. 2014, 18, 570–574. [Google Scholar] [CrossRef] [PubMed]
  5. Krishnamoorthy, V.; Manley, G.T.; Jain, S.; Sun, S.; Foreman, B.; Komisarow, J.; Laskowitz, D.T.; Mathew, J.P.; Hernandez, A.; James, M.L.; et al. Incidence Clinical Impact of Myocardial Injury Following Traumatic Brain Injury: A Pilot TRACK-TBI Study. J. Neurosurg. Anesthesiol. 2022, 34, 233–237. [Google Scholar] [CrossRef] [PubMed]
  6. Chen, W.; Sheng, J.; Peng, G.; Yang, J.; Wang, S.; Li, K. Early stage alterations of catecholamine and adrenocorticotropic hormone levels in posttraumatic acute diffuse brain swelling. Brain Res. Bull. 2017, 130, 47–52. [Google Scholar] [CrossRef]
  7. Alali, A.S.; Mukherjee, K.; McCredie, V.A.; Golan, E.; Shah, P.S.; Bardes, J.M.; Hamblin, S.E.; Haut, E.R.; Jackson, J.C.; Khwaja, K.; et al. Beta-blockers and Traumatic Brain Injury: A Systematic Review, Meta-analysis, and Eastern Association for the Surgery of Trauma Guideline. Ann. Surg. 2017, 266, 952–961. [Google Scholar] [CrossRef]
  8. Haddad, S.H.; Arabi, Y.M. Critical care management of severe traumatic brain injury in adults. Scand. J. Trauma. Resusc. Emerg. Med. 2012, 20, 12. [Google Scholar] [CrossRef] [PubMed]
Figure 1. CT imaging demonstrating an acute depressed and comminuted right temporoparietal skull fracture (blue arrow).
Figure 1. CT imaging demonstrating an acute depressed and comminuted right temporoparietal skull fracture (blue arrow).
Cardiovascmed 29 00006 g001
Figure 2. Two cardiac telemetry strips showing sinus arrests greater than 15 s each.
Figure 2. Two cardiac telemetry strips showing sinus arrests greater than 15 s each.
Cardiovascmed 29 00006 g002
Disclaimer/Publisher’s Note: The statements, opinions and data contained in all publications are solely those of the individual author(s) and contributor(s) and not of MDPI and/or the editor(s). MDPI and/or the editor(s) disclaim responsibility for any injury to people or property resulting from any ideas, methods, instructions or products referred to in the content.

Share and Cite

MDPI and ACS Style

Patel, K.; Sani, C.; Gorantla, A.; Panduranga, V.T.; Raqeeb, U.; Budzikowski, A. Prolonged Sinus Arrest Following Traumatic Brain Injury: A Case of Reversible Autonomic Cardiac Dysfunction. Cardiovasc. Med. 2026, 29, 6. https://doi.org/10.3390/cardiovascmed29010006

AMA Style

Patel K, Sani C, Gorantla A, Panduranga VT, Raqeeb U, Budzikowski A. Prolonged Sinus Arrest Following Traumatic Brain Injury: A Case of Reversible Autonomic Cardiac Dysfunction. Cardiovascular Medicine. 2026; 29(1):6. https://doi.org/10.3390/cardiovascmed29010006

Chicago/Turabian Style

Patel, Krishna, Chris Sani, Asher Gorantla, Varshitha T. Panduranga, Usaid Raqeeb, and Adam Budzikowski. 2026. "Prolonged Sinus Arrest Following Traumatic Brain Injury: A Case of Reversible Autonomic Cardiac Dysfunction" Cardiovascular Medicine 29, no. 1: 6. https://doi.org/10.3390/cardiovascmed29010006

APA Style

Patel, K., Sani, C., Gorantla, A., Panduranga, V. T., Raqeeb, U., & Budzikowski, A. (2026). Prolonged Sinus Arrest Following Traumatic Brain Injury: A Case of Reversible Autonomic Cardiac Dysfunction. Cardiovascular Medicine, 29(1), 6. https://doi.org/10.3390/cardiovascmed29010006

Article Metrics

Back to TopTop