Carotid Ultrasonography in the Assessment of Cardiovascular Risk
Summary
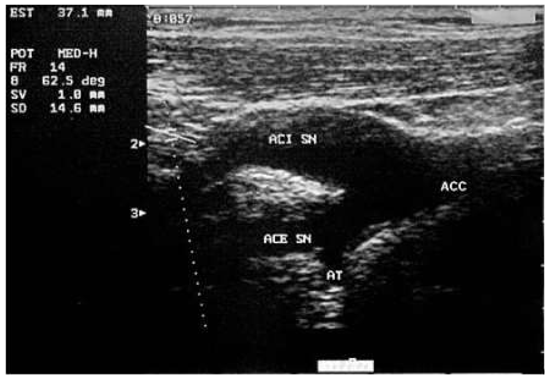
Carotid ultrasound evaluation
Two-dimensional carotid ultrasound for the prediction of cardiovascular events
- Assessment of cardiovascular risk
- Role of the carotid intima-media thickness
- Role of carotid intima-media thickness progression or regression
- Recent statements of the guidelines
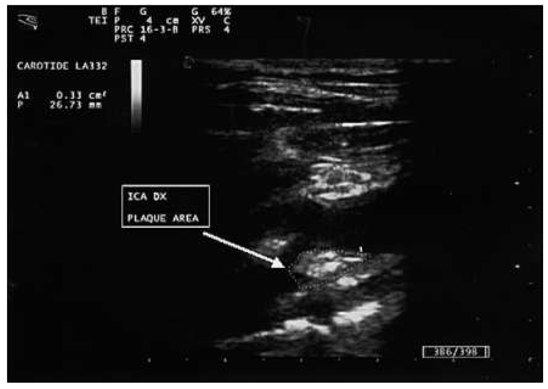
- Role of carotid plaque in cardiovascular risk prediction: comparison with CIMT
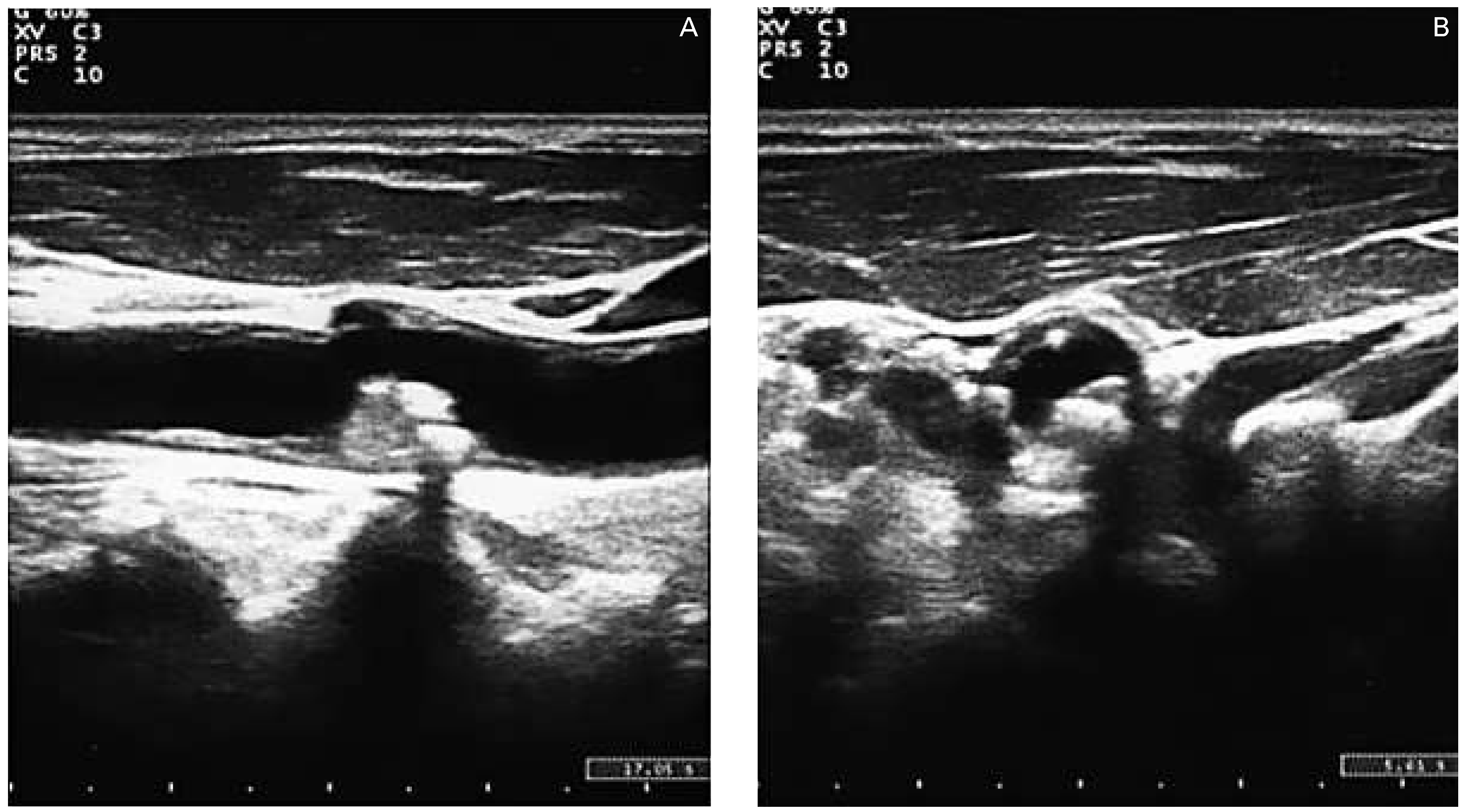
Three-dimensional ultrasound and contrast enhanced ultrasound
- An improvement in carotid assessment and cardiovascular risk prediction?
Conclusions
Funding/potential competing interests
References
- Stein, J.H.; Korcarz, C.E.; Hurst, R.T.; Lonn, E.; Kendall, C.B.; Mohler, E.R.; et al. Use of carotid ultrasound to identify subclinical vascular disease and evaluate cardiovascular disease risk: a consensus statement from the American Society of Echocardiography Carotid Intima-Media Thickness Task Force. J Am Soc Echocardiogr. 2008, 21, 93–111. [Google Scholar] [CrossRef]
- Touboul, P.J.; Hennerici, M.G.; Meairs, S.; Adams, H.; Amarenco, P.; Bornstein, N.; et al. Mannheim carotid intima-media thickness and plaque consensus (2004–2006–2011). An update on behalf of the advisory board of the 3rd, 4th and 5th watching the risk symposia, at the 13th, 15th and 20th European Stroke Conferences, Mannheim, Germany, 2004, Brussels, Belgium, 2006, and Hamburg, Germany, 2011. Cerebrovasc Dis. 2012, 34, 290–296. [Google Scholar]
- Finn, A.V.; Kolodgie, F.D.; Virmani, R. Correlation between carotid intimal/medial thickness and atherosclerosis: a point of view from pathology. Arterioscler Thromb Vasc Biol. 2010, 30, 177–181. [Google Scholar] [CrossRef]
- Spence, J.D.; Hegele, R.A. Noninvasive phenotypes of atherosclerosis: similar windows but different views. Stroke. 2004, 35, 649–653. [Google Scholar] [CrossRef]
- Spence, J.D. Technology Insight: ultrasound measurement of -carotid plaque--patient management, genetic research, and -therapy evaluation. Nat Clin Pract Neurol. 2006, 2, 611–619. [Google Scholar] [CrossRef]
- Spence, J.D. The importance of distinguishing between diffuse carotid intima-media thickness and focal plaque. Can J Cardiol 2008, 24, 61C–64C. [Google Scholar]
- Weber, C.; Noels, H. Atherosclerosis: current pathogenesis and therapeutic options. Nat Med. 2011, 17, 1410–1422. [Google Scholar] [CrossRef] [PubMed]
- O’Leary, D.H.; Bots, M.L. Imaging of atherosclerosis: carotidintima-media thickness. Eur Heart J. 2010, 31, 1682–1689. [Google Scholar] [CrossRef] [PubMed]
- Schulte-Altedorneburg, G.; Droste, D.W.; Felszeghy, S.; Csiba, L.; Popa, V.; Hegedüs, K.; et al. Detection of carotid artery stenosis by in vivo duplex ultrasound: correlation with planimetric measurements of the corresponding postmortem specimens. Stroke. 2002, 33, 2402–2407. [Google Scholar] [CrossRef] [PubMed][Green Version]
- Al-Shali, K.; House, A.A.; Hanley, A.J.G.; Khan, H.M.R.; Harris, S.B.; Mamakeesick, M.; et al. Differences between carotid wall morphological phenotypes measured by ultrasound in one, two and three -dimensions. Atherosclerosis. 2005, 178, 310–325. [Google Scholar] [CrossRef]
- Kitamura, A.; Iso, H.; Imano, H.; Ohira, T.; Okada, T.; Sato, S.; et al. -Carotid intima-media thickness and plaque characteristics as a risk factor for stroke in japanese elderly men. Stroke. 2004, 35, 2788–2794. [Google Scholar] [CrossRef] [PubMed]
- Prabhakaran, S.; Rundek, T.; Ramas, R.; Elkind, M.S.; Paik, M.C.; Boden-Albala, B.; et al. Carotid plaque surface irregularity predicts ischemic stroke: the Northern Manhattan study. Stroke. 2006, 37, 2696–2701. [Google Scholar] [CrossRef]
- Ylä-Herttuala, S.; Bentzon, J.F.; Daemen, M.; Falk, E.; Garcia-Garcia, H.M.; Herrmann, J.; et al. Stabilization of atherosclerotic plaques: an -update. Eur Heart J. 2013, 34, 3251–3258. [Google Scholar] [CrossRef]
- Honda, O.; Sugiyama, S.; Kugiyama, K.; Fukushima, H.; Nakamura, S.; Koide, S.; et al. Echolucent carotid plaques predict future coronary events in patients with coronary artery disease. J Am Coll Cardiol. 2004, 43, 1177–1184. [Google Scholar] [CrossRef]
- Singh, S.; Atam, V.; Jain, N.; Yatish, B.E.; Patil, M.R.; Das, L. Association of carotid plaque echogenicity with recurrence of ischemic stroke. N Am J Med Sci. 2013, 5, 371–376. [Google Scholar] [CrossRef]
- Antonopoulos, C.N.; Sfyroeras, G.S.; Moulakakis, K.G.; Giannakopoulos, T.G.; Vassilopoulos, I.; Papapetrou, A.; et al. Association between carotid artery occlusion and ultrasonographic plaque type. Ann Vasc Surg. 2014, 28, 1197–1203. [Google Scholar] [CrossRef]
- Lovett, J.K.; Redgrave, J.N.; Rothwell, P.M. A critical appraisal of the performance, reporting, and interpretation of studies comparing carotid plaque imaging with histology. Stroke. 2005, 36, 1091–1097. [Google Scholar] [CrossRef] [PubMed]
- Degnan, A.J.; Young, V.E.L.; Gillard, J.H. Advances in noninvasive imaging for evaluating clinical risk and guiding therapy in carotid atherosclerosis. Expert Rev Cardiovasc Ther. 2012, 10, 37–53. [Google Scholar] [CrossRef]
- Wilson, P.W.; D’Agostino, R.B.; Levy, D.; Belanger, A.M.; Silbershatz, H.; Kannel, W.B. Prediction of coronary heart disease using risk factor categories. Circulation. 1998, 97, 1837–1847. [Google Scholar] [CrossRef]
- Reiner, Z.; Catapano, A.; De Backer, G.; Graham, I.; Taskinen, M.-R.; Wiklund, O.; et al. ESC/EAS guidelines for the management of -dyslipidemias. Eur Heart J. 2011, 32, 1769–1818. [Google Scholar] [PubMed]
- Stone, N.J.; Robinson, J.; Lichtenstein, A.H.; Bairey Merz, C.N.; Lloyd-Jones, D.M.; Blum, C.B.; et al. 2013 ACC/AHA Guideline on the treatment of blood cholesterol to reduce atherosclerotic cardiovascular risk in adults: a report of the American College of Cardiology/American Heart Association Task Force on Practice Guidelines. Circulation. 2014, 129 (Suppl 2), S1–S45. [Google Scholar] [CrossRef]
- Ridker, P.M.; Buring, J.E.; Rifai, N.; Cook, N.R. Development and validation of improved algorithms for the assessment of global cardiovascular risk in women. JAMA. 2007, 297, 611–619. [Google Scholar] [CrossRef]
- Ridker, P.M.; Paynter, N.P.; Rifai, N.; Gaziano, J.M.; Cook, N.R. Creactive protein and parental history improve global cardiovascular risk prediction: the Reynolds Risk Score for men. Circulation. 2008, 118, 2243–2251. [Google Scholar] [CrossRef]
- Cooney, M.T.; Dudina, A.L.; Graham, I.M. Value and limitations of existing scores for the assessment of cardiovascular risk. A review for clinicians. J Am Coll Cardiol. 2009, 54, 1209–1227. [Google Scholar] [CrossRef]
- Gordon, W.J.; Polansky, J.M.; Boscardin, W.J.; Fung, K.Z.; Steinman, M.A. Coronary risk assessment by point-based vs. equation-based Framingham models: significant implications for clinical care. J Gen Intern Med. 2010, 25, 1145–1151. [Google Scholar] [CrossRef] [PubMed][Green Version]
- Liew, S.M.; Doust, J.; Glasziou, P. Cardiovascular risk scores do not account for the effect of treatment: a review. Heart. 2011, 97, 689–697. [Google Scholar] [CrossRef]
- Rodondi, N.; Locatelli, I.; Aujesky, D.; Butler, J.; Vittinghoff, E.; Simonsick, E.; et al. Framingham risk score and alternatives for prediction of coronary heart disease in older adults. PLoS ONE. 2012, 7, e34287. [Google Scholar] [CrossRef]
- Ridker, P.M.; Cook, N.R. Statins: new American guidelines for prevention of cardiovascular disease. Lancet. 2013, 382, 1762–1765. [Google Scholar] [CrossRef]
- Ades, P.A. A controversial step forward: a commentary on the 2013 ACC/AHA guideline on the treatment of blood cholesterol to reduce atherosclerotic cardiovascular risk in adults. Coron Artery Dis. 2014, 25, 360–363. [Google Scholar] [CrossRef] [PubMed]
- Lloyd Jones, D.M.; Larson MGBeiser, A.; Levy, D. Lifetime risk of developing coronary heart disease. Lancet. 1999, 353, 89–92. [Google Scholar] [CrossRef] [PubMed]
- Kannel, W.B.; Schatzkin, A. Sudden death: lessons from subsets in population studies. J Am Coll Cardiol. 1985, 5 (Suppl 6), 141B–149B. [Google Scholar] [CrossRef]
- Ajani, U.A.; Ford, E.S. Has the risk for coronary heart disease changed among U.S. adults? J Am Coll Cardiol. 2006, 48, 1177–1182. [Google Scholar] [CrossRef][Green Version]
- Lorenz, M.W.; Markus, H.S.; Bots, M.L.; Rosvall, M.; Sitzer, M. Prediction of clinical cardiovascular events with carotid intima-media thickness: a systematic review and meta-analysis. Circulation. 2007, 115, 459–467. [Google Scholar] [CrossRef] [PubMed]
- Den Ruijter, H.M.; Peters, S.A.; Anderson, T.J.; Britton, A.R.; Dekker, J.M.; Eijkemans, M.J.; et al. Common carotid intima-media thickness measurements in cardiovascular risk prediction: a meta-analysis. JAMA. 2012, 308, 796–803. [Google Scholar] [CrossRef]
- Bots, M.L.; Groenewegen, K.A.; Anderson, T.J.; Britton, A.R.; Dekker, J.M.; Engström, G.; et al. Common carotid intima-media thickness measurements do not improve cardiovascular risk prediction in individuals with elevated blood pressure: The USE-IMT Collaboration. Hypertension. 2014, 63, 1173–1181. [Google Scholar] [CrossRef]
- Polak, J.F.; Pencina, M.J.; O’Leary, D.H.; D’Agostino, R.B. Common carotid artery intima-media thickness progression as a predictor of stroke in multi-ethnic study of atherosclerosis. Stroke. 2011, 42, 3017–3021. [Google Scholar] [CrossRef] [PubMed]
- Lorenz, M.W.; Polak, J.F.; Kavousi, M.; Mathiesen, E.B.; Völzke, H.; Tuomainen, T.P. Carotid intima-media thickness progression to predict cardiovascular events in the general population (the PROG-IMT collaborative project): a meta-analysis of individual participant data. Lancet. 2012, 379, 2053–2062. [Google Scholar] [CrossRef]
- Costanzo, P.; Perrone-Filardi, P.; Vassallo, E.; Paolillo, S.; Cesarano, P.; Brevetti, G.; et al. Does carotid intima-media thickness regression predict reduction of cardiovascular events? A meta-analysis of 41 randomized trials. J Am Coll Cardiol. 2010, 56, 2006–2020. [Google Scholar] [CrossRef] [PubMed]
- Mancia, G.; Fagard, R.; Narkiewicz, K.; Redon, J.; Zanchetti, A.; Böhm, M.; et al. ESH/ESC Task Force for the Management of Arterial Hypertension. 2013 Practice guidelines for the management of arterial hypertension of the European Society of Hypertension (ESH) and the European Society of Cardiology (ESC): ESH/ESC Task Force for the Management of Arterial Hypertension. J Hypertens. 2013, 31, 1925–1938. [Google Scholar]
- Goff, D.C., Jr.; Lloyd-Jones, D.M.; Bennett, G.; Coady, S.; D’Agostino RBSr Gibbons, R.; et al. 2013 ACC/AHA guideline on the assessment of cardiovascular risk: a report of the American College of Cardiology/American Heart Association Task Force on Practice Guidelines. Circulation. 2014, 129 (Suppl 2), S49–S73. [Google Scholar] [CrossRef]
- Greenland, P.; Alpert, J.S.; Beller, G.A.; Benjamin, E.J.; Budoff, M.J.; Fayad, Z.A.; et al. 2010 ACCF/AHA guideline for assessment of cardiovascular risk in asymptomatic adults: a report of the American College of Cardiology Foundation/American Heart Association Task Force on Practice Guidelines. J Am Coll Cardiol. 2010, 56, e50–103. [Google Scholar] [CrossRef]
- Spence, J.D. Point: uses of carotid plaque measurement as a predictor of cardiovascular events. Prev Cardiol. 2005, 8, 118–121. [Google Scholar] [CrossRef]
- Morito, N.; Inoue, Y.; Urata, M.; Yahiro, E.; Kodama, S.; Fukuda, N.; et al. Increased carotid artery plaque score is an independent predictor of the presence and severity of coronary artery disease. J Cardiol. 2008, 51, 25–32. [Google Scholar] [CrossRef] [PubMed]
- Xie, W.; Liang, L.; Zhao, L.; Shi, P.; Yang, Y.; Xie, G.; et al. Combination of carotid intima-media thickness and plaque for better predicting risk of ischaemic cardiovascular events. Heart. 2011, 97, 1326–1331. [Google Scholar] [CrossRef] [PubMed]
- Ikeda, N.; Kogame, N.; Iijima, R.; Nakamura, M.; Sugi, K. Carotidartery intima-media thickness and plaque score can predict the SYNTAX score. Eur Heart J. 2012, 33, 113–119. [Google Scholar] [CrossRef] [PubMed]
- Spence, J.D.; Eliasziw, M.; DiCicco, M.; Hackam, D.G.; Galil, R.; Lohmann, T. Carotid plaque area: a tool for targeting and evaluating vascular preventive therapy. Stroke. 2002, 33, 2916–2922. [Google Scholar] [CrossRef]
- van der Meer, I.M.; Bots, M.L.; Hofman, A.; del Sol, A.I.; van der Kuip, D.A.; Witteman, J.C. Predictive value of noninvasive measures of atherosclerosis for incident myocardial infarction: the Rotterdam Study. Circulation. 2004, 109, 1089–1094. [Google Scholar] [CrossRef]
- Johnsen, S.H.; Mathiesen, E.B.; Joakimsen, O.; Stensland, E.; Wilsgaard, T.; Løchen, M.L.; et al. Carotid atherosclerosis is a stronger predictor of myocardial infarction in women than in men: a 6–year follow-up study of 6226 persons: the Tromsø Study. Stroke. 2007, 38, 2873–2880. [Google Scholar] [CrossRef]
- Mathiesen, E.B.; Johnsen, S.H.; Wilsgaard, T.; Bønaa, K.H.; Løchen, M.-L.; Njølstad, I. Carotid plaque area and intima-media thickness in prediction of first-ever ischemic stroke; a 10-year follow-up of 6584 men and women: the Tromsø Study. Stroke. 2011, 42, 972–978. [Google Scholar] [CrossRef]
- Roman, M.J.; Kizer, J.R.; Best, L.G.; Lee, E.T.; Howard, B.V.; Shara, N.M.; et al. Vascular biomarkers in the prediction of clinical cardiovascular disease: the Strong Heart Study. Hypertension. 2012, 59, 29–35. [Google Scholar] [CrossRef]
- Polak, J.F.; Pencina, M.J.; Pencina, K.M.; O’Donnel, C.J.; Wolf, P.A.; D’Agostino, R.B. Carotid-wall intima-media thickness and cardiovascular events. N Engl J Med. 2011, 365, 213–221. [Google Scholar] [CrossRef]
- Plichart, M.; Celermajer, D.S.; Zureik, M.; Helmer, C.; Jouven, X.; Ritchie, K.; et al. Carotid intima-media thickness in plaque-free site, -carotid plaques and coronary heart disease risk prediction in older adults. The Three-City Study. Atherosclerosis. 2011, 219, 917. [Google Scholar] [CrossRef]
- Inaba, Y.; Chen, J.A.; Bergmann, S.R. Carotid plaque, compared with carotid intima-media thickness, more accurately predicts-coronary artery disease events: a meta-analysis. Atherosclerosis. 2012, 220, 128–133. [Google Scholar] [CrossRef]
- Sirimarco, G.; Amarenco, P.; Labreuche, J.; Touboul, P.J.; Alberts, M.; Goto, S.; et al. Carotid atherosclerosis and risk of subsequent-coronary event in outpatients with atherothrombosis. Stroke. 2013, 44, 373–379. [Google Scholar] [CrossRef] [PubMed]
- Brook, R.D.; Bard, R.L.; Patel, S.; Rubenfire, M.; Clarke, N.S.; Kazerooni, E.A.; et al. A negative carotid plaque area test is superior to other noninvasive atherosclerosis studies for reducing the likelihood of having underlying significant coronary artery disease. Arterioscler Thromb Vasc Biol. 2006, 26, 656–662. [Google Scholar] [CrossRef] [PubMed]
- Fenster, A.; Blake, C.; Gyacskov, I.; Landry, A.; Spence, J.D. 3D ultrasound analysis of carotid plaque volume and surface morphology. Ultrasonics. 2006, 44 (Suppl 1), e153–e157. [Google Scholar] [CrossRef] [PubMed]
- Makris, G.C.; Lavida, A.; Griffin, M.; Geroulakos, G.; Nicolaides, A.N. Three-dimensional ultrasound imaging for the evaluation of carotid atherosclerosis. Atherosclerosis. 2011, 219, 377–383. [Google Scholar] [CrossRef]
- Wannarong, T.; Parraga, G.; Buchanan, D.; Fenster, A.; House, A.A.; Hackam, D.G.; et al. Progression of carotid plaque volume predicts cardiovascular events. Stroke. 2013, 44, 1859–1865. [Google Scholar] [CrossRef]
- Kuk, M.; Wannarong, T.; Beletsky, V.; Parraga, G.; Fenster, A.; Spence, J.D. Volume of carotid artery ulceration as a predictor of cardiovascular events. Stroke. 2014, 45, 1437–1441. [Google Scholar] [CrossRef][Green Version]
- Johri, A.M.; Chitty, D.W.; Matangi, M.; Malik, P.; Mousavi, P.; Day, A.; et al. Can carotid bulb plaque assessment rule out significant coronary artery disease? A comparison of plaque quantification by two- and three-dimensional ultrasound. J Am Soc Echocardiogr. 2013, 26, 86–95. [Google Scholar] [CrossRef]
- Feinstein, S.B. Contrast ultrasound imaging of the carotid artery vasa vasorum and atherosclerotic plaque neovascularization. J Am Coll Cardiol. 2006, 48, 236–243. [Google Scholar] [CrossRef]
- Staub, D.; Patel, M.B.; Tibrewala, A.; Ludden, D.; Johnson, M.; Espinosa, P.; et al. Vasa vasorum and plaque neovascularization on contrast-enhanced carotid ultrasound imaging correlates with cardiovascular disease and past cardiovascular events. Stroke. 2010, 41, 41–47. [Google Scholar] [CrossRef]
- Deyama, J.; Nakamura, T.; Takishima, I.; Fujioka, D.; Kawabata, K.; Obata, J.E.; et al. Contrast-enhanced ultrasound imaging of carotid plaque neovascularization is useful for identifying high-risk patients with coronary artery disease. Circ J. 2013, 77, 1499–1507. [Google Scholar] [CrossRef] [PubMed]
- van den Oord, S.C.H.; ten Kate, G.L.; Akkus, Z.; Renaud, G.; Sijbrands, E.J.G.; ten Cate, F.J.; et al. Assessment of subclinical atherosclerosis using contrast-enhanced ultrasound. Eur Heart J Cardiovasc Imaging. 2013, 14, 56–61. [Google Scholar] [CrossRef]
- Kalashyan, H.; Shuaib, A.; Gibson, P.H.; Romanchuk, H.; Saqqur, M.; Khan, K.; et al. Single sweep three-dimensional carotid ultrasound: reproducibility in plaque and artery volume measurements. Atherosclerosis. 2014, 232, 397–402. [Google Scholar] [CrossRef][Green Version]
- Fernandez-Ortiz, A.; Jimenez-Borreguero, L.J.; Peňalvo, J.L.; Ordovas, J.M.; Mocoroa, A.; Fernandez-Friera, L.; et al. The Progression and Early detection of Subclinical Atherosclerosis (PESA) study: rationale and design. Am Heart J. 2013, 166, 990–998. [Google Scholar] [CrossRef]
- Falk, E.; Sillesen, H.; Muntendam, P.; Fuster, V. The High-Risk Plaque Initiative: primary prevention of atherothrombotic events in the asymptomatic population. Curr Atheroscler Rep. 2011, 13, 359–366. [Google Scholar] [CrossRef] [PubMed]
- Zhang, Y.; Guallar, E.; Qiao, Y.; Wasserman, B.A. Is carotid intima-media thickness as predictive as other noninvasive techniques for the detection of coronary artery disease? Arterioscler Thromb Vasc Biol. 2014, 34, 1341–1345. [Google Scholar] [CrossRef] [PubMed]
- Bots, M.L.; Sutton-Tyrrell, K. Lessons from the past and promises for the future for carotid intima-media thickness. J Am Coll Cardiol. 2012, 60, 1599–1604. [Google Scholar] [CrossRef]
- Rodondi, N.; Collet, T.H.; Nanchen, D.; Locatelli, I.; Depairon, M.; Aujesky, D.; et al. Impact of carotid plaque screening on smoking cessation and other cardiovascular risk factors. Arch Intern Med. 2012, 172, 344–352. [Google Scholar] [CrossRef]
- Johnson, H.M.; Turke, T.L.; Grossklaus, M.; Dall, T.; Carimi, S.; Koenig, L.M.; et al. Effects of an office-based carotid ultrasound screening intervention. J Am Soc Echocardiogr 2011, 24, 738–747. [Google Scholar] [CrossRef] [PubMed]
© 2015 by the author. Attribution-Non-Commercial-NoDerivatives 4.0.
Share and Cite
Pende, A.; Artom, N.; Pistocchi, G.; Pisciotta, L.; Dallegri, F. Carotid Ultrasonography in the Assessment of Cardiovascular Risk. Cardiovasc. Med. 2015, 18, 61. https://doi.org/10.4414/cvm.2015.00309
Pende A, Artom N, Pistocchi G, Pisciotta L, Dallegri F. Carotid Ultrasonography in the Assessment of Cardiovascular Risk. Cardiovascular Medicine. 2015; 18(2):61. https://doi.org/10.4414/cvm.2015.00309
Chicago/Turabian StylePende, Aldo, Nathan Artom, Giovanni Pistocchi, Livia Pisciotta, and Franco Dallegri. 2015. "Carotid Ultrasonography in the Assessment of Cardiovascular Risk" Cardiovascular Medicine 18, no. 2: 61. https://doi.org/10.4414/cvm.2015.00309
APA StylePende, A., Artom, N., Pistocchi, G., Pisciotta, L., & Dallegri, F. (2015). Carotid Ultrasonography in the Assessment of Cardiovascular Risk. Cardiovascular Medicine, 18(2), 61. https://doi.org/10.4414/cvm.2015.00309