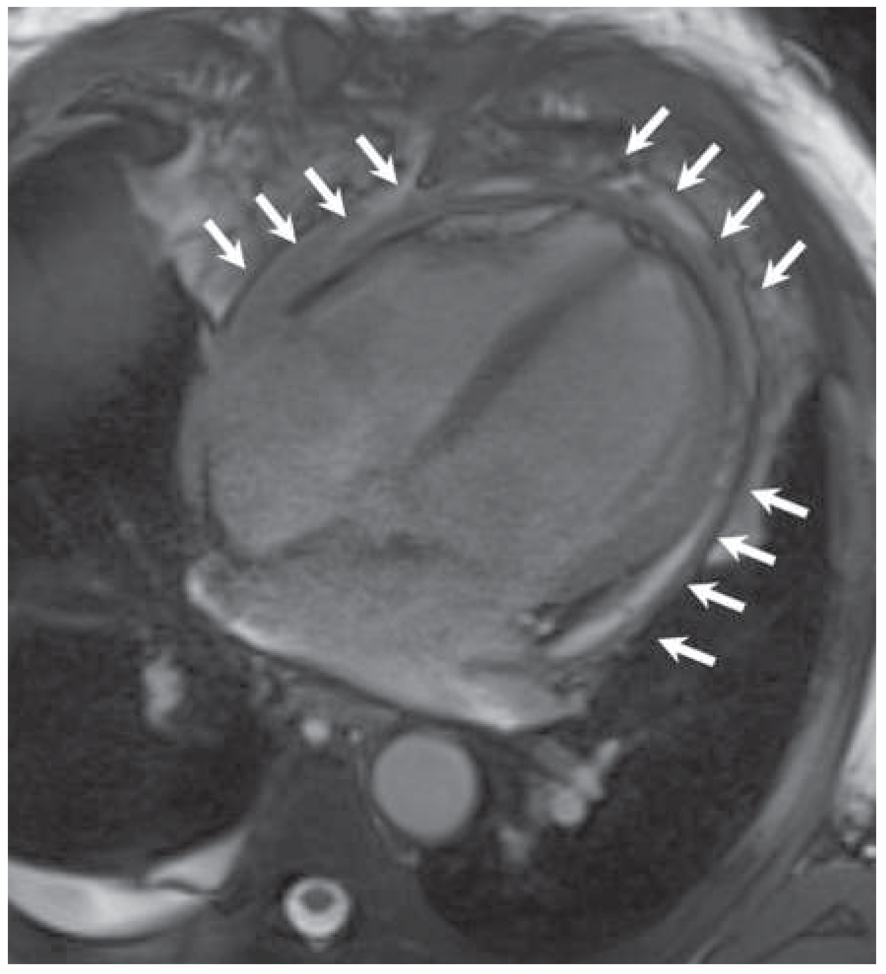
Kussmaul's Sign in Effusive Constrictive Pericarditis
Funding/potential competing interests





© 2015 by the author. Attribution-Non-Commercial-NoDerivatives 4.0.
Share and Cite
Cattaneo, M.; Muzzarelli, S.; Faletra, F.; Pia Porretta, A.; Siclari, F.; Gallino, A. Kussmaul's Sign in Effusive Constrictive Pericarditis. Cardiovasc. Med. 2015, 18, 32. https://doi.org/10.4414/cvm.2015.00296
Cattaneo M, Muzzarelli S, Faletra F, Pia Porretta A, Siclari F, Gallino A. Kussmaul's Sign in Effusive Constrictive Pericarditis. Cardiovascular Medicine. 2015; 18(1):32. https://doi.org/10.4414/cvm.2015.00296
Chicago/Turabian StyleCattaneo, Mattia, Stefano Muzzarelli, Francesco Faletra, Alessandra Pia Porretta, Francesco Siclari, and Augusto Gallino. 2015. "Kussmaul's Sign in Effusive Constrictive Pericarditis" Cardiovascular Medicine 18, no. 1: 32. https://doi.org/10.4414/cvm.2015.00296
APA StyleCattaneo, M., Muzzarelli, S., Faletra, F., Pia Porretta, A., Siclari, F., & Gallino, A. (2015). Kussmaul's Sign in Effusive Constrictive Pericarditis. Cardiovascular Medicine, 18(1), 32. https://doi.org/10.4414/cvm.2015.00296
