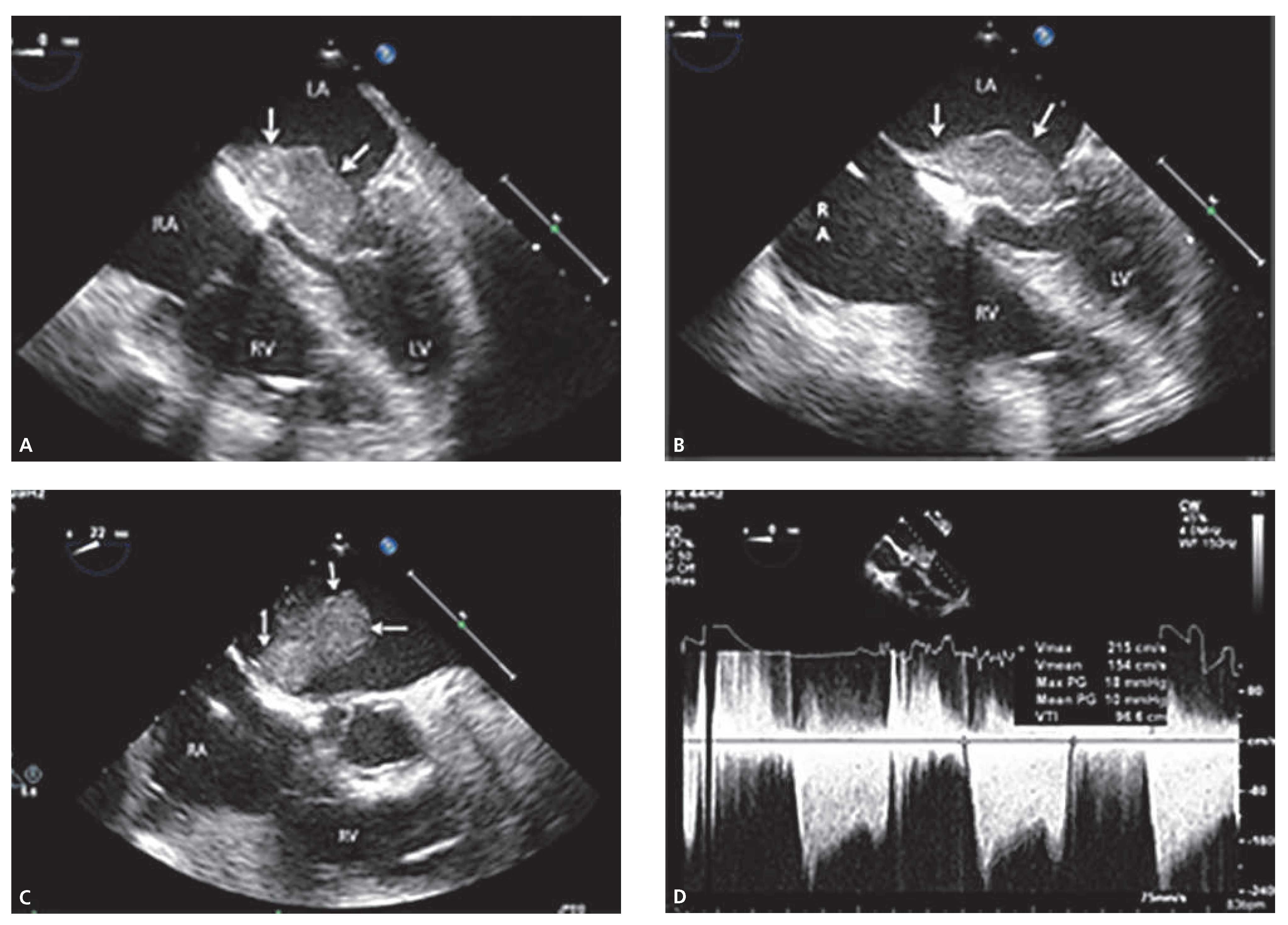
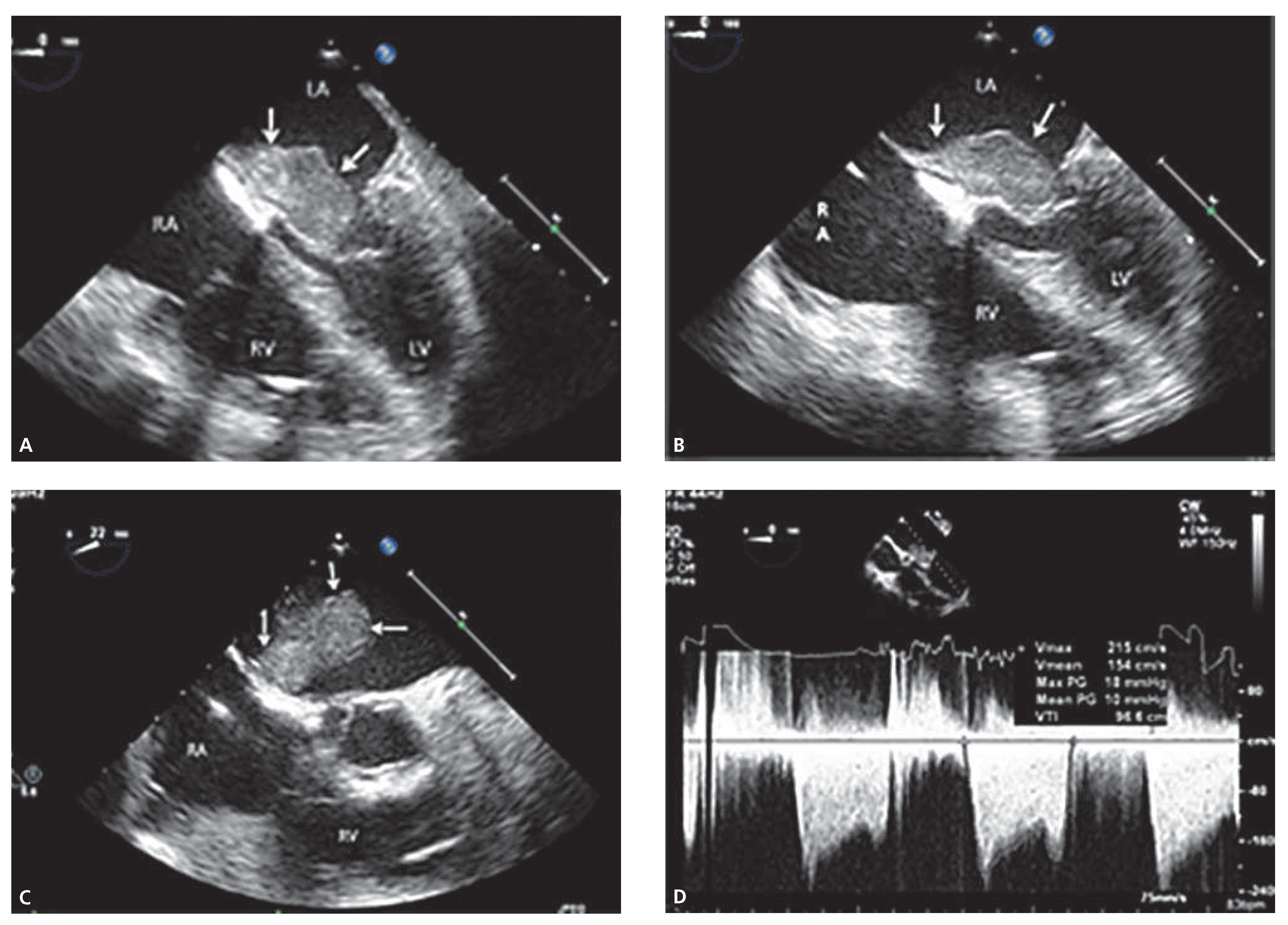
Atrial Myxoma Resulting in Severe Mitral Stenosis
Funding/potential competing interests:
References
- Reynen Klaus. Cardiac myxomas. N Engl J Med. 1995, 333, 1610–1617. [Google Scholar] [CrossRef] [PubMed]
- Avakian, Solange Desiree, Julio Yoshio Takada, Antonio de Padua Mansur. Giant obstructive left atrial myxoma resembling mitral valve stenosis. Clinics. 2012, 67, 853–854. [Google Scholar] [CrossRef] [PubMed]
- Mouine, Najat N, et al. Giant left atrial myxoma mimicking severe mitral valve stenosis and severe pulmonary hypertension. Int Arch Med. 2013, 6, 13. [Google Scholar] [CrossRef] [PubMed]
- Ojji, Dike B, et al. Left Atrial Myxoma Mimicking Mitral stenosis. Clinical medicine insights. Case Rep. 2012, 5, 111. [Google Scholar]

© 2014 by the author. Attribution - Non-Commercial - NoDerivatives 4.0.
Share and Cite
Desai, S.; Najib, M.Q.; Gill, M.T.; Fatima, U.; Loli, A. Atrial Myxoma Resulting in Severe Mitral Stenosis. Cardiovasc. Med. 2014, 17, 269. https://doi.org/10.4414/cvm.2014.00269
Desai S, Najib MQ, Gill MT, Fatima U, Loli A. Atrial Myxoma Resulting in Severe Mitral Stenosis. Cardiovascular Medicine. 2014; 17(10):269. https://doi.org/10.4414/cvm.2014.00269
Chicago/Turabian StyleDesai, Santosh, Mohmmad Q Najib, Muhammad T. Gill, Umaima Fatima, and Akil Loli. 2014. "Atrial Myxoma Resulting in Severe Mitral Stenosis" Cardiovascular Medicine 17, no. 10: 269. https://doi.org/10.4414/cvm.2014.00269
APA StyleDesai, S., Najib, M. Q., Gill, M. T., Fatima, U., & Loli, A. (2014). Atrial Myxoma Resulting in Severe Mitral Stenosis. Cardiovascular Medicine, 17(10), 269. https://doi.org/10.4414/cvm.2014.00269
