Next Article in Journal
Wieviele Regeln Braucht der Mensch?
Previous Article in Journal
Surviving Acute Traumatic Transection of the Ascending Aorta and Proximal Aortic Arch
 
 
Cardiovascular Medicine is published by MDPI from Volume 28 Issue 1 (2025). Previous articles were published by another publisher in Open Access under a CC-BY (or CC-BY-NC-ND) licence, and they are hosted by MDPI on mdpi.com as a courtesy and upon agreement with Editores Medicorum Helveticorum (EMH).
Font Type:
Arial Georgia Verdana
Font Size:
Aa Aa Aa
Line Spacing:
Column Width:
Background:
Interesting Images

Ein Kreuz im Herzen Einer Nonne

by
Theresa Seeliger
* and
Peter Eichhorn
Spital Schwyz, Grafenaustrasse 3, CH-6300 Zug, Switzerland
*
Author to whom correspondence should be addressed.
Cardiovasc. Med. 2013, 16(9), 254; https://doi.org/10.4414/cvm.2013.00176
Submission received: 25 June 2013 / Revised: 25 July 2013 / Accepted: 25 August 2013 / Published: 25 September 2013
Eine 72-jährige Nonne wurde zugewiesen zur Abklärung einer transient ischämischen Attacke.
Die transthorakale Echokardiographie zeigte (trotz schlechter Schallbarkeit) eine Aortenklappe mit vier Kommissuren und viereckiger Öffnungsfläche, so dass der Verdacht auf eine quadrikuspide Aortenklappe (QAK) bestand (Figure 1).
Dieser Befund bestätigte sich in der transösophagealen Echokardiographie (Figure 2a–c and Figure 3). Es fanden sich vier Kommissuren, welche periphere Fusionen der Taschen mit kurzen Raphen aufwiesen.
Die vier Taschen der QAK unserer Patientin waren symmetrisch konfiguriert, wenig verdickt und gut beweglich. Im Farbdoppler zeigte sich eine leichte zentrale Aorteninsuffizienz am Koaptationspunkt der vier Taschen. Der Hauptstamm der linken Koronararterie zeigte einen orthotopen Abgang. Nebenbefundlich fand sich ein PFO.
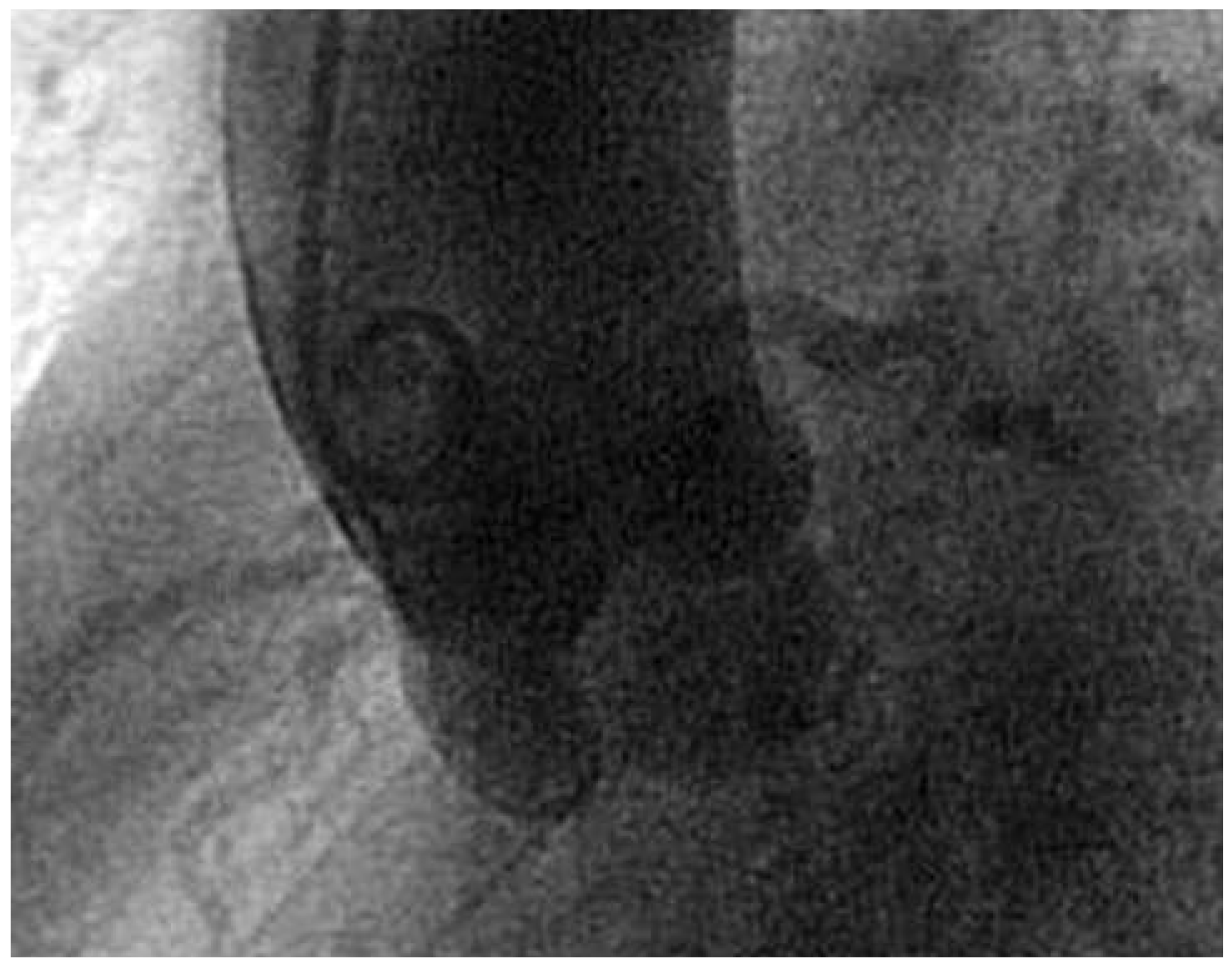
11 Jahre zuvor war bei der Patientin eine Herzkatheteruntersuchung wegen atypischer pektanginöser Beschwerden durchgeführt worden. Die Koronarien waren unauffällig gewesen. Bei nochmaliger Durchsicht der Aortographie zeigten sich die vier Taschen der QAK (Figure 4).
Die geschätzte Inzidenz der QAK liegt zwischen 0.008 und 0.043% [1]. Mit der sich stetig verbessernden Bildgebung wird die Diagnose häufiger gestellt. Eine Übersichtsarbeit aus dem Jahre 2011 zählte bislang 271 publizierte Fälle [2]. Eine quadrikuspide Klappenanlage findet sich häufiger in Pulmonalisposition, hier wird die Inzidenz auf 0,2% geschätzt. Eine Sonderform stellt die ventrikulo-arterielle Klappe beim Truncus arteriosus communis dar. Bei dieser Form einer konotrunkalen Anomalie findet sich in etwa einem Fünftel der Fälle eine quadrikuspide Trunkusklappe.
Die Klassifikation der QAK erfolgt seit 1973 nach Hurwitz und Roberts, die aufgrund der Morphologie der einzelnen Taschen sieben verschiedene Typen postulieren [3]. Die drei häufigsten Formen stellen 85% dieser Anomalie. Es sind vier identische Taschen (Typ A), drei grosse, eine hypoplastische Tasche (Typ B) oder zwei grosse, zwei kleine Taschen (Typ C). Unsere Patientin hat vier gleich grosse Taschen entsprechend Typ A.
Morphologisch muss die QAK von der unikuspiden Aortenklappe unterschieden werden. Letztere ist definiert als Klappe mit einer einzigen Tasche. Sie kann unikommissural oder nonkommissural sein, dementsprechend mit schlitzförmiger oder runder «vulkanartiger» Öffnung. Beispiele dysplastischer Aortenklappen sind in [4] zu sehen.
Die häufigste Dysfunktion der QAK ist die Aorteninsuffizienz, die typischerweise, wie bei anderen Anlagestörungen der Aortenklappe, mit zunehmendem Alter progredient ist. Erstaunlicherweise scheint die Ausprägung der Asymmetrie der Taschen keinen Einfluss auf den Schweregrad der Insuffizienz zu haben. Eine Dilatation der aszendierenden Aorta ist bei QAK beschrieben, die Assoziation scheint aber weniger ausgeprägt als bei bikuspiden Aortenklappen.
Die häufigste assoziierte Anomalie ist ein abnorm platziertes Koronarostium. Selten wurden Aneurysmen der Sinus valsalvae beschrieben. Die Verknüpfung mit anderen kongenitalen Vitien scheint mehr sporadisch zu sein.
Der chirurgische Eingriff an der QAK beschränkt sich nicht nur auf den prothetischen Klappenersatz, sondern es wurden auch klappenerhaltende Rekonstruktion durchgeführt, mit Trikuspidalisierung oder Bikuspidalisierung der Klappe, je nach zugrundeliegender Morphologie.

Funding

No financial support.

Conflicts of Interest

No other potential conflict of interest relevant to this article was reported.

References

  1. Timperley, J.; Milner, R.; Marshall, A.J.; Gilbert, T.J. Quadricuspid aortic valves. Clin. Cardiol. 2002, 25, 548–552. [Google Scholar] [CrossRef] [PubMed]
  2. Jagannath, A.D.; Johri, A.M.; Liberthson, R.; Larobina, M.; Passeri, J.; Tighe, D.; Agnihotri, A.K. Quadricuspid aortic valve: A report of 12 cases and a review of the literature. Echocardiography 2011, 28, 1035–1040. [Google Scholar] [CrossRef] [PubMed]
  3. Hurwitz, L.E.; Roberts, W.C. Quadricuspid semilunar valve. Am. J. Cardiol. 1973, 31, 623–626. [Google Scholar] [CrossRef] [PubMed]
  4. Zuber, M.; Jenni, R. Images in cardiology. Congenital morphologies of the aortic valve. Heart 1998, 79, 592. [Google Scholar] [CrossRef] [PubMed]
Figure 1. Transthorakales Echokardiogramm mit Kurzachsenschnitt: Trotz schlechter Bildqualität ist zu erkennen, dass es vier Kommissuren gibt. Die Öffnungsfläche ist quadratisch.
Figure 1. Transthorakales Echokardiogramm mit Kurzachsenschnitt: Trotz schlechter Bildqualität ist zu erkennen, dass es vier Kommissuren gibt. Die Öffnungsfläche ist quadratisch.
Cardiovascmed 16 00254 g001
Figure 2. Transösophageale Echokardiographie: QAK in verschiedenen Phasen des Herzzyklus. Die geschlossene Klappe erinnert an ein Kreuz.
Figure 2. Transösophageale Echokardiographie: QAK in verschiedenen Phasen des Herzzyklus. Die geschlossene Klappe erinnert an ein Kreuz.
Cardiovascmed 16 00254 g002
Figure 3. Transösophageale Echokardiographie, Längsschnitt.
Figure 3. Transösophageale Echokardiographie, Längsschnitt.
Cardiovascmed 16 00254 g003
Figure 4. Die Aortographie zeigt die vier fast symmetrischen Taschen.
Figure 4. Die Aortographie zeigt die vier fast symmetrischen Taschen.
Cardiovascmed 16 00254 g004

Share and Cite

MDPI and ACS Style

Seeliger, T.; Eichhorn, P. Ein Kreuz im Herzen Einer Nonne. Cardiovasc. Med. 2013, 16, 254. https://doi.org/10.4414/cvm.2013.00176

AMA Style

Seeliger T, Eichhorn P. Ein Kreuz im Herzen Einer Nonne. Cardiovascular Medicine. 2013; 16(9):254. https://doi.org/10.4414/cvm.2013.00176

Chicago/Turabian Style

Seeliger, Theresa, and Peter Eichhorn. 2013. "Ein Kreuz im Herzen Einer Nonne" Cardiovascular Medicine 16, no. 9: 254. https://doi.org/10.4414/cvm.2013.00176

APA Style

Seeliger, T., & Eichhorn, P. (2013). Ein Kreuz im Herzen Einer Nonne. Cardiovascular Medicine, 16(9), 254. https://doi.org/10.4414/cvm.2013.00176

Article Metrics

Back to TopTop