Abstract
Background: Upgrading from pacemakers to ICDs and CRTs is a difficult procedure, and often, transvenous lead extraction (TLE) is necessary for venous access. TLE is considered riskier in patients with multiple diseases. We aimed to assess the complexity, risk, and outcome of TLE among CRT and ICD candidates. Methods: We analyzed clinical data from 2408 patients undergoing TLE between 2006 and 2021. There were 138 patients upgraded to CRT-D, 33 patients upgraded to CRT-P and 89 individuals upgraded to ICD versus 2148 patients undergoing TLE for other non-infectious indications. Results: The need for an upgrade was the leading indication for TLE in only 36–66% of patients. In 42.0–57.6% of patients, the upgrade procedure could be successfully done only after reestablishing access to the occluded vein. All leads were extracted in 68.1–76.4% of patients, functional leads were retained in 20.2–31.9%, non-functional leads were left in place in 0.0–1.1%, and non-functional superfluous leads were extracted in 3.6–8.4%. The long-term survival rate of patients in the CRT-upgrade group was lower (63.8%) than in the non-upgrade group (75.2%). Conclusions: Upgrading a patient from an existing pacemaker to an ICD/CRT is feasible in 100% of cases, provided that TLE is performed for venous access. Major complications of TLE at the time of device upgrade are rare and, if present do not result in death.
1. Introduction
Changes in the health status of patients with cardiac implantable electronic devices (CIED) sometimes require changes in pacing mode (from AAI or VVI to DDD, from any type of pacing to an ICD, from ICD-V to ICD-D, or from any pacing mode to CRT-P or CRT-D) [1,2,3,4,5]. In patients without lead-related venous obstruction, insertion of any additional pacing lead (atrial, right, or left ventricular) is not a problem. In contrast, the need to implant a high voltage (HV) lead requires consideration of removing the previously implanted ventricular lead. In patients with lead-related venous obstruction, according to the guidelines, it is possible to extract ventricular leads, restore venous access, and implant ICD (and/or CS) leads, or (worse, but unfortunately still an accepted choice) place a new CIED on the opposite side of the chest, leaving the old lead in place (2b class indication for lead extraction). If contralateral implantation is not feasible due to venous obstruction or the presence of a catheter, there are class 1 or 2a indications for lead replacement [6,7]. There are several studies on lead extraction at the time of upgrade, but all of them focus on reestablishing access to an occluded implant vein [8,9,10,11,12]. Lead-related venous stenosis is a frequent finding in CIED carriers (patent veins are found in 17.2% of patients, mild stenosis in 19.7%, moderate in 20.8%, severe in 20.0%, and complete obstruction in 22.3% of patients) [13,14]. Therefore, in more than 50% of patients, we should be aware of the difficulties or inability to implant a new lead. [15]. Patency of the access vein is even more important for a successful upgrade than for ordinary lead insertion due to a larger diameter of introducers and more leads for simultaneous implantation. On the other hand, avoidance of lead abandonment is preferred to reduce the risk of lead-to-lead scarring [16,17] and to prevent pocket bulging caused by redundant lead loops. To the best of our knowledge, no previous study has investigated a broad range of indications for TLE at the time of an upgrade to an ICD or CRT and/or the safety and effectiveness of lead extraction in such patients.
2. Methods
2.1. Study Population
All procedures of transvenous lead extraction performed from March 2006 to July 2021 by the same primary operator at three high volume centers were analyzed. Patient and lead data (patient demographics, comorbidities, device type and history, preoperative venous patency, TLE effectiveness, major complications, and short- and long-term mortality) were entered into the computer on an ongoing basis. Patients with infectious indications for lead removal were excluded from the study. The study population was divided according to device upgrade type: group 1a: upgrade to CRT-D (n = 138), group 1b: upgrade to CRT-P (n = 33), and group 1c: upgrade to ICD (n = 89). All the upgrade groups (CRT-D, CRT-P, ICD-V, and ICD-D) made up group 1, which consisted of 260 patients. The remaining patients undergoing TLE for other non-infectious indications without upgrades to ICD and CRT were assigned to the control group, i.e., group 2 (n = 2148). We analyzed and compared clinical and procedural data, the effectiveness and safety of TLE, and long-term mortality in individual patient groups.
2.2. Lead Extraction Procedure
Indications for TLE, procedure effectiveness, and complications were assessed according to the 2009 and 2017 HRS consensus and the 2018 EHRA guidelines [6,7,18]. The efficacy of TLE was determined based on the percentage of procedural success, and clinical success including complete and partial radiographic success. Procedural success was defined as the removal of all targeted leads and lead material from the vascular space with the absence of any permanently disabling complication or procedure-related death. Clinical success was defined as the removal of all targeted leads or the retention of a small portion (<4 cm) of the lead that did not negatively impact the outcome goals of the procedure (i.e., residual lead did not increase the risk of perforation, embolic events, perpetuation of infection, or cause any undesired outcome), the absence of any permanently disabling complication, or a procedure-related death.
The complications of TLE were defined as major complications that were life-threatening, resulted in significant or permanent disability or death, or required surgical intervention [6,7,18].
Antibiotic prophylaxis in all patients consisted of a first-generation cephalosporin administered as a bolus an hour before TLE. In most procedures, standard stylets were used to stiffen the leads. Locking stylets (Liberator Locking Stylet, Cook Medical Inc., Bloomington, IN, USA) were used only for the extraction of the oldest leads when the estimated risk of lead break was high. Simple traction or traction on a locking stylet with insulation-bound suture was very rarely applied as our intention was to preserve or restore venous access for the implantation of a new lead(s) (Figure 1). Lead extraction was usually performed using non-powered mechanical telescoping polypropylene sheaths (Byrd Dilator Sheaths, Cook Medical Inc., Bloomington, IN, USA) of all diameters and lengths, and various stylets. When the polypropylene telescoping sheaths appeared ineffective, powered mechanical sheath systems (Evolution Mechanical Dilator Sheath, Cook Medical Inc., Bloomington, IN, USA; TightRail Rotating Dilator Sheath, Spectranetics, Colorado Springs, CO, USA) were used. A combination of approaches, using two or more different (jugular, subclavian, or femoral) access sites, was selected when conventional methods were insufficient. Laser and electrosurgical dissection sheaths were not used.
Figure 1.
Upgrade from ICD-V (A) to CRT-D in the patient undergoing TLE for lead-related venous obstruction (B). Moving the introducer sheath over the lead to the heart facilitates not only the removal of the lead (C) but also reestablishing access for the implantation of three new leads (D).
In this study, extractions were performed according to different organizational models (spanning 16 years of experience), ranging from procedures in the electrophysiology laboratory using intravenous analgesia/sedation [19] to procedures in the hybrid room under general anesthesia. Over the past six years, the core extraction team has consisted of the same highly experienced TLE operator, experienced echocardiographer, and dedicated cardiac surgeon [20,21,22].
Continuous transesophageal echocardiography (TEE) for monitoring patients undergoing TLE has become routine in the past six years. Philips iE33 or GE Vivid S 70 machines equipped with X7-2t Live 3D or 6VT-D probes were used. Intraprocedural TEE provided an opportunity to check the process of pulling on cardiac walls and right ventricular caving inward and to detect a drop in systolic blood pressure in response to this maneuver, thus facilitating early recognition of TLE complications. TEE at the time of new lead implantation allowed for a more accurate assessment of tip location, whereas during left ventricular lead implantation, TEE helped in the navigation of the delivery catheter into the CS ostium. TEE monitoring was used during 1123 TLEs for non-infectious indications, and TEE navigation assisted in locating the CS ostium in 76 of 138 upgrades to CRT-D (54.3%) and in 16 of 33 upgrades to CRT-P (48.5%).
Venous patency before lead extraction is defined as maximal narrowing and the number of affected veins.
2.3. Dataset and Statistical Methods
The Shapiro-Wilk test showed that most continuous variables were normally distributed. For uniformity, all continuous variables are expressed as mean ± standard deviation. Categorical variables are presented as numbers and percentages. The study population was divided into groups: 1a—patients upgraded from pacemaker or ICD (VR or DR) to CRT-D; 1b—patients upgraded from pacemaker to CRT-P; and 1c—patients upgraded from pacemaker to ICD (VR or DR); group 1—comprising patients from groups 1a-1c; and group 2—patients who underwent TLE for other indications without upgrades and serving as a comparison group. The significance of differences between groups (1, 1a, 1b, and 1c vs. 2) was determined using the nonparametric Chi2 test with Yates correction or the unpaired Mann-Whitney U test, as appropriate. A p-value less than 0.05 was considered statistically significant. Data analysis was performed using Statistica 13.3 (TIBCO Software Inc., Palo Alto, CA, USA).
2.4. Approval of the Bioethics Committee
All patients gave their informed written consent to undergo TLE and use anonymous data from their medical records, as approved by the Bioethics Committee at the Regional Chamber of Physicians in Lublin, no. 288/2018/KB/VII. The study was carried out in accordance with the ethical standards of the 1964 Declaration of Helsinki.
3. Results
A total of 2408 patients (56.6% male), with a mean age of 64.9 ± 16.3 (range 5–96 years), underwent lead extraction. Upgrade patients were more likely to have heart failure and renal failure, and there were significantly fewer women in the entire upgrade group. Patients upgraded to an ICD were younger and less often presented with severe heart failure and reduced left ventricular ejection fraction (LVEF) compared to those upgraded to a CRT. Patients with severe heart failure and significantly reduced LVEF were most likely to undergo an upgrade procedure to CRT-D. Severe renal failure was most common in patients upgraded to CRT-P, but the highest Charlson comorbidity index was noted in the CRT-D upgrade group.
Analysis of indications for TLE in individual groups showed high heterogeneity related to the coexistence of two and sometimes even three main indications (e.g., lead failure and venous obstruction with the need for a CIED upgrade). Less than 40% of patients in the entire upgrade group had a different, more important indication for TLE, and upgrading was done at the time of a CIED-related procedure. In most patients, the leading indication for TLE was an intention to upgrade existing devices (Table 1).
Table 1.
Patient characteristics and indications for lead extraction.
Analysis of venograms obtained before lead extraction showed a similar degree of narrowing: moderate stenosis in 19.8–21.9% of patients, severe stenosis in 15.5–25.0%, and complete occlusion in 20.7–23.3%. The extent of venous obstruction, considered as the number of affected veins with moderate/severe stenosis and complete occlusion, was also similar in all the compared groups. This means that unavoidable lead-related venous obstruction had no influence on lead management strategy, and a contralateral implant was not necessary in any of the cases.
In this study, the groups did not differ significantly in system-related risk factors such as abandoned leads, number of leads in the heart (4 and >4 leads in the heart) and leads on both sides of the chest. Only the number of preceding CIED-related procedures was significantly lower in patients who were upgraded to CRT-D.
Risk factors for major complications of TLE and procedure complexity were evenly distributed between the groups, but the calculated risk of major complications using the SAFeTY-TLE score [23] (sum of assigned points and probability expressed as a percentage) was highest in the CRT-P upgrade group (longer implant duration, more previous CIED-related procedures, more female patients) (Table 2).
Table 2.
Venous patency before lead extraction (maximal narrowing and number of affected veins) and risk factors for TLE complications and procedure complexity.
A comparison of TLE complexity revealed prolonged procedure duration (skin-to-skin time) in patients who were upgraded to CRT-D or CRT-P, as additional time was needed for the implantation of left ventricular leads. Only the duration of lead extraction measured as time for removal of all leads (sheath-to-sheath time) and mean time of single lead extraction were similar in all study groups. Procedure complexity, defined as the need to use alternative access sites, lead-to-lead scarring, Byrd dilator collapse/torsion, and the need to use second-line tools (Evolution (old and new) or TightRail, metal sheaths, and lasso catheters/snares), was similar in all study groups. Only a lead fracture during extraction was significantly more common in patients who underwent an upgrade procedure to ICD.
Analysis of the extraction approach showed that in 42.0–57.6% of patients, only reestablishing access to the occluded vein permitted a successful upgrade. In most of the remaining patients, venous access was maintained (one, two, or even three guide wires passed through the lead extraction sheath and new introducers). In a small percentage of patients, due to the previously used parasternal approach, the operator tried to perform a more peripheral vein puncture to prevent crush syndrome (Table 3).
Table 3.
Extraction procedure complexity.
The goal of lead management in patients undergoing system upgrades was “no lead left behind” on completion of TLE. All leads were extracted in 68.1–76.4% of patients; functional leads were left in place in 20.2–31.9% of patients; non-functional leads were left behind in only 0.0–1.1% of patients; and non-functional superfluous leads were extracted in 3.6–8.4% of patients.
Evaluation of TLE efficacy and safety showed zero occurrences of major complications and tricuspid valve damage during TLE, no need for emergent cardiac surgery, and no procedure-related deaths (intra- and post-procedural) in all upgrade groups. The rate of clinical success in the upgrade groups was 100%. Due to the lower occurrence of partial radiographic success, the rate of procedural success was higher in upgraded patients (98.1% vs. 95.1% in patients undergoing TLE for other indications; p = 0.042).
Analysis of short-, medium-, and long-term prognosis after TLE showed that survival in the group upgraded to CRT was lower (63.8%) than in patients without the upgrade (75.2%), p < 0.001, but no association with 48-h or 1-month mortality by device type was demonstrated. However, mortality at more than one year and three years after TLE was significantly higher among patients with the CRT upgrade (8.1 and 12.8%) than the non-upgrade control group (4.4 and 7.5%) (Table 4).
Table 4.
Lead management strategy, TLE outcomes, and long-term mortality.
4. Discussion
The purpose of lead extraction at the time of CIED upgrade is several fold: to prevent superfluous lead abandonment, prevent abandonment of dysfunctional leads, reestablish access to an occluded vein, and, rarely, remove previously abandoned leads. Current guidelines for transvenous lead extraction recommend removing unnecessary leads in patients with long life expectancies [6,7,18]. There is still controversy over lead management strategy (including lead abandonment), and the final opinion of very experienced high-volume operators is well-balanced [24,25,26,27,28,29,30,31,32,33]. Conclusions from these reports gently promote the avoidance of lead abandonment, provided that all feasible precautions are taken to ensure safety. This study in a large population of patients undergoing TLE during an upgrade procedure to ICD or CRT demonstrated that all leads were successfully extracted in 68.1–76.4% of cases and non-functional leads were left behind in only 0.0–1.1% of cases. This strategy was chosen based on research findings suggesting that lead abandonment is often associated with increased risk of complications [24], abandoned leads complicate the management of cardiac device infections, resulting in worse clinical outcomes [25], the extraction of abandoned leads is associated with a lower risk of device infections at 5 years [26], and patients with abandoned leads are more likely to require laser extraction [27]. Additionally, abandoned leads increase procedural complexity, including a higher rate of bailout femoral extraction, which may be associated with lower clinical success [28], whereas removal of non-infectious superfluous leads seems to be a safe and effective therapeutic option [32].
The analysis of TLE efficacy in patients undergoing upgrade to ICD and CRT in this study showed very high effectiveness and safety of the procedure: 100% complete clinical success rate, 98% complete procedural success rate, and no major complications in this patient population. To date, there are few studies that have investigated lead extraction in patients undergoing system upgrades. Analysis of laser lead extraction performed in 71 patients scheduled for device upgrade/revision who had occluded or functionally obstructed venous anatomy also showed high efficiency (procedural success in 100% of patients, 3% major complications) [9]. Similarly, in a case series reported by Bracke et al. [34] and Gula et al. [35], the efficiency of lead extraction was 100 percent, and no major complications were noted.
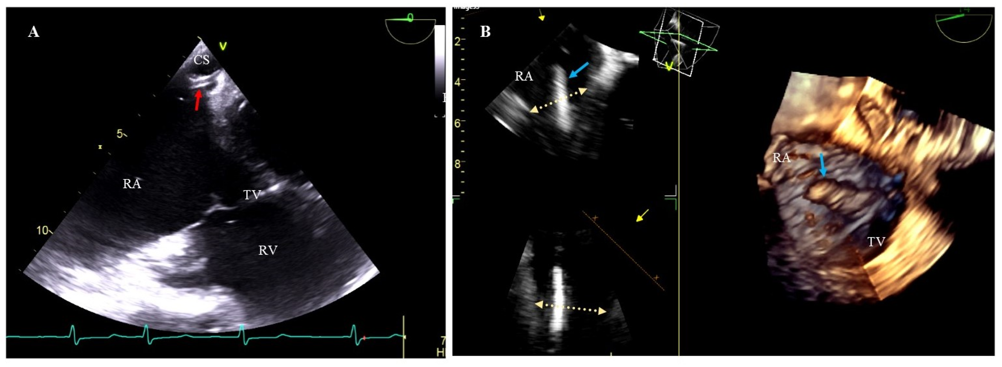
Consideration should also be given to the additional use of transesophageal echocardiography (TEE) when inserting new leads after TLE. TEE facilitates the monitoring of the intubation process of the coronary sinus, thus shortening the time of fluoroscopy, and if high-voltage lead is required, TEE can help accurately assess the relationship between the proximal coil end and the level of the valve and leaflets (Figure 2).
Figure 2.
Additional use of TEE at new lead implantation during TLE. (A) 2D TEE images- lower esophageal view. A catheter (red arrow) was inserted into the coronary sinus (CS) under X-ray and TEE guidance. (B) 3D TEE images—mid-esophageal view. The coil (blue arrow) protrudes into RA above the tricuspid valve level (yellow arrows). RA—right atrium, RV—right ventricle, TV—tricuspid valve.
One of the most important issues in patients undergoing system upgrades is venous patency and the need to have enough space for two large introducers, which may necessitate the extraction of the existing lead. Imaging with venography is mandatory before any attempt at a system upgrade [13,14,15]. In this study, like previous reports [9,13,14,15], significant lead-related venous obstruction was found in about 60% of upgrade patients (Figure 3). Despite difficult venous access in these patients, there was no case in which a contralateral implant was necessary.
Figure 3.
Upgrade from ICD-V (A) to CRT-D in the patient with lead-related venous obstruction (B). Moving the preparation sheath over the lead to the heart allows not only for lead removal (C,D) but also reestablishing venous access (E) for the implantation of three new leads (F).
TEE monitoring during lead extraction procedures has become the standard clinical approach whose importance cannot be overestimated. In patients undergoing TLE with subsequent upgrade it allows for a more accurate assessment of the location of RV lead tips, and if implantation of CS lead for left ventricular pacing is required, TEE is used for navigation during insertion of the delivery catheter into the CS ostium (Figure 2) [27,36,37].
The present study also evaluated the survival of patients undergoing lead extraction. It is worth highlighting that there were no periprocedural deaths in patients who had undergone system upgrade. Worse long-term outcomes can be accounted for by the poorer clinical characteristics of patients upgraded to ICD/CRT.
5. Conclusions
- Upgrading a patient from an existing pacemaker to an ICD/CRT-P/CRT-D is feasible in 100% of cases, provided that transvenous lead extraction is performed for venous access, if necessary.
- In clinical practice, most upgrades from PM to ICD/CRT coincide with system revision/lead extraction due to lead failure. A separate indication for upgrading is less frequent (under 60%).
- Lead extraction at the time of upgrade prevents superfluous lead abandonment.
- Major complications of lead extraction for device upgrades are rare (0% at experienced centers) and, if present, do not result in death.
Study Limitation
All procedures in this study were performed by the same very experienced operator at three high-volume centers; therefore, it may be difficult to reproduce the results in centers with lower volumes and less expertise. A mechanical-only approach to lead extraction was used throughout the study.
Author Contributions
P.S.—writing—original draft preparation; D.N.—data curation and corresponding author, A.P.—interpretation of results, W.J.—methodology and statistical study, A.G.—data curation, J.K.—data curation, A.K.—supervision, writing—review, and editing. All authors have read and agreed to the published version of the manuscript.
Funding
This research received no external funding.
Institutional Review Board Statement
The study was approved by the institutional Bioethics Committee at the Regional Physicians Chamber in Lublin no. 288/2018/KB/VII. The study was conducted in accordance with the Declaration of Helsinki (as revised in 2013).
Informed Consent Statement
Informed consent was obtained from all patients.
Data Availability Statement
Readers can access data supporting the conclusions of the study upon reasonable request to the authors.
Acknowledgments
We would like to thank all doctors who participated in the transvenous lead extraction procedures.
Conflicts of Interest
The authors declare no conflict of interest.
References
- Moura-Ferreira, S.; Gonçalves, H.; Oliveira, M.; Primo, J.; Fonseca, P.; Ribeiro, J.; Santos, E.; Pelicano, N.; Martins, D.; Gama, V. A devices’ game of thrones: Cardiac resynchronization therapy vs. pacemaker. Europace 2017, 19, 2042–2046. [Google Scholar] [CrossRef]
- Wunderlich, E.; Schindler, H.; Hetze, A.; Wunderlich, C. Maintenance of AAI(R) mode at the time of generator replacement. Herzschrittmacherther Elektrophysiol. 2010, 21, 196–199. [Google Scholar] [CrossRef]
- Teno, L.A.; Costa, R.; Martinelli Filho, M.; Castilho, F.C.; Ruiz, I. Upgrading from VVI to DDD pacing Mode during elective replacement of pulse generator: A comparative clinical-functional analysis. Arq. Bras. Cardiol. 2007, 88, 128–133. [Google Scholar] [CrossRef]
- Nakazato, Y.; Suzuki, T.; Yasuda, M.; Daida, H. Manifestation of Brugada syndrome after pacemaker implantation in a patient with sick sinus syndrome. J. Cardiovasc. Electrophysiol. 2004, 15, 1328–1330. [Google Scholar] [CrossRef]
- Sulke, N.; Dritsas, A.; Bostock, J.; Wells, A.; Morris, R.; Sowton, E. “Subclinical” pacemaker syndrome: A randomised study of symptom free patients with ventricular demand (VVI) pacemakers upgraded to dual chamber devices. Br. Heart J. 1992, 67, 57–64. [Google Scholar] [CrossRef]
- Wilkoff, B.L.; Love, C.J.; Byrd, C.L.; Bongiorni, M.G.; Carrillo, R.G.; Crossley, G.H., 3rd; Epstein, L.M.; Friedman, R.A.; Kennergren, C.E.; Mitkowski, P.; et al. Transvenous lead extraction: Heart Rhythm Society expert consensus on facilities, training, indications, and patient management: This document was endorsed by the American Heart Association (AHA). Heart Rhythm. 2009, 6, 1085–1104. [Google Scholar] [CrossRef]
- Kusumoto, F.M.; Schoenfeld, M.H.; Wilkoff, B.; Berul, C.I.; Birgersdotter-Green, U.M.; Carrillo, R.; Cha, Y.M.; Clancy, J.; Deharo, J.C.; Ellenbogen, K.A.; et al. 2017 HRS expert consensus statement on cardiovascular implantable electronic device lead management and extraction. Heart Rhythm 2017, 14, e503–e551. [Google Scholar] [CrossRef]
- Al-Maisary, S.; Romano, G.; Karck, M.; De Simone, R.; Kremer, J. The use of laser lead extraction sheath in the presence of supra-cardiac occlusion of the central veins for cardiac implantable electronic device lead upgrade or revision. PLoS ONE 2021, 16, e0251829. [Google Scholar] [CrossRef]
- Sohal, M.; Williams, S.; Akhtar, M.; Shah, A.; Chen, Z.; Wright, M.; O’Neill, M.; Patel, N.; Hamid, S.; Cooklin, M.; et al. Laser lead extraction to facilitate cardiac implantable electronic device upgrade and revision in the presence of central venous obstruction. Europace 2014, 16, 81–87. [Google Scholar] [CrossRef]
- Witte, O.A.; Adiyaman, A.; van Bemmel, M.W.; Smit, J.J.J.; Ghani, A.; Misier, A.R.R.; Elvan, A.; Delnoy, P.P.H.M. Mechanical power sheath mediated recanalization and lead implantation in patients with venous occlusion: Technique and results. J. Cardiovasc. Electrophysiol. 2018, 29, 316–321. [Google Scholar] [CrossRef]
- Nobre Menezes, M.; Bernardes, A.; de Sousa, J.; Marques, P. Overcoming a subclavian complete occlusion: Simple single lead extraction by the subclavian vein allowing implantation of two new leads and upgrade to CRT-P with multi-site pacing. Indian Pacing Electrophysiol. J. 2015, 15, 118–120. [Google Scholar] [CrossRef] [PubMed][Green Version]
- Kuśmierski, K.; Syska, P.; Maciąg, A.; Oręziak, A.; Kuśmierczyk, M.; Przybylski, A. Regaining venous access for implantation of a new lead. Postepy Kardiol. Interwencyjnej. 2013, 9, 16–21. [Google Scholar] [CrossRef] [PubMed]
- Czajkowski, M.; Jacheć, W.; Polewczyk, A.; Kosior, J.; Nowosielecka, D.; Tułecki, Ł.; Stefańczyk, P.; Kutarski, A. Risk Factors for Lead-Related Venous Obstruction: A Study of 2909 Candidates for Lead Extraction. J. Clin. Med. 2021, 10, 5158. [Google Scholar] [CrossRef] [PubMed]
- Czajkowski, M.; Jacheć, W.; Polewczyk, A.; Kosior, J.; Nowosielecka, D.; Tułecki, Ł.; Stefańczyk, P.; Kutarski, A. The Influence of Lead-Related Venous Obstruction on the Complexity and Outcomes of Transvenous Lead Extraction. Int J. Environ. Res. Public Health 2021, 18, 9634. [Google Scholar] [CrossRef]
- Albertini, C.M.M.; Silva, K.R.D.; Leal Filho, J.M.D.M.; Crevelari, E.S.; Martinelli Filho, M.; Carnevale, F.C.; Costa, R. Usefulness of preoperative venography in patients with cardiac implantable electronic devices submitted to lead replacement or device upgrade procedures. Arq Bras. Cardiol. 2018, 111, 686–696. [Google Scholar] [CrossRef]
- Suga, C.; Hayes, D.L.; Hyberger, L.K.; Lloyd, M.A. Is there an adverse outcome from abandoned pacing leads? J. Interv. Card. Electrophysiol. 2000, 4, 493–499. [Google Scholar] [CrossRef]
- Kutarski, A.; Małecka, B.; Kołodzinska, A.; Grabowski, M. Mutual abrasion of endocardial leads: Analysis of explanted leads. Pacing Clin. Electrophysiol. 2013, 36, 1503–1511. [Google Scholar] [CrossRef]
- Bongiorni, M.G.; Burri, H.; Deharo, J.C.; Starck, C.; Kennergren, C.; Saghy, L.; Rao, A.; Tascini, C.; Lever, N.; Kutarski, A.; et al. 2018 EHRA expert consensus statement on lead extraction: Recommendations on definitions, endpoints, research trial design, and data collection requirements for clinical scientific studies and registries: Endorsed by APHRS/HRS/LAHRS. Europace 2018, 20, 1217. [Google Scholar] [CrossRef]
- Kutarski, A.; Czajkowski, M.; Pietura, R.; Obszanski, B.; Polewczyk, A.; Jachec, W.; Polewczyk, M.; Mlynarczyk, K.; Grabowski, M.; Opolski, G. Effectiveness, safety, and long-term outcomes of non-powered mechanical sheaths for transvenous lead extraction. Europace 2018, 20, 1324–1333. [Google Scholar] [CrossRef]
- Tułecki, Ł.; Polewczyk, A.; Jacheć, W.; Nowosielecka, D.; Tomków, K.; Stefańczyk, P.; Kosior, J.; Duda, K.; Polewczyk, M.; Kutarski, A. Study of Major and Minor Complications of 1500 Transvenous Lead Extraction Procedures Performed with Optimal Safety at Two High-Volume Referral Centers. Int. J. Environ. Res. Public Health 2021, 18, 10416. [Google Scholar] [CrossRef]
- Tułecki, Ł.; Polewczyk, A.; Jacheć, W.; Nowosielecka, D.; Tomków, K.; Stefańczyk, P.; Kosior, J.; Duda, K.; Polewczyk, M.; Kutarski, A. Analysis of Risk Factors for Major Complications of 1500 Transvenous Lead Extraction Procedures with Especial Attention to Tricuspid Valve Damage. Int. J. Environ. Res. Public Health 2021, 18, 9100. [Google Scholar] [CrossRef] [PubMed]
- Stefańczyk, P.; Nowosielecka, D.; Tułecki, Ł.; Tomków, K.; Polewczyk, A.; Jacheć, W.; Kleinrok, A.; Borzęcki, W.; Kutarski, A. Transvenous Lead Extraction without Procedure-Related Deaths in 1000 Consecutive Patients: A Single-Center Experience. Vasc Health Risk Manag. 2021, 17, 445–459. [Google Scholar] [CrossRef] [PubMed]
- Jacheć, W.; Polewczyk, A.; Polewczyk, M.; Tomasik, A.; Kutarski, A. Transvenous Lead Extraction SAFeTY Score for Risk Stratification and Proper Patient Selection for Removal Procedures Using Mechanical Tools. J. Clin. Med. 2020, 9, 361. [Google Scholar] [CrossRef] [PubMed]
- Böhm, A.; Pintér, A.; Duray, G.; Lehoczky, D.; Dudás, G.; Tomcsányi, I.; Préda, I. Complications due to abandoned noninfected pacemaker leads. Pacing Clin. Electrophysiol. 2001, 24, 1721–1724. [Google Scholar] [CrossRef]
- Hussein, A.A.; Tarakji, K.G.; Martin, D.O.; Gadre, A.; Fraser, T.; Kim, A.; Brunner, M.P.; Barakat, A.F.; Saliba, W.I.; Kanj, M.; et al. Cardiac Implantable Electronic Device Infections: Added Complexity and Suboptimal Outcomes with Previously Abandoned Leads. JACC Clin. Electrophysiol. 2017, 3, 1–9. [Google Scholar] [CrossRef]
- Pokorney, S.D.; Mi, X.; Lewis, R.K.; Greiner, M.; Epstein, L.M.; Carrillo, R.G.; Zeitler, E.P.; Al-Khatib, S.M.; Hegland, D.D.; Piccini, J.P. Outcomes Associated with Extraction Versus Capping and Abandoning Pacing and Defibrillator Leads. Circulation 2017, 136, 1387–1395. [Google Scholar] [CrossRef]
- Boyle, T.A.; Uslan, D.Z.; Prutkin, J.M.; Greenspon, A.J.; Baddour, L.M.; Danik, S.B.; Tolosana, J.M.; Le, K.; Miro, J.M.; Peacock, J.E.; et al. Impact of Abandoned Leads on Cardiovascular Implantable Electronic Device Infections: A Propensity Matched Analysis of MEDIC (Multicenter Electrophysiologic Device Infection Cohort). JACC Clin. Electrophysiol. 2018, 4, 201–208. [Google Scholar] [CrossRef]
- Merchant, F.M.; Tejada, T.; Patel, A.; El-Khalil, J.; Desai, Y.; Keeling, B.; Lattouf, O.M.; Leon, A.R.; El-Chami, M.F. Procedural outcomes and long-term survival associated with lead extraction in patients with abandoned leads. Heart Rhythm 2018, 15, 855–859. [Google Scholar] [CrossRef]
- Jacheć, W.; Polewczyk, A.; Polewczyk, M.; Tomasik, A.; Janion, M.; Kutarski, A. Risk Factors Predicting Complications of Transvenous Lead Extraction. Biomed. Res. Int. 2018, 2018, 8796704. [Google Scholar] [CrossRef]
- Segreti, L.; Rinaldi, C.A.; Claridge, S.; Svendsen, J.H.; Blomstrom-Lundqvist, C.; Auricchio, A.; Butter, C.; Dagres, N.; Deharo, J.C.; Maggioni, A.P.; et al. Procedural outcomes associated with transvenous lead extraction in patients with abandoned leads: An ESC-EHRA ELECTRa (European Lead Extraction ConTRolled) Registry Sub-Analysis. Europace 2019, 21, 645–654. [Google Scholar] [CrossRef]
- Jacheć, W.; Polewczyk, A.; Segreti, L.; Bongiorni, M.G.; Kutarski, A. To abandon or not to abandon: Late consequences of pacing and ICD lead abandonment. Pacing Clin. Electrophysiol. 2019, 42, 1006–1017. [Google Scholar] [CrossRef] [PubMed]
- Higuchi, S.; Shoda, M.; Saito, S.; Kanai, M.; Kataoka, S.; Yazaki, K.; Yagishita, D.; Ejima, K.; Hagiwara, N. Safety and efficacy of transvenous lead extractions for noninfectious superfluous leads in a Japanese population: A single-center experience. Pacing Clin. Electrophysiol. 2019, 42, 1517–1523. [Google Scholar] [CrossRef] [PubMed]
- Segreti, L.; Giannotti Santoro, M.; Di Cori, A.; Fiorentini, F.; Zucchelli, G.; Bernini, G.; De Lucia, R.; Viani, S.; Paperini, L.; Barletta, V.; et al. Safety and efficacy of transvenous mechanical lead extraction in patients with abandoned leads. Europace 2020, 22, 1401–1408. [Google Scholar] [CrossRef] [PubMed]
- Bracke, F.A.; van Gelder, L.M.; Sreeram, N.; Meijer, A. Exchange of pacing or defibrillator leads following laser sheath extraction of non-functional leads in patients with ipsilateral obstructed venous access. Heart 2000, 83, E12. [Google Scholar] [CrossRef] [PubMed][Green Version]
- Gula, L.J.; Ames, A.; Woodburn, A.; Matkins, J.; McCormick, M.; Bell, J.; Sink, D.; McConville, J.; Epstein, L.M. Central venous occlusion is not an obstacle to device upgrade with the assistance of laser extraction. Pacing Clin. Electrophysiol. 2005, 28, 661–666. [Google Scholar] [CrossRef]
- Nowosielecka, D.; Jacheć, W.; Polewczyk, A.; Tułecki, Ł.; Tomków, K.; Stefańczyk, P.; Tomaszewski, A.; Brzozowski, W.; Szcześniak-Stańczyk, D.; Kleinrok, A.; et al. Transesophageal Echocardiography as a Monitoring Tool During Transvenous Lead Extraction-Does It Improve Procedure Effectiveness? J. Clin. Med. 2020, 9, 1382. [Google Scholar] [CrossRef]
- Nowosielecka, D.; Polewczyk, A.; Jacheć, W.; Tułecki, Ł.; Tomków, K.; Stefańczyk, P.; Kleinrok, A.; Kutarski, A. A new approach to the continuous monitoring of transvenous lead extraction using transesophageal echocardiography-Analysis of 936 procedures. Echocardiography 2020, 37, 601–611. [Google Scholar] [CrossRef]
Disclaimer/Publisher’s Note: The statements, opinions and data contained in all publications are solely those of the individual author(s) and contributor(s) and not of MDPI and/or the editor(s). MDPI and/or the editor(s) disclaim responsibility for any injury to people or property resulting from any ideas, methods, instructions or products referred to in the content. |
© 2022 by the authors. Licensee MDPI, Basel, Switzerland. This article is an open access article distributed under the terms and conditions of the Creative Commons Attribution (CC BY) license (https://creativecommons.org/licenses/by/4.0/).


