Expression of VEGF, EGF, and Their Receptors in Squamous Esophageal Mucosa, with Correlations to Histological Findings and Endoscopic Minimal Changes, in Patients with Different GERD Phenotypes
Abstract
:1. Introduction
2. Materials and Methods
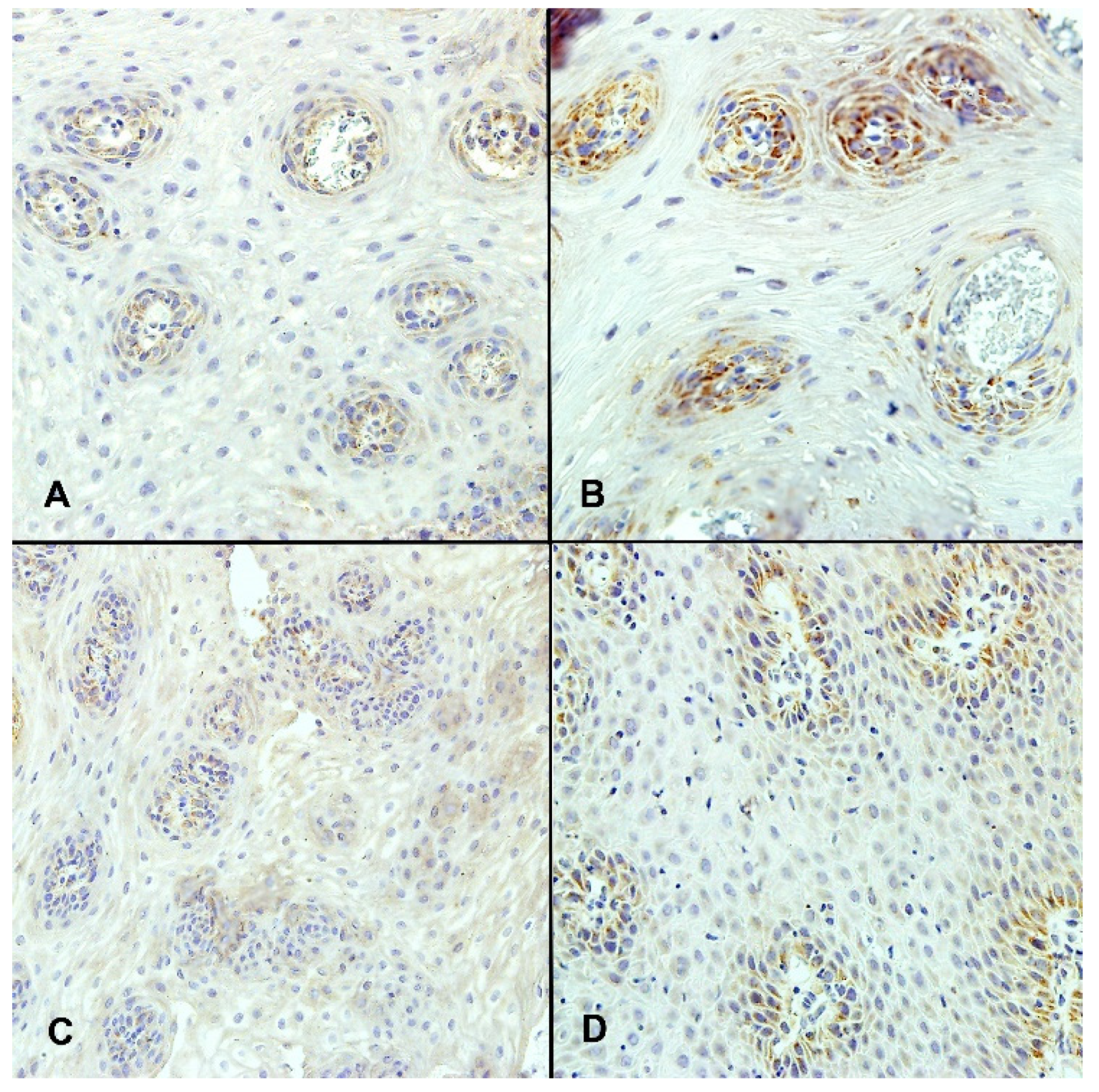
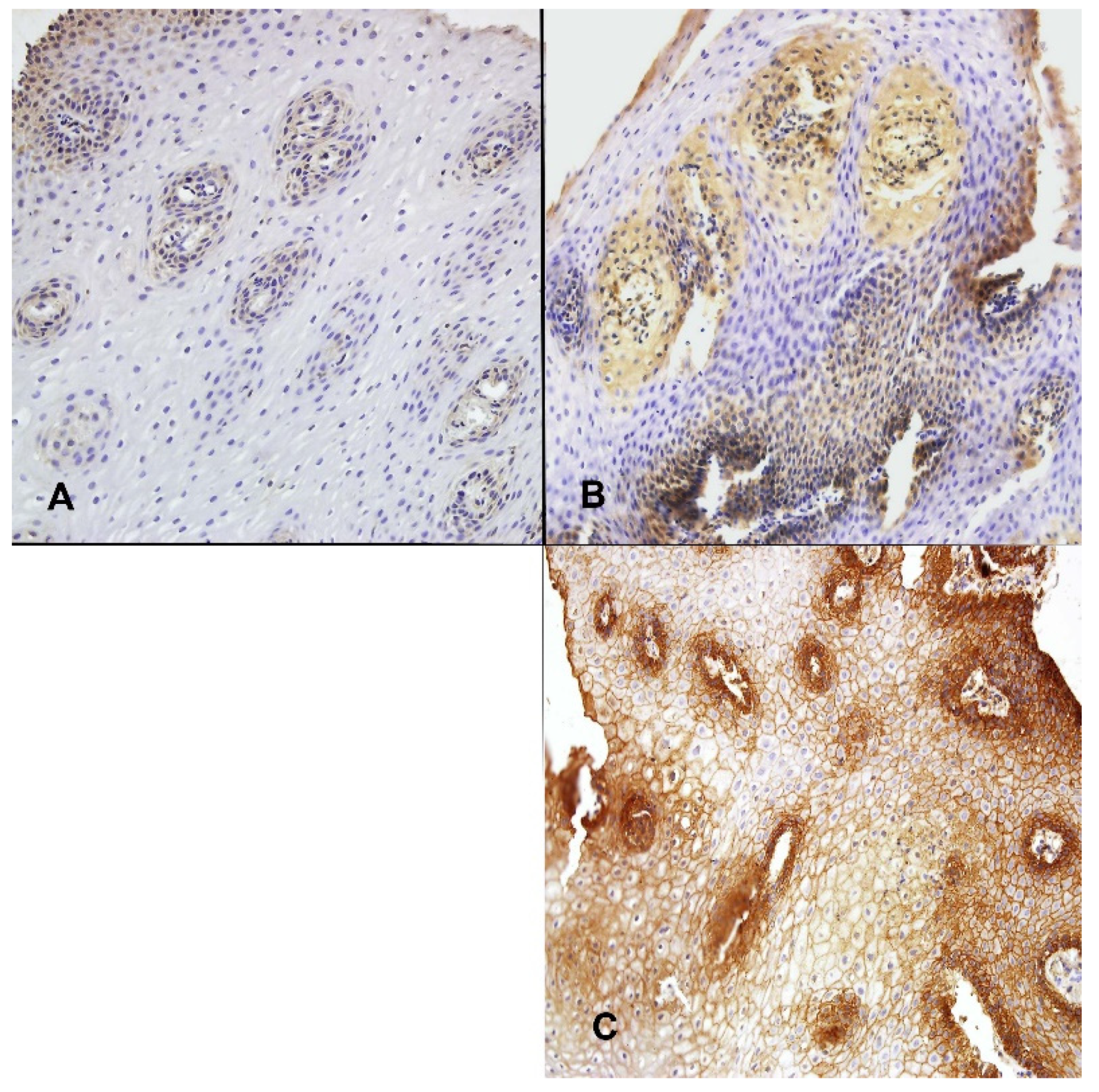
3. Results
4. Discussion
5. Conclusions
Author Contributions
Funding
Institutional Review Board Statement
Informed Consent Statement
Data Availability Statement
Conflicts of Interest
References
- Ronkainen, J.; Aro, P.; Storskrubb, T.; Johansson, S.E.; Lind, T.; Bolling-Sternevald, E.; Graffner, H.; Vieth, M.; Stolte, M.; Engstrand, L.; et al. High prevalence of gastroesophageal reflux symptoms and esophagitis with or without symptoms in the general adult Swedish population: A Kalixanda study report. Scand. J. Gastroenterol. 2005, 40, 275–285. [Google Scholar] [CrossRef] [PubMed]
- Dent, J.; El-Serag, H.B.; Wallander, M.A.; Johansson, S. Epidemiology of gastro-oesophageal reflux disease: A systematic review. Gut 2005, 54, 710–717. [Google Scholar] [CrossRef] [PubMed]
- Jung, H.K.; Tae, C.H.; Song, K.H.; Kang, S.J.; Park, J.K.; Gong, E.J.; Shin, J.E.; Lim, H.C.; Lee, S.K.; Jung, D.H.; et al. 2020 Seoul Consensus on the Diagnosis and Management of Gastroesophageal Reflux Disease. J. Neurogastroenterol. Motil. 2021, 27, 453–481. [Google Scholar] [CrossRef] [PubMed]
- Peery, A.F.; Crockett, S.D.; Barritt, A.S.; Dellon, E.S.; Eluri, S.; Gangarosa, L.M.; Jensen, E.T.; Lund, J.L.; Pasricha, S.; Runge, T.; et al. Burden of Gastrointestinal, Liver, and Pancreatic Diseases in the United States. Gastroenterology 2015, 149, 1731–1741.e3. [Google Scholar] [CrossRef] [PubMed] [Green Version]
- Mastracci, L.; Grillo, F.; Parente, P.; Unti, E.; Battista, S.; Spaggiari, P.; Campora, M.; Scaglione, G.; Fassan, M.; Fiocca, R. Gastro-esophageal reflux disease and Barrett’s esophagus: An overview with an histologic diagnostic approach. Pathologica 2020, 112, 117–127. [Google Scholar] [CrossRef] [PubMed]
- Katz, P.O.; Dunbar, K.B.; Schnoll-Sussman, F.H.; Greer, K.B.; Yadlapati, R.; Spechler, S.J. ACG Clinical Guideline for the Diagnosis and Management of Gastroesophageal Reflux Disease. Am. J. Gastroenterol. 2022, 117, 27–56. [Google Scholar] [CrossRef] [PubMed]
- Hunt, R.; Armstrong, D.; Katelaris, P.; Afihene, M.; Bane, A.; Bhatia, S.; Chen, M.H.; Choi, M.G.; Melo, A.C.; Fock, K.M.; et al. World Gastroenterology Organisation Global Guidelines: GERD Global Perspective on Gastroesophageal Reflux Disease. J. Clin. Gastroenterol. 2017, 51, 467–478. [Google Scholar] [CrossRef]
- Schneider, J.L.; Corley, D.A. The Troublesome Epidemiology of Barrett’s Esophagus and Esophageal Adenocarcinoma. Gastrointest. Endosc. Clin. N. Am. 2017, 27, 353–364. [Google Scholar] [CrossRef]
- Grillo, F.; Mastracci, L.; Saragoni, L.; Vanoli, A.; Limarzi, F.; Gullo, I.; Ferro, J.; Paudice, M.; Parente, P.; Fassan, M. Neoplastic and pre-neoplastic lesions of the oesophagus and gastro-oesophageal junction. Pathologica 2020, 112, 138–152. [Google Scholar] [CrossRef] [PubMed]
- Grande, M.; Sileri, P.; Attinà, G.M.; De Luca, E.; Ciano, P.; Ciangola, C.I.; Cadeddu, F. Nonerosive gastroesophageal reflux disease and mild degree of esophagitis: Comparison of symptoms endoscopic, manometric and pH-metric patterns. World J. Surg. Oncol. 2012, 10, 84. [Google Scholar] [CrossRef] [PubMed] [Green Version]
- Dent, J.; Becher, A.; Sung, J.; Zou, D.; Agréus, L.; Bazzoli, F. Systematic review: Patterns of reflux-induced symptoms and esophageal endoscopic findings in large-scale surveys. Clin. Gastroenterol. Hepatol. 2012, 10, 863–873.e3. [Google Scholar] [CrossRef] [PubMed]
- Edebo, A.; Tam, W.; Bruno, M.; Van Berkel, A.M.; Jönson, C.; Schoeman, M.; Tytgat, G.; Dent, J.; Lundell, L. Magnification endoscopy for diagnosis of nonerosive reflux disease: A proposal of diagnostic criteria and critical analysis of observer variability. Endoscopy 2007, 39, 195–201. [Google Scholar] [CrossRef] [PubMed]
- Wasielica-Berger, J.; Kemona, A.; Kiśluk, J.; Świdnicka-Siergiejko, A.; Rogalski, P.; Chwieśko, A.; Kostrzewska, M.; Dąbrowski, A. The added value of magnifying endoscopy in diagnosing patients with certain gastroesophageal reflux disease. Adv. Med. Sci. 2018, 63, 359–366. [Google Scholar] [CrossRef] [PubMed]
- Kiesslich, R.; Kanzler, S.; Vieth, M.; Moehler, M.; Neidig, J.; Thanka Nadar, B.J.; Schilling, D.; Burg, J.; Nafe, B.; Neurath, M.F.; et al. Minimal change esophagitis: Prospective comparison of endoscopic and histological markers between patients with non-erosive reflux disease and normal controls using magnifying endoscopy. Dig. Dis. 2004, 22, 221–227. [Google Scholar] [CrossRef] [PubMed]
- Netinatsunton, N.; Sottisuporn, J.; Attasaranya, S.; Witeerungrot, T.; Chamroonkul, N.; Jongboonyanuparp, T.; Geater, A.; Ovartlarnporn, B. i-Scan detection of minimal change esophagitis in dyspeptic patients with or without Gastroesophageal Reflux disease. BMC Gastroenterol. 2016, 16, 4. [Google Scholar] [CrossRef] [PubMed] [Green Version]
- Mastracci, L.; Grillo, F.; Parente, P.; Unti, E.; Battista, S.; Spaggiari, P.; Campora, M.; Valle, L.; Fassan, M.; Fiocca, R. Non gastro-esophageal reflux disease related esophagitis: An overview with a histologic diagnostic approach. Pathologica 2020, 112, 128–137. [Google Scholar] [CrossRef]
- Savarino, E.; Zentilin, P.; Mastracci, L.; Dulbecco, P.; Marabotto, E.; Gemignani, L.; Bruzzone, L.; de Bortoli, N.; Frigo, A.C.; Fiocca, R.; et al. Microscopic esophagitis distinguishes patients with non-erosive reflux disease from those with functional heartburn. J. Gastroenterol. 2013, 48, 473–482. [Google Scholar] [CrossRef]
- Johnson, K.E.; Wilgus, T.A. Vascular Endothelial Growth Factor and Angiogenesis in the Regulation of Cutaneous Wound Repair. Adv. Wound Care 2014, 3, 647–661. [Google Scholar] [CrossRef] [Green Version]
- Brown, N.J.; Smyth, E.A.; Cross, S.S.; Reed, M.W. Angiogenesis induction and regression in human surgical wounds. Wound Repair. Regen. 2002, 10, 245–251. [Google Scholar] [CrossRef]
- Luo, J.C.; Lin, H.Y.; Lu, C.L.; Chen, T.S.; Lin, H.C.; Li, C.P.; Liao, W.C.; Chang, F.Y.; Lee, S.D. Growth factors expression in patients with erosive esophagitis. Transl. Res. 2008, 152, 81–87. [Google Scholar] [CrossRef]
- Taddei, A.; Fabbroni, V.; Pini, A.; Lucarini, L.; Ringressi, M.N.; Fantappiè, O.; Bani, D.; Messerini, L.; Masini, E.; Bechi, P. Cyclooxygenase-2 and inflammation mediators have a crucial role in reflux-related esophageal histological changes and Barrett’s esophagus. Dig. Dis. Sci. 2014, 59, 949–957. [Google Scholar] [CrossRef] [PubMed]
- Inamori, M.; Shimamura, T.; Nagase, H.; Abe, Y.; Umezawa, T.; Nakajima, A.; Saito, T.; Ueno, N.; Tanaka, K.; Sekihara, H.; et al. mRNA expression of inducible nitric oxide synthase, endothelial nitric oxide synthase and vascular endothelial growth factor in esophageal mucosa biopsy specimens from patients with reflux esophagitis. Hepatogastroenterology 2006, 53, 361–365. [Google Scholar] [PubMed]
- Bodnar, R.J. Epidermal Growth Factor and Epidermal Growth Factor Receptor: The Yin and Yang in the Treatment of Cutaneous Wounds and Cancer. Adv. Wound Care 2013, 2, 24–29. [Google Scholar] [CrossRef] [PubMed] [Green Version]
- Rourk, R.M.; Namiot, Z.; Edmunds, M.C.; Sarosiek, J.; Yu, Z.; McCallum, R.W. Diminished luminal release of esophageal epidermal growth factor in patients with reflux esophagitis. Am. J. Gastroenterol. 1994, 89, 1177–1184. [Google Scholar] [PubMed]
- Jankowski, J.; Coghill, G.; Tregaskis, B.; Hopwood, D.; Wormsley, K.G. Epidermal growth factor in the oesophagus. Gut 1992, 33, 1448–1453. [Google Scholar] [CrossRef]
- Vakil, N.; van Zanten, S.V.; Kahrilas, P.; Dent, J.; Jones, R.; Global Consensus Group. The Montreal definition and classification of gastroesophageal reflux disease: A global evidence-based consensus. Am. J. Gastroenterol. 2006, 101, 1900–1920. [Google Scholar] [CrossRef]
- Vieth, M.; Peitz, U.; Labenz, J.; Kulig, M.; Nauclér, E.; Jaspersen, D.; Meyer-Sabellek, W.; Willich, S.; Lind, T.; Malfertheiner, P.; et al. What parameters are relevant for the histological diagnosis of gastroesophageal reflux disease without Barrett’s mucosa? Dig. Dis. 2004, 22, 196–201. [Google Scholar] [CrossRef]
- Souza, R.F.; Huo, X.; Mittal, V.; Schuler, C.M.; Carmack, S.W.; Zhang, H.Y.; Zhang, X.; Yu, C.; Hormi-Carver, K.; Genta, R.M.; et al. Gastroesophageal reflux might cause esophagitis through a cytokine-mediated mechanism rather than caustic acid injury. Gastroenterology 2009, 137, 1776–1784. [Google Scholar] [CrossRef]
- Dunbar, K.B.; Agoston, A.T.; Odze, R.D.; Huo, X.; Pham, T.H.; Cipher, D.J.; Castell, D.O.; Genta, R.M.; Souza, R.F.; Spechler, S.J. Association of Acute Gastroesophageal Reflux Disease With Esophageal Histologic Changes. JAMA 2016, 315, 2104–2112. [Google Scholar] [CrossRef]
- Souza, R.F.; Bayeh, L.; Spechler, S.J.; Tambar, U.K.; Bruick, R.K. A new paradigm for GERD pathogenesis. Not acid injury, but cytokine-mediated inflammation driven by HIF-2α: A potential role for targeting HIF-2α to prevent and treat reflux esophagitis. Curr. Opin. Pharmacol. 2017, 37, 93–99. [Google Scholar] [CrossRef]
- Pretto, G.; Gurski, R.R.; Binato, M.; Navarini, D.; Aguiar, W.W.; Meurer, L. Increase of epidermal growth factor receptor expression in progression of GERD, Barrett, and adenocarcinoma of esophagus. Dig. Dis. Sci. 2013, 58, 115–122. [Google Scholar] [CrossRef] [PubMed]
- Fujiwara, Y.; Higuchi, K.; Takashima, T.; Hamaguchi, M.; Hayakawa, T.; Tominaga, K.; Watanabe, T.; Oshitani, N.; Shimada, Y.; Arakawa, T. Roles of epidermal growth factor and Na+/H+ exchanger-1 in esophageal epithelial defense against acid-induced injury. Am. J. Physiol. Gastrointest. Liver Physiol. 2006, 290, G665–G673. [Google Scholar] [CrossRef] [PubMed] [Green Version]
- Yandrapu, H.; Marcinkiewicz, M.; Poplawski, C.; Han, K.; Zbroch, T.; Goldin, G.; Sarosiek, I.; Namiot, Z.; Sarosiek, J. Role of saliva in esophageal defense: Implications in patients with nonerosive reflux disease. Am. J. Med. Sci. 2015, 349, 385–391. [Google Scholar] [CrossRef] [PubMed] [Green Version]
- Tobey, N.A.; Hosseini, S.S.; Argote, C.M.; Dobrucali, A.M.; Awayda, M.S.; Orlando, R.C. Dilated intercellular spaces and shunt permeability in nonerosive acid-damaged esophageal epithelium. Off. J. Am. Coll. Gastroenterol. 2004, 99, 13–22. [Google Scholar] [CrossRef]
- El-Serag, H.; Becher, A.; Jones, R. Systematic review: Persistent reflux symptoms on proton pump inhibitor therapy in primary care and community studies. Aliment. Pharmacol. Ther. 2010, 32, 720–737. [Google Scholar] [CrossRef]





| BE (n = 15) | EE (n = 7) | NERD (n = 20) | Controls (n = 8) | Test Statistics | Effect Size [95% CI] | p | Post-Hoc Test | |
|---|---|---|---|---|---|---|---|---|
| Age, years, mean ± SD | 54.50 ± 15.47 | 47.14 ± 26.35 | 44.75 ± 16.58 | 52.86 ± 19.89 | F = 0.673 df = 1; 46 | η = 0.01 [0.00; 0.12] | 0.4160 | |
| VEGF, median (Q1; Q3) | 2 (2; 3) | 3 (2.25; 3) | 2 (1; 2) | 2 (1; 2) | χ2 = 9.459 df = 3 | ε2 = 0.193 [0.084; 0.413] | 0.0238 | EE > NERD, Controls |
| VEGFR, median (Q1; Q3) | 2 (1.25; 3) | 2 (1.5; 3) | 1.5 (1; 2.75) | 1 (1; 2) | χ2 = 3.028 df = 3 | ε2 = 0.062 [0.011; 0.295] | 0.3873 | |
| EGF, median (Q1; Q3) | 1.5 (1; 2) | 3 (3; 3) | 2 (1; 3) | 1 (1; 2) | χ2 = 6.644 df = 3 | ε2 = 0.136 [0.035; 0.362] | 0.0841 | |
| EGFR, median (Q1; Q3) | 3 (3; 3) | 3 (3; 3) | 3 (3; 3) | 3 (2.25; 3) | χ2 = 4.950 df = 3 | ε2 = 0.101 [0.037; 0.379] | 0.1755 |
| VEGF | VEGFR | EGF | EGFR | |||||
|---|---|---|---|---|---|---|---|---|
| Median (Q1; Q3) | p | Median (Q1; Q3) | p | Median (Q1; Q3) | p | Median (Q1; Q3) | p | |
| Microerosions | ||||||||
| Present | 2 (2; 3) | 0.535 | 2 (1; 3) | 0.827 | 2 (1; 3) | 0.162 | 3 (3; 3) | 0.707 |
| Absent | 2 (1; 3) | 2 (1; 3) | 2 (1; 2) | 3 (3; 3) | ||||
| Palisade vessels | ||||||||
| Visible | 2 (2; 3) | 0.496 | 2 (1; 3) | 0.913 | 2 (1; 3) | 0.676 | 3 (3; 3) | 0.876 |
| Obscurred | 2 (1; 3) | 2 (1; 3) | 2 (2; 3) | 3 (3; 3) | ||||
| White spots | ||||||||
| Present | 2.5 (2; 3) | 0.042 | 2 (1; 3) | 0.397 | 2.5 (2; 3) | 0.157 | 3 (3; 3) | 0.145 |
| Absent | 2 (1; 3) | 1.5 (1; 3) | 2 (1; 2) | 3 (3; 3) | ||||
| IPCLs—endoscopy | ||||||||
| Abnormal | 2 (1.5; 3) | 0.438 | 2 (1; 3) | 0.627 | 2 (1; 3) | 0.355 | 3 (3; 3) | 0.308 |
| Normal | 2 (2; 3) | 2.5 (1; 3) | 2 (1; 2) | 3 (3; 3) | ||||
| IPCLs—histology | ||||||||
| Absent or normal | 2 (2; 2) | 0.742 | 2 (1; 3) | 0.934 | 2 (1; 2) | 0.499 | 3 (2; 3) | 0.005 |
| Enlarged | 2 (1; 3) | 2 (1; 3) | 2 (1; 3) | 3 (3; 3) | ||||
| DIS | ||||||||
| Absent | 2 (2; 2.5) | 0.815 | 2 (1; 3) | 0.253 | 2 (1; 2) | 0.246 | 3 (3; 3) | 0.116 |
| Present | 2 (1,5; 3) | 1.5 (1; 3) | 2.5 (1; 3) | 3 (3; 3) | ||||
| Correlation | VEGF | VEGFR | EGF | EGFR | ||||
|---|---|---|---|---|---|---|---|---|
| r | p | r | p | r | p | r | p | |
| Age | −0.20 | 0.2509 | −0.04 | 0.7996 | −0.31 | 0.1012 | 0.26 | 0.1854 |
| Histologic inflammation grade | 0.04 | 0.8035 | −0.24 | 0.1396 | 0.23 | 0.2376 | 0.24 | 0.2196 |
| Basal cell hyperplasia | 0.01 | 0.9558 | −0.21 | 0.2153 | 0.27 | 0.1887 | 0.40 | 0.0454 |
| Number of papillae in the field of view | 0.29 | 0.1143 | −0.05 | 0.7697 | 0.07 | 0.7321 | 0.36 | 0.0799 |
| Papillae length | 0.28 | 0.1267 | −0.12 | 0.4814 | 0.26 | 0.2068 | 0.26 | 0.2099 |
| Number of IPCLs per papilla | 0.29 | 0.1125 | 0.04 | 0.8091 | 0.01 | 0.9419 | 0.38 | 0.0603 |
| Inflammatory cell count | 0.20 | 0.2746 | −0.22 | 0.2021 | 0.39 | 0.0570 | 0.01 | >0.9999 |
Publisher’s Note: MDPI stays neutral with regard to jurisdictional claims in published maps and institutional affiliations. |
© 2022 by the authors. Licensee MDPI, Basel, Switzerland. This article is an open access article distributed under the terms and conditions of the Creative Commons Attribution (CC BY) license (https://creativecommons.org/licenses/by/4.0/).
Share and Cite
Wasielica-Berger, J.; Rogalski, P.; Świdnicka-Siergiejko, A.; Pryczynicz, A.; Kiśluk, J.; Daniluk, J.; Antonowicz, S.; Maślach, D.; Krzyżak, M.; Dąbrowski, A. Expression of VEGF, EGF, and Their Receptors in Squamous Esophageal Mucosa, with Correlations to Histological Findings and Endoscopic Minimal Changes, in Patients with Different GERD Phenotypes. Int. J. Environ. Res. Public Health 2022, 19, 5298. https://doi.org/10.3390/ijerph19095298
Wasielica-Berger J, Rogalski P, Świdnicka-Siergiejko A, Pryczynicz A, Kiśluk J, Daniluk J, Antonowicz S, Maślach D, Krzyżak M, Dąbrowski A. Expression of VEGF, EGF, and Their Receptors in Squamous Esophageal Mucosa, with Correlations to Histological Findings and Endoscopic Minimal Changes, in Patients with Different GERD Phenotypes. International Journal of Environmental Research and Public Health. 2022; 19(9):5298. https://doi.org/10.3390/ijerph19095298
Chicago/Turabian StyleWasielica-Berger, Justyna, Paweł Rogalski, Agnieszka Świdnicka-Siergiejko, Anna Pryczynicz, Joanna Kiśluk, Jarosław Daniluk, Stefania Antonowicz, Dominik Maślach, Michalina Krzyżak, and Andrzej Dąbrowski. 2022. "Expression of VEGF, EGF, and Their Receptors in Squamous Esophageal Mucosa, with Correlations to Histological Findings and Endoscopic Minimal Changes, in Patients with Different GERD Phenotypes" International Journal of Environmental Research and Public Health 19, no. 9: 5298. https://doi.org/10.3390/ijerph19095298
APA StyleWasielica-Berger, J., Rogalski, P., Świdnicka-Siergiejko, A., Pryczynicz, A., Kiśluk, J., Daniluk, J., Antonowicz, S., Maślach, D., Krzyżak, M., & Dąbrowski, A. (2022). Expression of VEGF, EGF, and Their Receptors in Squamous Esophageal Mucosa, with Correlations to Histological Findings and Endoscopic Minimal Changes, in Patients with Different GERD Phenotypes. International Journal of Environmental Research and Public Health, 19(9), 5298. https://doi.org/10.3390/ijerph19095298

