Direct Comparison of Elastography Endoscopic Ultrasound Fine-Needle Aspiration and B-Mode Endoscopic Ultrasound Fine-Needle Aspiration in Diagnosing Solid Pancreatic Lesions
Abstract
1. Introduction
2. Materials and Methods
2.1. Study Design
2.2. Subjects and Data Collection
2.3. Study Outcomes and Definitions
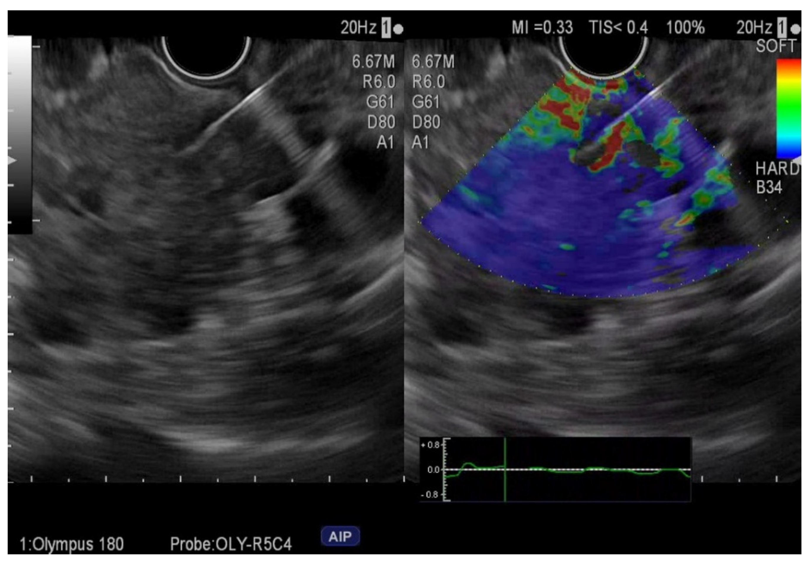
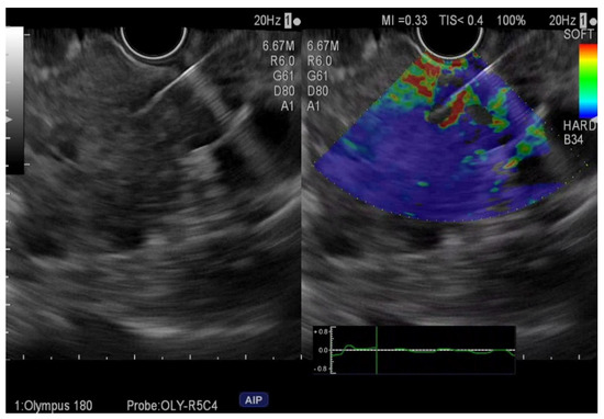
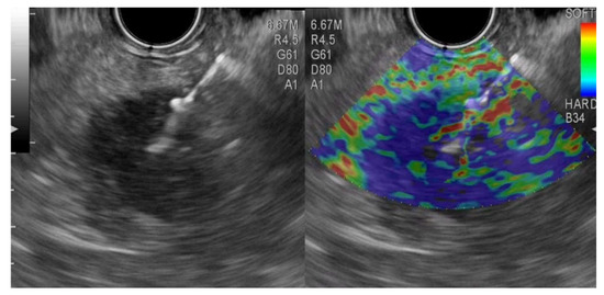
2.4. Procedures
2.5. Preparation of Samples
2.6. Statistical Analysis
3. Results
3.1. Patients’ Characteristics
3.2. B-Mode EUS Assessment
3.3. E-EUS Assessment
3.4. The Diagnostic Yield in E-EUS-FNA Compared to EUS-FNA
3.5. Factors Influencing E-EUS-FNA and EUS-FNA Results
4. Discussion
5. Conclusions
Author Contributions
Funding
Institutional Review Board Statement
Informed Consent Statement
Data Availability Statement
Conflicts of Interest
References
- Giovannini, M.; Hookey, L.C.; Bories, E.; Pesenti, C.; Monges, G.; Delpero, J.R. Endoscopic ultrasound elastography: The first step towards virtual biopsy? Preliminary results in 49 patients. Endoscopy 2006, 38, 344–348. [Google Scholar] [CrossRef] [PubMed]
- Zhang, B.; Zhu, F.; Li, P.; Yu, S.; Zhao, Y.; Li, M. Endoscopic ultrasound elastography in the diagnosis of pancreatic masses: A meta-analysis. Pancreatology 2018, 18, 833–840. [Google Scholar] [CrossRef] [PubMed]
- Ignee, A.; Jenssen, C.; Arcidiacono, P.G.; Hockem, M.; Möller, K.; Saftoiu, A.; Will, U.; Fusaroli, P.; Iglesias-Garcia, J.; Ponnudurai, R.; et al. Endoscopic ultrasound elastography of small solid pancreatic lesions: A multicenter study. Endoscopy 2018, 50, 1071–1079. [Google Scholar] [CrossRef] [PubMed]
- Kitano, M.; Kudo, M.; Yamao, K.; Takagi, T.; Sakamoto, H.; Komaki, T.; Kamata, K.; Imai, H.; Chiba, Y.; Okada, M.; et al. Characterization of small solid tumors in the pancreas: The value of contrast-enhanced harmonic endoscopic ultrasonography. Am. J. Gastroenterol. 2012, 107, 303–310. [Google Scholar] [CrossRef] [PubMed]
- Facciorusso, A.; Martina, M.; Buccino, R.V.; Nacchiero, M.C.; Muscatiello, N. Diagnostic accuracy of fine-needle aspiration of solid pancreatic lesions guided by endoscopic ultrasound elastography. Ann. Gastroenterol. 2018, 31, 513–518. [Google Scholar] [CrossRef] [PubMed]
- Iwashita, T.; Yasuda, I.; Mukai, T.; Doi, S.; Nakashima, M.; Uemura, S.; Mabuchi, M.; Shimizu, M.; Hatano, Y.; Hara, A.; et al. Macroscopic on-site quality evaluation of biopsy specimens to improve the diagnostic accuracy during EUS-guided FNA using a 19-gauge needle for solid lesions: A single-center prospective pilot study (MOSE study). Gastrointest. Endosc. 2015, 81, 177–185. [Google Scholar] [CrossRef] [PubMed]
- Bolboacă, S.D. Medical diagnostic tests: A review of test anatomy, phases, and statistical treatment of data. Comput. Math. Methods Med. 2019, 2019, 1891569. [Google Scholar] [CrossRef]
- Mitchell, A.J. Sensitivity × PPV is a recognized test called the clinical utility index (CUI+). Eur. J. Epidemiol. 2011, 26, 251–252. [Google Scholar] [CrossRef]
- Li, X.; Xu, W.; Shi, J.; Lin, Y.; Zeng, X. Endoscopic ultrasound elastography for differentiating between pancreatic adenocarcinoma and inflammatory masses: A meta-analysis. World J. Gastroenterol. 2013, 19, 6284–6291. [Google Scholar] [CrossRef]
- Pei, Q.; Zou, X.; Zhang, X.; Chen, M.; Guo, Y.; Luo, H. Diagnostic value of EUS elastography in differentiation of benign and malignant solid pancreatic masses: A meta-analysis. Pancreatology 2012, 12, 402–408. [Google Scholar] [CrossRef]
- Mei, M.; Ni, J.; Liu, D.; Jin, P.; Sun, L. EUS elastography for diagnosis of solid pancreatic masses: A meta-analysis. Gastrointest. Endosc. 2013, 77, 578–589. [Google Scholar] [CrossRef] [PubMed]
- Hewitt, M.J.; McPhail, M.J.; Possamai, L.; Dhar, A.; Vlavianos, P.; Monahan, K.J. EUS-guided FNA for diagnosis of solid pancreatic neoplasms: A meta-analysis. Gastrointest. Endosc. 2012, 75, 319–331. [Google Scholar] [CrossRef] [PubMed]
- Chen, J.; Yang, R.; Lu, Y.; Xia, Y.; Zhou, H. Diagnostic accuracy of endoscopic ultrasound-guided fine-needle aspiration for solid pancreatic lesion: A systematic review. J. Cancer Res. Clin. Oncol. 2012, 138, 1433–1441. [Google Scholar] [CrossRef] [PubMed]
- Puli, S.R.; Kalva, N.; Bechtold, M.L.; Pamulaparthy, S.R.; Cashman, M.D.; Estes, N.C.; Pearl, R.H.; Volmar, F.H.; Dillon, S.; Shekleton, M.F.; et al. Diagnostic accuracy of endoscopic ultrasound in pancreatic neuroendocrine tumors: A systematic review and meta analysis. World J. Gastroenterol. 2013, 19, 3678–3684. [Google Scholar] [CrossRef] [PubMed]
- Banafea, O.; Mghanga, F.P.; Zhao, J.; Zhao, R.; Zhu, L. Endoscopic ultrasonography with fine-needle aspiration for histological diagnosis of solid pancreatic masses: A meta-analysis of diagnostic accuracy studies. BMC Gastroenterol. 2016, 16, 108. [Google Scholar] [CrossRef] [PubMed]
- Mayerle, J.; Beyer, G.; Simon, P.; Dickson, E.J.; Carter, R.C.; Duthie, F.; Lerch, M.M.; McKay, C.J. Prospective cohort study comparing transient EUS guided elastography to EUS-FNA for the diagnosis of solid pancreatic mass lesions. Pancreatology 2016, 16, 110–114. [Google Scholar] [CrossRef]
- Iordache, S.; Costache, M.I.; Popescu, C.F.; Streba, C.T.; Cazacu, S.; Săftoiu, A. Clinical impact of EUS elastography followed by contrast-enhanced EUS in patients with focal pancreatic masses and negative EUS-guided FNA. Med. Ultrason. 2016, 18, 18–24. [Google Scholar] [CrossRef][Green Version]
- Costache, M.I.; Cazacu, I.M.; Dietrich, C.F.; Petrone, M.C.; Arcidiacono, P.G.; Giovannini, M.; Bories, E.; Garcia, J.I.; Siyu, S.; Santo, E.; et al. Clinical impact of strain histogram EUS elastography and contrast-enhanced EUS for the differential diagnosis of focal pancreatic masses: A prospective multicentric study. Endosc. Ultrasound. 2020, 9, 116–121. [Google Scholar] [CrossRef]
- Jafri, M.; Sachdev, A.H.; Khanna, L.; Gress, F.G. The Role of Real Time Endoscopic Ultrasound Guided Elastography for Targeting EUS-FNA of Suspicious Pancreatic Masses: A Review of the Literature and A Single Center Experience. JOP 2016, 17, 516–524. [Google Scholar] [PubMed]
- Facciorusso, A.; Wani, S.; Triantafyllou, K.; Tziatzios, G.; Cannizzaro, R.; Muscatiello, N.; Singh, S. Comparative accuracy of needle sizes and designs for EUS tissue sampling of solid pancreatic masses: A network meta-analysis. Gastrointest. Endosc. 2019, 90, 893–903.e7. [Google Scholar] [CrossRef]
- van Riet, P.A.; Erler, N.S.; Bruno, M.J.; Cahen, D.L. Comparison of fine-needle aspiration and fine-needle biopsy devices for endoscopic ultrasound-guided sampling of solid lesions: A systemic review and meta-analysis. Endoscopy 2021, 53, 411–423. [Google Scholar] [CrossRef] [PubMed]
- Seicean, A.; Samarghitan, A.; Bolboacă, S.D.; Pojoga, C.; Rusu, I.; Rusu, D.; Sparchez, Z.; Gheorghiu, M.; Al Hajjar, N.; Seicean, R. Contrast-enhanced harmonic versus standard endoscopic ultrasound-guided fine-needle aspiration in solid pancreatic lesions: A single-center prospective randomized trial. Endoscopy 2020, 52, 1084–1090. [Google Scholar] [CrossRef] [PubMed]
- Cho, I.R.; Jeong, S.H.; Kang, H.; Kim, E.J.; Kim, Y.S.; Cho, J.H. Comparison of contrast-enhanced versus conventional EUS-guided FNA/fine-needle biopsy in diagnosis of solid pancreatic lesions: A randomized controlled trial. Gastrointest. Endosc. 2021, 94, 303–310. [Google Scholar] [CrossRef] [PubMed]
- Itonaga, M.; Ashida, R.; Kitano, M. Endoscopic Ultrasound-Guided Fine-Needle Aspiration (EUS-FNA) with Image Enhancement. Diagnostics 2020, 10, 888. [Google Scholar] [CrossRef] [PubMed]


| Characteristic | Value |
|---|---|
| Age (years), mean ± SD | 66.4 ± 10.04 |
| Male sex, n (%) | 26 (43.33) |
| Mass location, n (%) | |
| Head/uncinate process/isthmus | 44 (73.33) |
| Body/tail | 16 (26.66) |
| Mass size (cm), median (Q1 to Q3) | 30.00 (29.5 to 35) |
| Stage | |
| T1 | 4 (6.67) |
| T2 | 3 (5.00) |
| T3 | 35 (58.33) |
| T4 | 18 (30.00) |
| Final diagnosis, n (%) | |
| Adenocarcinoma | 52 (86.67) |
| Neuroendocrine tumors | 2 (3.33) |
| Pancreatic metastases | 2 (3.33) |
| Schwannomas | 1 (1.67) |
| Benign lesions | 3 (5) |
| Metric | E-EUS-FNA | EUS-FNA | p-Value |
|---|---|---|---|
| True positives, n | 51 | 53 | |
| True negatives, n | 3 | 3 | |
| False negatives, n | 6 | 4 | |
| False positives, n | 0 | 0 | |
| Sensitivity, % (95% CI) | 89.5 (81.5 to 97.4) | 93.0 (86.4 to 99.6) | 0.4975 |
| Specificity, % | 100 | 100 | n/a |
| Positive predictive value, % | 100 | 100 | n/a |
| Negative predictive value, % (95% CI) | 33.3 (2.5 to 64.1) | 42.9 (6.2 to 79.5) | 0.2789 |
| Accuracy, % (95% CI) | 90.0 (82.1 to 97.6) | 93.3 (87.0 to 99.7) | 0.5135 |
| Negative likelihood | 0.11 (0.05 to 0.22) | 0.07 (0.03 to 0.18) | 0.4439 |
| +CUI | 0.895 (0.822 to 0.968) | 0.930 (0.870 to 0.989) | 0.4975 |
| −CUI | 0.333 (0.041 to 0.742) | 0.626 (0.116 to 0.742) | 0.0013 |
Publisher’s Note: MDPI stays neutral with regard to jurisdictional claims in published maps and institutional affiliations. |
© 2022 by the authors. Licensee MDPI, Basel, Switzerland. This article is an open access article distributed under the terms and conditions of the Creative Commons Attribution (CC BY) license (https://creativecommons.org/licenses/by/4.0/).
Share and Cite
Gheorghiu, M.; Sparchez, Z.; Rusu, I.; Bolboacă, S.D.; Seicean, R.; Pojoga, C.; Seicean, A. Direct Comparison of Elastography Endoscopic Ultrasound Fine-Needle Aspiration and B-Mode Endoscopic Ultrasound Fine-Needle Aspiration in Diagnosing Solid Pancreatic Lesions. Int. J. Environ. Res. Public Health 2022, 19, 1302. https://doi.org/10.3390/ijerph19031302
Gheorghiu M, Sparchez Z, Rusu I, Bolboacă SD, Seicean R, Pojoga C, Seicean A. Direct Comparison of Elastography Endoscopic Ultrasound Fine-Needle Aspiration and B-Mode Endoscopic Ultrasound Fine-Needle Aspiration in Diagnosing Solid Pancreatic Lesions. International Journal of Environmental Research and Public Health. 2022; 19(3):1302. https://doi.org/10.3390/ijerph19031302
Chicago/Turabian StyleGheorghiu, Marcel, Zeno Sparchez, Ioana Rusu, Sorana D. Bolboacă, Radu Seicean, Cristina Pojoga, and Andrada Seicean. 2022. "Direct Comparison of Elastography Endoscopic Ultrasound Fine-Needle Aspiration and B-Mode Endoscopic Ultrasound Fine-Needle Aspiration in Diagnosing Solid Pancreatic Lesions" International Journal of Environmental Research and Public Health 19, no. 3: 1302. https://doi.org/10.3390/ijerph19031302
APA StyleGheorghiu, M., Sparchez, Z., Rusu, I., Bolboacă, S. D., Seicean, R., Pojoga, C., & Seicean, A. (2022). Direct Comparison of Elastography Endoscopic Ultrasound Fine-Needle Aspiration and B-Mode Endoscopic Ultrasound Fine-Needle Aspiration in Diagnosing Solid Pancreatic Lesions. International Journal of Environmental Research and Public Health, 19(3), 1302. https://doi.org/10.3390/ijerph19031302

