A Rare Complication during Vaginal Delivery, Hamman’s Syndrome: A Case Report and Systematic Review of Case Reports
Abstract
1. Introduction
2. Materials and Methods
3. Results
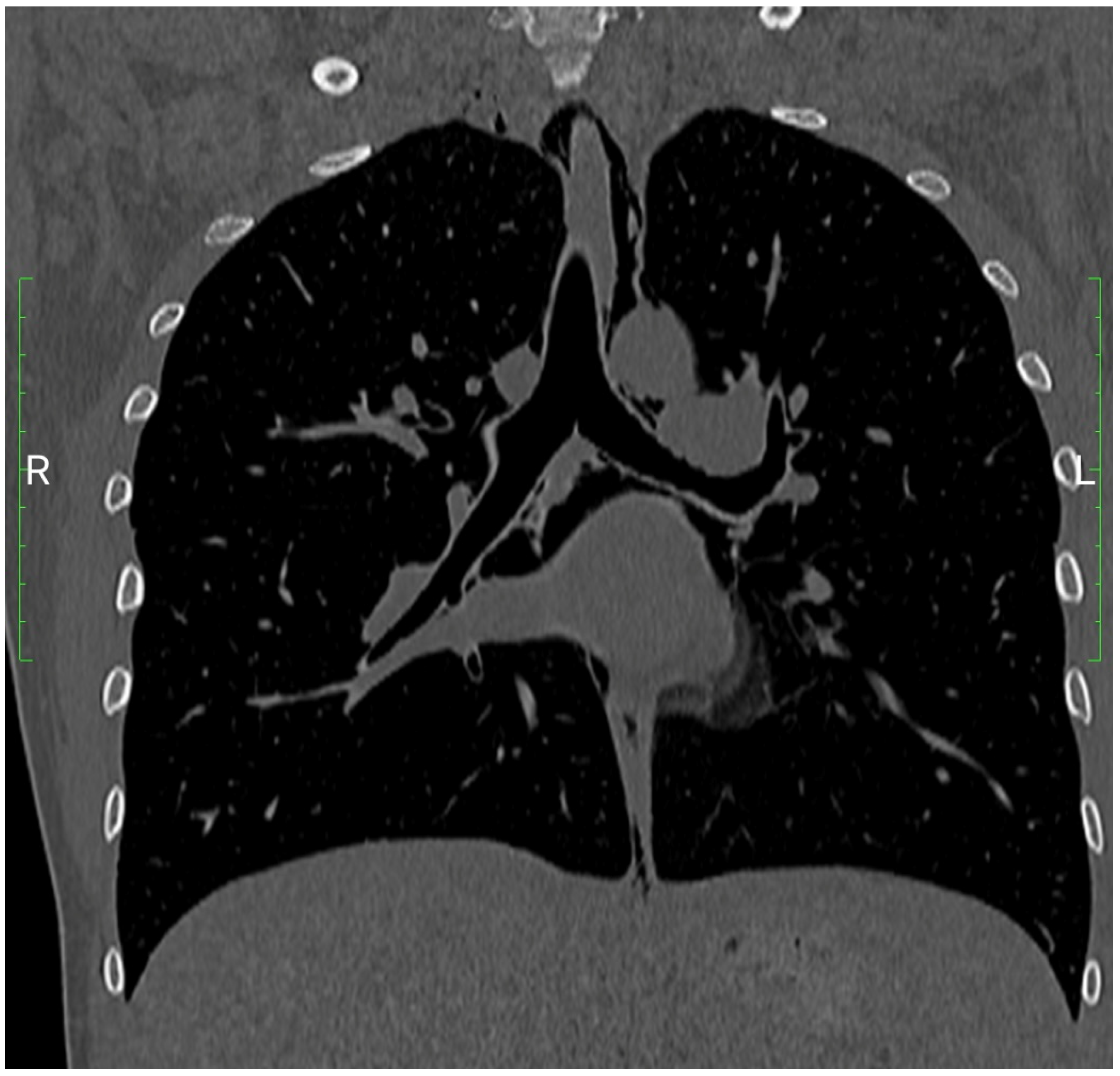
3.1. Case Report
3.2. Review
4. Discussion
5. Conclusions
Author Contributions
Funding
Institutional Review Board Statement
Informed Consent Statement
Data Availability Statement
Conflicts of Interest
References
- Okada, M.; Adachi, H.; Shibuya, Y.; Ishikawa, S.; Hamabe, Y. Diagnosis and treatment of patients with spontaneous pneumomediastinum. Respir. Investig. 2014, 52, 36–40. [Google Scholar] [CrossRef]
- Sahni, S.; Verma, S.; Grullon, J.; Esquire, A.; Patel, P.; Talwar, A. Spontaneous pneumomediastinum: Time for consensus. N. Am. J. Med. Sci. 2013, 5, 460. [Google Scholar]
- Amine, N.O.; Lomiguen, C.M.; Iftikhar, A.; Sahni, S. Pregnancy-associated spontaneous pneumomediastinum: A contempo-rary review. Cureus 2018, 10, e3452. [Google Scholar] [CrossRef] [PubMed]
- Banki, F.; Estrera, A.L.; Harrison, R.G.; Miller, C.C., III; Leake, S.S.; Mitchell, K.G.; Khalil, K.; Safi, H.J.; Kaiser, L.R. Pneumomediastinum: Etiology and a guide to diagnosis and treatment. Am. J. Surg. 2013, 206, 1001–1006. [Google Scholar] [CrossRef] [PubMed]
- Hamman, L. Mediastinal emphysema: The Frank Billings lecture. J. Am. Med. Assoc. 1945, 128, 1–6. [Google Scholar] [CrossRef]
- Macia, I.; Moya, J.; Ramos, R.; Morera, R.; Escobar, I.; Saumench, J.; Perna, V.; Rivas, F. Spontaneous pneumomediastinum: 41 cases. Eur. J. Cardio-Thorac. Surg. 2007, 31, 1110–1114. [Google Scholar] [CrossRef]
- Crean, P.A.; Stronge, J.M.; FitzGerald, M.X. Spontaneous pneumomediastinum in pregnancy. Case report. Br. J. Obstet. Gynaecol. 1981, 88, 952–954. [Google Scholar] [CrossRef]
- Macklin, C.C. Transport of air along sheaths of pulmonic blood vessels from alveoli to mediastinum: Clinical implications. Arch. Intern. Med. 1939, 64, 913–926. [Google Scholar] [CrossRef]
- Mahboob, A.; Eckford, S. Hamman’s syndrome: An atypical cause of postpartum chest pain. J. Obstet. Gynaecol. 2008, 28, 652–653. [Google Scholar] [CrossRef]
- Riemma, G.; La Verde, M.; Schiattarella, A.; Cobellis, L.; De Franciscis, P.; Colacurci, N.; Morlando, M. Efficacy of hyoscine butyl-bromide in shortening the active phase of labor: Systematic review and meta-analysis of randomized trials. Eur. J. Obstet. Gynecol. Reprod. Biol. 2020, 252, 218–224. [Google Scholar] [CrossRef]
- Riemma, G.; Schiattarella, A.; La Verde, M.; Cianci, S.; Savoia, F.; De Franciscis, P.; Cobellis, L.; Colacurci, N.; Morlando, M. Usefulness of atosiban for tocolysis during external cephalic version: Systematic review and meta-analysis. Eur. J. Obstet. Gynecol. Reprod. Biol. 2020, 258, 86–92. [Google Scholar] [CrossRef]
- Leveno, K.J.; Nelson, D.B.; McIntire, D.D. Second-stage labor: How long is too long? Am. J. Obstet. Gynecol. 2016, 214, 484–489. [Google Scholar] [CrossRef] [PubMed]
- Gimovsky, A.C.; Berghella, V. Randomized controlled trial of prolonged second stage: Extending the time limit vs usual guidelines. Am. J. Obstet. Gynecol. 2016, 214, 361.e1–361.e6. [Google Scholar] [PubMed]
- Jamadar, D.A.; Kazerooni, E.A.; Hirschl, R.B. Case report. Pneumomediastinum: Elucidation of the anatomic pathway by liquid ventilation. J. Comput. Assist. Tomogr. 1996, 20, 309–311. [Google Scholar] [CrossRef] [PubMed]
- Elkus, R.; Popovich, J., Jr. Respiratory physiology in pregnancy. Clin. Chest Med. 1992, 13, 555–565. [Google Scholar] [CrossRef]
- Kouritas, V.K.; Papagiannopoulos, K.; Lazaridis, G.; Baka, S.; Mpoukovinas, I.; Karavasilis, V.; Lampaki, S.; Kioumis, I.; Pitsiou, G.; Papaiwannou, A. Pneumomediastinum. J. Thorac. Dis. 2015, 7 (Suppl. S1), S44. [Google Scholar]
- Kelly, S.; Hughes, S.; Nixon, S.; Paterson-Brown, S. Spontaneous pneumomediastinum (Hamman’s syndrome). Surgeon 2010, 8, 63–66. [Google Scholar] [CrossRef]
- Gunluoglu, M.; Cansever, L.; Demir, A.; Kocaturk, C.; Melek, H.; Dincer, S.; Bedirhan, M. Diagnosis and treatment of spontaneous pneumomediastinum. Thorac. Cardiovasc. Surg. 2009, 57, 229–231. [Google Scholar] [CrossRef]
- Freixinet, J.; García, F.; Rodríguez, P.M.; Santana, N.B.; Quintero, C.O.; Hussein, M. Spontaneous pneumomediastinum long-term follow-up. Respir. Med. 2005, 99, 1160–1163. [Google Scholar] [CrossRef]
- Abolnik, I.; Lossos, I.S.; Breuer, R. Spontaneous pneumomediastinum: A report of 25 cases. Chest 1991, 100, 93–95. [Google Scholar] [CrossRef]
- Zafeiri, A.; Mitchell, R.T.; Hay, D.C.; Fowler, P.A. Over-the-counter analgesics during pregnancy: A comprehensive review of global prevalence and offspring safety. Hum. Reprod. Update 2021, 27, 67–95. [Google Scholar] [CrossRef] [PubMed]
- Riemma, G.; Schiattarella, A.; Cianci, S.; La Verde, M.; Morlando, M.; Sisti, G.; Esposito, I.; Della Corte, L.; Sansone, P.; De Franciscis, P. Transversus abdominis plane block versus wound infiltration for post-cesarean section analgesia: A systematic review and meta-analysis of randomized controlled trials. Int. J. Gynecol. Obstet. 2021, 153, 383–392. [Google Scholar] [CrossRef] [PubMed]
- Gregersen, T.L.; Ulrik, C.S. Safety of bronchodilators and corticosteroids for asthma during pregnancy: What we know and what we need to do better. J. Asthma Allergy 2013, 6, 117. [Google Scholar] [PubMed]
- Asar, S.; Jalalpour, S.; Ayoubi, F.; Rahmani, M.; Rezaeian, M. PRISMA; preferred reporting items for systematic reviews and meta-analyses. J. Rafsanjan Univ. Med. Sci. 2016, 15, 68–80. [Google Scholar]
- Maraka, S.; Ospina, N.M.S.; O’Keeffe, D.T.; Espinosa De Ycaza, A.E.; Gionfriddo, M.R.; Erwin, P.J.; Coddington, C.C., III; Stan, M.N.; Murad, M.H.; Montori, V.M. Subclinical hypothyroidism in pregnancy: A systematic review and meta-analysis. Thyroid 2016, 26, 580–590. [Google Scholar] [CrossRef]
- Austin, S.C.; Sanchez-Ramos, L.; Adair, C.D. Labor induction with intravaginal misoprostol compared with the dinoprostone vaginal insert: A systematic review and metaanalysis. Am. J. Obstet. Gynecol. 2010, 202, 624.e1–624.e9. [Google Scholar] [CrossRef]
- Mercer, B.M. Preterm premature rupture of the membranes. Obstet. Gynecol. 2003, 101, 178–193. [Google Scholar]
- Galazios, G.; Tripsianis, G.; Tsikouras, P.; Koutlaki, N.; Liberis, V. Fetal distress evaluation using and analyzing the variables of antepartum computerized cardiotocography. Arch. Gynecol. Obstet. 2010, 281, 229–233. [Google Scholar] [CrossRef]
- Ayres-de-Campos, D. Electronic fetal monitoring or cardiotocography, 50 years later: What’s in a name? Am. J. Obstet. Gynecol. 2018, 218, 545–546. [Google Scholar] [CrossRef]
- La Verde, M.; Torella, M.; Lanza, G.; Rapisarda, A.M.C.; Morlando, M.; Cianci, S.; Colacurci, N.; Capristo, C.; Torre, C.; De Franciscis, P.; et al. Objective and quantitative evaluation of fetal hiccups by computerized cardiotocography: A prospective observational study. Ital. J. Gynaecol. Obstet. 2021, 33, 249–255. [Google Scholar] [CrossRef]
- La Verde, M.; Riemma, G.; Torella, M.; Torre, C.; Cianci, S.; Conte, A.; Capristo, C.; Morlando, M.; Colacurci, N.; De Franciscis, P. Impact of Braxton-Hicks contractions on fetal wellbeing; a prospective analysis through computerised cardiotocography. J. Obstet. Gynaecol. 2021, 1–5. [Google Scholar] [CrossRef] [PubMed]
- Groom, K.; Jones, B.; Miller, N.; Paterson-Brown, S. A prospective randomised controlled trial of the Kiwi Omnicup versus conventional ventouse cups for vacuum-assisted vaginal delivery. BJOG Int. J. Obstet. Gynaecol. 2006, 113, 183–189. [Google Scholar] [CrossRef] [PubMed]
- Eisinger, R.P.; Berk, H. Pneumomediastinum and aspiration pneumonia complicating labor. Am. J. Obstet. Gynecol. 1959, 78, 438–441. [Google Scholar] [CrossRef]
- Miller, H. Mediastinal and subcutaneous emphysema during the first stage of labor. South. Med. J. 1969, 62, 1007 passim. [Google Scholar] [CrossRef] [PubMed]
- Hubbert, C.; Roberson, W.; Solomon, J. Spontaneous tension pneumothorax and mediastinal emphysema associated with anesthesia for cesarean section. AANA J. 1981, 49, 59–62. [Google Scholar] [PubMed]
- Karson, E.M.; Saltzman, D.; Davis, M.R. Pneumomediastinum in pregnancy: Two case reports and a review of the literature, pathophysiology, and management. Obstet. Gynecol. 1984, 64 (Suppl. S3), 39S–43S. [Google Scholar] [CrossRef] [PubMed]
- Jensen, H.; Asmussen, I.; Eliasen, B. Labor complicated by spontaneous emphysema. Acta Obstet. Et Gynecol. Scand. 1987, 66, 567–568. [Google Scholar] [CrossRef]
- Quigley, R.; Anthony, G. Spontaneous postpartum pneumomediastinum and pneumopericardium. Scott. Med. J. 1987, 32, 27–28. [Google Scholar] [CrossRef]
- Griffith, H.; Barnes, J. Hamman’s syndrome after a normal delivery. J. Obstet. Gynaecol. 1987, 7, 272–273. [Google Scholar] [CrossRef]
- Ramírez-Rivera, J. Spontaneous pneumomediastinum. Bol. Asoc. Med. Puerto Rico 1990, 82, 359–361. [Google Scholar]
- Jayran-Nejad, Y. Subcutaneous emphysema in labour. Anaesthesia 1993, 48, 139–140. [Google Scholar] [CrossRef] [PubMed]
- Seidl, J.J.; Brotzman, G.L. Pneumomediastinum and subcutaneous emphysema following vaginal delivery. J. Fam. Pract. 1994, 39, 178–180. [Google Scholar] [PubMed]
- Göçmen, A.; Gül, T.; Sezer, F.; Erden, A.; Yilmaztürk, A. Postpartum subcutaneous emphysema with pneumomediastinum. Zent. Fur Gynakol. 1997, 119, 86–88. [Google Scholar]
- Gaspar, L. Hamman’s syndrome: Pneumomediastinum and subcutaneous emphysema occurring in labour. Int. J. Obstet. Anesth. 1997, 6, 55–58. [Google Scholar] [CrossRef]
- Shyamsunder, A.K.; Gyaw, S.M. Pneumomediastinum: The Valsalva crunch. Md. Med. J. 1999, 48, 299–302. [Google Scholar]
- Raley, J.C.; Andrews, J.I. Spontaneous pneumomediastinum presenting as jaw pain during labor. Obstet. Gynecol. 2001, 98, 904–906. [Google Scholar]
- Krause, H.; Portmann, C. Pneumomediastinum following vaginal delivery. Aust. N. Z. J. Obstet. Gynaecol. 2000, 40, 106–107. [Google Scholar] [CrossRef]
- Dhrampal, A.; Jenkins, J. Spontaneous cervical and mediastinal emphysema following childbirth. Anaesthesia 2001, 56, 93–94. [Google Scholar] [CrossRef]
- Arroyo, M. Subcutaneous emphysema during labour. Int. J. Obstet. Anesth. 2001, 10, 307–308. [Google Scholar] [CrossRef]
- Sutherland, F.W.; Ho, S.Y.; Campanella, C. Pneumomediastinum during spontaneous vaginal delivery. Ann. Thorac. Surg. 2002, 73, 314–315. [Google Scholar] [CrossRef]
- Miguil, M.; Chekairi, A. Pneumomediastinum and pneumothorax associated with labour. Int. J. Obstet. Anesth. 2004, 13, 117–119. [Google Scholar] [CrossRef] [PubMed]
- Duffy, B.L. Post partum pneumomediastinum. Anaesth. Intensive Care 2004, 32, 117–119. [Google Scholar] [CrossRef] [PubMed]
- Bonin, M.M. Hamman’s syndrome (spontaneous pneumomediastinum) in a parturient: A case report. J. Obstet. Gynaecol. Can. 2006, 28, 128–131. [Google Scholar] [CrossRef]
- North, C.; Candelier, C. Spontaneous cervical surgical emphysema and pneumomediastinum: A rare complication of childbirth. J. Obstet. Gynaecol. 2006, 26, 571–572. [Google Scholar] [CrossRef]
- Norzilawati, M.; Shuhaila, A.; MR, Z.R. Postpartum pneumomediastinum. Singap. Med. J. 2007, 48, e174–e176. [Google Scholar]
- Yadav, Y.; Ramesh, L.; Davies, J.; Nawaz, H.; Wheeler, R. Gross spontaneous pneumomediastinum (Hamman’s syndrome) in a labouring patient. J. Obstet. Gynaecol. 2008, 28, 651–652. [Google Scholar] [CrossRef] [PubMed]
- Varela, J.; Penide, L.; Abad, A.; Benito, J.; Navia, J. Neumomediastino y enfisema subcutáneo extenso tras parto eutócico. Rev. Española Anestesiol. Reanim. 2008, 55, 637–639. [Google Scholar] [CrossRef]
- Zapardiel, I.; Delafuente-Valero, J.; Diaz-Miguel, V.; Godoy-Tundidor, V.; Bajo-Arenas, J.M. Pneumomediastinum during the fourth stage of labor. Gynecol. Obstet. Investig. 2009, 67, 70–72. [Google Scholar] [CrossRef]
- Tixier, H.; Rattin, C.; Dunand, A.; Peaupardin, Y.; Douvier, S.; Sagot, P.; Mourtialon, P. Hamman’s syndrome associated with pharyngeal rupture occurring during childbirth. Acta Obstet. Et Gynecol. Scand. 2010, 89, 407–408. [Google Scholar] [CrossRef]
- Khalil, H.; Aubin, F. Immediate postpartum pneumomediastinum. J. Obstet. Gynaecol. Can. JOGC 2010, 32, 1125–1126. [Google Scholar] [CrossRef]
- Beynon, F.; Mearns, S. Spontaneous pneumomediastinum following normal labour. Case Rep. 2011, 2011, bcr0720114556. [Google Scholar] [CrossRef] [PubMed]
- Wozniak, D.R.; Blackburn, A. Postpartum pneumomediastinum manifested by surgical emphysema. Should we always worry about underlying oesophageal rupture? Case Rep. 2011, 2011, bcr0420114137. [Google Scholar] [CrossRef] [PubMed]
- Shrestha, A.; Acharya, S. Subcutaneous emphysema in pregnancy. JNMA J. Nepal Med. Assoc. 2011, 51, 141–143. [Google Scholar] [CrossRef] [PubMed]
- Kuruba, N.; Hla, T.T. Postpartum spontaneous pneumomediastinum and subcutaneous emphysema: Hamman’s syndrome. Obstet. Med. 2011, 4, 127–128. [Google Scholar] [CrossRef] [PubMed]
- McGregor, A.; Ogwu, C.; Uppal, T.; Wong, M.G. Spontaneous subcutaneous emphysema and pneumomediastinum during second stage of labour. Case Rep. 2011, 2011, bcr0420114067. [Google Scholar] [CrossRef] [PubMed]
- Khoo, J.; Mahanta, V.R. Spontaneous pneumomediastinum with severe subcutaneous emphysema secondary to prolonged labor during normal vaginal delivery. Radiol. Case Rep. 2012, 7, 713. [Google Scholar] [CrossRef]
- Houari, N.; Labib, S.; Berdai, M.-A.; Harandou, M. Pneumomédiastin et emphysème sous-cutané du post-partum: Une nouvelle observation. In Annales Françaises d’anesthésie et de Réanimation; Elsevier: Amsterdam, The Netherlands, 2012; pp. 728–730. [Google Scholar]
- Soeder, S. Dienstag, 9. Oktober 2012 1. Postersitzung-Pranatal-und Geburtsmedizin I. Arch. Gynecol. Obstet. 2012, 286, S49–S279. [Google Scholar]
- Kouki, S. Postpartum spontaneous pneumomediastinum ‘Hamman’s syndrome’. Case Rep. 2013, 2013, bcr2013010354. [Google Scholar] [CrossRef]
- Tangudu, S.; Sabnis, H.; Rajagopalan, C. Spontaneous pneumo mediastinum in the postpartum (Hamman’s syndrome): EP1. 85. BJOG Int. J. Obstet. Gynaecol. 2013, 120, 51. [Google Scholar]
- Rasenack, R.; Lambers, K.; Gaupp, N.; Kabitz, H.-J.; Kunze, M.; Prömpeler, H. Mediastinal-und Subkutan-Emphysem in Folge einer Vaginalgeburt–ein Bericht über 2 Fälle. Z. Für Geburtshilfe Und Neonatol. 2014, 218, 128–130. [Google Scholar] [CrossRef]
- Lea, L.; Odusoga, O.; Amu, J. PLD. 35 Intrapartum Spontaneous Facial Surgical Emphysema, Pneumomediastinum and Pneumothorax: A Case Report. Arch. Dis. Child.-Fetal Neonatal Ed. 2014, 99 (Suppl. S1), A116. [Google Scholar] [CrossRef]
- Nagel, S.N.; Deutschmann, M.; Lopatta, E.; Lichtenauer, M.; Teichgräber, U.K.M. Postpartum woman with pneumomediastinum and reverse (inverted) takotsubo cardiomyopathy: A case report. J. Med. Case Rep. 2014, 8, 89. [Google Scholar] [CrossRef] [PubMed]
- Cho, C.; Parratt, J.R.; Smith, S.; Patel, R. Spontaneous pneumomediastinum (Hamman’s syndrome): A rare cause of postpartum chest pain. Case Rep. 2015, 2015, bcr1220103603. [Google Scholar] [CrossRef] [PubMed]
- Segev, T.; Thor, J.A.; Lentz, J.; Hong, E. Spontaneous Postpartum Pneumomediastinum: Presentation of a Rare Case and Literature Review: (172). Obstet. Gynecol. 2015, 125, 58S. [Google Scholar] [CrossRef]
- Fernando, M.; Edmonds, H. Spontaneous pneumomediastinum and subcutaneous emphysema during labour in an uncomplicated pregnancy: EP10. 38. BJOG Int. J. Obstet. Gynaecol. 2015, 122, 173. [Google Scholar]
- López-Hernández, J.C.; Bedolla-Barajas, M. Postpartum spontaneous pneumomediastinum and subcutaneous emphysema. Ginecol. Obstet. Mex. 2015, 83, 116–119. [Google Scholar]
- Hilliard, B.; Brown, L.; Boulos, A.; Rigg, D.; Chin, G. Hamman’s syndrome following precipitate spontaneous vaginal birth: EP10. 53. BJOG Int. J. Obstet. Gynaecol. 2015, 122, 180. [Google Scholar]
- Scala, R.; Madioni, C.; Manta, C.; Maggiorelli, C.; Maccari, U.; Ciarleglio, G. Spontaneous pneumomediastinum in pregnancy: A case report. Rev. Port. Pneumol. 2016, 22, 129–131. [Google Scholar] [CrossRef]
- Sızlanan, A.; Akçay, O. Pneumomediastinum After Difficult Vaginal Delivery. Turk. Thorac. J. 2016, 17, 76. [Google Scholar] [CrossRef]
- Nagarajan, D.B.; Ratwatte, M.D.; Mathews, J.; Siddiqui, M. Intrapartum spontaneous pneumomediastinum and surgical emphysema (Hamman’s syndrome) in a 30-year-old woman with asthma. Case Rep. 2017, 2017, bcr-2017-219223. [Google Scholar] [CrossRef]
- Berdai, M.A.; Benlamkadem, S.; Labib, S.; Harandou, M. Spontaneous pneumomediastinum in labor. Case Rep. Obstet. Gynecol. 2017, 2017, 6235076. [Google Scholar] [CrossRef] [PubMed]
- Whelan, S.; Kelly, M. Pneumomediastinum following a prolonged second stage of labor—An emphasis on early diagnosis and conservative management: A case report. J. Med. Case Rep. 2017, 11, 313. [Google Scholar] [CrossRef] [PubMed]
- Khalid, S.; Mohapatra, S.; Haddad, B. A case of hamman’s syndrome after a prolonged labour. J. Gen. Intern. Med. 2017, 32, S394. [Google Scholar]
- Lou, Y.Y. Hamman’s syndrome: Spontaneous pneumomediastinum and subcutaneous emphysema during second stage of labour. Int. J. Reprod. Contracept. Obstet. Gynecol. 2017, 6, 2622–2625. [Google Scholar] [CrossRef][Green Version]
- Khattak, H.; Lissauer, D.; Balogun, M. Hamman’s syndrome: A rare cause of surgical emphysema in labouring/postpartum women. BJOG Int. J. Obstet. Gynaecol. 2017, 124, 22. [Google Scholar]
- Ion, R.; Ker-Reid, F.; McDonald, M. Spontaneous pneumomediastinum in labour. BJOG Int. J. Obstet. Gynaecol. 2017, 124, 54–55. [Google Scholar]
- Khan, S.I.; Shah, R.A.; Yasir, S.; Ahmed, M.S. Post partumpneumomediastinum (Hamman syndrome): A case report. JPMA J. Pak. Med. Assoc. 2018, 68, 1108–1109. [Google Scholar]
- Sagar, D.; Rogers, T.K.; Adeni, A. Postpartum pneumomediastinum and subcutaneous emphysema. Case Rep. 2018, 2018, bcr-2018-224800. [Google Scholar] [CrossRef]
- Ekanem, E.; Olowu, O. Case report: Spontaneous pneumomediastinum in second stage of labour and literature review. BJOG Int. J. Obstet. Gynaecol. 2018, 125, 48. [Google Scholar]
- Jakes, A.; Kunde, K.; Banerjee, A. Case report: Postpartum pneumomediastinum and subcutaneous emphysema. Obstet. Med. 2019, 12, 143–145. [Google Scholar] [CrossRef]
- Wilson-Baig, N.; Bhatia, K.; Kochhar, P.; Bonner, S. Intrapartum spontaneous pneumomediastinum with subcutaneous emphysema—Management and recommendations to prevent recurrence in future pregnancies. Int. J. Obstet. Anesth. 2020, 41, 122–124. [Google Scholar] [CrossRef] [PubMed]
- Hashim, M.; Linton, T.; Heraganahally, S. Chest pain and dyspnoea in a young primiparous woman following prolonged labour at a remote Australian community health centre. Rural Remote Health 2019, 19, 4615. [Google Scholar] [CrossRef]
- James, R.E.; Bhanu, C.; Hapuarachi, S.; Caraballo, E.L. Facial swelling and dysphonia during labour: A case of Hamman’s syndrome. BMJ Case Rep. CP 2019, 12, e227489. [Google Scholar] [CrossRef] [PubMed]
- Kadam, N.D.; Almeida, J.; Singh, M.; Kamath, S. Hamman’s syndrome—A rare entity. J. Obstet. Gynaecol. J. Inst. Obstet. Gynaecol. 2019, 40, 725–726. [Google Scholar] [CrossRef] [PubMed]
- Madhok, D.; Smith, V.; Gunderson, E. An unexpected case of intrapartum pneumomediastinum. Case Rep. Obstet. Gynecol. 2019, 2019, 4093768. [Google Scholar] [CrossRef]
- Collins, P.D.; McFerran, S.J.; Goldrick, I.; Cevallos-Morales, J.; Martin-Lazaro, J. Postpartum Bilateral Tension Pneumothoraces. Cureus 2019, 11, e4856. [Google Scholar] [CrossRef]
- Opstelten, J.L.; Zwinkels, J.R.; van Velzen, E. Sudden dyspnoea and facial swelling during labour. Ned. Tijdschr. Voor Geneeskd. 2019, 163, D3044. [Google Scholar]
- Chooi, K.Y. Hamman’s syndrome: A case of pneumomediastinum, pneumothorax and extensive subcutaneous emphysema in the second stage of labour. Obstet. Gynecol. 2015, 125, 58S. [Google Scholar]
- Chavan, R. Hamman’s syndrome in a parturient: A case report. BJMP 2019, 12, a007. [Google Scholar]
- Lee, S.Y.; Young, A. Hamman syndrome: Spontaneous postpartum pneumomediastinum. Intern. Med. J. 2019, 49, 130–131. [Google Scholar] [CrossRef]
- Shahzadi, M.; Chiu, J.; Mogla, A.; Rasheed, A.; Vasudevan, V. 814: Air in the mediastinum: An unusual postpartum complication. Crit. Care Med. 2019, 47, 386. [Google Scholar] [CrossRef]
- Badran, D.; Ismail, S.; Ashcroft, J. Pneumomediastinum following spontaneous vaginal delivery: Report of a rare phenomenon. J. Surg. Case Rep. 2020, 2020, rjaa076. [Google Scholar] [CrossRef] [PubMed]
- Oshovskyy, V.; Poliakova, Y. A rare case of spontaneous pneumothorax, pneumomediastinum and subcutaneous emphysema in the II stage of labour. Int. J. Surg. Case Rep. 2020, 70, 130–132. [Google Scholar] [CrossRef] [PubMed]


| Age (years), median | 24 |
| ±SD: | ±5.4 |
| Not reported | 3 |
| Etnicity, n. (%): | |
| Caucasian | 10 (12.5) |
| African | 1 (1.25) |
| Not reported | 69 (86.25) |
| Parity, n. (%): | |
| 1st | 61 (76.25) |
| 2nd | 4 (5) |
| 3rd | 1 (1.25) |
| 4th | 1 (1.25) |
| not reported | 13 (16.25) |
| Hours of Labor, median | 7.47 |
| ±SD: | ±4.2 |
| Not reported | 42 |
| Weeks of Gestation, median | 40.0 |
| ±SD: | ±2.4 |
| Not reported | 29 |
| Body mass index (BMI, kg/m2), median | 25.1 |
| ±SD: | ±1.9 |
| Not reported | 31 |
| Stage of Labor | Number of Cases (%) |
|---|---|
| 2nd stage | 44 (55) * |
| 4th stage (after the delivery) | 13 (16.25) |
| 1st stage | 5 (6.25) |
| 3rd stage | 1 (1.25) |
| Not reported | 16 (20) |
| Signs and Symptoms | Number of Cases (%) |
|---|---|
| Swelling & Subcutaneous emphysema | 64 (91.4) |
| Chest pain | 36 (51.4) |
| Dyspnea | 35 (50.0) |
| Crepitus | 23 (32.9) |
| Dysphonia/Hoarse voice | 10 (14.3) |
| Tachycardia | 10 (14.3) |
| Vomiting | 4 (5.7) |
| Cough | 3 (4.3) |
| Odynophagia | 3 (4.3) |
| Neck pain | 2 (2.9) |
| Chest petechiae | 2 (2.9) |
| Hearing loss | 1 (1.4) |
| Suffocation | 1 (1.4) |
| Thoracic back pain | 1 (1.4) |
| Haemoptysis | 1 (1.4) |
| Treatment | Number of Cases (%) |
|---|---|
| Oxygen & bronchodilators | 25 (35.7) |
| Analgesics/Sedatives | 19 (27.1) |
| Observation/None | 20 (28.6) |
| Conservative/Symptomatic treatment (IV Fluids, other) | 15 (21.4) |
| Antibiotics | 10 (14.3) |
| Chest tube drainage | 4 (5.7) |
| Treatment | Number of Cases (%) |
|---|---|
| None | 42 (70.0) |
| Pneumothorax | 10 (16.7) |
| Pneumopericardium | 3 (5.0) |
| Pharyngeal rupture | 1 (1.7) |
| Hydropneumothorax | 1 (1.7) |
| Takotsubo cardiomyopathy | 1 (1.7) |
| Esophageal rupture | 1 (1.7) |
Publisher’s Note: MDPI stays neutral with regard to jurisdictional claims in published maps and institutional affiliations. |
© 2022 by the authors. Licensee MDPI, Basel, Switzerland. This article is an open access article distributed under the terms and conditions of the Creative Commons Attribution (CC BY) license (https://creativecommons.org/licenses/by/4.0/).
Share and Cite
La Verde, M.; Palmisano, A.; Iavarone, I.; Ronsini, C.; Labriola, D.; Cianci, S.; Schettino, F.; Reginelli, A.; Riemma, G.; De Franciscis, P. A Rare Complication during Vaginal Delivery, Hamman’s Syndrome: A Case Report and Systematic Review of Case Reports. Int. J. Environ. Res. Public Health 2022, 19, 4618. https://doi.org/10.3390/ijerph19084618
La Verde M, Palmisano A, Iavarone I, Ronsini C, Labriola D, Cianci S, Schettino F, Reginelli A, Riemma G, De Franciscis P. A Rare Complication during Vaginal Delivery, Hamman’s Syndrome: A Case Report and Systematic Review of Case Reports. International Journal of Environmental Research and Public Health. 2022; 19(8):4618. https://doi.org/10.3390/ijerph19084618
Chicago/Turabian StyleLa Verde, Marco, Adriano Palmisano, Irene Iavarone, Carlo Ronsini, Domenico Labriola, Stefano Cianci, Ferdinando Schettino, Alfonso Reginelli, Gaetano Riemma, and Pasquale De Franciscis. 2022. "A Rare Complication during Vaginal Delivery, Hamman’s Syndrome: A Case Report and Systematic Review of Case Reports" International Journal of Environmental Research and Public Health 19, no. 8: 4618. https://doi.org/10.3390/ijerph19084618
APA StyleLa Verde, M., Palmisano, A., Iavarone, I., Ronsini, C., Labriola, D., Cianci, S., Schettino, F., Reginelli, A., Riemma, G., & De Franciscis, P. (2022). A Rare Complication during Vaginal Delivery, Hamman’s Syndrome: A Case Report and Systematic Review of Case Reports. International Journal of Environmental Research and Public Health, 19(8), 4618. https://doi.org/10.3390/ijerph19084618

