Acute and Subchronic Oral Toxicity of Anthraquinone in Sprague Dawley Rats
Abstract
1. Introduction
2. Materials and Methods
2.1. Test Materials
2.2. Animals and Living Conditions
2.3. Acute Oral Toxicity Study
2.4. Subchronic Oral Toxicity Study
2.4.1. Animal Assignment, Dose and Formulation Analysis
2.4.2. Clinical Observations, Body Weight, and Food Consumption
2.4.3. Hematology and Clinical Biochemistry
2.4.4. Urinalysis
2.4.5. Hormones
2.4.6. Sperm Motility and Vaginal Cytology Evaluations
2.4.7. Pathology
2.5. Statistical Analysis
3. Results
3.1. Oral Acute Toxicity Study
3.2. Subchronic Toxicity in Rats
3.2.1. Formulation, Analysis, and Storage
3.2.2. Clinical Observations, Body Weight, and Food Consumption
3.2.3. Hematology and Clinical Biochemistry
3.2.4. Urinalysis
3.2.5. Hormones
3.2.6. Sperm Motility and Vaginal Cytology Evaluations
3.2.7. Organ Weights
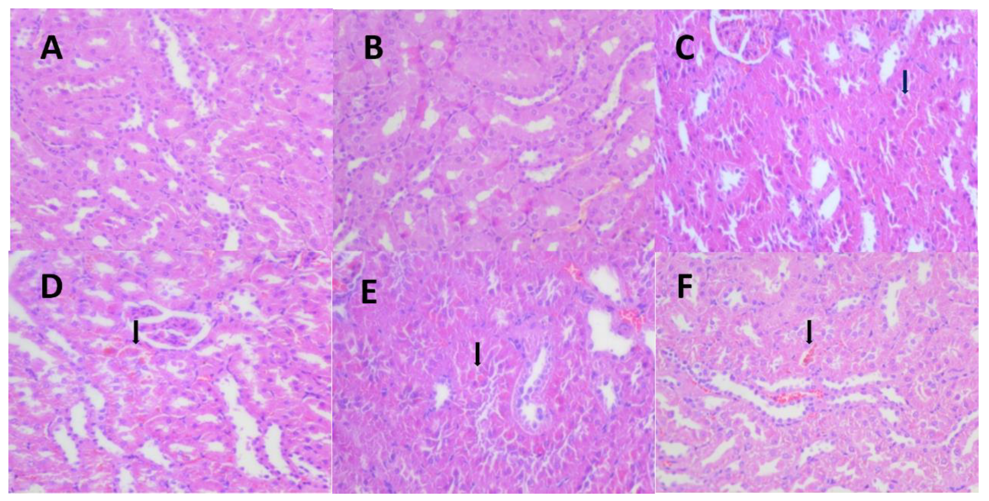
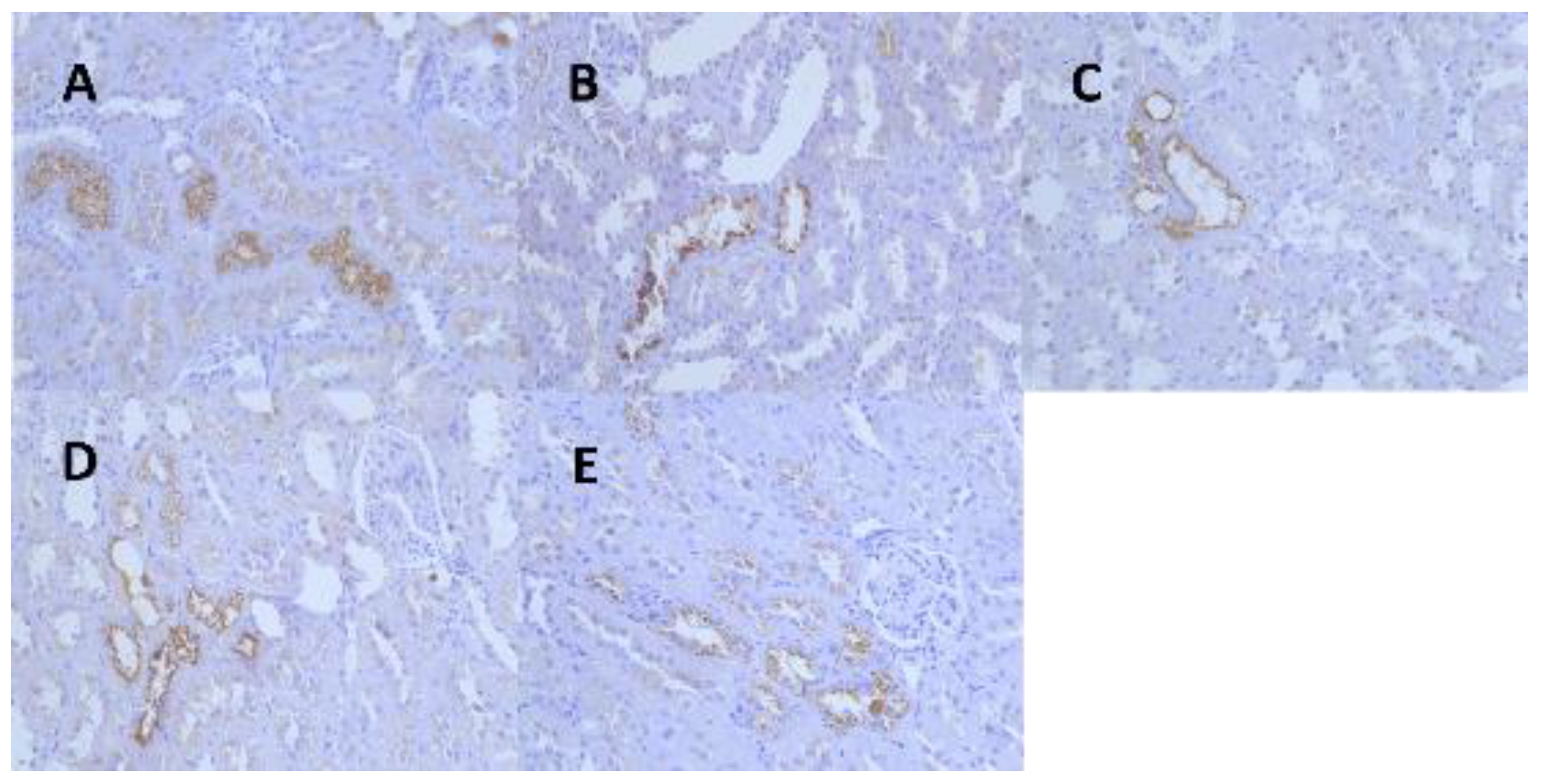
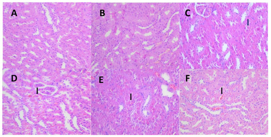
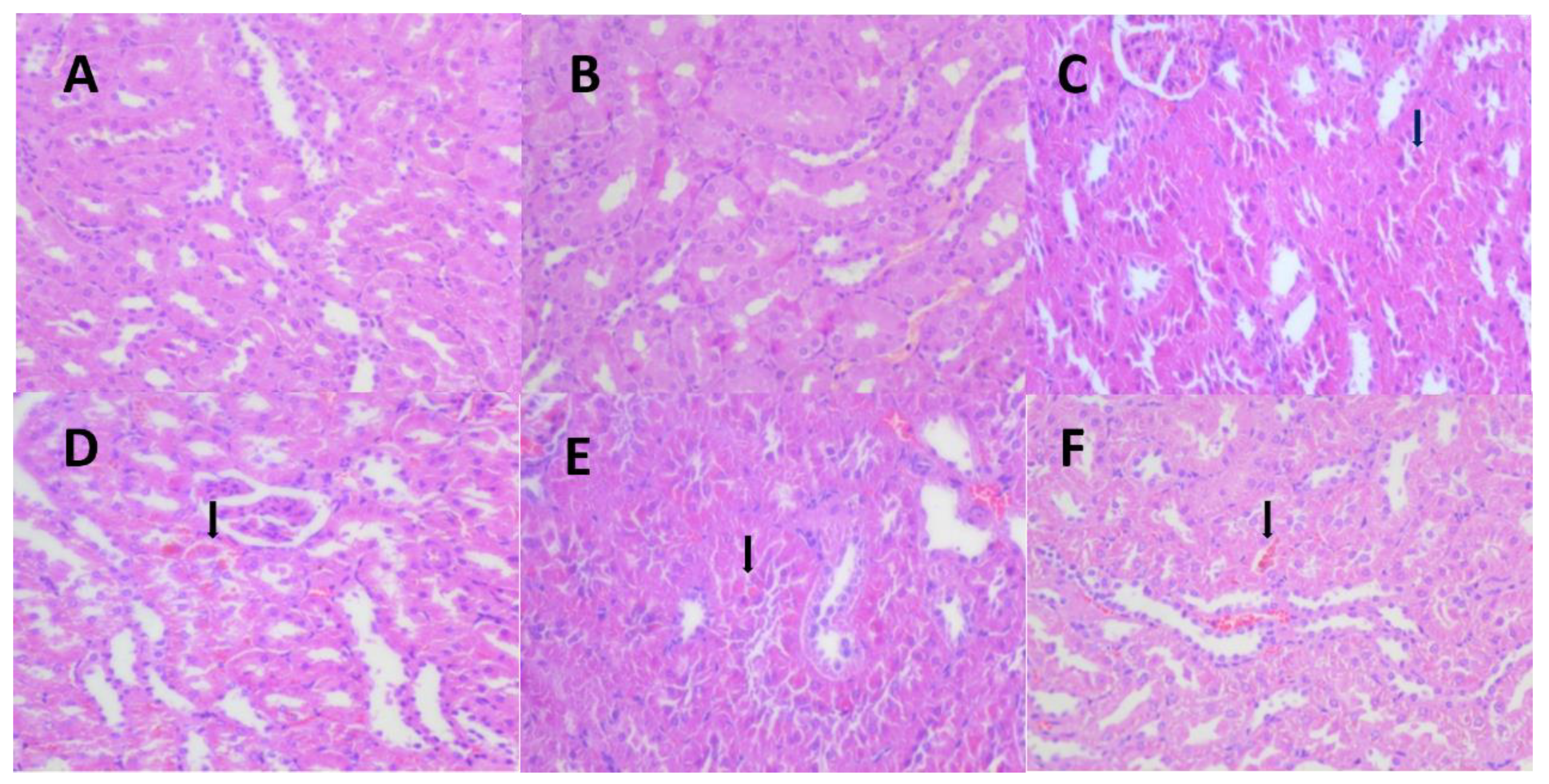
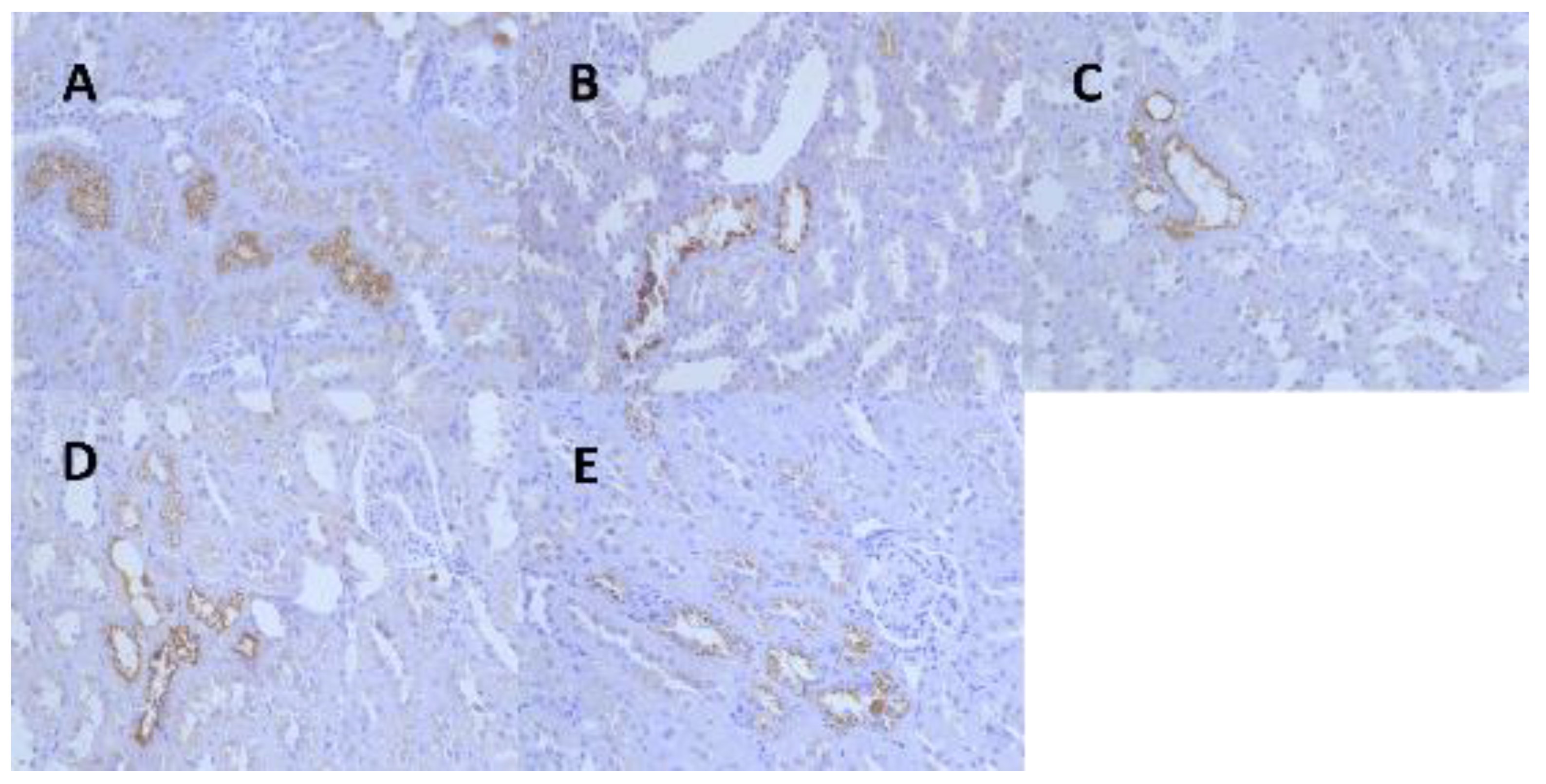
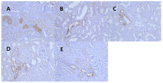
3.2.8. Pathology
4. Discussion
5. Conclusions
Author Contributions
Funding
Institutional Review Board Statement
Data Availability Statement
Acknowledgments
Conflicts of Interest
References
- Layshock, J.A.; Wilson, G.; Anderson, K.A. Ketone and quinone-substituted polycyclic aromatic hydrocarbons in mussel tissue, sediment, urban dust, and diesel particulate matrices. Environ. Toxicol. Chem. 2010, 29, 2450–2460. [Google Scholar] [CrossRef] [PubMed]
- Theurich, J.; Bahnemann, D.W.; Vogel, R.; Ehamed, F.E.; Alhakimi, G.; Rajab, I. Photocatalytic degradation of naphthalene and anthracene: GC-MS analysis of the degradation pathway. Res. Chem. Intermed. 1997, 23, 247–274. [Google Scholar] [CrossRef]
- Sarria-Villa, R.; Ocampo-Duque, W.; Páez, M.; Schuhmacher, M. Presence of PAHs in water and sediments of the Colombian Cauca River during heavy rain episodes, and implications for risk assessment. Sci. Total Environ. 2016, 540, 455–465. [Google Scholar] [CrossRef] [PubMed]
- Wang, Y.J.; Feng, S.H.; Cheng, J.T.; Cheng, H. Shu Research Progress on chemical constituents and pharmacological action of anthraquinone in rhei radix et rhizome. Chin. J. Exp. Tradit. Med. Formulae 2018, 24, 227–234. [Google Scholar] [CrossRef]
- Semwal, R.B.; Semwal, D.K.; Combrinck, S.; Viljoen, A. Emodin—A natural anthraquinone derivative with diverse pharmacological activities. Phytochemistry 2021, 190, 112854. [Google Scholar] [CrossRef] [PubMed]
- EFSA. Reasoned opinion on the review of the existing maximum residue levels (MRLs) for haloxyfop-P according to Article 12 of Regulation (EC) No 396/2005. EFSA J. 2014, 12, 3861. [Google Scholar] [CrossRef]
- EFSA. EFSA review of the existing MRLs for anthraquinone. EFSA J. 2012, 10, 2761–2771. [Google Scholar] [CrossRef][Green Version]
- US EPA. Anthraquinone Fact Sheet No 122701. Environmental Protection Agency. 25 June 2018. Available online: https://www3.epa.gov/pesticides/chem_search/reg_actions/registration/fs_PC-122701_01-Dec-98.pdf (accessed on 3 September 2019).
- Ding, Y.N.; Tong, X.L.; Lai, G.Y.; Xu, D.M.; Lin, L.Y.; Huang, Y.J.; Zhang, Z.G. Study on the limit standard of pesticide residue of tea and the safety of exported tea at home and abroad. J. Food Saf. Qual. 2019, 10, 8140–8145. [Google Scholar] [CrossRef]
- ECHA. CLH Report Proposal for Harmonised Classification and Labelling Based on Regulation (EC) No 1272/2008 (CLP Regulation), Annex VI, Part 2 Substance Name: Anthraquinone. In Chemicals; Federal Institute for Occupational Safety and Health, Federal Office for Chemicals: Dortmund, Germany, 2015. [Google Scholar]
- National Center for Biotechnology Information. PubChem Annotation Record for ANTHRAQUINONE, Source: Hazardous Substances Data Bank (HSDB). 2022. 26 March 2005. Available online: https://pubchem.ncbi.nlm.nih.gov/source/hsdb/2074 (accessed on 17 September 2021).
- NTP (National Toxicology Program). Toxicology and Carcinogenesis Studies of Anthraquinone (CAS No. 84-65-1) in F344/N Rats and B6C3F1 Mice (Feed Studies); NTP Technical Report 494. NIH Publication No. 05-3953; U.S. Department of Health and Human Services, National Institutes of Health: Bethesda, MD, USA, 2005.
- Dodd, D.E.; Layko, D.K.; Cantwell, K.E.; Willson, G.A.; Thomas, R.S. Subchronic Toxicity Evaluation of Anthraquinone in Fischer 344 Rats. Int. J. Toxicol. 2013, 32, 358–367. [Google Scholar] [CrossRef] [PubMed]
- OECD. OECD Guidelines for the Testing of Chemicals Test No. 423: Acute Oral Toxicity—Acute Toxic Class Method. 17 December 2001. Available online: https://doi.org/10.1787/9789264071001-en (accessed on 18 August 2022).
- OECD. OECD Guidelines for the Testing of Chemicals Test No. 413: Subchronic Inhalation Toxicity: 90-day Study. 28 June 2018. Available online: https://doi.org/10.1787/9789264070806-en (accessed on 18 August 2022).
- China National Health and Family Planning Commission. National Food Safety Standard-90-Day Oral Toxicity Test; China Quality and Standards Publishing: Beijing, China, 2015; pp. 1–6. [Google Scholar]
- Peter, M. International Harmonization of Nomenclature and Diagnostic Criteria for Lesions in Rats and Mice; China Agricultural Press: Beijing, China, 2019. [Google Scholar]
- Oliver, J.; Moses, M.J.; MacDowell, M.C.; Lee, Y.C. Cellular Mechanisms of Protein Metabolism in the Nephron. The histochemical characteristics of protein absorption droplets. J. Exp. Med. 1954, 99, 605–620. [Google Scholar] [CrossRef] [PubMed]
- Sato, S.; Kitamura, H.; Ghazizadeh, M.; Adachi, A.; Sasaki, Y.; Ishizaki, M.; Inoue, K.; Wakamatsu, K.; Sugisaki, Y. Occurrence of hyaline droplets in renal biopsy specimens: An ultrastructural study. Med Mol. Morphol. 2005, 38, 63–71. [Google Scholar] [CrossRef] [PubMed]
- Hard, G.C.; Snowden, R.T. Hyaline Droplet Accumulation in Rodent Kidney Proximal Tubules: An Association with Histiocytic Sarcoma. Toxicol. Pathol. 1991, 19, 88–97. [Google Scholar] [CrossRef] [PubMed]
- Hamamura, M.; Oshikata, T.; Katoku, K.; Tsuchitani, M.; Yamaguchi, R. Two types of deposits, hyaline droplets and eosinophilic bodies, associated with α2u-globulin accumulation in the rat kidney. J. Toxicol. Pathol. 2017, 30, 275–282. [Google Scholar] [CrossRef] [PubMed][Green Version]





| Organ | Units | End of Treatment Period (mg/kg) | End of Recovery Period (mg/kg) | ||||||||||||
|---|---|---|---|---|---|---|---|---|---|---|---|---|---|---|---|
| 0.00 | 1.36 | 5.44 | 21.76 | 174.08 | 0.0 | 174.08 | |||||||||
| ♀ n = 10 | ♂ n = 10 | ♀ n = 10 | ♂ n = 10 | ♀ n = 10 | ♂ n = 10 | ♀ n = 10 | ♂ n = 10 | ♀ n = 10 | ♂ n = 9 | ♀ n = 5 | ♂ n = 5 | ♀ n = 5 | ♂ n = 5 | ||
| WBC | 109/L | 4.2 ± 1.2 | 6.7 ± 1.6 | 4.8 ± 1.4 | 5.9 ± 1.7 | 4.9 ± 0.9 | 6.1 ± 1.5 | 5.1 ± 1.2 | 7.6 ± 1.4 | 4.1 ± 1.2 | 6.7 ± 1.3 | 3.4 ± 0.7 | 7.3 ± 1.7 | 3.4 ± 0.7 | 6.0 ± 0.7 |
| LY | % | 63.0 ± 3.4 | 62.5 ± 5.0 | 65.7 ± 4.2 | 63.4 ± 5.6 | 68.6 ± 5.5 | 61.1 ± 5.6 | 69.8 ± 4.3 * | 66.1 ± 6.5 | 67.8 ± 7.2 | 61.8 ± 5.2 | 58.8 ± 13.6 | 49.1 ± 9.7 | 64.0 ± 8.7 | 51.6 ± 5.5 |
| MO | % | 1.5 ± 0.4 | 1.8 ± 0.4 | 1.5 ± 0.4 | 1.6 ± 0.4 | 1.2 ± 0.4 | 2.0 ± 0.4 | 1.2 ± 0.3 | 1.5 ± 0.5 | 1.6 ± 0.7 | 2.0 ± 0.8 | 1.3 ± 0.6 | 2.5 ± 1.5 | 1.4 ± 0.3 | 2.7 ± 0.7 |
| NEUT | % | 33.3 ± 3.3 | 33.9 ± 4.9 | 30.7 ± 3.8 | 32.6 ± 5.5 | 28.6 ± 5.4 | 35.0 ± 5.8 | 27.4 ± 4.0 * | 30.4 ± 5.9 | 29.3 ± 7.1 | 34.1 ± 4.8 | 37.1 ± 13.4 | 46.5 ± 9.3 | 32.0 ± 7.8 | 43.7 ± 5.4 |
| EO | % | 2.3 ± 0.8 | 1.8 ± 0.3 | 2.2 ± 0.7 | 2.4 ± 1.2 | 1.6 ± 0.5 | 2.0 ± 0.5 | 1.7 ± 0.7 | 2.1 ± 0.5 | 1.4 ± 0.5 * | 2.1 ± 0.7 | 2.8 ± 0.6 | 2.0 ± 0.3 | 2.6 ± 1.0 | 2.0 ± 0.3 |
| BASO | % | 0.0 ± 0.0 | 0.0 ± 0.0 | 0.0 ± 0.0 | 0.0 ± 0.0 | 0.0 ± 0.0 | 0.0 ± 0.0 | 0.0 ± 0.0 | 0.0 ± 0.0 | 0.0 ± 0.0 | 0.0 ± 0.0 | 0.0 ± 0.0 | 0.0 ± 0.0 | 0.0 ± 0.0 | 0.0 ± 0.0 |
| RBC | 1012/L | 7.9 ± 0.5 | 8.4 ± 0.4 | 8.1 ± 0.2 | 8.3 ± 0.4 | 7.6 ± 0.3 | 8.2 ± 0.6 | 7.4 ± 0.4 * | 8.0 ± 0.4 | 7.4 ± 0.5 * | 8.1 ± 0.3 | 8.2 ± 0.6 | 8.4 ± 0.4 | 8.2 ± 0.5 | 8.4 ± 0.3 |
| HGB | g/L | 147.0 ± 8.0 | 150.1 ± 4.6 | 153.9 ± 6.5 | 147.8 ± 7.4 | 147.5 ± 5.7 | 146.8 ± 7.9 | 144.1 ± 6.7 | 146.5 ± 6.5 | 143.3 ± 6.8 | 147.9 ± 6.7 | 150.0 ± 7.3 | 148.4 ± 3.5 | 152.4 ± 6.6 | 149.2 ± 2.5 |
| PLT | 109/L | 1001.0 ± 151.9 | 1150.2 ± 126.8 | 1224.6 ± 168.5 ** | 1133.2 ± 171.0 | 1218.2 ± 102.7 ** | 1170.1 ± 87.9 | 1204.4 ± 148.3 * | 1241.1 ± 110.0 | 1142.0 ± 161.0 | 1121.1 ± 90.8 | 1154.6 ± 193.7 | 1148.6 ± 167.3 | 1127.0 ± 329.4 | 1289.2 ± 127.6 |
| HCT | % | 42.3 ± 2.2 | 43.0 ± 1.1 | 44.4 ± 1.8 * | 42.4 ± 2.0 | 43.1 ± 1.2 | 42.6 ± 2.1 | 42.7 ± 1.8 | 42.7 ± 2.0 | 43.1 ± 2.0 | 43.2 ± 1.7 | 42.5 ± 1.8 | 42.6. ± 1.6 | 43.6 ± 1.6 | 42.3 ± 1.7 |
| MCV | f1 | 53.4 ± 1.7 | 51.4 ± 1.1 | 54.9 ± 1.6 | 51.1 ± 1.5 | 56.5 ± 1.8 ** | 52.3 ± 1.9 | 57.8 ± 1.7 ** | 53.3 ± 1.7 * | 58.3 ± 1.9 ** | 53.7 ± 1.7 * | 52.2 ± 3.1 | 50.5 ± 1.4 | 53.1 ± 1.9 | 50.1 ± 1.0 |
| MCH | pg | 18.5 ± 0.4 | 18.0 ± 0.5 | 19.0 ± 0.5 | 17.8 ± 0.5 | 19.3 ± 0.5 ** | 18.1 ± 0.5 | 19.5 ± 0.5 ** | 18.3 ± 0.6 | 19.4 ± 0.6 ** | 18.4 ± 0.4 | 18.4 ± 0.6 | 17.6 ± 0.4 | 18.5 ± 0.5 | 17.7 ± 0.3 |
| MCHC | g/L | 347.1 ± 4.8 | 349.6 ± 5.4 | 346.5 ± 4.5 | 348.8 ± 5.0 | 342.2 ± 5.6 | 344.9 ± 6.9 | 337.0 ± 3.6 ** | 343.1 ± 4.9 | 332.4 ± 3.1 ** | 342.4 ± 7.1 * | 353.0 ± 12.7 | 348.8 ± 6.9 | 349.6 ± 5.2 | 353.2 ± 8.8 |
| RET | % | 2.0 ± 0.2 | 2.3 ± 0.3 | 2.2 ± 0.5 | 2.4 ± 0.6 | 2.9 ± 0.5 ** | 2.3 ± 0.3 | 3.5 ± 0.7 ** | 2.9 ± 0.2 * | 4.1 ± 0.9 ** | 2.6 ± 0.8 | 1.6 ± 0.4 | 2.3 ± 0.2 | 1.8 ± 0.5 | 1.9 ± 0.2 # |
| APTT | (S) | 9.4 ± 2.9 | 7.0 ± 1.4 | 8.3 ± 1.8 | 7.6 ± 4.6 | 8.7 ± 1.8 | 8.6 ± 3.1 | 8.5 ± 1.5 | 7.4 ± 1.5 | 8.6 ± 1.7 | 8.1 ± 1.7 | 11.4 ± 8.6 | 6.6 ± 1.0 | 6.9 ± 1.0 | 6.3 ± 1.2 |
| PT | (S) | 13.6 ± 0.8 | 12.8 ± 0.5 | 13.1 ± 0.5 | 12.9 ± 0.5 | 13.5 ± 0.4 | 12.7 ± 0.9 | 13.2 ± 0.5 | 12.9 ± 0.5 | 13.0 ± 0.4 * | 12.4 ± 0.5 | 12.1 ± 0.5 | 13.2 ± 2.3 | 12.2 ± 0.3 | 11.6 ± 1.6 |
| Organ | Units | End of Treatment Period (mg/kg) | End of Recovery Period (mg/kg) | ||||||||||||
|---|---|---|---|---|---|---|---|---|---|---|---|---|---|---|---|
| 0.00 | 1.36 | 5.44 | 21.76 | 174.08 | 0.0 | 174.08 | |||||||||
| ♀ n = 10 | ♂ n = 10 | ♀ n = 10 | ♂ n = 10 | ♀ n = 10 | ♂ n = 10 | ♀ n = 10 | ♂ n = 10 | ♀ n = 10 | ♂ n = 9 | ♀ n = 5 | ♂ n = 5 | ♀ n = 5 | ♂ n = 5 | ||
| ALT | U/L | 39.6 ± 6.2 | 39.3 ± 6.1 | 39.7 ± 9.3 | 38.3 ± 8.3 | 41.0 ± 5.5 | 37.7 ± 7.4 | 39.1 ± 7.5 | 34.6 ± 2.6 | 36.5 ± 5.1 | 36.1 ± 6.6 | 41.0 ± 3.9 | 50.6 ± 13.5 | 30.8 ± 5.6 # | 45.0 ± 18.6 |
| AST | U/L | 115.9 ± 25.6 | 93.1 ± 10.6 | 114.3 ± 19.5 | 96.9 ± 26.4 | 131.6 ± 18.1 | 88.9 ± 8.0 | 103.6 ± 16.5 | 88.5 ± 7.3 | 100.9 ± 16.4 | 76.7 ± 10.8 * | 112.6 ± 13.7 | 123.6 ± 22.9 | 98.2 ± 21.2 | 99.4 ± 28.0 |
| ALP | IU/L | 47.7 ± 8.5 | 72.4 ± 12.9 | 47.5 ± 10.9 | 69.5 ± 6.1 | 48.7 ± 10.5 | 79.6 ± 8.7 | 39.6 ± 9.6 | 70.6 ± 5.1 | 36.3 ± 10.4 * | 68.0 ± 16.5 | 43.6 ± 5.8 | 73.6 ± 17.7 | 42.4 ± 9.0 | 63.8 ± 17.8 |
| GGT | ng/mL | 3.6 ± 0.4 | 4.0 ± 0.4 | 4.0 ± 0.3 | 3.6 ± 0.2 | 3.8 ± 0.2 | 4.1 ± 0.4 | 3.6 ± 0.4 | 4.0 ± 0.6 | 3.7 ± 0.6 | 4.2 ± 0.6 | 2.7 ± 0.2 | 2.6 ± 0.1 | 3.0 ± 0.7 | 2.8 ± 0.4 |
| LDH | IU/L | 801.7 ± 289.5 | 714.1 ± 146.6 | 922.2 ± 194.8 | 664.1 ± 259.9 | 1067.9 ± 209.8 | 653.4 ± 200.5 | 806.6 ± 235.1 | 689.0 ± 117.3 | 807.0 ± 302.3 | 442.6 ± 198.5 * | 687.6 ± 115.1 | 399.8 ± 268.2 | 703.0 ± 162.2 | 467.0 ± 222.5 |
| CHE | IU/L | 2037.3 ± 224.8 | 1466.7 ± 75.9 | 1986.7 ± 278.6 | 1501.5 ± 64.4 | 1959.4 ± 156.8 | 1538.4 ± 270.3 | 1971.6 ± 206.6 | 1499.3 ± 110.9 | 1741.4 ± 193.7 * | 1451.0 ± 175.7 | 2108.0 ± 286.3 | 1460.2 ± 73.3 | 2143.6 ± 194.9 | 1430.6 ± 34.4 |
| NAG | ng/mL | 19.9 ± 2.4 | 16.1 ± 2.7 | 18.1 ± 3.9 | 13.3 ± 1.7 | 16.4 ± 4.3 | 18.6 ± 2.6 | 17.9 ± 2.1 | 21.1 ± 2.5 ** | 16.3 ± 3.4 | 21.4 ± 3.2 ** | 13.6 ± 1.6 | 14.7 ± 1.2 | 17.9 ± 7.2 | 12.9 ± 1.4 |
| SDH | ng/mL | 2.5 ± 0.2 | 1.9 ± 0.5 | 2.1 ± 0.3 | 1.6 ± 0.3 | 2.0 ± 0.5 * | 2.3 ± 0.2 | 2.0 ± 0.4* | 2.1 ± 0.7 | 1.6 ± 0.4 ** | 2.0 ± 0.7 | 1.0 ± 0.1 | 1.0 ± 0.1 | 0.9 ± 0.2 | 0.8 ± 0.3 |
| TP | g/L | 57.9 ± 4.3 | 52.7 ± 1.5 | 58.6 ± 2.6 | 54.2 ± 3.4 | 57.3 ± 1.5 | 53.6 ± 2.3 | 58.6 ± 2.2 | 54.5 ± 2.3 | 63.9 ± 3.8 ** | 55.5 ± 3.2 | 61.2 ± 1.2 | 58.6 ± 2.8 | 60.4 ± 3.2 | 54.8 ± 1.6 # |
| ALB | g/L | 33.0 ± 2.2 | 28.1 ± 1.2 | 33.0 ± 1.6 | 28.0 ± 1.2 | 32.0 ± 0.8 | 28.5 ± 0.8 | 33.0 ± 1.4 | 28.6 ± 0.8 | 35.1 ± 2.1 * | 28.9 ± 1.6 | 32.8 ± 1.3 | 30.1 ± 1.4 | 32.7 ± 2.5 | 28.8 ± 0.3 |
| CHOL | mmol/L | 1.9 ± 0.4 | 2.1 ± 0.2 | 2.1 ± 0.5 | 2.3 ± 0.3 | 2.0 ± 0.6 | 2.3 ± 0.5 | 2.3 ± 0.3 | 2.4 ± 0.3 | 3.2 ± 0.5 ** | 2.9 ± 0.8 ** | 2.8 ± 0.4 | 2.3 ± 0.2 | 2.5 ± 0.4 | 1.9 ± 0.4 |
| TG | mmol/L | 0.6 ± 0.1 | 0.5 ± 0.2 | 0.7 ± 0.1 | 0.6 ± 0.2 | 0.6 ± 0.1 | 0.7 ± 0.2 | 0.6 ± 0.1 | 0.8 ± 0.2 | 0.7 ± 0.1 * | 0.9 ± 0.5 | 0.6 ± 0.1 | 0.7 ± 0.2 | 0.7 ± 0.1 | 0.6 ± 0.2 |
| HDL-C | mmol/L | 1.8 ± 0.3 | 1.6 ± 0.2 | 1.8 ± 0.3 | 1.7 ± 0.2 | 1.8 ± 0.4 | 1.8 ± 0.3 | 2.0 ± 0.2 | 1.8 ± 0.1 | 2.6 ± 0.3 ** | 2.1 ± 0.5 ** | 2.1 ± 0.3 | 1.7 ± 0.1 | 2.0 ± 0.3 | 1.5 ± 0.2 |
| LDL-C | mmol/L | 1.0 ± 0.2 | 1.1 ± 0.1 | 1.1 ± 0.3 | 1.2 ± 0.2 | 1.1 ± 0.3 | 1.2 ± 0.3 | 1.2 ± 0.2 | 1.3 ± 0.2 | 1.8 ± 0.3 ** | 1.5 ± 0.5 ** | 1.4 ± 0.2 | 1.2 ± 0.2 | 1.3 ± 0.2 | 0.9 ± 0.2 |
| GLU | mmol/L | 6.7 ± 0.7 | 5.9 ± 0.7 | 7.2 ± 1.2 | 7.4 ± 0.8 * | 6.0 ± 0.9 | 7.3 ± 1.0 * | 5.9 ± 0.9 | 6.2 ± 1.3 | 5.6 ± 1.3 | 5.6 ± 1.6 | 6.9 ± 1.0 | 6.6 ± 1.0 | 6.1 ± 1.4 | 7.0 ± 1.0 |
| BUN | mmol/L | 3.6 ± 0.5 | 3.6 ± 0.2 | 3.4 ± 0.8 | 3.2 ± 0.4 | 4.0 ± 0.8 | 3.2 ± 0.4 | 3.7 ± 0.5 | 3.4 ± 0.8 | 3.1 ± 0.8 | 3.4 ± 0.6 | 3.6 ± 0.5 | 4.0 ± 0.8 | 3.8 ± 0.1 | 3.3 ± 0.4 |
| CREA | umol/L | 74.9 ± 7.3 | 92.7 ± 10.3 | 77.3 ± 10.8 | 91.5 ± 15.9 | 80.1 ± 7.4 | 91.4 ± 8.6 | 71.4 ± 2.9 | 89.7 ± 6.7 | 72.5 ± 5.6 | 82.0 ± 9.5 | 87.0 ± 9.9 | 122.0 ± 39.7 | 80.0 ± 8.7 | 80.7 ± 7.3 |
| TBIL | umol/L | 2.9 ± 0.5 | 2.3 ± 0.4 | 2.4 ± 0.5 | 2.4 ± 0.4 | 2.4 ± 0.2 | 2.3 ± 0.3 | 2.4 ± 0.5 | 2.2 ± 0.3 | 2.6 ± 0.5 | 2.0 ± 0.3 | 2.8 ± 0.3 | 2.6 ± 0.3 | 2.6 ± 0.4 | 2.2 ± 0.1# |
| K+ | mmol/L | 5.3 ± 0.4 | 4.9 ± 0.3 | 5.2 ± 0.6 | 4.5 ± 0.4 | 5.4 ± 0.3 | 4.6 ± 0.4 | 5.4 ± 0.3 | 4.9 ± 0.4 | 5.1 ± 0.2 | 4.7 ± 0.7 | 4.6 ± 0.1 | 5.3 ± 0.3 | 5.0 ± 0.2 # | 5.2 ± 0.4 |
| Na+ | mmol/L | 141.4 ± 2.0 | 138.0 ± 1.4 | 142.0 ± 2.2 | 138.0 ± 1.2 | 141.9 ± 1.8 | 138.3 ± 1.4 | 142.2 ± 2.9 | 137.8 ± 1.4 | 144.4 ± 3.2 * | 137.8 ± 1.8 | 139.6 ± 1.5 | 141.9 ± 2.0 | 140.4 ± 1.4 | 142.3 ± 0.9 |
| Cl- | mmol/L | 107.2 ± 2.3 | 103.2 ± 1.6 | 107.7 ± 3.1 | 101.8 ± 1.7 | 107.9 ± 2.0 | 102.1 ± 2.3 | 108.6 ± 2.5 | 102.2 ± 2.2 | 107.6 ± 1.7 | 102.1 ± 2.1 | 104.9 ± 1.1 | 105.2 ± 3.8 | 107.0 ± 1.4 # | 108.5 ± 1.3 |
| Ca2+ | mmol/L | 2.9 ± 0.1 | 2.8 ± 0.1 | 2.9 ± 0.1 | 2.8 ± 0.1 | 2.9 ± 0.1 | 2.8 ± 0.1 | 2.9 ± 0.1 | 2.8 ± 0.1 | 3.0 ± 0.1 | 2.9 ± 0.1 | 2.9 ± 0.0 | 3.0 ± 0.3 | 2.9 ± 0.1 | 2.9 ± 0.0 |
| Organ | Units | End of Treatment Period (mg/kg) | End of Recovery Period (mg/kg) | ||||||||||||
|---|---|---|---|---|---|---|---|---|---|---|---|---|---|---|---|
| 0.00 | 1.36 | 5.44 | 21.76 | 174.08 | 0.0 | 174.08 | |||||||||
| ♀ n = 10 | ♂ n = 10 | ♀ n = 10 | ♂ n = 10 | ♀ n = 10 | ♂ n = 10 | ♀ n = 10 | ♂ n = 10 | ♀ n = 10 | ♂ n = 9 | ♀ n = 5 | ♂ n = 5 | ♀ n = 5 | ♂ n = 5 | ||
| T3 | ng/mL | 1.0 ± 0.2 | 1.1 ± 0.1 | 1.0 ± 0.1 | 1.0 ± 0.1 | 1.0 ± 0.1 | 1.1 ± 0.1 | 1.1 ± 0.1 | 0.9 ± 0.1 ** | 1.0 ± 0.1 | 0.9 ± 0.1 * | 0.9 ± 0.1 | 0.9 ± 0.1 | 0.8 ± 0.1 | 0.8 ± 0.1 |
| T4 | ng/mL | 27.8 ± 2.0 | 26.1 ± 1.3 | 27.9 ± 2.3 | 26.0 ± 2.0 | 24.8 ± 2.6 * | 27.5 ± 3.8 | 27.9 ± 3.2 | 25.9 ± 2.9 | 23.7 ± 2.1 ** | 28.1 ± 3.141 | 10.521 ± 2.131 | 12.841 ± 3.2 | 14.3 ± 1.3 | 16.7 ± 1.2 # |
| TSH | mU/L | 2.5 ± 0.5 | 2.5 ± 0.7 | 2.2 ± 0.5 | 2.1 ± 0.5 | 2.2 ± 0.3 | 2.7 ± 0.3 | 2.5 ± 0.5 | 2.1 ± 0.1 | 2.1 ± 0.4 | 2.2 ± 0.2 | 1.9 ± 0.4 | 2.1 ± 0.2 | 1.9 ± 0.3 | 2.1 ± 0.3 |
| Organ | Units | End of Treatment Period (mg/kg) | End of Recovery Period (mg/kg) | ||||||||||||
|---|---|---|---|---|---|---|---|---|---|---|---|---|---|---|---|
| 0.00 | 1.36 | 5.44 | 21.76 | 174.08 | 0.0 | 174.08 | |||||||||
| ♀ n = 10 | ♂ n = 10 | ♀ n = 10 | ♂ n = 10 | ♀ n = 10 | ♂ n = 10 | ♀ n = 10 | ♂ n = 10 | ♀ n = 10 | ♂ n = 9 | ♀ n = 5 | ♂ n = 5 | ♀ n = 5 | ♂ n = 5 | ||
| liver | g a | 7.1 ± 0.7 | 12.7 ± 1.4 | 7.4 ± 0.8 | 13.7 ± 1. 8 | 7.5 ± 0.9 | 14.3 ± 1.5 | 14.6 ± 0. 8 | 14.7 ± 1.9 * | 9.7 ± 1.3 ** | 16.5 ± 1.6 ** | 7.3 ± 0.3 | 14.6 ± 0. 8 | 7.2 ± 0.5 | 15.0 ± 0.3 |
| % b | 2.537 ± 0.107 | 2.5 ± 0.1 | 2.5 ± 0.2 | 2.6 ± 0.2 | 2.6 ± 0.2 | 2.7 ± 0.1 | 3.2 ± 0.3 | 2.8 ± 0.2 ** | 3.7 ± 0.2 ** | 3.5 ± 0.3 ** | 2.4 ± 0.1 | 3.2 ± 0.3 | 2.4 ± 0.2 | 3.2 ± 0.1 | |
| kidney | g a | 1.9 ± 0.2 | 3.5 ± 0.5 | 1.8 ± 0.1 | 3.5 ± 0.6 | 1.9 ± 0.2 | 3.9 ± 0.3 | 3.2 ± 0.2 | 4.0 ± 0.3 | 2.0 ± 0.2 | 4.1 ± 0.7 * | 1.8 ± 0.1 | 3.2 ± 0.2 | 1. 8 ± 0.1 | 3.1 ± 0.1 |
| % b | 0.7 ± 0.1 | 0.7 ± 0.1 | 0.6 ± 0.0 | 0.7 ± 0.1 | 0.7 ± 0.1 | 0.7 ± 0.1 | 0.7 ± 0.1 | 0.8 ± 0.1 | 0.8 ± 0.0 ** | 0.9 ± 0.1 ** | 0.6 ± 0.0 | 0.7 ± 0.0 | 0.6 ± 0.0 | 0. 7 ± 0.0 | |
| spleen | g a | 0.7 ± 0.1 | 1.1 ± 0.2 | 0.6 ± 0.1 | 1.1 ± 0.1 | 0.7 ± 0.1 | 1.2 ± 0.1 | 1.2 ± 0.0 | 1.2 ± 0.3 | 0.8 ± 0.1 ** | 1.3 ± 0.2 | 0.7 ± 0.1 | 1.2 ± 0.0 | 0.8 ± 0.1 | 1.3 ± 0.0 |
| % b | 0.2 ± 0.0 | 0.2 ± 0.0 | 0.2 ± 0.0 | 0.2 ± 0.0 | 0.2 ± 0.0 | 0.2 ± 0.0 | 0.3 ± 0.0 | 0.2 ± 0.0 | 0.3 ± 0.0 ** | 0.3 ± 0.1 | 0.2 ± 0.0 | 0.3 ± 0.0 | 0.3 ± 0.0 | 0.3 ± 0.0 | |
| thyroid | g a | 0.3 ± 0.1 | 0.4 ± 0.2 | 0.3 ± 0.1 | 0.3 ± 0.1 | 0.3 ± 0.1 | 0.4 ± 0.2 | 0.3 ± 0.0 | 0.4 ± 0.1 | 0.2 ± 0.1 * | 0.4 ± 0.1 | 0.3 ± 0.1 | 0.3 ± 0.0 | 0.3 ± 0.0 | 0.3 ± 0.0 |
| % b | 0.1 ± 0.1 | 0.1 ± 0.0 | 0.1 ± 0.0 | 0.1 ± 0.0 | 0.1 ± 0.0 | 0.1 ± 0.0 | 0.1 ± 0.0 | 0.1 ± 0.0 | 0.1 ± 0.0 | 0.1 ± 0.0 | 0.1 ± 0.0 | 0.1 ± 0.0 | 0.1 ± 0.0 | 0.1 ± 0.0 | |
| Organ and Tissue Findings | End of Treatment Period (mg/kg) | End of Recovery Period (mg/kg) | |||||||||||||
|---|---|---|---|---|---|---|---|---|---|---|---|---|---|---|---|
| 0.00 mg/kg | 1.36 mg/kg | 5.44 mg/kg | 21.76 mg/kg | 174.08 mg/kg | 0.0 mg/kg | 174.08 mg/kg | |||||||||
| ♀ | ♂ | ♀ | ♂ | ♀ | ♂ | ♀ | ♂ | ♀ | ♂ | ♀ | ♂ | ♀ | ♂ | ||
| Liver | hypertrophy | 0/10 | 0/10 | 0/10 | 0/10 | 0/10 | 0/10 | 0/10 | 0/10 | 10/10 ** | 0/9 | 0/5 | 0/5 | 0/5 | 0/5 |
| Kidney | hyaline droplets | 0/10 | 0/10 | 0/10 | 6/10 * | 7/10 ** | 8/10 ** | 10/10 ** | 9/10 ** | 9/10 ** | 7/9 ** | 0/5 | 0/5 | 2/5 | 0/5 |
| Grading of Histomorphological Findings | Group | |||||||||
|---|---|---|---|---|---|---|---|---|---|---|
| 0.00 mg/kg | 1.36 mg/kg | 5.44 mg/kg | 21.76 mg/kg | 174.08 mg/kg | ||||||
| ♀ | ♂ | ♀ | ♂ | ♀ | ♂ | ♀ | ♂ | ♀ | ♂ | |
| normal | 10/10 | 10/10 | 10/10 | 4/10 | 3/10 | 2/10 | 0/10 | 1/10 | 1/10 | 2/9 |
| minimal | 0/10 | 0/10 | 0/10 | 6/10 | 0/10 | 0/10 | 0/10 | 0/10 | 0/10 | 0/9 |
| mild | 0/10 | 0/10 | 0/10 | 0/10 | 7/10 ** | 8/10 ** | 10/10 ** | 9/10 ** | 9/10 ** | 7/9 ** |
| moderate | 0/10 | 0/10 | 0/10 | 0/10 | 0/10 | 0/10 | 0/10 | 0/10 | 0/10 | 0/9 |
| severe | 0/10 | 0/10 | 0/10 | 0/10 | 0/10 | 0/10 | 0/10 | 0/10 | 0/10 | 0/9 |
| Grading of Histomorphological Findings | Group | ||||
|---|---|---|---|---|---|
| 0.00 mg/kg | 1.36 mg/kg | 5.44 mg/kg | 21.76 mg/kg | 174.08 mg/kg | |
| normal | 3/10 | 1/10 | 1/10 | 2/10 | 3/9 |
| minimal | 3/10 | 6/10 | 7/10 | 2/10 | 6/9 |
| mild | 4/10 | 3/10 | 2/10 | 6/10 | 0/9 |
| moderate | 0/10 | 0/10 | 0/10 | 0/10 | 0/9 |
| moderately severe | 0/10 | 0/10 | 0/10 | 0/10 | 0/9 |
Publisher’s Note: MDPI stays neutral with regard to jurisdictional claims in published maps and institutional affiliations. |
© 2022 by the authors. Licensee MDPI, Basel, Switzerland. This article is an open access article distributed under the terms and conditions of the Creative Commons Attribution (CC BY) license (https://creativecommons.org/licenses/by/4.0/).
Share and Cite
Qu, J.; Pei, L.; Wang, X.; Fu, S.; Yong, L.; Xiao, X.; Xie, Q.; Fan, B.; Song, Y. Acute and Subchronic Oral Toxicity of Anthraquinone in Sprague Dawley Rats. Int. J. Environ. Res. Public Health 2022, 19, 10413. https://doi.org/10.3390/ijerph191610413
Qu J, Pei L, Wang X, Fu S, Yong L, Xiao X, Xie Q, Fan B, Song Y. Acute and Subchronic Oral Toxicity of Anthraquinone in Sprague Dawley Rats. International Journal of Environmental Research and Public Health. 2022; 19(16):10413. https://doi.org/10.3390/ijerph191610413
Chicago/Turabian StyleQu, Jingjing, Lanjie Pei, Xiangyan Wang, Shaohua Fu, Ling Yong, Xiao Xiao, Qianqian Xie, Bolin Fan, and Yan Song. 2022. "Acute and Subchronic Oral Toxicity of Anthraquinone in Sprague Dawley Rats" International Journal of Environmental Research and Public Health 19, no. 16: 10413. https://doi.org/10.3390/ijerph191610413
APA StyleQu, J., Pei, L., Wang, X., Fu, S., Yong, L., Xiao, X., Xie, Q., Fan, B., & Song, Y. (2022). Acute and Subchronic Oral Toxicity of Anthraquinone in Sprague Dawley Rats. International Journal of Environmental Research and Public Health, 19(16), 10413. https://doi.org/10.3390/ijerph191610413

