Morphological Changes in the Oral Mucous Membrane in Viral Hepatitis C Patients: A Cross-Sectional Study
Abstract
1. Introduction
2. Materials and Methods
2.1. Study Design
2.2. General Setting
2.3. Specific Setting
2.4. Data Collection
2.5. Study of Cytokines in the Oral Fluid
2.6. Morphological Study
2.7. Immunohistochemical Study
2.8. Statistical Analysis
3. Results
3.1. Clinical Examination
3.2. Pro-Inflammatory and Anti-Inflammatory Cytokines
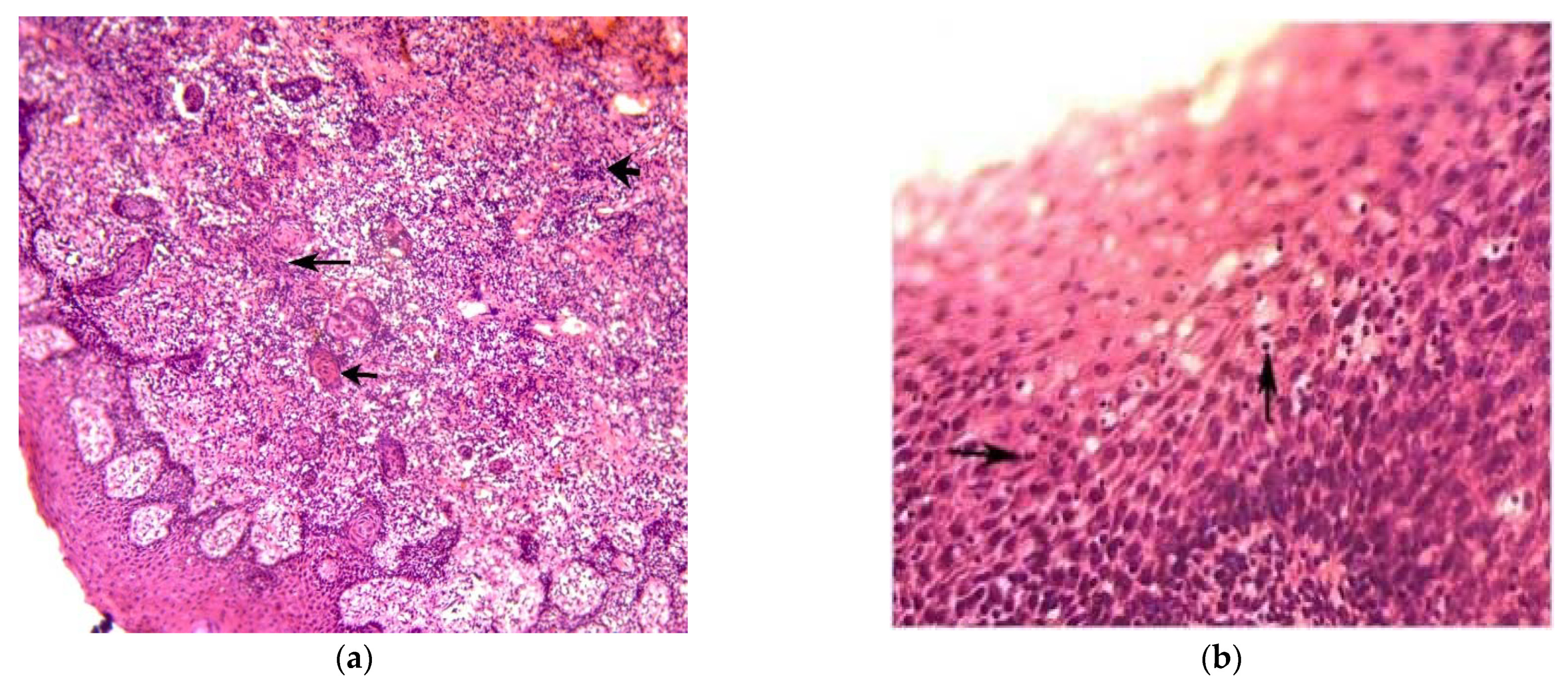
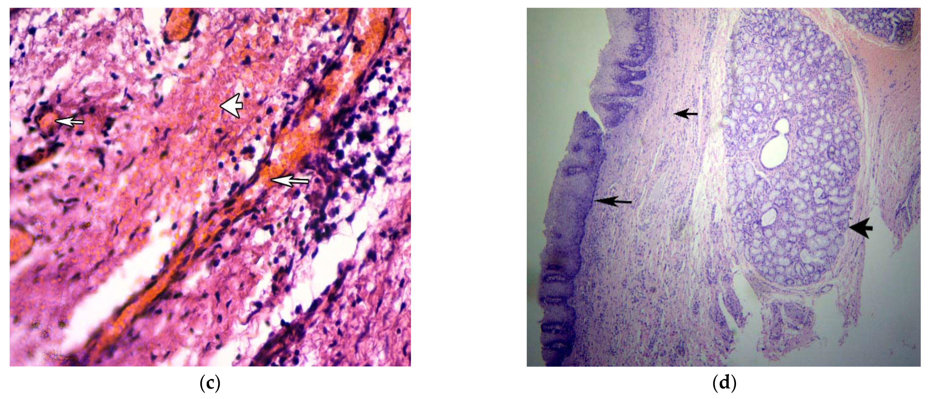
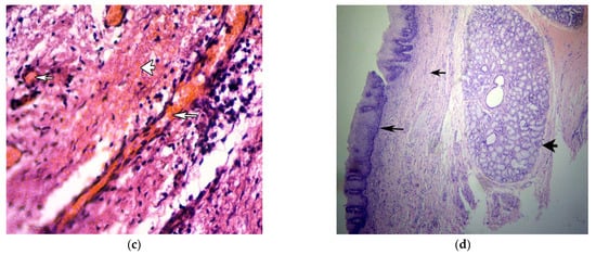
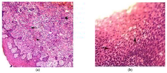
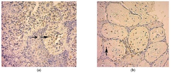
3.3. Pathohistological and Immunohistochemical Study
4. Discussion
5. Conclusions
6. Patents
Author Contributions
Funding
Institutional Review Board Statement
Informed Consent Statement
Data Availability Statement
Acknowledgments
Conflicts of Interest
References
- World Health Organization (WHO). World Hepatitis Alliance. Hepatitis, C. 2021. Available online: https://www.who.int/news-room/fact-sheets/detail/hepatitis-c (accessed on 20 May 2021).
- Cacoub, P.; Poynard, T.; Ghillani, P.; Charlotte, F.; Olivi, M.; Piette, J.C.; Opolon, P. Extrahepatic manifestations of chronic hepatitis C. MULTIVIRC Group. Multidepartment Virus C. Arthritis Rheum. 1999, 42, 2204–2212. [Google Scholar] [CrossRef]
- Kuna, L.; Jakab, J.; Smolic, R.; Wu, G.Y.; Smolic, M. HCV extrahepatic manifestations. J. Clin. Transl. Hepatol. 2019, 7, 172–182. [Google Scholar] [CrossRef] [PubMed]
- Galossi, A.; Guarisco, R.; Bellis, L.; Puoti, C. Extrahepatic manifestations of chronic HCV infection. J. Gastrointestin. Liver Dis. 2007, 16, 65–73. [Google Scholar] [PubMed]
- Nosratzahi, T.; Raiesi, M.; Shahryari, B. Lack of Association between Oral Lichen Planus and Hepatitis B and C Virus Infection —A Report from Southeast Iran. Asian Pac. J. Cancer Prev. 2018, 19, 1633–1637. [Google Scholar] [CrossRef]
- Panov, V.E. Oral manifestations of hepatitis C virus. J. IMAB. 2013, 19, 377–379. [Google Scholar] [CrossRef][Green Version]
- Tenório, J.R.; de Camargo, A.R.; Lemos, C.; Ortega, K.L. Oral lichen planus and HCV infection. Autops. Case Rep. 2020, 10, e2020210. [Google Scholar] [CrossRef]
- Alaizari, N.A.; Al-Maweri, S.A.; Al-Shamiri, H.A.; Tarakji, B.; Shugaa-Addin, B. Hepatitis C virus infections in oral lichen planus: A systematic review and meta-analysis. Aust. Dent. J. 2016, 61, 282–287. [Google Scholar] [CrossRef]
- Barsetto, D.; Fussey, J.; Fabris, L.; Bandolin, L.; Gandioso, P.; Phillips, V.; Polesel, J.; Boscolo-Rizzo, P. HCV infection and the risk of head and neck cancer: A meta-analysis. Oral Oncol. 2020, 109, 104869. [Google Scholar] [CrossRef]
- Dedania, B.; Wu, G.Y. Dermatologic extrahepatic manifestations of hepatitis C. J. Clin. Ttransl. Hepatol. 2015, 3, 127–133. [Google Scholar] [CrossRef][Green Version]
- Ribeiro, C.R.A.; de Almeida, N.A.A.; Martinelli, K.G.; Pires, M.A.; Brandao Mello, C.E.; Barros, J.J.; de Paula, V.S. Cytokine profile during occult hepatitis B virus infection in chronic hepatitis C patients. Virol. J. 2021, 18, 15. [Google Scholar] [CrossRef]
- Elbatae, H.; Abdel-Razik, A.; Mousa, E.; Elshenaway, M. Periodontal disease as predictor of chronic liver diseases. Med. J. Viral Hepat. 2020, 4, 57–61. [Google Scholar] [CrossRef]
- Gheorghe, D.N.; Foia, L.; Toma, V.; Surdu, A.; Herascu, E.; Popescu, D.M.; Surlin, P.; Vere, C.C.; Rogoveanu, I. Hepatitis C infection and periodontal disease: Is there a common immunological link? J. Immunol. Res. 2018, 2018, 8720101. [Google Scholar] [CrossRef] [PubMed]
- Castera, L.; Bedossa, P. How to assess liver fibrosis in chronic hepatitis C: Serum markers or transient elastography vs. liver biopsy? Liver Int. 2011, 31, 13–17. [Google Scholar] [CrossRef] [PubMed]
- Studdiford, J.; Lamb, K.; Stonehouse, A. Evaluating edema of the hands. J. Musculoskel. Med. 2009, 26, 30–36. [Google Scholar]
- Liu, L.; Zhang, M.; Hang, L.; Kong, F.; Yan, H.; Zhang, Y.; Feng, X.; Gao, Y.; Wang, C.; Ma, H.; et al. Evaluation of a new point-of-care oral anti-HCV test for screening of hepatitis C virus infection. Virol. J. 2020, 17, 14. [Google Scholar] [CrossRef]
- Rahmet, G.; Tufan, Z.K. Telaprevir use in a chronic hepatitis C patient with hemophilia. Eur. J. Gastroenterol. Hepatol. 2014, 26, 248. [Google Scholar] [CrossRef]
- Nagao, Y.; Kawahigashi, Y.; Sata, M. Association of periodontal diseases and liver fibrosis in patients with HCV and/or HBV infection. Hepat. Mon. 2014, 14, e23264. [Google Scholar] [CrossRef]
- Surlin, P.; Gheorghe, D.N.; Foia, L.; Surdu, A.; Rogoveanu, I. Hepatitis C—From Infection to Cure. In Periodontal Implications of Hepatitis C Infection; IntechOpen: London, UK, 2018. [Google Scholar] [CrossRef]
- Qadwai, S.; Rehman, T.; Barsa, J.; Solangi, Z.; Lebovics, E. Hepatitis C Virus and Nonliver Solid Cancers: Is There an Association between HCV and Cancers of the Pancreas, Thyroid, Kidney, Oral Cavity, Breast, Lung, and Gastrointestinal Tract? Gastroenterol. Res. Pract. 2017, 2017, 8349150. [Google Scholar] [CrossRef]
- Sosa-Jurado, F.; Hermánder-Galindo, V.L.; Meléndez-Mena, D.; Mendoza-Torres, M.A.; Martinez-Arroniz, F.J.; Vallejo-Ruiz, V.; Reyes-Leyva, J.; Santos-López, G. Detection of hepatitis C virus RNA in saliva of patients with active infection not associated with periodontal or liver disease severity. BMC Infect. Dis. 2014, 14, 72. [Google Scholar] [CrossRef]
- Silva, N.; Abusleme, L.; Bravo, D.; Dutzan, N.; Garcia-Sesnich, J.; Vernal, R.; Hernánder, M.; Gamonal, J. Host response mechanisms in periodontal diseases. J. Appl. Oral Sci. 2015, 23, 329–355. [Google Scholar] [CrossRef]
- Arab, J.P.; Vargas, J.I.; Morales, C.; Arrese, M. Black hairy tongue during interferon therapy for hepatitis C. Ann. Hepatol. 2015, 14, 414–415. [Google Scholar] [CrossRef]
- Marcoval, J.; Notario, J.; Martín, C.; Gomez, S. Oral hyperpigmentation associated with interferon-alpha and ribavirin therapy for hepatitis C virus infection. Actas Dermosifiliogr. 2014, 105, 211–212. [Google Scholar] [CrossRef] [PubMed]
- Romano, C.; Cuoma, G.; Ferrara, R.; Del Mastro, A.; Esposito, S.; Sellitto, A.; Adinolfi, L.E. Uncommon immune-mediated extrahepatic manifestations of HCV infection. Expert Rev. Clin. Immunol. 2018, 14, 1089–1099. [Google Scholar] [CrossRef]
- Gupta, S.; Jawanda, M.K. Oral lichen planus: An update on etiology, pathogenesis, clinical presentation, diagnosis and management. Indian J. Derm. 2015, 60, 222–229. [Google Scholar] [CrossRef]
- Hasturk, H.; Kantarci, A.; Van Dyke, T.E. Oral inflammatory diseases and systemic inflammation: Role of the macrophage. Front. Immunol. 2012, 3, 118. [Google Scholar] [CrossRef]
- Carrozzo, M.; Scally, K. Oral manifestations of hepatitis C virus infection. World J. Gastroenterol. 2014, 20, 7534–7543. [Google Scholar] [CrossRef]
- Sichkoriz, H.A.; Minko, L.Y. Changes in physical and chemical properties of oral fluid in patients with periodontal diseases in the settings of chronic hepatitis C during antiviral therapy. Ukr. Dent. Alm. 2016, 1, 13–17. [Google Scholar]
- Ruhl, S.; Hamberger, S.; Betz, R.; Sukkar, T.; Schmalz, G.; Seymour, J.M.; Hiller, K.A.; Thomason, J.M. Salivary proteins and cytokines in drug-induced gingival overgrowth. J. Dent. Res. 2004, 83, 322–326. [Google Scholar] [CrossRef]
- Teles, R.P.; Likhari, V.; Socransky, S.S.; Haffajee, A.D. Salivary cytokine levels in subjects with chronic periodontitis and in periodontally healthy individuals: A cross-sectional study. J. Periodontal Res. 2009, 44, 411–417. [Google Scholar] [CrossRef]
- MacParland, S.A.; Chen, A.Y.; Corkum, C.P.; Pham, T.N.Q. Patient-derived hepatitis C virus inhibits CD4+ but not CD8+ T lymphocyte proliferation in primary T cells. Virol. J. 2015, 12, 93. [Google Scholar] [CrossRef]
- Mele, D.; Mantovani, S.; Oliviero, B.; Grossi, G.; Ludovisi, S.; Mondelli, M.U.; Varcheta, S. Hepatitis C virus inhibits CD4 T cell function via binding to Toll-like receptor 7. Antiviral. Res. 2017, 137, 108–111. [Google Scholar] [CrossRef] [PubMed]
- Huang, Y.; Zheng, M.J.; Xu, Y.H. Analysis of the relationship between peripheral blood T lymphocyte subsets and HCV RNA levels in patients with chronic hepatitis C. Genet. Mol. Res. 2015, 14, 10057–10063. [Google Scholar] [CrossRef] [PubMed]
- Skardasi, G.; Chen, A.Y.; Michalak, T.I. Authentic patient-derived hepatitis C virus infects and productively replicates in primary CD4+ and CD8+ T lymphocytes in vitro. J. Virol. 2018, 92, e01790-17. [Google Scholar] [CrossRef]
- Kokordelis, P.; Krämer, B.; Boesecke, C.; Voigt, E.; Ingiliz, P.; Glässner, A.; Wolter, F.; Srassburg, C.P.; Splengler, U.; Rockstroh, J.K.; et al. CD3 (+) CD56 (+) natural killer-like T cells display anti-HCV activity but are functionally impaired in HIV (+) patients with acute hepatitis C. J. Acquir Immune Defic. Syndr. 2015, 70, 338–346. [Google Scholar] [CrossRef]
- Cekici, A.; Kantarci, A.; Hasturk, H.; Van Dyke, T. Inflammatory and immune pathways in the pathogenesis of periodontal disease. Periodontol. 2000 2014, 64, 57–80. [Google Scholar] [CrossRef] [PubMed]
- Cozzani, E.; Herzum, A.; Burlando, M.; Parodi, A. Cutaneous manifestations of HAV, HBV, HCV. Ital. J. Dermatol. Venerol. 2021, 156, 5–12. [Google Scholar] [CrossRef] [PubMed]
- Tang, L.; Marcell, L.; Kottilil, S. Systemic manifestations of hepatitis C infection. Infect. Agent Cancer 2016, 11, 29. [Google Scholar] [CrossRef]
- Stadler, A.F.; Angst, P.D.; Arce, R.M. Gindival crevicular fluid levels of cytokines/chemokines in chronic periodontitis: A meta-analysis. J. Clin. Periodontal. 2016, 43, 727–745. [Google Scholar] [CrossRef]
- Mendez, M.; Haas, A.N.; Rados, P.V.; Filho, M.S.; Carrard, V.C. Agreement between clinical and histopathologic diagnoses and completeness of oral biopsy forms. Braz. Oral Res. 2016, 30, e94. [Google Scholar] [CrossRef]
- Azevedo, A.S.; Monteiro, L.S.; Ferreira, F.; Delgado, M.L.; Garcês, F.; Carreira, S.; Martins, M.; Suarez-Quintanilla, J. In vitro histological evaluation of the surgical margins made by diff erent laser wavelengths in tongue tissues. J. Clin. Exp. Dent. 2016, 8, e388–e396. [Google Scholar] [CrossRef]
- Sanchez-Quevedo, M.C.; Alaminos, M.; Capitan, L.M.; Moreu, G.; Garzon, I.; Crespo, P.V.; Campos, A. Histological and histochemical evaluation of human oral mucosa constructs developed by tissue engineering. Histol. Histopathol. 2007, 22, 631–640. [Google Scholar] [CrossRef] [PubMed]
- Dara, M.; Boom, M.; Van Den Hasanova, S.; Mkrtchyan, Z. Extensive Review of Tuberculosis Prevention, Control and Care in Armenia. WHO Report. 2013. Available online: https://www.euro.who.int/en/countries/armenia/publications/extensive-review-of-tuberculosis-prevention,-control-and-care-in-armenia-1725-july-2014-2015 (accessed on 20 May 2022).
- The World Bank. Armenia Overview. 2020. Available online: https://www.worldbank.org/en/country/armenia/overview#1 (accessed on 20 May 2022).
- Ghazinyan, H.; Melik-Andreasyan, G.; Asoyan, A.; Mkhitaryan, A. Markers of hepatitis B and C viruses among population in Armenia. Hepatol. Int. 2014, 8, 157. [Google Scholar]
- Sahakyan, G.; Grigoryan, S.; Wasley, A.; Mosina, L.; Sargsyan, S.; Asoyan, A.; Gevorgyan, Z.; Kocharyan, K.; Avagyan, T.; Lopman, B.; et al. Impact and Effectiveness of Monovalent Rotavirus Vaccine in Armenian Children. Clin. Infect. Dis. 2016, 62, S147–S154. [Google Scholar] [CrossRef] [PubMed]
- World Health Organization (WHO). Guidelines on Hepatitis B and C Testing. February 2017. Available online: https://apps.who.int/iris/bitstream/handle/10665/254621/9789241549981%E2%80%90eng.pdf?sequence=1 (accessed on 19 July 2022).
- Borovski, Y.V. Terapevticheskaya Stomatologia [Therapeutic Stomatology]; Meditsinskoye Informatsionnoye Agentstvo: Moscow, Russia, 2003. [Google Scholar]
- World Health Organization (WHO). Classification of Tumours. Pathology and Genetics of Head and Neck Tumours. 2005. Available online: https://screening.iarc.fr/doc/BB9.pdf (accessed on 19 July 2022).
- Helenius-Hietala, J.; Ruokonen, H.; Grönroos, L.; Rissanen, H.; Vehkalahti, M.M.; Suominen, L.; Isoniemi, H.; Meurman, J.H. Oral mucosal health in liver transplant recipients and controls. Liver Transpl. 2014, 20, 72–80. [Google Scholar] [CrossRef] [PubMed]
- Azatyan, V.; Yessayan, L.; Khachatryan, A.; Perikhanyan, A.; Hovhannisyan, A.; Shmavonyan, M.; Ghazinyan, H.; Gish, R.; Melik-Andreasyan, G.; Porksheyan, K. Assessment of pathomorphological characteristics of the oral mucosa in patients with HBV, HCV and HIV. J. Infect. Dev. Ctries. 2021, 15, 1761–1765. [Google Scholar] [CrossRef]
- Coll, J.; Ganbus, G.; Corominas, J.; Tomas, S.; Esteban, J.I.; Guardia, J. Immunohistochemistry of minor salivary gland biopsy specimens from patients with Sjögren’s syndrome with and without hepatitis C virus infection. Ann. Rheum. Dis. 1997, 56, 390–392. [Google Scholar] [CrossRef]
- Caldeira, P.C.; e Silva, K.R.O.; Vidigal, P.V.T.; Grossmann, S.D.M.C.; do Carmo, M.A.V. Inflammatory cells in minor salivary glands of patients with chronic hepatitis C: Immunophenotype, pattern of distribution, and comparison with liver samples. Hum. Immunol. 2014, 75, 422–427. [Google Scholar] [CrossRef]




| Sign | Non-HCV n = 100 | HCV n = 96 | p-Value * | ||
|---|---|---|---|---|---|
| Absolute Number | % | Absolute Number | % | ||
| Erosion on the lips | <0.001 | ||||
| No | 99 | 99 | 83 | 86.5 | |
| Yes | 1 | 1 | 13 | 13.5 | |
| Cracks in the corners of the mouth | <0.001 | ||||
| No | 99 | 99 | 55 | 57.3 | |
| Yes | 1 | 1 | 41 | 42.7 | |
| Changes in the oral mucosa membrane surface | <0.001 | ||||
| No | 97 | 97 | 10 | 10.4 | |
| Yes | 3 | 3 | 86 | 89.6 | |
| Hemorrhages on the buccal mucosa and the hard palate | <0.001 | ||||
| No | 100 | 100 | 21 | 21.9 | |
| Yes | 0 | 0 | 75 | 78.1 | |
| Telangiectasias on the buccal mucosa | <0.001 | ||||
| No | 100 | 100 | 31 | 32.3 | |
| Yes | 0 | 0 | 65 | 67.7 | |
| Coated tongue | <0.001 | ||||
| No | 100 | 100 | 6 | 6.2 | |
| Yes | 0 | 0 | 90 | 93.8 | |
| Foci of epithelial desquamation on the surface of the tongue | <0.001 | ||||
| No | 100 | 100 | 36 | 37.5 | |
| Yes | 0 | 0 | 60 | 62.5 | |
| Cytokines | Non-HCV (n = 30) | HCV (n = 45) | Odds Ratio | 95% CI | p Value * |
|---|---|---|---|---|---|
| IL2 | 2.83 ± 5.67 | 25.99 ± 17.86 | −23.17 | [−28.89; −17.44] | <0.001 |
| IL10 | 0.94 ± 1.33 | 3.63 ± 6.58 | −2.69 | [−4.72; −0.66] | 0.0267 |
| IL4 | 14.29 ± 26.11 | 0.2 ± 0.79 | 14.09 | [4.34; 23.84] | <0.001 |
| ɤ-INF | 0.72 ± 3.04 | 2.46 ± 6.52 | −1.74 | [−3.98; 0.49] | 0.113 |
Publisher’s Note: MDPI stays neutral with regard to jurisdictional claims in published maps and institutional affiliations. |
© 2022 by the authors. Licensee MDPI, Basel, Switzerland. This article is an open access article distributed under the terms and conditions of the Creative Commons Attribution (CC BY) license (https://creativecommons.org/licenses/by/4.0/).
Share and Cite
Azatyan, V.; Yessayan, L.; Sargsyan, A.; Khachatryan, A.; Ghevondyan, T.; Shmavonyan, M.; Melik-Andreasyan, G.; Porksheyan, K.; Manrikyan, M. Morphological Changes in the Oral Mucous Membrane in Viral Hepatitis C Patients: A Cross-Sectional Study. Int. J. Environ. Res. Public Health 2022, 19, 9003. https://doi.org/10.3390/ijerph19159003
Azatyan V, Yessayan L, Sargsyan A, Khachatryan A, Ghevondyan T, Shmavonyan M, Melik-Andreasyan G, Porksheyan K, Manrikyan M. Morphological Changes in the Oral Mucous Membrane in Viral Hepatitis C Patients: A Cross-Sectional Study. International Journal of Environmental Research and Public Health. 2022; 19(15):9003. https://doi.org/10.3390/ijerph19159003
Chicago/Turabian StyleAzatyan, Vahe, Lazar Yessayan, Aelita Sargsyan, Anna Khachatryan, Tigran Ghevondyan, Melanya Shmavonyan, Gayane Melik-Andreasyan, Kristina Porksheyan, and Mikael Manrikyan. 2022. "Morphological Changes in the Oral Mucous Membrane in Viral Hepatitis C Patients: A Cross-Sectional Study" International Journal of Environmental Research and Public Health 19, no. 15: 9003. https://doi.org/10.3390/ijerph19159003
APA StyleAzatyan, V., Yessayan, L., Sargsyan, A., Khachatryan, A., Ghevondyan, T., Shmavonyan, M., Melik-Andreasyan, G., Porksheyan, K., & Manrikyan, M. (2022). Morphological Changes in the Oral Mucous Membrane in Viral Hepatitis C Patients: A Cross-Sectional Study. International Journal of Environmental Research and Public Health, 19(15), 9003. https://doi.org/10.3390/ijerph19159003

