Evaluation of Physiotherapy Impact on Neuromuscular Tension in Analog Astronauts at the LunAres Habitat
Abstract
:1. Introduction
2. Materials and Methods
- -
- No access to the sunlight (time of the day was simulated with artificial lighting only);
- -
- Strict prohibition to leaving the facility during the 14-day mission;
- -
- Contact with an external environment limited to an absolute emergency;
- -
- Experiencing decreased physical activity.
- -
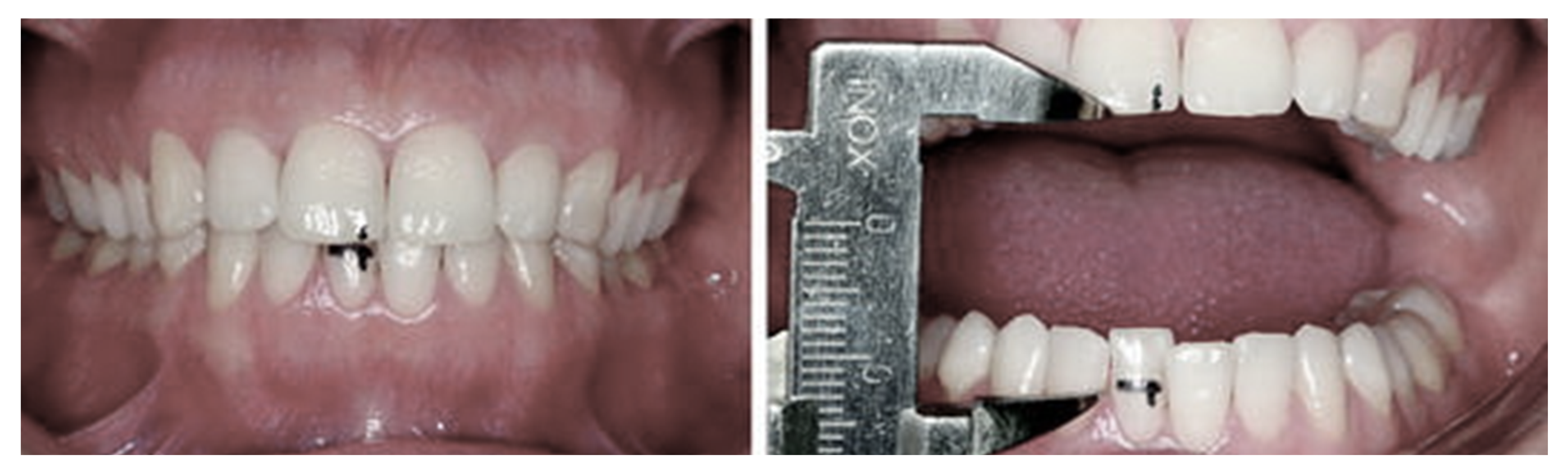
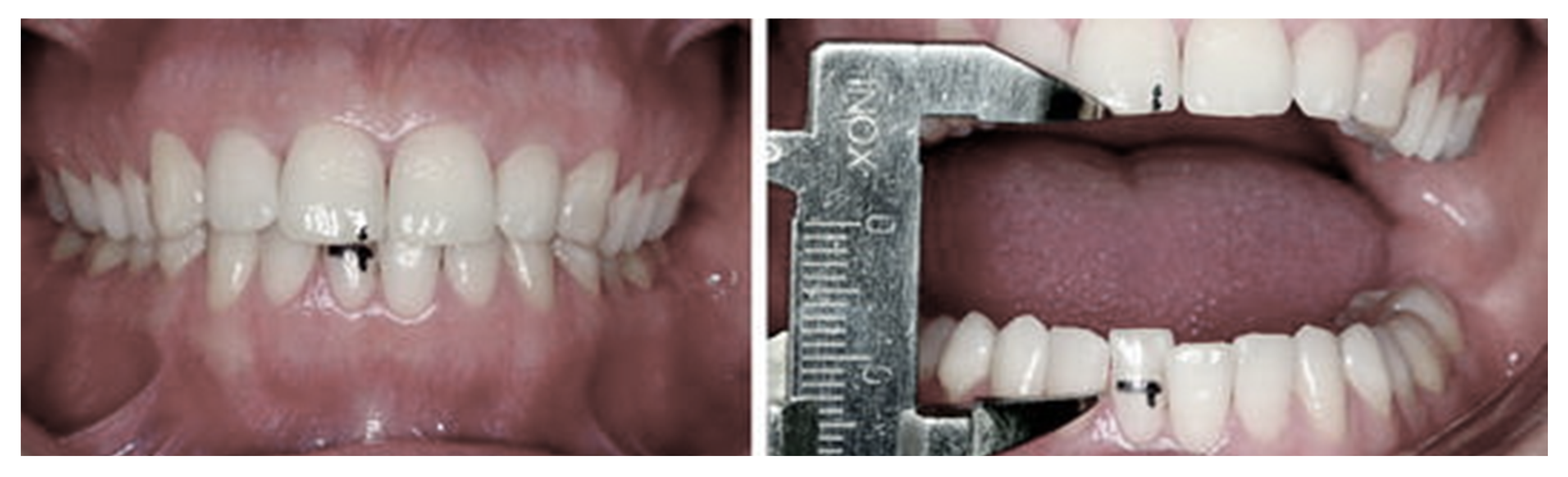
- Test group: maximal mandibular abduction measurements of AA who received TrPt during their mission.
- -
- Control group: maximal mandibular abduction measurements of AA who did not receive TrPt.
3. Results
Summary of the Results
- TrPt enhanced the scope of mandibular abduction in all AA of the test group.
- In the group of AA not receiving TrPt, no increased mandible abduction range was observed.
- The observed change in the mandibular abduction range in the study group was greater than in the control group.
- Based on risk assessment of TMD and diagnostic guidelines for temporomandibular disorders in children and adolescents of the American Academy of Family Physicians and American Academy of Pediatric Dentistry included in the SZOPPDP© card, AA with a high, medium, or low risk of TMD were diagnosed, and prophylactic and therapeutic recommendations were given accordingly.
4. Discussion
5. Conclusions
- Manual TrPt effectively decreases neuromuscular tension of the masseter muscle, which results in an increased mandibular abduction range of the AA.
- Observations concluded in LunAres Research Station regarding stress-related neuromuscular tension can help identify effective therapeutic methods in circumstances of social isolation.
- The research should be continued and confirmed on a greater number of cases, as well as on a different group of patients subjected to stressful situations affecting neuromuscular tension.
- The integrated dental examination card SZOPPDP© was recognized as a useful tool for conducting a comprehensive dental diagnosis and qualifying stomatognathic high-risk groups to create personalized recommendations for each of the tested subjects.
Author Contributions
Funding
Institutional Review Board Statement
Informed Consent Statement
Data Availability Statement
Conflicts of Interest
References
- Bakke, M.; Tuxen, A.; Thomsen, C.E.; Bardow, A.; Alkjaer, T.; Jensen, B.R. Salivary cortisol level, salivary flow rate, and masticatory muscle activity in response to acute mental stress: A comparison between aged and young women. Gerontology 2004, 50, 383–392. [Google Scholar] [CrossRef] [PubMed]
- Zetterman, T.; Markkula, R.; Partanen, J.V.; Miettinen, T.; Estlander, A.M.; Kalso, E. Muscle activity and acute stress in fibromyalgia. BMC Musculoskelet. Disord. 2021, 22, 183. [Google Scholar] [CrossRef] [PubMed]
- Rissén, D.; Melin, B.; Sandsjö, L.; Dohns, I.; Lundberg, U. Surface EMG and psychophysiological stress reactions in women during repetitive work. Eur. J. Appl. Physiol. 2000, 83, 215–222. [Google Scholar] [CrossRef] [PubMed]
- Lundberg, U.; Kadefors, R.; Melin, B. Psychophysiological stress and emg activity of the trapezius muscle. Int. J. Behav. Med. 1994, 1, 354–370. [Google Scholar] [CrossRef] [PubMed]
- Gronwald, B.J.; Kijak, K.; Jezierska, K.; Gronwald, H.A.; Kosko, K.; Matuszczak, M.; Bielawska-Victorini, H.B.; Podraza, W.; Orzechowski, L.; Lietz-Kijak, D. Influence of Freeze-Dried Diet on Oral Hygiene Indicators in Strict Isolation Condition of an Analog Space Mission. Int. J. Environ. Res. 2022, 19, 1367. [Google Scholar] [CrossRef] [PubMed]
- Bron, C.; Dommerholt, J.D. Etiology of myofascial trigger points. Curr. Pain Headache Rep. 2012, 16, 439–444. [Google Scholar] [CrossRef] [PubMed] [Green Version]
- Simons, D.G.; Travell, J.G.; Simons, L.S. Myofascial Pain and Dysfunction: The Trigger Point Manual; Lippincott Williams & Wilkins: Baltimore, MD, USA, 2005; Volume 1. [Google Scholar]
- Rodríguez-Jiménez, J.; Ortega-Santiago, R.; Bonilla-Barba, L.; Falla, D.; Fernández-de-Las-Peñas, C.; Florencio, L.L. Immediate Effects of Dry Needing or Manual Pressure Release of Upper Trapezius Trigger Points on Muscle Activity during the Cranio-Cervical Flexion Test in People with Chronic Neck Pain: A Randomized Clinical Trial. Pain Med. 2022; pnac034, published online ahead of print. [Google Scholar] [CrossRef]
- Okada-Ogawa, A.; Sekine, N.; Watanabe, K.; Kohashi, R.; Asano, S.; Iwata, K.; Imamura, Y. Change in muscle hardness after trigger point injection and physiotherapy for myofascial pain syndrome. J. Oral Sci. 2019, 61, 36–44. [Google Scholar] [CrossRef] [PubMed] [Green Version]
- Reiter, S.; Goldsmith, C.; Emodi-Perlman, A.; Friedman-Rubin, P.; Winocur, E. Masticatory muscle disorders diagnostic criteria, the american academy of orofacial pain versus the research diagnostic criteria/temporomandibular disorders (RDC/TMD). J. Oral Rehabil. 2012, 39, 941–947. [Google Scholar] [CrossRef] [PubMed]
- Chisnoiu, A.M.; Picos, A.M.; Popa, S.; Chisnoiu, P.D.; Lascu, L.; Picos, A.; Chisnoiu, R. Factors involved in the etiology of temporomandibular disorders—A literature review. Clujul Med. 2015, 88, 473–478. [Google Scholar] [CrossRef] [PubMed]
- Lundberg, U.; Dohns, I.E.; Melin, B. Psychophysiological stress responses, muscle tension, and neck and shoulder pain among supermarket cashiers. J. Occup. Health Psychol. 1999, 4, 245–255. [Google Scholar] [CrossRef] [PubMed]
- Ginszt, M.; Zieliński, G.; Berger, M.; Szkutnik, J.; Bakalczuk, M.; Majcher, P. Acute Effect of the Compression Technique on the Electromyographic Activity of the Masticatory Muscles and Mouth Opening in Subjects with Active Myofascial Trigger Points. Appl. Sci. 2020, 10, 7750. [Google Scholar] [CrossRef]
- Menzel, N.N. Psychosocial factors in musculoskeletal disorders. Crit. Care Nurs. Clin. N. Am. 2007, 19, 145–153. [Google Scholar] [CrossRef] [PubMed]
- Westgaard, R.H.; Vasseljen, O.; Holte, K.A. Trapezius muscle activity as a risk indicator for shoulder and neck pain in female service workers with low biomechanical exposure. Ergonomics 2001, 44, 339–353. [Google Scholar] [CrossRef] [PubMed]
- Holte, K.A.; Westgaard, R.H. Daytime trapezius muscle activity and shoulder-neck pain of service workers with work stress and low biomechanical exposure. Am. J. Ind. Med. 2002, 41, 393–405. [Google Scholar] [CrossRef] [PubMed]
- Shah, J.P.; Thaker, N.; Heimur, J.; Aredo, J.V.; Sikdar, S.; Gerber, L. Myofascial Trigger Points Then and Now: A Historical and Scientific Perspective. PM&R 2015, 7, 746–761. [Google Scholar] [CrossRef] [Green Version]
- Vazquez-Delgado, E.; Cascos-Romero, J.; Gay-Escoda, C. Myofacial pain associated to trigger points: A literature review. Part 2: Differential diagnosis and treatment. Med. Oral Patol. Cir. Bucal. 2010, 15, 639–643. [Google Scholar] [CrossRef] [PubMed] [Green Version]
- Westgaard, R.H. Effects of physical and mental stressors on muscle pain. Scand. J. Work Environ. Health 1999, 25 (Suppl. 4), 19–24. [Google Scholar] [PubMed]
- Yang, Z.; Luo, Y.; Zhou, Q.; Chen, F.; Xu, Z.; Ke, L.; Wang, Y. COVID-19-related stressors and depression in Chinese adolescents: The effects of life history strategies and gender. J. Affect. Disord. 2022, 304, 122–127. [Google Scholar] [CrossRef] [PubMed]







| Variables | Test Group | Control Group |
|---|---|---|
| Number of AA | 5 | 5 |
| Age (range) | 24–32 | 23–34 |
| Gender (F/M) | 2F/3M | 2F/3M |
| Education (elementary/secondary/higher) | Higher (all participants) | Higher (all participants) |
| Experience of participating in similar missions (number of AA/5 AA) | 2/5 | 2/5 |
| AA—Test Group (AAT) | AA1 (mm) | AA2 (mm) | AA3 (mm) | AA4 (mm) | AA5 (mm) | Mean (mm) | Standard Deviation |
|---|---|---|---|---|---|---|---|
| Beginning of the mission | 52.77 | 36.16 | 50.41 | 42.09 | 58.88 | 48.06 | 8.97 |
| End of the mission | 57.68 | 40.12 | 55.29 | 45.31 | 67.36 | 53.15 | 10.70 |
| Abduction change after TrPt | 4.91 | 3.96 | 4.88 | 3.22 | 8.48 | 5.09 | 5.13 |
| AA—Control Group (AAC) | AA1 (mm) | AA2 (mm) | AA3 (mm) | AA4 (mm) | AA5 (mm) | Mean (mm) | Standard Deviation |
|---|---|---|---|---|---|---|---|
| Beginning of the mission | 44.66 | 59.21 | 46.08 | 62.22 | 55.88 | 53.61 | 7.87 |
| End of the mission | 46.79 | 58.45 | 54.39 | 63.00 | 57.00 | 55.93 | 5.99 |
| Abduction change without TrPt | 2.13 | −0.76 | 8.31 | 0.78 | 1.12 | 2.32 | 2.35 |
| Statistical Analysis | Normal Distribution | Paired t-Test | Welch Two Sample t-Test | |
|---|---|---|---|---|
| p-Value | p-Value | p-Value | ||
| AAT | (X1) Beginning | 0.8783 | (x1 vs. y1) 0.004894 | (x1 vs. x2) 0.3294 |
| (Y1) End | 0.8792 | |||
| AAC | (X2) Beginning | 0.3571 | (x2 vs. y2) 0.2139 | (y1 vs. y2) 0.6303 |
| (Y2) End | 0.8318 | |||
| TMD Diagnosed | Number of Participants |
|---|---|
| High risk | 6 |
| Medium risk | 2 |
| Low risk | 2 |
Publisher’s Note: MDPI stays neutral with regard to jurisdictional claims in published maps and institutional affiliations. |
© 2022 by the authors. Licensee MDPI, Basel, Switzerland. This article is an open access article distributed under the terms and conditions of the Creative Commons Attribution (CC BY) license (https://creativecommons.org/licenses/by/4.0/).
Share and Cite
Gronwald, B.; Kijak, K.; Baszuk, P.; Lietz-Kijak, D.; Kosko, K.; Matuszczak, M.; Skomro, P.; Bielawska-Victorini, H.; Orzechowski, L.; Mintus, A.; et al. Evaluation of Physiotherapy Impact on Neuromuscular Tension in Analog Astronauts at the LunAres Habitat. Int. J. Environ. Res. Public Health 2022, 19, 6888. https://doi.org/10.3390/ijerph19116888
Gronwald B, Kijak K, Baszuk P, Lietz-Kijak D, Kosko K, Matuszczak M, Skomro P, Bielawska-Victorini H, Orzechowski L, Mintus A, et al. Evaluation of Physiotherapy Impact on Neuromuscular Tension in Analog Astronauts at the LunAres Habitat. International Journal of Environmental Research and Public Health. 2022; 19(11):6888. https://doi.org/10.3390/ijerph19116888
Chicago/Turabian StyleGronwald, Barbara, Karina Kijak, Piotr Baszuk, Danuta Lietz-Kijak, Kamil Kosko, Mikołaj Matuszczak, Piotr Skomro, Hanna Bielawska-Victorini, Leszek Orzechowski, Agata Mintus, and et al. 2022. "Evaluation of Physiotherapy Impact on Neuromuscular Tension in Analog Astronauts at the LunAres Habitat" International Journal of Environmental Research and Public Health 19, no. 11: 6888. https://doi.org/10.3390/ijerph19116888
APA StyleGronwald, B., Kijak, K., Baszuk, P., Lietz-Kijak, D., Kosko, K., Matuszczak, M., Skomro, P., Bielawska-Victorini, H., Orzechowski, L., Mintus, A., & Gronwald, H. (2022). Evaluation of Physiotherapy Impact on Neuromuscular Tension in Analog Astronauts at the LunAres Habitat. International Journal of Environmental Research and Public Health, 19(11), 6888. https://doi.org/10.3390/ijerph19116888

