Severe Suicidality in Athletes with Chronic Traumatic Encephalopathy: A Case Series and Overview on Putative Ethiopathogenetic Mechanisms
Abstract
1. Introduction
2. Case Studies
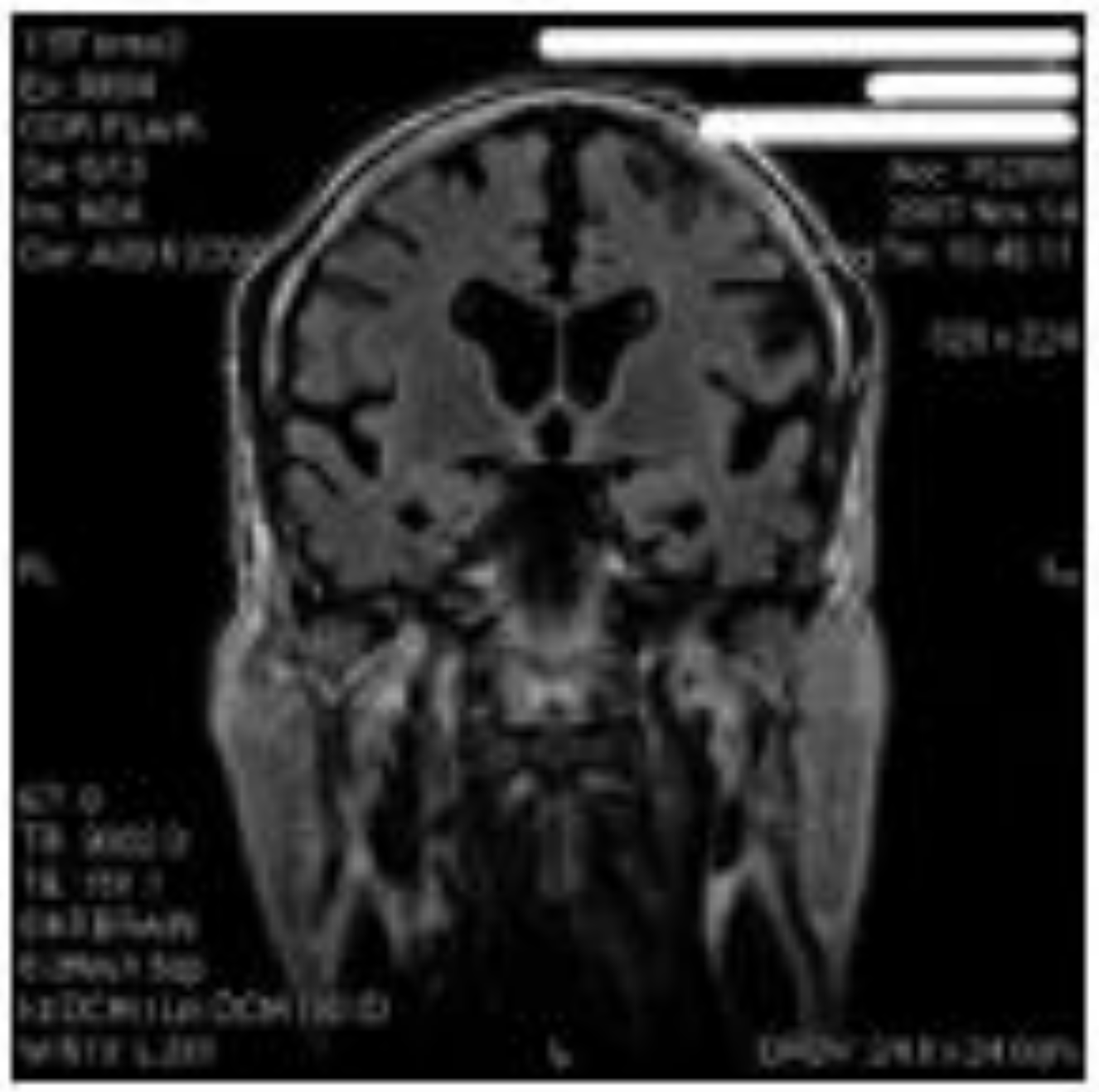
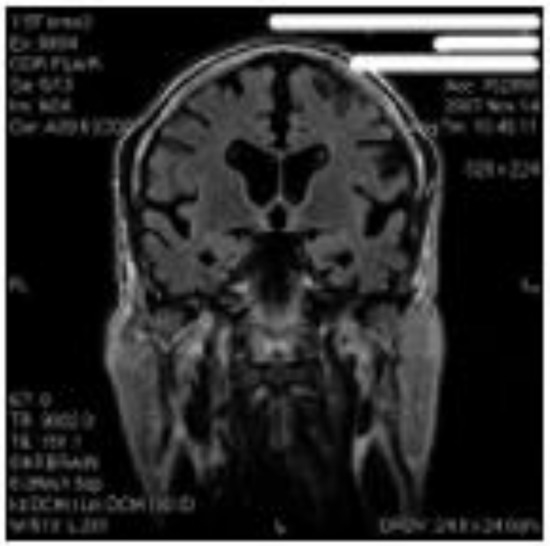
2.1. Case 1
2.2. Case 2
3. Discussion
3.1. Neurobiological Hypotheses for the Development of Suicidality in CTE
3.2. Psychiatric and Psychosocial Hypotheses for Suicidality Etiology in CTE
4. Limitations
5. Conclusions
Author Contributions
Funding
Institutional Review Board Statement
Informed Consent Statement
Data Availability Statement
Acknowledgments
Conflicts of Interest
References
- Reddy, C.C.; Collins, M.W. Sports concussion: Management and predictors of outcome. Curr. Sports Med. Rep. 2009, 8, 10–15. [Google Scholar] [CrossRef]
- Guskiewicz, K.M.; McCrea, M.; Marshall, S.W.; Cantu, R.C.; Randolph, C.; Barr, W.; Onate, J.A.; Kelly, J.P. Cumulative effects associated with recurrent concussion in collegiate football players: The NCAA Concussion Study. JAMA 2003, 290, 2549–2555. [Google Scholar] [CrossRef]
- Sercl, M.; Jaros, O. [Mechanisms of closed head injuries in boxers and their sequelae]. Rozhl. Chir. 1962, 41, 597–600. [Google Scholar] [PubMed]
- Lim, L.J.; Ho, R.; Ho, C.S. Dangers of mixed martial arts in the development of chronic traumatic encephalopathy. Int. J. Environ. Res. Public Health 2019, 16, 254. [Google Scholar] [CrossRef]
- Benson, B.W.; Rose, M.S.; Meeuwisse, W.H. The impact of face shield use on concussions in ice hockey: A multivariate analysis. Br. J. Sports Med. 2002, 36, 27–32. [Google Scholar] [CrossRef]
- Wennberg, R.A.; Cohen, H.B.; Walker, S.R. Neurologic injuries in hockey. Neurol. Clin. 2008, 26, 243–245. [Google Scholar] [CrossRef]
- Martland, H.S. Punch Drunk. JAMA 1928, 91, 1103–1107. [Google Scholar] [CrossRef]
- Millspaugh, J.A. Dementia pugilistica. US Nav. Med. Bull. 1937, 35, 297–303. [Google Scholar]
- Daly, P.J.; Sim, F.H.; Simonet, W.T. Ice Hockey Injuries. Sports Med. 1990, 10, 122–131. [Google Scholar] [CrossRef]
- Purdy, A. The Collected Poems of Al Purdy; McClelland Stewart, Penguin Random House: Toronto, ON, Canada, 1986. [Google Scholar]
- Mez, J.; Daneshvar, D.H.; Kiernan, P.T.; Abdolmohammadi, B.; Alvarez, V.E.; Huber, B.R.; Alosco, M.L.; Solomon, T.M.; Nowinski, C.J.; McHale, L.; et al. Clinicopathological Evaluation of Chronic Traumatic Encephalopathy in Players of American Football. JAMA 2017, 318, 360–370. [Google Scholar] [CrossRef]
- Mariani, M.; Alosco, M.L.; Mez, J.; Stern, R.A. Clinical Presentation of Chronic Traumatic Encephalopathy. Semin. Neurol. 2020, 40, 370–383. [Google Scholar] [CrossRef]
- Stern, R.A.; Daneshvar, D.H.; Baugh, C.M.; Seichepine, D.R.; Montenigro, P.H.; Riley, D.O.; Fritts, N.G.; Stamm, J.M.; Robbins, C.A.; McHale, L.; et al. Clinical presentation of chronic traumatic encephalopathy. Neurology 2013, 81, 1122–1129. [Google Scholar] [CrossRef]
- Costanza, A.; Weber, K.; Gandy, S.; Bouras, C.; Hof, P.R.; Giannakopoulos, P.; Canuto, A. Review: Contact sport-related chronic traumatic encephalopathy in the elderly: Clinical expression and structural substrates. Neuropathol. Appl. Neurobiol. 2011, 37, 570–584. [Google Scholar] [CrossRef]
- Mendez, M.F. The neuropsychiatric aspects of boxing. Int. J. Psychiatry Med. 1995, 25, 249–262. [Google Scholar] [CrossRef]
- McCrory, P. 2002 Refshauge Lecture. When to retire after concussion? J. Sci. Med. Sport. 2002, 5, 169–182. [Google Scholar] [CrossRef]
- Heilbronner, R.L.; Sweet, J.J.; Morgan, J.E.; Larrabee, G.J.; Millis, S.R.; Participants, C. American Academy of Clinical Neuropsychology Consensus Conference Statement on the Neuropsychological Assessment of Effort, Response Bias, and Malingering. Clin. Neuropsychol. 2009, 23, 1093–1129. [Google Scholar] [CrossRef]
- Critchley, M. Medical Aspects of Boxing, Particularly from a Neurological Standpoint. Br. Med. J. 1957, 1, 357–362. [Google Scholar] [CrossRef]
- Iverson, G.L.; Gardner, A.J.; McCrory, P.; Zafonte, R.; Castellani, R.J. A critical review of chronic traumatic encephalopathy. Neurosci. Biobehav. Rev. 2015, 56, 276–293. [Google Scholar] [CrossRef]
- Gardner, R.C.; Yaffe, K. Epidemiology of mild traumatic brain injury and neurodegenerative disease. Mol. Cell Neurosci. 2015, 66, 75–80. [Google Scholar] [CrossRef]
- McKee, A.C.; Stein, T.D.; Nowinski, C.J.; Stern, R.A.; Daneshvar, D.H.; Alvarez, V.E.; Lee, H.-S.; Hall, G.; Wojtowicz, S.M.; Baugh, C.M.; et al. The spectrum of disease in chronic traumatic encephalopathy. Brain 2013, 136, 43–64. [Google Scholar] [CrossRef]
- Schneider, G.E. Is it really better to have your brain lesion early? A revision of the “Kennard Principle”. Neuropsychologica 1979, 17, 557–583. [Google Scholar] [CrossRef]
- Tagge, C.A.; Fisher, A.M.; Minaeva, O.V.; Gaudreau-Balderrama, A.; Moncaster, J.A.; Zhang, X.-L.; Wojnarowicz, M.W.; Casey, N.; Lu, H.; Kokiko-Cochran, O.N.; et al. Concussion, microvascular injury, and early tauopathy in young athletes after impact head injury and an impact concussion mouse model. Brain 2018, 141, 422–458. [Google Scholar] [CrossRef]
- McKee, A.C.; Alosco, M.L.; Huber, B.R. Repetitive Head Impacts and Chronic Traumatic Encephalopathy. Neurosurg. Clin. North Am. 2016, 27, 529–535. [Google Scholar] [CrossRef]
- Meehan, W., 3rd; Mannix, R.; Zafonte, R.; Pascual-Leone, A. Chronic traumatic encephalopathy and athletes. Neurology 2015, 85, 1504–1511. [Google Scholar] [CrossRef]
- Iverson, G.L. Chronic traumatic encephalopathy and risk of suicide in former athletes. Br. J. Sports Med. 2014, 48, 162–164. [Google Scholar] [CrossRef]
- Russell, E.R.; McCabe, T.; Mackay, D.F.; Stewart, K.; MacLean, J.A.; Pell, J.P.; Stewart, W. Mental health and suicide in former professional soccer players. J. Neurol. Neurosurg. Psychiatry 2020, 91, 1256–1260. [Google Scholar] [CrossRef]
- Iverson, G.L. Retired National Football League Players are Not at Greater Risk for Suicide. Arch. Clin. Neuropsychol. 2020, 35, 332–341. [Google Scholar] [CrossRef]
- Wortzel, H.S.; Shura, R.D.; Brenner, L.A. Chronic Traumatic Encephalopathy and Suicide: A Systematic Review. BioMed Res. Int. 2013, 2013, 1–6. [Google Scholar] [CrossRef]
- Iverson, G.L. Suicide and Chronic Traumatic Encephalopathy. J. Neuropsychiatry Clin. Neurosci. 2016, 28, 9–16. [Google Scholar] [CrossRef]
- Belson, K.; Aaron Hernandez Had Severe, C.T.E. When He Died at the Age of 27. The New York Times. 21 September 2017. Available online: https://nyti.ms/2ygNqlq (accessed on 26 December 2020).
- Ostertag, L.; Golay, P.; Dorogi, Y.; Brovelli, S.; Bertran, M.; Cromec, I.; Van Der Vaeren, B.; Khan, R.; Costanza, A.; Wyss, K.; et al. Implementation and first insights of the French-speaking Swiss program for monitoring self-harm. Swiss Med. Wkly. 2019, 149, w20016. [Google Scholar]
- Costanza, A.; Mazzola, V.; Radomska, M.; Amerio, A.; Aguglia, A.; Prada, P.; Bondolfi, G.; Sarasin, F.P.; Ambrosetti, J. Who Consult an Adult Psychiatric Emergency Department? Pertinence of Admissions and Opportunities for Telepsychiatry. Medicine 2020, 56, 295. [Google Scholar] [CrossRef]
- Costanza, A.; Amerio, A.; Radomska, M.; Ambrosetti, J.; Di Marco, S.; Prelati, M.; Aguglia, A.; Serafini, G.; Amore, M.; Bondolfi, G.; et al. Suicidality Assessment of the Elderly With Physical Illness in the Emergency Department. Front. Psychiatry 2020, 11, 558974. [Google Scholar] [CrossRef]
- McCrory, P.; Meeuwisse, W.; Dvořák, J.; Aubry, M.; Bailes, J.; Broglio, S.; Cantu, R.C.; Cassidy, D.; Echemendia, R.J.; Castellani, R.J.; et al. Consensus statement on concussion in sport-the 5th international conference on concussion in sport held in Berlin, October 2016. Br. J. Sports Med. 2017, 51, 838–847. [Google Scholar] [PubMed]
- Williams, J.B.W.; Kobak, K.A. Development and reliability of a structured interview guide for the Montgomery-Åsberg Depression Rating Scale (SIGMA). Br. J. Psychiatry 2008, 192, 52–58. [Google Scholar] [CrossRef]
- Beck, A.T.; Steer, R.A.; Brown, G. Manual for the Beck Depression Inventory–II; Psychological Corporation: San Antonio, TX, USA, 1996. [Google Scholar]
- Posner, K.; Brown, G.K.; Stanley, B.; Brent, D.A.; Yershova, K.V.; Oquendo, M.A.; Currier, G.W.; Melvin, G.A.; Greenhill, L.; Shen, S.; et al. The Columbia–Suicide Severity Rating Scale: Initial Validity and Internal Consistency Findings From Three Multisite Studies With Adolescents and Adults. Am. J. Psychiatry 2011, 168, 1266–1277. [Google Scholar] [CrossRef]
- de Néris, M.; Costanza, A.; Besson, M.; Greiner, C.; Prada, P.; Ambrosetti, J. Suicidal crisis and suicide prevention : Psychopharmacological aspects [Crise suicidaire et prévention du suicide: Aspects psychopharmacologiques]. Rev. Med. Suisse 2020, 16, 314–317. [Google Scholar]
- Ojio, Y.; Matsunaga, A.; Hatakeyama, K.; Kawamura, S.; Horiguchi, M.; Baron, D.; Fujii, C. Developing a Japanese Version of the Baron Depression Screener for Athletes among Male Professional Rugby Players. Int. J. Environ. Res. Public Health 2020, 17, 5533. [Google Scholar] [CrossRef]
- Unterharnscheidt, F. A neurologist’s reflections on boxing. V. Conclude remarks. Rev. Neurol. 1995, 23, 1027–1032. [Google Scholar]
- Mortimer, J.A.; French, L.R.; Hutton, J.T.; Schuman, L.M. Head iniury as a risk factor for Alzheimer’s disease. Neurology 1985, 35, 264–267. [Google Scholar] [CrossRef]
- Plassman, B.L.; Havlik, R.J.; Steffens, D.C.; Helms, M.J.; Newman, T.N.; Drosdick, D.; Phillips, C.; Gau, B.A.; Welsh-Bohmer, K.A.; Burke, J.R.; et al. Documented head injury in early adulthood and risk of Alzheimer’s disease and other dementias. Neurology 2000, 55, 1158–1166. [Google Scholar] [CrossRef]
- Guskiewicz, K.M.; Marshall, S.W.; Bailes, J.; McCrea, M.; Cantu, R.C.; Randolph, C.; Jordan, B.D. Association between Recurrent Concussion and Late-Life Cognitive Impairment in Retired Professional Football Players. Neurosurgery 2005, 57, 719–726. [Google Scholar] [CrossRef]
- Costanza, A.; Amerio, A.; Aguglia, A.; Escelsior, A.; Serafini, G.; Berardelli, I.; Pompili, M.; Amore, M. When Sick Brain and Hopelessness Meet: Some Aspects of Suicidality in the Neurological Patient. CNS Neurol. Disord. Drug Targets 2020, 19, 257–263. [Google Scholar] [CrossRef]
- Costanza, A.; Baertschi, M.; Weber, K.; Canuto, A. Neurological diseases and suicide: From neurobiology to hopelessness [Maladies neurologique et suicide: De la neutrobiologie au manque d’éspoir]. Rev. Med. Suisse 2015, 11, 402–405. [Google Scholar] [PubMed]
- Serafini, G.; Calcagno, P.; Lester, D.; Girardi, P.; Amore, M.; Pompili, M. Suicide Risk in Alzheimer’s Disease: A Systematic Review. Curr. Alzheimer Res. 2016, 13, 1083–1099. [Google Scholar] [CrossRef]
- Zucca, M.; Rubino, E.; Vacca, A.; Govone, F.; Gai, A.; De Martino, P.; Boschi, S.; Gentile, S.; Giordana, M.T.; Rainero, I. High Risk of Suicide in Behavioral Variant Frontotemporal Dementia. Am. J. Alzheimer’s Dis. Other Dementias® 2019, 34, 265–271. [Google Scholar] [CrossRef]
- Lai, A.X.; Kaup, A.R.; Yaffe, K.; Byers, A.L. High Occurrence of Psychiatric Disorders and Suicidal Behavior Across Dementia Subtypes. Am. J. Geriatr. Psychiatry 2018, 26, 1191–1201. [Google Scholar] [CrossRef]
- Guterman, A.; Smith, R.W.; Guterman, A. Neurological Sequelae of Boxing. Sports Med. 1987, 4, 194–210. [Google Scholar] [CrossRef]
- Levi-Belz, Y.; Beautrais, A. Serious suicide attempts: Towards an integration of terms and definitions. J. Crisis Interv. Suicide Prev. 2016, 37, 299–309. [Google Scholar] [CrossRef]
- Ling, H.; Hardy, J.; Zetterberg, H. Neurological consequences of traumatic brain injuries in sports. Mol. Cell. Neurosci. 2015, 66, 114–122. [Google Scholar] [CrossRef]
- Costanza, A.; Bouras, C.; Kövari, E.; Giannakopoulos, P. Maladie d’Alzheimer: De la pathogénie aux perspectives cliniques. [Alzheimer disease: From pathogenetic issues to clinical perspectives]. Rev. Med. Suisse 2012, 8, 1770–1774. [Google Scholar]
- Costanza, A.; Bouras, C.; Kövari, E.; Giannakopoulos, P. Moving Away from the Tau/Amyloid-β Debate: New Perspectives in Alzheimer’s Disease Research. Int. J. Clin. Rev. 2011, 27, 69–78. [Google Scholar] [CrossRef]
- Costanza, A.; Xekardaki, A.; Kövari, E.; Gold, G.; Bouras, C.; Giannakopoulos, P. Microvascular Burden and Alzheimer-Type Lesions Across the Age Spectrum. J. Alzheimer’s Dis. 2012, 32, 643–652. [Google Scholar] [CrossRef]
- Neselius, S.; Brisby, H.; Theodorsson, A.; Blennow, K.; Zetterberg, H.; Marcusson, J. CSF-Biomarkers in Olympic Boxing: Diagnosis and Effects of Repetitive Head Trauma. PLoS ONE 2012, 7, e33606. [Google Scholar] [CrossRef]
- Wu, Y.; Wu, H.; Guo, X.; Pluimer, B.; Zhao, Z. Blood–Brain Barrier Dysfunction in Mild Traumatic Brain Injury: Evidence From Preclinical Murine Models. Front. Physiol. 2020, 11, 11. [Google Scholar] [CrossRef]
- Serafini, G.; Parisi, V.M.; Aguglia, A.; Amerio, A.; Sampogna, G.; Fiorillo, A.; Pompili, M.; Amore, M. A Specific Inflammatory Profile Underlying Suicide Risk? Systematic Review of the Main Literature Findings. Int. J. Environ. Res. Public Health 2020, 17, 2393. [Google Scholar] [CrossRef]
- Serafini, G.; Pompili, M.; Seretti, M.E.; Stefani, H.; Palermo, M.; Coryell, W.; Girardi, P. The role of inflammatory cytokines in suicidal behavior: A systematic review. Eur. Neuropsychopharmacol. 2013, 23, 1672–1686. [Google Scholar] [CrossRef]
- O’Donovan, A.; Rush, G.; Hoatam, G.; Hughes, B.M.; McCrohan, A.; Kelleher, C.; O’Farrelly, C.; Malone, K.M. Suicidal ideation is associated with elevated inflammation in patients with major depressive disorder. Depress. Anxiety 2013, 30, 307–314. [Google Scholar] [CrossRef]
- Miná, V.A.; Lacerda-Pinheiro, S.F.; Maia, L.C.; Pinheiro, R.F., Jr.; Meireles, C.B.; de Souza, S.I.; Reis, A.O.; Bianco, B.; Rolim, M.L. The influence of inflammatory cytokines in physiopathology of suicidal behavior. J. Affect. Disord. 2015, 172, 219–230. [Google Scholar] [CrossRef]
- Kempuraj, D.; Ahmed, M.E.; Selvakumar, G.P.; Thangavel, R.; Raikwar, S.P.; Zaheer, S.A.; Iyer, S.S.; Govindarajan, R.; Chandrasekaran, P.N.; Burton, C.; et al. Acute Traumatic Brain Injury-Induced Neuroinflammatory Response and Neurovascular Disorders in the Brain. Neurotox. Res. 2020, 1–10. [Google Scholar] [CrossRef]
- Hawton, K.; Van Heeringen, K. Suicide. Lancet 2009, 373, 1372–1381. [Google Scholar] [CrossRef]
- Turecki, G.; Ernst, C.; Jollant, F.; Labonté, B.; Mechawar, N. The neurodevelopmental origins of suicidal behavior. Trends Neurosci. 2012, 35, 14–23. [Google Scholar] [CrossRef]
- Costanza, A.; D’Orta, I.; Perroud, N.; Burkhardt, S.; Malafosse, A.; Mangin, P.; La Harpe, R. Neurobiology of suicide: Do biomarkers exist? Int. J. Leg. Med. 2014, 128, 73–82. [Google Scholar] [CrossRef]
- Van Heeringen, K.; Mann, J.J. The neurobiology of suicide. Lancet Psychiatry 2014, 1, 63–72. [Google Scholar] [CrossRef]
- Costanza, A.; Rothen, S.; Achab, S.; Thorens, G.; Baertschi, M.; Weber, K.; Canuto, A.; Richard-Lepouriel, H.; Perroud, N.; Zullino, D. Impulsivity and Impulsivity-Related Endophenotypes in Suicidal Patients with Substance Use Disorders: An Exploratory Study. Int. J. Ment. Health Addict. 2020, 1–16. [Google Scholar] [CrossRef]
- Chan, F.; Lanctôt, K.L.; Feinstein, A.; Herrmann, N.; Strauss, J.; Sicard, T.; Kennedy, J.L.; Mccullagh, S.; Rapoport, M.J. The serotonin transporter polymorphisms and major depression following traumatic brain injury. Brain Inj. 2008, 22, 471–479. [Google Scholar] [CrossRef]
- Gagner, M.C.; Tuerk, M.C.B.; De Beaumont, L.; Bernier, A.; Beauchamp, M.H. Brain-Derived Neurotrophic Factor Val66Met Polymorphism and Internalizing Behaviors after Early Mild Traumatic Brain Injury. J. Neurotrauma 2021, 38, 102–110. [Google Scholar] [CrossRef]
- DeKosky, S.T.; Blennow, K.; Ikonomovic, M.D.; Gandy, S. Acute and chronic traumatic encephalopathies: Pathogenesis and biomarkers. Nat. Rev. Neurol. 2013, 9, 192–200. [Google Scholar] [CrossRef]
- Sorokina, E.G.; Semenova, Z.B.; Averianova, N.S.; Karaseva, O.V.N.; Arsenieva, E.; Luk’yanov, V.I.; Reutov, V.P.; Asanov, A.Y.; Roshal, L.M.; Pinelis, V.G. [APOE gene polymorphism and markers of brain damage in the outcomes of severe traumatic brain injury in children]. Zh. Nevrol. Psikhiatr. Im. SS Korsakova 2020, 120, 72–80. [Google Scholar] [CrossRef]
- Gandy, S.; Ikonomovic, M.D.; Mitsis, E.; Elder, G.A.; Ahlers, S.T.; Barth, J.; Stone, J.R.; DeKosky, S.T. Chronic traumatic encephalopathy: Clinical-biomarker correlations and current concepts in pathogenesis. Mol. Neurodegener. 2014, 9, 1–22. [Google Scholar] [CrossRef]
- King, A.; Sweeney, F.; Bodi, I.; Troakes, C.; Maekawa, S.; Al-Sarraj, S. Abnormal TDP-43 expression is identified in the neocortex in cases of dementia pugilistica, but is mainly confined to the limbic system when identified in high and moderate stages of Alzheimer’s disease. Neuropathologica 2010, 30, 408–419. [Google Scholar] [CrossRef]
- Roberts, G.W. Immunocytochemistry of neurofibrillary tangles in dementia pugilistica and Alzheimer’s disease: Evidence for common genesis. Lancet 1988, 2, 1456–1458. [Google Scholar] [CrossRef]
- McKee, A.C.; Cantu, R.C.; Nowinski, C.J.; Hedley-Whyte, E.T.; Gavett, B.E.; Budson, A.E.; Santini, V.E.; Lee, H.-S.; Kubilus, C.A.; Stern, R.A. Chronic Traumatic Encephalopathy in Athletes: Progressive Tauopathy After Repetitive Head Injury. J. Neuropathol. Exp. Neurol. 2009, 68, 709–735. [Google Scholar] [CrossRef]
- Blennow, K.; Popa, C.; Rasulzada, A.; Minthon, L.; Wallin, A.; Zetterberg, H. There is strong evidence that professional boxing result in chronic brain damage. The more head punches during a boxer’s career, the bigger is the risk. Lakartidingen 2005, 102, 2472–2475. [Google Scholar]
- Fremont, R.; Grafman, J.; Huey, E.D. Frontotemporal Dementia and Suicide; Could Genetics be a Key Factor? Am. J. Alzheimers Dis. Other Demen. 2020, 35. [Google Scholar] [CrossRef]
- Beck, A.T.; Kovacs, M.; Weissman, A. Hopelessness and Suicidal Behavior. JAMA 1975, 234, 1146–1149. [Google Scholar] [CrossRef]
- Costanza, A.; Chytas, V.; Mazzola, V.; Piguet, V.; Desmeules, J.; Bondolfi, G.; Cedraschi, C. The Role of Demoralization and Meaning in Life (DEMIL) in Influencing Suicidal Ideation Among Patients Affected by Chronic Pain: Protocol of a Single-Center, Observational, Case-Control Study. JMIR Res. Protoc. 2020, 9, e24882. [Google Scholar] [CrossRef]
- Costanza, A.; Amerio, A.; Aguglia, A.; Serafini, G.; Amore, M. Meaning in Life and Demoralization Constructs in Light of the Interpersonal Theory of Suicide: A Trans-Theoretical Hypothesis for a Cross-Sectional Study. Psychol. Res. Behav. Manag. 2020, 13, 855–858. [Google Scholar] [CrossRef]
- Frankl, V.E. Man’s Search for Meaning. From Death Camp to Existentialism; Beacon Press: New York, NY, USA, 1959. [Google Scholar]
- Martela, F.; Steger, M.F. The three meanings of meaning in life: Distinguishing coherence, purpose, and significance. J. Posit. Psychol. 2016, 11, 531–545. [Google Scholar] [CrossRef]
- Frank, J.D. Psychotherapy: The Restoration of Morale. Am. J. Psychiatry 1974, 131, 271–274. [Google Scholar] [CrossRef]
- Kissane, D.W.; Clarke, D.M.; Street, A.F. Demoralization Syndrome—A Relevant Psychiatric Diagnosis for Palliative Care. J. Palliat. Care 2001, 17, 12–21. [Google Scholar] [CrossRef]
- Clarke, D.M.; Kissane, D.W. Demoralization: Its Phenomenology and Importance. Aust. N. Zldn. J. Psychiatry 2002, 36, 733–742. [Google Scholar] [CrossRef]
- Costanza, A.; Baertschi, M.; Richard-Lepouriel, H.; Weber, K.; Pompili, M.; Canuto, A. The Presence and the Search Constructs of Meaning in Life in Suicidal Patients Attending a Psychiatric Emergency Department. Front. Psychiatry 2020, 11, 327. [Google Scholar] [CrossRef]
- Costanza, A.; Prelati, M.; Pompili, M. The Meaning in Life in Suicidal Patients: The Presence and the Search for Constructs. A Systematic Review. Medicine 2019, 55, 465. [Google Scholar] [CrossRef]
- Costanza, A.; Amerio, A.; Odone, A.; Baertschi, M.; Richard-Lepouriel, H.; Weber, K.; Di Marco, S.; Prelati, M.; Aguglia, A.; Escelsior, A.; et al. Suicide prevention from a public health perspective. What makes life meaningful? The opinion of some suicidal patients. Acta Biomed. 2020, 91, 128–134. [Google Scholar] [PubMed]
- Costanza, A.; Baertschi, M.; Richard-Lepouriel, H.; Weber, K.; Berardelli, I.; Pompili, M.; Canuto, A. Demoralization and Its Relationship with Depression and Hopelessness in Suicidal Patients Attending an Emergency Department. Int. J. Environ. Res. Public Health 2020, 17, 2232. [Google Scholar] [CrossRef]
- Chytas, V.; Costanza, A.; Piguet, V.; Cedraschi, C.; Bondolfi, G. Démoralisation et sens dans la vie dans l’idéation suicidaire: Un rôle chez les patients douloureux chroniques? [Demoralization and meaning in life in suicidal ideation: A role for patients suffering from chronic pain?]. Rev. Med. Suisse 2019, 15, 1282–1285. [Google Scholar] [PubMed]
- Costanza, A.; Di Marco, S.; Burroni, M.; Corasaniti, F.; Santinon, P.; Prelati, P.; Chytas, V.; Cedraschi, C.; Ambrosetti, A. Meaning in life and demoralization: A mental-health reading perspective of suicidality in the time of COVID-19. Acta Biomedica 2020, (in press).
- Costanza, A.; Zenga, F.; Rudà, R.; Amerio, A.; Aguglia, A.; Serafini, G.; Amore, M.; Bondolfi, G.; Berardelli, I.; Nguyen, K.D. Suicidality in patients with brain tumors: A brief literature review with clinical exemplar. Medicina (Kaunas) 2020, 56, 725. [Google Scholar] [CrossRef]
- De Figueiredo, J.M. Distress, demoralization and psychopathology: Diagnostic boundaries. Eur. J. Psychiatry 2013, 27, 61–73. [Google Scholar] [CrossRef]
- Angelino, A.F.; Treisman, G.J. Major depression and demoralization in cancer patients: Diagnostic and treatment considerations. Support. Care Cancer 2001, 9, 344–349. [Google Scholar] [CrossRef]
- Jacobsen, J.; Vanderwerker, L.; Block, S.; Friedlander, R.; Maciejewski, P.; Prigerson, H. Depression and demoralization as distinct syndromes: Preliminary data from a cohort of advanced cancer patients. Indian J. Palliat. Care 2006, 12, 8. [Google Scholar] [CrossRef]
- Tang, P.-L.; Wang, H.-H.; Chou, F.-H. A Systematic Review and Meta-Analysis of Demoralization and Depression in Patients With Cancer. J. Psychosom. Res. 2015, 56, 634–643. [Google Scholar] [CrossRef]
- Fang, C.-K.; Chang, M.-C.; Chen, P.-J.; Lin, C.-C.; Chen, G.-S.; Lin, J.; Hsieh, R.-K.; Chang, Y.-F.; Chen, H.-W.; Wu, C.-L.; et al. A correlational study of suicidal ideation with psychological distress, depression, and demoralization in patients with cancer. Support. Care Cancer 2014, 22, 3165–3174. [Google Scholar] [CrossRef]
- Vehling, S.; Kissane, D.W.; Lo, C.; Glaesmer, H.; Hartung, T.J.; Rodin, G.; Mehnert, A. The association of demoralization with mental disorders and suicidal ideation in patients with cancer. Cancer 2017, 123, 3394–3401. [Google Scholar] [CrossRef]
- Nanni, M.G.; Caruso, R.; Travado, L.; Ventura, C.; Palma, A.; Berardi, A.M.; Meggiolaro, E.; Ruffilli, F.; Martins, C.; Kissane, D.; et al. Relationship of demoralization with anxiety, depression, and quality of life: A Southern European study of Italian and Portuguese cancer patients. Psycho-Oncology 2018, 27, 2616–2622. [Google Scholar] [CrossRef]
- Xu, K.; Hu, D.; Liu, Y.; Han, Y.; Guo, X.; Teng, F.; Zhou, Y. Relationship of Suicidal Ideation With Demoralization, Depression, and Anxiety: A Study of Cancer Patients in Mainland China. J. Nerv. Ment. Dis. 2019, 207, 326–332. [Google Scholar] [CrossRef]
- Elfil, M.; Ahmed, N.; Alapati, A.; Bahekar, R.; Kandil, M.; Kim, C.; Schaefer, S.; Tinaz, S.; Patel, A.S.; De Figueiredo, J.M.; et al. Suicidal risk and demoralization in Parkinson disease. J. Neurol. 2019, 267, 966–974. [Google Scholar] [CrossRef]
- A Fava, G.; Fabbri, S.; Sirri, L.; Wise, T.N. Psychological Factors Affecting Medical Condition: A New Proposal for DSM-V. Psychosomatics 2007, 48, 103–111. [Google Scholar] [CrossRef]
- Mangelli, L.; A Fava, G.; Grandi, S.; Grassi, L.; Ottolini, F.; Porcelli, P.; Rafanelli, C.; Rigatelli, M.; Sonino, N. Assessing Demoralization and Depression in the Setting of Medical Disease. J. Clin. Psychiatry 2005, 66, 391–394. [Google Scholar] [CrossRef]
- Tecuta, L.; Tomba, E.; Grandi, S.; Fava, G.A. Demoralization: A systematic review on its clinical characterization. Psychol. Med. 2015, 45, 673–691. [Google Scholar] [CrossRef]
- Restifo, K.; Harkavy-Friedman, J.M.; Shrout, P.E. Suicidal behavior in schizophrenia: A test of the demoralization hypothesis. J. Nerv. Ment. Dis. 2009, 197, 147–153. [Google Scholar] [CrossRef]
- Butterworth, P.; Fairweather, K.A.; Anstey, K.J.; Windsor, T.D. Hopelessness, Demoralization and Suicidal Behaviour: The Backdrop to Welfare Reform in Australia. Aust. N. Zldn. J. Psychiatry 2006, 40, 648–656. [Google Scholar] [CrossRef]
- Liu, S.T.; Wu, X.; Wang, N.; Zhao, Q.Q.; Xiao, L.; Fang, C.K.; Yu, Y.; Lin, D.M.; Zhang, L.L. Serial multiple mediation of demoralization and depression in the relationship between hopelessness and suicidal ideation. Psycho-Oncology 2020, 29, 1321–1328. [Google Scholar] [CrossRef]
- Abramson, L.; Metalsky, G.; Alloy, L. Hopelessness depression: A theory-based subtype of depression. Psychol. Rev. 1989, 96, 358. [Google Scholar] [CrossRef]
- Jacobsen, J.C.; Maytal, G.; Stern, T.A. Demoralization in Medical Practice. Prim. Care Companion J. Clin. Psychiatry 2007, 9, 139–143. [Google Scholar] [CrossRef]
- Berardelli, I.; Sarubbi, S.; Rogante, E.; Hawkins, M.; Cocco, G.; Erbuto, D.; Lester, D.; Pompili, M. The Role of Demoralization and Hopelessness in Suicide Risk in Schizophrenia: A Review of the Literature. Medicine 2019, 55, 200. [Google Scholar] [CrossRef]
- Erlanger, D.M.; Kutner, K.C.; Barth, J.T.; Barnes, R. FORUM Neuropsychology of Sports-Related Head Injury: Dementia Pugilistica to Post Concussion Syndrome. Clin. Neuropsychol. 1999, 13, 193–209. [Google Scholar] [CrossRef]
- Joiner, T.E. Why People Die by Suicide; Harvard University Press: Cambridge, UK, 2005. [Google Scholar]
- Van Orden, K.A.; Witte, T.K.; Cukrowicz, K.C.; Braithwaite, S.R.; Selby, E.A.; Joiner, T.E., Jr. The interpersonal theory of suicide. Psychol. Rev. 2010, 117, 575–600. [Google Scholar] [CrossRef]
- Costanza, A.; Ambrosetti, J.; Wyss, K.; Bondolfi, G.; Sarasin, F.; Khan, R. Prévenir le suicide aux urgences: De la “Théorie Interpersonnelle du Suicide” à la connectedness [Prevention of suicide at Emergency Room: From the “Interpersonal Theory of Suicide” to the connectedness]. Rev. Med. Suisse 2018, 14, 335–338. [Google Scholar]
- Baertschi, M.; Costanza, A.; Canuto, A.; Weber, K. The Function of Personality in Suicidal Ideation from the Perspective of the Interpersonal-Psychological Theory of Suicide. Int. J. Environ. Res. Public Heal. 2018, 15, 636. [Google Scholar] [CrossRef]
- Baertschi, M.; Costanza, A.; Canuto, A.; Weber, K. The dimensionality of suicidal ideation and its clinical implications. Int. J. Methods Psychiatr. Res. 2018, 28, e1755. [Google Scholar] [CrossRef]
- Baertschi, M.; Costanza, A.; Richard-Lepouriel, H.; Pompili, M.; Sarasin, F.; Weber, K.; Canuto, A. The application of the interpersonal-psychological theory of suicide to a sample of Swiss patients attending a psychiatric emergency department for a non-lethal suicidal event. J. Affect. Disord. 2017, 210, 323–331. [Google Scholar] [CrossRef]
- Manley, G.T.; Gardner, A.J.; Schneider, K.J.; Guskiewicz, K.M.; Bailes, J.; Cantu, R.C.; Castellani, R.J.; Turner, M.; Jordan, B.D.; Randolph, C.; et al. A systematic review of potential long-term effects of sport-related concussion. Br. J. Sports Med. 2017, 51, 969–977. [Google Scholar] [CrossRef]
- Karantzoulis, S.; Randolph, C. Modern Chronic Traumatic Encephalopathy in Retired Athletes: What is the Evidence? Neuropsychol. Rev. 2013, 23, 350–360. [Google Scholar] [CrossRef]
- McCrory, P.R.; Meeuwisse, W.H.; Kutcher, J.S.; Jordan, B.D.; Gardner, A. What is the evidence for chronic concussion-related changes in retired athletes: Behavioural, pathological and clinical outcomes? Br. J. Sports Med. 2013, 47, 327–330. [Google Scholar] [CrossRef]
- Amerio, A.; Sibilla, F.; Pescini, R.; Ciprandi, R.; Casciaro, R.; Filioli, P.G.; Porcelli, C.; Odone, A.; Costanza, A.; Aguglia, A.; et al. Mental health and cystic fibrosis: Time to move from secondary prevention to predictive medicine. Pediatr. Pulmonol. 2020, 55, 2204–2206. [Google Scholar] [CrossRef]
- Amerio, A. Suicide Risk in Comorbid Bipolar Disorder and Obsessive-Compulsive Disorder: A Systematic Review. Indian J. Psychol. Med. 2019, 41, 133–137. [Google Scholar] [CrossRef]



| Neurocognitive Function | Case 1 October 2007 | Case 1 August 2008 | Case 2 November 2007 |
|---|---|---|---|
| Temporo-spatial orientation | + | − | − − |
| Immediate memory | + | + | − |
| Episodic memory encoding Episodic memory retrieval | + − − − | − − − | − − − − |
| Naming, oral expression Written language Comprehension | + + + | + − − | − + + |
| Verbal fluency Motor programming Mental flexibility, planning Inhibition | − − − − − − | − − − − − − − | − − − − − − − − |
| Reasoning | + − | − | − |
| Ideomotor gestures Reflexive gestures | + − | − + | + + |
| Visuo-spatial abilities | + | + − | − |
| Visual recognition, identification | + | + | + |
| Anosognosia | + − | + − | − − |
Publisher’s Note: MDPI stays neutral with regard to jurisdictional claims in published maps and institutional affiliations. |
© 2021 by the authors. Licensee MDPI, Basel, Switzerland. This article is an open access article distributed under the terms and conditions of the Creative Commons Attribution (CC BY) license (http://creativecommons.org/licenses/by/4.0/).
Share and Cite
Costanza, A.; Radomska, M.; Zenga, F.; Amerio, A.; Aguglia, A.; Serafini, G.; Amore, M.; Berardelli, I.; Ojio, Y.; Nguyen, K.D. Severe Suicidality in Athletes with Chronic Traumatic Encephalopathy: A Case Series and Overview on Putative Ethiopathogenetic Mechanisms. Int. J. Environ. Res. Public Health 2021, 18, 876. https://doi.org/10.3390/ijerph18030876
Costanza A, Radomska M, Zenga F, Amerio A, Aguglia A, Serafini G, Amore M, Berardelli I, Ojio Y, Nguyen KD. Severe Suicidality in Athletes with Chronic Traumatic Encephalopathy: A Case Series and Overview on Putative Ethiopathogenetic Mechanisms. International Journal of Environmental Research and Public Health. 2021; 18(3):876. https://doi.org/10.3390/ijerph18030876
Chicago/Turabian StyleCostanza, Alessandra, Michalina Radomska, Francesco Zenga, Andrea Amerio, Andrea Aguglia, Gianluca Serafini, Mario Amore, Isabella Berardelli, Yasutaka Ojio, and Khoa D. Nguyen. 2021. "Severe Suicidality in Athletes with Chronic Traumatic Encephalopathy: A Case Series and Overview on Putative Ethiopathogenetic Mechanisms" International Journal of Environmental Research and Public Health 18, no. 3: 876. https://doi.org/10.3390/ijerph18030876
APA StyleCostanza, A., Radomska, M., Zenga, F., Amerio, A., Aguglia, A., Serafini, G., Amore, M., Berardelli, I., Ojio, Y., & Nguyen, K. D. (2021). Severe Suicidality in Athletes with Chronic Traumatic Encephalopathy: A Case Series and Overview on Putative Ethiopathogenetic Mechanisms. International Journal of Environmental Research and Public Health, 18(3), 876. https://doi.org/10.3390/ijerph18030876

