Severe COVID-19 Complicated by Cerebral Venous Thrombosis in a Newborn Successfully Treated with Remdesivir, Glucocorticoids, and Hyperimmune Plasma
Abstract
:1. Introduction
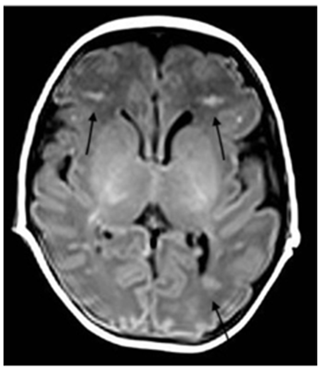
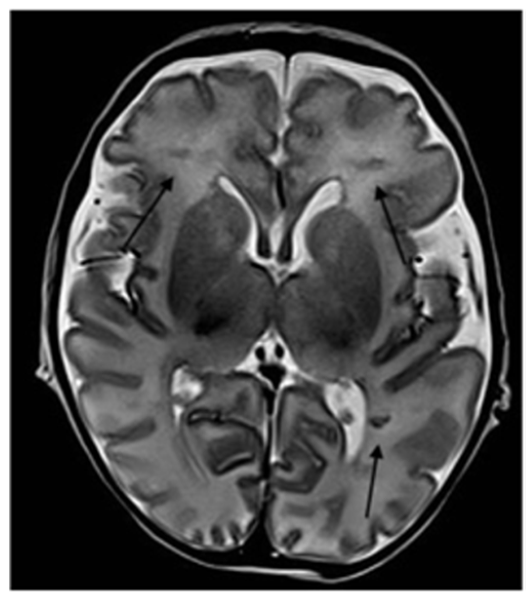
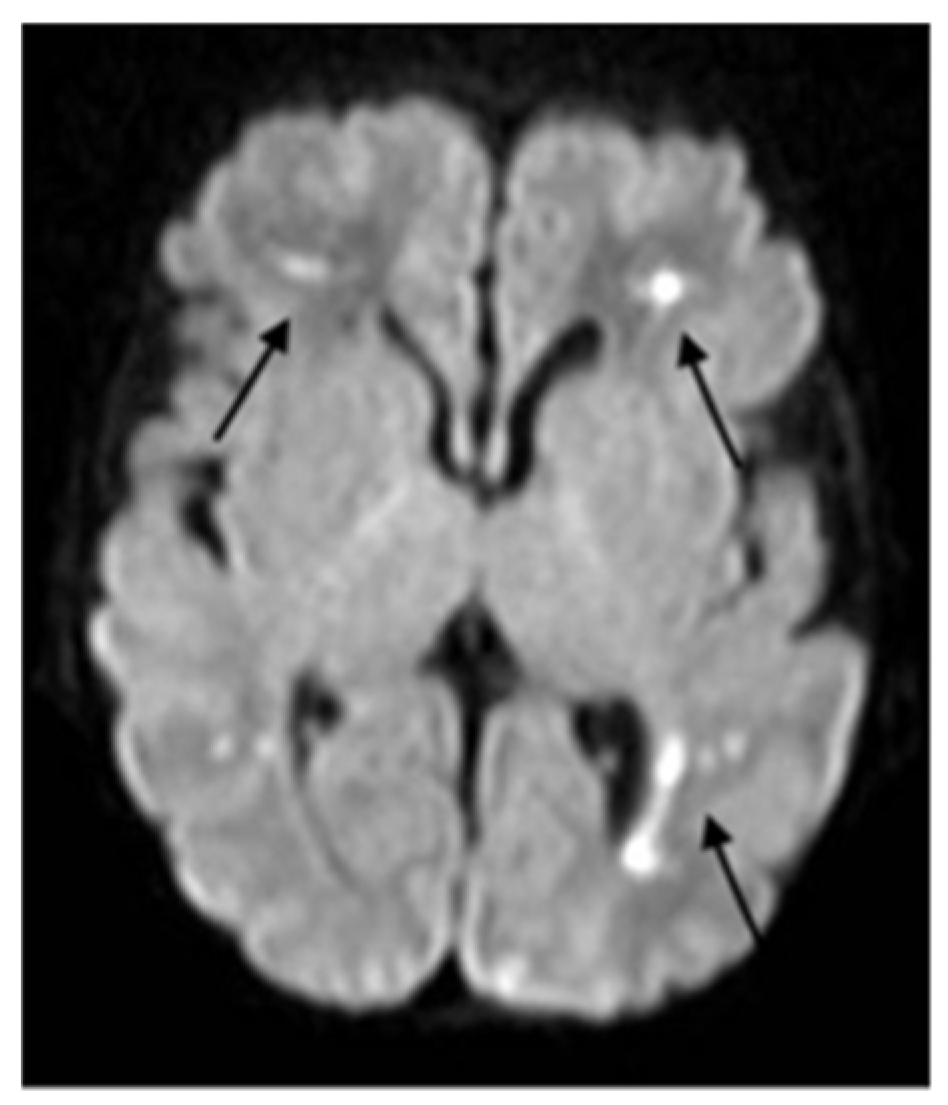
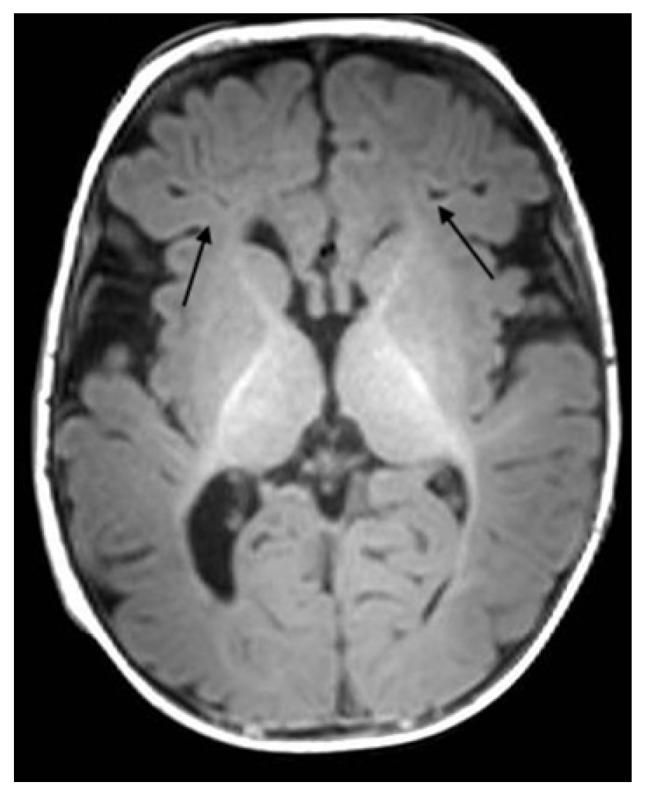
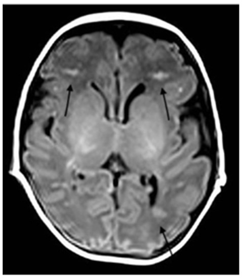
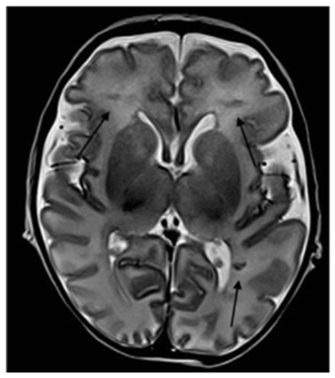
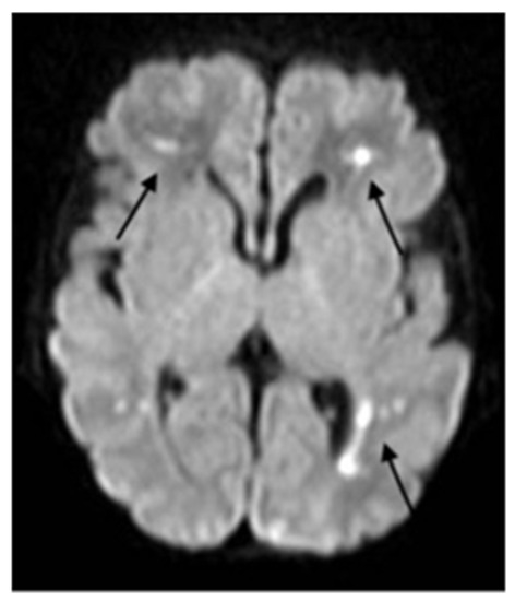
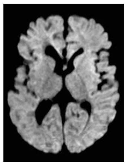
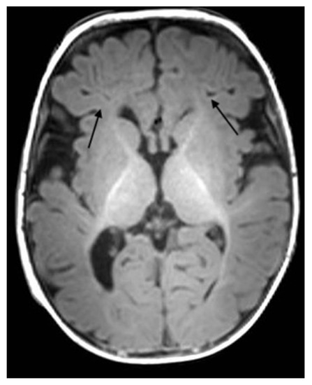
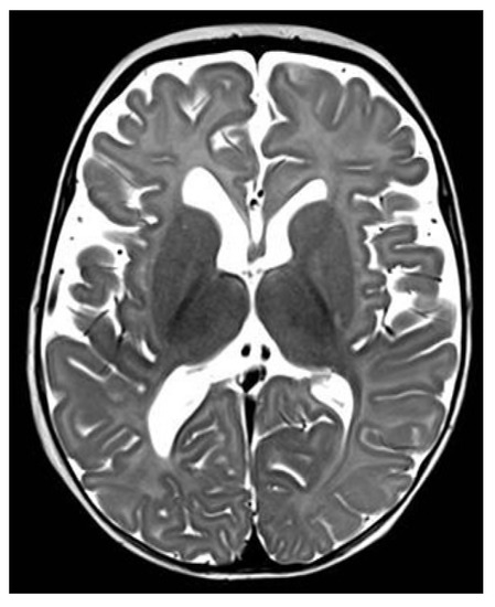
2. Case Description
3. Discussion
4. Conclusions
Author Contributions
Funding
Institutional Review Board Statement
Informed Consent Statement
Conflicts of Interest
References
- Huang, C.; Wang, Y.; Li, X.; Ren, L.; Zhao, J.; Hu, Y.; Zhang, L.; Fan, G.; Xu, J.; Gu, X.; et al. Clinical features of patients infected with 2019 novel coronavirus in Wuhan, China. Lancet 2020, 395, 497–506. [Google Scholar] [CrossRef] [Green Version]
- Götzinger, F.; Santiago-García, B.; Noguera-Julián, A.; Lanaspa, M.; Lancella, L.; Calo Carducci, F.I.; Gabrovska, N.; Velizarova, S.; Prunk, P.; Osterman, V.; et al. COVID-19 in children and adolescents in Europe: A multinational, multicentre cohort study. Lancet Child Adolesc. Health 2020, 4, 653–661. [Google Scholar] [CrossRef]
- Kotlyar, A.M.; Grechukhina, O.; Chen, A.; Popkhadze, S.; Grimshaw, A.; Tal, O.; Taylor, H.S.; Tal, R. Vertical transmission of coronavirus disease 2019: A systematic review and meta-analysis. Am. J. Obstet. Gynecol. 2021, 224, 35–53.e3. [Google Scholar] [CrossRef] [PubMed]
- Yap, M.; Debenham, L.; Kew, T.; Chatterjee, S.R.; Allotey, J.; Stallings, E.; Coomar, D.; Lee, S.I.; Qiu, X.; Yuan, M.; et al. Clinical manifestations, prevalence, risk factors, outcomes, transmission, diagnosis and treatment of COVID-19 in pregnancy and postpartum: A living systematic review protocol. BMJ Open 2020, 10, e041868. [Google Scholar] [CrossRef] [PubMed]
- World Health Organization. COVID-19 Clinical Management: Living Guidance: 25 January 2021. Available online: https://www.who.int/publications/i/item/WHO-2019-nCoV-clinical-2021-1 (accessed on 29 September 2021).
- Olivini, N.; Calo Carducci, F.I.; Santilli, V.; De Ioris, M.A.; Scarselli, A.; Alario, D.; Geremia, C.; Lombardi, M.H.; Marabotto, C.; Mariani, R.; et al. A neonatal cluster of novel coronavirus disease 2019: Clinical management and considerations. Ital. J. Pediatr. 2020, 46, 180. [Google Scholar] [CrossRef]
- Yeo, K.T.; Oei, J.L.; De Luca, D.; Schmölzer, G.M.; Guaran, R.; Palasanthiran, P.; Kumar, K.; Buonocore, G.; Cheong, J.; Owen, L.S.; et al. Review of guidelines and recommendations from 17 countries highlights the challenges that clinicians face caring for neonates born to mothers with COVID-19. Acta Paediatr. 2020, 109, 2192–2207. [Google Scholar] [CrossRef]
- Hopwood, A.J.; Jordan-Villegas, A.; Gutierrez, L.D.; Cowart, M.C.; Vega-Montalvo, W.; Cheung, W.L.; McMahan, M.J.; Gomez, M.R.; Laham, F.R. SARS-CoV-2 pneumonia in a newborn treated with remdesivir and COVID-19 convalescent plasma. J. Pediatr. Infect. Dis. Soc. 2021, 10, 691–694. [Google Scholar] [CrossRef]
- Frauenfelder, C.; Brierley, J.; Whittaker, E.; Perucca, G.; Bamford, A. Infant With SARS-CoV-2 Infection Causing Severe Lung Disease Treated with Remdesivir. Pediatrics 2020, 146, e20201701. [Google Scholar] [CrossRef]
- Frampton, D.; Rampling, T.; Cross, A.; Bailey, H.; Heaney, J.; Byott, M.; Scott, R.; Sconza, R.; Price, J.; Margaritis, M.; et al. Genomic characteristics and clinical effect of the emergent SARS-CoV-2 B.1.1.7 lineage in London, UK: A whole-genome sequencing and hospital-based cohort study. Lancet Infect. Dis. 2021, 21, 1246–1256. [Google Scholar] [CrossRef]
- Brookman, S.; Cook, J.; Zucherman, M.; Broughton, S.; Harman, K.; Gupta, A. Effect of the new SARS-CoV-2 variant B.1.1.7 on children and young people. Lancet Child Adolesc. Health 2021, 5, e9–e10. [Google Scholar] [CrossRef]
- World Health Organization. Available online: https://www.who.int/news-room/commentaries/detail/multisystem-inflammatory-syndrome-in-children-and-adolescents-with-covid-19 (accessed on 29 September 2021).
- American Academy of Rheumatology. Available online: https://www.rheumatology.org/Portals/0/Files/ACR-COVID-19-Clinical-Guidance-Summary-MIS-C-Hyperinflammation.pdf (accessed on 7 December 2021).
- Beigel, J.H.; Tomashek, K.M.; Dodd, L.E.; Mehta, A.K.; Zingman, B.S.; Kalil, A.C.; Hohmann, E.; Chu, H.Y.; Luetkemeyer, A.; Kline, S.; et al. Remdesivir for the Treatment of COVID-19—Final Report. N. Engl. J. Med. 2020, 383, 1813–1826. [Google Scholar] [CrossRef]
- Chiotos, K.; Hayes, M.; Kimberlin, D.W.; Jones, S.B.; James, S.H.; Pinninti, S.G.; Yarbrough, A.; Abzug, M.J.; MacBrayne, C.E.; Soma, V.L.; et al. Multicenter interim guidance on use of antivirals for children with COVID-19/SARS-CoV-2. J. Pediatr. Infect. Dis. Soc. 2020, 10, 34–48. [Google Scholar] [CrossRef]
- Maharaj, A.R.; Wu, H.; Hornik, C.P.; Balevic, S.J.; Hornik, C.D.; Smith, P.B.; Gonzalez, D.; Zimmerman, K.O.; Benjamin, D.K.; Cohen-Wolkowiez, M.; et al. Simulated Assessment of Pharmacokinetically Guided Dosing for Investigational Treatments of Pediatric Patients with Coronavirus Disease 2019. JAMA Pediatr. 2020, 174, e202422. [Google Scholar] [CrossRef]
- Wang, Y.; Huo, P.; Dai, R.; Lv, X.; Yuan, S.; Zhang, Y.; Guo, Y.; Li, R.; Yu, Q.; Zhu, K. Convalescent plasma may be a possible treatment for COVID-19: A systematic review. Int. Immunopharmacol. 2021, 91, 107262. [Google Scholar] [CrossRef] [PubMed]
- National Health Commission of the People’s Republic of China. Diagnosis and Treatment of COVID-19 (Trial 8th Edition). Available online: http://www.nhc.gov.cn/yzygj/s7653p/202008/0a7bdf12bd4b46e5bd28ca7f9a7f5e5a.shtml (accessed on 5 November 2020).
- Valk, S.J.; Piechotta, V.; Chai, K.L.; Doree, C.; Monsef, I.; Wood, E.M.; Lamikanra, A.; Kimber, C.; McQuilten, Z.; So-Osman, C.; et al. Convalescent plasma or hyperimmune immunoglobulin for people with COVID-19: A rapid review. Cochrane Database Syst. Rev. 2020, 5, CD013600. [Google Scholar] [CrossRef]
- Food and Drug Administration. Available online: https://www.fda.gov/news-events/press-announcements/fda-expands-authorization-two-monoclonal-antibodies-treatment-and-post-exposure-prevention-covid-19 (accessed on 7 December 2021).
- Magro, G. COVID-19: Review on latest available drugs and therapies against SARS-CoV-2. Coagulation and inflammation cross-talking. Virus Res. 2020, 286, 198070. [Google Scholar] [CrossRef]
- Beslow, L.A.; Linds, A.B.; Fox, C.K.; Kossorotoff, M.; Zambrano, Y.C.Z.; Hernández-Chávez, M.; Hassanein, S.M.A.; Byrne, S.; Lim, M.; Maduaka, N.; et al. Pediatric Ischemic Stroke: An Infrequent Complication of SARS-CoV-2. Ann. Neurol. 2021, 89, 657–665. [Google Scholar] [CrossRef] [PubMed]
- Zhou, F.; Yu, T.; Du, R.; Fan, G.; Liu, Y.; Liu, Z.; Xiang, J.; Wang, Y.; Song, B.; Gu, X.; et al. Clinical course and risk factors for mortality of adult inpatients with COVID-19 in Wuhan, China: A retrospective cohort study. Lancet 2020, 395, 1054–1062. [Google Scholar] [CrossRef]
- Shirvaliloo, M. Targeting the SARS-CoV-2 3CLpro and NO/cGMP/PDE5 pathway in COVID-19: A commentary on PDE5 inhibitors. Future Cardiol. 2021, 17, 765–768. [Google Scholar] [CrossRef]
- Isidori, A.M.; Giannetta, E.; Pofi, R.; Venneri, M.A.; Gianfrilli, D.; Campolo, F.; Mastroianni, C.M.; Lenzi, A.; D’Ettorre, G. Targeting the NO-cGMP-PDE5 pathway in COVID-19 infection. The DEDALO project. Andrology 2021, 9, 33–38. [Google Scholar] [CrossRef]
- Fletcher-Sandersjöö, A.; Bellander, B.-M. Is COVID-19 associated thrombosis caused by overactivation of the complement cascade? A literature review. Thromb. Res. 2020, 194, 36–41. [Google Scholar] [CrossRef] [PubMed]






| Laboratory Findings | Normal Range | Day 1 after Admission | Day 5 after Admission | Day 10 after Admission |
|---|---|---|---|---|
| WBC count per mm3 | 5000–19,500 | 3230 | 1830 | 8960 |
| Lymphocyte count per mm3 | 2000–14,620 | 610 | 480 | 1450 |
| Hemoglobin in g/dL | 12.5–20.5 | 16.8 | 8.6 | 9.8 |
| Platelet per mm3 | 150,000–450,000 | 181,000 | 172,000 | 441,000 |
| C-Reactive protein mg/dL | <0.5 | 0.11 | 0.05 | 0.1 |
| Procalcitonin ng/mL | <0.5 | 1.14 | 0.6 | 0.31 |
| Troponina T high sensitive ng/L | <14 | 54.8 | 77.6 | 41.6 |
| N-Terminal prohormone of Brain Natriuretic Peptide pg/mL | <320 | 3702 | 8115 | 5145 |
| D-Dimer mg/L | <0.5 | 1.77 | 0.76 | 2.41 |
| Fibrinogen mg/dLA | 283–401 | 197 | 67 | 146 |
| Ferritin ug/mL | 30–400 | 1000 | 659 | 402 |
| Lactic Dehydrogenase U/L | 225–600 | 520 | 234 | 317 |
| Serum albumin g/dL | 3.8–5.4 | 2.8 | 3.9 | 4.8 |
| Specimen | Sampling (dd/mm/aa) | SARS-CoV-2 Viral Load (cp/mL log) |
|---|---|---|
| NPS | 06/03/21 | 1.17 × 1010 |
| BAL | 10/03/21 | 2.68 × 109 |
| BAL | 13/03/21 | 1.31 × 109 |
| BAL | 16/03/21 | 1.29 × 106 |
| BAL | 19/03/21 | 1.42 × 105 |
| BAL | 21/03/21 | 1.75 × 106 |
| NPS | 26/03/21 | 1.44 × 103 |
| NPS | 10/04/21 | 1.12 × 103 |
Publisher’s Note: MDPI stays neutral with regard to jurisdictional claims in published maps and institutional affiliations. |
© 2021 by the authors. Licensee MDPI, Basel, Switzerland. This article is an open access article distributed under the terms and conditions of the Creative Commons Attribution (CC BY) license (https://creativecommons.org/licenses/by/4.0/).
Share and Cite
Cursi, L.; Calo Carducci, F.I.; Chiurchiu, S.; Romani, L.; Stoppa, F.; Lucignani, G.; Russo, C.; Longo, D.; Perno, C.F.; Cecchetti, C.; et al. Severe COVID-19 Complicated by Cerebral Venous Thrombosis in a Newborn Successfully Treated with Remdesivir, Glucocorticoids, and Hyperimmune Plasma. Int. J. Environ. Res. Public Health 2021, 18, 13201. https://doi.org/10.3390/ijerph182413201
Cursi L, Calo Carducci FI, Chiurchiu S, Romani L, Stoppa F, Lucignani G, Russo C, Longo D, Perno CF, Cecchetti C, et al. Severe COVID-19 Complicated by Cerebral Venous Thrombosis in a Newborn Successfully Treated with Remdesivir, Glucocorticoids, and Hyperimmune Plasma. International Journal of Environmental Research and Public Health. 2021; 18(24):13201. https://doi.org/10.3390/ijerph182413201
Chicago/Turabian StyleCursi, Laura, Francesca Ippolita Calo Carducci, Sara Chiurchiu, Lorenza Romani, Francesca Stoppa, Giulia Lucignani, Cristina Russo, Daniela Longo, Carlo Federico Perno, Corrado Cecchetti, and et al. 2021. "Severe COVID-19 Complicated by Cerebral Venous Thrombosis in a Newborn Successfully Treated with Remdesivir, Glucocorticoids, and Hyperimmune Plasma" International Journal of Environmental Research and Public Health 18, no. 24: 13201. https://doi.org/10.3390/ijerph182413201
APA StyleCursi, L., Calo Carducci, F. I., Chiurchiu, S., Romani, L., Stoppa, F., Lucignani, G., Russo, C., Longo, D., Perno, C. F., Cecchetti, C., Lombardi, M. H., D’Argenio, P., Lancella, L., Bernardi, S., & Rossi, P. (2021). Severe COVID-19 Complicated by Cerebral Venous Thrombosis in a Newborn Successfully Treated with Remdesivir, Glucocorticoids, and Hyperimmune Plasma. International Journal of Environmental Research and Public Health, 18(24), 13201. https://doi.org/10.3390/ijerph182413201

