Pneumocystis jirovecii Pneumonia in Non-HIV Patients Recovering from COVID-19: A Single-Center Experience
Abstract
:1. Background
2. Patients and Methods
3. Case Series
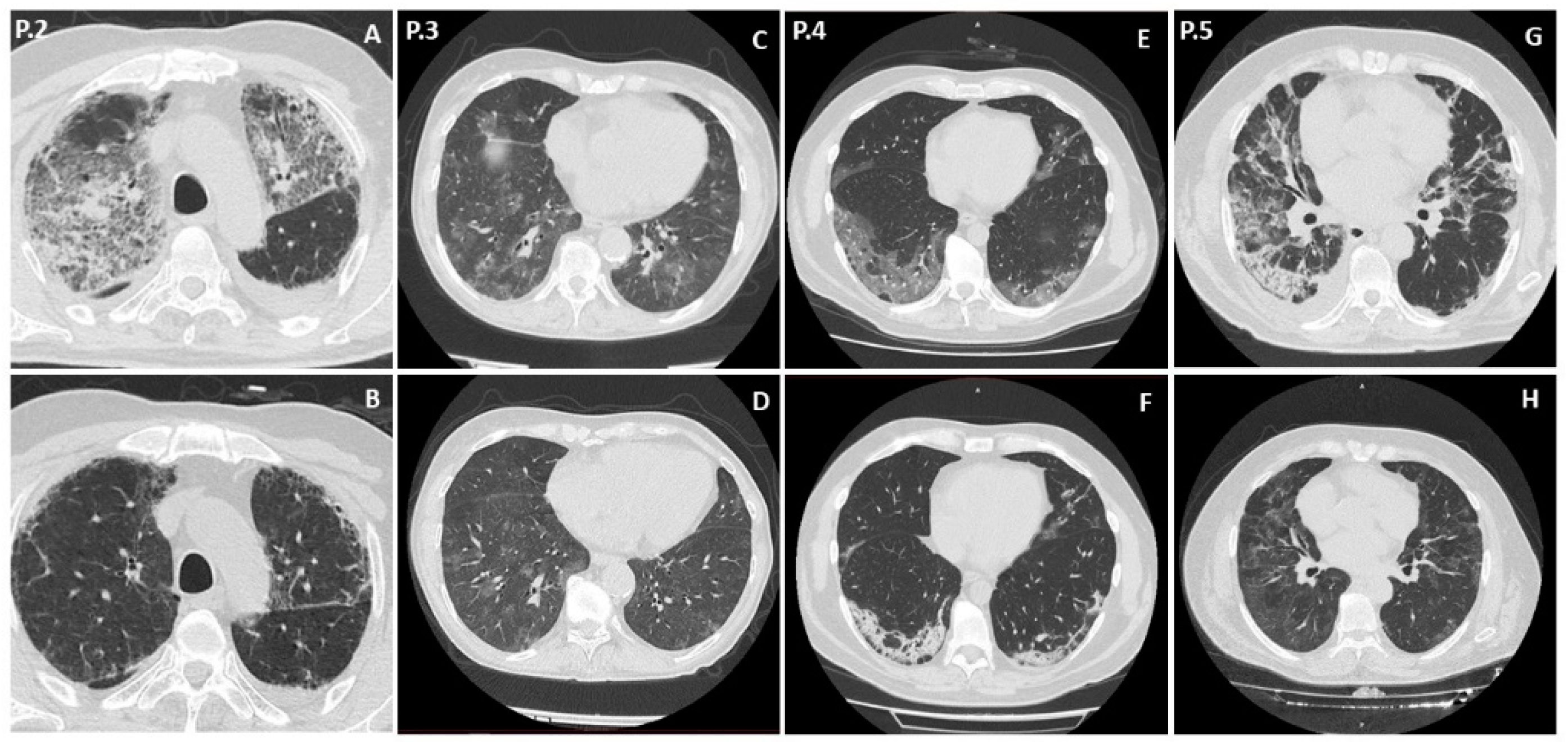
3.1. Patient 1
3.2. Patient 2
3.3. Patient 3
3.4. Patient 4
3.5. Patient 5
4. Discussion
5. Conclusions
Author Contributions
Funding
Institutional Review Board Statement
Informed Consent Statement
Data Availability Statement
Acknowledgments
Conflicts of Interest
References
- Wang, D.; Hu, B.; Hu, C.; Zhu, F.; Liu, X.; Zhang, J.; Wang, B.; Xiang, H.; Cheng, Z.; Xiong, Y.; et al. Clinical Characteristics of 138 Hospitalized Patients With 2019 Novel Coronavirus–Infected Pneumonia in Wuhan, China. JAMA 2020, 323, 1061. [Google Scholar] [CrossRef] [PubMed]
- Koehler, P.; Bassetti, M.; Chakrabarti, A.; Chen, S.C.A.; Colombo, A.L.; Hoenigl, M.; Klimko, N.; Lass-Flörl, C.; Oladele, R.O.; Vinh, D.C.; et al. Defining and managing COVID-19-associated pulmonary aspergillosis: The 2020 ECMM/ISHAM consensus criteria for research and clinical guidance. Lancet Infect. Dis. 2020, 21, e149–e162. [Google Scholar] [CrossRef]
- Alanio, A.; Dellière, S.; Voicu, S.; Bretagne, S.; Mégarbane, B. The presence of Pneumocystis jirovecii in critically ill patients with COVID-19. J. Infect. 2020, 82, 84–123. [Google Scholar] [CrossRef] [PubMed]
- Coleman, H.; Snell, L.B.; Simons, R.; Douthwaite, S.T.; Lee, M.J. Coronavirus disease 2019 and Pneumocystis jirovecii pneumonia: A diagnostic dilemma in HIV. AIDS 2020, 34, 1258–1260. [Google Scholar] [CrossRef] [PubMed]
- Donnelly, J.P.; Chen, S.C.; Kauffman, C.A.; Steinbach, W.J.; Baddley, J.W.; Verweij, P.; Clancy, C.J.; Wingard, J.R.; Lockhart, S.R.; Groll, A.H.; et al. Revision and Update of the Consensus Definitions of Invasive Fungal Disease From the European Organization for Research and Treatment of Cancer and the Mycoses Study Group Education and Research Consortium. Clin. Infect. Dis. 2019, 71, 1367–1376. [Google Scholar] [CrossRef] [PubMed] [Green Version]
- Viceconte, G.; Buonomo, A.R.; Lanzardo, A.; Pinchera, B.; Zappulo, E.; Scotto, R.; Schiano Moriello, N.; Vargas, M.; Iacovazzo, C.; Servillo, G.; et al. Pneumocystis jirovecii pneumonia in an immunocompetent patient recovered from COVID-19. Infect. Dis. 2021, 53, 382–385. [Google Scholar] [CrossRef] [PubMed]
- Chung, M.; Bernheim, A.; Mei, X.; Zhang, N.; Huang, M.; Zeng, X.; Cui, J.; Xu, W.; Yang, Y.; Fayad, Z.A.; et al. CT Imaging Features of 2019 Novel Coronavirus (2019-nCoV). Radiology 2020, 295, 202–207. [Google Scholar] [CrossRef] [PubMed] [Green Version]
- The Recovery Collaborative Group. Dexamethasone in Hospitalized Patients with COVID-19—Preliminary Report. N. Engl. J. Med. 2021, 384, 693–704. [Google Scholar] [CrossRef] [PubMed]
- Sun, H.-B.; Zhang, Y.-M.; Huang, L.-G.; Lai, Q.-N.; Mo, Q.; Ye, X.-Z.; Wang, T.; Zhu, Z.-Z.; Lv, X.-L.; Luo, Y.-J.; et al. The changes of the peripheral CD4+ lymphocytes and inflammatory cytokines in Patients with COVID-19. PLoS ONE 2020, 15, e0239532. [Google Scholar] [CrossRef] [PubMed]
- Nasim, S.; Kumar, S.; Azim, D.; Ashraf, Z.; Azeem, Q. Corticosteroid use for 2019-nCoV infection: A double-edged sword. Infect. Control. Hosp. Epidemiol. 2020, 41, 1244–1245. [Google Scholar] [CrossRef] [PubMed] [Green Version]

| Patient 1 | Patient 2 | Patient 3 | Patient 4 | Patient 5 | Median (IQR) | |
|---|---|---|---|---|---|---|
| ICU | No | Yes | No | No | No | |
| High-flow ventilation | Yes | Yes | No | No | No | |
| PJP diagnosis | Proven | Possible | Proven | Proven | Possible | |
| Days from COVID onset | 40 | 39 | 120 | 45 | 26 | 40 (32.5–82.5) |
| SARS-CoV-2 RNA at PJP diagnosis | negative | negative | positive | positive | negative | |
| Cumulative steroid dosage (prednisone equivalent) | 962 mg | 1150 mg | 630 mg | 400 mg | 475 mg | 630 (437–1056) |
| Total Steroid days | 32 | 25 | 15 | 15 | 20 | 20 (15–28.5) |
| CD4 count at PJP diagnosis (cell/mm3) | 895 | 141 | 93 | 62 | 1012 | 141 (77–953.5) |
| Absolute lymphocyte count at PJP diagnosis (cell/mm3) | 1260 | 590 | 240 | 260 | 2200 | 590 (250–1730) |
| Pre-existing PJP risk factors | None | None | Rituximab NHL | None | None | |
| Host factors for PJP development according to EORTC/MSGERC consensus (see text) | Steroids | Steroids CD4+ count | Steroids CD4+ count Medications | Steroids CD4+ count | Steroids |
Publisher’s Note: MDPI stays neutral with regard to jurisdictional claims in published maps and institutional affiliations. |
© 2021 by the authors. Licensee MDPI, Basel, Switzerland. This article is an open access article distributed under the terms and conditions of the Creative Commons Attribution (CC BY) license (https://creativecommons.org/licenses/by/4.0/).
Share and Cite
Gentile, I.; Viceconte, G.; Lanzardo, A.; Zotta, I.; Zappulo, E.; Pinchera, B.; Scotto, R.; Schiano Moriello, N.; Foggia, M.; Giaccone, A.; et al. Pneumocystis jirovecii Pneumonia in Non-HIV Patients Recovering from COVID-19: A Single-Center Experience. Int. J. Environ. Res. Public Health 2021, 18, 11399. https://doi.org/10.3390/ijerph182111399
Gentile I, Viceconte G, Lanzardo A, Zotta I, Zappulo E, Pinchera B, Scotto R, Schiano Moriello N, Foggia M, Giaccone A, et al. Pneumocystis jirovecii Pneumonia in Non-HIV Patients Recovering from COVID-19: A Single-Center Experience. International Journal of Environmental Research and Public Health. 2021; 18(21):11399. https://doi.org/10.3390/ijerph182111399
Chicago/Turabian StyleGentile, Ivan, Giulio Viceconte, Amedeo Lanzardo, Irene Zotta, Emanuela Zappulo, Biagio Pinchera, Riccardo Scotto, Nicola Schiano Moriello, Maria Foggia, Agnese Giaccone, and et al. 2021. "Pneumocystis jirovecii Pneumonia in Non-HIV Patients Recovering from COVID-19: A Single-Center Experience" International Journal of Environmental Research and Public Health 18, no. 21: 11399. https://doi.org/10.3390/ijerph182111399
APA StyleGentile, I., Viceconte, G., Lanzardo, A., Zotta, I., Zappulo, E., Pinchera, B., Scotto, R., Schiano Moriello, N., Foggia, M., Giaccone, A., Messina, G., Salvatore, P., Buonomo, A. R., & Federico II COVID-19 Team. (2021). Pneumocystis jirovecii Pneumonia in Non-HIV Patients Recovering from COVID-19: A Single-Center Experience. International Journal of Environmental Research and Public Health, 18(21), 11399. https://doi.org/10.3390/ijerph182111399

