The Pattern of Mandibular Third Molar Impaction and Assessment of Surgery Difficulty: A Retrospective Study of Radiographs in East Baltic Population
Abstract
1. Introduction
- To assess the pattern of impacted mandibular third molars in an East Baltic population;
- To assess the difficulty of surgical removal of impacted mandibular third molars in an East Baltic population.
2. Materials and Methods
2.1. Methodology of the Study
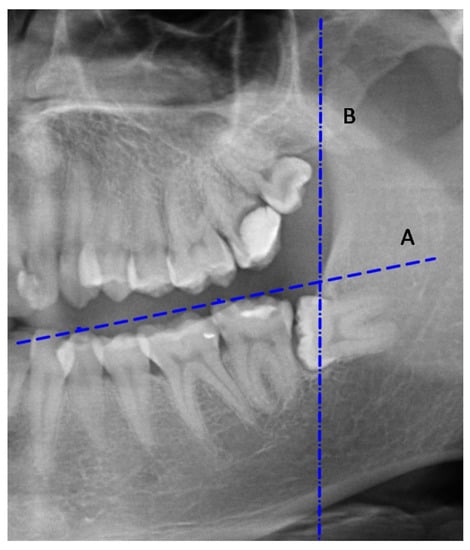
2.1.1. Plotting the Lines Necessary to Evaluate the Impaction of an Impacted Mandibular Third Molar
- Long axis of the tooth (a);
- Occlusal plane (A);
- Tangent to the anterior margin of the mandibular ramus (B).
2.1.2. Classification According to Winter
- Vertical impaction—the long axes of the second molar and the impacted third molar are parallel;
- Mesioangular impaction—the long axes of the second molar and the impacted third molar are coincident docoronally;
- Distal-angular impaction—the long axes of the second molar and impacted third molar are convergent apically;
- Horizontal impaction—the long axes of the second molar and impacted third molar are at right angles;
- Buccolingual impaction—each tooth is oriented in a buccolingual direction;
- Inverted impaction;
- Other orientation.
2.1.3. Classification by Pell and Gregory
2.1.4. Classification According to Tetsch and Wagner
- Vertical impaction—the tooth is aligned parallel to the adjacent molars, at an angle of approximately 90° to the occlusal plane.
- Horizontal impaction—the tooth is aligned parallel to the occlusal plane, at an angle of approximately 0°; depending on the direction of the position of the crown of the tooth, an additional distinction is made.
- Sagittal impaction:
- Medial-angular (the impacted third molar faces the occlusal surface to the second molar);
- Distal-angular (the impacted third molar faces the occlusal surface to the anterior edge of the mandibular ramus).
- Cross-impaction:
- Buccal-angular (impacted third molar faces the occlusal surface to the buccal side);
- Lingual-angular (impacted third molar faces the occlusal surface toward the lingual side).
- Oblique impaction—the tooth is inclined concerning the occlusal plane in different variants, depending on the course of the long axis of the tooth concerning the occlusal plane from 0 degrees to 90 degrees.
- Medial-angular;
- Distal-angular;
- Lingual-angular;
- Bucco-angular;
- Displacement impaction.
2.1.5. Classification by Asanami and Kasazaki
- Vertical position:
- 2.
- Distal inclination:
- 3.
- Anterior inclination:
- 4.
- Horizontal position:
- 5.
- Horizontal lingual position;
- 6.
- Lingual inclination;
- 7.
- Horizontal buccal position;
- 8.
- Buccal inclination;
- 9.
- Inverted position.
2.1.6. Preoperative Assessment of the Difficulty of Surgical Removal of an Impacted Third Molar in the Mandible
2.2. Methodology of Statistical Analysis
3. Results
3.1. Characteristics of the Study Group
3.2. Winter Characteristics of Lower Wisdom Teeth Position
3.3. Position Characteristics of Lower Wisdom Teeth According to Pell and Gregory
3.4. Position Characteristics of Lower Wisdom Teeth According to Tetsch and Wagner
3.5. Position Characteristics of Lower Wisdom Teeth According to Asanami and Kasazaki
4. Discussion
4.1. Position Characteristics of Mandibular Impacted Third Molar
4.2. Evaluation of the Predicted Degree of Difficulty in the Surgical Removal of an Impacted Mandibular Third Molar
5. Conclusions
Author Contributions
Funding
Institutional Review Board Statement
Informed Consent Statement
Data Availability Statement
Conflicts of Interest
References
- Dimitroulis, G. A Synopsis of Minor Oral Surgery, 4th ed.; Butterworth-Heinemann Publishing: Oxford, UK, 1996; pp. 48–57. [Google Scholar]
- Peterson, L.J.; Ellis, E.I.I.I.; Hupp, J.R.; Tuker, M.R. Principles of Management of Impacted Teeth. Contemporary Oral and Maxillofacial Surgery, 3rd ed.; Elsever: St. Louis, MO, USA, 1998. [Google Scholar]
- Peltola, J.S. A panoramatomographic study of the teeth and jaws of Finnish university students. Community Dent. Oral Epidemiol. 1993, 21, 36–39. [Google Scholar] [CrossRef]
- Chu, F.; Li, T.; Lui, V.; Newsome, P.; Chow, R.; Cheung, L. Prevalence of impacted teeth and associated pathologies—A radiographic study of the Hong Kong Chinese population. Hong Kong Med. J. 2003, 9, 158–163. [Google Scholar]
- Rahman, A. Radiological Assessment of Surgery Difficulty of Impacted Mandibular Third Molar. Int. Med. J. 1994, 21, 110–112. [Google Scholar]
- Abu-Hussein, M.; Watted, N. Prevalence of Impacted Mandibular Third Molars in Population of Arab Israeli: A Retrospective Study. IOSR-JDMS 2016, 15, 1–10. [Google Scholar]
- Blondeau, F.; Daniel, N.G. Extraction of impacted mandibular third molars: Postoperative complications and their risk factors. J. Can. Dent. Assoc. 2007, 73, 325. [Google Scholar] [PubMed]
- Szubert, P.; Jankowski, M.; Krajecki, M.; Jankowska-Wika, A.; Sokalski, J. Analiza czynników predysponujących do powikłań po chirurgicznym usunięciu zębów mądrości w żuchwie. Dental Forum 2015, 1, 45–50. [Google Scholar]
- Trybek, G.; Jaroń, A.; Grzywacz, A. Association of Polymorphic and Haplotype Variants of the MSX1 Gene and the Impacted Teeth Phenomenon. Genes 2021, 12, 577. [Google Scholar] [CrossRef]
- Zawilska, A.; Koszowski, R.; Waśkowska, J. Ocena budowy oraz typów retencji zatrzymanych trzecich trzonowców w obrazie pantomograficznym. Ann. Acad. Med. Stetin. 2007, 53, 165–171. [Google Scholar]
- Avery, J. Oral Development and Histology, 3rd ed.; Thieme: New York, NY, USA, 2011. [Google Scholar]
- Sigron, G.R.; Pourmand, P.P.; Mache, B.; Stadlinger, B.; Locher, M.C. The most common complications after wisdom-tooth removal: Part 1: A retrospective study of 1199 cases in the mandible. Swiss Dent. J. 2014, 124, 1042–1046, 1052–1056. [Google Scholar]
- Młynarska-Zduniak, E.; Żyszko, A. Położenie trzecich zębów trzonowych na zdjęciach pantomograficznych u osób z normą zgryzową. Czas. Stomatol. 1996, 49, 120–124. [Google Scholar]
- Matzen, L.H.; Wenzel, A. Efficacy of CBCT for assessment of impacted mandibular third molars: A review—Based on a hierarchical model of evidence. Dentomaxillofa. Radiol. 2014, 44, 1–11. [Google Scholar] [CrossRef]
- Winter, G.B. Impacted Mandibular Third Molars; American Medical Book Co.: St. Louis, MO, USA, 1926. [Google Scholar]
- Pell, G.J.; Gregory, G.T. Impacted mandibular third molars: Classification and modified technique for removal. Dent. Dig. 1933, 39, 330–338. [Google Scholar]
- Tetsch, P.; Wagner, W. Operative Extraction of Wisdom Teeth; Wolfe Medical Publication: London, UK, 1985. [Google Scholar]
- Asanami, S.; Kasazaki, Y. Expert Third Molar Extractions; Quintessence Publishing: Tokyo, Japan, 1990. [Google Scholar]
- Ratajek-Gruda, M.; Grzesiak-Janas, G.; Białkowska-Głowacka, J. Wyznaczanie osi długiej trzecich dolnych zębów trzonowych na zdjęciach pantomograficznych. Mag. Stom. 2004, 3, 54–55. [Google Scholar]
- Hashemipour, M.A.; Tahmasbi-Arashlow, M.; Fahimi-Hanzaei, F. Incidence of impacted mandibular and maxillary third molars: A radiographic study in a Southeast Iran population. Med. Oral Patol. Oral Cir. Bucal. 2013, 18, 140–145. [Google Scholar] [CrossRef] [PubMed]
- Vilela, M.E.; Amorim, P. Study of position and eruption of lower third molars in adolescents. RSBO 2011, 8, 390–397. [Google Scholar]
- Diniz-Freitas, M.; Lago-Mendez, L.; Gude-Sampedro, F.; SomozaMartin, J.M.; Gándara-Rey, J.M.; García-García, A. Pederson scale fails to predict how difficult it will be to extract lower third molars. Br. J. Oral Maxillofac. Surg. 2007, 45, 23–26. [Google Scholar] [CrossRef]
- Kharma, M.Y.; Sakka, S.; Aws, G.; Tarakji, B.; Nassani, M.Z. Reliability of Pederson scale in surgical extraction of impacted lower third molars: Proposal of new scale. J. Oral Dis. 2014, 2014, 1–4. [Google Scholar] [CrossRef]
- R Core Team. R: A Language and Environment for Statistical Computing; R Foundation for Statistical Computing: Vienna, Austria; Available online: https://www.R-project.org/ (accessed on 1 February 2019).
- Gbotolorun, O.M.; Arotiba, G.T.; Ladeinde, A.L. Assessment of factors associated with surgical difficulty in impacted mandibular third molar extraction. J. Oral Maxillofac. Surg. 2007, 65, 1977–1983. [Google Scholar] [CrossRef]
- Padhye, M.N.; Dabir, A.V.; Girotra, C.S.; Pandhi, V.H. Pattern of mandibular third molar impaction in the Indian population: A retrospective clinico-radiographic survey. Oral Surg. Oral Med. Oral Pathol. Oral Radiol. 2013, 116, 161–166. [Google Scholar] [CrossRef]
- Kumar, V.R.; Yadav, P.; Kahsu, E.; Girkar, F.; Chakraborty, R. Prevalence and Pattern of Mandibular Third Molar Impaction in Eritrean Population: A Retrospective Study. J. Contemp. Dent. Pract. 2017, 18, 100–106. [Google Scholar] [CrossRef]
- Nagaraj, T.; Balraj, L.; Irugu, K.; Rajashekarmurthy, S.; Sreelakshmi. Radiographic assessment of distribution of mandibular third molar impaction: A retrospective study. J. Indian. Acad. Oral Med. Radiol. 2016, 28, 145. [Google Scholar]
- Quek, S.L.; Tay, C.K.; Tay, K.H.; Toh, S.L.; Lim, K.C. Pattern of third molar impaction in a Singapore Chinese population: A retrospective radiographic survey. Int. J. Oral Maxillofac. Surg. 2003, 32, 548–552. [Google Scholar] [CrossRef]
- Al-Anqudi, S.M.; Al-Sudairy, S.; Al-Hosni, A.; Al-Maniri, A. Prevalence and Pattern of Third Molar Impaction: A retrospective study of radiographs in Oman. Sultan. Qaboos. Univ. Med. J. 2014, 14, 388–392. [Google Scholar]
- Eshghpour, M.; Nezadi, A.; Moradi, A.; Shamsabadi, R.M.; Rezaei, N.M.; Nejat, A. Pattern of mandibular third molar impaction: A cross-sectional study in northeast of Iran. Niger J. Clin. Pract. 2014, 17, 673–677. [Google Scholar]
- Elkhateeb, S.M.; Awad, S.S. Accuracy of panoramic radiographic predictor signs in the assessment of proximity of impacted third molars with the mandibular canal. J. Taibah Univ. Med Sci. 2018, 3, 254–261. [Google Scholar] [CrossRef]
- Al-Dajani, M.; Abouonq, A.O.; Almohammadi, T.; Alruwaili, M.K.; Alswilem, R.O.; Ibrahim, A.A.; Alzoubi, A. Cohort Study of the Patterns of Third Molar Impaction in Panoramic Radiographs in Saudi Population. Open Dent. J. 2017, 11, 648–660. [Google Scholar] [CrossRef]
- Yilmaz, S.; Adisen, M.Z.; Misirlioglu, M.; Yorubulutb, S. Assessment of Third Molar Impaction Pattern and Associated Clinical Symptoms in a Central Anatolian Turkish Population. Med. Princ. Pract. 2016, 25, 169–175. [Google Scholar] [CrossRef]
- Goyal, S.; Verma, P.; Raj, S.S. Radiographic Evaluation of the Status of Third Molars in Sriganganagar Population—A Digital Panoramic Study. MJMS 2016, 23, 103–112. [Google Scholar] [CrossRef]
- Obuekwe, O.N.; Enabulele, J.E. Gender Variation in Pattern of Mandibular Third Molar Impaction. Oral Disord. Ther. 2017, 5, 1–4. [Google Scholar]
- Wazir, S.; Khan, M.; Ashfaq, M.; Manzoor, S. Evaluation of Third Molar Impaction Distribution and Patterns in a Sample of Lebanese Population. Pak. Oral Dental, J. 2017, 37, 547–550. [Google Scholar]
- Latt, M.M.; Chewpreecha, P.; Wongsirichat, N. Prediction of difficulty in impacted lower third molars extraction; review of literature. M Dent. J. 2015, 35, 281–290. [Google Scholar]
- Obiechina, A.E.; Arotiba, J.T.; Fasola, A.O. Third molar impaction: Evaluation of the symptoms and pattern of impaction of mandibular third molar teeth in Nigerians. Odontostomatol. Trop. 2001, 24, 22–25. [Google Scholar]
- Abbas, G.A.; Uraibi, A.H. Assessment of impaction pattern and associated symptoms for mandibular third molar. Med. Princ Pract. 2016, 25, 169–175. [Google Scholar]
- Prajapati, V.K.; Mitra, R.; Vinayak, K.M. Pattern of mandibular third molar impaction and its association to caries in mandibular second molar: A clinical variant. Dent. Res. J. 2017, 14, 137–142. [Google Scholar]
- Kaczmarzyk, T.; Wichlinski, J.; Stypulkowska, J.; Zaleska, M.; Panas, M.; Woron, J. Single-dose and multi-dose clindamycin therapy fails to demonstrate efficacy in preventing infectious and inflammatory complications in third molar surgery. Int. J. Oral Maxillofac. Surg. 2007, 36, 417–422. [Google Scholar] [CrossRef]
- Park, K.L. Which factors are associated with difficult surgical extraction of impacted lower third molars? J. Korean Assoc. Oral Maxillofac. Surg. 2016, 42, 251–258. [Google Scholar] [CrossRef]
- Kumar, S.; Sinha, R.; Uppada, U.K.; Ramakrishna Reddy, B.V.; Paul, D. Mandibular Third Molar Position Influencing the Condylar and Angular Fracture Patterns. J. Maxillofac. Oral Surg. 2015, 14, 956–961. [Google Scholar] [CrossRef] [PubMed]
- Costantinides, F.; Biasotto, M.; Maglione, M.; Di Lenarda, R. Local vs general anaesthesia in the development of neurosensory disturbances after mandibular third molars extraction: A retrospective study of 534 cases. Med. Oral Patol. Oral Cir. Bucal. 2016, 21, e724–e730. [Google Scholar] [CrossRef] [PubMed]
- Renton, T.; Smeeton, N.; Mcgurk, M. Factors predictive of difficulty of mandibular third molar surgery. Br. Dent. J. 2001, 190, 607–610. [Google Scholar] [CrossRef]
- Susarla, S.M.; Dodson, T.B. How well do clinicians estimate third molar extraction difficulty? J. Oral Maxillofac. Surg. 2005, 63, 191–199. [Google Scholar] [CrossRef]
- Akadiri, O.; Obiechina, A. Assessment of difficulty in third molar surgery—A systematic review. J. Oral Maxillofac. Surg. 2009, 67, 771–774. [Google Scholar] [CrossRef] [PubMed]


| n (%) | ||
|---|---|---|
| Age | Average ± SD | 26.95 ± 8.48 |
| Median | 25 | |
| Quartile | 21–31 | |
| Under 20 | 337 (21.29%) | |
| 20–25 | 471 (29.75%) | |
| 26–30 | 374 (23.63%) | |
| Over 3 | 401 (25.33%) | |
| Sex | Female | 998 (63.04%) |
| Male | 585 (36.96%) |
| n (%) | ||
|---|---|---|
| Tooth number | Tooth 38 | 794 (50.16%) |
| Tooth 48 | 789 (49.84%) | |
| Diagnosis | Retentio totalis | 899 (56.79%) |
| Retentio partialis asymtomathic | 482 (30.45%) | |
| Retentio partialis symtomathic | 202 (12.76%) | |
| Difficulty of the procedure | Very difficult | 626 (39.54%) |
| Moderately difficult | 596 (37.65%) | |
| Slightly difficult | 361 (22.80%) | |
| n (%) | ||
|---|---|---|
| Classification according to Winter | Mesioangular | 832 (52.56%) |
| Distal-angular | 618 (39.04%) | |
| Vertical | 85 (5.37%) | |
| Horizontal | 31 (1.96%) | |
| Buccolingual | 9 (0.57%) | |
| Inverted | 7 (0.44%) | |
| Other | 1 (0.06%) | |
| n (%) | ||
|---|---|---|
| Position concerning the anterior margin of the mandibular ramus | 1 | 299 (18.89%) |
| 2 | 1115 (70.44%) | |
| 3 | 169 (10.68%) | |
| Position concerning the occlusal plane | A | 801 (50.60%) |
| B | 629 (39.73%) | |
| C | 153 (9.67%) | |
| Classification by Pell and Gregory | 1A | 159 (10.04%) |
| 1B | 105 (6.63%) | |
| 1C | 35 (2.21%) | |
| 2A | 574 (36.26%) | |
| 2B | 452 (28.55%) | |
| 2C | 89 (5.62%) | |
| 3A | 68 (4.30%) | |
| 3B | 72 (4.55%) | |
| 3C | 29 (1.83%) | |
| n (%) | ||
|---|---|---|
| Classification according to Tetsch and Wagner | Oblique medial-angular | 833 (52.62%) |
| Oblique distal-angular | 617 (38.98%) | |
| Vertical | 85 (5.37%) | |
| Horizontal | 20 (1.26%) | |
| Horizontal medial-angular | 11 (0.69%) | |
| Buccolingual | 9 (0.57%) | |
| Inverted | 7 (0.44%) | |
| Other | 1 (0.06%) | |
| n (%) | ||
|---|---|---|
| Horizontal position | 1 | 51 (3.22%) |
| 2 | 61 (3.85%) | |
| 3 | 631 (39.86%) | |
| Inability to assess | 840 (53.06%) | |
| Vertical position | A | 801 (50.60%) |
| B | 629 (39.73%) | |
| C | 153 (9.67%) | |
| Classification by Asanami and Kasazaki | Anterior inclination | 832 (52.56%) |
| Distal inclination | 574 (36.26%) | |
| Vertical | 85 (5.37%) | |
| Distal position | 44 (2.78%) | |
| Horizontal | 31 (1.96%) | |
| Horizontal buccolingual | 9 (0.57%) | |
| Inverted | 7 (0.44%) | |
| Other | 1 (0.06%) | |
Publisher’s Note: MDPI stays neutral with regard to jurisdictional claims in published maps and institutional affiliations. |
© 2021 by the authors. Licensee MDPI, Basel, Switzerland. This article is an open access article distributed under the terms and conditions of the Creative Commons Attribution (CC BY) license (https://creativecommons.org/licenses/by/4.0/).
Share and Cite
Jaroń, A.; Trybek, G. The Pattern of Mandibular Third Molar Impaction and Assessment of Surgery Difficulty: A Retrospective Study of Radiographs in East Baltic Population. Int. J. Environ. Res. Public Health 2021, 18, 6016. https://doi.org/10.3390/ijerph18116016
Jaroń A, Trybek G. The Pattern of Mandibular Third Molar Impaction and Assessment of Surgery Difficulty: A Retrospective Study of Radiographs in East Baltic Population. International Journal of Environmental Research and Public Health. 2021; 18(11):6016. https://doi.org/10.3390/ijerph18116016
Chicago/Turabian StyleJaroń, Aleksandra, and Grzegorz Trybek. 2021. "The Pattern of Mandibular Third Molar Impaction and Assessment of Surgery Difficulty: A Retrospective Study of Radiographs in East Baltic Population" International Journal of Environmental Research and Public Health 18, no. 11: 6016. https://doi.org/10.3390/ijerph18116016
APA StyleJaroń, A., & Trybek, G. (2021). The Pattern of Mandibular Third Molar Impaction and Assessment of Surgery Difficulty: A Retrospective Study of Radiographs in East Baltic Population. International Journal of Environmental Research and Public Health, 18(11), 6016. https://doi.org/10.3390/ijerph18116016
