Regular Physical Activity as a Potential Risk Factor for Erosive Lesions in Adolescents
Abstract
1. Introduction
2. Materials and Methods
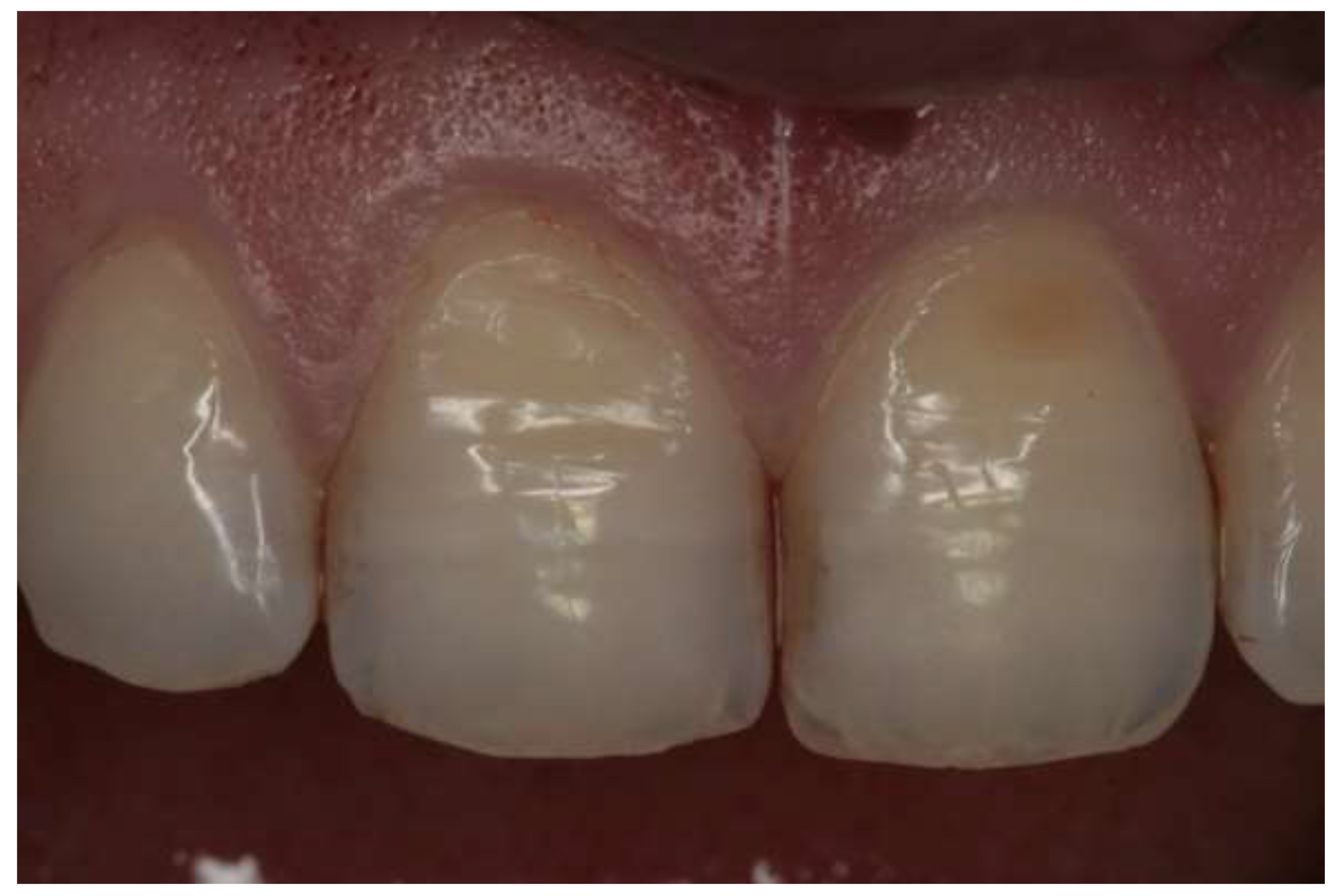
- Grade 0: no erosive changes;
- Grade 1: initial loss of enamel texture;
- Grade 2: visible loss of hard tissues under 50% of the surface; and
- Grade 3: visible loss of hard tissues over 50% of the surface.
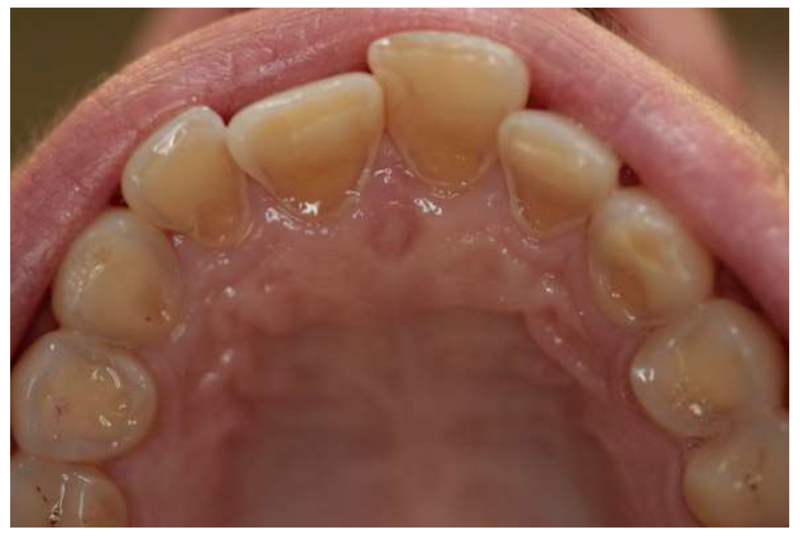
- BEWE 0-2: no risk (code 0);
- BEWE 3-8: low risk (code 1);
- BEWE 9-13: average risk (code 2); and
- BEWE ≥14: high risk (code 3).
3. Results
3.1. Basic Statistics
3.2. Logistic Regression Model
3.3. Multidimensional Correspondence Analysis
4. Discussion
5. Conclusions
Author Contributions
Funding
Acknowledgments
Conflicts of Interest
References
- Amaechi, B.T.; Higham, S.M. Dental erosion: Possible approaches to prevention and control. J. Dent. 2005, 33, 243–252. [Google Scholar] [CrossRef] [PubMed]
- Walerczyk, A.; Paszyńska, E.; Surdacka, A. Non-carious tooth loss in terms of erosion—A literature review. Dent. Forum 2015, 43, 89–96. [Google Scholar]
- Bartlett, D.W.; Shah, P. A critical review of non-carious cervical (wear) lesions and the role of abfraction, erosion, and abrasion. J. Dent. Res. 2006, 85, 306–312. [Google Scholar] [CrossRef] [PubMed]
- Ranjitkar, S.; Rodriguez, J.M.; Kaidonis, J.A.; Richards, L.C.; Townsend, G.C.; Bartlett, D.W. The effect of casein phosphopeptide-amorphous calcium phosphate on erosive enamel and dentine wear by toothbrush abrasion. J. Dent. 2009, 37, 250–254. [Google Scholar] [CrossRef] [PubMed]
- Rees, J.; Loyn, T.; Chadwick, B. Pronamel and tooth mousse: An initial assessment of erosion prevention in vitro. J. Dent. 2007, 35, 355–357. [Google Scholar] [CrossRef] [PubMed]
- Mielczarek, A.; Aluchna, M.; Kwiatkowska, A. The effect of selected formulations on remineralization of enamel erosions. Nowa Stomatol. 2008, 2, 34–38. [Google Scholar]
- Ostrowska, A.; Piątowska, D. The effect of sports isotonic drinks on the prevalence of erosive lesions in teeth of athletes. Dent. Forum 2011, 1, 35–40. [Google Scholar]
- Mulic, A.; Tveit, A.B.; Songe, D.; Sivertsen, H.; Skaare, A.B. Dental erosive wear and salivary flow rate in physically active young adults. BMC Oral Health 2012, 12, 8. [Google Scholar] [CrossRef]
- Frazao, J.; Machado, L.; Ferreira, M.C. Dental erosion in schoolchildren and associated factors: A cross-sectional study. J. Indian Soc. Pedod. Prev. Dent. 2018, 36, 113–119. [Google Scholar] [CrossRef]
- Sanchez, G.A.; Fernandez de Preliasco, M.V. Salivary pH changes during soft drinks consumption in children. Int. J. Pediatr. Dent. 2003, 13, 251–257. [Google Scholar] [CrossRef]
- Ostrowska, A.; Piątowska, D.; Bołtacz-Rzepkowska, E. Evaluation of oral hygiene and dietary habits in athletes in terms of dental erosion. Probl. Hig. Epidemiol. 2013, 94, 253–257. [Google Scholar]
- Kaczmarek, W. The status of mineralized dental tissues in young competitive swimmers. Ann. Acad. Med. Stetin. 2010, 56, 81–86. [Google Scholar] [PubMed]
- Milosevic, A.; Kelly, M.J.; McLean, A.N. Sports supplement drinks and dental health in competitive swimmers and cyclists. Br. Dent. J. 1997, 182, 303–308. [Google Scholar] [CrossRef]
- Bartlett, D.; Ganss, C.; Lussi, A. Basic Erosive Wear Examination (BEWE): A new scoring system for scientific and clinical needs. Clin. Oral Investig. 2008, 12, 65–68. [Google Scholar] [CrossRef] [PubMed]
- Strużycka, I.; Rusyan, E.; Bogusławska-Kapała, A. Prevalence of dental erosion in young adults aged 18 years in Poland. Przegl. Epidemiol. 2014, 68, 775–778. [Google Scholar]
- Mulic, A.; Skudutyte-Rysstad, R.; Tveit, A.B.; Skaare, A.B. Risk indicators for dental erosive wear among 18-yr-old subjects in Oslo, Norway. Eur. J. Oral Sci. 2012, 120, 531–538. [Google Scholar] [CrossRef]
- Isaksson, H.; Birkhed, D.; Wendt, L.K.; Alm, A.; Nilsson, M.; Koch, G. Prevalence of dental erosion and association with lifestyle factors in Swedish 20-year old. Acta Odontol. Scand. 2014, 72, 448–457. [Google Scholar] [CrossRef] [PubMed]
- Margaritis, V.; Mamai-Homata, E.; Koletsi-Kounari, H.; Polychronopoulou, A. Evaluation of three different scoring systems for dental erosion: A comparative study in adolescents. J. Dent. 2011, 39, 88–93. [Google Scholar] [CrossRef]
- Bachanek, T.; Hendzel, B.; Wolańska, E.; Szybinsky, V.; Ogonovsky, R.; Hrynovets, V.; Samborski, D.; Nakonieczna-Rudnicka, M.; Chałas, R. Prevalence of dental erosion among 18-year-old adolescents in the borderland districts of Lviv (Ukraine) and Lublin (Poland). Ann. Agric. Environ. Med. 2018, 25, 66–70. [Google Scholar] [CrossRef]
- Kaczmarek, U.; Kobierska-Brzoza, J.; Fita, K. Prevalence of dental erosion in 15-year-old subjects from Opole province. Dent. Med. Probl. 2012, 49, 189–194. [Google Scholar]
- Kaczmarek, U.; Sołtan, E. Evaluation of dental erosions of extrinsic and intrinsic origin with use of BEWE index. Dent. Med. Probl. 2011, 48, 23–29. [Google Scholar]
- Geurtsen, W. Rapid general dental erosion by gas-chlorinated swimming pool water. Review of the literature and case report. Am. J. Dent. 2000, 13, 291–293. [Google Scholar] [PubMed]
- Waszkiel, D. Diet—Essential factor in aetiology of tooth erosion. Wiad. Lek. 2004, 57, 647–652. [Google Scholar]
- Al-Dlaigan, Y.H.; Shaw, L.; Smith, A. Dental erosion in a group of British 14-year-old schoolchildren. Part II. Br. Dent. J. 2001, 190, 258–261. [Google Scholar] [CrossRef]
- Søvik, J.B.; Skudutyte-Rysstad, R.; Tveit, A.B.; Sandvik, L.; Mulic, A. Sour sweets and acidic beverage consumption are risk indicators for dental erosion. Caries Res. 2015, 49, 243–250. [Google Scholar] [CrossRef]
- Antunes, L.S.; Veiga, L.; Nery, V.S.; Nery, C.C.; Antunes, L.A. Sports drink consumption and dental erosion among amateur runners. J. Oral Sci. 2017, 59, 639–643. [Google Scholar] [CrossRef]
- Prymas, A.; Stopa, J. Impact of exogenous and endogenous environmental factors on non-carious lesion formation. J. Stomatol. 2013, 66, 170–180. [Google Scholar] [CrossRef]
- Li, W.; Liu, J.; Chen, S.; Wang, Y.; Zhang, Z. Prevalence of dental erosion among people with gastroesophageal reflux disease in China. J. Prosthet. Dent. 2017, 117, 48–54. [Google Scholar] [CrossRef]
- Horswill, C.A.; Stofan, J.R.; Horn, M.K.; Eddy, D.E.; Murray, R. Effect of exercise and fluid consumption on salivary flow and pH. Int. J. Sports Med. 2006, 27, 500–504. [Google Scholar] [CrossRef] [PubMed]
- Frese, C.; Frese, F.; Kuhlmann, S.; Saure, D.; Reljic, D.; Staehle, H.J.; Wolff, D. Effect of endurance training on dental erosion, caries, and saliva. Scand. J. Med. Sci. Sports. 2015, 25, 319–326. [Google Scholar] [CrossRef] [PubMed]






| Female | Male | All | |
|---|---|---|---|
| team sports | 28 | 30 | 58 |
| fighting sports | 1 | 7 | 8 |
| water sports | 7 | 14 | 21 |
| individual sports | 12 | 3 | 15 |
| control group | 35 | 18 | 53 |
| 83 | 72 | 155 |
| BEWE > 0 [%] | p-Value | ||
|---|---|---|---|
| kind of sports activity | team sports | 51.72 | <0.001 |
| fighting sports | 50.00 | ||
| water sports | 80.95 | ||
| individual sports | 60.00 | ||
| control group | 22.64 | ||
| main beverage | water | 41.67 | 0.070 |
| isotonic drinks | 80.95 | 0.015 | |
| fruit juices | 45.33 | 0.103 | |
| carbonated drinks | 53.85 | 0.732 | |
| tendency to hold the drink in the mouth | 57.14 | 0.136 | |
| brushing method | horizontal | 50.00 | 0.401 |
| circular | 45.21 | ||
| sweeping | 20.00 | ||
| gastric disorders | 77.78 | 0.052 | |
| gender | female | 37.35 | 0.015 |
| male | 56.94 | ||
| β | SE | Wald Stat. | p-Value | Odds Ratio | Confidence OR -95% | Confidence OR 95% | |
|---|---|---|---|---|---|---|---|
| intercept | −0.616 | 0.388 | 2.520 | 0.112 | 0.540 | 0.252 | 1.155 |
| team sports | 1.418 | 0.462 | 9.423 | 0.002 | 4.129 | 1.670 | 10.209 |
| individual sports | 1.908 | 0.655 | 8.489 | 0.004 | 6.736 | 1.867 | 24.306 |
| fighting sports | 1.329 | 0.824 | 2.604 | 0.107 | 3.778 | 0.752 | 18.982 |
| water sports | 2.636 | 0.682 | 14.921 | <0.001 | 13.957 | 3.664 | 53.171 |
| special diet: 1 | 1.326 | 0.719 | 3.400 | 0.065 | 3.766 | 0.920 | 15.415 |
| water: 1 | −1.160 | 0.420 | 7.633 | 0.006 | 0.314 | 0.138 | 0.714 |
| x | y | z | Quality | Relative Inertia | x | y | z | ||||
|---|---|---|---|---|---|---|---|---|---|---|---|
| Inertia | cos^2 | Inertia | cos^2 | Inertia | cos^2 | ||||||
| team sports | −0.166 | 0.801 | −0.467 | 0.530 | 0.104 | 0.007 | 0.016 | 0.207 | 0.383 | 0.082 | 0.131 |
| individual sports | −0.553 | 0.259 | −0.090 | 0.041 | 0.151 | 0.021 | 0.033 | 0.006 | 0.007 | 0.001 | 0.001 |
| fighting sports | −0.111 | 0.539 | 4.211 | 0.982 | 0.158 | 0.001 | 0.001 | 0.013 | 0.016 | 0.915 | 0.965 |
| water sports | −1.503 | −0.669 | −0.068 | 0.425 | 0.144 | 0.219 | 0.354 | 0.052 | 0.070 | 0.001 | 0.001 |
| control group | 0.950 | −0.766 | −0.072 | 0.777 | 0.110 | 0.221 | 0.469 | 0.173 | 0.305 | 0.002 | 0.003 |
| BEWE: 0 | 0.792 | 0.074 | 0.000 | 0.729 | 0.077 | 0.240 | 0.723 | 0.003 | 0.006 | 0.000 | 0.000 |
| BEWE: 1 | −0.913 | −0.086 | −0.000 | 0.729 | 0.089 | 0.277 | 0.723 | 0.003 | 0.006 | 0.000 | 0.000 |
| water: 0 | −0.212 | −1.204 | −0.000 | 0.651 | 0.116 | 0.010 | 0.020 | 0.379 | 0.631 | 0.000 | 0.000 |
| water: 1 | 0.092 | 0.524 | 0.000 | 0.651 | 0.051 | 0.004 | 0.020 | 0.165 | 0.631 | 0.000 | 0.000 |
© 2020 by the authors. Licensee MDPI, Basel, Switzerland. This article is an open access article distributed under the terms and conditions of the Creative Commons Attribution (CC BY) license (http://creativecommons.org/licenses/by/4.0/).
Share and Cite
Nijakowski, K.; Walerczyk-Sas, A.; Surdacka, A. Regular Physical Activity as a Potential Risk Factor for Erosive Lesions in Adolescents. Int. J. Environ. Res. Public Health 2020, 17, 3002. https://doi.org/10.3390/ijerph17093002
Nijakowski K, Walerczyk-Sas A, Surdacka A. Regular Physical Activity as a Potential Risk Factor for Erosive Lesions in Adolescents. International Journal of Environmental Research and Public Health. 2020; 17(9):3002. https://doi.org/10.3390/ijerph17093002
Chicago/Turabian StyleNijakowski, Kacper, Anna Walerczyk-Sas, and Anna Surdacka. 2020. "Regular Physical Activity as a Potential Risk Factor for Erosive Lesions in Adolescents" International Journal of Environmental Research and Public Health 17, no. 9: 3002. https://doi.org/10.3390/ijerph17093002
APA StyleNijakowski, K., Walerczyk-Sas, A., & Surdacka, A. (2020). Regular Physical Activity as a Potential Risk Factor for Erosive Lesions in Adolescents. International Journal of Environmental Research and Public Health, 17(9), 3002. https://doi.org/10.3390/ijerph17093002

