Clear Cell Carcinoma of the Abdominal Wall as a Rare Complication of General Obstetric and Gynecologic Surgeries: 15 Years of Experience at a Large Academic Institution
Abstract
:1. Introduction
2. Materials and Methods
3. Results
3.1. Prior Obstetric or Gynecologic Surgery with the Abdominal Wall Contacted with the Endometrium or Endometriotic Tissue may be a Risk Factor for the Development of CCC of the Abdominal Wall
3.2. Modalities of Primary Treatment
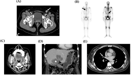
3.3. Malignancies without Clinical Manifestations of Image Studies are not Pathologically Confirmed in Pelvic Organs
3.4. Inguinal Lymph Nodes are the Most Common Site of Disease Relapse
4. Discussion
5. Conclusions
Author Contributions
Conflicts of Interest
References
- Stern, R.C.; Dash, R.; Bentley, R.C.; Snyder, M.J.; Haney, A.F.; Robboy, S.J. Malignancy in endometriosis: Frequency and comparison of ovarian and extraovarian types. Int. J. Gynecol. Pathol. 2001, 20, 133–139. [Google Scholar] [CrossRef] [PubMed]
- Saavalainen, L.; Lassus, H.; But, A.; Tiitinen, A.; Härkki, P.; Gissler, M.; Pukkala, E.; Heikinheimo, O. Risk of Gynecologic Cancer According to the Type of Endometriosis. Obstet. Gynecol. 2018, 131, 1095–1102. [Google Scholar] [CrossRef] [PubMed]
- Ecker, A.M.; Donnellan, N.M.; Shepherd, J.P.; Lee, T.T. Abdominal wall endometriosis: 12 years of experience at a large academic institution. Am. J. Obs. Gynecol. 2014, 211, 363.e1–363.e5. [Google Scholar] [CrossRef] [PubMed]
- Taburiaux, L.; Pluchino, N.; Petignat, P.; Wenger, J.M. Endometriosis-Associated Abdominal Wall Cancer: A Poor Prognosis? Int. J. Gynecol. Cancer 2015, 25, 1633–1638. [Google Scholar] [CrossRef] [PubMed]
- Schnieber, D.; Agner-Kolb, D. Malignant transformation of extragenital endometriosis. Geburtshilfe Frauenheilkd 1986, 46, 658–659. [Google Scholar] [CrossRef] [PubMed]
- Sampson, J.A. Endometrial carcinoma of the ovary arising in endometrial tissue in that organ. Arch. Surg. 1925, 10, 1–72. [Google Scholar] [CrossRef]
- Scott, R.B. Malignant changes in endometriosis. Obs. Gynecol. 1953, 2, 283–289. [Google Scholar]
- Ishida, G.M.; Motoyama, T.; Watanabe, T.; Emura, I. Clear cell carcinoma arising in a cesarean section scar. Report of a case with fine needle aspiration cytology. Acta Cytol. 2003, 47, 1095–1098. [Google Scholar] [CrossRef]
- Sergent, F.; Baron, M.; Le Cornec, J.B.; Scotté, M.; Mace, P.; Marpeau, L. Malignant transformation of abdominal wall endometriosis: A new case report. J. Gynecol. Obs. Biol. Reprod. 2006, 35, 186–190. [Google Scholar] [CrossRef]
- Alberto, V.O.; Lynch, M.; Labbei, F.N.; Jeffers, M. Primary abdominalwall clear cell carcinoma arising in a caesarean section scar endometriosis. Ir. J. Med. Sci. 2006, 175, 69–71. [Google Scholar] [CrossRef]
- Harry, V.N.; Shanbhag, S.; Lyall, M.; Narayansingh, G.V.; Parkin, D.E. Isolated clear cell adenocarcinoma in scar endometriosis mimicking an incisional hernia. Obs. Gynecol. 2007, 110, 469–471. [Google Scholar] [CrossRef] [PubMed]
- Achach, T.; Rammeh, S.; Trabelsi, A.; Ltaief, R.; Ben Abdelkrim, S.; Mokni, M.; Korbi, S. Clear cell adenocarcinoma arising from abdominal wall endometriosis. J. Oncol. 2008, 2008, 478325. [Google Scholar] [CrossRef]
- Williams, C.; Petignat, P.; Belisle, A.; Drouin, P. Primary abdominal wall clear cell carcinoma: Case report and review of literature. Anticancer Res. 2009, 29, 1591–1594. [Google Scholar] [PubMed]
- Mert, I.; Semaan, A.; Kim, S.; Ali-Fehmi, R.; Morris, R.T. Clear cell carcinoma arising in the abdominal wall: Two case reports and literature review. Am. J. Obstet. Gynecol. 2012, 207, e7–e9. [Google Scholar] [CrossRef] [PubMed]
- Li, X.; Yang, J.; Cao, D.; Lang, J.; Chen, J.; Shen, K. Clear-cell carcinoma of the abdominal wall after cesarean delivery. Obs. Gynecol. 2012, 120, 445–448. [Google Scholar] [CrossRef] [PubMed]
- Hitti, I.F.; Glasberg, S.S.; Lubicz, S. Clear cell carcinoma arising in extraovarian endometriosis: Report of three cases and review of the literature. Gynecol Oncol. 1990, 39, 314–320. [Google Scholar] [CrossRef]
- Miller, D.M.; Schouls, J.J.; Ehlen, T.G. Clear cell carcinoma arising in extragonadal endometriosis in a caesarean section scar during pregnancy. Gynecol Oncol. 1998, 70, 127–130. [Google Scholar] [CrossRef] [PubMed]
- Park, S.W.; Hong, S.M.; Wu, H.G.; Ha, S.W. Clear cell carcinoma arising in a cesarean section scar endometriosis: A case report. J. Korean Med. Sci. 1999, 14, 217–219. [Google Scholar] [CrossRef]
- Bats, A.S.; Zafrani, Y.; Pautier, P.; Duvillard, P.; Morice, P. Malignant transformation of abdominal wall endometriosis to clear cell carcinoma: Case report and review of the literature. Fertil Steril. 2008, 90, 1197.e13–1197.e16. [Google Scholar] [CrossRef]
- Bourdel, N.; Durand, M.; Gimbergues, P.; Dauplat, J.; Canis, M. Exclusive nodal recurrence after treatment of degenerated parietal endometriosis. Fertil. Steril. 2010, 93, 2074.e1–2074.e6. [Google Scholar] [CrossRef]
- Yan, Y.; Li, L.; Guo, J.; Dauplat, J.; Canis, M. Malignant transformation of an endometriotic lesion derived from an abdominal wall scar. Brief. Commun. Int. J. Gynaecol. Obs. 2011, 115, 202–203. [Google Scholar] [CrossRef] [PubMed]
- Shalin, S.C.; Haws, A.L.; Carter, D.G.; Zarrin-Khameh, N. Clear cell adenocarcinoma arising from endometriosis in abdominal wall cesarean section scar: A case report and review of the literature. J. Cutan. Pathol. 2012, 39, 1035–1041. [Google Scholar] [CrossRef]
- Razzouk, K.; Roman, H.; Chanavaz-Lacheray, I.; Scotté, M.; Verspyck, E.; Marpeau, L. Mixed clear cell and endometrioid carcinoma arising in parietal endometriosis. Gynecol. Obs. Investig. 2007, 63, 140–142. [Google Scholar] [CrossRef]
- Modesitt, S.C.; Tortolero-Luna, G.; Robinson, J.B.; Gershenson, D.M.; Wolf, J.K. Ovarian and extraovarian endometriosis-associated cancer. Obs. Gynecol. 2002, 100, 788–795. [Google Scholar]
- Jimbo, H.; Yoshikawa, H.; Onda, T.; Yasugi, T.; Sakamoto, A.; Taketani, Y. Prevalence of ovarian endometriosis in epithelial ovarian cancer. Int. J. Gynaecol. Obs. 1997, 59, 245–250. [Google Scholar] [CrossRef]
- Kobayashi, H. Ovarian cancer in endometriosis: Epidemiology, natural history, and clinical diagnosis. Int. J. Clin. Oncol. 2009, 14, 378–382. [Google Scholar] [CrossRef] [PubMed]
- Mihailovici, A.; Rottenstreich, M.; Kovel, S.; Wassermann, I.; Smorgick, N.; Vaknin, Z. Endometriosis-associated malignant transformation in abdominal surgical scar: A PRISMA-compliant systematic review. Medicine (Baltimore) 2017, 96, e9136. [Google Scholar] [CrossRef] [PubMed]
- Lengelé, B.; Nyssen-Behets, C.; Scalliet, P. Anatomical bases for the radiological delineation of lymph node areas. Upper limbs, chest and abdomen. Radiother. Oncol. 2007, 84, 335–347. [Google Scholar]



| Case 1 | Case 2 | Case 3 | Case 4 | Case 5 | Case 6 | |
|---|---|---|---|---|---|---|
| Basic Characteristics | ||||||
| Age (year) | 52 | 56 | 52 | 56 | 55 | 45 |
| BMI (kg/m2) | 28.8 | 26.0 | 17.0 | 20.8 | 22.6 | 20.6 |
| Parity | 2 | 2 | 0 | 1 | 3 | 3 |
| Previous Obs/Gyn surgeries | Cesarean section | Cesarean section | LSC left oophorectomy | Cesarean section | Cesarean section | Cesarean section |
| Time to onset (year) a | 19.0 | 33.0 | 4.0 | 21.0 | 24.0 | 20.0 |
| Tumor size (cm) | 17.5 | 6.5 | 7.0 | 12.0 | 12.5 | 4.8 |
| Presenting symptoms | Lower abd. wall mass with ulceration | Lower abd. wall mass | LLQ mass | Lower abd. wall mass | Lower abd. wall mass | Painful lower abd. wall ulceration |
| Pretreatment serum CA-125 level (U/mL) | 20.1 | 22.3 | 38.5 | 23.0 | 26.7 | 38.9 |
| Preoperative CT scanning findings | 1. A lower abd. wall tumor 2. A 6.5 cm left adnexal tumor | 1. A lower abd. wall tumor 2. Small LN along right external iliac vessels 3. No definite focal lesion in the Gyn organs | 1. A lower abd. wall tumor 2. No definite focal lesion in the Gyn organs | 1. A lower abd. wall tumor with peritoneal involvement 2. No definite focal lesion in the Gyn organs | 1. Multiple lower abd. wall tumors 2. No definite focal lesion in the Gyn organs | 1. A lower abd. wall tumor 2. No definite focal lesion in the Gyn organs |
| Treatment Strategies | ||||||
| Tumor excision | + | + | + | + | + | - |
| Gyn surgeries | TAH, BSO | TAH, BSO, omentectomy, BPLND | TAH, BSO | TAH, BSO, BPLND | TAH, BSO, omentectomy (after NACT) | - |
| Neoadjuvant (preoperative) C/T | - | - | - | - | + b | - |
| Primary C/T | - | - | - | - | - | + c |
| Adjuvant (postoperative) C/T | - | + d | + e | + f | + g | - |
| Radiotherapy | - | - | - | - | - | + h |
| Pathology | ||||||
| Abd. wall tumor | CCC | CCC | CCC | CCC | CCC | CCC i |
| Surgical margin | Free | Free | Free | Free | Involved | - i |
| Co-existing endometriosis in abd. wall tumorj | - | - | + | - | + | - |
| Histological appearance showing endometrial stroma and glands in abd. wall tumor | - | - | - | - | - | - |
| Other primary tumor sites | - | - | - | - | - | - |
| CCC of gyn organs | Negative | Negative k | Negative | Negative | Negative | - |
| Presence of suture granuloma | Yes | No | No | Yes | No | No |
| Intraabbdominal endometriosis | Adenomyosis Endometrioma | No | Adenomyosis | No | Adenomyosis | No |
| Case 1 | Case 2 | Case 3 | Case 4 | Case 5 | Case 6 | |
|---|---|---|---|---|---|---|
| Recurrent/metastatic site | Inguinal LN, bone | Inguinal LN | No recurrence | NA a | Abd. wall, inguinal LN, neck LN, liver, lung | Abd. wall, inguinal LN |
| Salvage treatment | - | Tumor excision | - | - | Chemotherapy b + Radiotherapy c | - |
| DFS (m) | 10 | 3 | 93 | NAa | Progression | Progression |
| OS (m) | 14 | 11 | 97 | 5 | 23 | 7 |
| Current status | Recurrence | NED | NED | NED | DOD | Progression |
© 2019 by the authors. Licensee MDPI, Basel, Switzerland. This article is an open access article distributed under the terms and conditions of the Creative Commons Attribution (CC BY) license (http://creativecommons.org/licenses/by/4.0/).
Share and Cite
Lai, Y.-L.; Hsu, H.-C.; Kuo, K.-T.; Chen, Y.-L.; Chen, C.-A.; Cheng, W.-F. Clear Cell Carcinoma of the Abdominal Wall as a Rare Complication of General Obstetric and Gynecologic Surgeries: 15 Years of Experience at a Large Academic Institution. Int. J. Environ. Res. Public Health 2019, 16, 552. https://doi.org/10.3390/ijerph16040552
Lai Y-L, Hsu H-C, Kuo K-T, Chen Y-L, Chen C-A, Cheng W-F. Clear Cell Carcinoma of the Abdominal Wall as a Rare Complication of General Obstetric and Gynecologic Surgeries: 15 Years of Experience at a Large Academic Institution. International Journal of Environmental Research and Public Health. 2019; 16(4):552. https://doi.org/10.3390/ijerph16040552
Chicago/Turabian StyleLai, Yen-Ling, Heng-Cheng Hsu, Kuan-Ting Kuo, Yu-Li Chen, Chi-An Chen, and Wen-Fang Cheng. 2019. "Clear Cell Carcinoma of the Abdominal Wall as a Rare Complication of General Obstetric and Gynecologic Surgeries: 15 Years of Experience at a Large Academic Institution" International Journal of Environmental Research and Public Health 16, no. 4: 552. https://doi.org/10.3390/ijerph16040552
APA StyleLai, Y.-L., Hsu, H.-C., Kuo, K.-T., Chen, Y.-L., Chen, C.-A., & Cheng, W.-F. (2019). Clear Cell Carcinoma of the Abdominal Wall as a Rare Complication of General Obstetric and Gynecologic Surgeries: 15 Years of Experience at a Large Academic Institution. International Journal of Environmental Research and Public Health, 16(4), 552. https://doi.org/10.3390/ijerph16040552

