Effect of Paecilomyces tenuipes Extract on Testosterone-Induced Benign Prostatic Hyperplasia in Sprague–Dawley Rats
Abstract
1. Introduction
2. Materials and Methods
2.1. Materials
2.2. Sample Preparation
2.3. Cell Culture
2.4. Animal Study Design
2.5. Western Blotting
2.6. Serum Concentrations of DHT
2.7. Statistical Analysis
3. Results
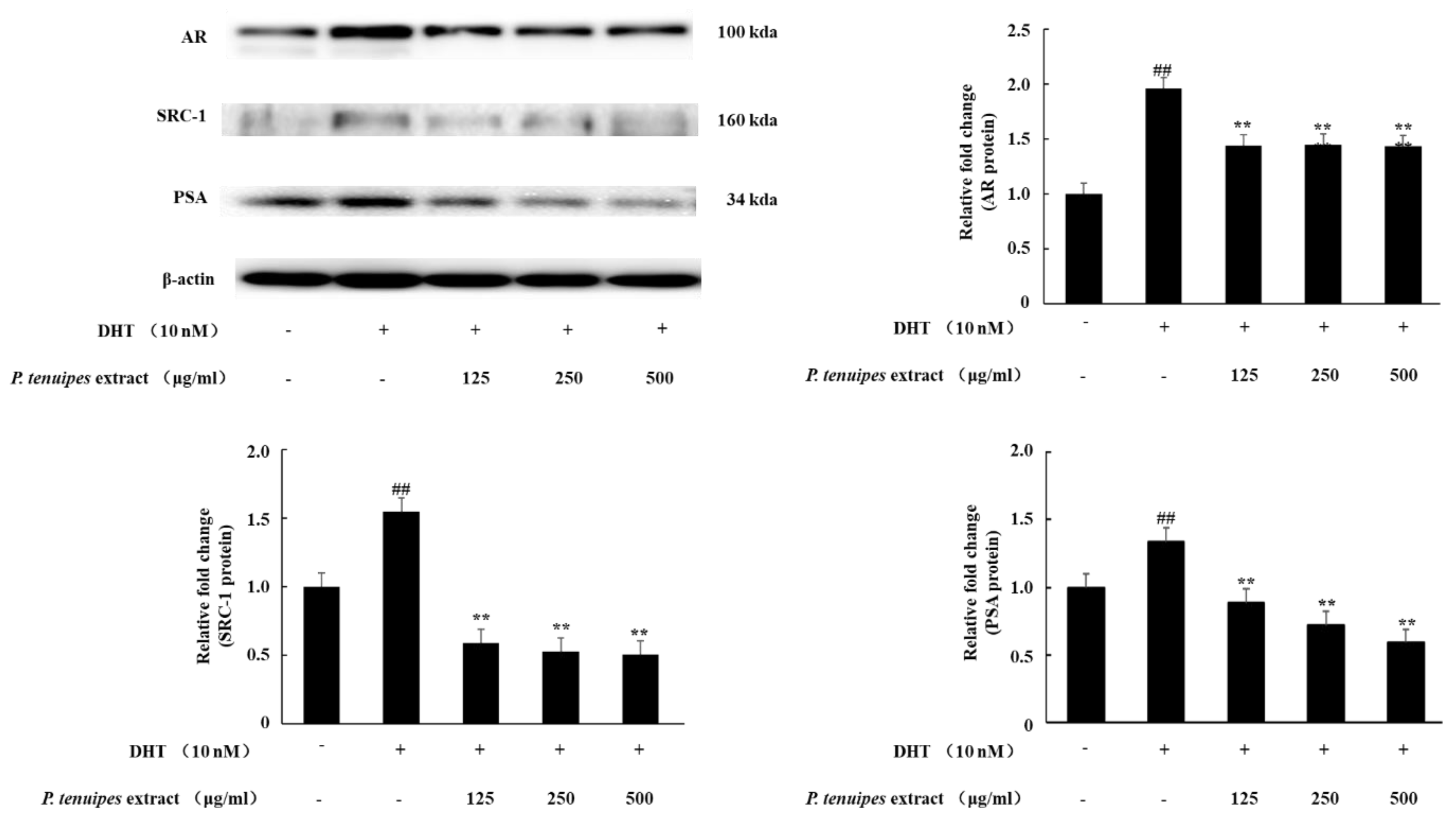
3.1. Effect of PE on AR, SRC-1, and PSA Expressions in the LNCaP cell
3.2. Effect of PE Administration on Prostate Tissue Weight in BPH Rats
3.3. Effect of PE on the DHT Levels in BPH Rats
3.4. Effect of PE on Expressions of Protein in Prostate Tissue of BPH Rats
4. Discussion
5. Conclusions
Author Contributions
Funding
Acknowledgments
Conflicts of Interest
References
- Madersbacher, S.; Sampson, N.; Culig, Z. Pathophysiology of Benign Prostatic Hyperplasia and Benign Prostatic Enlargement: A Mini-Review. Gerontology 2019, 1–7. [Google Scholar]
- Clifford, G.M.; Farmer, R.D.T. Medical therapy for benign prostatic hyperplasia: A review of the literature. Eur. Urol. 2000, 38, 2–19. [Google Scholar] [CrossRef] [PubMed]
- Barkin, J. Benign prostatic hyperplasia and lower urinary tract symptoms: Evidence and approaches for best case management. Can. J. Urol. 2011, 18, 14–19. [Google Scholar] [PubMed]
- McConnell, J.D. Prostatic growth: New insights into hormonal regulation. Br. J. Urol. 1995, 76, 5–10. [Google Scholar] [PubMed]
- Mizokami, A.; Koh, E.; Izumi, K.; Narimoto, K.; Takeda, M.; Honma, S.; Dai, J.; Keller, E.T.; Namiki, M. Prostate cancer stromal cells and LNCaP cells coordinately activate the androgen receptor through synthesis of testosterone and dihydrotestosterone from dehydroepiandrosterone. Endocr. Relat. Cancer. 2009, 16, 1139–1155. [Google Scholar]
- Heinlein, C.A.; Chang, C. Androgen receptor (AR) coregulators: An overview. Endocr. Rev. 2002, 23, 175–200. [Google Scholar] [CrossRef] [PubMed]
- Velonas, V.M.; Woo, H.H.; Remedios, C.G.; Assinder, S.J. Current status of biomarkers for prostate cancer. Int. J. Mol. Sci. 2013, 14, 11034–11060. [Google Scholar] [CrossRef]
- Ellem, S.J.; Risbridger, G.P. The dual, opposing roles of estrogen in the prostate. Ann. N. Y. Acad. Sci. 2009, 1155, 174–186. [Google Scholar] [CrossRef]
- Gupta, N.; Rogers, T.; Holland, B.; Helo, S.; Dynda, D.; McVary, K.T. Three-year treatment outcomes of water vapor thermal therapy compared to doxazosin, finasteride and combination drug therapy in men with benign prostatic hyperplasia: Cohort data from the MTOPS trial. J. Urol. 2018, 200, 405–413. [Google Scholar] [CrossRef]
- Black, L.; Naslund, M.J.; Gilbert, T.D., Jr.; Davis, E.A.; Ollendorf, D.A. An examination of treatment patterns and costs of care among patients with benign prostatic hyperplasia. Am. J. Manag. Care. 2006, 12, 99–110. [Google Scholar]
- Traish, A.M.; Hassani, J.; Guay, A.T.; Zitzmann, M.; Hansen, M.L. Adverse side effects of 5alpha-reductase inhibitors therapy: Persistent diminished libido and erectile dysfunction and depression in a subset of patients. J. Sex. Med. 2011, 8, 872–884. [Google Scholar] [CrossRef] [PubMed]
- Thomas, D.; Chughtai, B.; Kini, M.; Te, A. Emerging drug therapies for benign prostatic hyperplasia. Expert. Opin. Emerg. Drugs. 2017, 22, 201–212. [Google Scholar] [CrossRef] [PubMed]
- CHO, S.Y. Cultivation and distribution of silkworm-dongchunghacho (Paecilomyces japonica). In Proceedings of the 1st International Symposium on Cordyceps, Suwon, Korea, 9 November 1999; pp. 73–82. [Google Scholar]
- Shim, J.Y.; Lee, Y.S.; Lim, S.S.; Hyun, J.E.; Kim, S.Y.; Lee, E.B.; Shin, K.H. Pharmacological activities of Paecilomyces japonica, a new type Cordyceps sp. Korean J. Pharmacogn. 2000, 31, 163–167. [Google Scholar]
- Choi, Y.J.; Fan, M.; Choi, E.J.; Kim, E.K. Effect of Paecilomyces tenuipes extract on angiogenesis in prostate cancer cells. J. Mushrooms 2017, 15, 244–248. [Google Scholar]
- Coppenolle, F.V.; Bourhis, X.; Carpentier, F.; Delaby, G.; Cousse, H.; Raynaud, J.P.; Prevarskaya, N. Pharmacological effects of the lipidosterolic extract of Serenoa repens (Permixon) on rat prostate hyperplasia induced by hyperprolactinemia: Comparison with finasteride. Prostate 2000, 43, 49–58. [Google Scholar] [CrossRef]
- Lu, S.H.; Chen, C.S. Natural history and epidemiology of benign prostatic hyperplasia. Formos. J. Surg. 2014, 47, 207–210. [Google Scholar] [CrossRef]
- Flanigan, R.C.; Reda, D.J.; Wasson, J.H.; Anderson, R.J.; Abdellatif, M.; Bruskewitz, R.C. 5-year outcome of surgical resection and watchful waiting for men with moderately symptomatic benign prostatic hyperplasia: A Department of Veterans Affairs cooperative study. J. Urol. 1998, 160, 12–17. [Google Scholar] [CrossRef]
- Lowe, F.C.; McConnell, J.D.; Hudson, P.B.; Romas, N.A.; Boake, R.; Lieber, M.; Elhilali, M.; Geller, J.; Imperto-McGinely, J.; Andriole, G.L.; et al. Long-term 6-ar experience with finasteride in patients with benign prostatic hyperplasia. Urology 2003, 61, 791–796. [Google Scholar] [CrossRef]
- Ub Wijerathne, C.; Park, H.S.; Jeong, H.Y.; Song, J.W.; Moon, O.S.; Seo, Y.W.; Won, Y.S.; Son, H.Y.; Lim, J.H.; Yeon, S.H.; et al. Quisqualis indica improves benign prostatic hyperplasia by regulating prostate cell proliferation and apoptosis. Biol. Pharm. Bull. 2017, 40, 2015–2133. [Google Scholar] [CrossRef]
- Marks, L.S.; Tyler, V.E. Saw palmetto extract: Newest (and oldest) treatment alternative for men with symptomatic benign prostatic hyperplasia. Urology 1999, 53, 45–461. [Google Scholar]
- Kim, E.; Kim, M. Antioxidant Activity and Cytotoxicity on Cancer Cells of Extracts from Glycyrrhizae radix Cultured with Paecilomyces japonica Mycelium. J. East Asian Soc. Diet. Life. 2018, 28, 188–196. [Google Scholar] [CrossRef]
- Du, L.; Liu, C.; Teng, M.; Meng, Q.; Lu, J.; Zhou, Y.; Liu, Y.; Cheng, Y.; Wang, D.; Teng, L. Anti-diabetic activities of Paecilomyces tenuipes N45 extract in alloxan-induced diabetic mice. Mol. Med. Rep. 2016, 13, 1701–1708. [Google Scholar] [CrossRef] [PubMed][Green Version]
- Lee, S.M.; Park, N.S.; Jin, B.R.; Kang, H.S.; Jung, J.H.; Park, E. Effects of Paecilomyces tenuipes cultivated in egg yolk on lipid metabolism in rats on a high fat-cholesterol diet. J. Med. Food 2006, 9, 214–222. [Google Scholar] [CrossRef] [PubMed]
- Kato, T.; Ishibe, T.; Hirayama, M.; Fukushige, M.; Takenaka, I.; Kazuta, M. Basic studies on the prostate of rat under various hormonal environment. Endocrinol. Jpn. 1965, 12, 1–8. [Google Scholar] [CrossRef] [PubMed]
- Weisser, H.; Krieg, M. Kinetic analysis of androstenedione 5 alpha-reductase in epithelium and stroma of human prostate. Steroids 1997, 62, 589–594. [Google Scholar] [CrossRef]
- Newhall, K.R.; Isaacs, J.T.; Wright, G.L., Jr. Dunning rat prostate tumors and cultured cell lines fail to express human prostate carcinoma-associated antigens. Prostate 1997, 17, 317–325. [Google Scholar] [CrossRef] [PubMed]
- Rennie, P.S.; Bruchovsky, N.; Goldenberg, S.L. Relationship of androgen receptors to the growth and regression of the prostate. Am. J. Clin. Oncol. 1988, 11, 13–17. [Google Scholar] [CrossRef]
- Kim, Y.N.; Kim, M.S.; Chun, S.S.; Choi, J.H. Effect of Phellius linteus water extract on benign prostatic hyperplasia. Nutr. Res. Pract. 2013, 7, 172–177. [Google Scholar] [CrossRef][Green Version]
- Nahata, A.; Dixit, V.K. Ganoderma lucidum is an inhibitor of testosterone-induced prostatic hyperplasia in rats. Andrologia. 2012, 44, 160–174. [Google Scholar] [CrossRef]
- Tepedelen, B.E.; Soya, E.; Korkmaz, M. Epigallocatechin-3-gallate reduces the proliferation of benign prostatic hyperplasia cells via regulation of focal adhesions. Life Sci. 2017, 15, 74–81. [Google Scholar] [CrossRef]
- Bektic, J.; Guggenberger, R.; Spengler, B.; Christoffel, V.; Pelzer, A.; Berger, A.P.; Ramoner, R.; Bartsch, G.; Klocker, H. The flavonoid apigenin inhibits the proliferation of prostatic stromal cells via the MAPK-pathway and cell-cycle arrest in G1/S. Maturitas 2006, 55, 37–46. [Google Scholar] [CrossRef]
- Lee, S.M.; Kim, Y.G.; Park, H.C.; Kim, K.K.; Son, H.J.; Hong, C.O.; Park., N.S. Properties of the Silkworm (Bombyx mori) Dongchunghacho, a Newly Developed Korean Medicinal Insect-borne Mushroom: Mass-production and Pharmacological Actions. J. Life Sci. 2017, 27, 247–266. [Google Scholar] [CrossRef][Green Version]
- Wilt, T.; Ishani, A.; MacDonald, R.; Stark, G.; Mulrow, C.; Lau, J. Beta-sitosterols for benign prostatic hyperplasia. Cochrane Database Syst. Rev. 2000, 3, CD001043. [Google Scholar] [CrossRef] [PubMed]
- Kim, T.H.; Lim, H.J.; Kim, M.S.; Lee, M.S. Dietary supplements for benign prostatic hyperplasia: An overview of systematic reviews. Maturitas 2012, 73, 180–185. [Google Scholar] [CrossRef] [PubMed]




© 2019 by the authors. Licensee MDPI, Basel, Switzerland. This article is an open access article distributed under the terms and conditions of the Creative Commons Attribution (CC BY) license (http://creativecommons.org/licenses/by/4.0/).
Share and Cite
Choi, Y.-J.; Kim, E.-K.; Fan, M.; Tang, Y.; Hwang, Y.J.; Sung, S.-H. Effect of Paecilomyces tenuipes Extract on Testosterone-Induced Benign Prostatic Hyperplasia in Sprague–Dawley Rats. Int. J. Environ. Res. Public Health 2019, 16, 3764. https://doi.org/10.3390/ijerph16193764
Choi Y-J, Kim E-K, Fan M, Tang Y, Hwang YJ, Sung S-H. Effect of Paecilomyces tenuipes Extract on Testosterone-Induced Benign Prostatic Hyperplasia in Sprague–Dawley Rats. International Journal of Environmental Research and Public Health. 2019; 16(19):3764. https://doi.org/10.3390/ijerph16193764
Chicago/Turabian StyleChoi, Young-Jin, Eun-Kyung Kim, Meiqi Fan, Yujiao Tang, Young Joung Hwang, and Si-Heung Sung. 2019. "Effect of Paecilomyces tenuipes Extract on Testosterone-Induced Benign Prostatic Hyperplasia in Sprague–Dawley Rats" International Journal of Environmental Research and Public Health 16, no. 19: 3764. https://doi.org/10.3390/ijerph16193764
APA StyleChoi, Y.-J., Kim, E.-K., Fan, M., Tang, Y., Hwang, Y. J., & Sung, S.-H. (2019). Effect of Paecilomyces tenuipes Extract on Testosterone-Induced Benign Prostatic Hyperplasia in Sprague–Dawley Rats. International Journal of Environmental Research and Public Health, 16(19), 3764. https://doi.org/10.3390/ijerph16193764

