Aging and Oral Care: An Observational Study of Characteristics and Prevalence of Oral Diseases in an Italian Cohort
Abstract
:1. Background
Rationale of the Study
2. Objectives
3. Methods
- Patients had to be diagnosed with firm dementia.
- Patients had to be resident in residential care institution.
- Patients with aggressive behavior, potentially dangerous for themselves and for the operator.
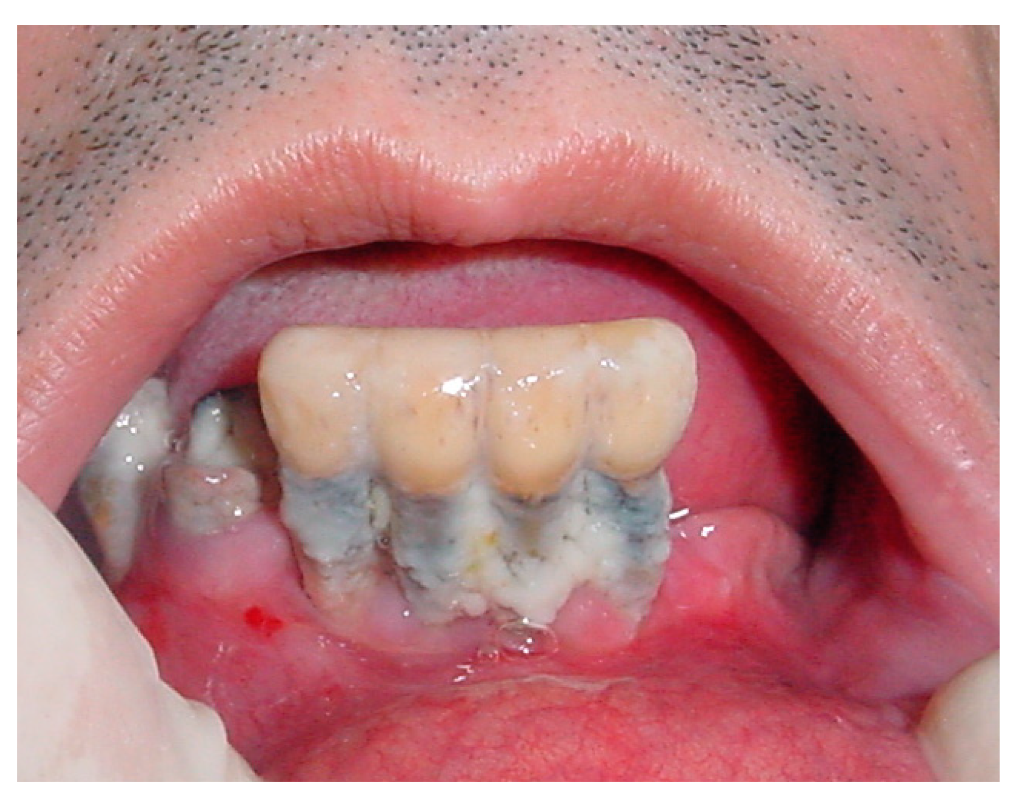
- Number of remaining teeth [18]:
- 3 = total number of remaining teeth between 25 and 32 (complete or almost complete dentition), absence of prosthetic elements
- 2 = partial edentulism, presence of at least 10 healthy/compromised/prosthetic dental elements
- 1 = partial edentulism, presence of less than 10 healthy/compromised/prosthetic dental elements
- 0 = complete edentulism and/or presence of retained roots
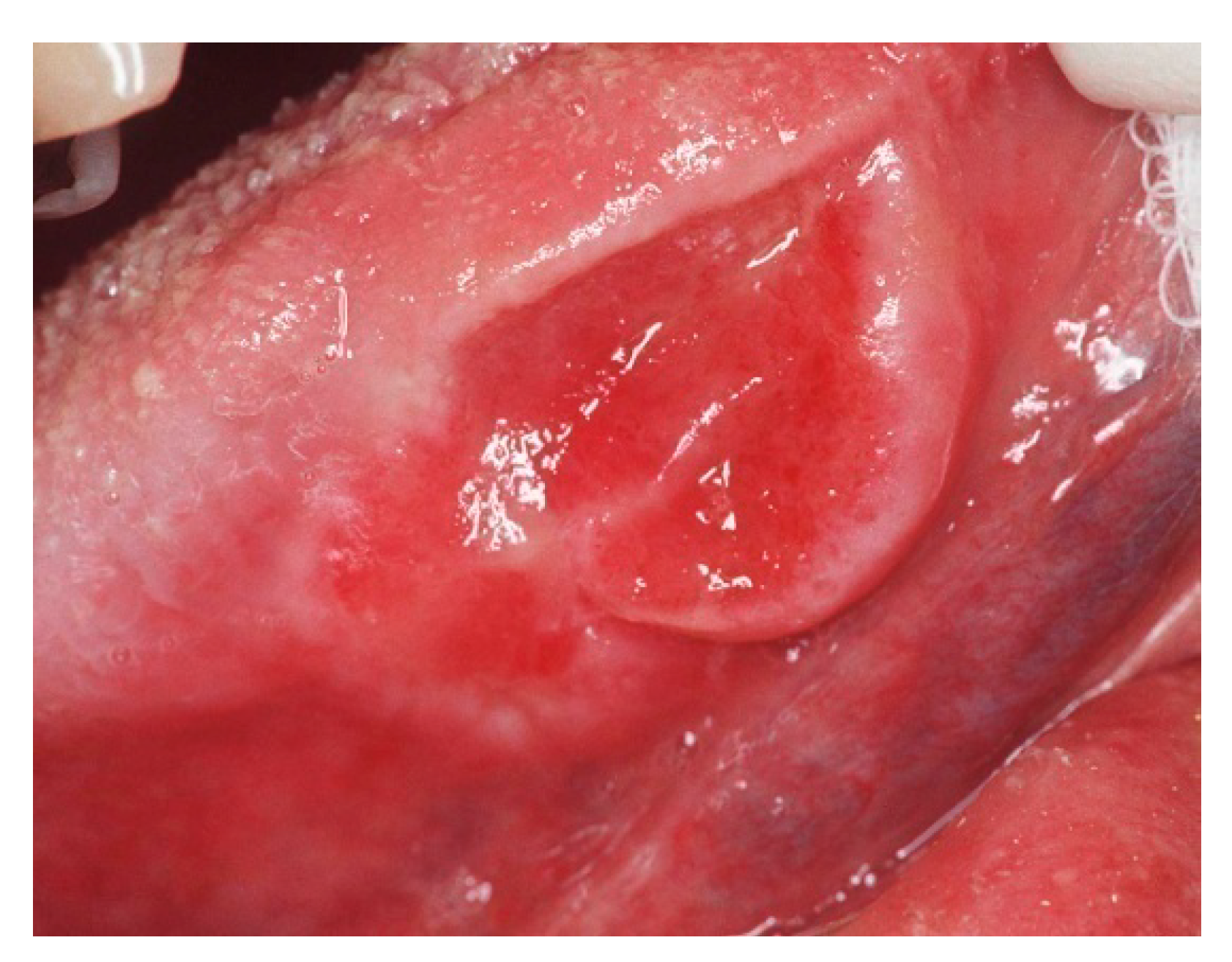
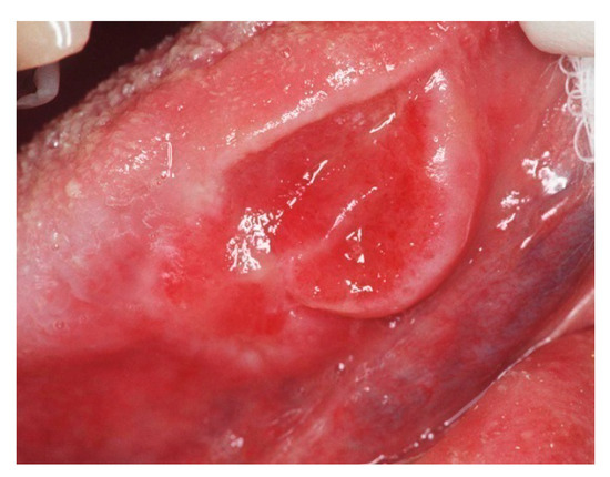
- Oral mucosa:
- 1 = absence of lesions and/or new mucosal formations
- 0 = presence of lesions and/or new mucosal formations, which may present the following characteristic [19]:
- ⮚
- acute/chronic onset ulcerative, vesciculo-bullous lesions
- ⮚
- red, blue or red – purple plan/exophytic lesions, not removable white lesions, white and red, yellowish, pigmented lesions
- ⮚
- Swelling on palate/tongue/oral floor/vestibular mucosa/gingival
- Periodontal tissues:
- 3 = periodontal health [20] (code 0,1 or 2, basic periodontal examination, BPE):
- ⮚
- periodontal pockets ≤ 3 mm
- ⮚
- negative or positive Bleeding on Probing Index (BoP)
- ⮚
- absence or presence of limited quantities of plaque and calculus above and/or below the gum line and/or protruding filling materials
- 2 = generalized gingivitis with increased volume and gum redness, bleeding on probing due to plaque build-up, in the absence of clinical attachment loss or in presence of stable clinical attachment loss
- 1 = chronic periodontitis of mild (CAL = 1–2 mm), moderate (CAL = 3–4 mm) or severe (CAL > 5 mm) degree [21]
- Bone crests [22]:
- 3 = absence of clinically detectable bone reabsorption (corresponding to class I or II according to Cawood and Howell)
- 2 = moderate clinically detectable generalized bone reabsorption (corresponding to class III according to Cawood and Howell)
- 1 = marked clinically detectable generalized bone reabsorption (corresponding to class IV or V according to Cawood and Howell)
- 4 = the patient is able to follow simple instructions (open your mouth, pull out your tongue, turn your head, report symptoms, etc.)
- 3 = the patient is able to follow simple instructions for a limited period of time
- 2 = the patient transposes but partially follows/doesn’t follow simple instructions, due to motor skills deterioration, abnormal and inappropriate reactions to the request
- 1 = the patient transposes simple instructions but has no reaction
- 0 = the patient does not transpose simple instructions and does not follow them
- Possible
- Partially possible
- Not possible
Statistical Methods
- r = –1 perfectly linear correlation (inverse relationship)
- −1 < r < 0 tendentially linear correlation (inverse relationship)
- r = 0 absence of linear correlation
- 0 < r < 1 tendentially linear correlation (direct relationship)
- r = 1 perfectly linear correlation (direct relationship)
4. Results
- a)
- 2–4–5, with the following results
- r = –0.72031
- p < 0.001
- b)
- 2–3–4–5, with the following results
- r = –0.62982
- p < 0.001
5. Discussion
6. Strengths and Limitations of the Study
7. Conclusions
Author Contributions
Funding
Conflicts of Interest
References
- Wilson, N.H.F.; Luo, J. Dentists of the Future. Prim. Dent. J. 2019, 8, 30–33. [Google Scholar]
- Scully, C. Medical Problems in Dentistry, 6th ed.; Churchill Livingstone: London, UK, 8 February 2010; ISBN 978-07-0-204409-0. [Google Scholar]
- Le Bars, P.; Kouadio, A.A.; N’goran, J.K.; Badran, Z.; Soueidan, A. Relationship between removable prosthesis and some systemics disorders. J. Indian Prosthodont. Soc. 2015, 15, 292–299. [Google Scholar] [CrossRef] [PubMed]
- Esteves, H.J.; Quintanilla, J.M. Identification of medically compromised dental patients in a Portuguese population. Oral Health Prev. Dent. 2013, 11, 315–322. [Google Scholar]
- Thornhill, M.H.; Dayer, M.J.; Durkin, M.J.; Lockhart, P.B.; Baddour, L.M. Risk of Adverse Reactions to Oral Antibiotics Prescribed by Dentists. J. Dent. Res. 2019, 17, 22034519863645. [Google Scholar] [CrossRef]
- Jainkittivong, A.; Yeh, C.K.; Guest, G.F.; Cottone, J.A. Evaluation of medical consultations in a predoctoral dental clinic. Oral Surg. Oral Med. Oral Pathol. Oral Radiol. Endodontol. 1995, 80, 409–413. [Google Scholar]
- American Psychiatric Association. Diagnostic and Statistical Manual of Mental Disorders, 5th ed.; American Psychiatric Association Publishing: Washington, DC, USA, 2013; ISBN 978-08-9-042554-1. [Google Scholar]
- World Health Organization. Toward A Dementia Plan: A WHO Guide; World Health Organization: Geneva, Switzerland, 2018; (In France). ISBN 978–92–4–151413–2. [Google Scholar]
- Rizzi, L.; Rosset, I.; Roriz-Cruz, M. Global epidemiology of dementia: Alzheimer’s and vascular types. BioMed Res. Int. 2014, 2014, 908915. [Google Scholar] [CrossRef]
- Delwel, S.; Binnekade, T.T.; Perez, R.S.G.M.; Hertogh, C.M.P.M.; Scherder, E.J.A.; Lobbezoo, F. Oral hygiene and oral health in older people with dementia: A comprehensive review with focus on oral soft tissues. Clin. Oral Investig. 2018, 22, 93–108. [Google Scholar] [CrossRef] [PubMed]
- Delwel, S.; Binnekade, T.T.; Perez, R.S.; Hertogh, C.M.; Scherder, E.J.; Lobbezoo, F. Oral health and orofacial pain in older people with dementia: A systematic review with focus on dental hard tissues. Clin. Oral Investig. 2017, 21, 17–32. [Google Scholar] [CrossRef]
- Foley, N.C.; Affoo, R.H.; Siqueira, W.L.; Martin, R.E. A Systematic Review Examining the Oral Health Status of Persons with Dementia. JDR Clin. Trans. Res. 2017, 2, 330–342. [Google Scholar] [CrossRef] [PubMed]
- Hugo, J.; Ganguli, M. Dementia and Cognitive Impairment: Epidemiology, Diagnosis, and Treatment. Clin. Geriatr. Med. 2014, 30, 421–442. [Google Scholar] [CrossRef] [PubMed]
- Kamer, A.R.; Craig, R.G.; Dasanayake, A.P.; Brys, M.; Glodzik-Sobanska, L.; de Leon, M.J. Inflammation and Alzheimer’s disease: Possible role of periodontal diseases. Alzheimer’s Dement. 2008, 4, 242–250. [Google Scholar] [CrossRef] [PubMed]
- Dintica, C.S.; Rizzuto, D.; Marseglia, A.; Kalpouzos, G.; Welmer, A.K.; Wårdh, I.; Bäckman, L.; Xu, W. Tooth loss is associated with accelerated cognitive decline and volumetric brain differences: A population-based study. Neurobiol. Aging 2018, 67, 23–30. [Google Scholar] [CrossRef] [PubMed]
- Yi Mohammadi, J.J.; Franks, K.; Hines, S. Effectiveness of professional oral health care intervention on the oral health of residents with dementia in residential aged care facilities: A systematic review protocol. JBI Database Syst. Rev. Implement. Rep. 2015, 13, 110–122. [Google Scholar] [CrossRef] [PubMed]
- Morris, J.C. Clinical dementia rating: A reliable and valid diagnostic and staging measure for dementia of the Alzheimer type. Int. Psychogeriatr. 1997, 9, 173–176. [Google Scholar] [CrossRef] [PubMed]
- Takeuchi, K.; Ohara, T.; Furuta, M.; Takeshita, T.; Shibata, Y.; Hata, J.; Yoshida, D.; Yamashita, Y.; Ninomiya, T. Tooth Loss and Risk of Dementia in the Community: The Hisayama Study. J. Am. Geriatr. Soc. 2017, 65, e95–e100. [Google Scholar] [CrossRef] [PubMed]
- Ficarra, G. Manuale di Patologia e Medina Orale. Appendice 1, Diagnosi Differenziale Delle Lesioni Orali Secondo L’aspetto Clinico, 3rd ed.; Mc-Graw Hill: New York, NY, USA, 2006. [Google Scholar]
- Niklaus, P.; Lang, L.J. Clinical Periodontology and Implant Dentistry, 6th ed.; Wiley Blackwell: Hoboken, NJ, USA, 2015. [Google Scholar]
- Highfield, J. Diagnosis and classification of periodontal disease. Aust. Dent. J. 2009, 54 (Suppl. 1), S11–S26. [Google Scholar] [CrossRef] [PubMed]
- Cawood, J.I.; Howell, R.A. A classification of the edentulous jaws. J. Oral Maxillofac. Surg. 1988, 17, 232–236. [Google Scholar] [CrossRef]
- Hazra, A.; Gogtay, N. Biostatistics Series Module 6: Correlation and Linear Regression. Indian J. Dermatol. 2016, 61, 593–601. [Google Scholar] [CrossRef]
- Chen, X.; D’Souza, V.; Yu, L. The oral health status of residents with different cognitive and dental-related functions in three North Carolina assisted living facilities. Gerodontology 2019, 36, 142–148. [Google Scholar] [CrossRef]
- Ribeiro, G.R.; Costa, J.L.; Ambrosano, G.M.; Garcia, R.C. Oral health of the elderly with Alzheimer’s disease. Oral Surg. Oral Med. Oral Pathol. Oral Radiol. 2012, 114, 338–343. [Google Scholar] [CrossRef]
- Chalmers, J.; Pearson, A. Oral hygiene care for residents with dementia: A literature review. J. Adv. Nurs. 2005, 52, 410–419. [Google Scholar] [CrossRef] [PubMed]
- Nonzee, V.; Manopatanakul, S.; Khovidhunkit, S.O. Xerostomia, hyposalivation and oral microbiota in patients using antihypertensive medications. J. Med. Assoc. Thail. 2012, 95, 96–104. [Google Scholar]
- Czesnikiewicz-Guzik, M.; Osmenda, G.; Siedlinski, M.; Nosalski, R.; Pelka, P.; Nowakowski, D.; Wilk, G.; Mikolajczyk, T.P.; Schramm-Luc, A.; Furtak, A.; et al. Causal association between periodontitis and hypertension: Evidence from Mendelian randomization and a randomized controlled trial of non-surgical periodontal therapy. Eur. Heart J. 2019, 1, ehz646. [Google Scholar] [CrossRef] [PubMed]
- Willumsen, T.; Karlsen, L.; Naess, R.; Bjørntvedt, S. Are the barriers to good oral hygiene in nursing homes within the nurses or the patients. Gerodontology 2012, 29, e748–e755. [Google Scholar] [CrossRef] [PubMed]
- Marchini, L.; Ettinger, R.; Caprio, T.; Jucan, A. Oral Health Care for Patients with Alzheimer’s Disease: An update. Spec. Care Dent. 2019, 39, 262–273. [Google Scholar] [CrossRef] [PubMed]
- Pearson, A.; Chalmers, J. Oral hygiene care for adults with dementia in residential aged care facilities. JBI Rep. 2004, 2, 65–113. [Google Scholar] [CrossRef]
- Yoon, M.N.; Compton, S.M. Building professional competence in dental hygiene students through a community-based practicum. Int. J. Dent. Hyg. 2017, 15, e119–e127. [Google Scholar] [CrossRef]
- Kawas, C.H.; Corrada, M.M. Alzheimer’s and dementia in the oldest-old: A century of challenges B. Curr. Alzheimer Res. 2006, 3, 411–419. [Google Scholar] [CrossRef]


| Patients | Gender, Age | Medical History |
|---|---|---|
| Patient n. 1 | woman, 88 |
|
| Patient n. 2 | man, 87 |
|
| Patient n. 3 | man, 98 |
|
| Patient n. 4 | woman, 89 |
|
| Patient n. 5 | woman, 98 |
|
| Patient n. 6 | woman, 93 |
|
| Patient n. 7 | woman, 92 |
|
| Patient n. 8 | man, 85 |
|
| Patient n. 9 | woman, 88 |
|
| Patient n. 10 | woman, 90 |
|
| Patient n. 11 | woman, 80 |
|
| Patient n. 12 | woman, 92 |
|
| Patient n. 13 | woman, 93 |
|
| Patient n. 14 | woman, 89 |
|
| Patient n. 15 | man, 92 |
|
| Patient n. 16 | woman, 81 |
|
| Patient n. 17 | woman, 82 |
|
| Patient n. 18 | woman, 95 |
|
| Patient n. 19 | woman, 96 |
|
| Patient n. 20 | woman, 90 |
|
| Patient n. 21 | woman, 88 |
|
| Patient n. 22 | woman, 91 |
|
| Patient n. 23 | man, 76 |
|
| Patient n. 24 | woman, 90 |
|
| Patient n. 25 | woman, 79 |
|
| Patient n. 26 | woman, 93 |
|
| Patient n. 27 | woman, 96 |
|
| Patient n. 28 | woman, 91 |
|
| Patient n. 29 | woman, 91 |
|
| Patient n. 30 | woman, 94 |
|
| Patient n. 31 | woman, 92 |
|
| Patient n. 32 | woman, 85 |
|
| Patient n. 33 | woman, 91 |
|
| Patient n. 34 | woman, 84 |
|
| Patient n. 35 | woman, 99 |
|
| Patient n. 36 | woman, 90 |
|
| Patient n. 37 | woman, 94 |
|
| Patient n. 38 | woman, 93 |
|
| Patient n. 39 | woman, 92 |
|
| Patients | CDR | Level of Cooperation | Oral Examination |
|---|---|---|---|
| Patient n. 1 | 2 | 4 = the patient is able to follow simple instructions (open your mouth, pull out your tongue, turn your head, report symptoms, etc.) |
|
| Patient n. 2 | 3 | 3 = the patient is able to follow simple instructions for a limited period of time (open your mouth, pull out your tongue, turn your head, report symptoms, etc.) |
|
| Patient n. 3 | 2–3 | 3 = the patient is able to follow simple instructions for a limited period of time (open your mouth, pull out your tongue, turn your head, report symptoms, etc.) |
|
| Patient n. 4 | 4 | 3 = the patient is able to follow simple instructions for a limited period of time (open your mouth, pull out your tongue, turn your head, report symptoms, etc.) |
|
| Patient n. 5 | 3 | 4 = the patient is able to follow simple instructions (open your mouth, pull out your tongue, turn your head, report symptoms, etc.) |
|
| Patient n. 6 | 3 | 2 = the patient transposes but partially follows/doesn’t follow simple instructions, due to motor skills deterioration, abnormal and inappropriate reactions to the request | Impossible |
| Patient n. 7 | 3 | 3 = the patient is able to follow simple instructions for a limited period of time (open your mouth, pull out your tongue, turn your head, report symptoms, etc.) |
|
| Patient n. 8 | 4 | 0 = the patient does not transpose simple instructions and does not follow them |
|
| Patient n. 9 | 4 | 3 = the patient is able to follow simple instructions for a limited period of time (open your mouth, pull out your tongue, turn your head, report symptoms, etc.) |
|
| Patient n. 10 | 4 | 2 = the patient transposes but partially follows/doesn’t follow simple instructions, due to motor skills deterioration, abnormal and inappropriate reactions to the request |
|
| Patient n. 11 | 4 | 0 = the patient does not transpose simple instructions and does not follow them | Impossible |
| Patient n. 12 | 0,5 | 4 = the patient is able to follow simple instructions (open your mouth, pull out your tongue, turn your head, report symptoms, etc.) |
|
| Patient n. 13 | 3 | 3 = the patient is able to follow simple instructions for a limited period of time (open your mouth, pull out your tongue, turn your head, report symptoms, etc.) |
|
| Patient n. 14 | 2 | 3 = the patient is able to follow simple instructions for a limited period of time (open your mouth, pull out your tongue, turn your head, report symptoms, etc.) |
|
| Patient n. 15 | 3 | 2 = the patient transposes but partially follows/doesn’t follow simple instructions, due to motor skills deterioration, abnormal and inappropriate reactions to the request | Impossible |
| Patient n. 16 | 5 | 0 = the patient does not transpose simple instructions and does not follow them |
|
| Patient n. 17 | 5 | 0 = the patient does not transpose simple instructions and does not follow them |
|
| Patient n. 18 | 3 | 2 = the patient transposes but partially follows/doesn’t follow simple instructions, due to motor skills deterioration, abnormal and inappropriate reactions to the request |
|
© 2019 by the authors. Licensee MDPI, Basel, Switzerland. This article is an open access article distributed under the terms and conditions of the Creative Commons Attribution (CC BY) license (http://creativecommons.org/licenses/by/4.0/).
Share and Cite
Lauritano, D.; Moreo, G.; Carinci, F.; Borgia, R.; Lucchese, A.; Contaldo, M.; Della Vella, F.; Bernardelli, P.; Moreo, G.; Petruzzi, M. Aging and Oral Care: An Observational Study of Characteristics and Prevalence of Oral Diseases in an Italian Cohort. Int. J. Environ. Res. Public Health 2019, 16, 3763. https://doi.org/10.3390/ijerph16193763
Lauritano D, Moreo G, Carinci F, Borgia R, Lucchese A, Contaldo M, Della Vella F, Bernardelli P, Moreo G, Petruzzi M. Aging and Oral Care: An Observational Study of Characteristics and Prevalence of Oral Diseases in an Italian Cohort. International Journal of Environmental Research and Public Health. 2019; 16(19):3763. https://doi.org/10.3390/ijerph16193763
Chicago/Turabian StyleLauritano, Dorina, Giulia Moreo, Francesco Carinci, Raffaele Borgia, Alberta Lucchese, Maria Contaldo, Fedora Della Vella, Patrizia Bernardelli, Guido Moreo, and Massimo Petruzzi. 2019. "Aging and Oral Care: An Observational Study of Characteristics and Prevalence of Oral Diseases in an Italian Cohort" International Journal of Environmental Research and Public Health 16, no. 19: 3763. https://doi.org/10.3390/ijerph16193763
APA StyleLauritano, D., Moreo, G., Carinci, F., Borgia, R., Lucchese, A., Contaldo, M., Della Vella, F., Bernardelli, P., Moreo, G., & Petruzzi, M. (2019). Aging and Oral Care: An Observational Study of Characteristics and Prevalence of Oral Diseases in an Italian Cohort. International Journal of Environmental Research and Public Health, 16(19), 3763. https://doi.org/10.3390/ijerph16193763

