Preparation of Enzyme-Soluble Swim Bladder Collagen from Sea Eel (Muraenesox cinereus) and Evaluation Its Wound Healing Capacity
Abstract
:1. Introduction
2. Results
2.1. Single Factor Results
2.2. Optimization of Extraction Parameters of PSC Sponge Using RSM
2.3. Collagen Characterization
2.4. Animal Experiment
2.4.1. Wound Healing Rate
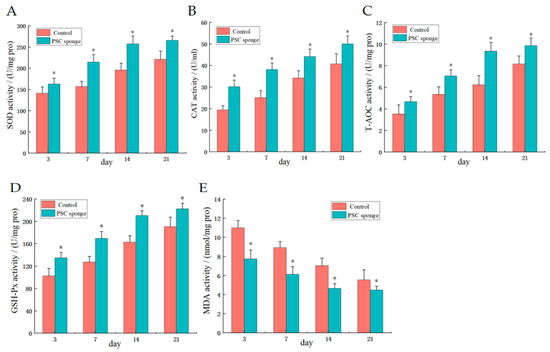
2.4.2. Serum Antioxidant Activity
2.4.3. Serum Inflammatory Factor Levels
2.4.4. Hematoxylin-Eosin (H&E) Staining
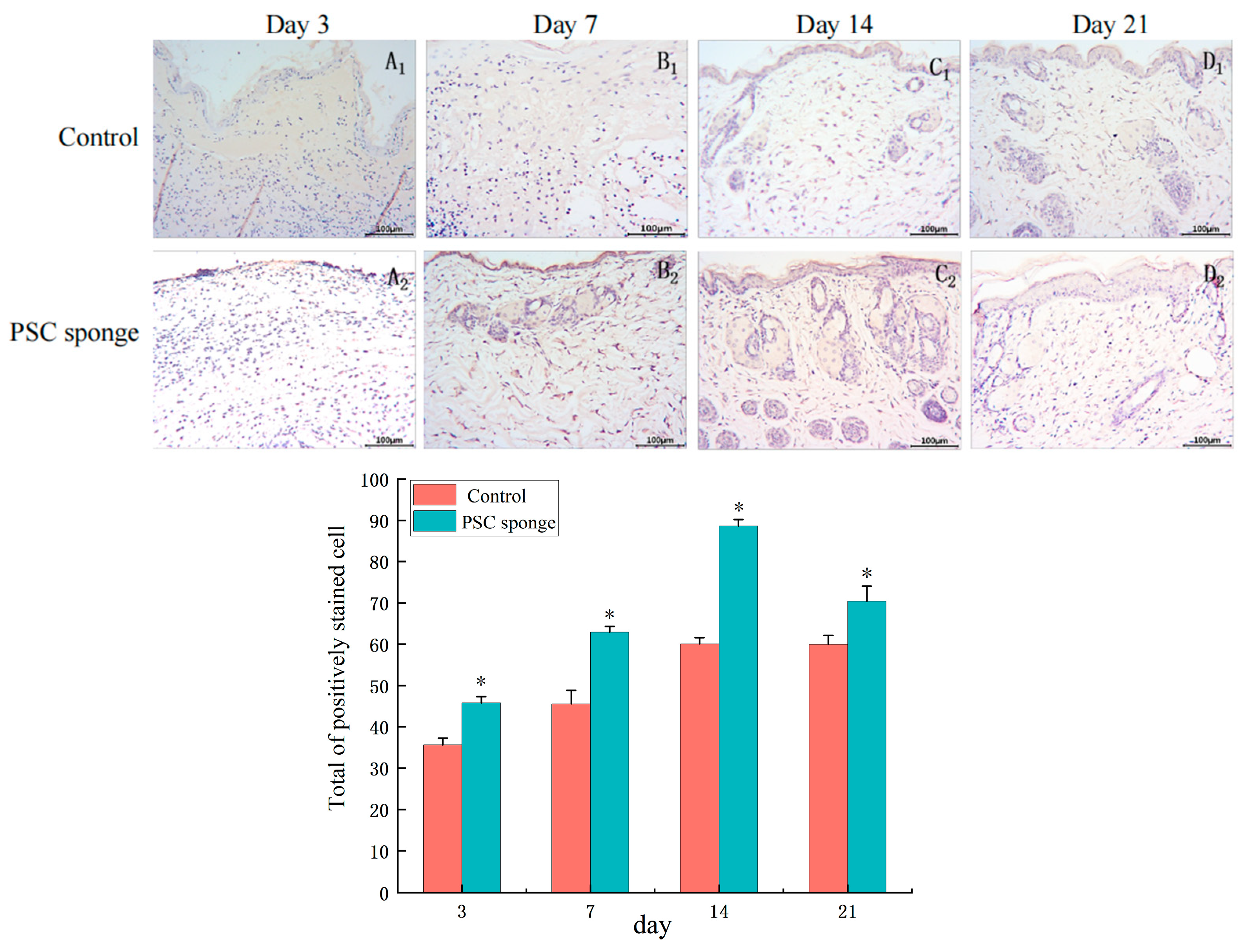
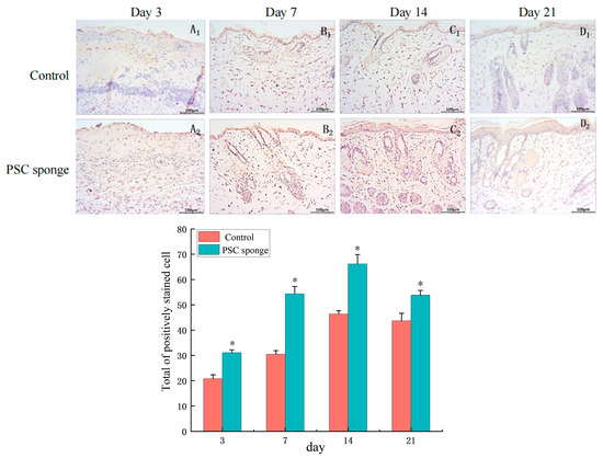
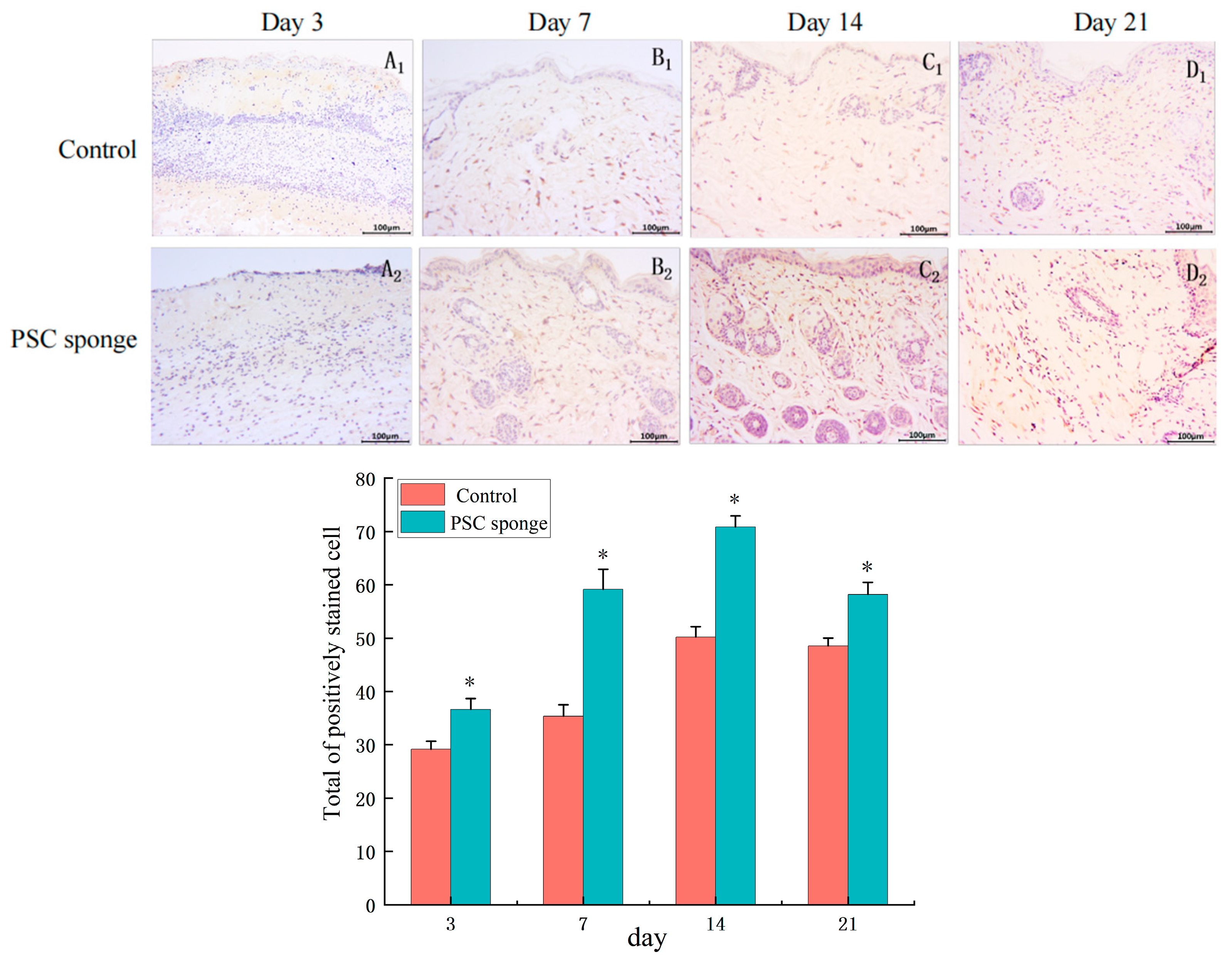
2.4.5. Immuno-Histochemical Analysis of CD31
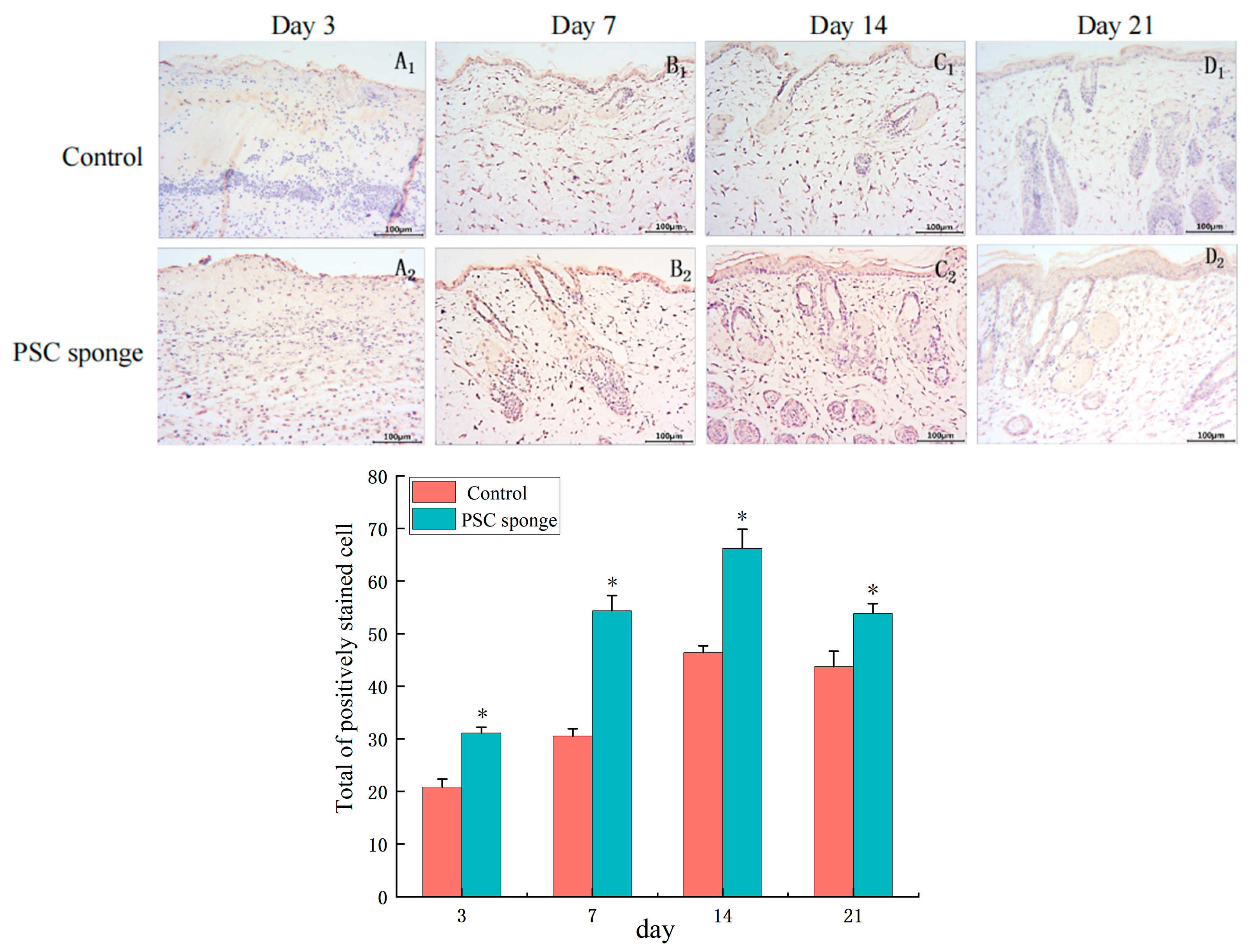
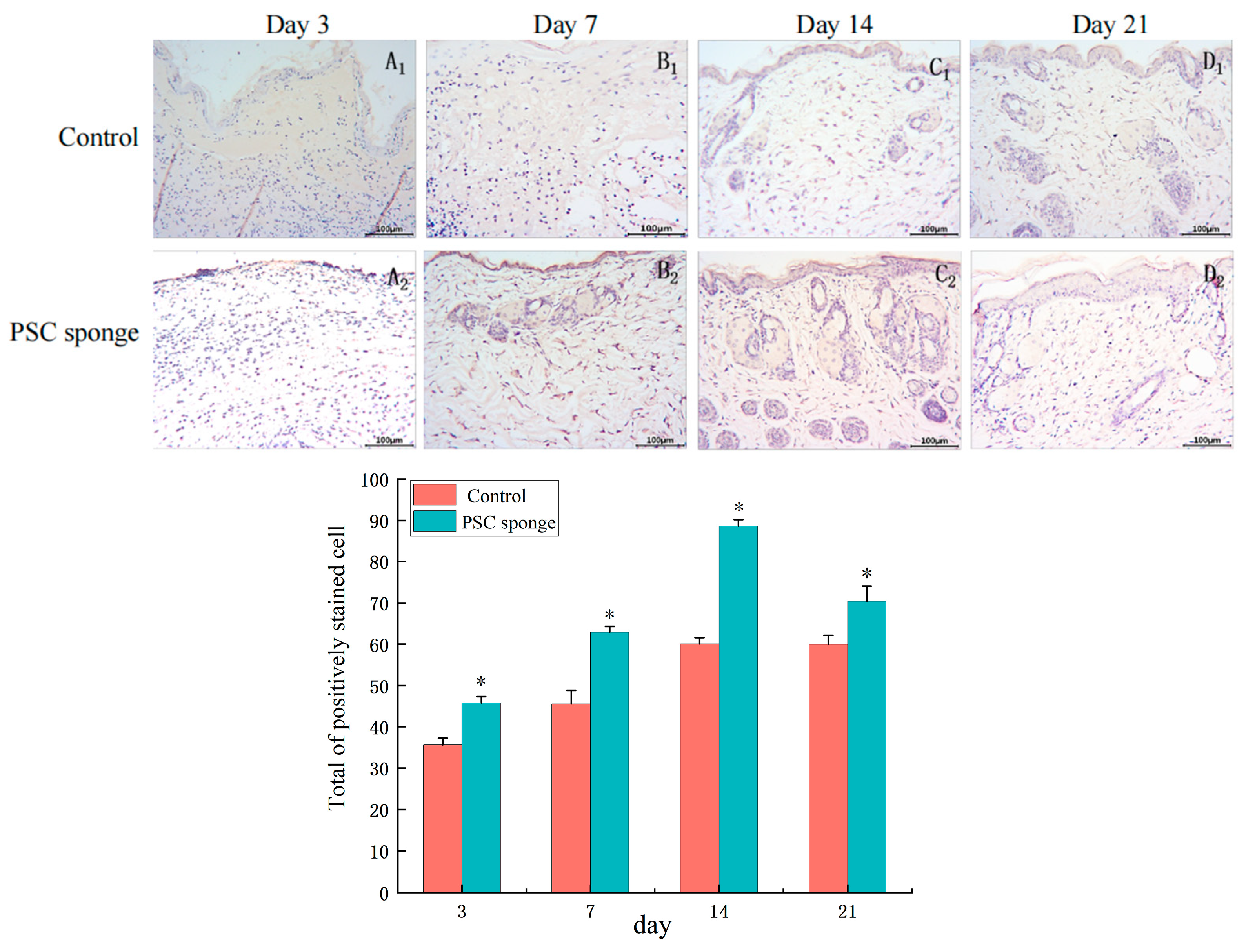
2.4.6. Immuno-Histochemical Analysis of EGF
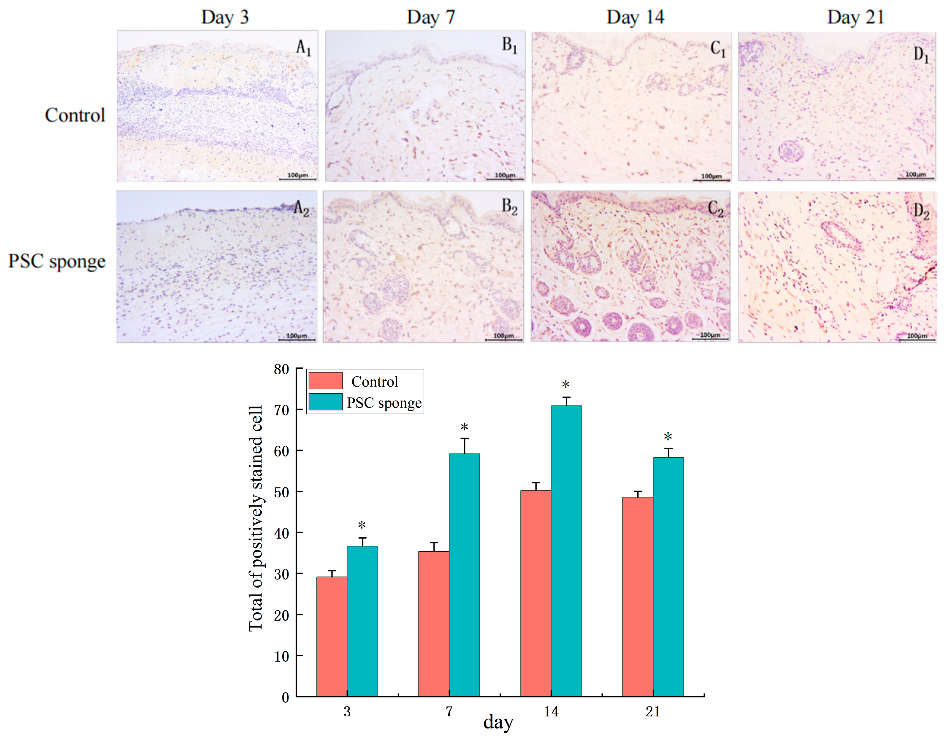
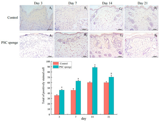
2.4.7. Immuno-Histochemical Analysis of TGF-β1
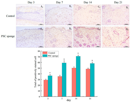
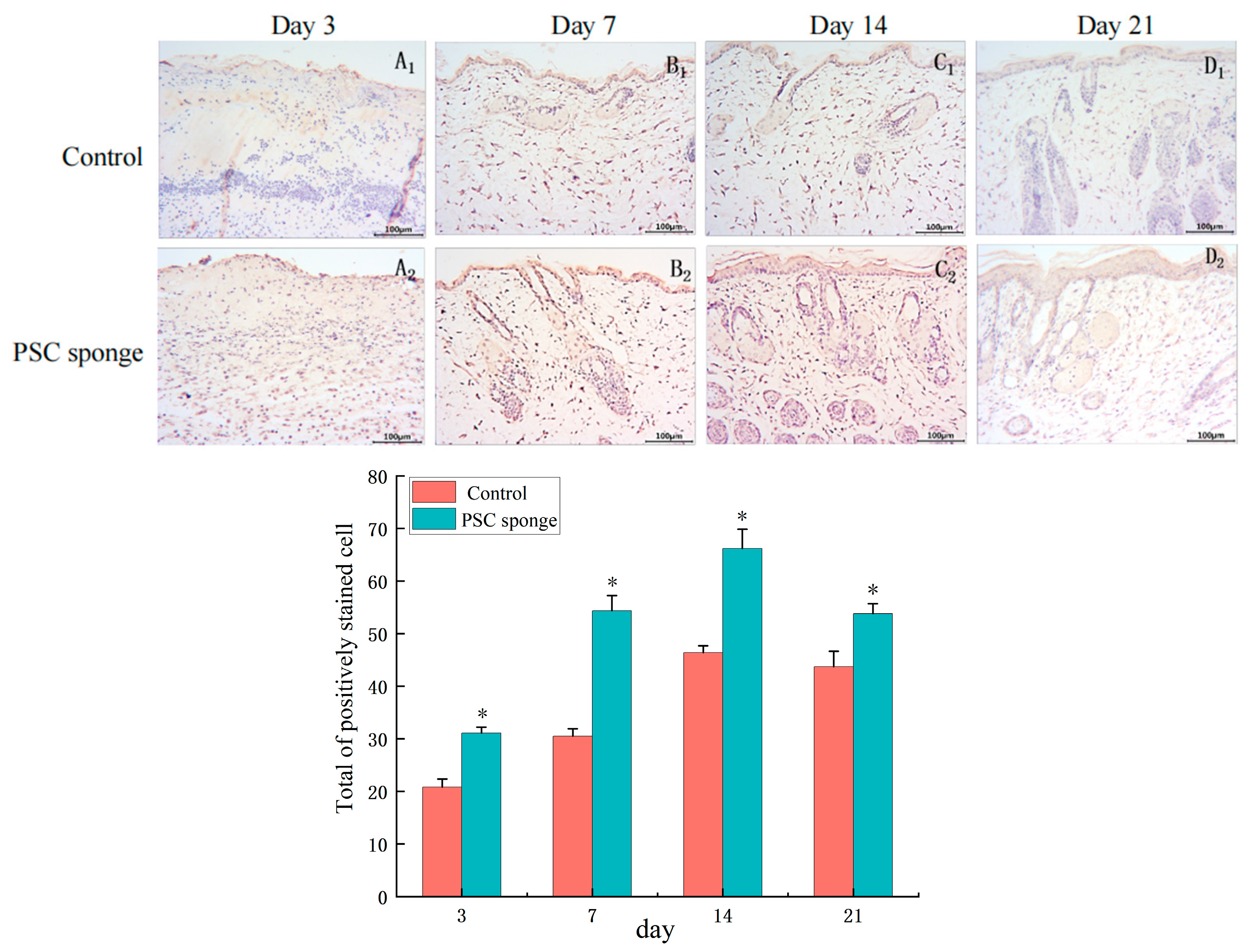
2.4.8. Immuno-Histochemical Analysis of Type I Collagen
3. Discussion
4. Materials and Methods
4.1. Materials
4.2. Extraction of Fish Bladder Collagen
4.2.1. Extraction Process of Fish Bladder Collagen
4.2.2. Determination of Collagen Extraction Rate
4.2.3. Single-Factor Test
4.2.4. Response Surface Optimization Test
4.3. Analysis of the Properties of PSC
4.3.1. SDS-PAGE Gel Electrophoresis
4.3.2. UV Absorption Spectrum
4.3.3. FTIR Spectroscopy
4.3.4. SEM Ultrastructure
4.4. Animal Experiments
4.4.1. Skin Wound Healing in ICR Mice
4.4.2. Determination of Serum Antioxidant Activity Index
4.4.3. Detection of Serum Inflammatory Factor Levels
4.4.4. Histopathological Examination
4.4.5. Immuno-Histochemical Examinations
4.5. Data Statistical Analysis
5. Conclusions
Supplementary Materials
Author Contributions
Funding
Institutional Review Board Statement
Data Availability Statement
Acknowledgments
Conflicts of Interest
References
- Xiao, L.; Lv, J.; Liang, Y.; Zhang, H.; Zheng, J.; Lin, F.; Wen, X. Structural, physicochemical properties and function of swim bladder collagen in promoting fibroblasts viability and collagen synthesis. LWT-Food Sci. Technol. 2023, 173, 114294. [Google Scholar] [CrossRef]
- Gao, X.; He, J. Double-spotted pufferfish (Takifugu bimaculatus) skin collagen: Preparation, structure, cytocompatibility, rheological, and functional properties. Arab. J. Chem. 2023, 16, 104402. [Google Scholar] [CrossRef]
- Sun, L.; Hou, H.; Li, B.; Zhang, Y. Characterization of acid- and pepsin-soluble collagen extracted from the skin of Nile tilapia (Oreochromis niloticus). Int. J. Biol. Macromol. 2017, 99, 8–14. [Google Scholar] [CrossRef] [PubMed]
- Subhan, F.; Hussain, Z.; Tauseef, I.; Shehzad, A.; Wahid, F. A review on recent advances and applications of fish collagen. Crit. Rev. Food Sci. Nutr. 2021, 61, 1027–1037. [Google Scholar] [CrossRef] [PubMed]
- Chen, L.; Cheng, G.; Meng, S.; Ding, Y. Collagen Membrane Derived from Fish Scales for Application in Bone Tissue Engineering. Polymers 2022, 14, 2532. [Google Scholar] [CrossRef] [PubMed]
- Gallo, N.; Natali, M.L.; Quarta, A.; Gaballo, A.; Terzi, A.; Sibillano, T.; Giannini, C.; De Benedetto, G.E.; Lunetti, P.; Capobianco, L.; et al. Aquaponics-Derived Tilapia Skin Collagen for Biomaterials Development. Polymers 2022, 14, 1865. [Google Scholar] [CrossRef]
- Gajbhiye, S.; Wairkar, S. Collagen fabricated delivery systems for wound healing: A new roadmap. Biomater. Adv. 2022, 142, 213152. [Google Scholar] [CrossRef] [PubMed]
- Ruonan, D.; Baolin, G. Smart wound dressings for wound healing. Nano Today 2021, 41, 101290. [Google Scholar] [CrossRef]
- Xie, H.; Chen, X.; Shen, X.; He, Y.; Chen, W.; Luo, Q.; Ge, W.; Yuan, W.; Tang, X.; Hou, D.; et al. Preparation of chitosan-collagen-alginate composite dressing and its promoting effects on wound healing. Int. J. Biol. Macromol. 2018, 107, 93–104. [Google Scholar] [CrossRef]
- Li, M.; Han, M.; Sun, Y.; Hua, Y.; Chen, G.; Zhang, L. Oligoarginine mediated collagen/chitosan gel composite for cutaneous wound healing. Int. J. Biol. Macromol. 2019, 122, 1120–1127. [Google Scholar] [CrossRef]
- Cruz, M.A.; Araujo, T.A.; Avanzi, I.R.; Parisi, J.R.; de Andrade, A.L.M.; Renno, A.C.M. Collagen from Marine Sources and Skin Wound Healing in Animal Experimental Studies: A Systematic Review. Mar Biotechnol 2021, 23, 1–11. [Google Scholar] [CrossRef]
- Chen, Y.; Jin, H.; Yang, F.; Jin, S.; Liu, C.; Zhang, L.; Huang, J.; Wang, S.; Yan, Z.; Cai, X.; et al. Physicochemical, antioxidant properties of giant croaker (Nibea japonica) swim bladders collagen and wound healing evaluation. Int. J. Biol. Macromol. 2019, 138, 483–491. [Google Scholar] [CrossRef] [PubMed]
- Jana, S.; Datta, P.; Das, H.; Ghosh, P.R.; Kundu, B.; Nandi, S.K. Engineering Vascularizing Electrospun Dermal Grafts by Integrating Fish Collagen and Ion-Doped Bioactive Glass. ACS Biomater. Sci. Eng. 2022, 8, 734–752. [Google Scholar] [CrossRef]
- Cheng, Y.; Hu, Z.; Zhao, Y.; Zou, Z.; Lu, S.; Zhang, B.; Li, S. Sponges of Carboxymethyl Chitosan Grafted with Collagen Peptides for Wound Healing. Int. J. Mol. Sci. 2019, 20, 3890. [Google Scholar] [CrossRef] [PubMed]
- Zhang, H.; Wu, J.; Gorfine, H.; Shan, X.; Shen, L.; Yang, H.; Du, H.; Li, J.; Wang, C.; Zhou, Q.; et al. Inland fisheries development versus aquatic biodiversity conservation in China and its global implications. Rev. Fish Biol. Fish. 2020, 30, 637–655. [Google Scholar] [CrossRef]
- Khoang, L.T.; Huyen, H.T.T.; Chung, H.V.; Duy, L.X.; Toan, T.Q.; Bich, H.T.; Minh, P.T.H.; Pham, D.T.N.; Hien, T.T. Optimization of Total Saponin Extraction from Polyscias fruticosa Roots Using the Ultrasonic-Assisted Method and Response Surface Methodology. Processes 2022, 10, 2034. [Google Scholar] [CrossRef]
- Zhao, W.H.; Chi, C.F.; Zhao, Y.Q.; Wang, B. Preparation, Physicochemical and Antioxidant Properties of Acid- and Pepsin-Soluble Collagens from the Swim Bladders of Miiuy Croaker (Miichthys miiuy). Mar. Drugs 2018, 16, 161. [Google Scholar] [CrossRef] [PubMed]
- Chen, X.; Zhou, L.; Xu, H.; Yamamoto, M.; Shinoda, M.; Tada, I.; Minami, S.; Urayama, K.; Yamane, H. The structure and properties of natural sheep casing and artificial films prepared from natural collagen with various crosslinking treatments. Int. J. Biol. Macromol. 2019, 135, 959–968. [Google Scholar] [CrossRef]
- Global Collagen Market—Size, Share, COVID-19 Impact, and Forecast to 2029. Available online: https://www.mordorintelligence.com/zh-CN/industry-reports/global-collagen-market (accessed on 13 May 2023).
- Wang, J.; Pei, X.; Liu, H.; Zhou, D. Extraction and characterization of acid-soluble and pepsin-soluble collagen from skin of loach (Misgurnus anguillicaudatus). Int. J. Biol. Macromol. 2018, 106, 544–550. [Google Scholar] [CrossRef]
- Nurubhasha, R.; Sampath Kumar, N.S.; Thirumalasetti, S.K.; Simhachalam, G.; Dirisala, V.R. Extraction and characterization of collagen from the skin of Pterygoplichthys pardalis and its potential application in food industries. Food Sci. Biotechnol. 2019, 28, 1811–1817. [Google Scholar] [CrossRef]
- Diller, R.B.; Kellar, R.S. An acellular tissue engineered biomimetic wound healing device created using collagen and tropoelastin accelerates wound healing. J. Tissue Viability 2022, 31, 485–490. [Google Scholar] [CrossRef]
- Chen, K.; Sivaraj, D.; Davitt, M.F.; Leeolou, M.C.; Henn, D.; Steele, S.R.; Huskins, S.L.; Trotsyuk, A.A.; Kussie, H.C.; Greco, A.H.; et al. Pullulan-Collagen hydrogel wound dressing promotes dermal remodelling and wound healing compared to commercially available collagen dressings. Wound Repair. Regen. 2022, 30, 397–408. [Google Scholar] [CrossRef] [PubMed]
- Zhang, K.; Bai, X.; Yuan, Z.; Cao, X.; Jiao, X.; Li, Y.; Qin, Y.; Wen, Y.; Zhang, X. Layered nanofiber sponge with an improved capacity for promoting blood coagulation and wound healing. Biomaterials 2019, 204, 70–79. [Google Scholar] [CrossRef]
- Ramanathan, G.; Thyagarajan, S.; Sivagnanam, U.T. Accelerated wound healing and its promoting effects of biomimetic collagen matrices with siderophore loaded gelatin microspheres in tissue engineering. Mater. Sci. Eng. C Mater. Biol. Appl. 2018, 93, 455–464. [Google Scholar] [CrossRef] [PubMed]
- Liu, J.; Xie, X.; Wang, T.; Chen, H.; Fu, Y.; Cheng, X.; Wu, J.; Li, G.; Liu, C.; Liimatainen, H.; et al. Promotion of Wound Healing Using Nanoporous Silk Fibroin Sponges. ACS Appl. Mater. Interfaces 2023, 15, 12696–12707. [Google Scholar] [CrossRef]
- An, R.; Zhang, Y.; Qiao, Y.; Song, L.; Wang, H.; Dong, X. Adipose stem cells isolated from diabetic mice improve cutaneous wound healing in streptozotocin-induced diabetic mice. Stem Cell Res. Ther. 2020, 11, 120. [Google Scholar] [CrossRef]
- El-Sherbeni, S.A.; Negm, W.A. The wound healing effect of botanicals and pure natural substances used in in vivo models. Inflammopharmacology 2023, 31, 755–772. [Google Scholar] [CrossRef]
- Zahoor, S.; Tahir, H.M.; Ali, S.; Ali, A.; Muzamil, A.; Murtaza, Z.; Zahoor, N. Diabetic wound healing potential of silk sericin protein based hydrogels enriched with plant extracts. Int. J. Biol. Macromol. 2023, 242, 125184. [Google Scholar] [CrossRef]
- Zhang, D.; Wu, X.; Chen, J.; Lin, K. The development of collagen based composite scaffolds for bone regeneration. Bioact. Mater. 2018, 3, 129–138. [Google Scholar] [CrossRef] [PubMed]
- Zheng, T.; Tang, P.; Li, G. Development of composite film based on collagen and phenolic acid-grafted chitosan for food packaging. Int. J. Biol. Macromol. 2023, 241, 124494. [Google Scholar] [CrossRef]
- Ailincai, D.; Rosca, I.; Morariu, S.; Mititelu-Tartau, L.; Marin, L. Iminoboronate-chitooligosaccharides hydrogels with strong antimicrobial activity for biomedical applications. Carbohydr. Polym. 2022, 276, 118727. [Google Scholar] [CrossRef]
- Mo, C.; Wang, Q.; Li, G.; Dong, W.; Liang, F.; Wu, C.; Wang, Z.; Wang, Y. Extraction and Characterization of Pepsin- and Acid-Soluble Collagen from the Swim Bladders of Megalonibea fusca. Mar. Drugs 2023, 21, 159. [Google Scholar] [CrossRef] [PubMed]
- Dong, Y.; Dai, Z. Physicochemical, Structural and Antioxidant Properties of Collagens from the Swim Bladder of Four Fish Species. Mar. Drugs 2022, 20, 550. [Google Scholar] [CrossRef]
- Jafari, H.; Lista, A.; Siekapen, M.M.; Ghaffari-Bohlouli, P.; Nie, L.; Alimoradi, H.; Shavandi, A. Fish Collagen: Extraction, Characterization, and Applications for Biomaterials Engineering. Polymers 2020, 12, 2230. [Google Scholar] [CrossRef]
- Gaurav Kumar, P.; Nidheesh, T.; Govindaraju, K.; Jyoti; Suresh, P.V. Enzymatic extraction and characterisation of a thermostable collagen from swim bladder of rohu (Labeo rohita). J. Sci. Food Agric. 2017, 97, 1451–1458. [Google Scholar] [CrossRef] [PubMed]
- Cruz-Lopez, H.; Rodriguez-Morales, S.; Enriquez-Paredes, L.M.; Villarreal-Gomez, L.J.; Olivera-Castillo, L.; Cortes-Santiago, Y.; Lopez, L.M. Comparison of collagen characteristic from the skin and swim bladder of Gulf corvina (Cynoscion othonopterus). Tissue Cell 2021, 72, 101593. [Google Scholar] [CrossRef] [PubMed]
- De Souza, A.; De Almeida Cruz, M.; De Araujo, T.A.T.; Parisi, J.R.; Do Vale, G.C.A.; Dos Santos Jorge Sousa, K.; Ribeiro, D.A.; Granito, R.N.; Renno, A.C.M. Fish collagen for skin wound healing: A systematic review in experimental animal studies. Cell Tissue Res. 2022, 388, 489–502. [Google Scholar] [CrossRef]
- Mathew-Steiner, S.S.; Roy, S.; Sen, C.K. Collagen in Wound Healing. Bioengineering 2021, 8, 63. [Google Scholar] [CrossRef]
- Wang, L.; Qu, Y.; Li, W.; Wang, K.; Qin, S. Effects and metabolism of fish collagen sponge in repairing acute wounds of rat skin. Front. Bioeng. Biotechnol. 2023, 11, 1087139. [Google Scholar] [CrossRef]
- Kou, Z.; Li, B.; Aierken, A.; Tan, N.; Li, C.; Han, M.; Jing, Y.; Li, N.; Zhang, S.; Peng, S.; et al. Mesenchymal Stem Cells Pretreated with Collagen Promote Skin Wound-Healing. Int. J. Mol. Sci. 2023, 24, 8688. [Google Scholar] [CrossRef]
- Shalaby, M.; Agwa, M.; Saeed, H.; Khedr, S.M.; Morsy, O.; El-Demellawy, M.A. Fish Scale Collagen Preparation, Characterization and Its Application in Wound Healing. J. Polym. Environ. 2020, 28, 166–178. [Google Scholar] [CrossRef]
- Feng, X.; Zhang, X.; Li, S.; Zheng, Y.; Shi, X.; Li, F.; Guo, S.; Yang, J. Preparation of aminated fish scale collagen and oxidized sodium alginate hybrid hydrogel for enhanced full-thickness wound healing. Int. J. Biol. Macromol. 2020, 164, 626–637. [Google Scholar] [CrossRef] [PubMed]
- Tang, Y.; Zhao, R. Investigation of nephrotoxicity on mice exposed to polystyrene nanoplastics and the potential amelioration effects of DHA-enriched phosphatidylserine. Sci. Total Environ. 2023, 892, 164808. [Google Scholar] [CrossRef] [PubMed]
- Chen, J.; Gao, K.; Liu, S.; Wang, S.; Elango, J.; Bao, B.; Dong, J.; Liu, N.; Wu, W. Fish Collagen Surgical Compress Repairing Characteristics on Wound Healing Process In Vivo. Mar. Drugs 2019, 17, 33. [Google Scholar] [CrossRef] [PubMed]










| Serial Number | Enzyme Concentration A/(U/g) | Solid-Liquid Ratio B/(g/mL) | Hydrolysis Time C/h | Extraction Rate Y/% |
|---|---|---|---|---|
| 1 | 0 | 0 | 0 | 92.06 |
| 2 | 0 | 1 | −1 | 82.63 |
| 3 | −1 | 1 | 0 | 76.06 |
| 4 | 0 | 1 | 1 | 91.70 |
| 5 | 1 | 1 | 0 | 91.32 |
| 6 | 0 | 0 | 0 | 92.88 |
| 7 | −1 | 0 | −1 | 74.15 |
| 8 | 0 | −1 | −1 | 74.26 |
| 9 | 0 | −1 | 1 | 79.09 |
| 10 | 1 | 0 | −1 | 80.03 |
| 11 | 1 | 0 | 1 | 86.03 |
| 12 | 1 | −1 | 0 | 79.12 |
| 13 | 0 | 0 | 0 | 92.91 |
| 14 | −1 | 0 | 1 | 76.53 |
| 15 | −1 | −1 | 0 | 73.95 |
| Source | Sum of Squares | df | Mean Square | F-Value | p-Value |
|---|---|---|---|---|---|
| Model | 782.84 | 9 | 86.98 | 33.25 | 0.0006 |
| A | 162.72 | 1 | 162.72 | 62.20 | 0.0005 |
| B | 155.58 | 1 | 155.58 | 59.47 | 0.0006 |
| C | 60.50 | 1 | 60.50 | 23.13 | 0.0048 |
| AB | 25.40 | 1 | 25.40 | 9.71 | 0.0264 |
| AC | 2.79 | 1 | 2.79 | 1.07 | 0.3492 |
| BC | 4.49 | 1 | 4.49 | 1.72 | 0.2469 |
| A2 | 212.47 | 1 | 212.47 | 81.22 | 0.0003 |
| B2 | 89.41 | 1 | 89.41 | 34.18 | 0.0021 |
| C2 | 123.18 | 1 | 123.18 | 47.08 | 0.0010 |
| Residual | 13.08 | 5 | 2.62 | ||
| Lack of Fit | 12.62 | 3 | 4.21 | 18.08 | 0.0529 |
| Pure Error | 0.47 | 2 | 0.23 | ||
| Cor Total | 795.92 | 14 | |||
| R2 | 0.9836 | ||||
| Adj R2 | 0.9540 |
| Groups | Wound Healing (%) | |||
|---|---|---|---|---|
| 3 Days | 7 Days | 14 Days | 21 Days | |
| Control | 37.54 ± 1.07 | 52.42 ± 0.76 | 93.05 ± 0.49 | 97.81 ± 0.20 |
| PSC sponge | 45.85 ± 0.74 * | 63.19 ± 0.68 * | 95.41 ± 0.33 * | 99.14 ± 0.17 * |
Disclaimer/Publisher’s Note: The statements, opinions and data contained in all publications are solely those of the individual author(s) and contributor(s) and not of MDPI and/or the editor(s). MDPI and/or the editor(s) disclaim responsibility for any injury to people or property resulting from any ideas, methods, instructions or products referred to in the content. |
© 2023 by the authors. Licensee MDPI, Basel, Switzerland. This article is an open access article distributed under the terms and conditions of the Creative Commons Attribution (CC BY) license (https://creativecommons.org/licenses/by/4.0/).
Share and Cite
Li, H.; Tian, J.; Cao, H.; Tang, Y.; Huang, F.; Yang, Z. Preparation of Enzyme-Soluble Swim Bladder Collagen from Sea Eel (Muraenesox cinereus) and Evaluation Its Wound Healing Capacity. Mar. Drugs 2023, 21, 525. https://doi.org/10.3390/md21100525
Li H, Tian J, Cao H, Tang Y, Huang F, Yang Z. Preparation of Enzyme-Soluble Swim Bladder Collagen from Sea Eel (Muraenesox cinereus) and Evaluation Its Wound Healing Capacity. Marine Drugs. 2023; 21(10):525. https://doi.org/10.3390/md21100525
Chicago/Turabian StyleLi, Hangting, Jing Tian, Hongjie Cao, Yunping Tang, Fangfang Huang, and Zuisu Yang. 2023. "Preparation of Enzyme-Soluble Swim Bladder Collagen from Sea Eel (Muraenesox cinereus) and Evaluation Its Wound Healing Capacity" Marine Drugs 21, no. 10: 525. https://doi.org/10.3390/md21100525
APA StyleLi, H., Tian, J., Cao, H., Tang, Y., Huang, F., & Yang, Z. (2023). Preparation of Enzyme-Soluble Swim Bladder Collagen from Sea Eel (Muraenesox cinereus) and Evaluation Its Wound Healing Capacity. Marine Drugs, 21(10), 525. https://doi.org/10.3390/md21100525

