Identification and Characterization of Three Chitinases with Potential in Direct Conversion of Crystalline Chitin into N,N′-diacetylchitobiose
Abstract
1. Introduction
2. Results and Discussion
2.1. The Ability of Strain DSM 14401 to Utilize Crystalline Chitin
2.2. Identification of the Chitinases Secreted by Strain DSM 14401
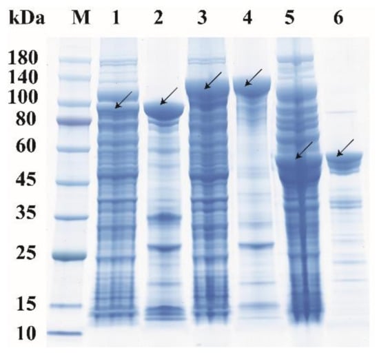
2.3. Characterization of the GH18 Chitinases with Activity on Crystalline Chitin
2.4. Analysis of the Products of the Chitinases on Crystalline Chitin
3. Materials and Methods
3.1. Bacterial Strains and Experimental Materials
3.2. Screening of Strain DSM 14401
3.3. Extracellular Chitinase Activity Assay of Strain DSM 14401
3.4. Bioinformatics Analysis
3.5. Secretome Analysis
3.6. Expression and Purification of Chitinases Chib0431, Chib0434, Chia4287
3.7. Enzyme Assays
3.8. Characterization of the Chitinases
3.9. Analysis of the Products Released from Crystalline Chitin by the Chitinases
4. Conclusions
Supplementary Materials
Author Contributions
Funding
Institutional Review Board Statement
Data Availability Statement
Acknowledgments
Conflicts of Interest
References
- Rinaudo, M. Chitin and chitosan: Properties and applications. Prog. Polym. Sci. 2006, 31, 603–632. [Google Scholar] [CrossRef]
- Jang, M.K.; Kong, B.G.; Jeong, Y.I.; Lee, C.H.; Nah, J.W. Physicochemical characterization of α-chitin, β-chitin, and γ-chitin separated from natural resources. J. Polym. Sci. Part A Polym. Chem. 2004, 42, 3423–3432. [Google Scholar] [CrossRef]
- Johnstone, J. Conditions of Life in the Sea; Cambridge University Press: Cambridge, UK, 1908; p. 332. [Google Scholar]
- Poulicek, M.; Jeauniaux, C. Chitin biomass in marine sediments. In Chitin Chitosan; Elsevier: London, UK, 1988; pp. 152–160. [Google Scholar]
- Tokoro, A.; Kobayashi, M.; Tatewaki, N.; Suzuki, K.; Okawa, Y.; Mikami, T.; Suzuki, S.; Suzuki, M. Protective effect of N-acetyl chitohexaose on Listeria monocytogenes infection in mice. Microbiol. Immunol. 1989, 33, 357–367. [Google Scholar] [CrossRef]
- Nishimura, K.; Nishimura, S.; Nishi, N.; Saiki, I.; Tokura, S.; Azuma, I. Immunological activity of chitin and its derivatives. Vaccine 1984, 2, 93–99. [Google Scholar] [CrossRef]
- Kim, S.K.; Ravichandran, Y.D.; Khan, S.B.; Kim, Y.T. Prospective of the cosmeceuticals derived from marine organisms. Biotechnol. Bioprocess Eng. 2008, 13, 511–523. [Google Scholar] [CrossRef]
- Bak, Y.K.; Lampe, J.W.; Sung, M.K. Effects of dietary supplementation of glucosamine sulfate on intestinal inflammation in a mouse model of experimental colitis. J. Gastroenterol. Hepatol. 2014, 29, 957–963. [Google Scholar] [CrossRef]
- Tamai, Y.; Miyatake, K.; Okamoto, Y.; Takamori, Y.; Sakamoto, K.; Minami, S. Enhanced healing of cartilaginous injuries by N-acetyl-D-glucosamine and glucuronic acid. Carbohydr. Polym. 2003, 54, 251–262. [Google Scholar] [CrossRef]
- Wang, Y.C.; Lien, T.S.; Chen, N.Y.; Hsu, T.H. Purification and characterization of β-N-acetylglucos-aminidase from Grifola frondosa. BioResources 2021, 16, 7234–7248. [Google Scholar] [CrossRef]
- Jiang, S.; Jiang, H.; Zhou, Y.; Jiang, S.; Zhang, G. High-level expression of β-N-Acetylglucosaminidase BsNagZ in Pichia pastoris to obtain GlcNAc. Bioprocess Biosyst. Eng. 2019, 42, 611–619. [Google Scholar] [CrossRef]
- Suginta, W.; Chuenark, D.; Mizuhara, M.; Fukamizo, T. Novel β-N-acetylglucosaminidases from Vibrio harveyi 650: Cloning, expression, enzymatic properties, and subsite identification. BMC Biochem. 2010, 11, 40. [Google Scholar] [CrossRef]
- Kumar, M.; Brar, A.; Vivekanand, V.; Pareek, N. Bioconversion of Chitin to Bioactive Chitooligosaccharides: Amelioration and Coastal Pollution Reduction by Microbial Resources. Mar. Biotechnol. 2018, 20, 269–281. [Google Scholar] [CrossRef] [PubMed]
- Liu, C.; Shen, N.; Wu, J.; Jiang, M.; Shi, S.; Wang, J.; Wei, Y.; Yang, L. Cloning, expression and characterization of a chitinase from Paenibacillus chitinolyticus strain UMBR 0002. PeerJ 2020, 8, e8964. [Google Scholar] [CrossRef] [PubMed]
- Chung, D.; Baek, K.; Bae, S.S.; Jung, J. Identification and characterization of a marine-derived chitinolytic fungus, Acremonium sp. YS2-2. J. Microbiol. 2019, 57, 372–380. [Google Scholar] [CrossRef]
- Song, Y.S.; Lee, S.H.; Cho, J.A.; Moon, C.; Seo, D.J.; Jung, W.J. Expression and degradation patterns of chitinase purified from Xuehuali (Pyrus bretschneiderilia) pollen. Int. J. Biol. Macromol. 2018, 107, 446–452. [Google Scholar] [CrossRef] [PubMed]
- Fu, X.; Yan, Q.; Wang, J.; Yang, S.; Jiang, Z. Purification and biochemical characterization of novel acidic chitinase from Paenicibacillus barengoltzii. Int. J. Biol. Macromol. 2016, 91, 973–979. [Google Scholar] [CrossRef]
- Wang, Y.J.; Jiang, W.X.; Zhang, Y.S.; Cao, H.Y.; Zhang, Y.; Chen, X.L.; Li, C.Y.; Wang, P.; Zhang, Y.Z.; Song, X.Y.; et al. Structural Insight into Chitin Degradation and Thermostability of a Novel Endochitinase from the Glycoside Hydrolase Family 18. Front. Microbiol. 2019, 10, 2457. [Google Scholar] [CrossRef] [PubMed]
- Nguyen-Thi, N.; Doucet, N. Combining chitinase C and N-acetylhexosaminidase from Streptomyces coelicolor A3(2) provides an efficient way to synthesize N-acetylglucosamine from crystalline chitin. J. Biotechnol. 2016, 220, 25–32. [Google Scholar] [CrossRef] [PubMed]
- Suma, K.; Podile, A.R. Chitinase A from Stenotrophomonas maltophilia shows transglycosylation and antifungal activities. Bioresour. Technol. 2013, 133, 213–220. [Google Scholar] [CrossRef]
- Cheba, B.A.; Zaghloul, T.I.; EL-Mahdy, A.R.; EL-Massry, M.H. Effect of pH and Temperature on Bacillus sp. R2 Chitinase A activity and Stability. Procedia Technol. 2016, 22, 471–477. [Google Scholar] [CrossRef]
- Neelamegam, A.; Sadhasivam, G.; Muthuvel, A.; Thangavel, B. Purification and characterization of chitinase from micrococcus sp.AG84 isolated from marine environment. Afr. J. Microbiol. Res. 2011, 4, 2822–2827. [Google Scholar]
- Makhdoumi, A.; Dehghani-Joybari, Z.; Mashreghi, M.; Jamialahmadi, K.; Asoodeh, A. A novel halo-alkali-tolerant and thermo-tolerant chitinase from Pseudoalteromonas sp. DC14 isolated from the Caspian Sea. Int. J. Environ. Sci. Technol. 2015, 12, 3895–3904. [Google Scholar] [CrossRef]
- Ray, L.; Panda, A.N.; Mishra, S.R.; Pattanaik, A.K.; Adhya, T.K.; Suar, M.; Raina, V. Purification and characterization of an extracellular thermo-alkali stable, metal tolerant chitinase from Streptomyces chilikensis RC1830 isolated from a brackish water lake sediment. Biotechnol. Rep. 2019, 21, e00311. [Google Scholar] [CrossRef] [PubMed]
- Tsujibo, H.; Orikoshi, H.; Shiotani, K.; Hayashi, M.; Umeda, J.; Miyamoto, K.; Imada, C.; Okami, Y.; Inamori, Y. A novel family 19 chitinase from the marine-derived Pseudoalteromonas tunicata CCUG 44952T: Heterologous expression, characterization and antifungal activity. Biochem. Eng. J. 2015, 93, 84–93. [Google Scholar]
- Ramli, A.N.; Mahadi, N.M.; Rabu, A.; Murad, A.M.; Bakar, F.D.; Illias, R.M. Molecular cloning, expression and biochemical characterisation of a cold-adapted novel recombinant chitinase from Glaciozyma antarctica PI12. Microb. Cell Fact. 2011, 10, 94. [Google Scholar] [CrossRef]
- Wang, X.H.; Zhao, Y.; Tan, H.D.; Chi, N.Y.; Zhang, Q.F.; Du, Y.G.; Yin, H. Characterisation of a chitinase from Pseudoalteromonas sp. DL-6, a marine psychrophilic bacterium. Int. J. Biol. Macromol. 2014, 70, 455–462. [Google Scholar] [CrossRef] [PubMed]
- Meruvu, H.; Donthireddy, S.R. Purification and characterization of an antifungal chitinase from Citrobacter freundii str. nov. haritD11. Appl. Biochem. Biotechnol. 2014, 172, 196–205. [Google Scholar] [CrossRef]
- Stefanidi, E.; Vorgias, C.E. Molecular analysis of the gene encoding a new chitinase from the marine psychrophilic bacterium Moritella marina and biochemical characterization of the recombinant enzyme. Extremophiles 2008, 12, 541–552. [Google Scholar] [CrossRef]
- Mukherjee, S.; Behera, P.K.; Madhuprakash, J. Efficient conversion of crystalline chitin to N-acetylglucosamine and N,N′-diacetylchitobiose by the enzyme cocktail produced by Paenibacillus sp. LS1. Carbohydr. Polym. 2020, 250, 116889. [Google Scholar] [CrossRef]
- Sashiwa, H.; Fujishima, S.; Yamano, N.; Kawasaki, N.; Nakayama, A.; Muraki, E.; Hiraga, K.; Oda, K.; Aiba, S. Production of N-acetyl-D-glucosamine from alpha-chitin by crude enzymes from Aeromonas hydrophila H-2330. Carbohydr. Res. 2002, 337, 761–763. [Google Scholar] [CrossRef]
- Lv, C.Y.; Gu, T.Y.; Ma, R.; Yao, W.; Huang, Y.Y.; Gu, J.G.; Zhao, G.G. Biochemical characterization of a GH19 chitinase from Streptomyces alfalfae and its applications in crystalline chitin conversion and biocontrol. Int. J. Biol. Macromol. 2021, 167, 193–201. [Google Scholar] [CrossRef]
- Gao, C.; Zhang, A.; Chen, K.; Hao, Z.; Tong, J.; Ouyang, P. Characterization of extracellular chitinase from Chitinibacter sp. GC72 and its application in GlcNAc production from crayfish shell enzymatic degradation. Biochem. Eng. J. 2015, 97, 59–64. [Google Scholar] [CrossRef]
- Chen, X.L.; Wang, Y.; Wang, P.; Zhang, Y.Z. Proteases from the marine bacteria in the genus Pseudoalteromonas: Diversity, characteristics, ecological roles, and application potentials. Mar. Life Sci. Technol. 2020, 2, 309–323. [Google Scholar] [CrossRef]
- Wietz, M.; Gram, L.; Jørgensen, B.; Schramm, A. Latitudinal Patterns in the Abundance of Major Marine Bacterioplankton Groups. Aquat. Microb. Ecol. 2010, 61, 179–189. [Google Scholar] [CrossRef]
- Paulsen, S.S.; Strube, M.L.; Bech, P.K.; Gram, L.; Sonnenschein, E.C. Marine Chitinolytic Pseudoalteromonas Represents an Untapped Reservoir of Bioactive Potential. mSystems 2019, 4, e00060-19. [Google Scholar] [CrossRef]
- Wang, X.; Chi, N.; Bai, F.; Du, Y.; Zhao, Y.; Yin, H. Characterization of a cold-adapted and salt-tolerant exo-chitinase (ChiC) from Pseudoalteromonas sp. DL-6. Extremophiles 2016, 20, 167–176. [Google Scholar] [CrossRef] [PubMed]
- Orikoshi, H.; Baba, N.; Nakayama, S.; Kashu, H.; Miyamoto, K.; Yasuda, M.; Inamori, Y.; Tsujibo, H. Molecular analysis of the gene encoding a novel cold-adapted chitinase (ChiB) from a marine bacterium, Alteromonas sp. strain O-7. J. Bacteriol. 2003, 185, 1153–1160. [Google Scholar] [CrossRef]
- Ivanova, E.P.; Shevchenko, L.S.; Sawabe, T.; Lysenko, A.M.; Svetashev, V.I.; Gorshkova, N.M.; Satomi, M.; Christen, R.; Mikhailov, V.V. Pseudoalteromonas maricaloris sp. nov., isolated from an Australian sponge, and reclassification of [Pseudoalteromonas aurantia] NCIMB 2033 as Pseudoalteromonas flavipulchra sp. nov. Int. J. Syst. Evol. Microbiol. 2002, 52, 263–271. [Google Scholar] [CrossRef] [PubMed]
- Chen, W.; Qu, M.; Zhou, Y.; Yang, Q. Structural analysis of group II chitinase (ChtII) catalysis completes the puzzle of chitin hydrolysis in insects. J. Biol. Chem. 2018, 29, 2652–2660. [Google Scholar] [CrossRef]
- Pantoom, S.; Vetter, I.R.; Prinz, H.; Suginta, W. Potent family-18 chitinase inhibitors: X-ray structures, affinities, and binding mechanisms. J. Biol. Chem. 2011, 286, 24312–24323. [Google Scholar] [CrossRef]
- Houston, D.R.; Shiomi, K.; Arai, N.; Omura, S.; Peter, M.G.; Turberg, A.; Synstad, B.; Eijsink, V.G.; van Aalten, D.M. High-resolution structures of a chitinase complexed with natural product cyclopentapeptide inhibitors: Mimicry of carbohydrate substrate. Proc. Natl. Acad. Sci. USA 2002, 99, 9127–9132. [Google Scholar] [CrossRef]
- Sun, X.; Li, Y.; Tian, Z.; Qian, Y.; Zhang, H.; Wang, L. A novel thermostable chitinolytic machinery of Streptomyces sp. F-3 consisting of chitinases with different action modes. Biotechnol. Biofuels 2019, 12, 136. [Google Scholar] [CrossRef] [PubMed]
- Suzuki, K.; Taiyoji, M.; Sugawara, N.; Nikaidou, N.; Henrissat, B.; Watanabe, T. The third chitinase gene (chiC) of Serratia marcescens 2170 and the relationship of its product to other bacterial chitinases. Biochem. J. 1999, 343, 587–596. [Google Scholar] [CrossRef] [PubMed]
- Liu, T.; Zhu, W.; Wang, J.; Zhou, Y.; Duan, Y.; Qu, M.; Yang, Q. The deduced role of a chitinase containing two nonsynergistic catalytic domains. Acta Crystallogr. D Struct. Biol. 2018, 74, 30–40. [Google Scholar] [CrossRef] [PubMed]
- Bai, Y.; Eijsink, V.G.; Kielak, A.M.; van Veen, J.A.; de Boer, W. Genomic comparison of chitinolytic enzyme systems from terrestrial and aquatic bacteria. Environ. Microbiol. 2016, 18, 38–49. [Google Scholar] [CrossRef] [PubMed]
- Orlando, M.; Pucciarelli, S.; Lotti, M. Endolysins from Antarctic Pseudomonas Display Lysozyme Activity at Low Temperature. Mar. Drugs 2020, 18, 579. [Google Scholar] [CrossRef] [PubMed]
- Watanabe, T.; Ito, Y.; Yamada, T.; Hashimoto, M.; Sekine, S.; Tanaka, H. The roles of the C-terminal domain and type-Iii domains of chitinase A1 from Bacillus Circulans Wl-12 in chitin degradation. J. Bacteriol. 1994, 176, 4465–4472. [Google Scholar] [CrossRef]
- Svitil, A.L.; Kirchman, D.L. A chitin-binding domain in a marine bacterial chitinase and other microbial chitinases: Implications for the ecology and evolution of 1,4-beta-glycanases. Microbiology 1998, 144, 1299–1308. [Google Scholar] [CrossRef][Green Version]
- Eijsink, V.G.H.; Vaaje-Kolstad, G.; Varum, K.M.; Horn, S.J. Towards new enzymes for biofuels: Lessons from chitinase research. Trends. Biotechnol. 2008, 26, 228–235. [Google Scholar] [CrossRef]
- Nimlos, M.R.; Beckham, G.T.; Matthews, J.F.; Bu, L.T.; Himmel, M.E.; Crowley, M.F. Binding preferences, surface attachment, diffusivity, and orientation of a family 1 carbohydrate-binding module on cellulose. J. Biol. Chem. 2012, 287, 20603–20612. [Google Scholar] [CrossRef]
- Wang, X.; Isbrandt, T.; Strube, M.L.; Paulsen, S.S.; Nielsen, M.W.; Buijs, Y.; Schoof, E.M.; Larsen, T.O.; Gram, L.; Zhang, S.D. Chitin Degradation Machinery and Secondary Metabolite Profiles in the Marine Bacterium Pseudoalteromonas rubra S4059. Mar. Drugs 2021, 19, 108. [Google Scholar] [CrossRef]
- Monge, E.C.; Tuveng, T.R.; Vaaje-Kolstad, G.; Eijsink, V.G.H.; Gardner, J.G. Systems analysis of the glycoside hydrolase family 18 enzymes from Cellvibrio japonicus characterizes essential chitin degradation functions. J. Biol. Chem. 2018, 293, 3849–3859. [Google Scholar] [CrossRef] [PubMed]
- Meibom, K.L.; Li, X.B.; Nielsen, A.T.; Wu, C.Y.; Roseman, S.; Schoolnik, G.K. The Vibrio cholerae chitin utilization program. Proc. Natl. Acad. Sci. USA 2004, 101, 2524–2529. [Google Scholar] [CrossRef]
- O’Brien, M.; Colwell, R.R. A rapid test for chitinase activity that uses 4-methylumbelliferyl-N-acetyl-beta-D-glucosaminide. Appl. Environ. Microbiol. 1987, 53, 1718–1720. [Google Scholar] [CrossRef] [PubMed]
- Howard, M.B.; Ekborg., N.A.; Taylor, L.E.; Weiner, R.M.; Hutcheson, S.W. Genomic analysis and initial characterization of the chitinolytic system of Microbulbifer degradans strain 2-40. J. Bacteriol. 2003, 185, 3352–3360. [Google Scholar] [CrossRef] [PubMed]
- Reindl, M.; Stock, J.; Hussnaetter, K.P.; Genc, A.; Brachmann, A.; Schipper, K. A Novel Factor Essential for Unconventional Secretion of Chitinase Cts1. Front. Microbiol. 2020, 11, 1529. [Google Scholar] [CrossRef] [PubMed]
- Lee, H.J.; Lee, Y.S.; Choi, Y.L. Cloning, purification, and characterization of an organic solvent-tolerant chitinase, MtCh509, from Microbulbifer thermotolerans DAU221. Biotechnol. Biofuels 2018, 11, 303. [Google Scholar] [CrossRef]
- Pan, M.; Li, J.; Lv, X.; Du, G.; Liu, L. Molecular engineering of chitinase from Bacillus sp. DAU101 for enzymatic production of chitooligosaccharides. Enzyme. Microb. Technol. 2019, 124, 54–62. [Google Scholar] [CrossRef]
- Le, B.; Yang, S.H. Characterization of a chitinase from Salinivibrio sp. BAO-1801 as an antifungal activity and a biocatalyst for producing chitobiose. J. Basic Microbiol. 2018, 58, 848–856. [Google Scholar] [CrossRef]
- Hosny, A.; El-Shayeb, N.A.; Abood, A.; Abdel-Fattah, A.M. A Potent Chitinolytic Activity of Marine Actinomycete sp. and Enzymatic Production of Chitooligosaccharides. Aust. J. Basic Appl. Sci. 2010, 4, 615–623. [Google Scholar]
- Lv, C.; Gu, T.; Xu, K.; Gu, J.; Li, L.; Liu, X.; Zhang, A.; Gao, S.; Li, W.; Zhao, G. Biochemical characterization of a β-N-acetylhexosaminidase from Streptomyces alfalfae and its application in the production of N-acetyl-D-glucosamine. J. Biosci. Bioeng. 2019, 128, 135–141. [Google Scholar] [CrossRef]
- Miller, G.L. Use of dinitrosalicylic acid reagent for determination of reducing sugar. Anal. Chem. 1959, 31, 426–428. [Google Scholar] [CrossRef]
- Xie, B.B.; Rong, J.C.; Tang, B.L.; Wang, S.; Liu, G.; Qin, Q.L.; Zhang, X.Y.; Zhang, W.; She, Q.; Chen, Y.; et al. Evolutionary Trajectory of the Replication Mode of Bacterial Replicons. mBio 2021, 26, e02745-20. [Google Scholar] [CrossRef] [PubMed]
- Yin, Y.; Mao, X.; Yang, J.; Chen, X.; Mao, F.; Xu, Y. dbCAN: A web resource for automated carbohydrate-active enzyme annotation. Nucleic Acids Res. 2012, 40, W445–W451. [Google Scholar] [CrossRef] [PubMed]
- Almagro Armenteros, J.J.; Tsirigos, K.D.; Sønderby, C.K.; Petersen, T.N.; Winther, O.; Brunak, S.; von Heijne, G.; Nielsen, H. SignalP 5.0 improves signal peptide predictions using deep neural networks. Nat. Biotechnol. 2019, 37, 420–423. [Google Scholar] [CrossRef] [PubMed]
- Potter, S.C.; Luciani, A.; Eddy, S.R.; Park, Y.; Lopez, R.; Finn, R.D. HMMER web server: 2018 update. Nucleic Acids Res. 2018, 46, W200–W204. [Google Scholar] [CrossRef]
- Kumar, S.; Stecher, G.; Li, M.; Knyaz, C.; Tamura, K. MEGA X: Molecular Evolutionary Genetics Analysis across Computing Platforms. Mol. Biol. Evol. 2018, 35, 1547–1549. [Google Scholar] [CrossRef] [PubMed]
- Robert, X.; Gouet, P. Deciphering key features in protein structures with the new ENDscript server. Nucleic Acids Res. 2014, 42, W320–W324. [Google Scholar] [CrossRef] [PubMed]
- Wilkins, M.R.; Gasteiger, E.; Bairoch, A.; Sanchez, J.C.; Williams, K.L.; Appel, R.D.; Hochstrasser, D.F. Protein identification and analysis tools in the ExPASy server. Methods Mol. Biol. 1999, 112, 531–552. [Google Scholar] [PubMed]
- Deutsch, E.W.; Bandeira, N.; Sharma, V.; Perez-Riverol, Y.; Carver, J.J.; Kundu, D.J.; García-Seisdedos, D.; Jarnuczak, A.F.; Hewapathirana, S.; Pullman, B.S.; et al. The ProteomeXchange consortium in 2020: Enabling ‘big data’ approaches in proteomics. Nucleic Acids Res. 2020, 48, D1145–D1152. [Google Scholar] [CrossRef]
- Perez-Riverol, Y.; Csordas, A.; Bai, J.; Bernal-Llinares, M.; Hewapathirana, S.; Kundu, D.J.; Inuganti, A.; Griss, J.; Mayer, G.; Eisenacher, M.; et al. The PRIDE database and related tools and resources in 2019: Improving support for quantification data. Nucleic Acids Res. 2019, 47, D442–D450. [Google Scholar] [CrossRef]
- Laemmli, U.K. Cleavage of structural proteins during the assembly of the head of bacteriophage T4. Nature 1970, 227, 680–685. [Google Scholar] [CrossRef] [PubMed]
- Romanenko, L.A.; Zhukova, N.V.; Rohde, M.; Lysenko, A.M.; Mikhailov, V.V.; Stackebrandt, E. Pseudoalteromonas agarivorans sp. nov., a novel marine agarolytic bacterium. Int. J. Syst. Evol. Microbiol. 2003, 53, 125–131. [Google Scholar] [CrossRef]
- Ivanova, E.P.; Gorshkova, N.M.; Zhukova, N.V.; Lysenko, A.M.; Zelepuga, E.A.; Prokof’eva, N.G.; Mikhailov, V.V.; Nicolau, D.V.; Christen, R. Characterization of Pseudoalteromonas distincta-like sea-water isolates and description of Pseudoalteromonas aliena sp. nov. Int. J. Syst. Evol. Microbiol. 2004, 54, 1431–1437. [Google Scholar] [CrossRef]
- Al Khudary, R.; Stosser, N.I.; Qoura, F.; Antranikian, G. Pseudoalteromonas arctica sp. nov., an aerobic, psychrotolerant,marine bacterium isolated from Spitzbergen. Int. J. Syst. Evol. Microbiol. 2008, 58, 2018–2024. [Google Scholar] [CrossRef]
- Gauthier, M.; Breittmayer, V.A. A new antibiotic-producing bacterium from seawater: Alteromonas aurantia sp. nov. Int. J. Syst. Evol. Microbiol. 1979, 29, 366–372. [Google Scholar] [CrossRef]
- Akagawa-Matsushita, M.; Matsuo, M.; Koga, Y.; Yamasato, K. Alteromonas atlantica sp. nov. and Alteromonas carrageenovora sp. nov., bacteria that decompose algal polysaccharides. Int. J. Syst. Evol. Microbiol. 1993, 42, 621–627. [Google Scholar] [CrossRef]
- Gauthier, M. Alteromonas citrea, a new Gram-negative, yellow-pigmented species from seawater. Int. J. Syst. Evol. Microbiol. 1977, 27, 349–354. [Google Scholar] [CrossRef]
- Chan, K.; Baumann, L.; Garza, M.; Baumann, P. Two new species of Alteromonas: Alteromonas espejiana and Alteromonas undina. Int. J. Syst. Evol. Microbiol. 1978, 28, 217–222. [Google Scholar] [CrossRef]
- Ivanova, E.P.; Sawabe, T.; Alexeeva, Y.V.; Lysenko, A.M.; Gorshkova, N.M.; Hayashi, K.; Zukova, N.V.; Christen, R.; Mikhailov, V.V. Pseudoalteromonas issachenkonii sp. nov., a bacterium that degrades the thallus of the brown alga Fucus evanescens. Int. J. Syst. Evol. Microbiol 2002, 52, 229–234. [Google Scholar] [CrossRef]
- Xu, X.W.; Wu, Y.H.; Wang, C.S.; Gao, X.H.; Wang, X.G.; Wu, M. Pseudoalteromonas lipolytica sp. nov., isolated from the Yangtze River estuary. Int. J. Syst. Evol. Microbiol. 2009, 60, 2176–2181. [Google Scholar] [CrossRef][Green Version]
- Gauthier, M. Validation of the name Alteromonas luteoviolacea. Int. J. Syst. Evol. Microbiol. 1982, 32, 82–86. [Google Scholar] [CrossRef]
- Yoon, J.H.; Kim, I.G.; Kang, K.H.; Oh, T.K.; Park, Y.H. Alteromonas marina sp. nov., isolated from sea water of the East Sea in Korea. Int. J. Syst. Evol. Microbiol. 2003, 53, 1625–1630. [Google Scholar] [CrossRef] [PubMed]
- Romanenko, L.A.; Zhukova, N.V.; Lysenko, A.M.; Mikhailov, V.V.; Stackebrandt, E. Assignment of ‘Alteromonas marinoglutinosa’NCIMB 1770 to Pseudoalteromonas mariniglutinosa sp. nov., nom. rev., comb. nov. Int. J. Syst. Evol. Microbiol. 2003, 53, 1105–1109. [Google Scholar] [CrossRef] [PubMed]
- Ivanova, E.P.; Kiprianova, E.A.; Mikhailov, V.V.; Levanova, G.F.; Garagulya, A.D.; Gorshkova, N.M.; Yumoto, N. Characterization and identification of marine Alteromonas nigrifaciens strains and emendation of the description. Int. J. Syst. Evol. Microbiol. 1996, 46, 223–228. [Google Scholar] [CrossRef]
- Ivanova, E.P.; Sawabe, T.; Lysenko, A.M.; Gorshkova, N.M.; Hayashi, K.; Zhukova, N.V.; Nicolau, D.V.; Christen, R.; Mikhailov, V.V. Pseudoalteromonas translucida sp. nov. and Pseudoalteromonas paragorgicola sp. nov., and emended description of the genus. Int. J. Syst. Evol. Microbiol. 2002, 52, 1759–1766. [Google Scholar]
- Venkateswaran, K.; Dohmoto, N. Pseudoalteromonas peptidolytica sp. nov., a novel marine mussel-thread-degrading bacterium isolated from the Sea of Japan. Int. J. Syst. Evol. Microbiol 2000, 50, 565–574. [Google Scholar] [CrossRef] [PubMed]
- Isnansetyo, A.; Kamei, Y. Pseudoalteromonas phenolica sp. nov., a novel marine bacterium that produces phenolic anti-methicillin-resistant Staphylococcus aureus substances. Int. J. Syst. Evol. Microbiol. 2003, 53, 583–588. [Google Scholar] [CrossRef]
- Hansen, A.; Weeks, O.; Colwell, R. Taxonomy of Pseudomonas piscicida (Bein) Buck, Meyers, and Leifson. J. Bacteriol. 1965, 89, 752–761. [Google Scholar] [CrossRef]
- Bowman, J.P. Pseudoalteromonas prydzensis sp. nov., a psychrotrophic, halotolerant bacterium from Antarctic sea ice. Int. J. Syst. Evol. Microbiol. 1998, 48, 1037–1041. [Google Scholar] [CrossRef]
- Gauthier, M. Alteromonas rubra sp. nov., a new marine antibiotic-producing bacterium. Int. J. Syst. Evol. Microbiol. 1976, 26, 459–466. [Google Scholar] [CrossRef]
- Lau, S.C.; Tsoi, M.M.; Li, X.; Dobretsov, S.; Plakhotnikova, Y.; Wong, P.-K.; Qian, P.Y. Pseudoalteromonas spongiae sp. nov., a novel member of the γ-Proteobacteria isolated from the sponge Mycale adhaerens in Hong Kong waters. Int. J. Syst. Evol. Microbiol. 2005, 55, 1593–1596. [Google Scholar] [CrossRef] [PubMed][Green Version]
- Ivanova, E.P.; Romanenko, L.A.; Matte, M.H.; Matte, G.R.; Lysenko, A.M.; Simidu, U.; Kita-Tsukamoto, K.; Sawabe, T.; Vysotskii, M.V.; Frolova, G.M.; et al. Retrieval of the species Alteromonas tetraodonis Simidu et al. 1990 as Pseudoalteromonas tetraodonis comb. nov. and emendation of description. Int. J. Syst. Evol. Microbiol. 2001, 51, 1071–1078. [Google Scholar] [CrossRef] [PubMed]
- Holmström, C.; James, S.; Neilan, B.A.; White, D.C.; Kjelleberg, S. Pseudoalteromonas tunicata sp. nov., a bacterium that produces antifouling agents. Int. J. Syst. Evol. Microbiol. 1998, 48, 1205–1212. [Google Scholar] [CrossRef] [PubMed]
- Egan, S.; Holmström, C.; Kjelleberg, S. Pseudoalteromonas ulvae sp. nov., a bacterium with antifouling activities isolated from the surface of a marine alga. Int. J. Syst. Evol. Microbiol. 2001, 51, 1499–1504. [Google Scholar] [CrossRef] [PubMed]







| Chitinolytic Enzyme | Accession Number | Family | Length (aa) | Molecular Weight (kDa) | PSMs a | Abundance b |
|---|---|---|---|---|---|---|
| Chia4287 | WP_039494805 | GH18 | 479 | 50.86 | 39 | 48.75% |
| Chib0431 | WP_039495329 | GH18 | 822 | 87.51 | 20 | 25.00% |
| Chib0434 | WP_039495331 | GH18 | 1037 | 112.17 | 12 | 15.00% |
| Chia2822 | WP_039492151 | GH18 | 850 | 90.42 | 7 | 8.75% |
| Chib0889 | WP_084204324 | GH19 | 470 | 53.05 | 1 | 1.25% |
| Chib0721 | WP_039496328 | GH20 | 915 | 101.45 | 1 | 1.25% |
| Substrate | Specific Activity (U/mg) | ||
|---|---|---|---|
| Chia4287 | Chib0431 | Chib0434 | |
| Colloidal chitin | 0.53 ± 0.05 | 0.15 ± 0.04 | 0.09 ± 0.02 |
| Chitin powder | 0.17 ± 0.005 | 0.04 ± 0.002 | 0.01 ± 0.001 |
| Chitosan | ND b | ND | ND |
| Microcrystalline cellulose | ND | ND | ND |
| MUF-GlcNAc | ND | ND | ND |
| MUF-(GlcNAc)2 | 130.32 ± 3.29 | 19.69 ± 1.30 | 221.68 ± 12.15 |
| MUF-(GlcNAc)3 | 139.33 ± 26.96 | 423.12 ± 9.82 | 23.47 ± 3.57 |
| Enzyme | Family | Molecular Weight (kDa) | pH Optimum | Temperature Optimum (°C) | NaCl Optimum (M) | Thermostability (Half-Life) | Substrate (Specific Activity) | Hydrolytic Products (Substrate) | References |
|---|---|---|---|---|---|---|---|---|---|
| Chib0431 from Pseudoalteromonas flavipulchra DSM 14401T | GH18 | 87.51 | 7.5 | 50 | 0 | >2 h at 50 °C | α-chitin (0.04 ± 0.002 U/mg) | GlcNAc and (GlcNAc)2 (α-chitin) | This study |
| Chib0434 from Pseudoalteromonas flavipulchra DSM 14401T | GH18 | 112.17 | 7.5 | 45 | 0 | ~80 min at 50 °C | α-chitin (0.01 ± 0.001 U/mg) | GlcNAc and (GlcNAc)2 (α-chitin) | This study |
| Chia4287 from Pseudoalteromonas flavipulchra DSM 14401T | GH18 | 50.86 | 7.0 | 50 | 0 | <60 min at 50 °C | α-chitin (0.17 ± 0.005 U/mg) | GlcNAc and (GlcNAc)2 (α-chitin) | This study |
| CHI II from Glaciozyma antarctica PI12 | GH18 | 39 and 50 | 4.0 | 15 | - | <30 min at 30 °C | Colloidal chitin (-) | - | [26] |
| MmChi60 from Moritella marina | GH18 | 60.8 | 5.0 | 28 | - | ~5 h at 50 °C | Colloidal chitin (0.016 U/mg) | - | [29] |
| ChiA from Pseudoalteromonas sp. DL-6 | GH18 | 113.5 | 8.0 | 20 | - | ~1 h at 40 °C | α-chitin (0.128 ± 0.001 U/mL) | (GlcNAc)2 (α-chitin) | [27] |
| ChiC from Pseudoalteromonas sp. DL-6 | GH18 | 91 | 9.0 | 30 | 2 | ~1 h at 50 °C | α-chitin (4.8 ± 0.2 U/mg) | (GlcNAc)2 (colloidal chitin) | [37] |
| Chi23 from Pseudoalteromonas aurantia DSM6057 | GH18 | 30.4 | 5.0 | 60 | 3 | ~40 min at 70 °C | Crystalline Chitin (0.1 ± 0.01 U/mg) | (GlcNAc)2 and GlcNAc)3 (α-chitin) | [18] |
| ChiB from Pseudoalteromonas sp. O-7 | GH18 | 90.2 | 6.0 | 30 | - | - | pNP-(GlcNAc)2 (30.8 U/mg) | - | [38] |
| ScChiC from Streptomyces coelicolor A3(2) | GH18 | - | 5 | 55 | - | ~1 h at 60 °C | (GlcNAc)6 (4120 ± 80 U/mg) | (GlcNAc)2 (crab shell chitin) | [19] |
| StmChiA from Stenotrophomonas maltophilia | GH18 | 70.5 | 5.0 | 40 | - | >90% of initial activity at 30–50 °C (up to 1 h) | (GlcNAc)6 (-) | GlcNAc and (GlcNAc)2 (α-chitin) | [20] |
| StmChiB from Stenotrophomonas maltophilia | GH18 | 41.6 | 7.0 | 40 | - | >90% of initial activity at 30–50 °C (up to 1 h) | (GlcNAc)6 (-) | - | [20] |
| PbChi67 from Paenicibacillus barengoltzii CAU904 | - | 67.9 | 3.5 | 60 | - | 43 min at 65 °C | α-chitin (0.3 ± 0.04 U/mg) | (GlcNAc)2, (GlcNAc)3 and(GlcNAc)4 (colloidal chitin) | [17] |
| A chitinase from Bacillus sp. R2 | - | 41.69 | 7.5 | 40 | - | >30 min at 50 °C | Colloidal chitin (-) | - | [21] |
| A chitinase from Citrobacter freundii haritD11 | - | 64 | 8.0 | 35 | - | ~1 h at 60 °C | Colloidal chitin (140.55 U/mg) | - | [28] |
| A chitinase from Micrococcus sp. AG84 | - | 33 | 8.0 | 40 | - | >1 h at 80 °C | Colloidal chitin (93.02 U/mg) | - | [22] |
| A chitinase from Pseudoalteromonas sp. DC14 | - | 65 | 9.0 | 40 | 10% (w/v) | >30 min at 60 °C | Colloidal chitin (5.6 U/mg) | - | [23] |
| A chitinase from Streptomyces chilikensis RC1830 | - | 10.5 | 7.0 | 60 | - | - | Colloidal chitin (60.53 U/mg) | - | [24] |
| PtChi19 from Pseudoalteromonas tunicata CCUG 44952T | GH19 | 53.5 | 7.5 | 45 | 2 | >40 min at 50 °C | Crystalline Chitin (16.4 mU/ mg) | - | [25] |
Publisher’s Note: MDPI stays neutral with regard to jurisdictional claims in published maps and institutional affiliations. |
© 2022 by the authors. Licensee MDPI, Basel, Switzerland. This article is an open access article distributed under the terms and conditions of the Creative Commons Attribution (CC BY) license (https://creativecommons.org/licenses/by/4.0/).
Share and Cite
Ren, X.-B.; Dang, Y.-R.; Liu, S.-S.; Huang, K.-X.; Qin, Q.-L.; Chen, X.-L.; Zhang, Y.-Z.; Wang, Y.-J.; Li, P.-Y. Identification and Characterization of Three Chitinases with Potential in Direct Conversion of Crystalline Chitin into N,N′-diacetylchitobiose. Mar. Drugs 2022, 20, 165. https://doi.org/10.3390/md20030165
Ren X-B, Dang Y-R, Liu S-S, Huang K-X, Qin Q-L, Chen X-L, Zhang Y-Z, Wang Y-J, Li P-Y. Identification and Characterization of Three Chitinases with Potential in Direct Conversion of Crystalline Chitin into N,N′-diacetylchitobiose. Marine Drugs. 2022; 20(3):165. https://doi.org/10.3390/md20030165
Chicago/Turabian StyleRen, Xue-Bing, Yan-Ru Dang, Sha-Sha Liu, Ke-Xuan Huang, Qi-Long Qin, Xiu-Lan Chen, Yu-Zhong Zhang, Yan-Jun Wang, and Ping-Yi Li. 2022. "Identification and Characterization of Three Chitinases with Potential in Direct Conversion of Crystalline Chitin into N,N′-diacetylchitobiose" Marine Drugs 20, no. 3: 165. https://doi.org/10.3390/md20030165
APA StyleRen, X.-B., Dang, Y.-R., Liu, S.-S., Huang, K.-X., Qin, Q.-L., Chen, X.-L., Zhang, Y.-Z., Wang, Y.-J., & Li, P.-Y. (2022). Identification and Characterization of Three Chitinases with Potential in Direct Conversion of Crystalline Chitin into N,N′-diacetylchitobiose. Marine Drugs, 20(3), 165. https://doi.org/10.3390/md20030165

