A Novel Agarase, Gaa16B, Isolated from the Marine Bacterium Gilvimarinus agarilyticus JEA5, and the Moisturizing Effect of Its Partial Hydrolysis Products
Abstract
1. Introduction
2. Results
2.1. Molecular Characteristics
2.2. Overexpression of Recombinant Agarase Gaa16B
2.3. The Optimum Conditions for rGaa16Bc Activity
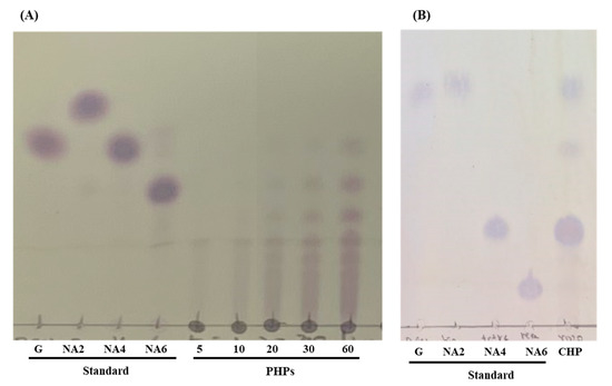
2.4. Hydrolytic Pattern of rGaa16Bc
2.5. Chemical Composition of PAPs
2.6. Hyaluronidase Inhibitory Effect of Hydrolytic Products
3. Discussion
4. Materials and Methods
4.1. Molecular Characterization of Gaa16B
4.2. Cloning of the gaa16b Agarase Gene
4.3. Overexpression and Purification of Recombinant Gaa16Bc
4.4. Enzyme Activity Assays
4.5. Thin Layer Chromatography (TLC)
4.6. Hyaluronidase Inhibitory Assay
4.7. Molecular Composition Analysis by Gel Permeation Chromatography (GPC)
5. Conclusions
Author Contributions
Funding
Institutional Review Board Statement
Data Availability Statement
Conflicts of Interest
References
- Fu, X.T.; Kim, S.M. Agarase: Review of major sources, categories, purification method, enzyme characteristics and applications. Mar. Drugs 2010, 8, 200–218. [Google Scholar] [CrossRef]
- Kobayashi, R.; Takisada, M.; Suzuki, T.; Kirimura, K.; Usami, S. Neoagarobiose as a novel moisturizer with whitening effect. Biosci. Biotechnol. Biochem. 1997, 61, 162–163. [Google Scholar] [CrossRef]
- Zhang, Y.H.; Song, X.N.; Lin, Y.; Xiao, Q.; Du, X.P.; Chen, Y.H.; Xiao, A.F. Antioxidant capacity and prebiotic effects of Gracilaria neoagaro oligosaccharides prepared by agarase hydrolysis. Int. J. Biol. Macromol. 2019, 137, 177–186. [Google Scholar] [CrossRef]
- Wu, Y.-R.; Zhou, Z.-R.; Zhao, M.; Lin, B.; Zhong, M.; Hu, Z. Molecular characterization of the thermostability and carbohy-drate-binding module from a newly identified GH118 family agarase, AgaXa. Process. Biochem. 2017, 52, 192–199. [Google Scholar] [CrossRef]
- Liang, Y.; Ma, X.; Zhang, L.; Li, F.; Liu, Z.; Mao, X. Biochemical characterization and substrate degradation mode of a novel exotype β-agarase from Agarivorans gilvus WH0801. J. Agric. Food Chem. 2017, 65, 7982–7988. [Google Scholar] [CrossRef] [PubMed]
- Leon, O.; Quintana, L.; Peruzzo, G.; Slebe, J.C. Purification and properties of an extracellular agarase from alteromonas sp. Strain C-1. Appl. Environ. Microbiol. 1992, 58, 4060–4063. [Google Scholar] [CrossRef] [PubMed]
- Kim, B.J.; Kim, H.J.; Ha, S.D.; Hwang, S.H.; Byun, D.S.; Lee, T.H.; Kong, J.Y. Purification and characterization of β-agarase from marine bacterium Bacillus cereus ASK202. Biotechnol. Lett. 1999, 21, 1011–1015. [Google Scholar] [CrossRef]
- Xu, Z.-X.; Yu, P.; Liang, Q.-Y.; Mu, D.-S.; Du, Z.-J. Inducible expression of agar-degrading genes in a marine bacterium Catenovulum maritimus Q1T and characterization of a β-agarase. Appl. Microbiol. Biotechnol. 2020, 104, 10541–10553. [Google Scholar] [CrossRef] [PubMed]
- Chi, W.J.; Lee, C.R.; Durgerjonjuu, S.; Park, J.S.; Kang, D.K.; Hong, S.K. Biochemical characterization of a novel iron-dependent GH16 β-agarase, AgaH92, from an agarolytic bacterium Pseudoalteromonas sp. H9. FEMS Microbiol. Lett. 2015, 362, fnv035. [Google Scholar] [CrossRef][Green Version]
- Hsu, P.H.; Wei, C.H.; Lu, W.J.; Shen, F.; Pan, C.L.; Lin, H.T.V. Extracellular production of a novel endo-β-agarase AgaA from Pseudomonas vesicularis MA103 that cleaves agarose into neoagarotetraose and neoagarohexaose. Int. J. Mol. Sci. 2015, 16, 5590–5603. [Google Scholar] [CrossRef]
- Liu, Y.; Jin, X.; Wu, C.; Zhu, X.; Liu, M.; Call, D.R.; Zhao, Z. Genome-wide identification and functional characterization of β-Agarases in vibrio astriarenae strain HN897. Front. Microbiol. 2020, 11, 1404. [Google Scholar] [CrossRef]
- Temuujin, U.; Chi, W.-J.; Chang, Y.-K.; Hong, S.-K. Identification and biochemical characterization of Sco3487 from Streptomyces coelicolor A3(2), an exo- and endo-type β-agarase-producing neoagarobiose. J. Bacteriol. 2012, 194, 142–149. [Google Scholar] [CrossRef]
- Kim, H.T.; Lee, S.; Lee, D.; Kim, H.S.; Bang, W.G.; Kim, K.H.; Choi, I.G. Overexpression and molecular characterization of Aga50D from Saccharophagus degradans 2–40: An exo-type beta-agarase producing neoagarobiose. Appl. Microbiol. Biotechnol. 2010, 86, 227–234. [Google Scholar] [CrossRef] [PubMed]
- Lee, Y.; Jo, E.; Lee, Y.J.; Hettiarachchi, S.A.; Park, G.H.; Lee, S.J.; Heo, S.J.; Kang, D.H.; Oh, C. A novel Glycosyl Hydrolase Family 16 beta-Agarase from the Agar-utilizing marine bacterium Gilvimarinus agarilyticus JEA5: The first molecular and biochemical characterization of Agarase in genus gilvimarinus. J. Microbiol. Biotechnol. 2018, 28, 776–783. [Google Scholar] [CrossRef] [PubMed]
- Potin, P.; Richard, C.; Rochas, C.; Kloareg, B. Purification and characterization of the α-agarase from Alteromonas agarlyticus (Cataldi) comb. nov., strain GJ1B. Eur. J. Biochem. 1993, 214, 599–607. [Google Scholar] [CrossRef] [PubMed]
- Liu, J.; Liu, Z.; Jiang, C.; Mao, X. Biochemical characterization and substrate degradation mode of a novel α-Agarase from Catenovulum agarivorans. J. Agric. Food Chem. 2019, 67, 10373–10379. [Google Scholar] [CrossRef]
- Lee, C.H.; Lee, C.R.; Hong, S.K. Biochemical characterization of a novel cold-adapted agarotetraose-producing alpha-Agarase, AgaWS5, from Catenovulum sediminis WS1-A. Appl. Microbiol. Biotechnol. 2019, 103, 8403–8411. [Google Scholar] [CrossRef]
- Kim, J.H.; Yun, E.J.; Yu, S.; Kim, K.H.; Kang, N.J. Different levels of skin whitening activity among 3,6-Anhydro-l-galactose, Agarooligosaccharides, and Neoagarooligosaccharides. Mar. Drugs 2017, 15, 321. [Google Scholar] [CrossRef]
- Hong, S.J.; Lee, J.-H.; Kim, E.J.; Yang, H.J.; Chang, Y.-K.; Park, J.-S.; Hong, S.-K. In vitro and in vivo investigation for biological activities of neoagarooligosaccharides prepared by hydrolyzing agar with β-agarase. Biotechnol. Bioprocess Eng. 2017, 22, 489–496. [Google Scholar] [CrossRef]
- Boo, Y.C. Human skin lightening efficacy of Resveratrol and its analogs: From in vitro studies to cosmetic applications. Antioxidants 2019, 8, 332. [Google Scholar] [CrossRef] [PubMed]
- Lee, Y.; Lee, S.J.; Park, G.H.; Heo, S.J.; Umasuthan, N.; Kang, D.H.; Oh, C. Draft genome of agar-degrading marine bacterium Gilvimarinus agarilyticus JEA5. Mar. Genom. 2015, 21, 13–14. [Google Scholar] [CrossRef]
- Henshaw, J.; Horne-Bitschy, A.; van Bueren, A.L.; Money, V.A.; Bolam, D.N.; Czjzek, M.; Ekborg, N.A.; Weiner, R.M.; Hutcheson, S.W.; Davies, G.J.; et al. Family 6 carbohydrate binding modules in beta-agarases display exquisite selectivity for the non-reducing termini of agarose chains. J. Biol. Chem. 2006, 281, 17099–17107. [Google Scholar] [CrossRef] [PubMed]
- Alkotaini, B.; Han, N.S.; Kim, B.S. Enhanced catalytic efficiency of endo-beta-agarase I by fusion of carbohydrate-binding modules for agar prehydrolysis. Enzym. Microb. Technol. 2016, 93, 142–149. [Google Scholar] [CrossRef]
- Wang, Y.; Liu, T.; Guo, S.; Zhang, P.; Sun, P.; Chen, M.; Ming, H. Characterization and overexpression of a glycosyl hydrolase family 16 beta-agarase Aga0917 from Pseudoalteromonas fuliginea YTW1-15-1. J. Gen. Appl. Microbiol. 2019, 64, 276–283. [Google Scholar] [CrossRef]
- Cheong, K.-L.; Qiu, H.-M.; Du, H.; Liu, Y.; Khan, B.M. Oligosaccharides derived from red seaweed: Production, properties, and potential health and cosmetic applications. Molecules 2018, 23, 2451. [Google Scholar] [CrossRef] [PubMed]
- Ohta, Y.; Hatada, Y.; Miyazaki, M.; Nogi, Y.; Ito, S.; Horikoshi, K. Purification and characterization of a novel α-Agarase from a Thalassomonas sp. Curr. Microbiol. 2005, 50, 212–216. [Google Scholar] [CrossRef]
- Papakonstantinou, E.; Roth, M.; Karakiulakis, G. Hyaluronic acid: A key molecule in skin aging. Derm.-Endocrinol. 2012, 4, 253–258. [Google Scholar] [CrossRef] [PubMed]
- Carvalho, A.F.A.; Neto, P.O.; da Silva, D.F.; Pastore, G.M. Xylo-oligosaccharides from lignocellulosic materials: Chemical structure, health benefits and production by chemical and enzymatic hydrolysis. Food Res. Int. 2013, 51, 75–85. [Google Scholar] [CrossRef]
- Petersen, T.N.; Brunak, S.; von Heijne, G.; Nielsen, H. SignalP 4.0: Discriminating signal peptides from transmembrane regions. Nat. Methods 2011, 8, 785–786. [Google Scholar] [CrossRef]
- Letunic, I.; Doerks, T.; Bork, P. SMART: Recent updates, new developments and status in 2015. Nucleic Acids Res. 2015, 43, D257–D260. [Google Scholar] [CrossRef] [PubMed]
- Sigrist, C.J.A.; de Castro, E.; Cerutti, L.; Cuche, B.A.; Hulo, N.; Bridge, A.; Bougueleret, L.; Xenarios, I. New and continuing developments at PROSITE. Nucleic Acids Res. 2012, 41, D344–D347. [Google Scholar] [CrossRef] [PubMed]
- Madeira, F.; Park, Y.M.; Lee, J.; Buso, N.; Gur, T.; Madhusoodanan, N.; Basutkar, P.; Tivey, A.R.N.; Potter, S.C.; Finn, R.D.; et al. The EMBL-EBI search and sequence analysis tools APIs in 2019. Nucleic Acids Res. 2019, 47, W636–W641. [Google Scholar] [CrossRef] [PubMed]
- Oh, C.; Nikapitiya, C.; Lee, Y.; Whang, I.; Kang, D.H.; Heo, S.J.; Choi, Y.U.; Lee, J. Molecular cloning, characterization and enzymatic properties of a novel betaeta-agarase from a marine isolate Psudoalteromonas sp. AG52. Braz. J. Microbiol. 2010, 41, 876–889. [Google Scholar] [CrossRef] [PubMed]
- Sahasrabudhe, A.; Deodhar, M. Anti-hyaluronidase, anti-elastase activity of Garcinia indica. Int. J. Bot. 2010, 6, 299–303. [Google Scholar] [CrossRef]




| Identity (%) | Similarity (%) | Gap (%) | Accession No. | Remark | |
|---|---|---|---|---|---|
| Gilvimarinus polysaccharolyticus | 90.7 | 93.8 | 2.7 | WP_049721028.1 | Uncharacterized |
| Gilvimarinus chinensis | 89.7 | 93.5 | 2.2 | WP_020208740.1 | Uncharacterized |
| Microbulbifer thermotolerans | 75.1 | 85.8 | 5.4 | WP_067155675.1 | Uncharacterized |
| Saccharophagus degradans 2-40 | 55.9 | 70.9 | 4.2 | ABD80437.1 | Characterized |
| Pseudomonas sp. ND137 | 43.5 | 55.5 | 29.0 | BAD88713.1 | Characterized |
| Microbulbifer elongatus | 37.8 | 50.5 | 28.8 | BAC99022.1 | Characterized |
| Sample Name | MP (Daltons) | Mw (Daltons) | Polydispersity | % Area |
|---|---|---|---|---|
| PHP5 | 22,686 | 102,206 | 5.520 | 70.01 |
| PHP10 | 16,636 | 115,319 | 6.141 | 71.13 |
| PHP20 | 14,948 | 109,822 | 5.843 | 69.12 |
| PHP30 | 14,109 | 92,705 | 5.761 | 66.81 |
| PHP60 | 10,635 | 88,617 | 6.494 | 59.85 |
| CHP | 459 | 473 | 1.034 | 84.28 |
| Sample Name | Sample Solution (mg/mL) | Inhibition (%) | IC50 (mg/mL) |
|---|---|---|---|
| PHP5 | 1 | 63.94 ± 0.27 | 0.47 ± 0.04 |
| PHP10 | 1 | 64.02 ± 0.36 | 0.40 ± 0.02 |
| PHP20 | 1 | 63.65 ± 0.28 | 0.31 ± 0.05 |
| PHP30 | 1 | 62.81 ± 0.50 | 0.41 ± 0.03 |
| PHP60 | 1 | 63.29 ± 0.39 | 0.57 ± 0.10 |
| CHP | 1 | 7.46 ± 0.12 | ND * |
| DSCG | 1 | 65.32 ± 0.20 | 0.028 ± 0.01 |
Publisher’s Note: MDPI stays neutral with regard to jurisdictional claims in published maps and institutional affiliations. |
© 2021 by the authors. Licensee MDPI, Basel, Switzerland. This article is an open access article distributed under the terms and conditions of the Creative Commons Attribution (CC BY) license (https://creativecommons.org/licenses/by/4.0/).
Share and Cite
Lee, Y.; Jo, E.; Lee, Y.-J.; Eom, T.-Y.; Gang, Y.; Kang, Y.-H.; Marasinghe, S.D.; Hettiarachchi, S.A.; Kang, D.-H.; Oh, C. A Novel Agarase, Gaa16B, Isolated from the Marine Bacterium Gilvimarinus agarilyticus JEA5, and the Moisturizing Effect of Its Partial Hydrolysis Products. Mar. Drugs 2022, 20, 2. https://doi.org/10.3390/md20010002
Lee Y, Jo E, Lee Y-J, Eom T-Y, Gang Y, Kang Y-H, Marasinghe SD, Hettiarachchi SA, Kang D-H, Oh C. A Novel Agarase, Gaa16B, Isolated from the Marine Bacterium Gilvimarinus agarilyticus JEA5, and the Moisturizing Effect of Its Partial Hydrolysis Products. Marine Drugs. 2022; 20(1):2. https://doi.org/10.3390/md20010002
Chicago/Turabian StyleLee, Youngdeuk, Eunyoung Jo, Yeon-Ju Lee, Tae-Yang Eom, Yehui Gang, Yoon-Hyeok Kang, Svini Dileepa Marasinghe, Sachithra Amarin Hettiarachchi, Do-Hyung Kang, and Chulhong Oh. 2022. "A Novel Agarase, Gaa16B, Isolated from the Marine Bacterium Gilvimarinus agarilyticus JEA5, and the Moisturizing Effect of Its Partial Hydrolysis Products" Marine Drugs 20, no. 1: 2. https://doi.org/10.3390/md20010002
APA StyleLee, Y., Jo, E., Lee, Y.-J., Eom, T.-Y., Gang, Y., Kang, Y.-H., Marasinghe, S. D., Hettiarachchi, S. A., Kang, D.-H., & Oh, C. (2022). A Novel Agarase, Gaa16B, Isolated from the Marine Bacterium Gilvimarinus agarilyticus JEA5, and the Moisturizing Effect of Its Partial Hydrolysis Products. Marine Drugs, 20(1), 2. https://doi.org/10.3390/md20010002

