The Protective Effect of Echinochrome A on Extracellular Matrix of Vocal Folds in Ovariectomized Rats
Abstract
1. Introduction
2. Results
2.1. Effect of ECH on Serum Estradiol Level and Expression of Estrogen Receptor β
2.2. Effect of ECH on Hyaluronic Acid and Hyaluronic Acid Synthase (Has1, Has2, Has3)
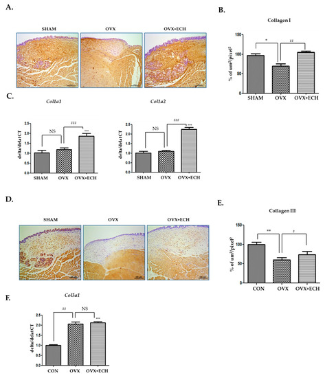
2.3. Effect of ECH on Collagen and Procollagen (Col1a1, Col1a2, Col3a1)
2.4. Effect of ECH on Two Elastin Genes (Eln and Cela1)
2.5. Effect of ECH on Matrix Metalloproteinases (MMPs)
3. Discussion
4. Material and Methods
4.1. Animals
4.2. Echinochrome A
4.3. Establishment of the Ovariectomized Rat Model
4.4. Plasma Estradiol Analysis
4.5. Histology and Morphometric Analysis
4.6. Verhoeff–Van Gieson Elastin Staining
4.7. Alcian Blue Staining
4.8. Immunohistochemistry
4.9. Quantitative PCR
4.10. Statistical Analysis
5. Conclusions
Author Contributions
Funding
Acknowledgments
Conflicts of Interest
References
- Huber, J.E.; Stathopoulos, E.T.; Curione, G.M.; Ash, T.A.; Johnson, K. Formants of children, women, and men: The effects of vocal intensity variation. J. Acoust. Soc. Am. 1999, 106, 15–32. [Google Scholar]
 - Meurer, E.M.; Osório Wender, M.C.; Von Eye Corleta, H.; Capp, E. Female suprasegmental speech parameters in reproductive age and postmenopause. Maturitas 2004, 48, 71–77. [Google Scholar] [CrossRef] [PubMed]
 - Caruso, S.; Roccasalva, L.; Sapienza, G.; Zappalá, M.; Nuciforo, G.; Biondi, S. Laryngeal cytological aspects in women with surgically induced menopause who were treated with transdermal estrogen replacement therapy. Fertil. Steril. 2000, 74, 1073–1079. [Google Scholar] [PubMed]
 - Firat, Y.; Engin-Ustun, Y.; Kizilay, A.; Ustun, Y.; Akarcay, M.; Selimoglu, E.; Kafkasli, A. Effect of intranasal estrogen on vocal quality. J. Voice 2009, 23, 716–720. [Google Scholar] [CrossRef] [PubMed]
 - Mendes-Laureano, J.; Sá, M.F.S.; Ferriani, R.A.; Reis, R.M.; Aguiar-Ricz, L.N.; Valera, F.C.P.; Küpper, D.S.; Romão, G.S. Comparison of fundamental voice frequency between menopausal woman and woman at menacme. Maturitas 2006, 55, 195–199. [Google Scholar] [PubMed]
 - Kim, J.M.; Shin, S.C.; Park, G.C.; Lee, J.C.; Jeon, Y.K.; Ahn, S.J.; Thibeault, S.; Lee, B.J. Effect of sex hormones on extracellular matrix of lamina propria in rat vocal fold. Laryngoscope 2019. [Google Scholar] [CrossRef]
 - Raj, A.; Gupta, B.; Chowdhury, A.; Chadha, S. A Study of Voice Changes in Various Phases of Menstrual Cycle and in Postmenopausal Women. J. Voice 2010, 24, 363–368. [Google Scholar]
 - Kahwati, L.C.; Haigler, L.; Rideout, S. What is the best way to diagnose menopause? J. Fam. Pract. 2005, 54, 1000–1002. [Google Scholar]
 - D’Haeseleer, E.; Depypere, H.; Claeys, S.; Wuyts, F.L.; De Ley, S.; Van Lierde, K.M. The impact of menopause on vocal quality. Menopause 2011, 18, 267–272. [Google Scholar] [CrossRef]
 - Jeong, S.H.; Kim, H.K.; Song, I.S.; Noh, S.J.; Marquez, J.; Ko, K.S.; Rhee, B.D.; Kim, N.; Mishchenko, N.P.; Fedoreyev, S.A.; et al. Echinochrome a increases mitochondrial mass and function by modulating mitochondrial biogenesis regulatory genes. Mar. Drugs 2014, 21, 4602–4615. [Google Scholar] [CrossRef]
 - Mizuta, M.; Hirano, S.; Hiwatashi, N.; Kobayashi, T.; Tateya, I.; Kanemaru, S.I.; Nakamura, T.; Ito, J. Effect of AST on age-associated changes of vocal folds in a rat model. Laryngoscope 2014, 124, E411–E417. [Google Scholar] [CrossRef] [PubMed]
 - Mizuta, M.; Hirano, S.; Hiwatashi, N.; Tateya, I.; Kanemaru, S.I.; Nakamura, T.; Ito, J. Effect of astaxanthin on vocal fold wound healing. Laryngoscope 2014, 124, E1–E7. [Google Scholar] [CrossRef] [PubMed]
 - Lennikov, A.; Kitaichi, N.; Noda, K.; Mizuuchi, K.; Ando, R.; Dong, Z.; Fukuhara, J.; Kinoshita, S.; Namba, K.; Ohno, S.; et al. Amelioration of endotoxin-induced uveitis treated with the sea urchin pigment echinochrome in rats. Mol. Vis. 2014, 7, 171–177. [Google Scholar]
 - Borrelli, F.; Ernst, E. Alternative and complementary therapies for the menopause. Maturitas 2010, 66, 333–343. [Google Scholar] [CrossRef]
 - Wuyts, F.L.; De Bodt, M.S.; Molenberghs, G.; Remacle, M.; Heylen, L.; Millet, B.; Van Lierde, K.; Raes, J.; Van De Heyning, P.H. The Dysphonia Severity Index: An Objective Measure of Vocal Quality Based on a Multiparameter Approach. J. Speech Lang. Hear. Res. 2000, 43, 796–809. [Google Scholar] [CrossRef]
 - Pattie, M.A.; Murdoch, B.E.; Theodoros, D.; Forbes, K. Voice changes in women treated for endometriosis and related conditions: The need for comprehensive vocal assessment. J. Voice 1998, 12, 366–371. [Google Scholar] [CrossRef]
 - Kuhn, M.A. Histological changes in vocal fold growth and aging. Curr. Opin. Otolaryngol. Head Neck Surg. 2014, 22, 460–465. [Google Scholar] [CrossRef]
 - Lindholm, P.; Vilkman, E.; Raudaskoski, T.; Suvanto-Luukkonen, E.; Kauppila, A. The effect of postmenopause and postmenopausal HRT on measured voice values and vocal symptoms. Maturitas 1997, 28, 47–53. [Google Scholar] [CrossRef]
 - Baker, J. A report on alterations to the speaking and singing voices of four women following hormonal therapy with virilizing agents. J. Voice 1999, 13, 496–507. [Google Scholar] [CrossRef]
 - Silverman, E.M.; Zimmer, C.H. Effect of the Menstrual Cycle on Voice Quality. Arch. Otolaryngol. 1978, 104, 7–10. [Google Scholar] [CrossRef]
 - Chernobelsky, S.I. A study of menses-related changes to the larynx in singers with voice abuse. Folia Phoniatr. Logop. 2002, 54, 2–7. [Google Scholar] [CrossRef] [PubMed]
 - Samsioe, G. The role of ERT/HRT. Best Pract. Res. Clin. Obstet. Gynaecol. 2002, 16, 371–381. [Google Scholar] [CrossRef] [PubMed]
 - Morán, J.; Garrido, P.; Alonso, A.; Cabello, E.; González, C. 17β-Estradiol and genistein acute treatments improve some cerebral cortex homeostasis aspects deteriorated by aging in female rats. Exp. Gerontol. 2013, 48, 414–421. [Google Scholar] [CrossRef]
 - Maskarinec, G.; Takata, Y.; Franke, A.A.; Williams, A.E.; Murphy, S.P. A 2-Year Soy Intervention in Premenopausal Women Does Not Change Mammographic Densities. J. Nutr. 2004, 134, 3089–3094. [Google Scholar] [CrossRef] [PubMed]
 - Koebnick, C.; Reimann, M.; Carlsohn, A.; Korzen-Bohr, S.; Bügel, S.; Hallund, J.; Rossi, L.; Branca, F.; Hall, W.; Williams, C.; et al. The acceptability of isoflavones as a treatment of menopausal symptoms: A European survey among postmenopausal women. Climacteric 2005, 8, 230–242. [Google Scholar] [CrossRef] [PubMed]
 - Cianci, A.; Cicero, A.F.G.; Colacurci, N.; Matarazzo, M.G.; De Leo, V. Activity of isoflavones and berberine on vasomotor symptoms and lipid profile in menopausal women. Gynecol. Endocrinol. 2012, 28, 699–702. [Google Scholar] [CrossRef] [PubMed]
 - Fitzpatrick, A.M.; Teague, W.G.; Holguin, F.; Yeh, M.; Brown, L.A.S. Airway glutathione homeostasis is altered in children with severe asthma: Evidence for oxidant stress. J. Allergy Clin. Immunol. 2009, 123, 146–152. [Google Scholar] [CrossRef]
 - Karbiener, M.; Darnhofer, B.; Frisch, M.T.; Rinner, B.; Birner-Gruenberger, R.; Gugatschka, M. Comparative proteomics of paired vocal fold and oral mucosa fibroblasts. J. Proteom. 2017, 23, 11–21. [Google Scholar] [CrossRef]
 - Lin, T.C.; Chen, J.C.; Liu, C.H.; Lee, C.Y.; Tsou, Y.A.; Chuang, C.C. A feasibility study on non-invasive oxidative metabolism detection and acoustic assessment of human vocal cords by using optical technique. Sci. Rep. 2017, 5, 17002. [Google Scholar] [CrossRef]
 - Tellis, C.M.; Rosen, C.; Close, J.M.; Horton, M.; Yaruss, J.S.; Verdolini-Abbott, K.; Sciote, J.J. Cytochrome C oxidase deficiency in human posterior cricoarytenoid muscle. J. Voice 2011, 25, 387–394. [Google Scholar] [CrossRef]
 - Diamond, J.; Skaggs, J.; Manaligod, J.M. Free-radical damage: A possible mechanism of laryngeal aging. Ear Nose Throat J. 2002, 81, 531–533. [Google Scholar] [CrossRef] [PubMed]
 - Lebedev, A.V.; Levitskaya, E.L.; Tikhonova, E.V.; Ivanova, M.V. Antioxidant properties, autooxidation, and mutagenic activity of echinochrome a compared with its etherified derivative. Biochemistry (Moscow) 2001, 8, 885–893. [Google Scholar] [CrossRef] [PubMed]
 - Lebedev, A.V.; Ivanova, M.V.; Krasnovid, N.I.; Kol’tsova, E.A. Acidity and interaction with superoxide anion radical of echinochrome and its structural analogs. Vopr. Med. Khim. 1999, 45, 123–130. [Google Scholar]
 - Mohamed, A.S.; Soliman, A.M.; Marie, M.A.S. Mechanisms of echinochrome potency in modulating diabetic complications in liver. Life Sci. 2016, 15, 41–49. [Google Scholar] [CrossRef]
 - Boulet, M.J.; Oddens, B.J. Female voice changes around and after the menopause—An initial investigation. Maturitas 1996, 23, 15–21. [Google Scholar] [CrossRef]
 - Abitbol, J.; Abitbol, P.; Abitbol, B. Sex hormones and the female voice. J. Voice 1999, 13, 424–446. [Google Scholar] [CrossRef]
 - Ward, P.D.; Thibeault, S.L.; Gray, S.D. Hyaluronic acid: Its role in voice. J. Voice 2002, 16, 303–309. [Google Scholar] [CrossRef]
 - Hirano, S. Current treatment of vocal fold scarring. Curr. Opin. Otolaryngol. Head Neck Surg. 2005, 13, 143–147. [Google Scholar] [CrossRef]
 - Hansen, J.K.; Thibeault, S.L. Current understanding and review of the literature: Vocal fold scarring. J. Voice 2006, 20, 110–120. [Google Scholar] [CrossRef]
 - Thibeault, S.L. Advances in our understanding of the Reinke space. Curr. Opin. Otolaryngol. Head Neck Surg. 2005, 13, 148–151. [Google Scholar] [CrossRef]
 - Hirschi, S.D.; Gray, S.D.; Thibeault, S.L. Fibronectin: An interesting vocal fold protein. J. Voice 2002, 16, 310–316. [Google Scholar] [CrossRef]
 







| Esr2a (estrogen receptor βI)  | Forward | GCTTCGTGGAGCTCAGCCTG | 
| Reverse | AGGATCATGGCCTTGACACAGA | |
| Esr2b (estrogen receptor βII)  | Forward | GAAGCTGAACCACCCAATGT | 
| Reverse | CAGTCCCACCATTAGCACCT | |
| Has1 (hyaluronic acid synthase 1)  | Forward | CCACTGCACATTTGGGGATG | 
| Reverse | GAATAGCATCTGGAGCGCGA | |
| Has2 (hyaluronic acid synthase 2)  | Forward | ACTGGGCAGAAGCGTGGATTATGT | 
| Reverse | AACACCTCCAACCATCGGGTCTTCTT | |
| Has3 (hyaluronic acid synthase 3)  | Forward | GCACCATTGAGATGCTTCGG | 
| Reverse | TACCTCACGCTGCTCAGGAA | |
| Eln (tropoelastin)  | Forward | TTCTGGGAGCGTTTGGAG | 
| Reverse | CCTTGAAGCATAGGAGAGACCT | |
| Cela1 (chymotrypsin-like elastase family member 1)  | Forward | TCCTAGGAGCCAGGCCATT | 
| Reverse | GGGTAGATAGGAGAAAGTCCAAACC | |
| Col1a1 (collagen, type I, alpha 1)  | Forward | AGTCCATCTTTGCCAGGAGAACCA | 
| Reverse | CGGCAGGACCAGGAAGACC | |
| Col1a2 (collagen, type I, alpha 2)  | Forward | CCGAGGCAGAGATGGTGTT | 
| Reverse | GCAGCAAAGTTCCCAGTAAGA | |
| Col3a1 (collagen, type III, alpha 1)  | Forward | ACTGACCAAGGTAGTTGCATCCCA | 
| Reverse | CCAGGGTCACCATTTCTCC | |
| Mmp1 (matrix metallopeptidase 1)  | Forward | ATGAGACGTGGACCGACAAC | 
| Reverse | TGAGTGAGTCCAAGGGAGTG | |
| Mmp2 (matrix metallopeptidase 2)  | Forward | GTC ACT CCG CTG CGC TTT TCT CG | 
| Reverse | GAC ACA TGG GGC ACC TTC TGA | |
| Mmp8 (matrix metallopeptidase 8)  | Forward | CAGACAACCCTGTCCAACCT | 
| Reverse | GGATGCCGTCTCCAGAAGTA | |
| Mmp9 (matrix metallopeptidase 9)  | Forward | CGGAGCACGGGGACGGGTATC | 
| Reverse | AAGACGAAGGGGAAGACGCACATC | |
| Rn18s (18s RNA)  | Forward | AACCCGTTGAACCCCATT | 
| Reverse | GGGCAGGGACTTAATCAACG | 
© 2020 by the authors. Licensee MDPI, Basel, Switzerland. This article is an open access article distributed under the terms and conditions of the Creative Commons Attribution (CC BY) license (http://creativecommons.org/licenses/by/4.0/).
Share and Cite
Kim, J.M.; Kim, J.H.; Shin, S.-C.; Park, G.C.; Kim, H.S.; Kim, K.; Kim, H.K.; Han, J.; Mishchenko, N.P.; Vasileva, E.A.; et al. The Protective Effect of Echinochrome A on Extracellular Matrix of Vocal Folds in Ovariectomized Rats. Mar. Drugs 2020, 18, 77. https://doi.org/10.3390/md18020077
Kim JM, Kim JH, Shin S-C, Park GC, Kim HS, Kim K, Kim HK, Han J, Mishchenko NP, Vasileva EA, et al. The Protective Effect of Echinochrome A on Extracellular Matrix of Vocal Folds in Ovariectomized Rats. Marine Drugs. 2020; 18(2):77. https://doi.org/10.3390/md18020077
Chicago/Turabian StyleKim, Ji Min, Jeong Hun Kim, Sung-Chan Shin, Gi Cheol Park, Hyung Sik Kim, Keunyoung Kim, Hyoung Kyu Kim, Jin Han, Natalia P. Mishchenko, Elena A. Vasileva, and et al. 2020. "The Protective Effect of Echinochrome A on Extracellular Matrix of Vocal Folds in Ovariectomized Rats" Marine Drugs 18, no. 2: 77. https://doi.org/10.3390/md18020077
APA StyleKim, J. M., Kim, J. H., Shin, S.-C., Park, G. C., Kim, H. S., Kim, K., Kim, H. K., Han, J., Mishchenko, N. P., Vasileva, E. A., Fedoreyev, S. A., Stonik, V. A., & Lee, B.-J. (2020). The Protective Effect of Echinochrome A on Extracellular Matrix of Vocal Folds in Ovariectomized Rats. Marine Drugs, 18(2), 77. https://doi.org/10.3390/md18020077
        
