Cervical Cancer Screening: Histologic Outcomes of HPV-Negative HSIL/ASC-H Cytology in a Tertiary Referral Cohort in Northern Thailand
Abstract
1. Introduction
2. Materials and Methods
2.1. Study Design and Ethical Approval
2.2. HPV Testing and Cytology Evaluation
2.3. Histopathologic Assessment and p16 Immunohistochemistry
2.4. Clinical and Colposcopic Data Collection
2.5. Data Management and Statistical Analysis
3. Results
3.1. Final Histology Outcomes
3.2. Patients with HSIL Cytology
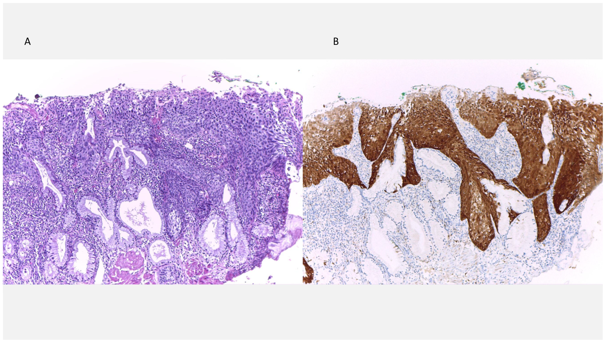
- Patient SN1, age 41, underwent same-day colposcopy and LEEP, which demonstrated CIN3 involving all quadrants with positive ectocervical and endocervical margins. p16 staining was strongly positive (Figure 2). At the 6-month follow-up, cytology again revealed HSIL, prompting a repeat colposcopy and colposcopic-directed biopsy (CDB), which confirmed the presence of HSIL. She subsequently underwent a second LEEP, which again revealed HSIL with positive surgical margins. She continued surveillance with liquid-based cytology every 6 months, and her most recent cotest in August 2025 was negative.

- ○
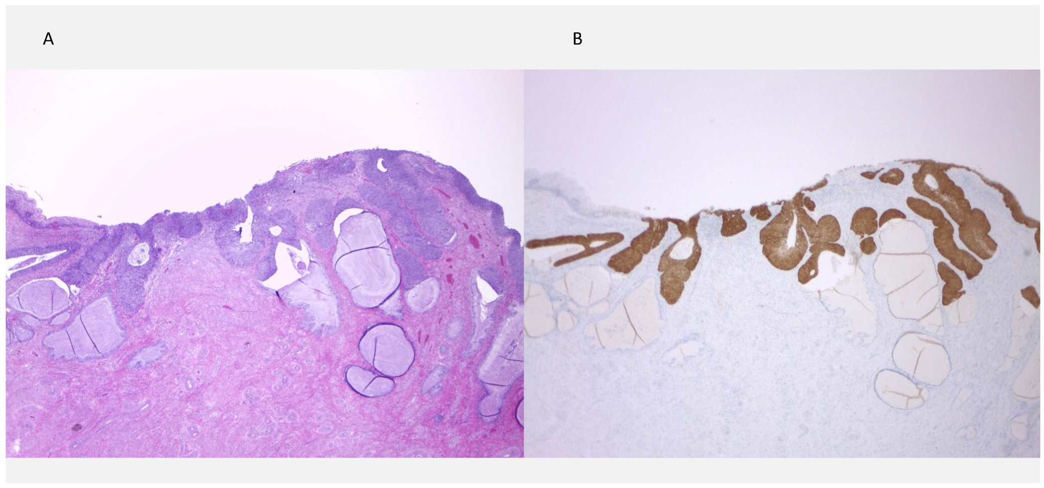
- Patient SN6, age 44, had a colposcopic impression of HSIL and underwent LEEP within 3 days. The specimen demonstrated CIN3 with positive margins, and p16 staining was strongly positive (Figure 3). A repeat LEEP performed 6 weeks later revealed LSIL with negative margins. Six-month follow-up cytology was negative.

3.3. Patients with ASC-H Cytology
- Patient SN3, age 43, had an HSIL colposcopic impression and underwent LEEP, revealing CIN3 and CIN2 with negative margins.
- Patient SN5, age 52, had LSIL colposcopic impression; initial CDB demonstrated HSIL, and subsequent LEEP confirmed CIN3 with free margins.
3.4. Summary of Key Diagnosis Findings
- Following cytologic review, HPV negativity persisted in 5.4% (2/37) of HSIL and 10.9% (6/55) of ASC-H cases, indicating that discordant cotesting remains clinically relevant.
- All HPV-negative HSIL cytology cases (100%) were ultimately confirmed as HPV-associated HSIL, supported by p16 positivity.
- Among ASC-H cytology with negative HPV, 33.3% (2/6) had HSIL (CIN3).
4. Discussion
5. Conclusions
Author Contributions
Funding
Institutional Review Board Statement
Informed Consent Statement
Data Availability Statement
Conflicts of Interest
Abbreviations
| HPV | Human papillomavirus |
| hrHPV | High-risk human papillomavirus |
| HSIL | High-grade squamous intraepithelial lesion |
| ASC-H | Atypical squamous cells cannot exclude high-grade squamous intraepithelial lesion |
| ACS | American Cancer Society |
| ASCCP | American Society for Colposcopy and Cervical Pathology |
| USPSTF | United States Preventive Services Task Force |
| CIN3+ | Cervical intraepithelial neoplasia grade 3 or more severe results |
| CIN | Cervical intraepithelial neoplasia |
| WHO | World Health Organization |
| LAST | Lower Anogenital Squamous Terminology |
| IHC | Immunohistochemistry |
| CDB | Colposcopy-directed biopsies |
| LEEP | Loop electrosurgical excision procedures |
| IFCPC | International Federation for Cervical Pathology and Colposcopy |
| SD | Standard deviation |
| LSIL | Low-grade squamous cell intraepithelial lesion |
References
- Bray, F.; Laversanne, M.; Sung, H.; Ferlay, J.; Siegel, R.L.; Soerjomataram, I.; Jemal, A. Global cancer statistics 2022: GLOBOCAN estimates of incidence and mortality worldwide for 36 cancers in 185 countries. CA Cancer J. Clin. 2024, 74, 229–263. [Google Scholar] [CrossRef]
- Walboomers, J.M.M.; Jacobs, M.V.; Manos, M.M.; Bosch, F.X.; Kummer, J.A.; Shah, K.V.; Snijders, P.J.F.; Peto, J.; Meijer, C.J.L.M.; Muñoz, N. Human papillomavirus is a necessary cause of invasive cervical cancer worldwide. J. Pathol. 1999, 189, 12–19. [Google Scholar] [CrossRef]
- Marcus, J.Z.; Cason, P.; Downs, L.S., Jr.; Einstein, M.H.; Flowers, L. The ASCCP Cervical Cancer Screening Task Force endorsement and opinion on the American Cancer Society updated cervical cancer screening guidelines. J. Low. Genit. Tract Dis. 2021, 25, 187–191. [Google Scholar] [CrossRef] [PubMed]
- Saslow, D.; Solomon, D.; Lawson, H.W.; Killackey, M.; Kulasingam, S.L.; Cain, J.; Garcia, F.A.R.; Moriarty, A.T.; Waxman, A.G.; Wilbur, D.C.; et al. American Cancer Society, American Society for Colposcopy and Cervical Pathology, and American Society for Clinical Pathology screening guidelines for the prevention and early detection of cervical cancer. Am. J. Clin. Pathol. 2012, 137, 516–542. [Google Scholar] [CrossRef] [PubMed]
- Ploysawang, P.; Rojanamatin, J.; Prapakorn, S.; Jamsri, P.; Pangmuang, P.; Seeda, K.; Sangrajrang, S. National Cervical Cancer Screening in Thailand. Asian Pac. J. Cancer Prev. 2021, 22, 25–30. [Google Scholar] [CrossRef]
- Katki, H.A.; Kinney, W.K.; Fetterman, B.; Lorey, T.; Poitras, N.E.; Cheung, L.; Demuth, F.; Schiffman, M.; Wacholder, S.; E Castle, P. Cervical cancer risk for women undergoing concurrent testing for human papillomavirus and cervical cytology: A population-based study in routine clinical practice. Lancet Oncol. 2011, 12, 663–672. [Google Scholar] [CrossRef]
- Kim, J.J.; Burger, E.A.; Regan, C.; Sy, S. Screening for cervical cancer in primary care: A decision analysis for the U.S. Preventive Services Task Force. JAMA 2018, 320, 706–714. [Google Scholar] [CrossRef]
- Jin, X.W.; Lipold, L.; Foucher, J.; Sikon, A.; Brainard, J.; Belinson, J.; Schramm, S.; Nottingham, K.; Hu, B.; Rothberg, M.B. Cost-effectiveness of primary HPV testing, cytology, and cotesting as cervical cancer screening for women above age 30 years. J. Gen. Intern. Med. 2016, 31, 1338–1344. [Google Scholar] [CrossRef]
- Agoff, S.N.; Brockmeyer, A.D.; Barrie, A.M.; Larson, J. High-grade squamous intraepithelial lesion cervicovaginal paps with negative high-risk HPV testing, a prospective study with histological follow-up. Diagn. Cytopathol. 2023, 51, 475–479. [Google Scholar] [CrossRef]
- Negri, G.; Rigo, B.; Vittadello, F.; Mian, C.; Egarter-Vigl, E. Abnormal cervicovaginal cytology with negative human papillomavirus testing. Cancer 2007, 111, 280–284. [Google Scholar] [CrossRef]
- Cohen, D.; Austin, R.M.; Gilbert, C.; Freij, R.; Zhao, C. Follow-up outcomes in a large cohort of patients with human papillomavirus-negative ASC-H cervical screening test results. Am. J. Clin. Pathol. 2012, 138, 517–523. [Google Scholar] [CrossRef]
- Chen, L.; Baker, S.; De Petris, G.; Yang, B. HPV testing results and histologic follow-up in women with ASC-H cytology in different age groups. J. Am. Soc. Cytopathol. 2015, 4, 225–231. [Google Scholar] [CrossRef] [PubMed]
- Fuller, M.Y.; Mody, R.R.; Luna, E.; Armylagos, D.; Schwartz, M.R.; Mody, D.R.; Ge, Y. Performance of Roche cobas high-risk human papillomavirus (hrHPV) testing in the two most common liquid-based Papanicolaou test platforms. J. Am. Soc. Cytopathol. 2018, 7, 142–148. [Google Scholar] [CrossRef] [PubMed]
- Tracht, J.M.; Davis, A.D.; Fasciano, D.N.; Eltoum, I.A. Discrepant HPV/cytology cotesting results: Are there differences between cytology-negative versus HPV-negative cervical intraepithelial neoplasia? Cancer Cytopathol. 2017, 125, 795–805. [Google Scholar] [CrossRef] [PubMed]
- Ashman, D.; Zhang, H.; Li, J.; Austin, R.M.; Wang, T.; Pradhan, D.; Zhao, C. HPV detection rates and histopathologic follow-up of patients with HSIL cytology in a large academic women’s hospital laboratory. J. Am. Soc. Cytopathol. 2020, 9, 550–555. [Google Scholar] [CrossRef]
- Bogani, G.; Sopracordevole, F.; Di Donato, V.; Ciavattini, A.; Ghelardi, A.; Lopez, S.; Simoncini, T.; Plotti, F.; Casarin, J.; Serati, M.; et al. High-risk HPV-positive and -negative high-grade cervical dysplasia: Analysis of 5-year outcomes. Gynecol. Oncol. 2021, 161, 173–178. [Google Scholar] [CrossRef]
- Borgfeldt, C.; Leksell, A.; Forslund, O. Co-testing in cervical screening among 40- to 42-year-old women is unreasonable. Acta Obstet. Gynecol. Scand. 2022, 101, 374–378. [Google Scholar] [CrossRef]
- Li, A.; Li, J.; Austin, R.M.; Wang, T.; Ashman, D.; Zhang, H.; Matsko, J.; Zhao, C. Aptima HPV messenger RNA testing and histopathologic follow-up in women with HSIL cytology: A study emphasizing additional review of HPV-negative cases. Cancer Cytopathol. 2021, 129, 622–631. [Google Scholar] [CrossRef]
- Karaaslan, S.; Dilcher, T.L.; Abdelsayed, M.; Goyal, A. Significant outcomes associated with high-risk human papillomavirus negative Papanicolaou tests. J. Am. Soc. Cytopathol. 2023, 12, 189–196. [Google Scholar] [CrossRef]
- Feng, F.X.; Birdsong, G.G.; Wei, J.; Dababneh, M.N.; Reid, M.D.; Hoskins, M.; Wang, Q. Retrospective analysis of HPV infection: Cotesting and HPV genotyping in cervical cancer screening within a large academic health care system. Cancer Cytopathol. 2024, 133, e22916. [Google Scholar] [CrossRef]
- Jastania, R.; Geddie, W.R.; Chapman, W.; Boerner, S. Characteristics of apparently false-negative digene hybrid capture 2 high-risk HPV DNA testing. Am. J. Clin. Pathol. 2006, 125, 223–228. [Google Scholar] [CrossRef] [PubMed][Green Version]
- Zhang, G.; Yang, B.; Abdul-Karim, F.W. p16 Immunohistochemistry is useful in confirming high-grade squamous intraepithelial lesions (HSIL) in women with negative HPV testing. Int. J. Gynecol. Pathol. 2015, 34, 180–186. [Google Scholar] [CrossRef] [PubMed]
- Petry, K.U.; Cox, J.T.; Johnson, K.; Quint, W.; Ridder, R.; Sideri, M.; Wright, T.C., Jr.; Behrens, C.M. Evaluating HPV-negative CIN2+ in the ATHENA trial. Int. J. Cancer 2016, 138, 2932–2939. [Google Scholar] [CrossRef] [PubMed]
- Ge, Y.; Mody, R.R.; Olsen, R.J.; Zhou, H.; Luna, E.; Armylagos, D.; Puntachart, N.; Hendrickson, H.; Schwartz, M.R.; Mody, D.R. HPV status in women with high-grade dysplasia on cervical biopsy and preceding negative HPV tests. J. Am. Soc. Cytopathol. 2019, 8, 149–156. [Google Scholar] [CrossRef]
- Reich, O.; Regauer, S.; Kashofer, K. Possibly carcinogenic HPV subtypes are a cause of HSIL and negative clinical HPV tests: A European prospective single-center study. Gynecol. Oncol. 2020, 158, 112–116. [Google Scholar] [CrossRef]
- Sandeford, J.; Herbst, U.; Lum, T.; Anderson, L.; Pather, S. High-grade squamous intraepithelial lesions and adenocarcinoma in situ with a negative HPV cervical screening test: The role of HPV-ISH testing—A retrospective review. Aust. N. Z. J. Obstet. Gynaecol. 2024, 65, 297–300. [Google Scholar] [CrossRef]
- Hui, Y.; Hansen, K.; Murthy, J.; Chau, D.; Sung, C.J.; Quddus, M.R. Relevance of the Pap test: A report of HPV-DNA test-negative high-grade squamous intraepithelial lesions of the female lower genital tract. Acta Cytol. 2016, 60, 445–450. [Google Scholar] [CrossRef]
- Prétet, J.-L.; Arroyo Mühr, L.S.; Cuschieri, K.; Fellner, M.D.; Correa, R.M.; Picconi, M.A.; Garland, S.M.; Murray, G.L.; Molano, M.; Peeters, M.; et al. Human papillomavirus negative high-grade cervical lesions and cancers: Suggested guidance for HPV testing quality assurance. J. Clin. Virol. 2024, 171, 105657. [Google Scholar] [CrossRef]
- Das, S.; Wentzensen, N.; Sawaya, G.F.; Egemen, D.; Locke, A.; Kinney, W.; Lorey, T.; Cheung, L.C. Primary HPV testing vs. cotesting: Clinical outcomes in populations with different disease prevalence. J. Natl. Cancer Inst. 2024, 116, 1525–1529. [Google Scholar] [CrossRef]
- WHO Classification of Tumours Editorial Board. Female Genital Tumours, 5th ed.; IARC: Lyon, France, 2020. [Google Scholar]
- Darragh, T.M.; Colgan, T.J.; Cox, J.T.; Heller, D.S.; Henry, M.R.; Luff, R.D.; McCalmont, T.; Nayar, R.; Palefsky, J.M.; Stoler, M.H.; et al. The Lower Anogenital Squamous Terminology Standardization Project for HPV-Associated Lesions: Background and consensus recommendations from the College of American Pathologists and the American Society for Colposcopy and Cervical Pathology. Arch. Pathol. Lab. Med. 2012, 136, 1266–1297. [Google Scholar] [CrossRef]
- Bergeron, C.; Ordi, J.; Schmidt, D.; Trunk, M.J.; Keller, T.; Ridder, R. Conjunctive p16INK4a testing significantly increases accuracy in diagnosing high-grade cervical intraepithelial neoplasia. Am. J. Clin. Pathol. 2010, 133, 395–406. [Google Scholar] [CrossRef]
- Blatt, A.J.; Kennedy, R.; Luff, R.D.; Austin, R.M.; Rabin, D.S. Comparison of cervical cancer screening results among 256,648 women in multiple clinical practices. Cancer Cytopathol. 2015, 123, 282–288. [Google Scholar] [CrossRef]
- Arbyn, M.; Tommasino, M.; Depuydt, C.; Dillner, J. Are 20 human papillomavirus types causing cervical cancer? J. Pathol. 2014, 234, 431–435. [Google Scholar] [CrossRef] [PubMed]
- Khan, M.J.; Castle, P.E.; Lorincz, A.T.; Wacholder, S.; Sherman, M.; Scott, D.R.; Rush, B.B.; Glass, A.G.; Schiffman, M. The elevated 10-year risk of cervical precancer and cancer in women with human papillomavirus (HPV) type 16 or 18 and the possible utility of type-specific HPV testing in clinical practice. J. Natl. Cancer Inst. 2005, 97, 1072–1079. [Google Scholar] [CrossRef] [PubMed]
- Kjær, S.K.; Frederiksen, K.; Munk, C.; Iftner, T. Long-term absolute risk of cervical intraepithelial neoplasia grade 3 or worse following human papillomavirus infection: Role of persistence. J. Natl. Cancer Inst. 2010, 102, 1478–1488. [Google Scholar] [CrossRef] [PubMed]
- Castle, P.E.; Schiffman, M.; Wheeler, C.M.; Solomon, D. Evidence for frequent regression of cervical intraepithelial neoplasia-grade 2. Obstet. Gynecol. 2009, 113, 18–25. [Google Scholar] [CrossRef]
- Sundström, K.; Dillner, J. How Many Human Papillomavirus Types Do We Need to Screen for? J. Infect. Dis. 2021, 223, 1510–1511. [Google Scholar] [CrossRef]
- Nygård, M.; Hansen, B.T.; Kjær, S.K.; Hortlund, M.; Tryggvadóttir, L.; Munk, C.; Lagheden, C.; Sigurdardottir, L.G.; Campbell, S.; Liaw, K.-L.; et al. Human papillomavirus genotype-specific risks for cervical intraepithelial lesions. Hum. Vaccin. Immunother. 2021, 17, 972–981. [Google Scholar] [CrossRef]
- Sørbye, S.W.; Antonsen, M.; Mortensen, E.S. HPV Vaccination and CIN3+ among women aged 25–29 years in Northern Norway, 2010–2024: A population-based time-series analysis. Vaccines 2025, 13, 1147. [Google Scholar] [CrossRef]

| SN | Age (Years) | Type of HPV Test | Cytology:Type (Date) | Colposcopy Impression (Date) | Interval Time (Days) | Procedure (Date) | CDB Result | Final Histology | p16 | Risk Factors | FU Duration (Months) | Note |
|---|---|---|---|---|---|---|---|---|---|---|---|---|
| 1 DB | 41 | Cobas | HSIL:LBC (28/10/19) | HSIL (26/11/19) | 29 | LEEP (26/11/19) | - | HSIL (CIN3, all quadrant, endocervical margin positive, ectocervical margin positive) | positive | 2 partners 1st SI age 22 years | 69.7 | FU 6 mos -> LBC: HSIL -> colpo -> CDB (2/6/20)HSIL -> 2nd LEEP (3/7/20) HSIL positive endo&ecto cervical margin -> LBC 25/8/20 neg, CDB neg -> FU q 6 mos all LBC neg -> DLV cotest 19/8/25 HPV negative, cytology negative |
| 2 JP | 35 | Unknown | ASC-H:LBC (14/5/20) | LSIL (23/6/20) | 40 | CDB (25/6/20) | LSIL | LSIL | positive | 1 partner 1st SI age 20 years | 11.8 | FU DLV 15/6/21 LBC: negative |
| 3 NJ | 43 | Cobas | ASC-H:LBC (27/1/23) | HSIL (28/2/23) | 32 | LEEP (17/3/23) | - | HSIL free margin (CIN2,3) | positive | 4 partners 1st SI age 23 years | NA | - |
| 4 PC | 68 | Cobas | ASC-H:PAP (4/3/25) | HSIL (6/5/25) | 63 | LEEP (7/5/25) | - | Atypical metaplastic squamous epithelium, consistent with LSIL | negative | 1 partner 1st SI age 24 years | 6.3 | At former hospital: PAP 12/2/24:ASC-H -> HPV test 5/6/24 negative -> PAP 5/9/24:neg -> 4/3/25 ASC-H -> 3 shots of HPV vaccine, last shot 2/9/25 1st LEEP diagnosis: HSIL free margin -> review R/O LSIL -> FU DLV 11/11/25 LBC negative |
| 5 PT | 52 | Cobas | ASC-H:LBC (15/3/25) | LSIL (17/4/25) | 33 | CDB (17/4/25) LEEP (25/4/25) | HSIL | HSIL(CIN3) free margin | positive | - | NA | - |
| 6 PW | 44 | Cobas | HSIL:LBC (10/1/25) | HSIL (28/1/25) | 18 | LEEP (31/1/25) | - | HSIL(CIN3) all quadrant, endocervical margin positive 10–12 o’clock, releep 2/4/25 atypical metaplastic squamous epithelium, LSIL, margin free | positive | 3 partners | 8.6 | DLV 16/10/25 negative |
| 7 NP | 54 | Cobas | HSIL:PAP (6/3/24) Review: ASC-H with LSIL | HSIL (30/4/24) | 55 | LEEP (2/5/24) | - | LSIL(CIN1) free margin | negative | 3 partners 1st SI 20 years | 18.4 | FU 10/10/25 LBC ASC-H -> colpo 4/11/25: LSIL -> CDB -> negative -> plan FU |
| 8 PJ | 60 | Cobas | ASC-H:LBC (17/9/25) | LSIL (7/10/25) | 20 | LEEP (8/10/25) | - | LSIL(CIN1) free margin | negative | 2 partners | NA | - |
| No. | Authors (Year) | Prevalence of HPV-Negative High-Grade Lesions (HSIL/ASC-H) Based on Cytology and/or Tissue Diagnosis | HPV Testing Method | Country | p16 | Notes |
|---|---|---|---|---|---|---|
| 1 | Jastania et al. (2006) [21] | Tissue-confirmed HSIL+, HPV-negative: 4.5% (10/220) | Hybrid capture 2 | Canada | NA | HPV-negative tissue-confirmed HSIL was identified in 4.5% (10/220) of cases. |
| 2 | Negri et al. (2007) [10] | Abnormal cytology 2.28% (94/4130) | Hybrid capture 2 | Italy | NA | Repeat HPV testing detected high-risk HPV in 46.8% of specimens with initially negative results. Among cases with persistently negative hrHPV, one CIN2 and one invasive carcinoma were identified on histology. |
| 3 | Cohen et al. (2012) [11] | Cytology ASC-H 33.4% (1054/3155) | Hybrid capture 2 | USA | NA | HSIL was identified in 2.36% (13/549) of HPV-negative ASC-H cases with histologic follow-up. |
| 4 | Blatt et al. (2015) [33] | Abnormal cytology 14.5% (37,243/256,648) | Hybrid capture 2 | USA | NA | Among abnormal cytology cases with negative HPV testing, 15.3% (571/37,243) were diagnosed with CIN2+, including CIN2 (390 cases), CIN 3 (120 cases, AIS (6 cases), SCCA (26 cases), AdenoCA (29 cases) |
| 5 | Chen et a (2015) [12] | Cytology ASC-H 31.8% (157/493) | Hybrid capture 2 | USA | NA | Histologic CIN2+ was identified in 8.9% (14/157) of HPV-negative ASC-H cytology cases. |
| 6 | Zhang et al. (2015) [22] | Tissue confirmed HSIL 7% (46/657) | Hybrid capture 2 | USA | Done | All HPV-negative tissue-diagnosed HSIL cases were confirmed as CIN2 (29 cases) or CIN3 (17 cases), with p16 positivity supporting HPV-related pathogenesis. |
| 7 | Hui et al. (2016) [27] | NA | Cobas | USA | NA | Among 4 HPV-negative HSIL cytology cases, 3 showed LSIL with negative tissue HPV testing, while 1 revealed HSIL with HPV18 detected on tissue analysis. |
| 8 | Petry et al. (2016) [23] | Tissue-based evaluation: • CIN2 (n = 32) Cobas-negative → Amplicor/LA-negative in 12/32, of which 6/12 were p16-positive • CIN3 (n = 23) Cobas-negative → Amplicor/LA-negative in 11/23, of which 8/11 were p16-positive | Cobas Amplicor and/or LA | Done | ATHENA trial Cobas-negative CIN2 (n = 32) and CIN3 (n = 23) cases underwent sequential testing with Amplicor/LA; among Amplicor/LA-negative cases, p16 positivity was observed in 6/12 CIN2 and 8/11 CIN3, supporting HPV-related disease despite negative molecular testing. | |
| 9 | Fuller et al. (2018) [13] | Thin prep (cytology) ASC-H 30.5% (22/72) >HSIL 9.3% (4/43) SurePath (cytology) ASC-H 39.06% (25/64) >HSIL 20.25% (16/79) | Cobas | USA | NA | Tissue-diagnosed ≥ HSIL: ThinPrep 6.3% (8/127) vs. SurePath 12.1% (16/132); p = 0.10. |
| 10 | Tracht et al. (2017) [14] | Cytology HSIL 4.6% (3/65) | Cobas | United Kingdom | Done | All HPV-negative HSIL cytology cases were confirmed as HSIL on histology, with diffuse p16 positivity. |
| 11 | Ge et al. (2019) [24] | Tissue confirmed HSIL 8.3% (21/252) | Cobas | USA | NA | Among 252 biopsy-confirmed HSIL cases, 8.3% (21/252) were HPV-negative on initial testing; all but one were subsequently confirmed as high-risk HPV–positive by tissue-based molecular analysis. |
| 12 | Ashman et al. (2020) [15] | Cytology HSIL Thin prep Overall 6.36% (60/943) Hybrid Capture 2 5.6% (12/214) Cervista 9.2% (22/238) Aptima 5.3% (26/491) | Hybrid Capture 2 (241 cases) Cervista (214 cases) Aptima (491 cases) | USA | Tissue HSIL confirmation: Overall 53.3% (24/45); Hybrid Capture 2 50% (4/8), Cervista 60% (12/20), Aptima 46.0% (8/17), assay-dependent variability observed. | |
| 13 | Reich et al. (2020) [25] | Tissue confirmed HSIL (374 cases)/AIS (14 cases) 5.1% (20/388) | Aptima Cobas | Austria | Done | All HPV-negative HSIL (19 cases) and AIS (1 case) cases demonstrated p16 positivity, supporting HPV-driven carcinogenesis. |
| 14 | Bogani et al. (2021) [16] | Cytology HSIL/ASC-H 14.02% (175/1248) | Hybrid capture 2 Cobas CLART | Italy | NA | Tissue-confirmed HSIL in hrHPV-negative women: 14.9% (260/1738); lower recurrence risk (HR 1.69, 95% CI 1.05–4.80; p = 0.018). |
| 15 | Borgfeldt et al. (2022) [17] | Cytology ASC-H 2.5% (N = 1/40) | Aptima mRNA | Sweden | NA | HPV-negative ASC-H was rare (1/40) and associated with benign biopsy findings. |
| 16 | Li et al. (2021) [18] | Cytology HSIL 3.7% (36/951) | Aptima mRNA | USA | NA | Among 36 HPV-negative HSIL cytology cases, 15 (41.7%) were diagnosed with CIN2+ on histologic evaluation. |
| 17 | Agoff et al. (2023) [9] | Cytology HSIL (7)/ASC-H(1)/AGC neoplastic (1) 10.7% (9/84) | Cobas | USA | Done | All cases with HPV-negative high-grade cytology were confirmed on histology as HSIL or invasive disease, including CIN2 (n = 2), CIN3 (n = 5), AIS with CIN3 (n = 1), and squamous cell carcinoma (n = 1), with uniform p16 positivity. |
| 18 | Karaaslan et al. (2023) [19] | Cytology CA 31.8%(7/22) HSIL 9.2% (73/795) ASC-H 32.8% (291/1074) | Hybrid capture 2 | USA | NA | Tissue confirmed Cytology SCCA 2 cases -> CIN3 1 case, SCCA 1 case (abnormal 100%) Cytology HSIL 58 cases -> CA 1 case, CIN 3 13 cases, CIN 2 9 cases (abnormal 39.6%) Cytology ASC-H 189 cases -> CIN 2 9 cases, CIN 3 9 cases (9.5%) |
| 19 | Sandeford et al. (2024) [26] | Tissue confirmed HSIL 6.06% (89/1468) (Hybrid capture 2), 5.65% (83/1468) (HPV-ISH) | Hybrid capture 2 HPV-ISH (type 16, 18) | Australia | Done | HPV-negative tissue-confirmed HSIL ranged from 5.7 to 6.1%, with 62.8% p16 positivity |
| 20 | Feng et al. (2024) [20] | Cytology Hospital1&2 ASC-H 25.71% (118/459) HSIL 7.17% (17/237) Hospital 3 ASC-H 44.16% (140/317) HSIL 9.93% (14/141) | Aptima | USA | NA | High rates of HPV-negative HSIL and ASC-H cytology were observed across multiple institutions, highlighting persistent diagnostic discordance; however, no data on tissue-confirmed HSIL were reported for HPV-negative cytology cases. |
Disclaimer/Publisher’s Note: The statements, opinions and data contained in all publications are solely those of the individual author(s) and contributor(s) and not of MDPI and/or the editor(s). MDPI and/or the editor(s) disclaim responsibility for any injury to people or property resulting from any ideas, methods, instructions or products referred to in the content. |
© 2026 by the authors. Published by MDPI on behalf of the Lithuanian University of Health Sciences. Licensee MDPI, Basel, Switzerland. This article is an open access article distributed under the terms and conditions of the Creative Commons Attribution (CC BY) license.
Share and Cite
Prasertpakdi, S.; Suprasert, P.; Salakphet, T.; Khunamornpong, S. Cervical Cancer Screening: Histologic Outcomes of HPV-Negative HSIL/ASC-H Cytology in a Tertiary Referral Cohort in Northern Thailand. Medicina 2026, 62, 371. https://doi.org/10.3390/medicina62020371
Prasertpakdi S, Suprasert P, Salakphet T, Khunamornpong S. Cervical Cancer Screening: Histologic Outcomes of HPV-Negative HSIL/ASC-H Cytology in a Tertiary Referral Cohort in Northern Thailand. Medicina. 2026; 62(2):371. https://doi.org/10.3390/medicina62020371
Chicago/Turabian StylePrasertpakdi, Sopita, Prapaporn Suprasert, Tanadon Salakphet, and Surapan Khunamornpong. 2026. "Cervical Cancer Screening: Histologic Outcomes of HPV-Negative HSIL/ASC-H Cytology in a Tertiary Referral Cohort in Northern Thailand" Medicina 62, no. 2: 371. https://doi.org/10.3390/medicina62020371
APA StylePrasertpakdi, S., Suprasert, P., Salakphet, T., & Khunamornpong, S. (2026). Cervical Cancer Screening: Histologic Outcomes of HPV-Negative HSIL/ASC-H Cytology in a Tertiary Referral Cohort in Northern Thailand. Medicina, 62(2), 371. https://doi.org/10.3390/medicina62020371

