Unraveling the Complexity of Celiac Disease: A Narrative Review of Its Multisystem Nature
Abstract
1. Introduction
2. Definition
3. Pathogenesis
3.1. Genetic Factors
3.2. Gluten
3.3. Environmental Factors
3.3.1. The Role of Microbiome
3.3.2. The Role of Infections
3.3.3. The Role of Breastfeeding and Gluten Exposure
3.3.4. The Role of Timing and Amount of Gluten in Introduction
3.3.5. Early Life Environmental Risk Factors
3.3.6. Other Factors
3.3.7. The Role of Mucosa Immune Response
4. Epidemiology
High-Risk Groups for Celiac Disease
5. Clinical Features
5.1. Classic Presentation
5.2. Atypical/Extraintestinal Manifestations
5.2.1. Extraintestinal Manifestations of CD in Children
5.2.2. Extraintestinal Manifestations of CD in Children and Adults
6. Diagnosis
6.1. Serology
6.2. Genetic Testing
6.3. The Role of Serologic Testing Versus Genetic Markers
6.4. Endoscopy
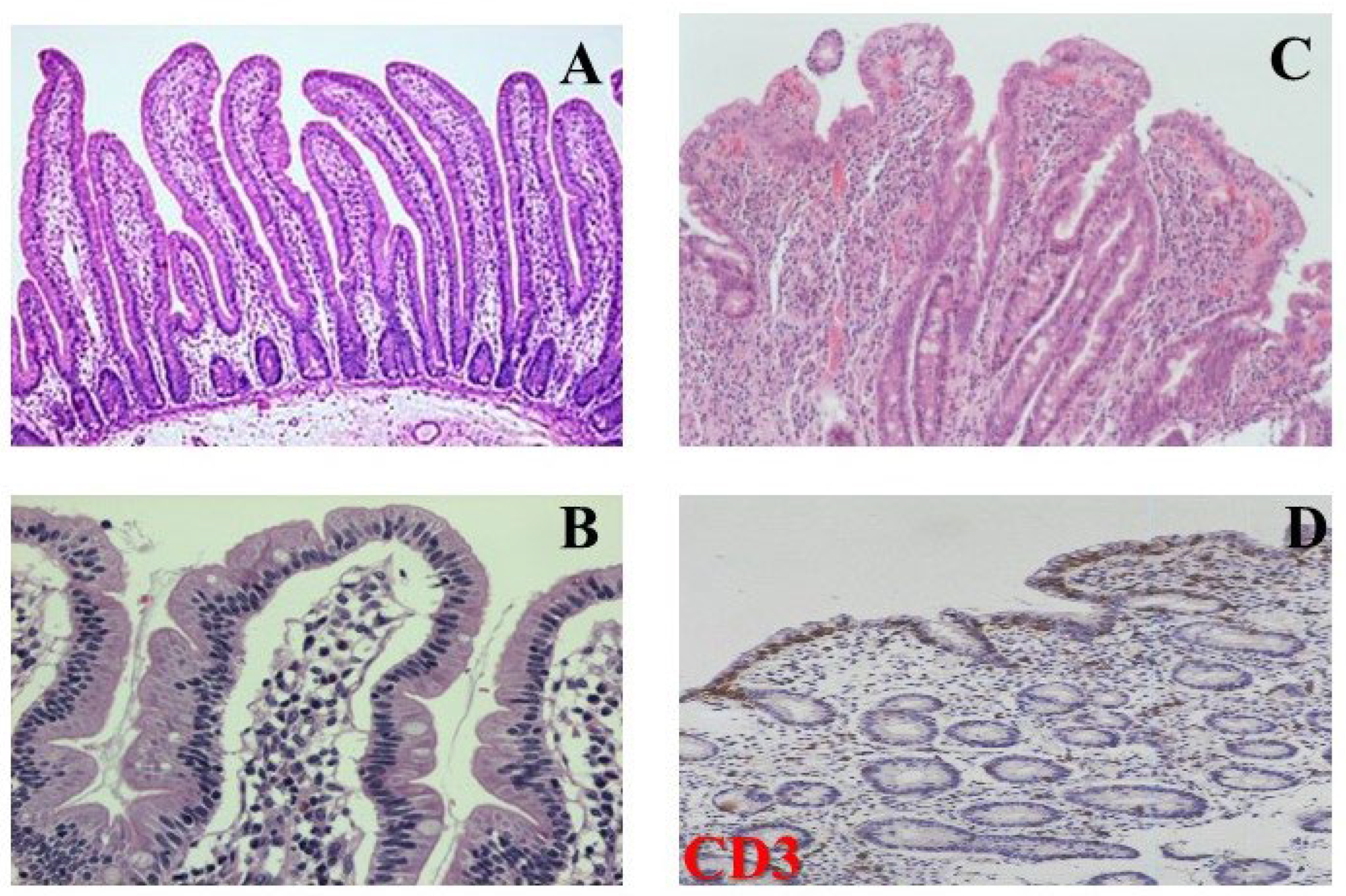
6.5. Histology
6.6. Seronegative Celiac Disease
7. Who Should Be Tested for CD
8. Treatment
8.1. Gluten-Free Diet (GFD)
8.2. Adherence to GFD
8.3. Non-Dietary Therapies for Celiac Disease
9. Complications
9.1. Refractory Celiac Disease (Persistent Symptoms Despite Strict Diet)
9.2. Celiac Disease and Cancer
10. Prevention Strategies
11. Conclusions
Author Contributions
Funding
Institutional Review Board Statement
Informed Consent Statement
Data Availability Statement
Acknowledgments
Conflicts of Interest
Abbreviations
| HLA | Anti-human leukocyte antigen |
| AC | Ahead of Christ |
| CD | Celiac disease |
| GWAS | Genome-wide association studies |
| MHC | Major histocompatibility complex |
| SCFA | Short chain Fatty acids |
| AoR | Adjusted Odds Ratio |
| INF | Interferon |
| ESPGHAN | European Society of Pediatric Gastroenterology, Hepatology and Nutrition |
| IELS | Intraepithelial lymphocytes |
| IL | Interleukin |
| NKG2D | Natural Killer Group 2, Member D |
| IgA | Immunoglobulin A |
| tTG | tissue transglutaminase |
| ADHD | Attention-Deficit/Hyperactivity Disorder |
| ASD | Autism spectrum disorders |
| DED | Dental enamel defects |
| GFD | Gluten-free diet |
| RAS | Recurrent aphthous stomatitis |
| MRI | Magnetic Resonance Imaging |
| DH | Dermatitis Herpetiformis |
| DEXA | Dual-Energy X-ray Absorptiometry |
| FRAX | Fracture Risk Assessment Tool |
| CCM | Celiac Cardiomyopathy |
| PH | Pulmonary Hemosiderosis |
| IgAN | IgA Nephropathy |
| FVAS | Facial Visual Analogue Scale |
| FSS | Fatigue Severity Scale |
| NAFLD | Non-Alcoholic Fatty Liver Disease |
| AIH | Autoimmune Hepatitis |
| IBS | Irritable Bowel Syndrome |
| aHR | Adjusted Hazard Ratio |
| EoE | Eosinophilic Esophagitis |
| EMA | Anti-Endomysial Antibodies |
| AGA | antigliandin antibodies |
| DGP | Deamidated Gliadin Peptides |
| POCT | Point-of-Care Test |
| ESsCD | European Society for the Study of Coeliac Disease |
| GIPs | Gluten Immunogenic Peptides |
| RCD | Refractory Celiac Disease |
References
- Gasbarrini, G.B.; Mangiola, F.; Gerardi, V.; Ianiro, G.; Corazza, G.R.; Gasbarrini, A. Coeliac disease: An old or a new disease? History of a pathology. Intern. Emerg. Med. 2014, 9, 249–256. [Google Scholar] [CrossRef] [PubMed]
- Losowsky, M.S. A history of coeliac disease. Dig. Dis. 2008, 26, 112–120. [Google Scholar] [CrossRef] [PubMed]
- Green, P.H.; Cellier, C. Celiac disease. N. Engl. J. Med. 2007, 357, 1731–1743. [Google Scholar] [CrossRef] [PubMed]
- Kuja-Halkola, R.; Lebwohl, B.; Halfvarson, J.; Wijmenga, C.; Magnusson, P.K.; Ludvigsson, J.F. Heritability of non-HLA genetics in coeliac disease: A population-based study in 107 000 twins. Gut 2016, 65, 1793–1798. [Google Scholar] [CrossRef]
- Lundin, K.E.; Wijmenga, C. Coeliac disease and autoimmune disease-genetic overlap and screening. Nat. Rev. Gastroenterol. Hepatol. 2015, 12, 507–515. [Google Scholar] [CrossRef]
- Lionetti, E.; Castellaneta, S.; Francavilla, R.; Pulvirenti, A.; Tonutti, E.; Amarri, S.; Barbato, M.; Barbera, C.; Barera, G.; Bellantoni, A.; et al. Introduction of gluten, HLA status, and the risk of celiac disease in children. N. Engl. J. Med. 2014, 371, 1295–1303. [Google Scholar] [CrossRef]
- Liu, E.; Lee, H.S.; Aronsson, C.A.; Hagopian, W.A.; Koletzko, S.; Rewers, M.J.; Eisenbarth, G.S.; Bingley, P.J.; Bonifacio, E.; Simell, V.; et al. Risk of pediatric celiac disease according to HLA haplotype and country. N. Engl. J. Med. 2014, 371, 42–49. [Google Scholar] [CrossRef]
- Dieli-Crimi, R.; Cénit, M.C.; Núñez, C. The genetics of celiac disease: A comprehensive review of clinical implications. J. Autoimmun. 2015, 64, 26–41. [Google Scholar] [CrossRef]
- Sollid, L.M. The roles of MHC class II genes and post-translational modification in celiac disease. Immunogenetics 2017, 69, 605–616. [Google Scholar] [CrossRef]
- Verdu, E.F.; Schuppan, D. Co-factors, Microbes, and Immunogenetics in Celiac Disease to Guide Novel Approaches for Diagnosis and Treatment. Gastroenterology 2021, 161, 1395–1411.e4. [Google Scholar] [CrossRef]
- Choung, R.S.; Mills, J.R.; Snyder, M.R.; Murray, J.A.; Gandhi, M.J. Celiac disease risk stratification based on HLA-DQ heterodimer (HLA-DQA1 ~ DQB1) typing in a large cohort of adults with suspected celiac disease. Hum. Immunol. 2020, 81, 59–64. [Google Scholar] [CrossRef] [PubMed]
- Shan, L.; Molberg, Ø.; Parrot, I.; Hausch, F.; Filiz, F.; Gray, G.M.; Sollid, L.M.; Khosla, C. Structural basis for gluten intolerance in celiac sprue. Science 2002, 297, 2275–2279. [Google Scholar] [CrossRef] [PubMed]
- Bascuñán, K.A.; Vespa, M.C.; Araya, M. Celiac disease: Understanding the gluten-free diet. Eur. J. Nutr. 2017, 56, 449–459. [Google Scholar] [CrossRef] [PubMed]
- Schuppan, D.; Mäki, M.; Lundin, K.E.A.; Isola, J.; Friesing-Sosnik, T.; Taavela, J.; Popp, A.; Koskenpato, J.; Langhorst, J.; Hovde, Ø.; et al. A Randomized Trial of a Transglutaminase 2Inhibitor for Celiac Disease. N. Engl. J. Med. 2021, 385, 35. [Google Scholar] [CrossRef]
- Matysiak-Budnik, T.; Candalh, C.; Dugave, C.; Namane, A.; Cellier, C.; Cerf-Bensussan, N.; Heyman, M. Alterations of the intestinal transport and processing of gliadin peptides in celiac disease. Gastroenterology 2003, 125, 696. [Google Scholar] [CrossRef]
- Lebwohl, B.; Sanders, D.S.; Green, P.H.R. Coeliac disease. Lancet 2018, 391, 70–81. [Google Scholar] [CrossRef]
- Olivares, M.; Neef, A.; Castillejo, G.; De Palma, G.; Varea, V.; Capilla, A.; Palau, F.; Nova, E.; Marcos, A.; Polanco, I.; et al. The HLA-DQ2 genotype selects for early intestinal microbiota composition in infants at high risk of developing coeliac disease. Gut 2015, 64, 406–417. [Google Scholar] [CrossRef]
- Nistal, E.; Caminero, A.; Herrán, A.R.; Pérez-Andres, J.; Vivas, S.; de Morales, J.M.R.; de Miera, L.E.S.; Casqueiro, J. Study of duodenal bacterial communities by 16S rRNA gene analysis in adults with active celiac disease vs non-celiac disease controls. J. Appl. Microbiol. 2016, 120, 1691–1700. [Google Scholar] [CrossRef]
- Nistal, E.; Caminero, A.; Vivas, S.; Ruiz de Morales, J.M.; Sáenz de Miera, L.E.; Rodríguez-Aparicio, L.B.; Casqueiro, J. Differences in faecal bacteria populations and faecal bacteria metabolism in healthy adults and celiac disease patients. Biochimie 2012, 94, 1724–1729. [Google Scholar] [CrossRef]
- Constante, M.; Libertucci, J.; Galipeau, H.J.; Szamosi, J.C.; Rueda, G.; Miranda, P.M.; Pinto-Sanchez, M.I.; Southward, C.M.; Rossi, L.; Fontes, M.E.; et al. Biogeographic Variation and Functional Pathways of the Gut Microbiota in Celiac Disease. Gastroenterology 2022, 163, 1351–1363.e15. [Google Scholar] [CrossRef]
- Nistal, E.; Caminero, A.; Herrán, A.R.; Arias, L.; Vivas, S.; De Morales, J.M.R.; Calleja, S.; de Miera, L.E.S.; Arroyo, P.; Casqueiro, J. Differences of small intestinal bacteria populations in adults and children with/without celiac disease: Effect of age, gluten diet, and disease. Inflamm. Bowel Dis. 2012, 18, 649–656. [Google Scholar] [CrossRef]
- Valitutti, F.; Cucchiara, S.; Fasano, A. Celiac Disease and the Microbiome. Nutrients 2019, 11, 2403. [Google Scholar] [CrossRef] [PubMed]
- Mårild, K.; Kahrs, C.R.; Tapia, G.; Stene, L.C.; Størdal, K. Infections and risk of celiac disease in childhood: A prospective nationwide cohort study. Am. J. Gastroenterol. 2015, 110, 1475–1484. [Google Scholar] [CrossRef] [PubMed]
- Stene, L.C.; Honeyman, M.C.; Hoffenberg, E.J.; Haas, J.E.; Sokol, R.J.; Emery, L.; Taki, I.; Norris, J.M.; Erlich, H.A.; Eisenbarth, G.S.; et al. Rotavirus infection frequency and risk of celiac disease autoimmunity in early childhood: A longitudinal study. Am. J. Gastroenterol. 2006, 101, 2333–2340. [Google Scholar] [CrossRef] [PubMed]
- Kemppainen, K.M.; Lynch, K.F.; Liu, E.; Lönnrot, M.; Simell, V.; Briese, T.; Koletzko, S.; Hagopian, W.; Rewers, M.; She, J.-X.; et al. Factors that increase risk of celiac disease autoimmunity after a gastrointestinal infection in early life. Clin. Gastroenterol. Hepatol. 2017, 15, 694–702. [Google Scholar] [CrossRef]
- Riddle, M.S.; Murray, J.A.; Cash, B.D.; Pimentel, M.; Porter, C.K. Pathogen-specific risk of celiac disease following bacterial causes of foodborne illness: A retrospective cohort study. Dig. Dis. Sci. 2013, 58, 3242–3245. [Google Scholar] [CrossRef]
- Cohen, R.; Mahlab-Guri, K.; Atali, M.; Elbirt, D. Viruses and celiac disease: What do we know? Clin. Exp. Med. 2023, 23, 2931–2939. [Google Scholar] [CrossRef]
- Amlashi, F.I.; Norouzi, Z.; Sohrabi, A.; Shirzad-Aski, H.; Norouzi, A.; Ashkbari, A.; Gilani, N.; Fatemi, S.A.; Besharat, S. A systematic review and meta-analysis for association of Helicobacter pylori colonization and celiac disease. PLoS ONE 2021, 16, E0241156. [Google Scholar] [CrossRef]
- Szajewska, H.; Shamir, R.; Auricchio, R.; Chmielewska, A.; Dolinsek, J.; Kivelä, L.; Koletzko, S.; Korponay-Szabo, I.R.; Af Segerstad, E.M.H.; Mearin, M.L.; et al. Early diet and the risk of coeliac disease. An update 2024 position paper by the ESPGHAN special interest group on coeliac disease. J. Pediatr. Gastroenterol. Nutr. 2024, 79, 438–445. [Google Scholar] [CrossRef]
- Szajewska, H.; Shamir, R.; Stróżyk, A.; Chmielewska, A.; Zalewski, B.M.; Auricchio, R.; Koletzko, S.; Korponay-Szabo, I.R.; Mearin, M.L.; Meijer, C.; et al. Systematic review: Early feeding practices and the risk of coeliac disease. A 2022 update and revision. Aliment. Pharmacol. Ther. 2023, 57, 8–22. [Google Scholar] [CrossRef]
- Leonard, M.M.; Camhi, S.; Huedo-Medina, T.B.; Fasano, A. Celiac Disease Genomic, Environmental, Microbiome, and Metabolomic (CDGEMM) Study Design: Approach to the Future of Personalized Prevention of Celiac Disease. Nutrients 2015, 7, 9325–9336. [Google Scholar] [CrossRef]
- Štšepetova, J.; Simre, K.; Tagoma, A.; Uibo, O.; Peet, A.; Siljander, H.; Tillmann, V.; Knip, M.; Mändar, R.; Uibo, R. Maternal breast milk microbiota and immune markers in relation to subsequent development of celiac disease in offspring. Sci. Rep. 2022, 12, 6607. [Google Scholar] [CrossRef] [PubMed]
- Benítez-Páez, A.; Olivares, M.; Szajewska, H.; Pieścik-Lech, M.; Polanco, I.; Castillejo, G.; Nuñez, M.; Ribes-Koninckx, C.; Korponay-Szabó, I.R.; Koletzko, S.; et al. Breast-Mil Microbiota Linked to Celiac Disease Development in Children: A Pilot Study From the PreventCD Cohort. Front. Microbiol. 2020, 11, 1335. [Google Scholar] [CrossRef] [PubMed]
- Andrén Aronsson, C.; Agardh, D. Intervention strategies in early childhood to prevent celiac disease-a mini-review. Front. Immunol. 2023, 14, 1106564. [Google Scholar] [CrossRef] [PubMed]
- Szajewska, H.; Shamir, R.; Mearin, L.; Ribes-Koninckx, C.; Catassi, C.; Domellöf, M.; Fewtrell, M.S.; Husby, S.; Papadopoulou, A.; Vandenplas, Y.; et al. Gluten Introduction and the Risk of Coeliac Disease: A Position Paper by the European Society for Pediatric Gastroenterology, Hepatology, and Nutrition. J. Pediatr. Gastroenterol. Nutr. 2016, 62, 507–513. [Google Scholar] [CrossRef]
- Pinto-Sánchez, M.I.; Verdu, E.F.; Liu, E.; Bercik, P.; Green, P.H.; Murray, J.A.; Guandalini, S.; Moayyedi, P. Gluten Introduction to Infant Feeding and Risk of Celiac Disease: Systematic Review and Meta-Analysis. J. Pediatr. 2016, 168, 132–143.e3. [Google Scholar] [CrossRef]
- Szajewska, H.; Shamir, R.; Chmielewska, A.; Stróżyk, A.; Zalewski, B.M.; Auricchio, R.; Koletzko, S.; Korponay-Szabo, I.R.; Mearin, L.; Meijer, C.; et al. Early Feeding Practices and Celiac Disease Prevention: Protocol for an Updated and Revised Systematic Review and Meta-Analysis. Nutrients 2022, 14, 1040. [Google Scholar] [CrossRef]
- Andrén Aronsson, C.; Lee, H.S.; Hård Af Segerstad, E.M.; Uusitalo, U.; Yang, J.; Koletzko, S.; Liu, E.; Kurppa, K.; Bingley, P.J.; Toppari, J.; et al. Association of Gluten Intake Duringthe First 5 Years of Life with Incidence of Celiac Disease Autoimmunity and Celiac DiseaseAmong Children at Increased Risk. JAMA 2019, 322, 514. [Google Scholar] [CrossRef]
- Lund-Blix, N.A.; Mårild, K.; Tapia, G.; Norris, J.M.; Stene, L.C.; Størdal, K. Gluten Intake in Early Childhood and Risk of CeliacDisease in Childhood: A Nationwide Cohort Study. Am. J. Gastroenterol. 2019, 114, 1299. [Google Scholar] [CrossRef]
- Crespo-Escobar, P.; Mearin, M.L.; Hervas, D.; Auricchio, R.; Castillejo, G.; Gyimesi, J.; Martinez-Ojinaga, E.; Werkstetter, K.; Vriezinga, S.L.; Korponay-Szabo, I.R.; et al. The role of gluten consumption at an early agein celiac disease development: A further analysis of the prospective PreventCD cohort study. Am. J. Clin. Nutr. 2017, 105, 890. [Google Scholar] [CrossRef]
- Lund-Blix, N.A.; Tapia, G.; Mårild, K.; Brantsæter, A.L.; Eggesbø, M.; Mandal, S.; Stene, L.C.; Størdal, K. Maternal fibre and gluten intake during pregnancy and risk of childhood celiac disease: The MoBa study. Sci. Rep. 2020, 10, 16439. [Google Scholar] [CrossRef] [PubMed]
- Olivares, M.; Walker, A.W.; Capilla, A.; Benítez-Páez, A.; Palau, F.; Parkhill, J.; Castillejo, G.; Sanz, Y. Gut microbiota trajectory in early life may predict development of celiac disease. Microbiome 2018, 6, 36. [Google Scholar] [CrossRef] [PubMed]
- Lebwohl, B.; Green, P.H.; Murray, J.A.; Ludvigsson, J.F. Season of birth in a nationwide cohort of coeliac disease patients. Arch. Dis. Child. 2013, 98, 48–51. [Google Scholar] [CrossRef] [PubMed]
- Tanpowpong, P.; Obuch, J.C.; Jiang, H.; McCarty, C.E.; Katz, A.J.; Leffler, D.A.; Kelly, C.P.; Weir, D.C.; Leichtner, A.M.; Camargo, C.A. Multicenter study on season of birth and celiac disease: Evidence for a new theoretical model of pathogenesis. J. Pediatr. 2013, 162, 501–504. [Google Scholar] [CrossRef]
- Mårild, K.; Stephansson, O.; Montgomery, S.; Murray, J.A.; Ludvigsson, J.F. Pregnancy outcome and risk of celiac disease in offspring: A nationwide case-control study. Gastroenterology 2012, 142, 39–45. [Google Scholar] [CrossRef]
- Lionetti, E.; Castellaneta, S.; Francavilla, R.; Pulvirenti, A.; Catassi, C.; SIGENP Working Group of Weaning and CD Risk. Mode of delivery and risk of celiac disease: Risk of celiac disease and age atgluten introduction cohort study. J. Pediatr. 2017, 184, 81–86. [Google Scholar] [CrossRef]
- Mårild, K.; Ye, W.; Lebwohl, B.; Green, P.H.; Blaser, M.J.; Card, T.; Ludvigsson, J.F. Antibiotic exposure and the development of coeliac disease: A nationwide case-control study. BMC Gastroenterol. 2013, 13, 109. [Google Scholar] [CrossRef]
- Lebwohl, B.; Spechler, S.J.; Wang, T.C.; Green, P.H.; Ludvigsson, J.F. Use of proton pump inhibitors and subsequent risk of celiac disease. Dig. Liver Dis. 2014, 46, 36–40. [Google Scholar] [CrossRef]
- Størdal, K.; Haugen, M.; Brantsæter, A.L.; Lundin, K.E.; Stene, L.C. Association between maternal iron supplementation during pregnancy and risk of celiac disease in children. Clin. Gastroenterol. Hepatol. 2014, 12, 624–631. [Google Scholar] [CrossRef]
- Jabri, B.; Sollid, L.M. Innate and adaptive immunity in celiac disease. Immunol. Rev. 2005, 206, 219–231. [Google Scholar] [CrossRef]
- Patt, Y.S.; Lahat, A.; David, P.; Patt, C.; Eyade, R.; Sharif, K. Unraveling the Immunopathological Landscape of Celiac Disease: A Comprehensive Review. Int. J. Mol. Sci. 2023, 24, 15482. [Google Scholar] [CrossRef] [PubMed]
- Gnodi, E.; Mancuso, C.; Elli, L.; Ballarini, E.; Meneveri, R.; Beaulieu, J.F.; Barisani, D. Gliadin, through the Activation of Innate Immunity, Triggers lncRNA NEAT1 Expression in Celiac Disease Duodenal Mucosa. Int. J. Mol. Sci. 2021, 22, 1289. [Google Scholar] [CrossRef] [PubMed]
- Stahl, M.; Li, Q.; Lynch, K.; Koletzko, S.; Mehta, P.; Gragert, L.; Norris, J.M.; Andrén Aronsson, C.; Lindfors, K.; Kurppa, K.; et al. Incidence of Pediatric Celiac Disease Varies by Region. Am. J. Gastroenterol. 2023, 118, 539–545. [Google Scholar] [CrossRef] [PubMed]
- Lebwohl, B.; Tennyson, C.A.; Holub, J.L.; Lieberman, D.A.; Neugut, A.I.; Green, P.H. Sex and racial disparities in duodenal biopsy to evaluate for celiac disease. Gastrointest. Endosc. 2012, 76, 779–785. [Google Scholar] [CrossRef]
- King, J.A.; Jeong, J.; Underwood, F.E.; Quan, J.; Panaccione, N.; Windsor, J.W.; Coward, S.; de Bruyn, J.; Ronksley, P.E.; Shaheen, A.A.; et al. Incidence of Celiac Disease Is Increasing Over Time: A Systematic Review and Meta-analysis. Am. J. Gastroenterol. 2020, 115, 507–525. [Google Scholar] [CrossRef]
- Singh, P.; Arora, A.; Strand, T.A.; Leffler, D.A.; Catassi, C.; Green, P.H.; Kelly, C.P.; Ahuja, V.; Makharia, G.K. Global Prevalence of Celiac Disease: Systematic Review and Meta-analysis. Clin. Gastroenterol. Hepatol. 2018, 16, 823–836.e2. [Google Scholar] [CrossRef]
- Ludvigsson, J.F.; Murray, J.A. Epidemiology of Celiac Disease. Gastroenterol. Clin. N. Am. 2019, 48, 1–18. [Google Scholar] [CrossRef]
- Jansson-Knodell, C.L.; Hujoel, I.A.; West, C.P.; Taneja, V.; Prokop, L.J.; Rubio-Tapia, A.; Murray, J.A. Sex Difference in Celiac Disease in Undiagnosed Populations: A Systematic Review and Meta-analysis. Clin. Gastroenterol. Hepatol. 2019, 17, 1954–1968.e13. [Google Scholar] [CrossRef]
- Parra-Medina, R.; Molano-Gonzalez, N.; Rojas-Villarraga, A.; Agmon-Levin, N.; Arango, M.T.; Shoenfeld, Y.; Anaya, J.M. Prevalence of celiac disease in latin america: A systematic review and meta-regression. PLoS ONE 2015, 10, e0124040. [Google Scholar] [CrossRef]
- Ashtari, S.; Najafimehr, H.; Pourhoseingholi, M.A.; Rostami, K.; Asadzadeh-Aghdaei, H.; Rostami-Nejad, M.; Tavirani, M.R.; Olfatifar, M.; Makharia, G.K.; Zali, M.R. Prevalence of celiac disease in low and high risk population in Asia-Pacific region: A systematic review and meta-analysis. Sci. Rep. 2021, 11, 2383. [Google Scholar] [CrossRef]
- Yuan, J.; Zhou, C.; Gao, J.; Li, J.; Yu, F.; Lu, J.; Li, X.; Wang, X.; Tong, P.; Wu, Z.; et al. Prevalence of Celiac Disease Autoimmunity Among Adolescents and Young Adults in China. Clin. Gastroenterol. Hepatol. 2017, 15, 1572–1579.e1. [Google Scholar] [CrossRef] [PubMed]
- Hill, I.D.; Fasano, A.; Guandalini, S.; Hoffenberg, E.; Levy, J.; Reilly, N.; Verma, R. NASPGHAN Clinical Report on the Diagnosis and Treatment of Gluten-related Disorders. Pediatr. Gastroenterol. Nutr. 2016, 63, 156–165. [Google Scholar] [CrossRef] [PubMed]
- Singh, P.; Arora, S.; Lal, S.; Strand, T.A.; Makharia, G.K. Risk of Celiac Disease in the First- and Second-Degree Relatives of Patients With Celiac Disease: A Systematic Review and Meta-Analysis. Am. J. Gastroenterol. 2015, 110, 1539–1548. [Google Scholar] [CrossRef] [PubMed]
- Jalilian, M.; Jalali, R. Prevalence of celiac disease in children with type 1 diabetes: A review. Diabetes Metab. Syndr. 2021, 15, 969–974. [Google Scholar] [CrossRef]
- Hagopian, W.; Lee, H.S.; Liu, E.; Rewers, M.; She, J.X.; Ziegler, A.G.; Lernmark, Å.; Toppari, J.; Rich, S.S.; Krischer, J.P.; et al. Co-occurrence of Type 1 Diabetes and Celiac Disease Autoimmunity. Pediatrics 2017, 140, e20171305. [Google Scholar] [CrossRef]
- Twito, O.; Shapiro, Y.; Golan-Cohen, A.; Dickstein, Y.; Ness-Abramof, R.; Shapiro, M. Anti-thyroid antibodies, parietal cell antibodies and tissue transglutaminase antibodies in patients with autoimmune thyroid disease. Arch. Med. Sci. 2018, 14, 516–520. [Google Scholar] [CrossRef]
- Sattar, N.; Lazare, F.; Kacer, M.; Aguayo-Figueroa, L.; Desikan, V.; Garcia, M.; Lane, A.; Chawla, A.; Wilson, T. Celiac disease in children, adolescents, and young adults with autoimmune thyroid disease. J. Pediatr. 2011, 158, 272–275.e1. [Google Scholar] [CrossRef]
- Poddighe, D.; Romano, M.; Dossybayeva, K.; Abdukhakimova, D.; Galiyeva, D.; Demirkaya, E. Celiac Disease in Juvenile Idiopathic Arthritis and Other Pediatric Rheumatic Disorders. J. Clin. Med. 2022, 11, 1089. [Google Scholar] [CrossRef]
- Vajro, P.; Paolella, G.; Maggiore, G.; Giordano, G. Pediatric celiac disease, cryptogenic hypertransaminasemia, and autoimmune hepatitis. J. Pediatr. Gastroenterol. Nutr. 2013, 56, 663–670. [Google Scholar] [CrossRef]
- Di Tola, M.; Bizzaro, N.; Gaudio, M.; Maida, C.; Villalta, D.; Alessio, M.G.; Previtali, G.; Fabris, M.; Deleonardi, G.; Tampoia, M.; et al. Diagnosing and Monitoring Celiac Patients with Selective IgA Deficiency: Still. an Open Issue. Dig. Dis. Sci. 2021, 66, 3234–3241. [Google Scholar] [CrossRef]
- Ostermaier, K.K.; Weaver, A.L.; Myers, S.M.; Stoeckel, R.E.; Katusic, S.K.; Voigt, R.G. Incidence of Celiac Disease in Down Syndrome: A Longitudinal, Population-Based Birth Cohort Study. Clin. Pediatr. 2020, 59, 1086–1091. [Google Scholar] [CrossRef] [PubMed]
- Al-Bluwi, G.S.M.; AlNababteh, A.H.; Östlundh, L.; Al-Shamsi, S.; Al-Rifai, R.H. Prevalence of Celiac Disease in Patients With Turner Syndrome: Systematic Review and Meta-Analysis. Front. Med. 2021, 8, 674896. [Google Scholar] [CrossRef] [PubMed]
- Ghisleni, C.; Parma, B.; Cianci, P.; De Paoli, A.; Pangallo, E.; Agovino, T.; Cereda, A.; Bedeschi, M.F.; Villa, R.; Fossati, C.; et al. Celiac disease prevalence and predisposing-HLA in a cohort of 93 Williams-Beuren syndrome patients. Am. J. Med. Genet. Part A 2023, 191, 84–89. [Google Scholar] [CrossRef] [PubMed]
- Riznik, P.; De Leo, L.; Dolinsek, J.; Gyimesi, J.; Klemenak, M.; Koletzko, B.; Koletzko, S.; Korponay-Szabó, I.R.; Krencnik, T.; Not, T.; et al. Clinical Presentation in Children with Coeliac Disease in Central Europe. J. Pediatr. Gastroenterol. Nutr. 2021, 72, 546–551. [Google Scholar] [CrossRef]
- Downey, L.; Houten, R.; Murch, S.; Longson, D.; Guideline Development Group. Recognition, assessment, and management of coeliac disease: Summary of updated NICE guidance. BMJ 2015, 351, H4513. [Google Scholar] [CrossRef]
- Al-Toma, A.; Volta, U.; Auricchio, R.; Castillejo, G.; Sanders, D.S.; Cellier, C.; Mulder, C.J.; Lundin, K.E.A. European Society for the Study of Coeliac Disease (ESsCD) guideline for coeliac disease and other gluten-related disorders. United Eur. Gastroenterol. J. 2019, 7, 583–613. [Google Scholar] [CrossRef]
- De Giuseppe, R.; Bergomas, F.; Loperfido, F.; Giampieri, F.; Preatoni, G.; Calcaterra, V.; Cena, H. Could Celiac Disease and Overweight/Obesity Coexist in School-Aged Children and Adolescents? A Systematic Review. Child. Obes. 2024, 20, 48–67. [Google Scholar] [CrossRef]
- Therrien, A.; Kelly, C.P.; Silvester, J.A. Celiac Disease: Extraintestinal Manifestations and Associated Conditions. J. Clin. Gastroenterol. 2020, 54, 8–21. [Google Scholar] [CrossRef]
- Jericho, H.; Sansotta, N.; Guandalini, S. Extraintestinal Manifestations of Celiac Disease: Effectiveness of the Gluten-Free Diet. J. Pediatr. Gastroenterol. Nutr. 2017, 65, 75–79. [Google Scholar] [CrossRef]
- Paez, M.A.; Gramelspacher, A.M.; Sinacore, J.; Winterfield, L.; Venu, M. Delay in Diagnosis of Celiac Disease in Patients Without Gastrointestinal Complaints. Am. J. Med. 2017, 130, 1318–1323. [Google Scholar] [CrossRef]
- Nurminen, S.; Kivelä, L.; Huhtala, H.; Kaukinen, K.; Kurppa, K. Extraintestinal manifestations were common in children with coeliac disease and were more prevalent in patients with more severe clinical and histological presentation. Acta Paediatr. 2019, 108, 681–687. [Google Scholar] [CrossRef] [PubMed]
- Hill, I.D.; Dirks, M.H.; Liptak, G.S.; Colletti, R.B.; Fasano, A.; Guandalini, S.; Hoffenberg, E.J.; Horvath, K.; Murray, J.A.; Pivor, M.; et al. Guideline for the diagnosis and treatment of celiac disease in children: Recommendations of the North American Society for Pediatric Gastroenterology, Hepatology and Nutrition. J. Pediatr. Gastroenterol. Nutr. 2005, 40, 1–19. [Google Scholar] [CrossRef] [PubMed]
- Salarian, L.; Khavaran, M.; Dehghani, S.M.; Mashhadiagha, A.; Moosavi, S.A.; Rezaeianzadeh, S. Extra-intestinal manifestations of Celiac disease in children: Their prevalence and association with human leukocyte antigens and pathological and laboratory evaluations. BMC Pediatr. 2023, 23, 8. [Google Scholar] [CrossRef] [PubMed]
- Auricchio, R.; Stellato, P.; Bruzzese, D.; Cielo, D.; Chiurazzi, A.; Galatola, M.; Castilljeo, G.; Crespo Escobar, P.; Gyimesi, J.; Hartman, C.; et al. Growth rate of coeliac children is compromised before the onset of the disease. Arch. Dis. Child. 2020, 105, 964–968. [Google Scholar] [CrossRef]
- Agardh, D.; Lee, H.S.; Kurppa, K.; Simell, V.; Aronsson, C.A.; Jörneus, O.; Hummel, M.; Liu, E.; Koletzko, S.; TEDDY Study Group. Clinical features of celiac disease: A prospective birth cohort. Pediatrics 2015, 135, 627–634. [Google Scholar] [CrossRef]
- Nardecchia, S.; Auricchio, R.; Discepolo, V.; Troncone, R. Extra-Intestinal Manifestations of Coeliac Disease in Children: Clinical Features and Mechanisms. Front. Pediatr. 2019, 7, 56. [Google Scholar] [CrossRef]
- Philip, R.; Patidar, P.; Saran, S.; Agarwal, P.; Arya, T.; Gupta, K. Endocrine manifestations of celiac disease. Indian J. Endocrinol. Metab. 2012, 16, S506–S508. [Google Scholar] [CrossRef]
- Smith, L.B.; Lynch, K.F.; Kurppa, K.; Koletzko, S.; Krischer, J.; Liu, E.; Johnson, S.B.; Agardh, D.; TEDDY Study Group. Psychological Manifestations of Celiac Disease Autoimmunity in Young Children. Pediatrics 2017, 139, e20162848. [Google Scholar] [CrossRef]
- Wahab, R.J.; Beth, S.A.; Derks, I.P.M.; Jansen, P.W.; Moll, H.A.; Kiefte-de Jong, J.C. Celiac Disease Autoimmunity and Emotional and Behavioral Problems in Childhood. Pediatrics 2019, 144, e20183933. [Google Scholar] [CrossRef]
- Germone, M.; Phu, T.; Slosky, C.; Pan, Z.; Jones, A.; Stahl, M.; Mehta, P.; Shull, M.; Ariefdjohan, M.; Liu, E. Anxiety and Depression in Pediatric Patients with Celiac Disease: A Large Cross-Sectional Study. J. Pediatr. Gastroenterol. Nutr. 2022, 75, 181–185. [Google Scholar] [CrossRef]
- Butwicka, A.; Lichtenstein, P.; Frisén, L.; Almqvist, C.; Larsson, H.; Ludvigsson, J.F. Celiac Disease Is Associated with Childhood Psychiatric Disorders: A Population-Based Study. J. Pediatr. 2017, 184, 87–93.e1. [Google Scholar] [CrossRef] [PubMed]
- Inchingolo, A.D.; Dipalma, G.; Viapiano, F.; Netti, A.; Ferrara, I.; Ciocia, A.M.; Mancini, A.; Di Venere, D.; Palermo, A.; Inchingolo, A.M.; et al. Celiac Disease-Related Enamel Defects: A Systematic Review. J. Clin. Med. 2024, 13, 1382. [Google Scholar] [CrossRef] [PubMed]
- Zoumpoulakis, M.; Fotoulaki, M.; Topitsoglou, V.; Lazidou, P.; Zouloumis, L.; Kotsanos, N. Prevalence of Dental Enamel Defects, Aphthous-Like Ulcers and Other Oral Manifestations in Celiac Children and Adolescents: A Comparative Study. J. Clin. Pediatr. Dent. 2019, 43, 274–280. [Google Scholar] [CrossRef]
- Manninen, J.; Paavola, S.; Kurppa, K.; Huhtala, H.; Salmi, T.; Kaukinen, K.; Pasternack, C. Prevalence of oral manifestations in coeliac disease and associated factors. BMC Gastroenterol. 2025, 25, 126. [Google Scholar] [CrossRef] [PubMed]
- Lucchese, A.; Di Stasio, D.; De Stefano, S.; Nardone, M.; Carinci, F. Beyond the Gut: A Systematic Review of Oral Manifestations in Celiac Disease. J. Clin. Med. 2023, 12, 3874. [Google Scholar] [CrossRef]
- Lupu, V.V.; Sasaran, M.O.; Jechel, E.; Starcea, I.M.; Ioniuc, I.; Mocanu, A.; Rosu, S.T.; Munteanu, V.; Nedelcu, A.H.; Danielescu, C.; et al. Celiac disease—A pluripathological model in pediatric practice. Front. Immunol. 2024, 15, 1390755. [Google Scholar] [CrossRef]
- Hadjivassiliou, M.; Croall, I.D.; Zis, P.; Sarrigiannis, P.G.; Sanders, D.S.; Aeschlimann, P.; Grünewald, R.A.; Armitage, P.A.; Connolly, D.; Aeschlimann, D.; et al. Neurologic Deficits in Patients with Newly Diagnosed Celiac Disease Are Frequent and Linked With Autoimmunity to Transglutaminase 6. Clin. Gastroenterol. Hepatol. 2019, 17, 2678–2686.e2. [Google Scholar] [CrossRef]
- Zis, P.; Julian, T.; Hadjivassiliou, M. Headache Associated with Coeliac Disease: A Systematic Review and Meta-Analysis. Nutrients 2018, 10, 1445. [Google Scholar] [CrossRef]
- Thawani, S.P.; Brannagan TH3rd Lebwohl, B.; Green, P.H.; Ludvigsson, J.F. Risk of Neuropathy Among 28,232 Patients with Biopsy-Verified Celiac Disease. JAMA Neurol. 2015, 72, 806–811. [Google Scholar] [CrossRef]
- Hadjivassiliou, M.; Sanders, D.D.; Aeschlimann, D.P. Gluten-related disorders: Gluten ataxia. Dig. Dis. 2015, 33, 264–268. [Google Scholar] [CrossRef]
- Yelland, G.W. Gluten-induced cognitive impairment (“brain fog”) in coeliac disease. J. Gastroenterol. Hepatol. 2017, 32, 90–93. [Google Scholar] [CrossRef] [PubMed]
- Julian, T.; Hadjivassiliou, M.; Zis, P. Gluten sensitivity and epilepsy: A systematic review. J. Neurol. 2019, 266, 1557–1565. [Google Scholar] [CrossRef] [PubMed]
- Lebwohl, B.; Söderling, J.; Roelstraete, B.; Lebwohl, M.G.; Green, P.H.R.; Ludvigsson, J.F. Risk of skin disorders in patients with celiac disease: A population-based cohort study. J. Am. Acad. Dermatol. 2021, 85, 1456–1464. [Google Scholar] [CrossRef] [PubMed]
- Silvester, J.A.; Graff, L.A.; Rigaux, L.; Walker, J.R.; Duerksen, D.R. Symptomatic suspected gluten exposure is common among patients with coeliac disease on a gluten-free diet. Aliment. Pharmacol. Ther. 2016, 44, 612–619. [Google Scholar] [CrossRef]
- Reunala, T.; Salmi, T.T.; Hervonen, K.; Kaukinen, K.; Collin, P. Dermatitis Herpetiformis: A Common Extraintestinal Manifestation of Coeliac Disease. Nutrients 2018, 10, 602. [Google Scholar] [CrossRef]
- Graziano, M.; Rossi, M. An update on the cutaneous manifestations of coeliac disease and non-coeliac gluten sensitivity. Int. Rev. Immunol. 2018, 37, 291–300. [Google Scholar] [CrossRef]
- Fousekis, F.S.; Katsanos, A.; Katsanos, K.H.; Christodoulou, D.K. Ocular manifestations in celiac disease: An overview. Int. Ophthalmol. 2020, 40, 1049–1054. [Google Scholar] [CrossRef]
- Kondapalli, A.V.; Walker, M.D. Celiac disease and bone. Arch. Endocrinol. Metab. 2022, 66, 756–764. [Google Scholar] [CrossRef]
- Hansen, S.; Schwarz, P.; Rumessen, J.; Linneberg, A.; Kårhus, L.L. Osteoporosis and bone fractures in patients with celiac disease: A nationwide cohort study. Bone 2023, 177, 116913. [Google Scholar] [CrossRef]
- Tovoli, F.; Pallotta, D.P.; Giamperoli, A.; Zavatta, G.; Skoracka, K.; Raiteri, A.; Faggiano, C.; Krela-Kaźmierczak, I.; Granito, A. Evolution of bone densitometry parameters and risk of fracture in coeliac disease: A 10-year perspective. Intern. Emerg. Med. 2023, 18, 1405–1414. [Google Scholar] [CrossRef]
- Zylberberg, H.M.; Lebwohl, B.; Green, P.H.R. Celiac Disease-Musculoskeletal Manifestations and Mechanisms in Children to Adults. Curr. Osteoporos. Rep. 2018, 16, 754–762. [Google Scholar] [CrossRef]
- Poddighe, D.; Zhubanova, G.; Galiyeva, D.; Mussina, K.; Forss, A. Prevalence of Joint Complaints in Patients with Celiac Disease: A Systematic Review and Meta-Analysis. J. Clin. Med. 2025, 14, 3740. [Google Scholar] [CrossRef] [PubMed]
- Forss, A.; Sotoodeh, A.; van Vollenhoven, R.F.; Ludvigsson, J.F. Prevalence of coeliac disease in patients with rheumatoid arthritis and juvenile idiopathic arthritis: A systematic review and meta-analysis. Clin. Exp. Rheumatol. 2024, 42, 608–618. [Google Scholar] [CrossRef]
- Milutinovic, S.; Jancic, P.; Adam, A.; Radovanovic, M.; Nordstrom, C.W.; Ward, M.; Petrovic, M.; Jevtic, D.; Delibasic, M.; Kotseva, M.; et al. Cardiomyopathy in Celiac Disease: A Systematic Review. J. Clin. Med. 2024, 13, 1045. [Google Scholar] [CrossRef] [PubMed]
- Emmanouilidou-Fotoulaki, E.; Kavga, M.; Delis, M.; Farmaki, E.; Agakidis, C.; Papadopoulou-Legbelou, K. Subclinical Myocardial Dysfunction in Pediatric and Adolescent Celiac Disease Patients: A Systematic Review and Meta-Analysis. Children 2025, 12, 441. [Google Scholar] [CrossRef] [PubMed]
- Saha, B.K.; Saha, S.; Bonnier, A.; Saha, B.N. Association between idiopathic pulmonary hemosiderosis and celiac disease in pediatric patients: A scoping review of the literature over the past 50 years. Pediatr. Pulmonol. 2022, 57, 1127–1144. [Google Scholar] [CrossRef]
- Khalili, M.; Shahraki Ghadimi, Z.; Shams-Al-Dini, J.; Mohammadi, M. Asthma, Atopic Dermatitis, and Allergic Rhinitis in Pediatric Celiac Disease: A Case-control Study. Iran. J. Allergy Asthma Immunol. 2025, 24, 587–592. [Google Scholar] [CrossRef]
- Rathore, S.S.; Shaikh, S.P.; Zaidi, H.R.; Salako, G.O.; Saravanan, C.R.; Kuranga, R.R.; Yagateela, N.; Bandala, S.T.; Jeswani, B.M. Association between celiac disease and risk of kidney diseases: A systematic review and meta-analysis. Minerva Gastroenterol. 2025, 71, 96–102. [Google Scholar] [CrossRef]
- Nurmi, R.; Korponay-Szabó, I.; Laurila, K.; Huhtala, H.; Niemelä, O.; Mustonen, J.; Mäkelä, S.; Kaukinen, K.; Lindfors, K. Celiac Disease-Type Tissue Transglutaminase Autoantibody Deposits in Kidney Biopsies of Patients with IgA Nephropathy. Nutrients 2021, 13, 1594. [Google Scholar] [CrossRef]
- Berry, N.; Basha, J.; Varma, N.; Varma, S.; Prasad, K.K.; Vaiphei, K.; Dhaka, N.; Sinha, S.K.; Kochhar, R. Anemia in celiac disease is multifactorial in etiology: A prospective study from India. JGH Open 2018, 2, 196–200. [Google Scholar] [CrossRef]
- Mahadev, S.; Laszkowska, M.; Sundström, J.; Björkholm, M.; Lebwohl, B.; Green, P.H.R.; Ludvigsson, J.F. Prevalence of Celiac Disease in Patients with Iron Deficiency Anemia-A Systematic Review with Meta-analysis. Gastroenterology 2018, 155, 374–382.e1. [Google Scholar] [CrossRef]
- Valvano, M.; Giansante, C.; Vinci, A.; Maurici, M.; Fabiani, S.; Stefanelli, G.; Cesaro, N.; Viscido, A.; Caloisi, C.; Latella, G. Persistence of anemia in patients with Celiac disease despite a gluten free diet: A retrospective study. BMC Gastroenterol. 2025, 25, 128. [Google Scholar] [CrossRef] [PubMed]
- Simons, M.; Scott-Sheldon, L.A.J.; Risech-Neyman, Y.; Moss, S.F.; Ludvigsson, J.F.; Green, P.H.R. Celiac Disease and Increased Risk of Pneumococcal Infection: A Systematic Review and Meta-Analysis. Am. J. Med. 2018, 131, 83–89. [Google Scholar] [CrossRef] [PubMed]
- Wieser, H.; Ciacci, C.; Soldaini, C.; Gizzi, C.; Pellegrini, L.; Santonicola, A. Fertility in Celiac Disease: The Impact of Gluten on Male and Female Reproductive Health. Nutrients 2025, 17, 1575. [Google Scholar] [CrossRef] [PubMed]
- Arvanitakis, K.; Siargkas, A.; Germanidis, G.; Dagklis, T.; Tsakiridis, I. Adverse pregnancy outcomes in women with celiac disease: A systematic review and meta-analysis. Ann. Gastroenterol. 2023, 36, 12–24. [Google Scholar] [CrossRef]
- Moawad, M.H.; Serag, I.; Shalaby, M.M.; Aissani, M.S.; Sadeq, M.A.; Hendi, N.I.; Elawfi, B.; Ghorab, R.M.F.; Mostafa, N.; Ibrahim, N.; et al. Anxiety and Depression Among Adults and Children with Celiac Disease: A Meta-Analysis of Different Psychiatry Scales. Psychiatr. Res. Clin. Pract. 2024, 6, 124–133. [Google Scholar] [CrossRef]
- Clappison, E.; Hadjivassiliou, M.; Zis, P. Psychiatric Manifestations of Coeliac Disease, a Systematic Review and Meta-Analysis. Nutrients 2020, 12, 142. [Google Scholar] [CrossRef]
- Skjellerudsveen, B.M.; Omdal, R.; Grimstad, T. Fatigue in celiac disease: A review of the literature. JGH Open 2019, 3, 242–248. [Google Scholar] [CrossRef]
- Skjellerudsveen, B.M.; Omdal, R.; Hetta, A.K.; Kvaløy, J.T.; Aabakken, L.; Skoie, I.M.; Grimstad, T. Fatigue: A frequent and biologically based phenomenon in newly diagnosed celiac disease. Sci. Rep. 2022, 12, 7281. [Google Scholar] [CrossRef]
- Jena, A.; Kumar-M, P.; Kumar, A.; Birda, C.L.; Choudhury, A.; Kumar, N.; Ramai, D.; Facciorusso, A.; Samanta, J. Liver abnormalities in celiac disease and response to gluten free diet: A systematic review and meta-analysis. J. Gastroenterol. Hepatol. 2023, 38, 11–22. [Google Scholar] [CrossRef]
- Hitawala, A.A.; Almomani, A.; Onwuzo, S.; Boustany, A.; Kumar, P.; Asaad, I. Prevalence of autoimmune, cholestatic and nonalcoholic fatty liver disease in celiac disease. Eur. J. Gastroenterol. Hepatol. 2023, 35, 1030–1036. [Google Scholar] [CrossRef] [PubMed]
- Haggård, L.; Glimberg, I.; Lebwohl, B.; Sharma, R.; Verna, E.C.; Green, P.H.R.; Ludvigsson, J.F. High prevalence of celiac disease in autoimmune hepatitis: Systematic review and meta-analysis. Liver Int. 2021, 41, 2693–2702. [Google Scholar] [CrossRef] [PubMed]
- Mårild, K.; Söderling, J.; Lebwohl, B.; Green, P.H.R.; Törnblom, H.; Simrén, M.; Staller, K.; Olén, O.; Ludvigsson, J.F. Association Between Celiac Disease and Irritable Bowel Syndrome: A Nationwide Cohort Study. Clin. Gastroenterol. Hepatol. 2024, 22, 1404–1415.e20. [Google Scholar] [CrossRef] [PubMed]
- Aly, M.; Liu, B.D.; Song, G. Medical and Demographic Characteristics of Patients with Eosinophilic Esophagitis and Celiac Disease: A Retrospective Cohort Study. J. Clin. Gastroenterol. 2024, 59, 985–991. [Google Scholar] [CrossRef]
- Husby, S.; Koletzko, S.; Korponay-Szabó, I.; Kurppa, K.; Mearin, M.L.; Ribes-Koninckx, C.; Shamir, R.; Troncone, R.; Auricchio, R.; Castillejo, G.; et al. European Society Paediatric Gastroenterology, Hepatology and Nutrition Guidelines for Diagnosing Coeliac Disease 2020. J. Pediatr. Gastroenterol. Nutr. 2020, 70, 141–156. [Google Scholar] [CrossRef]
- Rubio-Tapia, A.; Hill, I.D.; Semrad, C.; Kelly, C.P.; Greer, K.B.; Limketkai, B.N.; Lebwohl, B. American College of Gastroenterology Guidelines Update: Diagnosis and Management of Celiac Disease. Am. J. Gastroenterol. 2023, 118, 59–76. [Google Scholar] [CrossRef]
- Al-Toma, A.; Zingone, F.; Branchi, F.; Schiepatti, A.; Malamut, G.; Canova, C.; Rosato, I.; Ocagli, H.; Trott, N.; Elli, L.; et al. European Society for the Study of Coeliac Disease 2025 Updated Guidelines on the Diagnosis and Management of Coeliac Disease in Adults. Part 1: Diagnostic Approach. United Eur. Gastroenterol. J. 2025, 13, 1855–1886. [Google Scholar] [CrossRef]
- Sheppard, A.L.; Elwenspoek, M.M.C.; Scott, L.J.; Corfield, V.; Everitt, H.; Gillett, P.M.; Hay, A.D.; Jones, H.E.; Mallett, S.; Watson, J.; et al. Systematic review with meta-analysis: The accuracy of serological tests to support the diagnosis of coeliac disease. Aliment. Pharmacol. Ther. 2022, 55, 514–527. [Google Scholar] [CrossRef]
- Werkstetter, K.J.; Korponay-Szabó, I.R.; Popp, A.; Villanacci, V.; Salemme, M.; Heilig, G.; Lillevang, S.T.; Mearin, M.L.; Ribes-Koninckx, C.; Thomas, A.; et al. Accuracy in Diagnosis of Celiac Disease Without Biopsies in Clinical Practice. Gastroenterology 2017, 153, 924–935. [Google Scholar] [CrossRef]
- Deb, A.; Moond, V.; Thongtan, T.; Deliwala, S.; Chandan, S.; Mohan, B.P.; Adler, D.G. Role of Duodenal Bulb Biopsy in Diagnosing Suspected Celiac Disease in Adult Patients: A Systematic Review and Meta-analysis. J. Clin. Gastroenterol. 2024, 58, 588–595. [Google Scholar] [CrossRef]
- Cecilio, L.A.; Bonatto, M.W. The prevalence of HLA DQ2 and DQ8 in patients with celiac disease, in family and in general population. Arq. Bras. Cir. Dig. 2015, 28, 183–185. [Google Scholar] [CrossRef] [PubMed]
- Aboulaghras, S.; Piancatelli, D.; Taghzouti, K.; Balahbib, A.; Alshahrani, M.M.; Al Awadh, A.A.; Goh, K.W.; Ming, L.C.; Bouyahya, A.; Oumhani, K. Meta-Analysis and Systematic Review of HLA DQ2/DQ8 in Adults with Celiac Disease. Int. J. Mol. Sci. 2023, 24, 1188. [Google Scholar] [CrossRef] [PubMed]
- Sahin, Y.; Mermer, S. Frequency of celiac disease and distribution of HLA-DQ2/DQ8 haplotypes among siblings of children with celiac disease. World J. Clin. Pediatr. 2022, 11, 351–359. [Google Scholar] [CrossRef] [PubMed]
- Castro-Antunes, M.M.; Crovella, S.; Brandão, L.A.; Guimaraes, R.L.; Motta, M.E.; Silva, G.A. Frequency distribution of HLA DQ2 and DQ8 in celiac patients and first-degree relatives in Recife, northeastern Brazil. Clinics 2011, 66, 227–231. [Google Scholar] [CrossRef]
- Tamai, T.; Ihara, K. Celiac Disease Genetics, Pathogenesis, and Standard Therapy for Japanese Patients. Int. J. Mol. Sci. 2023, 24, 2075. [Google Scholar] [CrossRef]
- Shiha, M.G.; Yusuf, A.; Sanders, D.S. Role of endoscopy in the diagnosis of coeliac disease: A narrative review. Transl. Gastroenterol. Hepatol. 2024, 9, 51. [Google Scholar] [CrossRef]
- Enache, I.; Nedelcu, I.C.; Balaban, M.; Balaban, D.V.; Popp, A.; Jinga, M. Diagnostic Challenges in Enteropathies: A Histopathological Review. Diagnostics 2025, 15, 1511. [Google Scholar] [CrossRef]
- Schiepatti, A.; Sanders, D.S.; Baiardi, P.; Caio, G.; Ciacci, C.; Kaukinen, K.; Lebwohl, B.; Leffler, D.; Malamut, G.; Murray, J.A.; et al. Nomenclature and diagnosis of seronegative coeliac disease and chronic non-coeliac enteropathies in adults: The Paris consensus. Gut 2022, 71, 2218–2225. [Google Scholar] [CrossRef]
- Schiepatti, A.; Rej, A.; Maimaris, S.; Cross, S.S.; Porta, P.; Aziz, I.; Key, T.; Goodwin, J.; Therrien, A.; Yoosuf, S.; et al. Clinical classification and long-term outcomes of seronegative coeliac disease: A 20-year multicentre follow-up study. Aliment. Pharmacol. Ther. 2021, 54, 1278–1289. [Google Scholar] [CrossRef]
- Luque, V.; Crespo-Escobar, P.; Hård Af Segerstad, E.M.; Koltai, T.; Norsa, L.; Roman, E.; Vreugdenhil, A.; Fueyo-Díaz, R.; Ribes-Koninckx, C. Gluten-free diet for pediatric patients with coeliac disease: A position paper from the ESPGHAN gastroenterology committee, special interest group in coeliac disease. J. Pediatr. Gastroenterol. Nutr. 2024, 78, 973–995. [Google Scholar] [CrossRef]
- Di Tola, M.; Bontkes, H.J.; Irure-Ventura, J.; López-Hoyos, M.; Bizzaro, N. The follow-up of patients with celiac disease. J. Transl. Autoimmun. 2025, 10, 100278. [Google Scholar] [CrossRef] [PubMed]
- Russell, A.K.; Lucas, E.C.; Henneken, L.M.; Pizzey, C.J.; Clarke, D.; Myleus, A.; Tye-Din, J.A. Stool Gluten Peptide Detection Is Superior to Urinary Analysis, Coeliac Serology, Dietary Adherence Scores and Symptoms in the Detection of Intermittent Gluten Exposure in Coeliac Disease: A Randomised, Placebo-Controlled, Low-Dose Gluten Challenge Study. Nutrients 2024, 16, 279. [Google Scholar] [CrossRef] [PubMed]
- Yoosuf, S.; Makharia, G.K. Evolving Therapy for Celiac Disease. Front. Pediatr. 2019, 7, 193. [Google Scholar] [CrossRef] [PubMed]
- Massironi, S.; Franchina, M.; Elvevi, A.; Barisani, D. Beyond the gluten-free diet: Innovations in celiac disease therapeutics. World J. Gastroenterol. 2024, 30, 4194–4210. [Google Scholar] [CrossRef]
- Verdelho Machado, M. Refractory Celiac Disease: What the Gastroenterologist Should Know. Int. J. Mol. Sci. 2024, 25, 10383. [Google Scholar] [CrossRef]
- Malamut, G.; Soderquist, C.R.; Bhagat, G.; Cerf-Bensussan, N. Advances in Nonresponsive and Refractory Celiac Disease. Gastroenterology 2024, 167, 132–147. [Google Scholar] [CrossRef]
- Packova, B.; Kohout, P.; Dastych, M.; Prokesova, J.; Grolich, T.; Kroupa, R. Malignant complications of celiac disease: A case series and review of the literature. J. Med. Case Rep. 2022, 16, 460. [Google Scholar] [CrossRef]
- Volta, U.; Vincentini, O.; Silano, M.; Collaborating Centers of the Italian Registry of Celiac Disease. Papillary cancer of thyroid in celiac disease. J. Clin. Gastroenterol. 2011, 45, e44–e46. [Google Scholar] [CrossRef]
- Ludvigsson, J.F.; Lebwohl, B.; Kämpe, O.; Murray, J.A.; Green, P.H.; Ekbom, A. Risk of thyroid cancer in a nationwide cohort of patients with biopsy-verified celiac disease. Thyroid 2013, 23, 971–976. [Google Scholar] [CrossRef]
- Ivanova, M.; Bottiglieri, L.; Sajjadi, E.; Venetis, K.; Fusco, N. Malignancies in Patients with Celiac Disease: Diagnostic Challenges and Molecular Advances. Genes 2023, 14, 376. [Google Scholar] [CrossRef]







| High-Risk Group |
|---|
| First-degree relatives |
| Second-degree relatives |
| Type 1 diabetes (children) |
| Autoimmune thyroiditis |
| Juvenile idiopathic arthritis |
| Autoimmune hepatitis |
| Selective IgA deficiency |
| Down syndrome |
| Turner syndrome |
| Williams syndrome |
| Symptom Type | Children (Classic) | Adults (Classic) |
|---|---|---|
| Gastrointestinal | Chronic diarrhea, abdominal bloating, distention, steatorrhea, vomiting | Chronic diarrhea or constipation, bloating, abdominal discomfort, steatorrhea (less prominent than in children) |
| Growth/Nutrition | Failure to thrive, weight loss, short stature, delayed puberty | Weight loss (may be mild), anemia, nutrient deficiencies (iron, folate, B12, vitamin D) |
| Systemic | Fatigue, irritability, pallor | Fatigue, weakness, iron-deficiency anemia, osteoporosis/osteopenia |
| When/Why to Test | Adults (ESsCD 2025) [137] | Children/Adolescents (ESPGHAN 2020) [135] |
|---|---|---|
| Symptoms suggestive of CD (gastrointestinal or malabsorption) | GI symptoms (chronic diarrhea/steatorrhea, weight loss, bloating, abdominal pain), malabsorption, iron-deficiency, steatorrhea, etc. | Chronic or intermittent diarrhea/constipation, recurrent vomiting/nausea, chronic abdominal pain or distension, unexplained growth failure or failure to thrive. |
| Extra-intestinal signs/non-classical manifestations (e.g., anemia, bone disease, liver, skin, neuro) | Unexplained iron-deficiency anemia, osteopenia/osteoporosis, unexplained elevated liver enzymes, dermatitis herpetiformis, neurological symptoms, etc. | Iron-deficiency anemia, short stature, delayed puberty, bone demineralization/fractures, dental enamel defects, recurrent aphthous stomatitis, persistent fatigue/irritability, skin manifestations like dermatitis, unexplained liver abnormalities, etc. |
| High-risk/at-risk groups (even if asymptomatic or mild symptoms) | First-degree relatives of people with CD; people with associated conditions (e.g., certain autoimmune diseases) or other risk factors, especially if clinical context suggests it. The 2025 ESsCD also emphasizes a “case-finding” rather than mass population screening. | First-degree relatives with CD; children/adolescents with conditions associated with increased CD risk, e.g., type 1 diabetes, autoimmune thyroid disease or autoimmune liver disease, certain genetic syndromes (trisomies/chromosomal disorders as per national guidance), IgA deficiency or other immunologic risks. |
Disclaimer/Publisher’s Note: The statements, opinions and data contained in all publications are solely those of the individual author(s) and contributor(s) and not of MDPI and/or the editor(s). MDPI and/or the editor(s) disclaim responsibility for any injury to people or property resulting from any ideas, methods, instructions or products referred to in the content. |
© 2026 by the authors. Published by MDPI on behalf of the Lithuanian University of Health Sciences. Licensee MDPI, Basel, Switzerland. This article is an open access article distributed under the terms and conditions of the Creative Commons Attribution (CC BY) license.
Share and Cite
Rogalidou, M.; Christodoulou, D. Unraveling the Complexity of Celiac Disease: A Narrative Review of Its Multisystem Nature. Medicina 2026, 62, 120. https://doi.org/10.3390/medicina62010120
Rogalidou M, Christodoulou D. Unraveling the Complexity of Celiac Disease: A Narrative Review of Its Multisystem Nature. Medicina. 2026; 62(1):120. https://doi.org/10.3390/medicina62010120
Chicago/Turabian StyleRogalidou, Maria, and Dimitrios Christodoulou. 2026. "Unraveling the Complexity of Celiac Disease: A Narrative Review of Its Multisystem Nature" Medicina 62, no. 1: 120. https://doi.org/10.3390/medicina62010120
APA StyleRogalidou, M., & Christodoulou, D. (2026). Unraveling the Complexity of Celiac Disease: A Narrative Review of Its Multisystem Nature. Medicina, 62(1), 120. https://doi.org/10.3390/medicina62010120

