Prognostic Impact of Klintrup–Mäkinen (KM) Score in Gastric Cancer and Its Association with Pathological Parameters
Abstract
1. Introduction
2. Materials and Method
2.1. Study Design and Case Selection
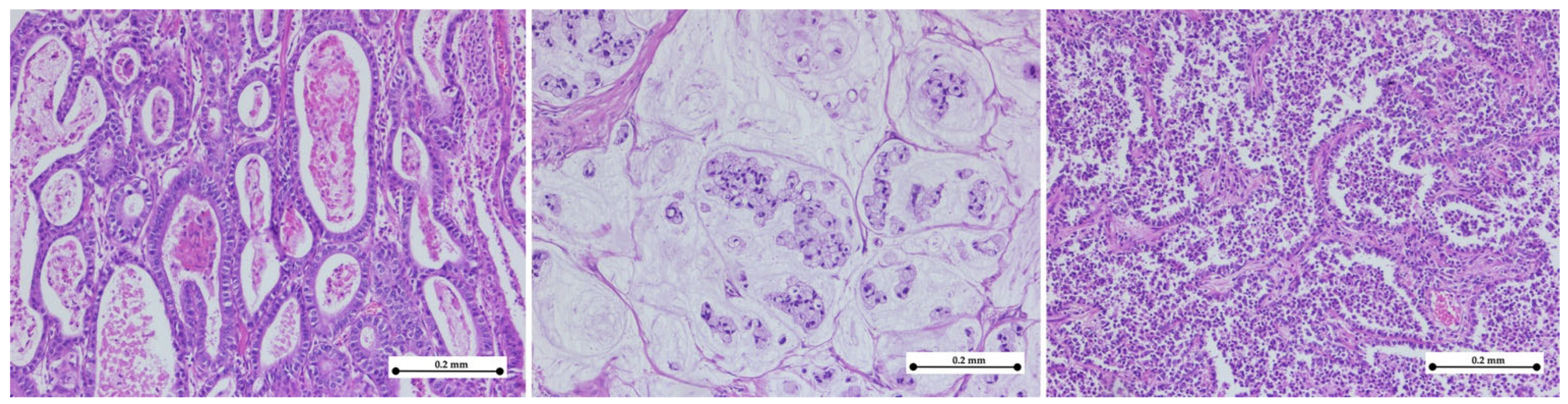
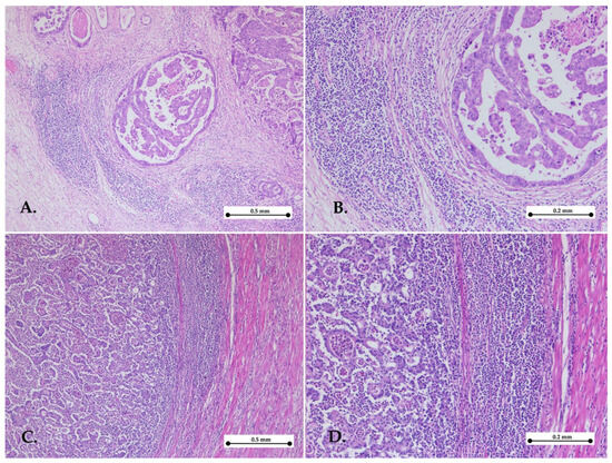
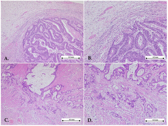
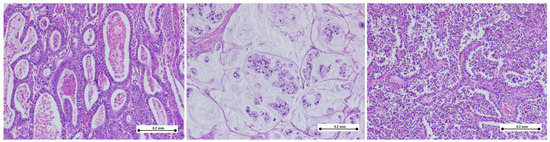
2.2. Pathohistological Assessment
2.3. Statistical Analysis
3. Results
4. Discussion
Future Perspectives and Study Limitations
5. Conclusions
Author Contributions
Funding
Institutional Review Board Statement
Informed Consent Statement
Data Availability Statement
Acknowledgments
Conflicts of Interest
References
- Kuntz, S.; Krieghoff-Henning, E.; Kather, J.N.; Jutzi, T.; Höhn, J.; Kiehl, L.; Hekler, A.; Alwers, E.; von Kalle, C.; Fröhling, S.; et al. Gastrointestinal cancer classification and prognostication from histology using deep learning: Systematic review. Eur. J. Cancer 2021, 154, 200–215. [Google Scholar] [CrossRef]
- Sung, H.; Ferlay, J.; Siegel, R.L.; Laversanne, M.; Soerjomataram, I.; Jemal, A.; Bray, F. Global Cancer Statistics 2020: GLOBOCAN Estimates of Incidence and Mortality Worldwide for 36 Cancers in 185 Countries. CA Cancer J. Clin. 2021, 71, 209–249. [Google Scholar] [CrossRef]
- Thrift, A.P.; Wenker, T.N.; El-Serag, H.B. Global burden of gastric cancer: Epidemiological trends, risk factors, screening and prevention. Nat. Rev. Clin. Oncol. 2023, 20, 338–349. [Google Scholar] [CrossRef]
- World Health Organization. WHO Classification of Tumours of the Digestive System, 5th ed.; International Agency for Research on Cancer: Lyon, France, 2019; Volume 1.
- Ma, M.; Chen, X.; Wang, L.; Zhang, Y.; Li, X.; Wang, Y. The Immune Microenvironment in Gastric Cancer: Prognostic Prediction. Front. Oncol. 2022, 12, 836389. [Google Scholar] [CrossRef]
- Zurlo, I.V.; Schino, M.; Strippoli, A.; Calegari, M.A.; Cocomazzi, A.; Cassano, A.; Pozzo, C.; Di Salvatore, M.; Ricci, R.; Barone, C.; et al. Predictive value of NLR, TILs (CD4+/CD8+) and PD-L1 expression for prognosis and response to preoperative chemotherapy in gastric cancer. Cancer Immunol. Immunother. 2022, 71, 45–55. [Google Scholar] [CrossRef]
- Zou, Y.; Wang, J.; Zhang, J.; Guo, Q.; Song, Z.; Tang, H. Prognostic value of PD-L1 expression and CD68 macrophages in tumor nest of patients with primary gastric cancer. Oncol. Lett. 2024, 27, 20. [Google Scholar] [CrossRef]
- Jakab, A.; Patai, Á.V.; Darvas, M.; Tormássi-Bély, K.; Micsik, T. Microenvironment, systemic inflammatory response and tumor markers considering consensus molecular subtypes of colorectal cancer. Pathol. Oncol. Res. 2024, 30, 1611574. [Google Scholar] [CrossRef]
- Guan, W.-L.; Ma, Y.; Cui, Y.-H.; Liu, T.-S.; Zhang, Y.-Q.; Zhou, Z.-W.; Xu, J.-Y.; Yang, L.-Q.; Li, J.-Y.; Sun, Y.-T.; et al. The Impact of Mismatch Repair Status on Prognosis of Patients With Gastric Cancer: A Multicenter Analysis. Front. Oncol. 2021, 11, 712760. [Google Scholar] [CrossRef]
- Salnikov, M.Y.; MacNeil, K.M.; Mymryk, J.S. The viral etiology of EBV-associated gastric cancers contributes to their unique pathology, clinical outcomes, treatment responses and immune landscape. Front. Immunol. 2024, 15, 1358511. [Google Scholar] [CrossRef]
- de Rosa, S.; Sahnane, N.; Tibiletti, M.G.; Magnoli, F.; Vanoli, A.; Sessa, F.; Chiaravalli, A.M. EBV+ and MSI gastric cancers Harbor high PD-L1/PD-1 expression and high CD8+ intratumoral lymphocytes. Cancers 2018, 10, 102. [Google Scholar] [CrossRef]
- Lin, Y.; Xu, J.; Lan, H. Immune cell infiltration signatures identified molecular subtypes and underlying mechanisms in gastric cancer. NPJ Genom. Med. 2021, 6, 83. [Google Scholar] [CrossRef]
- Cozac-Szőke, A.-R.; Cozac, D.A.; Negovan, A.; Tinca, A.C.; Vilaia, A.; Cocuz, I.-G.; Sabău, A.H.; Niculescu, R.; Chiorean, D.M.; Tomuț, A.N.; et al. Immune Cell Interactions and Immune Checkpoints in the Tumor Microenvironment of Gastric Cancer. Int. J. Mol. Sci. 2025, 26, 1156. [Google Scholar] [CrossRef]
- Väyrynen, J.P.; Tuomisto, A.; Klintrup, K.; Mäkelä, J.; Karttunen, T.J.; Mäkinen, M.J. Detailed analysis of inflammatory cell infiltration in colorectal cancer. Br. J. Cancer 2013, 109, 1839–1847. [Google Scholar] [CrossRef]
- Hwang, H.W.; Jung, H.J.; Lee, J.H.; Kim, M.K.; Park, E.S.; Hong, S.A. Prognostic effects of histology-based tumour microenvironment scores in resected distal bile duct cancer. Histopathology 2020, 77, 402–412. [Google Scholar] [CrossRef]
- Nakabayashi, Y. A novel semi-quantitative scoring method for CD8+ tumor-infiltrating lymphocytes based on infiltration sites in gastric cancer. Am. J. Cancer Res. 2024, 14, 5965–5986. [Google Scholar] [CrossRef]
- Ahn, B.; Chae, Y.S.; Kim, C.H.; Lee, Y.; Lee, J.H.; Kim, J.Y. Tumor microenvironmental factors have prognostic significances in advanced gastric cancer. APMIS 2018, 126, 814–821. [Google Scholar] [CrossRef]
- Kemi, N.; Hiltunen, N.; Väyrynen, J.P.; Pohjanen, V.-M.; Helminen, O.; Junttila, A.; Mrena, J.; Böhm, J.; Huhta, H.; Leppänen, J.; et al. Immune cell infiltrate and prognosis in gastric cancer. Cancers 2020, 12, 3604. [Google Scholar] [CrossRef]
- Jia, K.; Chen, Y.; Sun, Y.; Hu, Y.; Jiao, L.; Ma, J.; Yuan, J.; Qi, C.; Li, Y.; Gong, J.; et al. Multiplex immunohistochemistry defines the tumor immune microenvironment and immunotherapeutic outcome in CLDN18.2-positive gastric cancer. BMC Med. 2022, 20, 223. [Google Scholar] [CrossRef]
- Jia, K.; Chen, Y.; Xie, Y.; Chong, X.; Li, Y.; Wu, Y.; Jiajia Yuan, J.; Yanyan Li, Y.; Xujiao Feng, X.; Hu, Y.; et al. Multidimensional immune profiling in Gastric Cancer Multiplex Immunohistochemistry Atlas from Peking University Cancer Hospital project informs PD-1/PD-L1 blockade efficacy. Eur. J. Cancer 2023, 189, 112931. [Google Scholar] [CrossRef]
- Piroozkhah, M.; Gholinezhad, Y.; Piroozkhah, M.; Shams, E.; Nazemalhosseini-Mojarad, E. The molecular mechanism of actions and clinical utilities of tumor infiltrating lymphocytes in gastrointestinal cancers: A comprehensive review and future prospects toward personalized medicine. Front. Immunol. 2023, 14, 1298891. [Google Scholar] [CrossRef]
- Zhai, Z.; Zhu, Z.Y.; Zhang, Y.; Yin, X.; Han, B.L.; Gao, J.L.; Lou, S.H.; Fang, T.Y.; Wang, Y.M.; Li, C.F.; et al. Prognostic significance of Borrmann type combined with vessel invasion status in advanced gastric cancer. World J. Gastrointest. Oncol. 2020, 12, 992–1004. [Google Scholar] [CrossRef]
- Zhao, S.; Lv, L.; Zheng, K.; Tian, Y.; Zheng, J.C.; Jiang, C.G. Prognosis and Biological Behavior of Gastric Signet-Ring Cell Carcinoma Better or Worse: A Meta-Analysis. Front. Oncol. 2021, 11, 603070. [Google Scholar] [CrossRef]
- Sirody, J.; Kaji, A.H.; Hari, D.M.; Chen, K.T. Patterns of gastric cancer metastasis in the United States. Am. J. Surg. 2022, 224, 445–448. [Google Scholar] [CrossRef]
- Zhang, D.; He, W.; Wu, C.; Tan, Y.; He, Y.; Xu, B.; Chen, L.; Li, Q.; Jiang, J. Scoring system for tumor-infiltrating lymphocytes and its prognostic value for gastric cancer. Front. Immunol. 2019, 10, 71. [Google Scholar] [CrossRef]
- Szőke, A.; Mocan, S.; Negovan, A. Helicobacter pylori infection over bile reflux: No influence on the severity of endoscopic or premalignant gastric lesion development. Exp. Ther. Med. 2021, 22, 766. [Google Scholar] [CrossRef]
- Negovan, A.; Szőke, A.R.; Mocan, S.; Bănescu, C. Helicobacter pylori-Positive Gastric Biopsies—Association with Clinical Predictors. Life 2022, 12, 1789. [Google Scholar] [CrossRef]
- Zhen, Z.; Shen, Z.; Sun, P. Dissecting the Role of Immune Checkpoint Regulation Patterns in Tumor Microenvironment and Prognosis of Gastric Cancer. Front. Genet. 2022, 13, 853648. [Google Scholar] [CrossRef]
- Burz, C.; Pop, V.; Silaghi, C.; Lupan, I.; Samasca, G. Prognosis and Treatment of Gastric Cancer: A 2024 Update. Cancers 2024, 16, 1708. [Google Scholar] [CrossRef]
- Westwood, A.C.; Wilson, B.I.; Jon Laye, J.; Heike, I.; Grabsch, H.I.; Mueller, W.; Derek, R.; Magee, D.R.; Phillip Quirke, P.; West, N.P. Deep-learning enabled combined measurement of tumour cell density and tumour infiltrating lymphocyte density as a prognostic biomarker in colorectal cancer. BJC Rep. 2025, 3, 12. [Google Scholar] [CrossRef]
- Liu, X.X.; Su, J.; Long, Y.Y.; He, M.; Zhu, Z.Q. Perioperative risk factors for survival outcomes in elective colorectal cancer surgery: A retrospective cohort study. BMC Gastroenterol. 2021, 21, 169. [Google Scholar] [CrossRef]
- Hong, S.A.; Lee, H.J.; Kim, O.-H.; Hong, M.; Kim, J.W.; Kim, J.Y. MicroRNA-206 overexpression is associated with a prominent inflammatory reaction and a favorable colorectal cancer prognosis. Pathol. Res. Pract. 2024, 263, 155573. [Google Scholar] [CrossRef] [PubMed]




| Variable | Patients with Low KM Grades n = 62 | Patients with High KM Grades n = 71 | p-Value * | OR | 95% CI | ||
|---|---|---|---|---|---|---|---|
| n | % | n | % | ||||
| Gender | 0.55 | 1.3 | 0.61 to 2.73 | ||||
| Males | 47 | 75.8 | 50 | 70.4 | |||
| Females | 15 | 24.2 | 21 | 29.6 | |||
| Age | 0.85 | 0.89 | 0.43 to 1.86 | ||||
| ≥65 years | 38 | 61.2 | 46 | 64.7 | |||
| <65 years | 23 | 38.8 | 25 | 35.3 | |||
| Gastrectomy | 0.85 | 1.1 | 0.53 to 2.31 | ||||
| Total | 28 | 45.1 | 26 | 36.6 | |||
| Partial | 34 | 54.9 | 45 | 63.4 | |||
| Borrmann clasification | 0.01 | 2.57 | 1.20 to 5.26 | ||||
| III and IV | 47 | 75.8 | 39 | 54.9 | |||
| I and II | 15 | 24.2 | 32 | 45.1 | |||
| Size | 0.48 | 1.32 | 0.68 to 2.60 | ||||
| ≥5 cm | 34 | 54.8 | 34 | 47.8 | |||
| <5 cm | 28 | 45.2 | 37 | 52.2 | |||
| Histological grade | |||||||
| G3 (poorly differentiated) | 46 | 74.1 | 24 | 33.8 | <0.0001 | 5.6 | 2.63 to 11.39 |
| G1/G2 (well/moderately differentiated) | 16 | 25.9 | 47 | 66.2 | |||
| Depth of invasion (pT stage) | 0.04 | 3.5 | 1.11 to 10.33 | ||||
| pT3–4 | 58 | 93.5 | 57 | 80.2 | |||
| pT1–2 | 4 | 6,5 | 14 | 19.8 | |||
| Lymph node status (pN stage) | 0.0008 | 4.3 | 1.80 to 10.19 | ||||
| pN1–3 | 54 | 87 | 43 | 60.5 | |||
| pN0 | 8 | 13 | 28 | 39.5 | |||
| Distant metastasis (pM stage) | 0.49 | 1.4 | 0.61 to 3.4 | ||||
| pM1 | 13 | 21 | 11 | 15.4 | |||
| pM0 | 49 | 79 | 60 | 84.6 | |||
| Lymphatic invasion | 0.001 | 3.66 | 1.69 to 7.82 | ||||
| Present | 49 | 79 | 36 | 50.7 | |||
| Absent | 13 | 21 | 35 | 49.3 | |||
| Venous invasion | 0.02 | 2.37 | 1.18 to 4.65 | ||||
| Present | 32 | 51.6 | 22 | 30.9 | |||
| Absent | 30 | 48.4 | 49 | 69.1 | |||
| Perineural invasion | 0.001 | 3.4 | 1.60 to 7.18 | ||||
| Present | 31 | 50 | 16 | 22.5 | |||
| Absent | 31 | 50 | 55 | 77.5 | |||
| Surgical margins | 0.02 | 2.59 | 1.09 to 5.74 | ||||
| Positive | 20 | 32.2 | 11 | 15.4 | |||
| Negative | 42 | 67.8 | 60 | 84.6 | |||
| Variable | Patients with Low KM Grades n = 62 | Patients with High KM Grades n = 71 | p-Value * | OR | 95% CI | ||
|---|---|---|---|---|---|---|---|
| n | % | n | % | ||||
| H. pylori status | |||||||
| Positive | 11 | 17.7 | 11 | 15.4 | 0.8 | 1.17 | 0.47 to 2.92 |
| Negative | 51 | 82.3 | 60 | 84.6 | |||
| Inflammation | |||||||
| Active inflammation | 24 | 38.7 | 32 | 45 | 0.48 | 0.76 | 0.38 to 1.52 |
| Chronic inflammation | 38 | 61.3 | 39 | 55 | |||
| Glandular atrophy | |||||||
| Yes | 40 | 64.5 | 45 | 63.4 | >0.99 | 1.05 | 0.51 to 2.91 |
| No | 22 | 35.5 | 26 | 36.6 | |||
| Complete intestinal metaplasia | |||||||
| Yes | 33 | 53.2 | 37 | 52.1 | >0.99 | 1.04 | 0.53 to 2.04 |
| No | 29 | 46.8 | 34 | 47.9 | |||
| Incomplete intestinal metaplasia | |||||||
| Yes | 36 | 58 | 48 | 67.6 | 0.2 | 0.66 | 0.31 to 1.35 |
| No | 26 | 42 | 23 | 32.4 | |||
Disclaimer/Publisher’s Note: The statements, opinions and data contained in all publications are solely those of the individual author(s) and contributor(s) and not of MDPI and/or the editor(s). MDPI and/or the editor(s) disclaim responsibility for any injury to people or property resulting from any ideas, methods, instructions or products referred to in the content. |
© 2025 by the authors. Published by MDPI on behalf of the Lithuanian University of Health Sciences. Licensee MDPI, Basel, Switzerland. This article is an open access article distributed under the terms and conditions of the Creative Commons Attribution (CC BY) license (https://creativecommons.org/licenses/by/4.0/).
Share and Cite
Cozac-Szőke, A.-R.; Radu, G.-N.; Negovan, A.; Cozac, D.A.; Turdean, S.; Tinca, A.-C.; Szász, E.-A.; Cocuz, I.-G.; Sabău, A.-H.; Niculescu, R.; et al. Prognostic Impact of Klintrup–Mäkinen (KM) Score in Gastric Cancer and Its Association with Pathological Parameters. Medicina 2025, 61, 715. https://doi.org/10.3390/medicina61040715
Cozac-Szőke A-R, Radu G-N, Negovan A, Cozac DA, Turdean S, Tinca A-C, Szász E-A, Cocuz I-G, Sabău A-H, Niculescu R, et al. Prognostic Impact of Klintrup–Mäkinen (KM) Score in Gastric Cancer and Its Association with Pathological Parameters. Medicina. 2025; 61(4):715. https://doi.org/10.3390/medicina61040715
Chicago/Turabian StyleCozac-Szőke, Andreea-Raluca, Georgian-Nicolae Radu, Anca Negovan, Dan Alexandru Cozac, Sabin Turdean, Andreea-Cătălina Tinca, Emőke-Andrea Szász, Iuliu-Gabriel Cocuz, Adrian-Horațiu Sabău, Raluca Niculescu, and et al. 2025. "Prognostic Impact of Klintrup–Mäkinen (KM) Score in Gastric Cancer and Its Association with Pathological Parameters" Medicina 61, no. 4: 715. https://doi.org/10.3390/medicina61040715
APA StyleCozac-Szőke, A.-R., Radu, G.-N., Negovan, A., Cozac, D. A., Turdean, S., Tinca, A.-C., Szász, E.-A., Cocuz, I.-G., Sabău, A.-H., Niculescu, R., Chiorean, D. M., Tomuț, A. N., & Cotoi, O. S. (2025). Prognostic Impact of Klintrup–Mäkinen (KM) Score in Gastric Cancer and Its Association with Pathological Parameters. Medicina, 61(4), 715. https://doi.org/10.3390/medicina61040715

