The Incidence and Clinical Characteristics of Interstitial Lung Disease Associated with CDK4/6 Inhibitors in Breast Cancer Patients: A Retrospective Multicenter Study
Abstract
1. Introduction
2. Materials and Methods
2.1. Study Design and Data Collection
2.2. Study Population
2.3. Ethical Approval
2.4. Statistical Analysis
3. Results
3.1. Baseline Characteristics
3.2. Evaluation of the Characteristics of Patients Diagnosed with Interstitial Lung Disease Associated with CDK4/6 Inhibitors
| Patient ID | ILD Subtype | CDK4/6 Inhibitor Type | Radiological |
|---|---|---|---|
| Findings | |||
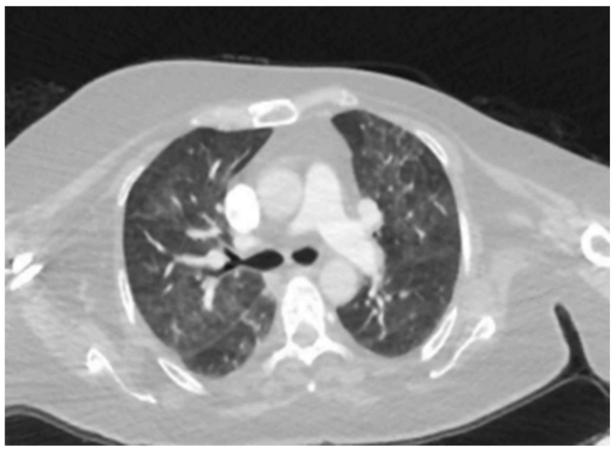
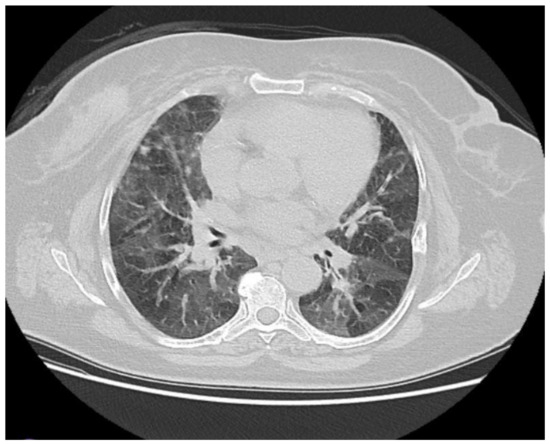
| Patient 1 | Hypersensitivity | Ribociclib | Upper lobe- |
| Pneumonitis (HP) | predominant mosaic attenuation, air | ||
| trapping, | |||
| centrilobular | |||
| nodules, and | |||
| ground-glass | |||
| opacities. (Figure 1) | |||
| Patient 2 | Hypersensitivity | Ribociclib | Mosaic attenuation, air |
| Pneumonitis (HP) | trapping, | ||
| centrilobular | |||
| nodules, and | |||
| ground-glass | |||
| opacities. Upper and middle lobe- | |||
| predominant. | |||
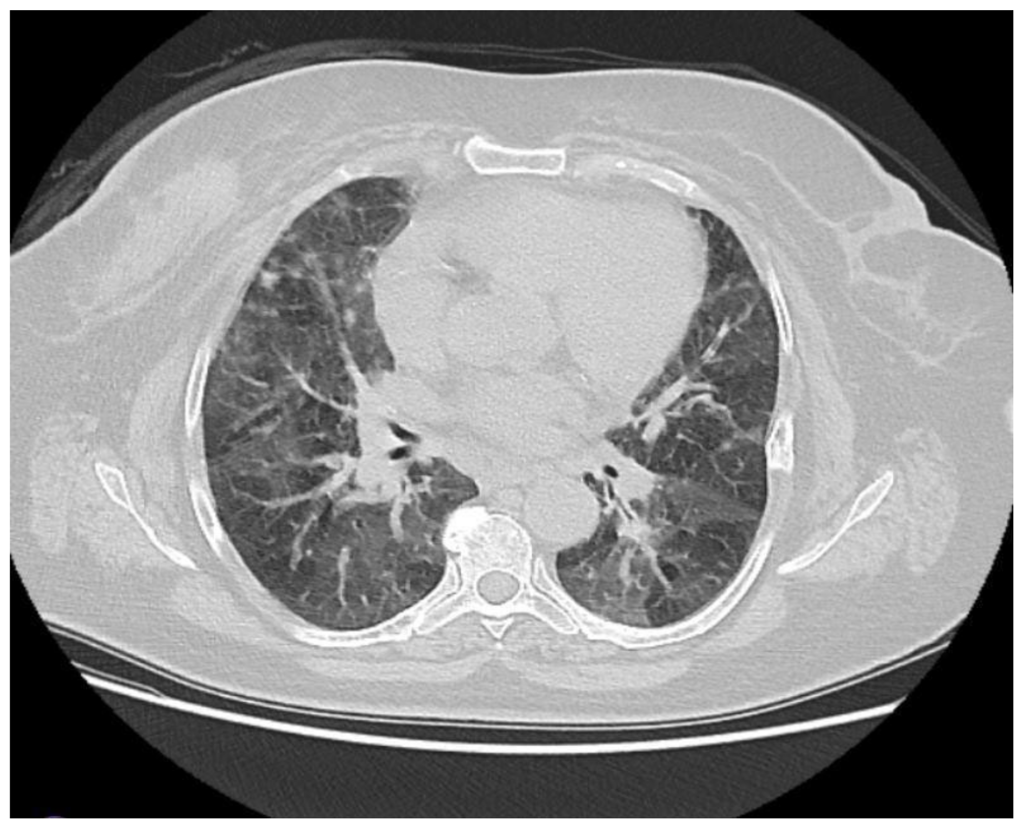
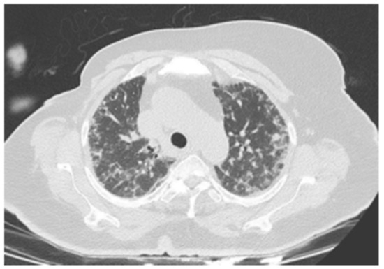
| Patient 3 | Hypersensitivity | Ribociclib | Bilateral lobe, air |
| Pneumonitis (HP) | trapping, | ||
| centrilobular | |||
| nodules, and | |||
| ground-glass | |||
| opacities. (Figure 2) | |||
| Patient 4 | Hypersensitivity | Ribociclib | Bilateral mosaic attenuation, air |
| Pneumonitis (HP) | trapping, | ||
| centrilobular | |||
| nodules, and | |||
| ground-glass | |||
| opacities. | |||
| Patient 5 | Nonspecific | Ribociclib | |
| Interstitial | Bilateral | ||
| Pneumonia (NSIP) | symmetrical | ||
| ground-glass | |||
| opacities, reticular densities, and | |||
| traction | |||
| bronchiectasis. | |||
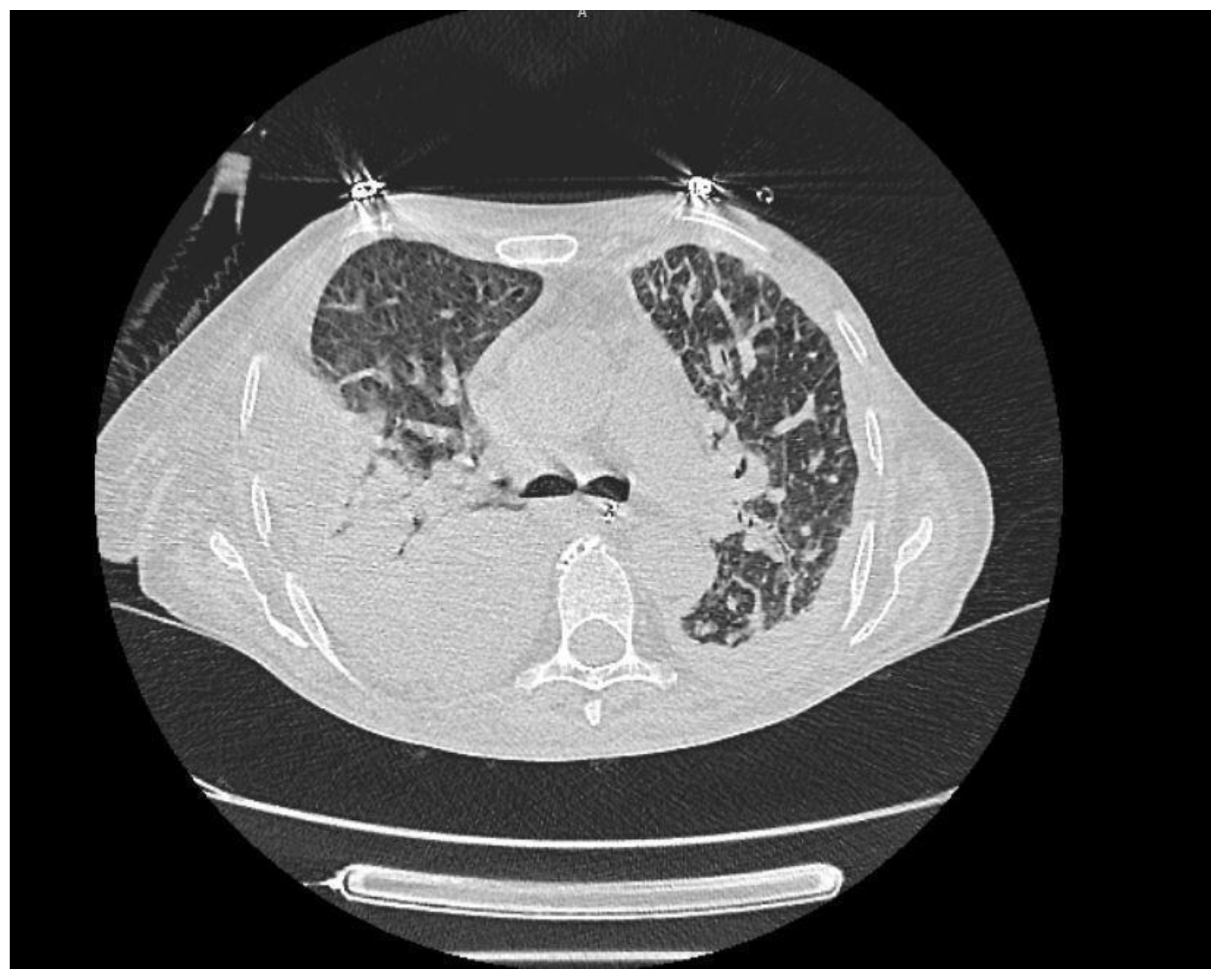
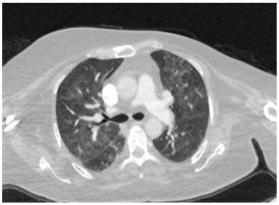
| Patient 6 | Nonspecific | Palbociclib | Bilateral |
| Interstitial Pneumonia (NSIP) | symmetrical | ||
| ground-glass | |||
| opacities, reticular densities, and | |||
| traction | |||
| bronchiectasis. (Figure 3) | |||
| Patient 7 | Nonspecific | Palbociclib | Lower lobe- |
| Interstitial | predominant, | ||
| Pneumonia (NSIP) | bilateral | ||
| symmetrical | |||
| ground-glass | |||
| opacities, reticular densities, and | |||
| traction | |||
| bronchiectasis. | |||
| Patient 8 | Nonspecific | Palbociclib | Lower lobe- |
| Interstitial | predominant, | ||
| Pneumonia (NSIP) | bilateral | ||
| symmetrical | |||
| ground-glass | |||
| opacities, reticular densities, and | |||
| traction | |||
| bronchiectasis. | |||
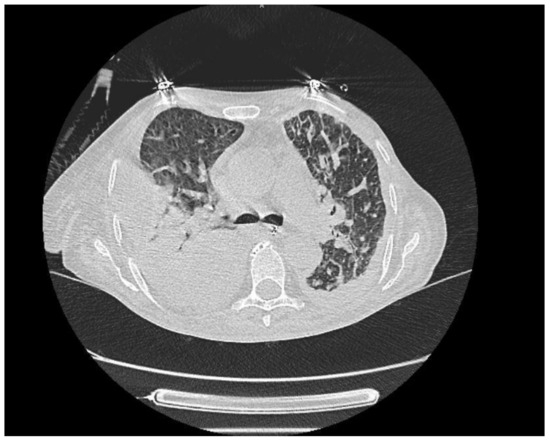
| Patient 9 | Acute Interstitial Pneumonia/ARDS (AIP-ARDS) | Palbociclib | Ground-glass opacities, |
| consolidations, and honeycombing. (Figure 4) | |||
| Patient 10 | Acute Interstitial Pneumonia/ARDS (AIP-ARDS) | Palbociclib | Diffuse ground-glass opacities, |
| consolidations, and honeycombing. |
3.3. Evaluation of Characteristics of Patients Diagnosed with Interstitial Lung Disease Associated with CDK4/6 Inhibitors
4. Discussion
Limitations
5. Conclusions
Author Contributions
Funding
Institutional Review Board Statement
Informed Consent Statement
Data Availability Statement
Conflicts of Interest
References
- Siegel, R.L.; Miller, K.D.; Wagle, N.S.; Jemal, A. Cancer statistics, 2023. CA Cancer J. Clin. 2023, 73, 17–48. [Google Scholar] [CrossRef]
- World Health Organization. Breast Cancer. 20 September 2024. Available online: https://www.who.int/news-room/fact-sheets/detail/breast-cancer (accessed on 8 March 2025).
- Dai, X.; Li, T.; Bai, Z.; Yang, Y.; Liu, X.; Zhan, J.; Shi, B. Breast cancer intrinsic subtype classification, clinical use, and future trends. Am. J. Cancer Res. 2015, 5, 2929–2943. [Google Scholar] [PubMed] [PubMed Central]
- Allison, K.H. Molecular pathology of breast cancer: What a pathologist needs to know. Am. J. Clin. Pathol. 2012, 138, 770–780. [Google Scholar] [CrossRef]
- Foffano, L.; Cucciniello, L.; Nicolò, E.; Migliaccio, I.; Noto, C.; Reduzzi, C.; Malorni, L.; Cristofanilli, M.; Gerratana, L.; Puglisi, F. Cyclin-dependent kinase 4 and 6 inhibitors (CDK4/6i): Mechanisms of resistance and where to find them. Cancer Treat. Rev. 2023, 114, 102489. [Google Scholar] [CrossRef]
- Malumbres, M. Cyclin-dependent kinases. Genome Biol. 2014, 15, 4184. [Google Scholar] [CrossRef]
- Patrick, G.N.; Zukerberg, L.; Nikolic, M.; de la Monte, S.; Dikkes, P.; Tsai, L.H. Conversion of p35 to p25 deregulates Cdk5 activity and promotes neurodegeneration. Nature 1999, 402, 615–622. [Google Scholar] [CrossRef]
- Osuga, H.; Osuga, S.; Wang, F.; Fetni, R.; Hogan, M.J.; Slack, R.S.; Hakim, A.M.; Ikeda, J.-E.; Park, D.S. Cyclin-dependent kinases as a therapeutic target for stroke. Proc. Natl. Acad. Sci. USA 2000, 97, 10254–10259. [Google Scholar] [CrossRef]
- Pines, J. Cyclins, CDKs, and cancer. Semin. Cancer Biol. 1995, 6, 63–72. [Google Scholar]
- Sherr, C.J.; Roberts, J.M. CDK inhibitors: Positive and negative regulators of G1-phase progression. Genes Dev. 1999, 13, 1501–1512. [Google Scholar] [CrossRef]
- Kim, S.; Leong, A.; Kim, M.; Yang, H.W. CDK4/6 Initiates Rb Inactivation and CDK2 Activity Coordinates Cell-Cycle Commitment and G1/S Transition. Sci. Rep. 2022, 12, 16810. [Google Scholar] [CrossRef]
- Portman, N.; Alexandrou, S.; Carson, E.; Wang, S.; Lim, E.; Caldon, C.E. Overcoming CDK4/6 inhibitor resistance in ER-positive breast cancer. Endocr. Relat. Cancer 2019, 26, R15–R30. [Google Scholar] [CrossRef]
- Sharifi, M.N.; Anandan, A.; Grogan, P.; O’Regan, R.M. Therapy after cyclin-dependent kinase inhibition in metastatic hormone receptor-positive breast cancer: Resistance mechanisms and novel treatment strategies. Cancer 2020, 126, 3400–3416. [Google Scholar] [CrossRef]
- Harbeck, N.; Iyer, S.; Turner, N.; Cristofanilli, M.; Ro, J.; André, F.; Loi, S.; Verma, S.; Iwata, H.; Bhattacharyya, H.; et al. Quality of life with palbociclib plus fulvestrant in previously treated hormone receptor-positive, HER2-negative metastatic breast cancer: Patient-reported outcomes from the PALOMA-3 trial. Ann. Oncol. 2016, 27, 1047–1054. [Google Scholar] [CrossRef]
- Fassl, A.; Geng, Y.; Sicinski, P. CDK4, and CDK6 kinases: From basic science to cancer therapy. Science 2022, 375, eabc1495. [Google Scholar] [CrossRef]
- Morrison, L.; Loibl, S.; Turner, N.C. The CDK4/6 inhibitor revolution—A game-changing era for breast cancer treatment. Nat. Rev. Clin. Oncol. 2024, 21, 89–105. [Google Scholar] [CrossRef]
- Wekking, D.; Lambertini, M.; Dessì, M.; Denaro, N.; Bardanzellu, F.; Garrone, O.; Scartozzi, M.; Solinas, C. CDK4/6 Inhibitors in the Treatment of Metastatic Breast Cancer: Focus on Toxicity and Safety. Semin. Oncol. 2024, 51, 151228. [Google Scholar] [CrossRef]
- Jazieh, K.A.; Budd, G.T.; Dalpiaz, N.; Abraham, J. Can CDK4/6 Inhibitors Cause Fatal Lung Injury? Expert Rev. Anticancer Ther. 2019, 19, 917–919. [Google Scholar] [CrossRef]
- Skeoch, S.; Weatherley, N.; Swift, A.J.; Oldroyd, A.; Johns, C.; Hayton, C.; Giollo, A.; Wild, J.M.; Waterton, J.C.; Buch, M.; et al. Drug-induced interstitial lung disease: A systematic review. J. Clin. Med. 2018, 7, 356. [Google Scholar] [CrossRef]
- Guler, S.A.; Ellison, K.; Algamdi, M.; Collard, H.R.; Ryerson, C.J. Heterogeneity in unclassifiable interstitial lung disease: A systematic review and meta-analysis. Ann. Am. Thorac. Soc. 2018, 15, 854–863. [Google Scholar] [CrossRef]
- Baselga, J.; Campone, M.; Piccart, M.; Burris, H.A., III; Rugo, H.S.; Sahmoud, T.; Noguchi, S.; Gnant, M.; Pritchard, K.I.; Lebrun, F.; et al. Everolimus in postmenopausal hormone-receptor-positive advanced breast cancer. N. Engl. J. Med. 2012, 366, 520–529. [Google Scholar] [CrossRef]
- Modi, S.; Park, H.; Murthy, R.K.; Iwata, H.; Tamura, K.; Tsurutani, J.; Moreno-Aspitia, A.; Doi, T.; Sagara, Y.; Redfern, C.; et al. Antitumor activity and safety of trastuzumab deruxtecan in patients with HER2-low–expressing advanced breast cancer: Results from a phase Ib study. J. Clin. Oncol. 2020, 38, 1887–1896. [Google Scholar] [CrossRef]
- Kudoh, S.; Kato, H.; Nishiwaki, Y.; Fukuoka, M.; Nakata, K.; Ichinose, Y.; Tsuboi, M.; Yokota, S.; Nakagawa, K.; Suga, M.; et al. Interstitial lung disease in Japanese patients with lung cancer: A cohort and nested case-control study. Am. J. Respir. Crit. Care Med. 2008, 177, 1348–1357. [Google Scholar] [CrossRef]
- Spring, L.M.; Wander, S.A.; Andre, F.; Moy, B.; Turner, N.C.; Bardia, A. Cyclin-dependent kinase 4 and 6 inhibitors for hormone receptor-positive breast cancer: Past, present, and future. Lancet 2020, 395, 817–827. [Google Scholar] [CrossRef]
- Finn, R.S.; Rugo, H.S.; Gelmon, K.A.; Cristofanilli, M.; Colleoni, M.; Loi, S.; Schnell, P.; Lu, D.R.; Theall, K.P.; Mori, A.; et al. Long-term pooled safety analysis of palbociclib in combination with endocrine therapy for hormone receptor-positive/human epidermal growth factor receptor 2-negative advanced breast cancer: Updated analysis with up to 5 years of follow-up. Oncologist 2021, 26, e749–e755. [Google Scholar] [CrossRef]
- Rugo, H.S.; Huober, J.; García-Sáenz, J.A.; Masuda, N.; Sohn, J.H.; Andre, V.A.M.; Barriga, S.; Cox, J.; Goe, M. Management of Abemaciclib-Associated Adverse Events in Patients with Hormone Receptor-Positive, Human Epidermal Growth Factor Receptor 2-Negative Advanced Breast Cancer: Safety Analysis of MONARCH 2 and MONARCH 3. Oncologist 2021, 26, e53–e65. [Google Scholar] [CrossRef]
- Raschi, E.; Fusaroli, M.; Ardizzoni, A.; Polizzi, E.; De Ponti, F. Cyclin-dependent kinase 4/6 inhibitors and interstitial lung disease in the FDA adverse event reporting system: A pharmacovigilance assessment. Breast Cancer Res. Treat. 2021, 186, 219–227. [Google Scholar] [CrossRef] [PubMed]
- Zhang, Y.; Ma, Z.; Sun, X.; Feng, X.; An, Z. Interstitial lung disease in patients treated with Cyclin-Dependent Kinase 4/6 inhibitors: A systematic review and meta-analysis of randomized controlled trials. Breast 2022, 62, 162–169. [Google Scholar] [CrossRef]
- Chen, Y.; Noma, S.; Taguchi, Y.; Takahashi, M.; Tsurutani, J.; Mori, S.; Sakaguchi, S.; Asou, H.; Tomii, K. Characteristics of interstitial lung disease in patients from post-marketing data on metastatic breast cancer patients who received abemaciclib in Japan. Breast Cancer 2021, 28, 710–719. [Google Scholar] [CrossRef]
- Toi, M.; Harbeck, N.; Puig, J.; Cruz, J.; Seo, J.; Takahashi, M.; Hulstijn, M.; Twum, E.; Regev, A.; Antonio, B.S.; et al. 44O Characterization of venous thromboembolic events (VTE), elevated aminotransferases (EAT), and interstitial lung disease (ILD) in monarchE. Ann. Oncol. 2021, 32 (Suppl. S3), S39–S40. [Google Scholar] [CrossRef]
- Casal, A.; Suárez-Antelo, J.; Riveiro, V.; Ferreiro, L.; Rodríguez-Núñez, N.; Toubes, M.E.; Valdés, L. Smoking-related interstitial lung disease: A narrative review. Ther. Adv. Respir. Dis. 2024, 21, 14799731241291538. [Google Scholar] [CrossRef]
- Chan, K.L.; Faiz, S.A.; Altan, M.; Sheshadri, A. Updates in drug-related pneumonitis due to targeted oncologic therapies. J. Immunother. Precis. Oncol. 2024, 7, 272–282. [Google Scholar] [CrossRef] [PubMed] [PubMed Central]
- Buller, W.; Pallan, L.; Chu, T.; Khoja, L. CDK4/6 inhibitors in metastatic breast cancer: A comparison of toxicity and efficacy across agents in a real-world dataset. J. Oncol. Pharm. Pract. 2023, 29, 1825–1835. [Google Scholar] [CrossRef] [PubMed]
- Fuentes-Antrás, J.; de Luna, A.; López de Sá, A.; Ocaña, A.; García-Sáenz, J.Á.; Moreno, F. Safety and efficacy of cyclin-dependent kinase inhibitor rechallenge following ribociclib-induced limiting hypertransaminasemia. Breast 2020, 54, 160–163. [Google Scholar] [CrossRef] [PubMed]
- Rechallenge with a Different CDK 4/6 Inhibitor After Ribociclib-Induced Hepatotoxicity. 2020. Available online: https://www.bib.irb.hr/1147359 (accessed on 16 March 2023).
- Nishijima, S.; Sato, K.; Inoue, T.; Hashimoto, W.; Shikano, M. Incidence of interstitial lung disease in patients with breast cancer: A nationwide database study in Japan. Future Oncol. 2023, 19, 679–690. [Google Scholar] [CrossRef]
- Zhou, C.; Deng, H.; Yang, Y.; Wang, F.; Lin, X.; Liu, M.; Xie, X.; Luan, T.; Zhong, N. Cancer therapy-related interstitial lung disease. Chin. Med. J. 2025, 138, 264–277. [Google Scholar] [CrossRef] [PubMed]





| Parameter | Value | |
|---|---|---|
| Metastatic Breast Cancer Patients | (n = 464) | |
| Gender | Male Patients | 4 (0.9%) |
| Female Patients | 460 (99.1%) | |
| Age (Mean ± Standard Deviation) | Age at Initiation of CDK4/6i Therapy (Years) | 59.06 ± 13.18 |
| ECOG Performance Status | ||
| At Diagnosis | ||
| 0 | 309 (66.6%) | |
| 1 | 132 (28.4%) | |
| 2 | 23 (5%) | |
| Before CDK4/6i Therapy | ||
| 0 | 255 (55%) | |
| 1 | 150 (32.3%) | |
| 2 | 56 (12.1%) | |
| 3 | 3 (0.6%) | |
| Line of CDK4/6i Therapy | ||
| 1 | 302 (65.1%) | |
| 2 | 97 (20.9%) | |
| 3 and later | 65 (14.0%) | |
| Type of CDK4/6 Inhibitor | ||
| Ribociclib | 253 (54.5%) | |
| Palbociclib | 205 (44.2%) | |
| Sequential Use of Ribociclib and Palbociclib | 6 (1.3%) | |
| Endocrine Therapy Used with CDK4/6 Inhibitors | ||
| Letrozole | 297 (64%) | |
| Fulvestrant | 161 (34.7%) | |
| Other | 6 (1.3%) | |
| Chemotherapy Status | ||
| Before CDK4/6i Therapy | ||
| Neoadjuvant Chemotherapy | 140 (30.2%) | |
| Adjuvant Chemotherapy | 75 (16.2%) | |
| Metastatic Chemotherapy | 12 (2.6%) | |
| No Chemotherapy | 227 (48.9%) | |
| Metastatic Sites Before CDK4/6i Therapy | ||
| Bone | 384 (82.2%) | |
| Lymph Node | 206 (44.4%) | |
| Lung | 164 (35.3%) | |
| Liver | 109 (23.5%) | |
| Soft Tissue | 52 (11.2%) | |
| Pleura | 36 (7.8%) | |
| Brain | 29 (6.3%) | |
| Skin | 12 (2.6%) | |
| Peritoneum | 9 (1.9%) | |
| Smoking Status | ||
| Current Smoker | 14 (3%) | |
| Former Smoker | 119 (25.6%) | |
| Never Smoked | 331 (71.3%) | |
| ILD Associated with CDK4/6i | ||
| Yes | 10 (2.2%) | |
| No | 454 (97.8%) | |
| Follow-up Duration (Months) | Median (Min–Max) | 72.2 (4.1–334.8) |
| Mean ± Standard Deviation | 92.9 ± 70.7 |
| Interstitial Lung Disease Associated with CDK4/6 Inhibitor | |||
|---|---|---|---|
| Parameter | No (n = 454) | Yes (n = 10) | p-Value |
| Gender (Female) | 450 (99.1%) | 10 (100%) | 1.000 a |
| Age at Initiation of CDK4/6i Treatment (Years) (Mean ± Standard Deviation) | 56.9 ± 12.6 | 53 ± 13.3 | 0.251 b |
| Age at Start of CDK4/6i Treatment | |||
| ≤55 Years | 200 (44.1%) | 2 (20%) | 0.129 c |
| >55 Years | 254 (55.9%) | 8 (80%) | |
| CDK4/6i Treatment | |||
| Ribociclib | 249 (54.8%) | 4 (40%) | 0.523 c |
| Palbociclib | 199 (43.8%) | 6 (60%) | 0.349 c |
| Sequential Use of Ribociclib and Palbociclib | 6 (1.3%) | 0 (0%) | 1.000 a |
| Pre-existing ILD | |||
| Yes | 4 (0.9%) | 0 (0%) | 0.152 a |
| No | 450 (99.1%) | 10 (100%) | |
| Smoking Status | |||
| Current Smoker | 14 (3.1%) | 0 (0%) | 0.047 * c |
| Former Smoker | 119 (26.2%) | 0 (0%) | |
| Never Smoked | 321 (70.7%) | 10 (100%) | |
| Menopause Status Before CDK4/6i | |||
| Postmenopausal | 321 (70.7%) | 9 (90%) | 0.183 a |
| Premenopausal | 133 (29.3%) | 1 (10%) | |
| History of Radiation to the Chest Area | |||
| Yes | 228 (50.2%) | 5 (50%) | 0.989 c |
| No | 226 (49.8%) | 5 (50%) | |
| Chemotherapy Status Before CDK4/6i Therapy | |||
| Yes | 232 (51.1%) | 5 (50%) | 0.945 c |
| No | 222 (48.9%) | 5 (50%) | |
| Line of CDK4/6i Treatment | |||
| 1st Line | 296 (65.2%) | 6 (60%) | 0.858 c |
| 2nd Line | 95 (20.9%) | 2 (20%) | |
| 3rd and Subsequent Lines | 63 (13.9%) | 2 (20%) | |
| Lung Metastasis | |||
| Yes | 158 (34.8%) | 6 (60%) | 0.099 c |
| No | 296 (65.2%) | 4 (40%) | |
| Pt ID | Age (Yrs) | CDK4/6i | Tx Line | PS | Lung Metastasis | Bone Metastasis | Smoking Status | Menopause | Pulm Comorbidity | Chest RT | Chemo Prior CDK4/6i | CerbB2 | ILD Type | ER/PR Status |
|---|---|---|---|---|---|---|---|---|---|---|---|---|---|---|
| 1 | 59 | R | 1 | 1 | Y | Y | N | Post | N | N | N | 0 | HP | ER 100%/PR + |
| 2 | 62 | R | 2 | 2 | N | Y | N | Post | N | Y | Y | 0 | HP | ER 100%/PR (+) |
| 3 | 67 | P | 1 | 1 | Y | Y | N | Post | N | Y | Y | 0 | HP | ER 80%/PR (+) |
| 4 | 58 | R | 1 | 0 | Y | Y | N | Post | Y | N | N | 0 | HP | ER 90%/PR (+) |
| 5 | 68 | P | 2 | 0 | N | Y | N | Post | N | Y | Y | 0 | NSIP | ER 100%/PR (+) |
| 6 | 49 | P | 1 | 0 | Y | Y | N | Post | N | Y | Y | 0 | NSIP | ER 100%/PR (+) |
| 7 | 70 | P | 1 | 1 | N | Y | N | Post | N | N | N | 1 | NSIP | ER 95%/PR (+) |
| 8 | 63 | P | 3 | 2 | Y | Y | N | Post | Y | N | N | 1 | NSIP | ER 100%/PR (+) |
| 9 | 81 | P | 1 | 2 | N | Y | N | Post | N | N | N | 1 | AIP-ARDS | ER 98%/PR (+) |
| 10 | 48 | R | 3 | 0 | Y | Y | N | Pre | N | Y | Y | 1 | AIP-ARDS | ER 50%/PR (-) |
| Pt ID | CDK4/6i Tx | ET | Time to Onset (Days) | ILDG. | Management | Steroid | Supportive Tx | Resolution (Days) | Death |
|---|---|---|---|---|---|---|---|---|---|
| 1 | Ribociclib (1st line) | Letrozole | 88 | 3 | Discontinued | Yes | Oxygen support | 21 | No |
| 2 | Ribociclib (2nd line) | Fulvestrant | 161 | 3 | Discontinued | Yes | Oxygen support, | 24 | No |
| antibiotics | |||||||||
| 3 | Palbociclib (1st line) | Letrozole | 249 | 3 | Discontinued | Yes | ICU admission, oxygen support, | N/A | Yes |
| antibiotics, MMF, infliximab | |||||||||
| 4 | Ribociclib (1st line) | Letrozole | 123 | 3 | Discontinued | Yes | Oxygen support | 35 | No |
| 5 | Palbociclib (2nd line) | Fulvestrant | 111 | 3 | Discontinued | Yes | Oxygen support | 37 | No |
| 6 | Palbociclib (1st line) | Letrozole | 479 | 4 | Discontinued | Yes | Oxygen support | 42 | No |
| 7 | Palbociclib (1st line) | Letrozole | 276 | 3 | Discontinued | Yes | Oxygen support, MMF, persistent pulmonary dysfunction | N/A | No |
| 8 | Palbociclib (3rd line) | Letrozole | 581 | 4 | Discontinued | Yes | Oxygen support | 28 | No |
| 9 | Palbociclib (1st line) | Letrozole | 73 | 3 | Discontinued | Yes | Oxygen support, antibiotics | 45 | No |
| 10 | Palbociclib (3rd line) | Letrozole | 113 | 3 | Resumed with Dose Reduction | Yes | Oxygen support | 30 | No |
Disclaimer/Publisher’s Note: The statements, opinions and data contained in all publications are solely those of the individual author(s) and contributor(s) and not of MDPI and/or the editor(s). MDPI and/or the editor(s) disclaim responsibility for any injury to people or property resulting from any ideas, methods, instructions or products referred to in the content. |
© 2025 by the authors. Published by MDPI on behalf of the Lithuanian University of Health Sciences. Licensee MDPI, Basel, Switzerland. This article is an open access article distributed under the terms and conditions of the Creative Commons Attribution (CC BY) license (https://creativecommons.org/licenses/by/4.0/).
Share and Cite
İlhan, N.; Doğan, A.; Erölmez, H.N.; Atalah, F.; Baş, S.; Yasar, S.; Odabaş, H.; Gümüş, M. The Incidence and Clinical Characteristics of Interstitial Lung Disease Associated with CDK4/6 Inhibitors in Breast Cancer Patients: A Retrospective Multicenter Study. Medicina 2025, 61, 549. https://doi.org/10.3390/medicina61030549
İlhan N, Doğan A, Erölmez HN, Atalah F, Baş S, Yasar S, Odabaş H, Gümüş M. The Incidence and Clinical Characteristics of Interstitial Lung Disease Associated with CDK4/6 Inhibitors in Breast Cancer Patients: A Retrospective Multicenter Study. Medicina. 2025; 61(3):549. https://doi.org/10.3390/medicina61030549
Chicago/Turabian Styleİlhan, Nurullah, Akif Doğan, Hande Nur Erölmez, Fatih Atalah, Süleyman Baş, Servan Yasar, Hatice Odabaş, and Mahmut Gümüş. 2025. "The Incidence and Clinical Characteristics of Interstitial Lung Disease Associated with CDK4/6 Inhibitors in Breast Cancer Patients: A Retrospective Multicenter Study" Medicina 61, no. 3: 549. https://doi.org/10.3390/medicina61030549
APA Styleİlhan, N., Doğan, A., Erölmez, H. N., Atalah, F., Baş, S., Yasar, S., Odabaş, H., & Gümüş, M. (2025). The Incidence and Clinical Characteristics of Interstitial Lung Disease Associated with CDK4/6 Inhibitors in Breast Cancer Patients: A Retrospective Multicenter Study. Medicina, 61(3), 549. https://doi.org/10.3390/medicina61030549

