Primary Biliary Cholangitis Associated with Ulcerative Colitis: Case Series and Literature Review
Abstract
1. Introduction
2. Case Presentation
2.1. Case 1
2.2. Case 2
2.3. Case 3
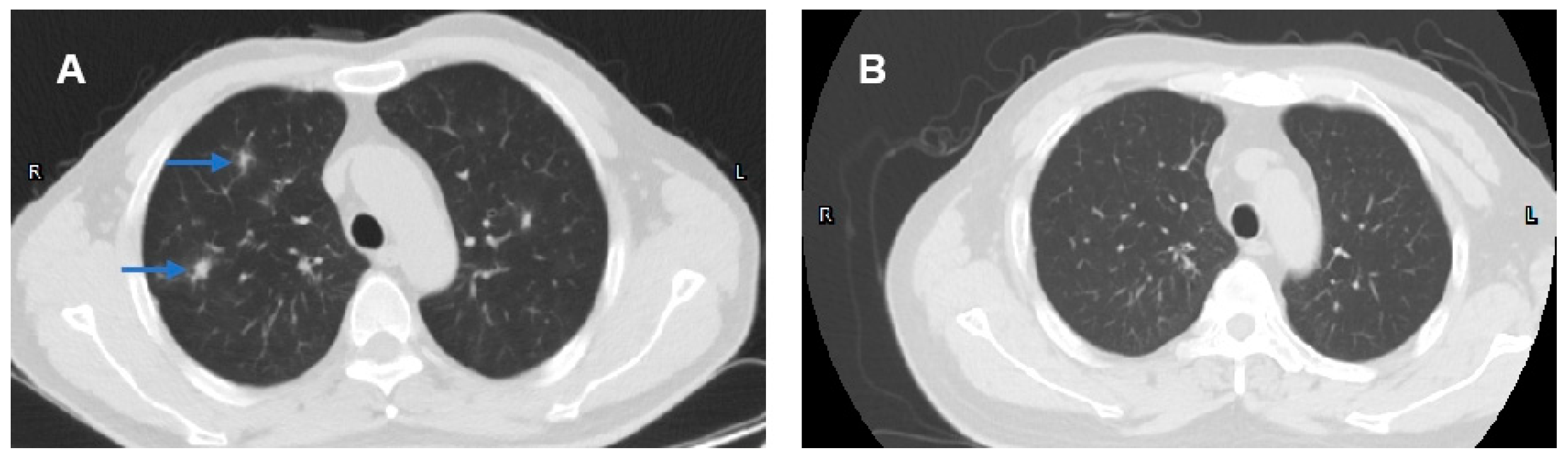
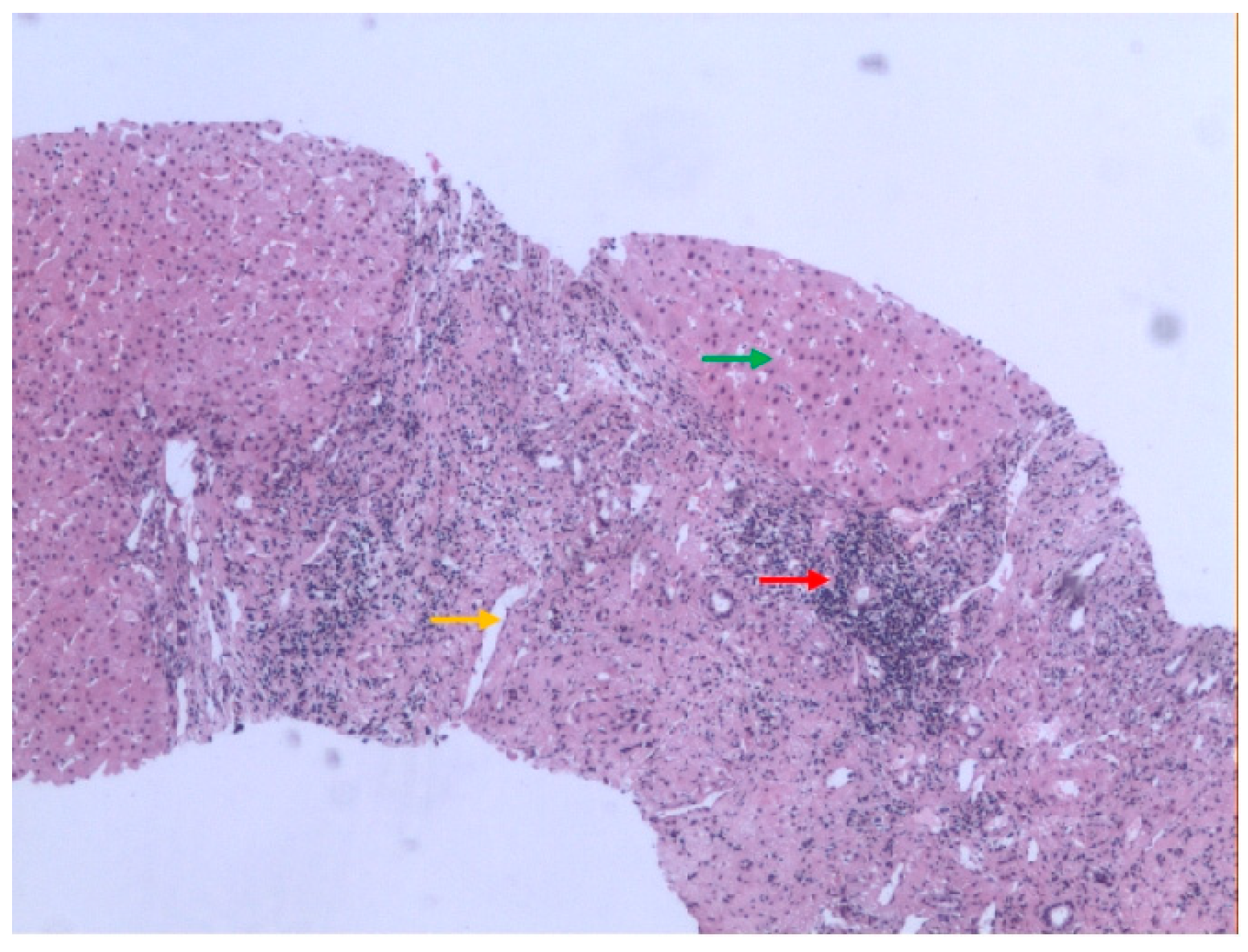
2.4. Case 4
3. Discussion
| Case | Sex | Age at UC Diagnosis | UC Prior to PBC | Other Manifestations | Complications | UC Treatment | PBC Treatment |
|---|---|---|---|---|---|---|---|
| 1 [28] | F | 65 | Yes | Chronic pancreatitis | SASP | ||
| 2 [29] | F | 47 | Yes | Psoriasis, peripheral arthritis | Asthma | SASP, CS | |
| 3 [29] | M | 26 | Yes | SASP | D-penicillamine | ||
| 4 [29] | M | 44 | Yes | SASP, CS | |||
| 5 [29] | F | 28 | Yes | SASP | |||
| 6 [30] | F | 49 | Simultaneously | Chronic myelocytic leukemia, diabetes mellitus | SASP | ||
| 7 [31] | M | 40 | Yes | 5-ASA, CS | |||
| 8 [32] | F | 42 | Yes | Chronic pancreatitis, Raynaud’ s phenomenon | 5-ASA | UDCA | |
| 9 [33] | F | 48 | Yes | Renal cell carcinoma | 5-ASA, CS, AZA | ||
| 10 [16] | M | 50 | Yes | Sclerodactyly, Raynaud’s phenomenon | 5-ASA, CS | ||
| 11 [16] | F | 36 | Yes | Dry mouth | SASP | UDCA | |
| 12 [34] | F | 43 | Yes | Proctocolectomy | |||
| 13 [35] | M | 61 | No | SASP, CS | |||
| 14 [36] | F | 50 | No | SASP | UDCA | ||
| 15 [37] | M | 73 | Yes | Vitiligo, myasthenia gravis | CS | UDCA | |
| 16 [38] | M | 64 | No | Diabetes mellitus | 5-ASA | UDCA | |
| 17 [38] | F | 40 | No | Peripheral arthritis? | 5-ASA | UDCA | |
| 18 [39] | F | 43 | No | 5-ASA, CS | UDCA | ||
| 19 [20] | F | 50 | Yes | Ankylosing spondylitis? | Hypertension, hypercholesterolaemia | 5-ASA | UDCA |
| 20 [20] | M | 59 | Yes | Ankylosing spondylitis | Diabetes mellitus | 5-ASA, ADM | UDCA |
| 21 [21] | F | 23 | Yes | 5-ASA | UDCA | ||
| 22 [21] | F | 45 | Yes | 5-ASA | UDCA | ||
| 23 [21] | F | 47 | Yes | Thyroiditis | 5-ASA | UDCA | |
| 24 [22] | F | 49 | Yes | Autoimmune enteropathy | CS, proctocolectomy | UDCA | |
| 25 (ours) | M | 44 | Yes | Sjogren’s syndrome, tubulointerstitial nephritis, interstitial lung disease | 5-ASA, CS, IFX, UST | UDCA | |
| 26 (ours) | F | 33 | Simultaneously | 5-ASA, CS | UDCA, Liver transplantation | ||
| 27 (ours) | F | 63 | Yes | 5-ASA | UDCA | ||
| 28 (ours) | F | 47 | No | PSC, granulomatosis with polyangiitis | VDZ | UDCA, Liver transplantation |
4. Conclusions
Author Contributions
Funding
Institutional Review Board Statement
Informed Consent Statement
Data Availability Statement
Conflicts of Interest
References
- Ananthakrishnan, A.N. Epidemiology and risk factors for IBD. Nat. Rev. Gastroenterol. Hepatol. 2015, 12, 205–217. [Google Scholar] [CrossRef]
- Ott, C.; Scholmerich, J. Extraintestinal manifestations and complications in IBD. Nat. Rev. Gastroenterol. Hepatol. 2013, 10, 585–595. [Google Scholar] [CrossRef] [PubMed]
- Silva, J.; Brito, B.S.; Silva, I.N.N.; Nobrega, V.G.; da Silva, M.; Gomes, H.D.N.; Fortes, F.M.; Pimentel, A.M.; Mota, J.; Almeida, N.; et al. Frequency of Hepatobiliary Manifestations and Concomitant Liver Disease in Inflammatory Bowel Disease Patients. Biomed. Res. Int. 2019, 2019, 7604939. [Google Scholar] [CrossRef] [PubMed]
- Gulamhusein, A.F.; Hirschfield, G.M. Primary biliary cholangitis: Pathogenesis and therapeutic opportunities. Nat. Rev. Gastroenterol. Hepatol. 2020, 17, 93–110. [Google Scholar] [CrossRef]
- Chalifoux, S.L.; Konyn, P.G.; Choi, G.; Saab, S. Extrahepatic manifestations of primary biliary cholangitis. Gut Liver 2017, 11, 771. [Google Scholar] [CrossRef] [PubMed]
- Navaneethan, U.; Shen, B. Hepatopancreatobiliary manifestations and complications associated with inflammatory bowel disease. Inflamm. Bowel Dis. 2010, 16, 1598–1619. [Google Scholar] [CrossRef]
- Fornaciari, G.; Salvarani, C.; Beltrami, M.; Macchioni, P.; Stockbrügger, R.W.; Russel, M.G. Musculoskeletal manifestations in inflammatory bowel disease. Can. J. Gastroenterol. 2001, 15, 399–403. [Google Scholar] [CrossRef] [PubMed]
- Colia, R.; Corrado, A.; Cantatore, F.P. Rheumatologic and extraintestinal manifestations of inflammatory bowel diseases. Ann. Med. 2016, 48, 577–585. [Google Scholar] [CrossRef] [PubMed]
- Antonelli, E.; Bassotti, G.; Tramontana, M.; Hansel, K.; Stingeni, L.; Ardizzone, S.; Genovese, G.; Marzano, A.V.; Maconi, G. Dermatological Manifestations in Inflammatory Bowel Diseases. J. Clin. Med. 2021, 10, 364. [Google Scholar] [CrossRef] [PubMed]
- Isene, R.; Bernklev, T.; Hoie, O.; Munkholm, P.; Tsianos, E.; Stockbrugger, R.; Odes, S.; Palm, O.; Smastuen, M.; Moum, B.; et al. Extraintestinal manifestations in Crohn’s disease and ulcerative colitis: Results from a prospective, population-based European inception cohort. Scand. J. Gastroenterol. 2015, 50, 300–305. [Google Scholar] [CrossRef]
- Zippi, M.; Corrado, C.; Pica, R.; Avallone, E.V.; Cassieri, C.; De Nitto, D.; Paoluzi, P.; Vernia, P. Extraintestinal manifestations in a large series of Italian inflammatory bowel disease patients. World J. Gastroenterol. 2014, 20, 17463–17467. [Google Scholar] [CrossRef] [PubMed]
- Yilmaz, S.; Aydemir, E.; Maden, A.; Unsal, B. The prevalence of ocular involvement in patients with inflammatory bowel disease. Int. J. Color. Dis. 2007, 22, 1027–1030. [Google Scholar] [CrossRef] [PubMed]
- Barberio, B.; Massimi, D.; Cazzagon, N.; Zingone, F.; Ford, A.C.; Savarino, E.V. Prevalence of Primary Sclerosing Cholangitis in Patients With Inflammatory Bowel Disease: A Systematic Review and Meta-analysis. Gastroenterology 2021, 161, 1865–1877. [Google Scholar] [CrossRef] [PubMed]
- Xu, X.; Rioux, T.; Gonzalez, J.; Hansen, E.; Castellani, J.; Santee, W.; Karis, A.; Potter, A. Clinical outcomes and risk factors of secondary extraintestinal manifestation in ulcerative colitis: Results of a multicenter and long-term follow-up retrospective study. PeerJ 2019, 7, e7194. [Google Scholar] [CrossRef]
- Vavricka, S.R.; Brun, L.; Ballabeni, P.; Pittet, V.; Prinz Vavricka, B.M.; Zeitz, J.; Rogler, G.; Schoepfer, A.M. Frequency and risk factors for extraintestinal manifestations in the Swiss inflammatory bowel disease cohort. Off. J. Am. Coll. Gastroenterol. 2011, 106, 110–119. [Google Scholar] [CrossRef] [PubMed]
- Koulentaki, M.; Koutroubakis, I.; Petinaki, E.; Tzardi, M.; Oekonomaki, H.; Mouzas, I.; Kouroumalis, E. Ulcerative colitis associated with primary biliary cirrhosis. Dig. Dis. Sci. 1999, 44, 1953–1956. [Google Scholar] [CrossRef] [PubMed]
- Liang, Y.; Li, J.; Zhang, Z.; Jiang, T.; Yang, Z. Extrahepatic conditions of primary biliary cholangitis: A systematic review and meta-analysis of prevalence and risk. Clin. Res. Hepatol. Gastroenterol. 2024, 48, 102321. [Google Scholar] [CrossRef] [PubMed]
- Zeng, N.; Duan, W.; Chen, S.; Wu, S.; Ma, H.; Ou, X.; You, H.; Kong, Y.; Jia, J. Epidemiology and clinical course of primary biliary cholangitis in the Asia–Pacific region: A systematic review and meta-analysis. Hepatol. Int. 2019, 13, 788–799. [Google Scholar] [CrossRef] [PubMed]
- Shizuma, T. Coexistence of Primary Biliary Cirrhosis and Inflammatory Bowel Disease. J. Liver 2014, 03. [Google Scholar] [CrossRef]
- Polychronopoulou, E.; Lygoura, V.; Gatselis, N.K.; Dalekos, G.N. Increased cholestatic enzymes in two patients with long-term history of ulcerative colitis: Consider primary biliary cholangitis not always primary sclerosing cholangitis. Case Rep. 2017, 2017, bcr-2017-220824. [Google Scholar] [CrossRef] [PubMed]
- Liberal, R.; Gaspar, R.; Lopes, S.; Macedo, G. Primary biliary cholangitis in patients with inflammatory bowel disease. Clin. Res. Hepatol. Gastroenterol. 2020, 44, e5–e9. [Google Scholar] [CrossRef] [PubMed]
- Zhou, Q.-Y.; Zhou, W.-X.; Sun, X.-Y.; Wu, B.; Zheng, W.-Y.; Li, Y.; Qian, J.-M. Autoimmune enteropathy and primary biliary cholangitis after proctocolectomy for ulcerative colitis: A case report and review of the literature. World J. Gastroenterol. 2021, 27, 4929–4938. [Google Scholar] [CrossRef]
- Card, T.R.; Langan, S.M.; Chu, T.P. Extra-gastrointestinal manifestations of inflammatory bowel disease may be less common than previously reported. Dig. Dis. Sci. 2016, 61, 2619–2626. [Google Scholar] [CrossRef] [PubMed]
- Barry, K. Chronic pancreatitis: Diagnosis and treatment. Am. Fam. Physician 2018, 97, 385–393. [Google Scholar]
- Francois, H.; Mariette, X. Renal involvement in primary Sjogren syndrome. Nat. Rev. Nephrol. 2016, 12, 82–93. [Google Scholar] [CrossRef]
- Pemmasani, G.; Loftus, E.V.; Tremaine, W.J. Prevalence of Pulmonary Diseases in Association with Inflammatory Bowel Disease. Dig. Dis. Sci. 2022, 67, 5187–5194. [Google Scholar] [CrossRef]
- Koksal, D.; Koksal, A.S.; Gurakar, A. Pulmonary Manifestations among Patients with Primary Biliary Cirrhosis. J. Clin. Transl. Hepatol. 2016, 4, 258–262. [Google Scholar] [PubMed]
- Kato, Y.; Morimoto, H.; Unoura, M.; Kobayashi, K.; Hattori, N.; Nakanuma, Y. Primary biliary cirrhosis and chronic pancreatitis in a patient with ulcerative colitis. J. Clin. Gastroenterol. 1985, 7, 425–427. [Google Scholar] [CrossRef] [PubMed]
- Bush, A.; Mitchison, H.; Walt, R.; Baron, J.; Boylston, A.; Summerfield, J. Primary biliary cirrhosis and ulcerative colitis. Gastroenterology 1987, 92, 2009–2013. [Google Scholar] [CrossRef]
- Akahoshi, K.; Miyata, Y.; Hashimoto, M.; Koga, S.; Chijiiwa, Y.; Misawa, T.; Suematsu, E.; Nishimura, J.; Nawata, H. A case of combined primary biliary cirrhosis, ulcerative colitis and chronic myelocytic leukemia. Gastroenterol. Jpn. 1992, 27, 252–257. [Google Scholar] [CrossRef] [PubMed]
- Lever, E.; Balasubramanian, K.; Condon, S.; Wat, B.Y. Primary biliary cirrhosis associated with ulcerative colitis. Am. J. Gastroenterol. 1993, 88, 945–947. [Google Scholar]
- Veloso, F.T.; Dias, L.; Carvalho, J.; Fraga, J.; Saleiro, J. Ulcerative colitis, primary biliary cirrhosis, and chronic pancreatitis: Coincident or coexistent? J. Clin. Gastroenterol. 1993, 16, 55–57. [Google Scholar] [CrossRef]
- Satsangi, J.; Marshall, J.; Roskell, D.; Jewell, D. Ulcerative colitis complicated by renal cell carcinoma: A series of three patients. Gut 1996, 38, 148–150. [Google Scholar] [CrossRef]
- Ohge, H.; Takesue, Y.; Yokoyama, T.; Hiyama, E.; Murakami, Y.; Imamura, Y.; Shimamoto, F.; Matsuura, Y. Progression of primary biliary cirrhosis after proctocolectomy for ulcerative colitis. J. Gastroenterol. 2000, 35, 870–872. [Google Scholar] [CrossRef] [PubMed]
- Nakayama, M.; Tsuji, H.; Shimono, J.; Azuma, K.; Ogata, H.; Matsumoto, T.; Aoyagi, K.; Fujishima, M.; Iida, M. Primary biliary cirrhosis associated with ulcerative colitis. Hukuoka Acta Medica 2001, 92, 354–359. [Google Scholar] [PubMed]
- Xiao, W.-B.; Liu, Y.-L. Primary biliary cirrhosis and ulcerative colitis: A case report and review of literature. World J. Gastroenterol. 2003, 9, 878. [Google Scholar] [CrossRef] [PubMed]
- McCann, P.; Pramanik, A. Dysphagia and unexpected myasthenia gravis associated with primary biliary cirrhosis, ulcerative colitis and vitiligo. J. Am. Geriatr. Soc. 2004, 52, 1407–1408. [Google Scholar] [CrossRef] [PubMed]
- Arai, O.; Ikeda, H.; Mouri, H.; Notohara, K.; Matsueda, K. Two cases of inflammatory bowel disease diagnosed in the course of primary biliary cirrhosis. Jpn. J. Gastro-Enterol. 2010, 107, 900–908. [Google Scholar]
- Tada, F.; Abe, M.; Nunoi, H.; Azemoto, N.; Mashiba, T.; Furukawa, S.; Kumagi, T.; Murakami, H.; Ikeda, Y.; Matsuura, B. Ulcerative colitis complicated with primary biliary cirrhosis. Intern. Med. 2011, 50, 2323–2327. [Google Scholar] [CrossRef] [PubMed]
- Keely, S.J.; Steer, C.J.; Lajczak-McGinley, N.K. Ursodeoxycholic acid: A promising therapeutic target for inflammatory bowel diseases? Am. J. Physiol. Gastrointest. Liver Physiol. 2019, 317, G872–G881. [Google Scholar] [CrossRef] [PubMed]
- Zhang, J.; Zhang, J.; Wu, D.; Wang, J.; Dong, W. Associations between TNFSF15 polymorphisms and susceptibility to ulcerative colitis and Crohn’s disease: A meta-analysis. Autoimmunity 2014, 47, 512–518. [Google Scholar] [CrossRef] [PubMed]
- Nakamura, M.; Nishida, N.; Kawashima, M.; Aiba, Y.; Tanaka, A.; Yasunami, M.; Nakamura, H.; Komori, A.; Nakamuta, M.; Zeniya, M.; et al. Genome-wide association study identifies TNFSF15 and POU2AF1 as susceptibility loci for primary biliary cirrhosis in the Japanese population. Am. J. Hum. Genet. 2012, 91, 721–728. [Google Scholar] [CrossRef]
- Zhang, H.; Chen, L.; Fan, Z.; Lv, G. The causal effects of inflammatory bowel disease on primary biliary cholangitis: A bidirectional two-sample Mendelian randomization study. Liver Int. 2023, 43, 1741–1748. [Google Scholar] [CrossRef] [PubMed]
- Guo, X.Y.; Liu, X.J.; Hao, J.Y. Gut microbiota in ulcerative colitis: Insights on pathogenesis and treatment. J. Dig. Dis. 2020, 21, 147–159. [Google Scholar] [CrossRef]
- Yang, Y.; Choi, J.; Chen, Y.; Invernizzi, P.; Yang, G.; Zhang, W.; Shao, T.h.; Jordan, F.; Nemeria, N.S.; Coppel, R.L. E. coli and the etiology of human PBC: Antimitochondrial antibodies and spreading determinants. Hepatology 2022, 75, 266–279. [Google Scholar] [CrossRef] [PubMed]



Disclaimer/Publisher’s Note: The statements, opinions and data contained in all publications are solely those of the individual author(s) and contributor(s) and not of MDPI and/or the editor(s). MDPI and/or the editor(s) disclaim responsibility for any injury to people or property resulting from any ideas, methods, instructions or products referred to in the content. |
© 2024 by the authors. Published by MDPI on behalf of the Lithuanian University of Health Sciences. Licensee MDPI, Basel, Switzerland. This article is an open access article distributed under the terms and conditions of the Creative Commons Attribution (CC BY) license (https://creativecommons.org/licenses/by/4.0/).
Share and Cite
Li, Q.; Zong, Y. Primary Biliary Cholangitis Associated with Ulcerative Colitis: Case Series and Literature Review. Medicina 2025, 61, 44. https://doi.org/10.3390/medicina61010044
Li Q, Zong Y. Primary Biliary Cholangitis Associated with Ulcerative Colitis: Case Series and Literature Review. Medicina. 2025; 61(1):44. https://doi.org/10.3390/medicina61010044
Chicago/Turabian StyleLi, Qi, and Ye Zong. 2025. "Primary Biliary Cholangitis Associated with Ulcerative Colitis: Case Series and Literature Review" Medicina 61, no. 1: 44. https://doi.org/10.3390/medicina61010044
APA StyleLi, Q., & Zong, Y. (2025). Primary Biliary Cholangitis Associated with Ulcerative Colitis: Case Series and Literature Review. Medicina, 61(1), 44. https://doi.org/10.3390/medicina61010044

