Technical Report on the New Ultrasound Lateral Mid-Shaft Approach to the Sciatic Nerve: A Never-Ending Story
Abstract
1. Introduction
2. Materials and Methods
2.1. Technique Description
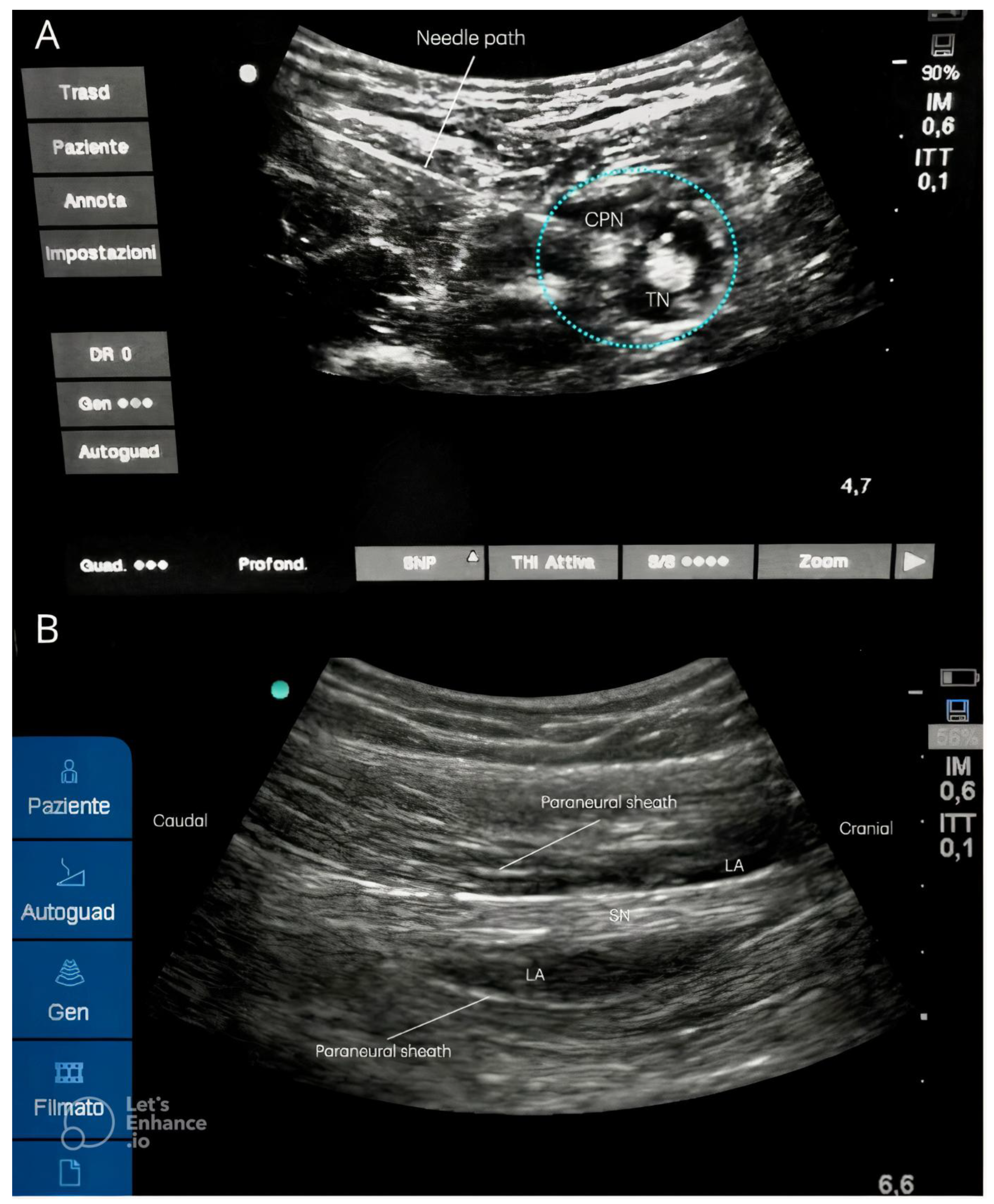
2.2. Real-Life Example Case
3. Discussion
- The popliteal approach is limited by significant anatomical variability; in fact, in 53.33% of cases, the SN divides near the upper angle of the popliteal fossa; in 26.66% of cases, the division occurs in the middle of the posterior thigh, while 13.33% of cases show the division at the upper one-third of the posterior thigh; only in 6.66% of cases does the CPN pass through the piriformis muscle, with the TN situated below the piriformis muscle [15]. Moreover, the popliteal approach requires the patient to be in prone position, rendering the procedure uncomfortable for those patients affected by lower limb fractures (Figure 4A) [2].
- The original lateral approach requires the patient to adopt a supine position with the leg bent, a lateral to medial needle direction, and the probe placed below the thigh with a posterior to anterior ultrasound beam used, similar to the popliteal approach performed with the patient in a supine position. The challenges consist of the uncomfortable position adopted by both the patient, unable to flex their leg, and the anesthetist (Figure 4B) [7,9,11].

Limitations and Technical Consideration
4. Conclusions
Supplementary Materials
Author Contributions
Funding
Data Availability Statement
Conflicts of Interest
References
- Vadivelu, N.; Kai, A.M.; Maslin, B.; Kodumudi, V.; Antony, S.; Blume, P. Role of regional anesthesia in foot and ankle surgery. Foot Ankle Spec. 2015, 8, 212–219. [Google Scholar] [CrossRef] [PubMed]
- Shevlin, S.; Johnston, D.; Turbitt, L. The sciatic nerve block. BJA Educ. 2020, 20, 312–320. [Google Scholar] [CrossRef] [PubMed]
- Shoja, M.M. Pelvic girdle, gluteal region and thigh. In Gray’s Anatomy: The Anatomical Basis of Clinical Practice, 41st ed.; Standring, S., Ed.; Elsevier: New York, NY, USA, 2016. [Google Scholar]
- Karmakar, M.K.; Shariat, A.N.; Pangthipampai, P.; Chen, J. High-definition ultrasound imaging defines the paraneural sheath and the fascial compartments surrounding the sciatic nerve at the popliteal fossa. Reg. Anesth. Pain Med. 2013, 38, 447–451. [Google Scholar] [CrossRef]
- Perlas, A.; Wong, P.; Abdallah, F.; Hazrati, L.N.; Tse, C.; Chan, V. Ultrasound-guided popliteal block through a common paraneural sheath versus conventional injection: A prospective, randomized, double-blind study. Reg. Anesth. Pain Med. 2013, 38, 218–225. [Google Scholar] [CrossRef]
- Vloka, J.D.; Hadžić, A.; April, E.; Thys, D.M. The division of the sciatic nerve in the popliteal fossa: Anatomical implications for popliteal nerve blockade. Anesth. Analg. 2001, 92, 215–217. [Google Scholar] [CrossRef]
- Yoshida, T.; Nakamoto, T.; Hashimoto, C.; Aihara, S.; Nishimoto, K.; Kamibayashi, T. An Ultrasound-Guided Lateral Approach for Proximal Sciatic Nerve Block: A Randomized Comparison with the Anterior Approach and a Cadaveric Evaluation. Reg. Anesth. Pain Med. 2018, 43, 712–719. [Google Scholar] [CrossRef] [PubMed]
- Coviello, A.; Iacovazzo, C.; Cirillo, D.; Bernasconi, A.; Marra, A.; Squillacioti, F.; Martone, M.; Garone, E.; Coppola, F.; de Siena, A.U.; et al. Dexamethasone versus Dexmedetomidine as Adjuvants in Ultrasound Popliteal Sciatic Nerve Block for Hallux Valgus Surgery: A Mono-Centric Retrospective Comparative Study. Drug Des. Devel. Ther. 2024, 18, 1231–1245. [Google Scholar] [CrossRef]
- Guardini, R.; Waldron, B.A.; Wallace, W.A. Sciatic nerve block: A new lateral approach. Acta Anaesthesiol. Scand. 1985, 29, 515–519. [Google Scholar] [CrossRef]
- Ota, J.; Sakura, S.; Hara, K.; Saito, Y. Ultrasound-guided anterior approach to sciatic nerve block: A comparison with the posterior approach. Anesth. Analg. 2009, 108, 660–665. [Google Scholar] [CrossRef] [PubMed]
- Tedesco, M.; Sepolvere, G.; Cibelli, M. Ultrasound-guided lateral, mid-shaft approach for proximal sciatic nerve block. Reg. Anesth. Pain Med. 2019, 44, 1104–1105. [Google Scholar] [CrossRef]
- Hadzic, A. (Ed.) Hadzic’s Peripheral Nerve Blocks and Anatomy for Ultrasound-Guided Regional Anesthesia, 2nd ed.; The McGraw-Hill Companies: New York, NY, USA, 2012; Available online: https://accessanesthesiology.mhmedical.com/content.aspx?bookid=518§ionid=41534284 (accessed on 6 January 2025).
- Marhofer, P.; Greher, M.; Kapral, S. Ultrasound guidance in regional anaesthesia. Br. J. Anaesth. 2005, 94, 7–17. [Google Scholar] [CrossRef] [PubMed]
- Atoni, A.D.; Oyinbo, C.A.; Francis, D.A.U.; Tabowei, U.L. Anatomic Variation of the Sciatic Nerve: A Study on the Prevalence, and Bifurcation Loci in Relation to the Piriformis and Popliteal Fossa. Acta Med. Acad. 2022, 51, 52–58. [Google Scholar] [CrossRef]
- Patowari, B.; Munjal, R.K.; Sharma, S. Anatomical Variation in Bifurcation of Sciatic Nerve: A Cadaveric Study. Ind. Jr. Anat. 2024, 13, 57–60. [Google Scholar]
- Gray, A.T. Ultrasound-guided regional anesthesia: Current state of the art. Anesthesiology 2006, 104, 368–373. [Google Scholar] [CrossRef] [PubMed]
- Chin, K.; Perlas, A.; Chan, V.; Brull, R. Needle visualization in ultrasound-guided regional anesthesia: Challenges and solutions. Reg. Anesth. Pain Med. 2008, 33, 532–544. [Google Scholar] [CrossRef] [PubMed]
- Mansour, N.Y. Reevaluating the sciatic nerve block: Another landmark for consideration. Reg. Anesth. 1993, 18, 322–323. [Google Scholar] [PubMed]
- Castaldo, M.; Ge, H.Y.; Chiarotto, A.; Villafane, J.H.; Arendt-Nielsen, L. Myofascial trigger points in patients with whiplash-associated disorders and mechanical neck pain. Pain Med. 2014, 15, 842–849. [Google Scholar] [CrossRef] [PubMed]
- Saranteas, T.; Karakitsos, D.; Alevizou, A.; Poularas, J.; Kostopanagiotou, G.; Karabinis, A. Limitations and technical considerations of ultrasound-guided peripheral nerve blocks: Edema and subcutaneous air. Reg. Anesth. Pain Med. 2008, 33, 353–356. [Google Scholar] [CrossRef] [PubMed]
- Paśnicki, M.; Król, A.; Kosson, D.; Kołacz, M. The Safety of Peripheral Nerve Blocks: The Role of Triple Monitoring in Regional Anaesthesia, a Comprehensive Review. Healthcare 2024, 12, 769. [Google Scholar] [CrossRef] [PubMed] [PubMed Central]
- Andersen, H.L.; Andersen, S.L.; Tranum-Jensen, J. Injection inside the paraneural sheath of the sciatic nerve: Direct comparison among ultrasound imaging, macroscopic anatomy, and histologic analysis. Reg. Anesth. Pain Med. 2012, 37, 410–414. [Google Scholar] [CrossRef] [PubMed]
- Karmakar, M.K.; Reina, M.A.; Sivakumar, R.K.; Areeruk, P.; Pakpirom, J.; Sala-Blanch, X. Ultrasound-guided subparaneural popliteal sciatic nerve block: There is more to it than meets the eyes. Reg. Anesth. Pain Med. 2021, 46, 268–275. [Google Scholar] [CrossRef] [PubMed]




Disclaimer/Publisher’s Note: The statements, opinions and data contained in all publications are solely those of the individual author(s) and contributor(s) and not of MDPI and/or the editor(s). MDPI and/or the editor(s) disclaim responsibility for any injury to people or property resulting from any ideas, methods, instructions or products referred to in the content. |
© 2025 by the authors. Published by MDPI on behalf of the Lithuanian University of Health Sciences. Licensee MDPI, Basel, Switzerland. This article is an open access article distributed under the terms and conditions of the Creative Commons Attribution (CC BY) license (https://creativecommons.org/licenses/by/4.0/).
Share and Cite
Sepolvere, G.; Tedesco, M.; Cibelli, M.; Cirillo, D.; Sparaco, A.; Gagliardi, G.; Costagliola, G.; Cristiano, L.; Scialdone, V.R.; Pasquariello, M.R.; et al. Technical Report on the New Ultrasound Lateral Mid-Shaft Approach to the Sciatic Nerve: A Never-Ending Story. Medicina 2025, 61, 100. https://doi.org/10.3390/medicina61010100
Sepolvere G, Tedesco M, Cibelli M, Cirillo D, Sparaco A, Gagliardi G, Costagliola G, Cristiano L, Scialdone VR, Pasquariello MR, et al. Technical Report on the New Ultrasound Lateral Mid-Shaft Approach to the Sciatic Nerve: A Never-Ending Story. Medicina. 2025; 61(1):100. https://doi.org/10.3390/medicina61010100
Chicago/Turabian StyleSepolvere, Giuseppe, Mario Tedesco, Mario Cibelli, Dario Cirillo, Angelo Sparaco, Giuseppe Gagliardi, Giuseppina Costagliola, Loredana Cristiano, Valeria Rita Scialdone, Maria Rosaria Pasquariello, and et al. 2025. "Technical Report on the New Ultrasound Lateral Mid-Shaft Approach to the Sciatic Nerve: A Never-Ending Story" Medicina 61, no. 1: 100. https://doi.org/10.3390/medicina61010100
APA StyleSepolvere, G., Tedesco, M., Cibelli, M., Cirillo, D., Sparaco, A., Gagliardi, G., Costagliola, G., Cristiano, L., Scialdone, V. R., Pasquariello, M. R., Di Zazzo, F., Merola, L., Della Valle, M., Arminio, D., Bottazzo, L. M., Folliero, M., Ranieri, G., Santonastaso, D. P., & Coviello, A. (2025). Technical Report on the New Ultrasound Lateral Mid-Shaft Approach to the Sciatic Nerve: A Never-Ending Story. Medicina, 61(1), 100. https://doi.org/10.3390/medicina61010100

