Dentigerous Cysts in Children: Clinical, Radiological, and Healing Aspects
Abstract
1. Introduction
2. Materials and Methods
2.1. Clinical Subjects
2.2. Clinical Cases
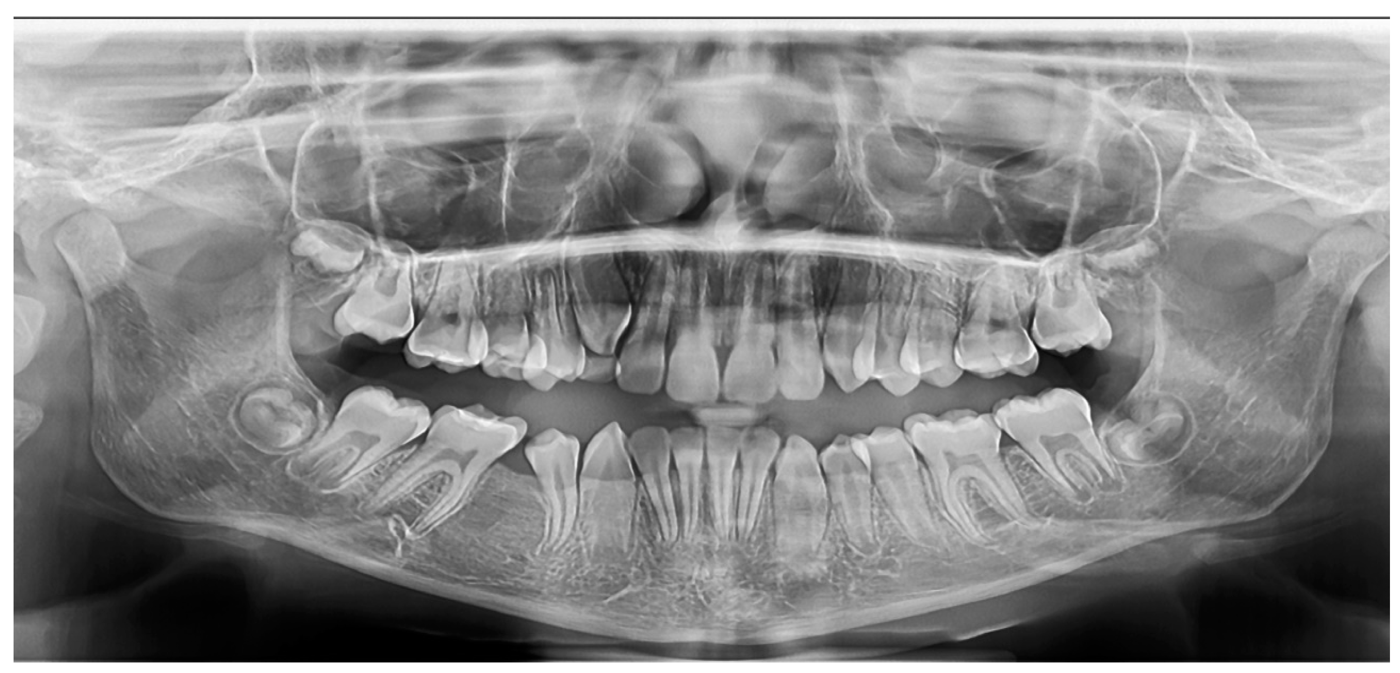
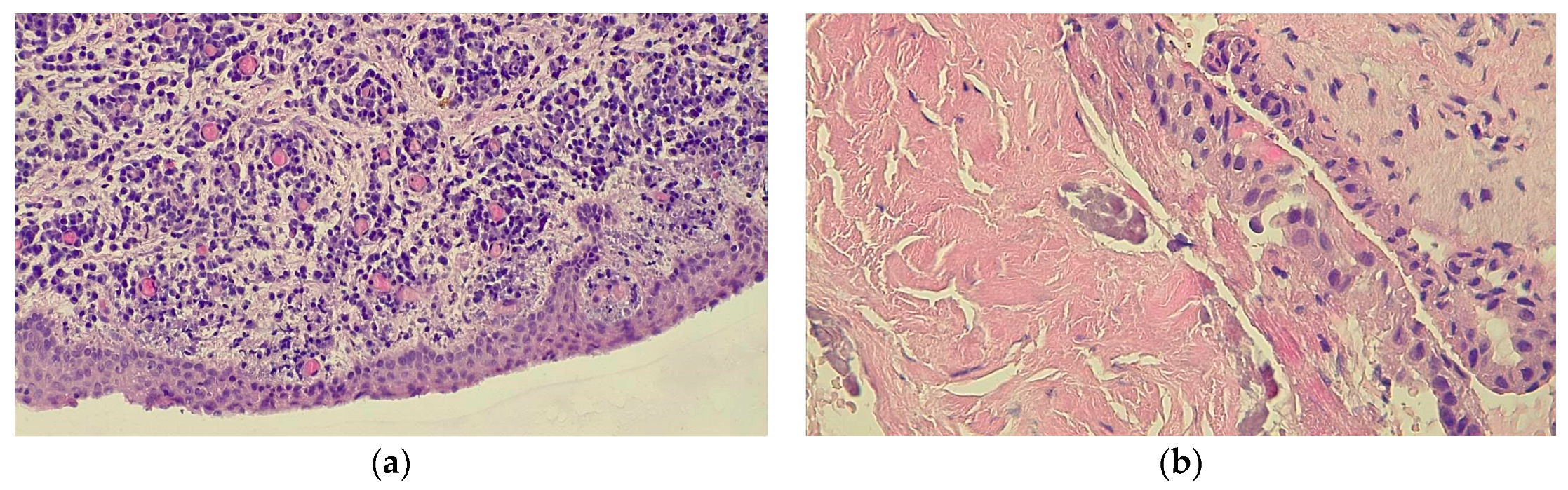
2.2.1. Case 1
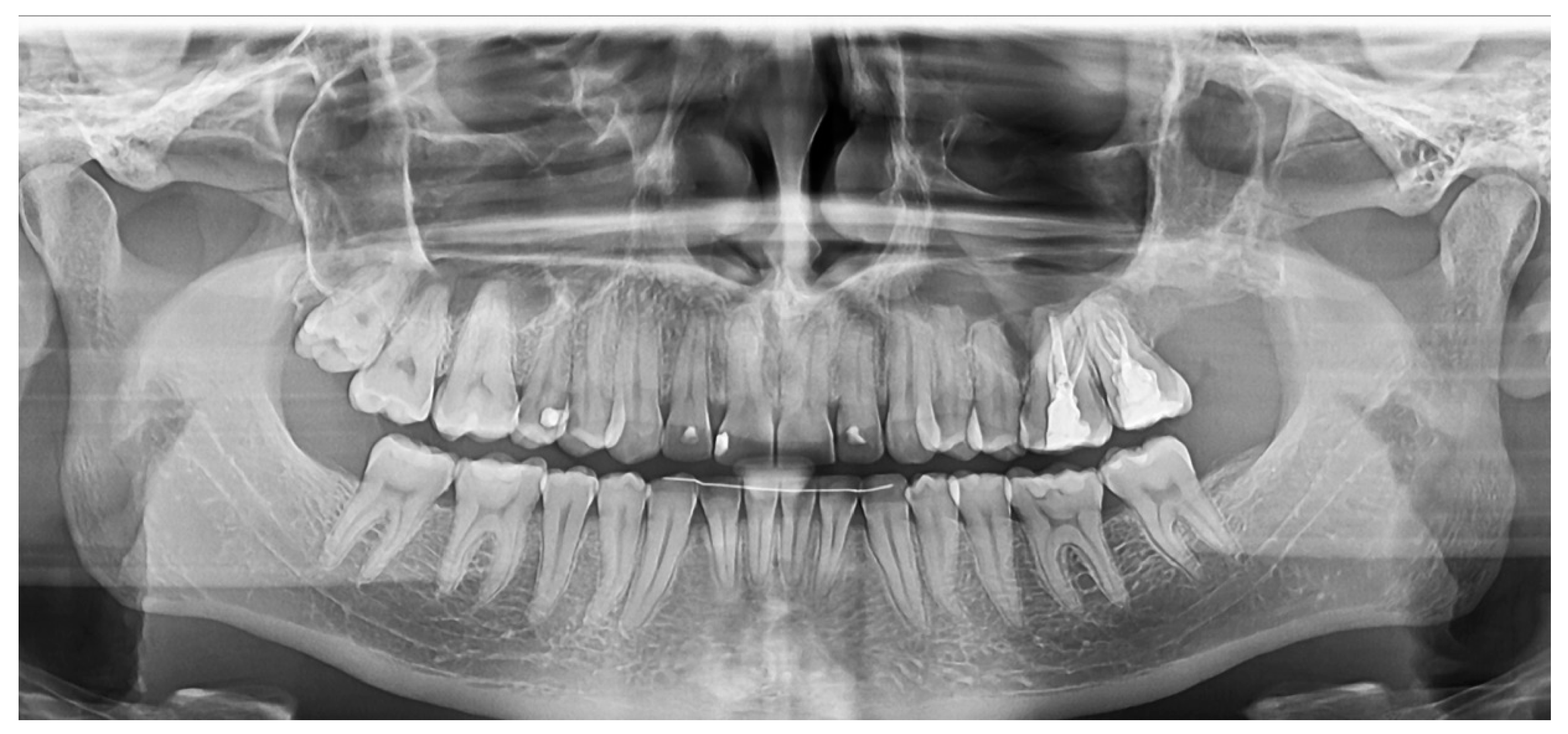
2.2.2. Case 2
2.2.3. Case 3
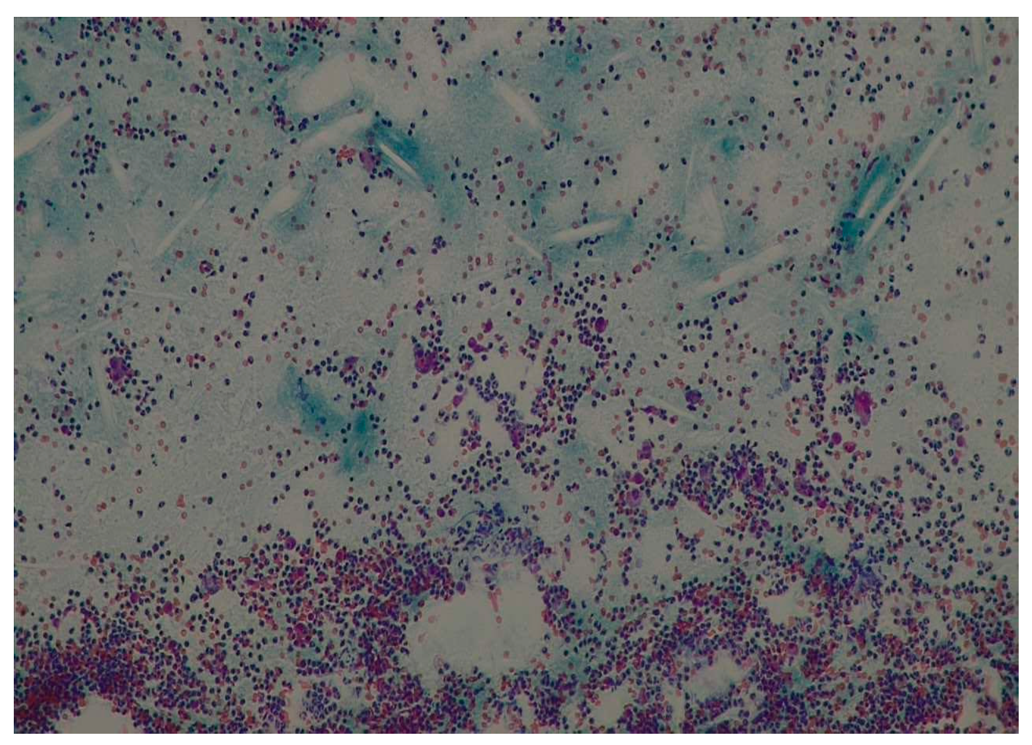
3. Results
4. Discussion
5. Conclusions
Author Contributions
Funding
Institutional Review Board Statement
Informed Consent Statement
Data Availability Statement
Acknowledgments
Conflicts of Interest
References
- Austin, R.P.; Nelson, B.L. Sine qua non: Dentigerous cyst. Head Neck Pathol. 2021, 15, 1261–1264. [Google Scholar] [CrossRef] [PubMed]
- Khalifa, C.; Garma, M.; Mabrouk, R.; Slim, A.; Bouguezzi, A.; Selmi, J. Conservative management of dentigerous cyst in children: Report of two clinical cases. Clin. Case Rep. 2023, 11, e7051. [Google Scholar] [CrossRef] [PubMed]
- Nahajowski, M.; Hnitecka, S.; Antoszewska-Smith, J.; Rumin, K.; Dubowik, M.; Sarul, M. Factors influencing an eruption of teeth associated with a dentigerous cyst: A systematic review and meta-analysis. BMC Oral Health 2021, 21, 180. [Google Scholar] [CrossRef] [PubMed]
- Azariah, E.D.; Ramalingam, S.; Harikrishnan, T.; Khodabux, R.J. Massive infected dentigerous cyst in a young child. Cureus 2023, 15, e39621. [Google Scholar] [CrossRef] [PubMed]
- Patil, A.S.; Jathar, P.N.; Panse, A.M.; Bahutule, S.R.; Patil, R.U.; Patil, M. Infected dentigerous cyst and its conservative management: A report of two cases. Int. J. Clin. Pediatr. Dent. 2019, 12, 68–72. [Google Scholar] [CrossRef] [PubMed]
- Demiriz, L.; Misir, A.F.; Gorur, D.I. Dentigerous cyst in a young child. Eur. J. Dent. 2015, 9, 599–602. [Google Scholar] [CrossRef]
- Gaur, G.; Agarwal, P.; Goyal, G.; Sharma, S. Management of a large dentigerous cyst with enucleation and packing open with BIPP in 9-year-old child: A case report. Int. J. Clin. Pediatr. Dent. 2023, 16, 515–517. [Google Scholar]
- Martinelli-Kläy, C.P.; Martinelli, C.R.; Martinelli, C.; Macedo, H.R.; Lombardi, T. Unusual imaging features of dentigerous cyst: A case report. Dent. J. 2019, 7, 76. [Google Scholar] [CrossRef] [PubMed]
- McKinney, S.L.; Lukes, S.M. Dentigerous cyst in a young child: A case report. Can. J. Dent. Hyg. 2021, 55, 177–181. [Google Scholar] [PubMed]
- Rajae, E.G.; Karima, E.H. Dentigerous cyst: Enucleation or marsupialization? (a case report). Pan Afr. Med. J. 2021, 40, 149. [Google Scholar]
- Narang, R.S.; Manchanda, A.S.; Arora, P.; Randhawa, K. Dentigerous cyst of inflammatory origin-a diagnostic dilemma. Ann. Diagn. Pathol. 2012, 16, 119–123. [Google Scholar] [CrossRef] [PubMed]
- Allison, J.R.; Garlington, G. The value of cone beam computed tomography in the management of dentigerous cysts—A review and case report. Dent. Update 2017, 44, 182–188. [Google Scholar] [CrossRef] [PubMed][Green Version]
- Suresh, R.; Janardhanan, M.; Joseph, A.P.; Vinodkumar, R.B.; Peter, S. A rare case of dentigerous cyst in a one year old child: The earliest known reported occurrence. Head Neck Pathol. 2011, 5, 171–174. [Google Scholar] [CrossRef] [PubMed][Green Version]
- Kalaskar, R.R.; Tiku, A.; Damle, S.G. Dentigerous cysts of anterior maxilla in a young child: A case report. J. Indian Soc. Pedod. Prev. Dent. 2007, 25, 187–190. [Google Scholar] [CrossRef] [PubMed]
- Boyczuk, M.P.; Berger, J.R.; Lazow, S.K. Identifying a deciduous dentigerous cyst. JADA 1995, 126, 643–644. [Google Scholar] [CrossRef] [PubMed]
- Shafer, W.G.; Hine, M.K.; Levy, B.M. A Textbook of Oral Pathology, 4th ed.; Reed Elsevier India Private Ltd: Haryana, India, 2006; pp. 260–265. [Google Scholar]
- Parul, B.; Purv, P. Recurrent dentigerous cyst with malignant transformation of cyst lining–a case report. J. Pierre Fauchard Acad. (India Sect.) 2012, 26, 59–63. [Google Scholar] [CrossRef]
- Borghesi, A.; Nardi, C.; Giannitto, C.; Tironi, A.; Maroldi, R.; Di Bartolomeo, F.; Preda, L. Odontogenic keratocyst: Imaging features of a benign lesion with an aggressive behaviour. Insights Into Imaging 2018, 9, 883–897. [Google Scholar] [CrossRef] [PubMed]
- Spoorthi, B.R.; Rao, R.S.; Rajashekaraiah, P.B.; Patil, S.; Venktesaiah, S.S.; Purushothama, P. Predominantly cystic central mucoepidermoid carcinoma developing from a previously diagnosed dentigerous cyst: Case report and review of the literature. Clin. Pract. 2013, 3, e19. [Google Scholar] [CrossRef] [PubMed]
- Goyal, S.; Sharma, S.; Kotru, M.; Gupta, N. Role of FNAC in the diagnosis of intraosseous jaw lesions. Med. Oral Patol. Oral Y Cirugía Bucal. 2015, 20, e284. [Google Scholar] [CrossRef] [PubMed]
- Permi, H.S.; Sunil, K.Y.; Sajitha, K.; Kishan, P.H.; Teerthanath, S.; Jayaprakash, S.K. A prospective study of fine needle aspiration cytology of intraoral lesions. J. Evol. Med. Dent. Sci. 2015, 4, 14777–14787. [Google Scholar] [CrossRef]
- Berretta, L.M.; Melo, G.; Mello, F.W.; Lizio, G.; Rivero, E.R. Effectiveness of marsupialisation and decompression on the reduction of cystic jaw lesions: A systematic review. Br. J. Oral Maxillofac. Surg. 2021, 59, E17–E42. [Google Scholar] [CrossRef] [PubMed]
- Rubio, E.; Mombrú, C. Spontaneous bone healing after cysts enucleation without bone grafting materials: A randomized clinical study. Craniomaxillofacial Trauma Reconstr. 2015, 8, 14–22. [Google Scholar] [CrossRef] [PubMed]
- Haq, E.U.; Qayyum, M.U.; Ilahı, M.I.; Janjua, S.A.; Aslam, A.; Zahra, R.; Şahin, O. Conservative management of a dentigerous cyst associated with eruption of teeth in a 7-year-old girl: A case report. J. Korean Assoc. Oral Maxillofac. Surg. 2017, 43, S1–S5. [Google Scholar]
- Hauer, L.; Seidlová, P.; Merglová, V.; Hrusak, D.; Böhmová, H.; Posta, P.; Gencur, J.; Netolicky, J. Complete removal of dentigerous cysts with preservation of associated teeth as an alternative to marsupialization in children and preadolescents. J. Cranio-Maxillofac. Surg. 2020, 48, 808–814. [Google Scholar] [CrossRef] [PubMed]
- Oliveros-Lopez, L.; Fernandez-Olavarria, A.; Torres-Lagares, D.; Serrera-Figallo, M.A.; Castillo-Oyagüe, R.; Segura-Egea, J.J.; Gutierrez-Perez, J.L. Reduction rate by decompression as a treatment of odontogenic cysts. Med. Oral Patol. Oral Y Cir. Bucal 2017, 22, e643. [Google Scholar] [CrossRef] [PubMed]
- Homem, M.D.; Simões, W.A.; Deboni, M.C.; Chilvarquer, I.; Traina, A.A. Dentigerous cyst associated with an upper permanent central incisor: Case report and literature review. J. Clin. Pediatr. Dent. 2002, 26, 187–192. [Google Scholar] [CrossRef] [PubMed]
- Hayasaki, H.; Ishibashi, M.; Nakamura, S.; Fukumoto, S.; Nonaka, K. Dentigerous cyst in primary dentition: Case report of a 4-year-old girl. Pediatr. Dent. 2009, 31, 294–297. [Google Scholar] [PubMed]
- Erdelyi, R.-A.; Duma, V.-F.; Sinescu, C.; Dobre, G.M.; Bradu, A.; Podoleanu, A. Dental diagnosis and treatment assessments: Between X-rays radiography and optical coherence tomography. Materials 2020, 13, 4825. [Google Scholar] [CrossRef]
- Erdelyi, R.-A.; Duma, V.-F.; Sinescu, C.; Dobre, G.M.; Bradu, A.; Podoleanu, A. Optimization of X-ray investigations in dentistry using optical coherence tomography. Sensors 2021, 21, 4554. [Google Scholar] [CrossRef]











| Nr. | Age | Sex | Mandible/Maxilla | Causal Tooth (Cyst Localization) | FNAC | Size of the Cystic Lesion (cm) | 
|---|---|---|---|---|---|---|
| 1 | 16 y/o | M | Mandible | 4.8 (right mandibulary third molar) | yes | 1.9 | 
| 2 | 11 y/o | M | Maxilla | 1.5 (right maxillary second premolar) | yes | 4.52 | 
| 3 | 13 y/o | F | Maxilla | 2.3 (left maxillary canine) | yes | 1.73 | 
| 4 | 9 y/o | M | Mandible | 4.5 (right mandibulary second premolar) | yes | 2.5 | 
| 5 | 6 y/o | F | Maxilla | 1.2 (right maxillary lateral incisor) | yes | 1.82 | 
| 6 | 14 y/o | M | Mandible | 3.5 (left mandibulary second premolar) | yes | 2.25 | 
| 7 | 10 y/o | M | Mandible | 4.2 (right lateral incisor) | yes | 2.11 | 
| 8 | 13 y/o | F | Maxilla | 2.5 (left maxillary second premolar) | yes | 4.7 | 
| 9 | 14 y/o | F | Mandible | 4.5 (right mandibulary second premolar) | yes | 2.82 | 
| 10 | 9 y/o | M | Maxilla | 1.3 (right maxillary canine) | yes | 1.94 | 
| 11 | 7 y/o | M | Mandible | 4.2 (right mandibulary lateral incisor) | yes | 1.5 | 
| 12 | 16 y/o | M | Mandible | 3.8 (left mandibulary third molar) | yes | 6.1 | 
| 13 | 11 y/o | M | Mandible | 4.5 (right mandibulary second premolar) | yes | 3.65 | 
| 14 | 18 y/o | M | Mandible | 3.8 (left mandibulary third molar) | yes | 3.3 | 
| 15 | 9 y/o | F | Mandible | 3.4 (left mandibulary first premolar) | yes | 3.1 | 
| 16 | 18 y/o | F | Maxilla | 1.8 (right maxillary third molar) | yes | 4.8 | 
| 17 | 18 y/o | M | Maxilla | 2.8 (left maxillary third molar) | yes | 6.7 | 
| 18 | 16 y/o | M | Maxilla | 1.8 (right maxillary third molar) | yes | 5.1 | 
| 19 | 11 y/o | F | Mandible | 3.3 (left mandibulary canine) | yes | 2.3 | 
| Disclaimer/Publisher’s Note: The statements, opinions and data contained in all publications are solely those of the individual author(s) and contributor(s) and not of MDPI and/or the editor(s). MDPI and/or the editor(s) disclaim responsibility for any injury to people or property resulting from any ideas, methods, instructions or products referred to in the content. | 
© 2024 by the authors. Licensee MDPI, Basel, Switzerland. This article is an open access article distributed under the terms and conditions of the Creative Commons Attribution (CC BY) license (https://creativecommons.org/licenses/by/4.0/).
Share and Cite
Langă, M.C.; Nica, D.F.; Duma, V.-F.; Heredea, R.E.; Sinescu, C. Dentigerous Cysts in Children: Clinical, Radiological, and Healing Aspects. Medicina 2024, 60, 1133. https://doi.org/10.3390/medicina60071133
Langă MC, Nica DF, Duma V-F, Heredea RE, Sinescu C. Dentigerous Cysts in Children: Clinical, Radiological, and Healing Aspects. Medicina. 2024; 60(7):1133. https://doi.org/10.3390/medicina60071133
Chicago/Turabian StyleLangă, Maria Cristina, Diana Florina Nica, Virgil-Florin Duma, Rodica Elena Heredea, and Cosmin Sinescu. 2024. "Dentigerous Cysts in Children: Clinical, Radiological, and Healing Aspects" Medicina 60, no. 7: 1133. https://doi.org/10.3390/medicina60071133
APA StyleLangă, M. C., Nica, D. F., Duma, V.-F., Heredea, R. E., & Sinescu, C. (2024). Dentigerous Cysts in Children: Clinical, Radiological, and Healing Aspects. Medicina, 60(7), 1133. https://doi.org/10.3390/medicina60071133
 
        





 
       