Placental Protein 13 and Syncytiotrophoblast Basement Membrane Ultrastructures in Preeclampsia
Abstract
1. Introduction
2. Materials and Methods
2.1. Study Population
2.2. Data Collection
2.3. Analytical Statistics
3. Results
3.1. Characteristics of Research Subjects
3.2. Concentration of PP13 in Maternal Serum
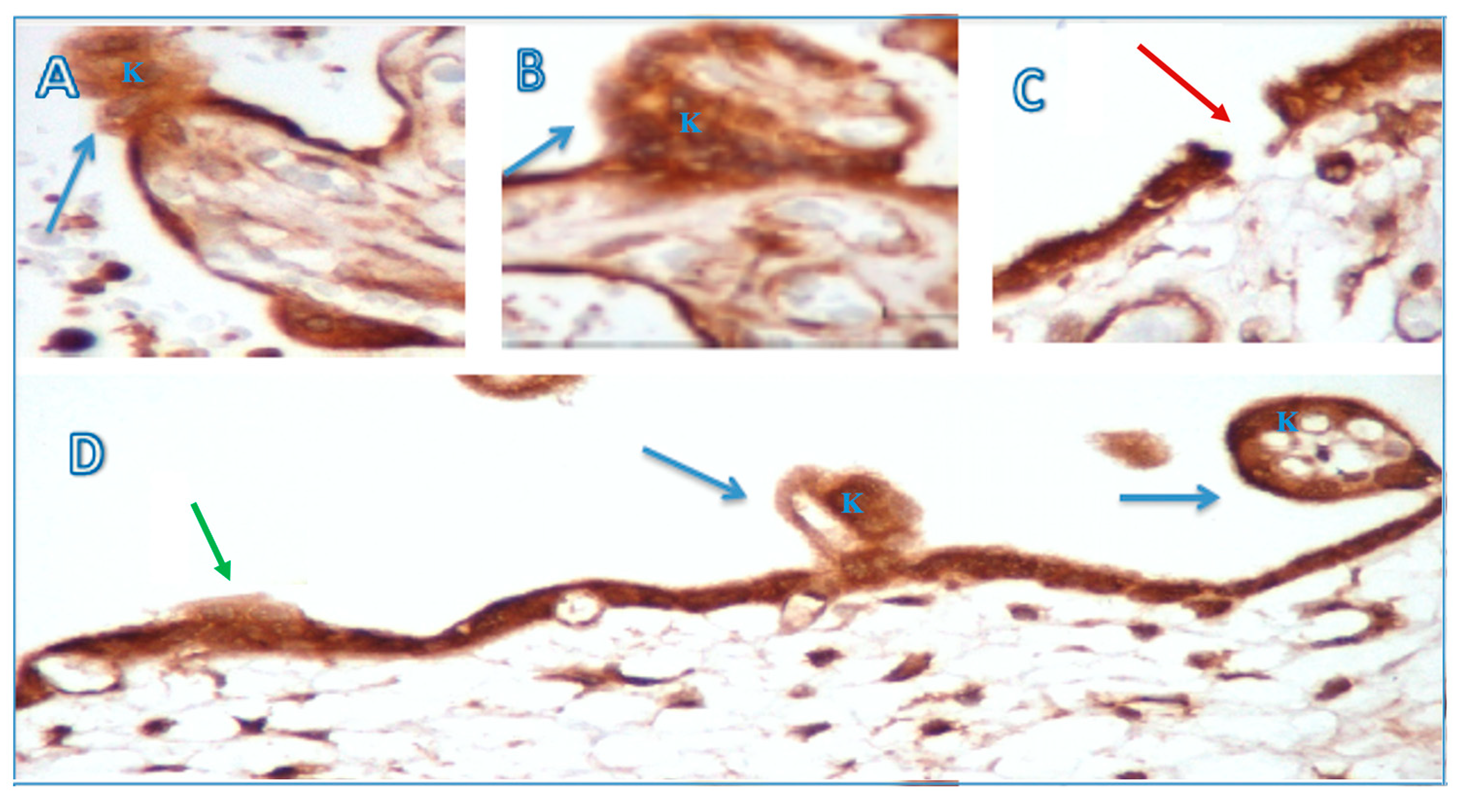
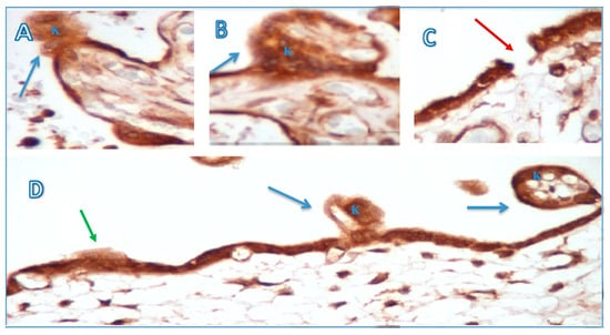
3.3. Expression of PP13 in Placental Syncytiotrophoblast
3.4. Placental Aponecrosis
4. Discussion
4.1. Characteristics of Research Subjects
4.2. Maternal Serum Concentration of PP13
4.3. The Expression of PP13 in Placental Syncytiotrophoblast
4.4. Placental Syncytiotrophoblast Basement Membrane Damage
4.5. The Pathomechanism of Aponecrosis, PP13, and Systemic Endothelial Dysfunction
4.6. Strength and Limitation of the Study
5. Conclusions
Author Contributions
Funding
Institutional Review Board Statement
Informed Consent Statement
Data Availability Statement
Acknowledgments
Conflicts of Interest
References
- Sharma, M.; Dhingra, R.; Kumar, R. Relevance of placental pathological changes of maternal inflammatory syndrome along with the obstetric and clinical parameters in preeclampsia. Int. J. Sci. Res. Publ. 2012, 2, 1–8. [Google Scholar]
- Chang, K.-J.; Seow, K.-M.; Chen, K.-H. Preeclampsia: Recent Advances in Predicting, Preventing, and Managing the Maternal and Fetal Life-Threatening Condition. Int. J. Environ. Res. Public Health 2023, 20, 2994. [Google Scholar] [CrossRef]
- Magee, L.A.; Nicolaides, K.H.; von Dadelszen, P. Preeclampsia. Obstet. Gynecol. Surv. 2023, 77, 641–643. [Google Scholar] [CrossRef]
- Tanaka, M.; Tsujimoto, Y.; Goto, K.; Kumahara, K.; Onishi, S.; Iwanari, S.; Fumihara, D.; Miki, S.; Ikeda, M.; Sato, K.; et al. Preeclampsia before 20 weeks of gestation: A case report and review of the literature. CEN Case Rep. 2015, 4, 55. [Google Scholar] [CrossRef][Green Version]
- Redman, C.W.; Sacks, G.P.; Sargent, I.L. Preeclampsia: An excessive maternal inflammatory response to pregnancy. Am. J. Obstet. Gynecol. 1999, 180, 499–506. [Google Scholar] [CrossRef]
- Gonen, R.; Shahar, R.; Grimpel, Y.; Chefetz, I.; Sammar, M.; Meiri, H.; Gibor, Y. Placental protein 13 as an early marker for pre-eclampsia: A prospective longitudinal study. BJOG 2008, 115, 1465–1472. [Google Scholar] [CrossRef]
- Huppertz, B. Reproduktionsmedizin und Endokrinologie Placental Villous Trophoblast: The Altered Balance. J. Reproduktionsmed. Endokrinol. 2006, 3, 103–108. [Google Scholar]
- Formigli, L.; Papucci, L.; Tani, A.; Schiavone, N.; Tempestini, A.; Orlandini, G.E.; Capaccioli, S.; Orlandini, S.Z. Aponecrosis: Morphological and biochemical exploration of a syncretic process of cell death sharing apoptosis and necrosis. J. Cell. Physiol. 2000, 182, 41–49. [Google Scholar] [CrossRef]
- Goswami, D.; Tannetta, D.; Magee, L.; Fuchisawa, A.; Redman, C.; Sargent, I.; von Dadelszen, P. Excess syncytiotrophoblast microparticle shedding is a feature of early-onset pre-eclampsia, but not normotensive intrauterine growth restriction. Placenta 2006, 27, 56–61. [Google Scholar] [CrossRef]
- Petrák, O.; Widimský, J.; Zelinka, T.; Kvasnička, J.; Štrauch, B.; Holaj, R.; Štulc, T.; Kvasnička, T.; Bílková, J.; Škrha, J. Biochemical markers of endothelial dysfunction in patients with endocrine and essential hypertension. Physiol. Res. 2006, 55, 597–602. [Google Scholar] [CrossRef]
- Widlansky, M.E.; Gokce, N.; Keaney, J.F., Jr.; Vita, J.A. The clinical implications of endothelial dysfunction. J. Am. Coll. Cardiol. 2003, 42, 1149–1160. [Google Scholar] [CrossRef] [PubMed]
- Myatt, L.; Webster, R.P. Vascular biology of preeclampsia. J. Thromb. Haemost. 2009, 7, 375–384. [Google Scholar] [CrossRef] [PubMed]
- Huppertz, B.; Kadyrov, M.; Kingdom, J.C. Apoptosis and its role in the trophoblast. Am. J. Obstet. Gynecol. 2006, 195, 29–39. [Google Scholar] [CrossRef] [PubMed]
- Than, N.G.; Rahman, O.A.; Magenheim, R.; Nagy, B.; Fule, T.; Hargitai, B.; Sammar, M.; Hupuczi, P.; Tarca, A.L.; Szabo, G.; et al. Placental protein 13 (galectin-13) has decreased placental expression but increased shedding and maternal serum concentrations in patients presenting with preterm pre-eclampsia and HELLP syndrome. Virchows Arch. 2008, 453, 387–400. [Google Scholar] [CrossRef] [PubMed]
- Zadeh, N.M.; Naghshvar, F.; Peyvandi, S.; Gheshlaghi, P.; Ehetshami, S. PP13 and PAPP-A in the First and Second Trimesters: Predictive Factors for Preeclampsia? ISRN Obstet. Gynecol. 2012, 2012, 263871. [Google Scholar] [CrossRef][Green Version]
- Hernández-Díaz, S.; Toh, S.; Cnattingius, S. Risk of pre-eclampsia in first and subsequent pregnancies: Prospective cohort study. BMJ 2009, 338, 34. [Google Scholar] [CrossRef] [PubMed]
- Iacobelli, S.; Bonsante, F.; Robillard, P.Y. Comparison of risk factors and perinatal outcomes in early onset and late onset preeclampsia: A cohort based study in Reunion Island. J. Reprod. Immunol. 2017, 123, 12–16. [Google Scholar] [CrossRef]
- Huppertz, B.; Sammar, M.; Chefetz, I.; Neumaier-Wagner, P.; Bartz, C.; Meiri, H. Longitudinal determination of serum placental protein 13 during development of preeclampsia. Fetal Diagn. Ther. 2008, 24, 230–236. [Google Scholar] [CrossRef]
- Than, N.G.; Romero, R.; Goodman, M.; Weckle, A.; Xing, J.; Dong, Z.; Xu, Y.; Tarquini, F.; Szilagyi, A.; Gal, P.; et al. A primate subfamily of galectins expressed at the maternal-fetal interface that promote immune cell death. Proc. Natl. Acad. Sci. USA 2009, 106, 9731–9736. [Google Scholar] [CrossRef]
- Drobnjak, T.; Jónsdóttir, A.M.; Helgadottir, H.; Runólfsdóttir, M.S.; Meiri, H.; Sammar, M.; Osol, G.; Mandalà, M.; Huppertz, B.; Gizurarson, S. Placental protein 13 (PP13) stimulates rat uterine vessels after slow subcutaneous administration. Int. J. Women’s Health 2019, 11, 213–222. [Google Scholar] [CrossRef]
- Than, N.G.; Pick, E.; Bellyei, S.; Szigeti, A.; Burger, O.; Berente, Z.; Janaky, T.; Boronkai, A.; Kliman, H.; Meiri, H.; et al. Functional analyses of placental protein 13/galectin-13. Eur. J. Biochem. 2004, 271, 1065–1078. [Google Scholar] [CrossRef] [PubMed]
- Kliman, H.J.; Sammar, M.; Grimpel, Y.I.; Lynch, S.K.; Milano, K.M.; Pick, E.; Bejar, J.; Arad, A.; Lee, J.J.; Meiri, H.; et al. Placental protein 13 and decidual zones of necrosis: An immunologic diversion that may be linked to preeclampsia. Reprod. Sci. 2016, 19, 16–30. [Google Scholar] [CrossRef] [PubMed]
- Romero, R.; Kusanovic, J.P.; Than, N.G.; Erez, O.; Gotsch, F.; Espinoza, J.; Edwin, S.; Chefetz, I.; Gomez, R.; Nien, J.K.; et al. First Trimester Maternal Serum PP13 in the Risk Assessment for Preeclampsia. Am. J. Obstet. Gynecol. 2008, 199, 122.e1. [Google Scholar] [CrossRef] [PubMed][Green Version]
- Redman, C.W.; Sargent, I.L. Latest advances in understanding preeclampsia. Science 2005, 308, 1592–1594. [Google Scholar] [CrossRef]
- Egbar, M.; Ansari, T.; Morris, N. Morphometric placental villous and vascular abnormalities in early- and late-onset pre-eclampsia with and without fetal growth restriction. BJOG 2006, 113, 580–589. [Google Scholar] [CrossRef]





| Characteristics | Early-Onset PE | Late-Onset PE | Control | p Value * |
|---|---|---|---|---|
| Age (years) | 31.56 ± 7.47 | 29.37 ± 6.18 | 30.23 ± 2.32 | 0.381 |
| Height (cm) | 154.41 ± 4.76 | 153.96 ± 4.93 | 154.58 ± 5.93 | 0.907 |
| Body Weight (kg) | 72.89 ± 10.05 | 79.96 ± 10.14 | 69.04 ± 5.11 | 0.286 |
| BSA (m3) | 1.76 ± 0.14 | 1.74 ± 0.14 | 1.72 ± 0.08 | 0.423 |
| BMI (kg/m2) | 30.50 ± 3.37 | 29.91 ± 3.93 | 28.97 ± 2.77 | 0.263 |
| Parity | 1.33 ± 1.30 | 1.11 ± 1.34 | 1.15 ± 0.54 | 0.746 |
| Gestational age (weeks) | 31.37 ± 1.96 | 37.81 ± 1.90 | 38.00 ± 0.00 | <0.001 |
| Marker | Early-Onset PE | Late-Onset PE | Control | p Value * |
|---|---|---|---|---|
| PP13 | 260.8 (38.4–1233.4) + | 244.2 (80.4–722.6) ++ | 232.5 (34.6–476) | 0.575 |
| Marker | Early-Onset PE | Late-Onset PE | Control | p Value * |
|---|---|---|---|---|
| PP13 | 3.38 ± 0.46 + | 4.06 ± 0.82 ++ | 4.51 ± 1.16 | <0.001 |
Disclaimer/Publisher’s Note: The statements, opinions and data contained in all publications are solely those of the individual author(s) and contributor(s) and not of MDPI and/or the editor(s). MDPI and/or the editor(s) disclaim responsibility for any injury to people or property resulting from any ideas, methods, instructions or products referred to in the content. |
© 2024 by the authors. Licensee MDPI, Basel, Switzerland. This article is an open access article distributed under the terms and conditions of the Creative Commons Attribution (CC BY) license (https://creativecommons.org/licenses/by/4.0/).
Share and Cite
Lestari, P.M.; Wibowo, N.; Prasmusinto, D.; Yamin, M.; Siregar, N.C.; Prihartono, J.; Timan, I.S.; Mose, J.C.; Liberty, I.A.; Kesty, C.; et al. Placental Protein 13 and Syncytiotrophoblast Basement Membrane Ultrastructures in Preeclampsia. Medicina 2024, 60, 1077. https://doi.org/10.3390/medicina60071077
Lestari PM, Wibowo N, Prasmusinto D, Yamin M, Siregar NC, Prihartono J, Timan IS, Mose JC, Liberty IA, Kesty C, et al. Placental Protein 13 and Syncytiotrophoblast Basement Membrane Ultrastructures in Preeclampsia. Medicina. 2024; 60(7):1077. https://doi.org/10.3390/medicina60071077
Chicago/Turabian StyleLestari, Peby Maulina, Noroyono Wibowo, Damar Prasmusinto, Muhammad Yamin, Nuryati Chairani Siregar, Joedo Prihartono, Ina Susianti Timan, Johanes C. Mose, Iche Andriyani Liberty, Cindy Kesty, and et al. 2024. "Placental Protein 13 and Syncytiotrophoblast Basement Membrane Ultrastructures in Preeclampsia" Medicina 60, no. 7: 1077. https://doi.org/10.3390/medicina60071077
APA StyleLestari, P. M., Wibowo, N., Prasmusinto, D., Yamin, M., Siregar, N. C., Prihartono, J., Timan, I. S., Mose, J. C., Liberty, I. A., Kesty, C., & Stevanny, B. (2024). Placental Protein 13 and Syncytiotrophoblast Basement Membrane Ultrastructures in Preeclampsia. Medicina, 60(7), 1077. https://doi.org/10.3390/medicina60071077

