Direct Aspiration Thrombectomy in the Management of Procedural Thromboembolic Complications Related to Endovascular Brain Aneurysm Treatment
Abstract
1. Introduction
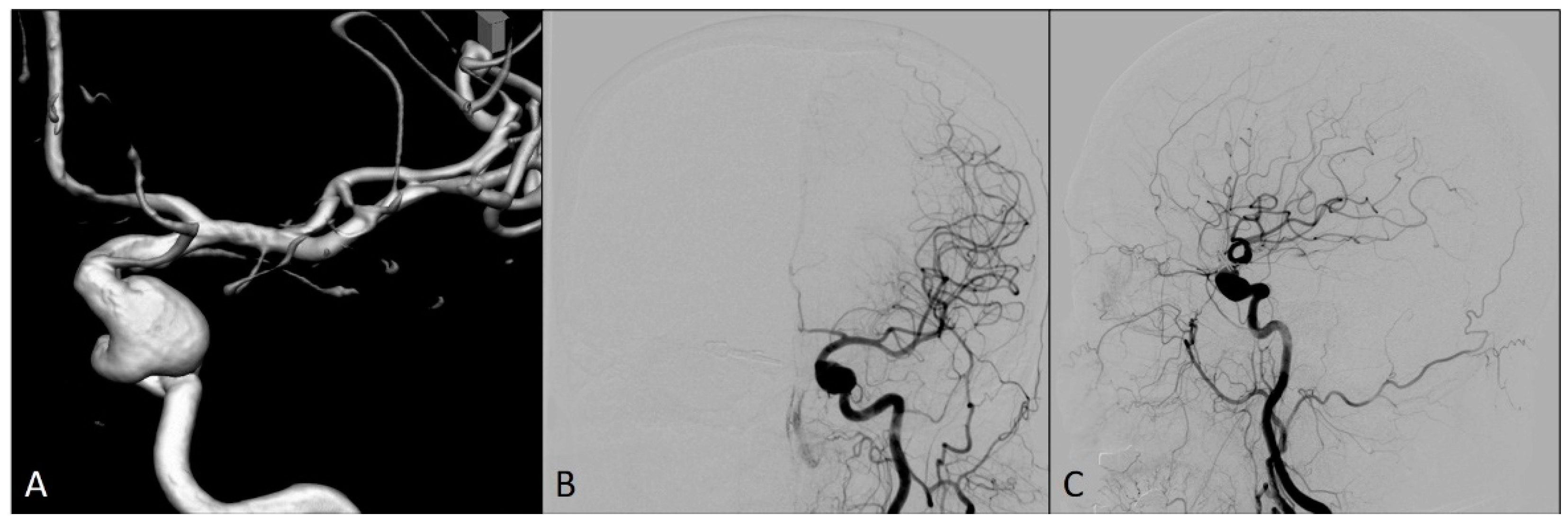
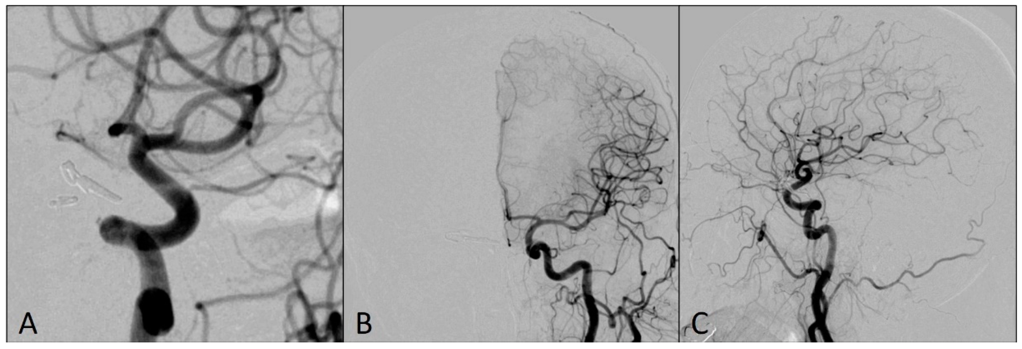
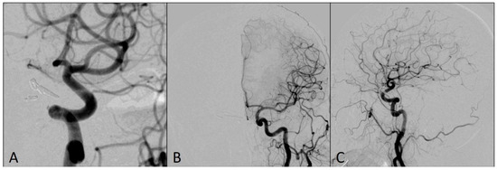
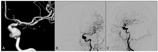
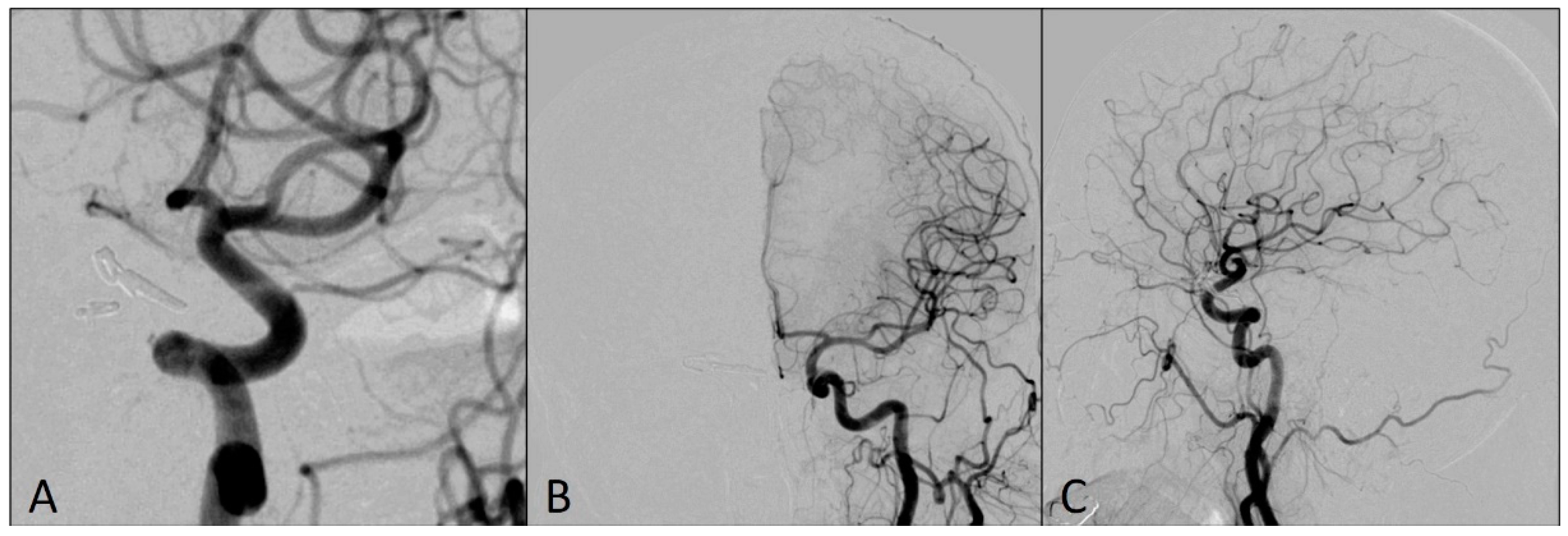
2. Case Report
3. Discussion
4. Conclusions
Author Contributions
Funding
Institutional Review Board Statement
Informed Consent Statement
Data Availability Statement
Conflicts of Interest
References
- Bruening, R.; Mueller-Schunk, S.; Morhard, D.; Seelos, K.; Brueckmann, H.; Schmid-Elsaesser, R.; Straube, A.; Mayer, T. Intraprocedural thrombus formation during coil placement in ruptured intracranial aneurysms: Treatment with systemic application of the glycoprotein IIb/IIIa antagonist tirofiban. AJNR Am. J. Neuroradiol. 2006, 27, 1326–1331. [Google Scholar] [PubMed]
- Ramakrishnan, P.; Yoo, A.J.; Rabinov, J.D.; Ogilvy, C.S.; Hirsch, J.A.; Nogueira, R.G. Intra-arterial eptifibatide in the management of thromboembolism during endovascular treatment of intracranial aneurysms: Case series and a review of the literature. Interv. Neurol. 2013, 2, 19–29. [Google Scholar] [CrossRef] [PubMed]
- Ihn, Y.K.; Shin, S.H.; Baik, S.K.; Choi, I.S. Complications of endovascular treatment for intracranial aneurysms: Management and prevention. Interv. Neuroradiol. 2018, 24, 237–245. [Google Scholar] [CrossRef] [PubMed]
- Cho, Y.D.; Lee, J.Y.; Seo, J.H.; Kang, H.-S.; Kim, J.E.; Jung, K.H.; Han, M.H. Intra-arterial tirofiban infusion for thromboembolic complication during coil embolization of ruptured intracranial aneurysms. Eur. J. Radiol. 2012, 81, 2833–2838. [Google Scholar] [CrossRef] [PubMed]
- Kim, J.W.; Jeon, P.; Kim, G.M.; Bang, O.Y.; Byun, H.S.; Kim, K.H. Local intraarterial tirofiban after formation of anterograde flow in patients with acute ischemic stroke: Preliminary experience andshort term follow-up results. Clin. Neurol. Neurosurg. 2012, 114, 1316–1319. [Google Scholar] [CrossRef] [PubMed]
- Brinjikji, W.; Morales-Valero, S.F.; Murad, M.H.; Cloft, H.J.; Kallmes, D.F. Rescue treatment of thromboembolic complications during endovascular treatment of cerebral aneurysms: A meta-analysis. AJNR Am. J. Neuroradiol. 2015, 36, 121–125. [Google Scholar] [CrossRef] [PubMed]
- COMPASS. Trial: A Direct Aspiration First Pass Technique (COMPASS). 2016. Available online: https://clinicaltrials.gov/ct2/show/record/NCT02466893 (accessed on 9 September 2017).
- Kim, Y.W.; Hwang, Y.H.; Kim, Y.S.; Kang, D.H. Frontline contact aspiration thrombectomy using SOFIA catheter for acute ischemic stroke: Period-toperiod comparison with Penumbra catheter. Acta Neurochirurg. 2019, 161, 1197–1204. [Google Scholar] [CrossRef] [PubMed]
- Li, H.; Liu, J.F.; Li, C.H.; Wang, J.W.; Tian, Y.Y. Successful Thrombectomy Using Sofia (6F) PLUS Catheter in Acute Stroke Patient with Coincident Proximal Unruptured Aneurysm. World Neurosurg. 2019, 132, 245–250. [Google Scholar] [CrossRef] [PubMed]
- Brooks, N.P.; Turk, A.S.; Niemann, D.B.; Aagaard-Kienitz, B.; Pulfer, K.; Cook, T. Frequency of thromboembolic events associated with endovascular aneurysm treatment: Retrospective case series. J. Neurosurg. 2008, 108, 1095–1100. [Google Scholar] [CrossRef] [PubMed]
- Ahn, J.H.; Jun, H.S.; Song, J.H.; Cho, B.M.; Lee, H.K.; Kim, B.-C.; Hyun, D.-K.; Chang, I.B. Rescue mechanical thrombectomy using a retrievable stent for thromboembolic occlusion occurring during coil embolization of ruptured intracranial aneurysms. J. Neurointerv. Surg. 2017, 9, 244–249. [Google Scholar] [CrossRef] [PubMed]
- van Rooij, W.J.; Sluzewski, M.; Beute, G.N.; Nijssen, P.C. Procedural complications of coiling of ruptured intracranial aneurysms: Incidence and risk factors in a consecutive series of 681 patients. Am. J. Neuroradiol. 2006, 27, 1498–1501. [Google Scholar] [PubMed]
- Briganti, F.; Leone, G.; Marseglia, M.; Chiaramonte, C.; Solari, D.; Caranci, F.; Cappabianca, P.; Maiuri, F. Mechanical Thrombectomy in the Treatment of Distal Occlusions during Coil Embolization of Ruptured Intracranial Aneurysms. NMC Case Rep. J. 2016, 3, 115–117. [Google Scholar] [CrossRef] [PubMed][Green Version]
- Rordorf, G.; Bellon, R.J.; Budzik, R.E., Jr.; Farkas, J.; Reinking, G.F.; Pergolizzi, R.S.; Ezzeddine, M.; Norbash, A.M.; Gonzalez, R.G.; Putman, C.M. Silent thromboembolic events associated with the treatment of unruptured cerebral aneurysms by use of Guglielmi detachable coils: Prospective study applying diffusion-weighted imaging. AJNR Am. J. Neuroradiol. 2001, 22, 5–10. [Google Scholar] [PubMed]
- Ngoepe, M.N.; Frangi, A.F.; Byrne, J.V.; Ventikos, Y. Thrombosis in Cerebral Aneurysms and the Computational Modeling Thereof: A Review. Front. Physiol. 2018, 9, 306. [Google Scholar] [CrossRef]
- Ries, T.; Siemonsen, S.; Grzyska, U.; Zeumer, H.; Fiehler, J. Abciximab is a safe rescue therapy in thromboembolic events complicating cerebral aneurysm coil embolization: Single center experience in 42 cases and review of the literature. Stroke 2009, 40, 1750–1757. [Google Scholar] [CrossRef]
- Castaño, C.; Dorado, L.; Remollo, S.; García-Bermejo, P.; Gomis, M.; de la Ossa, N.P.; Millán, M.; García-Sort, M.R.; Hidalgo, C.; López-Cancio, E.; et al. Unwanted detachment of the Solitaire device during mechanical thrombectomy in acute ischemic stroke. J. Neurointerv. Surg. 2016, 8, 1226–1230. [Google Scholar] [CrossRef] [PubMed]
- Turk, A.S.; Frei, D.; Fiorella, D.; Mocco, J.; Baxter, B.; Siddiqui, A.; Spiotta, A.; Mokin, M.; Dewan, M.; Quarfordt, S.; et al. ADAPT FAST study: A direct aspiration first pass technique for acute stroke thrombectomy. J. Neurointerv. Surg. 2018, 10 (Suppl. S1), i4–i7. [Google Scholar] [CrossRef] [PubMed]
- Shallwani, H.; Shakir, H.J.; Rangel-Castilla, L.; Davies, J.M.; Sonig, A.; Sattur, M.G.; Bendok, B.R.; Snyder, K.V.; Siddiqui, A.H.; Levy, E.I. Safety and Efficacy of the Sofia (6F) PLUS Distal Access Reperfusion Catheter in the Endovascular Treatment of Acute Ischemic Stroke. Neurosurgery 2018, 82, 312–321. [Google Scholar] [CrossRef] [PubMed]
- Zhang, Y.; Zhang, Y.; Hu, C.; Zhao, W.; Zhang, Z.; Li, W. A direct aspiration first-pass technique (ADAPT) versus stent retriever for acute ischemic stroke (AIS): A systematic review and meta-analysis. J. Neurol. 2021, 268, 4594–4606. [Google Scholar] [CrossRef]





Disclaimer/Publisher’s Note: The statements, opinions and data contained in all publications are solely those of the individual author(s) and contributor(s) and not of MDPI and/or the editor(s). MDPI and/or the editor(s) disclaim responsibility for any injury to people or property resulting from any ideas, methods, instructions or products referred to in the content. |
© 2024 by the authors. Licensee MDPI, Basel, Switzerland. This article is an open access article distributed under the terms and conditions of the Creative Commons Attribution (CC BY) license (https://creativecommons.org/licenses/by/4.0/).
Share and Cite
Bogicevic, D.; Vitosevic, F.; Milosevic Medenica, S.; Kalousek, V.; Vukicevic, M.; Rasulic, L. Direct Aspiration Thrombectomy in the Management of Procedural Thromboembolic Complications Related to Endovascular Brain Aneurysm Treatment. Medicina 2024, 60, 1034. https://doi.org/10.3390/medicina60071034
Bogicevic D, Vitosevic F, Milosevic Medenica S, Kalousek V, Vukicevic M, Rasulic L. Direct Aspiration Thrombectomy in the Management of Procedural Thromboembolic Complications Related to Endovascular Brain Aneurysm Treatment. Medicina. 2024; 60(7):1034. https://doi.org/10.3390/medicina60071034
Chicago/Turabian StyleBogicevic, Damljan, Filip Vitosevic, Svetlana Milosevic Medenica, Vladimir Kalousek, Marjana Vukicevic, and Lukas Rasulic. 2024. "Direct Aspiration Thrombectomy in the Management of Procedural Thromboembolic Complications Related to Endovascular Brain Aneurysm Treatment" Medicina 60, no. 7: 1034. https://doi.org/10.3390/medicina60071034
APA StyleBogicevic, D., Vitosevic, F., Milosevic Medenica, S., Kalousek, V., Vukicevic, M., & Rasulic, L. (2024). Direct Aspiration Thrombectomy in the Management of Procedural Thromboembolic Complications Related to Endovascular Brain Aneurysm Treatment. Medicina, 60(7), 1034. https://doi.org/10.3390/medicina60071034

