Single-Center Experience in Microsurgical Resection of Acoustic Neurinomas and the Benefit of Microscope-Based Augmented Reality
Abstract
1. Introduction
2. Materials and Methods
General Setup
3. Results
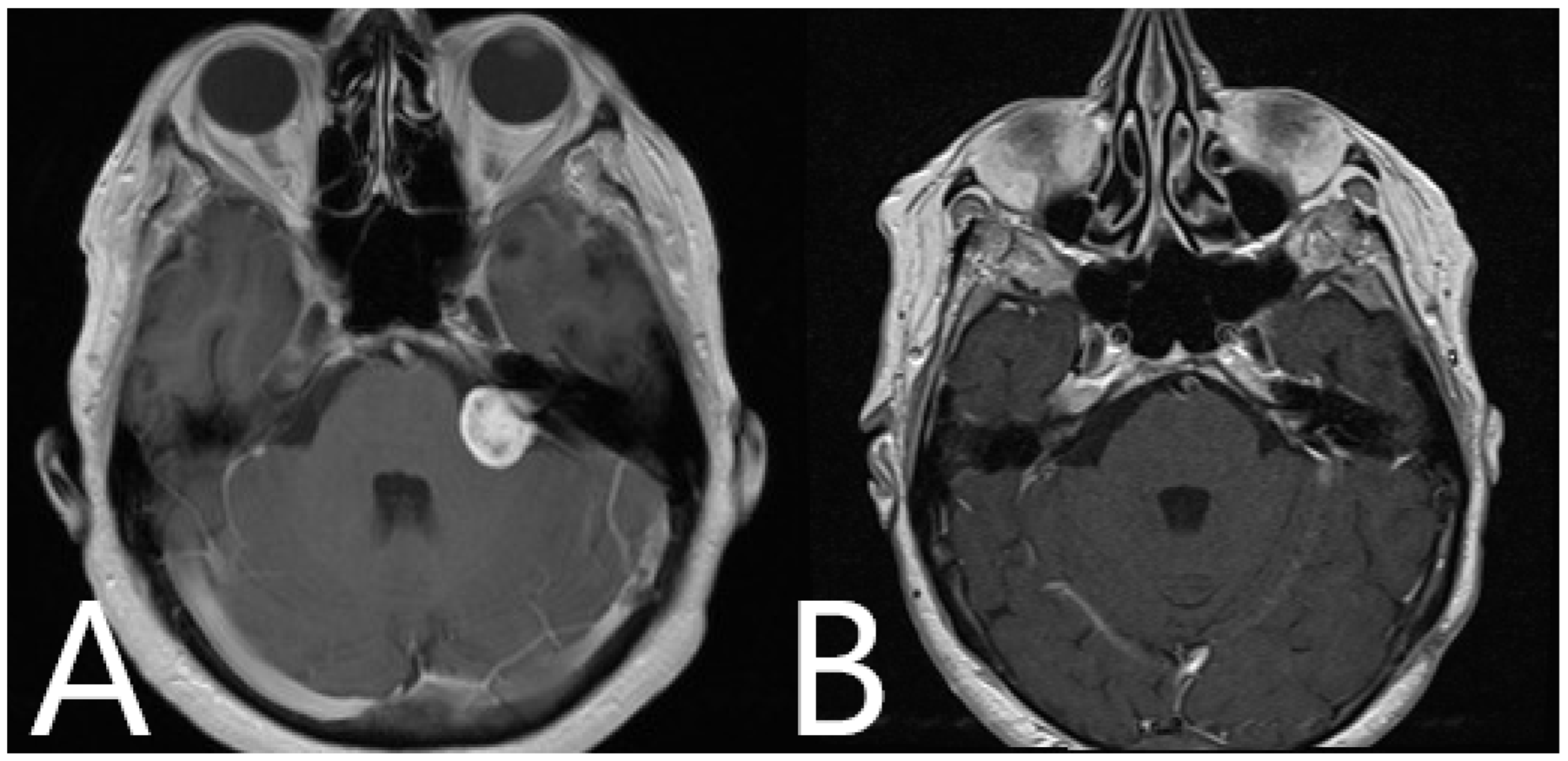
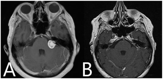
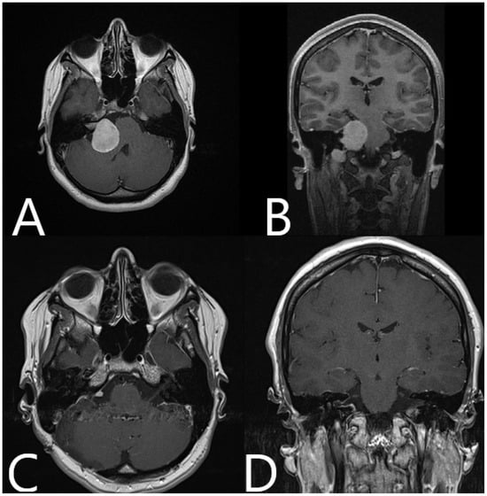
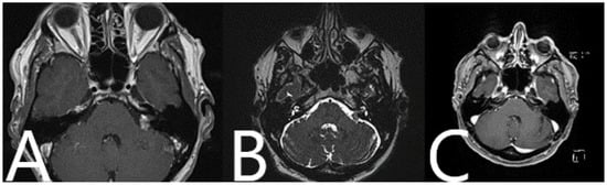
Illustrative Cases
4. Discussion
5. Conclusions
Supplementary Materials
Author Contributions
Funding
Institutional Review Board Statement
Informed Consent Statement
Data Availability Statement
Conflicts of Interest
References
- Brackmann, D.E.; Cullen, R.D.; Fisher, L.M. Facial nerve function after translabyrinthine vestibular schwannoma surgery. Otolaryngol.—Head Neck Surg. 2007, 136, 773–777. [Google Scholar] [CrossRef]
- Olson, J.J.; Kalkanis, S.N.; Ryken, T.C. Congress of Neurological Surgeons Systematic Review and Evidence-Based Guidelines on the Treatment of Adults With Vestibular Schwannomas: Executive Summary. Neurosurgery 2018, 82, 129–134. [Google Scholar] [CrossRef]
- Starnoni, D.; Giammattei, L.; Cossu, G.; Link, M.J.; Roche, P.H.; Chacko, A.G.; Ohata, K.; Samii, M.; Suri, A.; Bruneau, M.; et al. Surgical management for large vestibular schwannomas: A systematic review, meta-analysis, and consensus statement on behalf of the EANS skull base section. Acta Neurochir. 2020, 162, 2595–2617. [Google Scholar] [CrossRef]
- Samii, M.; Gerganov, V.; Samii, A. Improved preservation of hearing and facial nerve function in vestibular schwannoma surgery via the retrosigmoid approach in a series of 200 patients. J. Neurosurg. 2006, 105, 527–535. [Google Scholar] [CrossRef]
- Samii, M.; Gerganov, V.M.; Samii, A. Functional outcome after complete surgical removal of giant vestibular schwannomas. J. Neurosurg. 2010, 112, 860–867. [Google Scholar] [CrossRef]
- Khan, N.R.; Elarjani, T.; Jamshidi, A.M.; Chen, S.H.; Brown, C.S.; Abecassis, J.; Silva, M.A.; Lu, V.M.; Wu, E.; Diaz-Kanelidis, M.; et al. Microsurgical Management of Vestibular Schwannoma (Acoustic Neuroma): Facial Nerve Outcomes, Radiographic Analysis, Complications, and Long Term Follow up in a Series of 420 surgeries. World Neurosurg. 2022, 168, e297–e308. [Google Scholar] [CrossRef]
- Cannizzaro, D.; Zaed, I.; Safa, A.; Jelmoni, A.J.M.; Composto, A.; Bisoglio, A.; Schmeizer, K.; Becker, A.C.; Pizzi, A.; Cardia, A.; et al. Augmented Reality in Neurosurgery, State of Art and Future Projections. A Systematic Review. Front. Surg. 2022, 9, 864792. [Google Scholar] [CrossRef]
- Schwam, Z.G.; Kaul, V.F.; Bu, D.D.; Iloreta, A.C.; Bederson, J.B.; Perez, E.; Cosetti, M.K.; Wanna, G.B. The utility of augmented reality in lateral skull base surgery: A preliminary report. Am. J. Otolaryngol. 2021, 42, 102942. [Google Scholar] [CrossRef]
- Pelargos, P.E.; Nagasawa, D.T.; Lagman, C.; Tenn, S.; Demos, J.V.; Lee, S.J.; Bui, T.T.; Barnette, N.E.; Bhatt, N.S.; Ung, N.; et al. Utilizing virtual and augmented reality for educational and clinical enhancements in neurosurgery. J. Clin. Neurosci. 2017, 35, 1–4. [Google Scholar] [CrossRef]
- Atchley, T.J.; Erickson, N.; Chagoya, G.; Fort, M.; Walters, B.C.; McGrew, B.; Fisher, W.S. Hannover Classification of Vestibular Schwannomas: A Reliability Study. World Neurosurg. 2022, 158, e179–e183. [Google Scholar] [CrossRef]
- Cornelius, J.F.; Schipper, J.; Tortora, A.; Krause-Molle, Z.; Smuga, M.; Petridis, A.K.; Steiger, H.J. Continuous and Dynamic Facial Nerve Mapping During Surgery of Cerebellopontine Angle Tumors: Clinical Pilot Series. World Neurosurg. 2018, 119, e855–e863. [Google Scholar] [CrossRef]
- Ansari, S.F.; Terry, C.; Cohen-Gadol, A.A. Surgery for vestibular schwannomas: A systematic review of complications by approach. Neurosurg. Focus 2012, 33, E14. [Google Scholar] [CrossRef]
- Vychopen, M.; Arlt, F.; Güresir, E.; Wach, J. How to position the patient? A meta-analysis of positioning in vestibular schwannoma surgery. Front. Oncol. 2023, 13, 1106819. [Google Scholar] [CrossRef]
- Matsushima, K.; Kohno, M.; Ichimasu, N.; Nakajima, N.; Yoshino, M. Preoperative Facial Nerve Palsy in Patients with Vestibular Schwannoma: Clinical Features and Postoperative Functional Prognosis in a Case Series of 34 among 1228 Consecutive Patients. Oper. Neurosurg. 2022, 22, 14–19. [Google Scholar] [CrossRef]
- Di Perna, G.; De Marco, R.; Baldassarre, B.M.; Lo Bue, E.; Cofano, F.; Zeppa, P.; Ceroni, L.; Penner, F.; Melcarne, A.; Garbossa, D.; et al. Facial nerve outcome score: A new score to predict long-term facial nerve function after vestibular schwannoma surgery. Front. Oncol. 2023, 13, 1153662. [Google Scholar] [CrossRef]
- Daniel, R.T.; Tuleasca, C.; Rocca, A.; George, M.; Pralong, E.; Schiappacasse, L.; Zeverino, M.; Maire, R.; Messerer, M.; Levivier, M. The Changing Paradigm for the Surgical Treatment of Large Vestibular Schwannomas. J. Neurol. Surg. B Skull Base 2018, 79 (Suppl. S4), S362–S370. [Google Scholar] [CrossRef]
- Rinaldi, V.; Casale, M.; Bressi, F.; Potena, M.; Vesperini, E.; De Franco, A.; Silvestri, S.; Zini, C.; Salvinelli, F. Facial nerve outcome after vestibular schwannoma surgery: Our experience. J. Neurol. Surg. B Skull Base 2012, 73, 21–27. [Google Scholar] [CrossRef]
- Ichimasu, N.; Kohno, M.; Nakajima, N.; Matsushima, K.; Tanaka, Y.; Tsukahara, K.; Inagaki, T.; Yoshino, M.; Nagata, O. Long-term prognosis of preserved useful hearing after surgery in patients with vestibular schwannoma: A study of 91 cases. Acta Neurochir. 2020, 162, 2619–2628. [Google Scholar] [CrossRef]
- Hey, G.; Guyot, M.; Carter, A.; Lucke-Wold, B. Augmented Reality in Neurosurgery: A New Paradigm for Training. Medicina 2023, 59, 1721. [Google Scholar] [CrossRef]
- Jean, W.C.; Felbaum, D.R. The Use of Augmented Reality to Improve Safety of Anterior Petrosectomy: Two-Dimensional Operative Video. World Neurosurg. 2021, 146, 162. [Google Scholar] [CrossRef]
- Leuze, C.; Neves, C.A.; Gomez, A.M.; Navab, N.; Blevins, N.; Vaisbuch, Y.; McNab, J.A. Augmented Reality for Retrosigmoid Craniotomy Planning. J. Neurol. Surg. B Skull Base 2022, 83 (Suppl. S2), e564–e573. [Google Scholar] [CrossRef]
- Begagić, E.; Bečulić, H.; Pugonja, R.; Memić, Z.; Balogun, S.; Džidić-Krivić, A.; Milanović, E.; Salković, N.; Nuhović, A.; Skomorac, R.; et al. Augmented Reality Integration in Skull Base Neurosurgery: A Systematic Review. Medicina 2024, 60, 335. [Google Scholar] [CrossRef]
- Creighton, F.X.; Unberath, M.; Song, T.; Zhao, Z.; Armand, M.; Carey, J. Early Feasibility Studies of Augmented Reality Navigation for Lateral Skull Base Surgery. Otol. Neurotol. 2020, 41, 883–888. [Google Scholar] [CrossRef]
- Oemke, H.E.; Schlachter, L.; Costa, A.B.; Bederson, J.B. Use of augmented reality and 3D simulation for anterior Skull Base approach. J. Neurol. Surg. B Skull Base 2019, 80, S1–S244. [Google Scholar]
- Bopp, M.H.A.; Saß, B.; Pojskić, M.; Corr, F.; Grimm, D.; Kemmling, A.; Nimsky, C. Use of Neuronavigation and Augmented Reality in Transsphenoidal Pituitary Adenoma Surgery. J. Clin. Med. 2022, 11, 5590. [Google Scholar] [CrossRef]
- Li, L.; Yang, J.; Chu, Y.; Wu, W.; Xue, J.; Liang, P.; Chen, L. A Novel Augmented Reality Navigation System for Endoscopic Sinus and Skull Base Surgery: A Feasibility Study. PLoS ONE 2016, 11, e0146996. [Google Scholar] [CrossRef]
- Jarmula, J.; de Andrade, E.J.; Kshettry, V.R.; Recinos, P.F. The Current State of Visualization Techniques in Endoscopic Skull Base Surgery. Brain Sci. 2022, 12, 1337. [Google Scholar] [CrossRef]
- Lai, M.; Skyrman, S.; Shan, C.; Babic, D.; Homan, R.; Edström, E.; Persson, O.; Burström, G.; Elmi-Terander, A.; Hendriks, B.H.W.; et al. Fusion of augmented reality imaging with the endoscopic view for endonasal skull base surgery; a novel application for surgical navigation based on intraoperative cone beam computed tomography and optical tracking. PLoS ONE 2020, 15, e0227312. [Google Scholar] [CrossRef]
- Steiert, C.; Behringer, S.P.; Kraus, L.M.; Bissolo, M.; Demerath, T.; Beck, J.; Grauvogel, J.; Reinacher, P.C. Augmented reality-assisted craniofacial reconstruction in skull base lesions—An innovative technique for single-step resection and cranioplasty in neurosurgery. Neurosurg. Rev. 2022, 45, 2745–2755. [Google Scholar] [CrossRef]
- Pojskić, M.; Bopp, M.H.A.; Saβ, B.; Carl, B.; Nimsky, C. Microscope-Based Augmented Reality with Intraoperative Computed Tomography-Based Navigation for Resection of Skull Base Meningiomas in Consecutive Series of 39 Patients. Cancers 2022, 14, 2302. [Google Scholar] [CrossRef]
- Matsoukas, S.; Oemke, H.; Lopez, L.S.; Gilligan, J.; Tabani, H.; Bederson, J.B. Suboccipital Craniectomy for an Anterior Foramen Magnum Meningioma-Optimization of Resection Using Intraoperative Augmented Reality: 2-Dimensional Operative Video. Oper. Neurosurg. 2022, 23, e321. [Google Scholar] [CrossRef]
- Jean, W.C. In Reply: Mini-Pterional Craniotomy and Extradural Clinoidectomy for Clinoid Meningioma: Optimization of Exposure Using Augmented Reality Template: 2-Dimensional Operative Video. Oper. Neurosurg. 2020, 20, E76. [Google Scholar] [CrossRef]
- Carl, B.; Bopp, M.; Saß, B.; Pojskic, M.; Nimsky, C. Augmented reality in intradural spinal tumor surgery. Acta Neurochir. 2019, 161, 2181–2193. [Google Scholar] [CrossRef]
- Carl, B.; Bopp, M.; Voellger, B.; Saß, B.; Nimsky, C. Augmented Reality in Transsphenoidal Surgery. World Neurosurg. 2019, 125, e873–e883. [Google Scholar] [CrossRef]
- Truckenmueller, P.; Krantchev, K.; Rubarth, K.; Früh, A.; Mertens, R.; Bruening, D.; Stein, C.; Vajkoczy, P.; Picht, T.; Acker, G. Augmented 360° 3D virtual reality for enhanced student training and education in neurosurgery. World Neurosurg. 2024; in press. [Google Scholar] [CrossRef]
- Carlstrom, L.P.; Graffeo, C.S.; Perry, A.; Nguyen, B.T.; Alexander, A.E.; Holroyd, M.J.; Peris-Celda, M.; Driscoll, C.L.W.; Link, M.J.; Morris, J.M. Three-Dimensional Modeling for Augmented and Virtual Reality-Based Posterior Fossa Approach Selection Training: Technical Overview of Novel Open-Source Materials. Oper. Neurosurg. 2022, 22, 409–424. [Google Scholar] [CrossRef]
- Lee, M.H.; Lee, T.K. Cadaver-Free Neurosurgical Simulation Using a 3-Dimensional Printer and Augmented Reality. Oper. Neurosurg. 2022, 23, 46–52. [Google Scholar] [CrossRef]
- Jean, W.C. Mini-Pterional Craniotomy and Extradural Clinoidectomy for Clinoid Meningioma: Optimization of Exposure Using Augmented Reality Template: 2-Dimensional Operative Video. Oper. Neurosurg. 2020, 19, E610. [Google Scholar] [CrossRef]
- Churi, O.N.; Gupta, S.; Misra, B.K. Correlation of Preoperative Cranial Nerve Diffusion Tensor Tractography with Intraoperative Findings in Surgery of Cerebellopontine Angle Tumors. World. Neurosurg. 2019, 127, e509–e516. [Google Scholar] [CrossRef]
- Jacquesson, T.; Cotton, F.; Attyé, A.; Zaouche, S.; Tringali, S.; Bosc, J.; Robinson, P.; Jouanneau, E.; Frindel, C. Probabilistic Tractography to Predict the Position of Cranial Nerves Displaced by Skull Base Tumors: Value for Surgical Strategy through a Case Series of 62 Patients. Neurosurgery 2019, 85, E125–E136. [Google Scholar] [CrossRef]
- Tigchelaar, S.S.; Medress, Z.A.; Quon, J.; Dang, P.; Barbery, D.; Bobrow, A.; Kin, C.; Louis, R.; Desai, A. Augmented Reality Neuronavigation for En Bloc Resection of Spinal Column Lesions. World Neurosurg. 2022, 167, 102–110. [Google Scholar] [CrossRef]
- Roethe, A.L.; Rösler, J.; Misch, M.; Vajkoczy, P.; Picht, T. Augmented reality visualization in brain lesions: A prospective randomized controlled evaluation of its potential and current limitations in navigated microneurosurgery. Acta Neurochir. 2022, 164, 3–14. [Google Scholar] [CrossRef]



















| Patient Number | Age (yrs) | Gender | Tumor Volume (cm3) | Side, L = Left, R = Right | Position | AR | Hannover Classification | Koos Classification | Preoperative House Brackmann (HB) Grade of CN VII Function | Postoperative House Brackmann (HB) Grade of CN VII Function | Facial Nerve Outcome | Facial Nerve Outcome | Extent of Resection (PR = Partial, STR = Subtotal, GTR = Gross Total) |
|---|---|---|---|---|---|---|---|---|---|---|---|---|---|
| 1 | 71 | m | 25.10 | L | Jannetta | - | T4b | IV | HB II | HB II | I | Unchanged | PR |
| 2 | 63 | f | 7.01 | R | Jannetta | - | T4a | IV | HB I | HB II | I | Worsened | STR |
| 3 | 60 | m | 6.25 | R | Jannetta | - | T4a | IV | HB I | HB I | I | Unchanged | GTR |
| 4 | 68 | m | 18.23 | R | Sitting | - | T4b | IV | HB II | HB V | IV | Worsened | GTR |
| 5 | 67 | f | 1.75 | R | Jannetta | - | T3a | II | HB I | HB IV | IV | Worsened | GTR |
| 6 | 79 | f | 7.37 | R | Sitting | - | T4a | IV | HB IV | HB IV | IV | Unchanged | GTR |
| 7 | 41 | f | 7.01 | L | Sitting | - | T4a | IV | HB I | HB I | I | Unchanged | GTR |
| 8 | 76 | m | 5.20 | L | Sitting | - | T3a | III | HB I | HB I | I | Unchanged | STR |
| 9 | 52 | f | 0.97 | R | Sitting | - | T2 | II | HB I | HB I | I | Unchanged | GTR |
| 10 | 66 | m | 0.44 | R | Sitting | - | T2 | II | HB I | HB I | I | Unchanged | GTR |
| 11 | 59 | f | 1.93 | R | Jannetta | - | T3b | III | HB I | HB I | I | Unchanged | GTR |
| 12 | 63 | f | 6.26 | L | Sitting | - | T4b | IV | HB I | HB V | IV | Worsened | GTR |
| 13 | 67 | m | 0.34 | L | Jannetta | - | T2 | II | HB I | HB I | I | Unchanged | STR |
| 14 | 72 | f | 6.11 | R | Jannetta | - | T4b | IV | HB I | HB IV | III | Worsened | STR |
| 15 | 84 | f | 4.01 | R | Jannetta | - | T4a | IV | HB I | HB II | II | Worsened | STR |
| 16 | 72 | m | 32.80 | L | Jannetta | - | T4b | IV | HB I | HB IV | III | Worsened | STR |
| 17 | 60 | f | 0.59 | R | Jannetta | - | T2 | II | HB I | HB I | I | Unchanged | GTR |
| 18 | 52 | f | 0.92 | R | Sitting | - | T3a | II | HB I | HB I | I | Unchanged | GTR |
| 19 | 76 | f | 4.37 | L | Jannetta | - | T3b | III | HB I | HB III | III | Worsened | STR |
| 20 | 50 | f | 2.14 | L | Jannetta | - | T3b | III | HB I | HB I | I | Unchanged | STR |
| 21 | 54 | f | 3.51 | L | Jannetta | - | T3b | III | HB I | HB II | I | Unchanged | GTR |
| 22 | 68 | m | 1.50 | L | Jannetta | - | T2 | II | HB I | HB I | I | Unchanged | GTR |
| 23 | 39 | f | 1.39 | L | Jannetta | - | T2 | II | HB I | HB II | II | Worsened | STR |
| 24 | 80 | m | 7.25 | L | Sitting | - | T4a | IV | HB V | HB V | IV | Unchanged | GTR |
| 25 | 60 | m | 28.10 | R | Sitting | - | T4b | IV | HB II | HB V | IV | Worsened | GTR |
| 26 | 84 | m | 6.74 | R | Jannetta | - | T4b | IV | HB I | HB II | I | Worsened | STR |
| 27 | 75 | f | 3.84 | L | Sitting | - | T3b | III | HB I | HB I | I | Unchanged | STR |
| 28 | 64 | m | 1.96 | R | Sitting | AR | T3b | III | HB I | HB II | I | Worsened | STR |
| 29 | 79 | m | 3.79 | R | Sitting | AR | T3b | III | HB IV | HB IV | IV | Unchanged | STR |
| 30 | 24 | f | 20.00 | R | Sitting | AR | T4b | IV | HB I | HB IV | IV | Worsened | STR |
| 31 | 61 | f | 1.63 | L | Sitting | AR | T3a | II | HB I | HB I | I | Unchanged | GTR |
| 32 | 55 | f | 1.14 | L | Sitting | AR | T3a | II | HB I | HB I | I | Unchanged | GTR |
| 33 | 27 | f | 13.50 | R | Sitting | AR | T4b | IV | HB I | HB II | II | Worsened | STR |
| 34 | 49 | f | 8.10 | L | Sitting | AR | T4a | IV | HB I | HB IV | IV | Worsened | GTR |
| 35 | 59 | f | 1.15 | R | Sitting | AR | T3b | III | HB I | HB IV | IV | Worsened | GTR |
| 36 | 49 | m | 1.78 | L | Sitting | AR | T3b | III | HB I | HB I | I | Unchanged | GTR |
| 37 | 60 | m | 0.76 | L | Sitting | AR | T2 | II | HB I | HB I | I | Unchanged | GTR |
| 38 | 24 | f | 7.33 | L | Sitting | AR | T4b | IV | HB I | HB I | I | Unchanged | STR |
| 39 | 72 | f | 2.15 | L | Sitting | AR | T2 | II | HB I | HB IV | IV | Worsened | STR |
| 40 | 19 | f | 14.60 | L | Sitting | AR | T4b | IV | HB I | HB I | I | Unchanged | STR |
| 41 | 75 | f | 15.00 | R | Sitting | AR | T4b | IV | HB I | HB III | III | Worsened | GTR |
| 42 | 72 | m | 16.10 | R | Sitting | AR | T4b | IV | HB I | HB I | I | Unchanged | STR |
| 43 | 65 | m | 3.30 | R | Sitting | AR | T2 | II | HB I | HBIII | III | Worsened | GTR |
| Patient Characteristics | Non-AR Group | AR Group |
|---|---|---|
| Number of patients | 27 | 16 |
| Age | 65.11 years | 51.21 years |
| Gender | Male 12 Female 15 | Male 6 Female 10 |
| Hannover classification | T2 6 T3a 3 T3b 5 T4a 6 T4b 7 | T2 3 T3a 2 T3b 4 T4a 1 T4b 6 |
| Extent of resection | 1 TR 15 GTR 11 STR | 9 GTR 7 STR |
| Positioning | Sitting position 11 Semi-sitting position 16 | Sitting position 16 |
| Operative time | 320 ± 86.4 min | 310 ± 109.3 min |
| Hospital stay | 11.7 ± 6.6 days | 9 ± 4.2 days |
| Complication rate | 9/27 patients Patient Nos. 2, 3, 17, 22, 25, 27—CSF leak with wound healing deficit Patient Nos. 1, 14, 25 and 27—shunt-dependent hydrocephalus Patient No. 11—pneumothorax | 4/16 patients Patient Nos. 33, 42—CSF leak, wound healing deficit Patient No. 39—CSF leak, wound healing deficit, shunt dependent hydrocephalus Patient No. 34—postoperative contralateral supratentorial subdural hematoma |
| Preoperative CN VII function (HB grade) | 22 HB I 3 HB II 1 HB IV 1 HB V | 15 HB I 1 HB IV |
| Postoperative CN VII function (HB grade) | 12 HB I 6 HB II 1 HB III 4 HB IV 4 HB V | 7 HB I 2 HB II 2 HB III 5 HB IV |
| Postoperative CN VII function unchanged/worsened | 16 unchanged 11 worsened | 8 unchanged 8 worsened |
| Patient Number | Segmented Structures in AR Advantages: Craniotomy Planning, Dural Opening, Relations of Tumor to CN V, Localization of Origin of CVI and CVIII at the Brain Stem, Relations of Tumor to Brain Stem, Localization of IV Ventricle, Segmentation of Tumor Cyst, Localization of Structures of the Middle Ear for Facilitation of Drilling on Inner Acoustic Meatus, Relations of Tumor to Arterial Vessels and to Petrosal Vein | ||||||||||
|---|---|---|---|---|---|---|---|---|---|---|---|
| Sigmoid Sinus | Transverse Sinus | Tumor Outline | CN VII and VII Origin at Brain Stem | CN V | Petrous Vein | Arterial Vessels (AICA, PICA, SCA) | Brain Stem | Middle Ear, Cochlea and Semicircular Canals | Pyramidal Tract | IV Ventricle | |
| 28 | + | + | + | − | − | − | + | − | − | − | − |
| 29 | + | + | + | − | − | + | + | − | − | − | − |
| 30 | + | + | + | − | − | + | + | + | − | + | − |
| 31 | + | + | + | − | − | + | − | + | + | − | − |
| 32 | + | + | + | − | − | − | − | + | + | − | + |
| 33 | + | + | + | + | − | − | − | + | − | − | + |
| 34 | + | + | + | + | − | − | − | + | + | − | − |
| 35 | + | + | + | + | − | − | − | + | + | . | − |
| 36 | + | + | + | + | + | − | − | + | − | − | − |
| 37 | + | + | + | − | − | + | − | + | + | − | − |
| 38 | + | + | + | + | + | + | − | + | + | − | − |
| 39 | + | + | + | − | + | − | − | + | + | − | − |
| 40 | + | + | + | + | + | − | − | + | + | − | − |
| 41 | + | + | + | − | + | − | − | + | + | − | − |
| 42 | + | + | + | + | + | − | − | − | − | − | |
| 43 | + | + | + | + | + | + | − | + | + | − | − |
Disclaimer/Publisher’s Note: The statements, opinions and data contained in all publications are solely those of the individual author(s) and contributor(s) and not of MDPI and/or the editor(s). MDPI and/or the editor(s) disclaim responsibility for any injury to people or property resulting from any ideas, methods, instructions or products referred to in the content. |
© 2024 by the authors. Licensee MDPI, Basel, Switzerland. This article is an open access article distributed under the terms and conditions of the Creative Commons Attribution (CC BY) license (https://creativecommons.org/licenses/by/4.0/).
Share and Cite
Pojskić, M.; Bopp, M.H.A.; Saß, B.; Nimsky, C. Single-Center Experience in Microsurgical Resection of Acoustic Neurinomas and the Benefit of Microscope-Based Augmented Reality. Medicina 2024, 60, 932. https://doi.org/10.3390/medicina60060932
Pojskić M, Bopp MHA, Saß B, Nimsky C. Single-Center Experience in Microsurgical Resection of Acoustic Neurinomas and the Benefit of Microscope-Based Augmented Reality. Medicina. 2024; 60(6):932. https://doi.org/10.3390/medicina60060932
Chicago/Turabian StylePojskić, Mirza, Miriam H. A. Bopp, Benjamin Saß, and Christopher Nimsky. 2024. "Single-Center Experience in Microsurgical Resection of Acoustic Neurinomas and the Benefit of Microscope-Based Augmented Reality" Medicina 60, no. 6: 932. https://doi.org/10.3390/medicina60060932
APA StylePojskić, M., Bopp, M. H. A., Saß, B., & Nimsky, C. (2024). Single-Center Experience in Microsurgical Resection of Acoustic Neurinomas and the Benefit of Microscope-Based Augmented Reality. Medicina, 60(6), 932. https://doi.org/10.3390/medicina60060932

