The Importance of Early Detection and Minimally Invasive Treatment of Pseudoaneurysms Due to Chronic Pancreatitis: Case Report
Abstract
1. Introduction
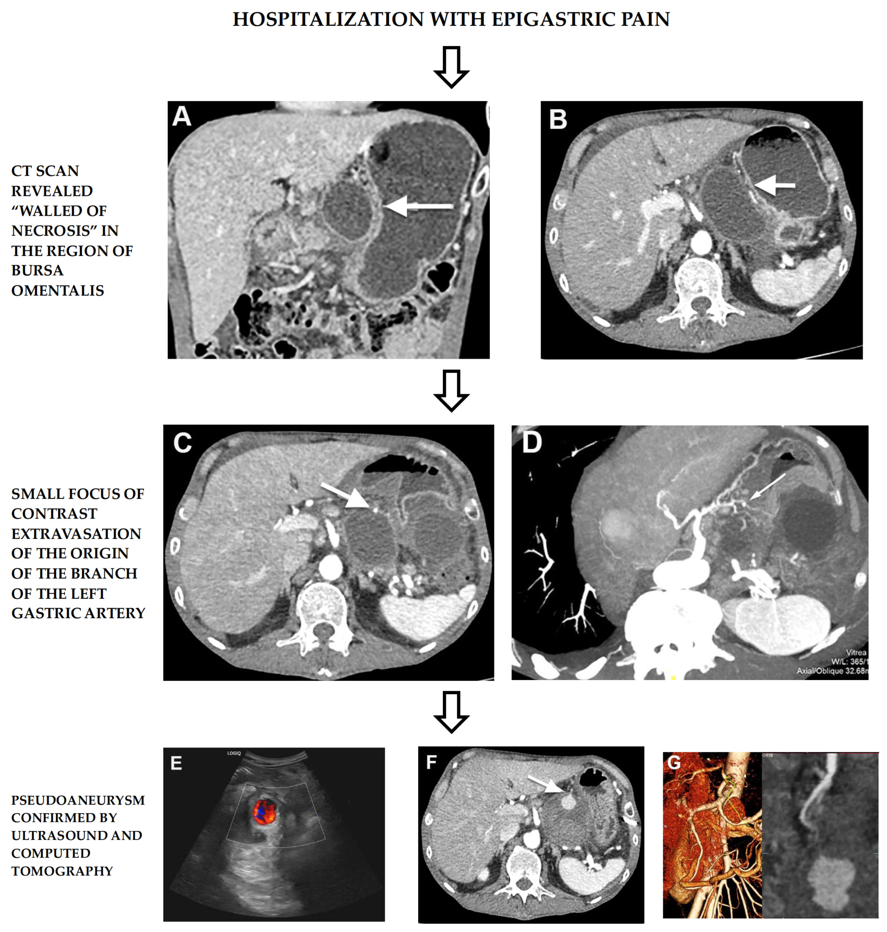
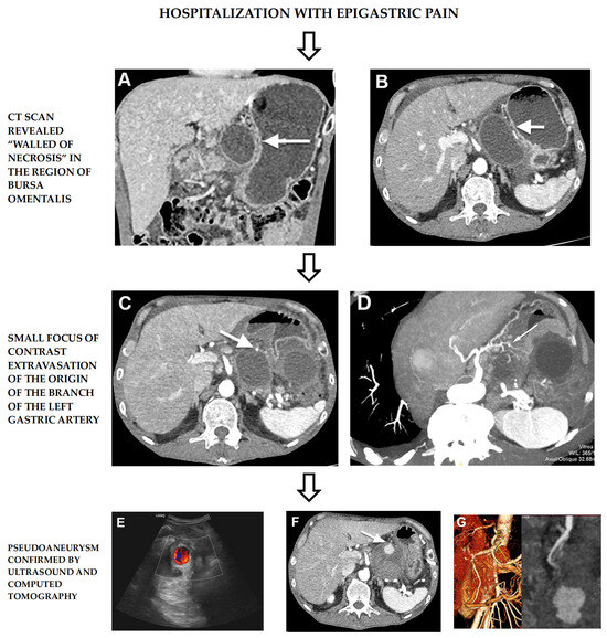
2. Case Report
3. Discussion
4. Conclusions
Author Contributions
Funding
Institutional Review Board Statement
Informed Consent Statement
Data Availability Statement
Conflicts of Interest
References
- Federle, M.P.; Raman, S.P. (Eds.) Chronic Pancreatitis. In Diagnostic Imaging: Gastrointestinal, 3rd ed.; Elsevier: Philadelphia, PA, USA, 2015; pp. 1000–1003. [Google Scholar]
- Hoilat, G.J.; Mathew, G.; Ahmad, H. Pancreatic Pseudoaneurysm; BTI-StatPearls: Treasure Island, FL, USA, 2017. [Google Scholar]
- Shelar, S.S.; Dhande, R.; Nagendra, V.; Suryadevara, M.; Shetty, N. Giant Abdominal Pseudoaneurysm Secondary to Recurrent Pancreatitis: Imaging and Endovascular Intervention. Cureus 2022, 14, e32872. [Google Scholar] [CrossRef]
- Hsu, J.T.; Yeh, C.N.; Hung, C.F.; Chen, H.M.; Hwang, T.L.; Jan, Y.Y.; Chen, M.F. Management and outcome of bleeding pseudoaneurysm associated with chronic pancreatitis. BMC Gastroenterol. 2006, 6, 3. [Google Scholar] [CrossRef]
- Balachandra, S.; Siriwardena, A.K. Systematic appraisal of the management of the major vascular complications of pancreatitis. Am. J. Surg 2005, 190, 489–495. [Google Scholar] [CrossRef]
- Gagnier, J.J.; Kienle, G.; Altman, D.G.; Moher, D.; Sox, H.; Riley, D. The CARE Guidelines: Consensus-based Clinical Case Reporting Guideline Development. Glob. Adv. Health Med. 2013, 2, 38–43. [Google Scholar] [CrossRef] [PubMed]
- Rasch, S.; Notzel, B.; Phillip, V.; Lahmer, T.; Schmid, R.M.; Algul, H. Management of pancreatic pseudocysts-A retrospective analysis. PLoS ONE 2017, 12, e0184374. [Google Scholar] [CrossRef]
- Tan, J.H.; Zhou, L.; Cao, R.C.; Zhang, G.W. Identification of risk factors for pancreatic pseudocysts formation, intervention and recurrence: A 15-year retrospective analysis in a tertiary hospital in China. BMC Gastroenterol. 2018, 18, 143. [Google Scholar] [CrossRef]
- Foster, B.R.; Jensen, K.K.; Bakis, G.; Shaaban, A.M.; Coakley, F.V. Revised Atlanta Classification for Acute Pancreatitis: A Pictorial Essay. Radiographics 2016, 36, 675–687. [Google Scholar] [CrossRef]
- Mitrovic, M.; Dugalic, V.; Kovac, J.; Tadic, B.; Milosevic, S.; Lukic, B.; Lekic, N.; Cvetic, V. Successful Embolization of Posterior Inferior Pancreaticoduodenal Artery Pseudoaneurysm on the Grounds of Chronic Pancreatitis-Case Report and Literature Review. Medicina 2020, 56, 617. [Google Scholar] [CrossRef] [PubMed]
- Kiviluoto, T.; Kivisaari, L.; Kivilaakso, E.; Lempinen, M. Pseudocysts in chronic pancreatitis. Surgical results in 102 consecutive patients. Arch. Surg 1989, 124, 240–243. [Google Scholar] [CrossRef] [PubMed]
- Mallick, B.; Malik, S.; Gupta, P.; Gorsi, U.; Kochhar, S.; Gupta, V.; Yadav, T.D.; Dhaka, N.; Sinha, S.K.; Kochhar, R. Arterial pseudoaneurysms in acute and chronic pancreatitis: Clinical profile and outcome. JGH Open 2019, 3, 126–132. [Google Scholar] [CrossRef] [PubMed]
- Varrassi, M.; Izzo, A.; Carducci, S.; Giordano, A.V.; Masciocchi, C. Acute-phase endovascular management of an uncommon bleeding peripancreatic pseudoaneurysm. J. Radiol. Case Rep. 2018, 12, 12–18. [Google Scholar] [CrossRef] [PubMed]
- Carr, J.A.; Cho, J.S.; Shepard, A.D.; Nypaver, T.J.; Reddy, D.J. Visceral pseudoaneurysms due to pancreatic pseudocysts: Rare but lethal complications of pancreatitis. J. Vasc. Surg. 2000, 32, 722–730. [Google Scholar] [CrossRef]
- Vujasinovic, M.; Dugic, A.; Nouri, A.; Brismar, T.B.; Baldaque-Silva, F.; Asplund, E.; Rutkowski, W.; Ghorbani, P.; Sparrelid, E.; Hagstrom, H.; et al. Vascular Complications in Patients with Chronic Pancreatitis. J. Clin. Med. 2021, 10, 3720. [Google Scholar] [CrossRef] [PubMed]
- Pitton, M.B.; Dappa, E.; Jungmann, F.; Kloeckner, R.; Schotten, S.; Wirth, G.M.; Mittler, J.; Lang, H.; Mildenberger, P.; Kreitner, K.F.; et al. Visceral artery aneurysms: Incidence, management, and outcome analysis in a tertiary care center over one decade. Eur. Radiol. 2015, 25, 2004–2014. [Google Scholar] [CrossRef]
- Dike, C.R.; Cress, G.; Fishman, D.S.; Gonska, T.; Ooi, C.Y.; Perito, E.R.; Troendle, D.; Tsai, C.M.; Lowe, M.E.; Uc, A. Vascular Complications in Pediatric Pancreatitis: A Case Series. J. Pediatr. Gastroenterol. Nutr. 2021, 73, e94–e97. [Google Scholar] [CrossRef] [PubMed]
- Tessier, D.J.; Stone, W.M.; Fowl, R.J.; Abbas, M.A.; Andrews, J.C.; Bower, T.C.; Gloviczki, P. Clinical features and management of splenic artery pseudoaneurysm: Case series and cumulative review of literature. J. Vasc. Surg. 2003, 38, 969–974. [Google Scholar] [CrossRef]
- Gregory, C.R.; Proctor, V.K.; Thomas, S.M.; Ravi, K. Spontaneous haemorrhage from a left gastric artery aneurysm as a cause of acute abdominal pain. Ann. R. Coll. Surg. Engl. 2017, 99, e49–e51. [Google Scholar] [CrossRef] [PubMed][Green Version]
- Gaur, N.K.; Shaikh, O.; Sree Subramaniyan, S.; Reddy, A.; Kumbhar, U. Left Gastric Artery Pseudoaneurysm Due to Pancreatitis. Cureus 2021, 13, e20405. [Google Scholar] [CrossRef]
- Kim, J.; Shin, J.H.; Yoon, H.K.; Ko, G.Y.; Gwon, D.I.; Kim, E.Y.; Sung, K.B. Endovascular intervention for management of pancreatitis-related bleeding: A retrospective analysis of thirty-seven patients at a single institution. Diagn. Interv. Radiol. 2015, 21, 140–147. [Google Scholar] [CrossRef] [PubMed]
- Fankhauser, G.T.; Stone, W.M.; Naidu, S.G.; Oderich, G.S.; Ricotta, J.J.; Bjarnason, H.; Money, S.R.; Mayo Vascular Research Center Consortium. The minimally invasive management of visceral artery aneurysms and pseudoaneurysms. J. Vasc. Surg. 2011, 53, 966–970. [Google Scholar] [CrossRef]


Disclaimer/Publisher’s Note: The statements, opinions and data contained in all publications are solely those of the individual author(s) and contributor(s) and not of MDPI and/or the editor(s). MDPI and/or the editor(s) disclaim responsibility for any injury to people or property resulting from any ideas, methods, instructions or products referred to in the content. |
© 2024 by the authors. Licensee MDPI, Basel, Switzerland. This article is an open access article distributed under the terms and conditions of the Creative Commons Attribution (CC BY) license (https://creativecommons.org/licenses/by/4.0/).
Share and Cite
Velickovic, D.; Stosic, K.; Stefanovic, A.D.; Kovac, J.D.; Sekulic, D.; Milosevic, S.; Miletic, M.; Saponjski, D.J.; Lukic, B.; Tadic, B.; et al. The Importance of Early Detection and Minimally Invasive Treatment of Pseudoaneurysms Due to Chronic Pancreatitis: Case Report. Medicina 2024, 60, 714. https://doi.org/10.3390/medicina60050714
Velickovic D, Stosic K, Stefanovic AD, Kovac JD, Sekulic D, Milosevic S, Miletic M, Saponjski DJ, Lukic B, Tadic B, et al. The Importance of Early Detection and Minimally Invasive Treatment of Pseudoaneurysms Due to Chronic Pancreatitis: Case Report. Medicina. 2024; 60(5):714. https://doi.org/10.3390/medicina60050714
Chicago/Turabian StyleVelickovic, Dejan, Katarina Stosic, Aleksandra Djuric Stefanovic, Jelena Djokic Kovac, Danijela Sekulic, Stefan Milosevic, Marko Miletic, Dusan Jovica Saponjski, Borivoje Lukic, Boris Tadic, and et al. 2024. "The Importance of Early Detection and Minimally Invasive Treatment of Pseudoaneurysms Due to Chronic Pancreatitis: Case Report" Medicina 60, no. 5: 714. https://doi.org/10.3390/medicina60050714
APA StyleVelickovic, D., Stosic, K., Stefanovic, A. D., Kovac, J. D., Sekulic, D., Milosevic, S., Miletic, M., Saponjski, D. J., Lukic, B., Tadic, B., Jovanovic, M. M., & Cvetic, V. (2024). The Importance of Early Detection and Minimally Invasive Treatment of Pseudoaneurysms Due to Chronic Pancreatitis: Case Report. Medicina, 60(5), 714. https://doi.org/10.3390/medicina60050714

