A Novel Method for the Measurement of the Vaginal Wall Thickness by Transvaginal Ultrasound: A Study of Inter- and Intra-Observer Reliability
Abstract
1. Introduction
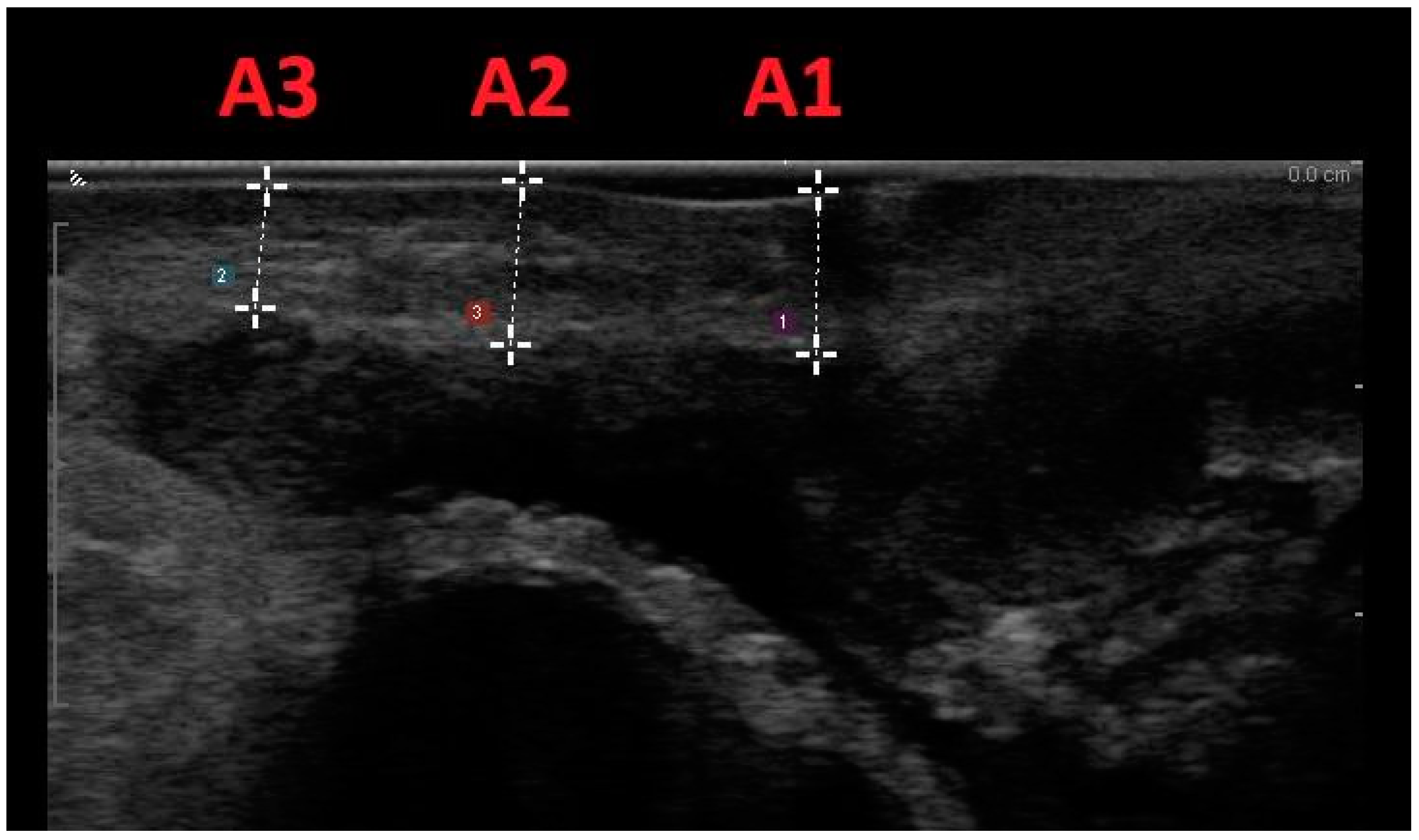
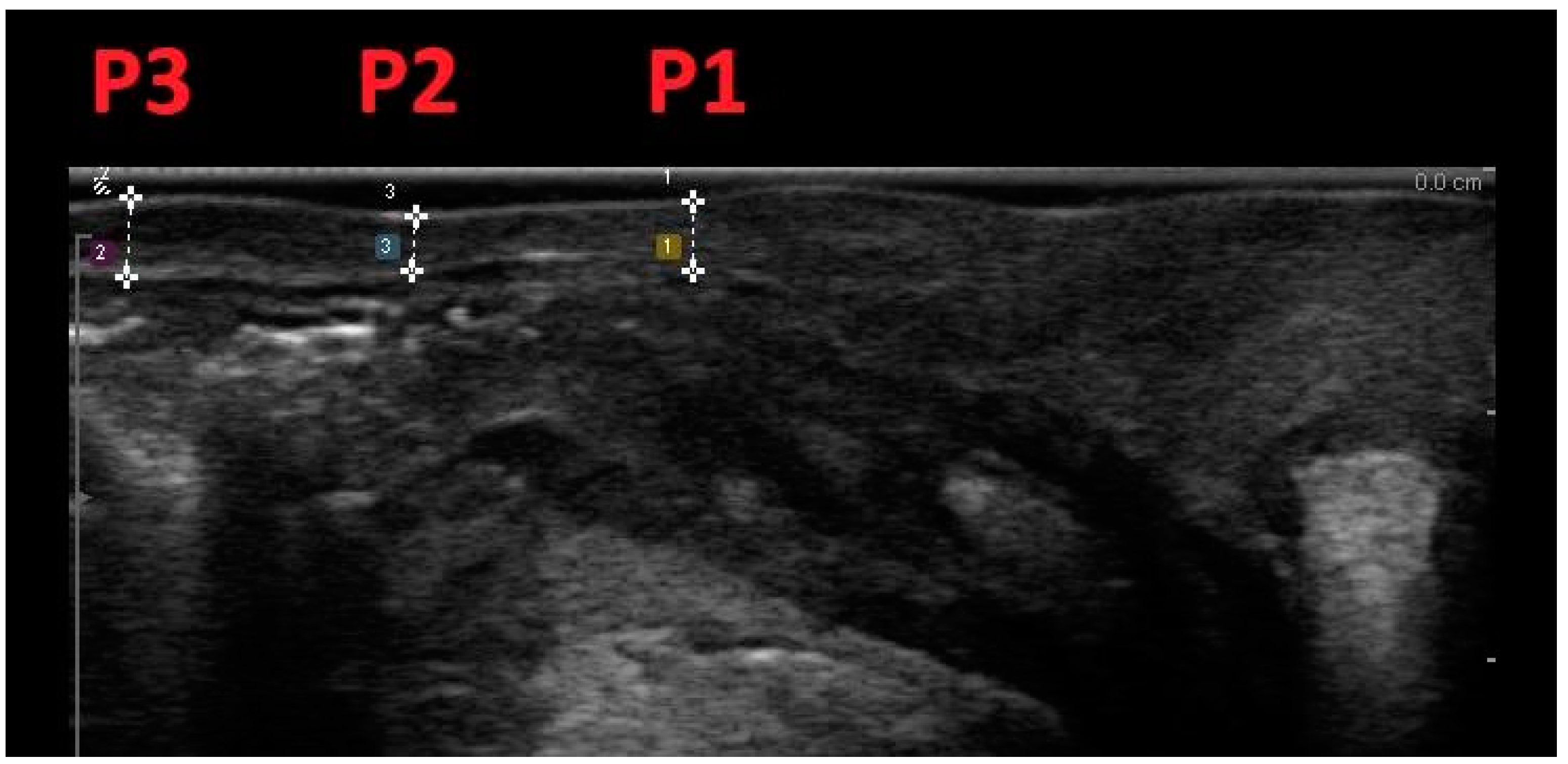
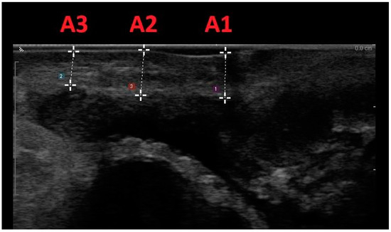
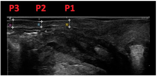
2. Material and Methods
3. Results
4. Discussion
- Mucosa: Comprising an estrogen-sensitive stratified squamous epithelium, the mucosa exhibits a multi-layered epithelium with three distinctive layers. These include the basal layer with cylindrical cells (germinative layer), overlying two or three layers of polyhedral cells (deep spinous layer). The intermediate layer consists of flattened cells, while the superficial layer comprises multiple rows of flattened cells. This specialized epithelium offers protection against the abrasion and friction associated with sexual activity and childbirth. Additionally, the mucosa may exhibit folds or rugae, facilitating expansion and contraction during various physiological activities.
- Lamina Propria: Situated beneath the epithelium, the lamina propria serves as a connective tissue layer providing support to the mucosal layer. Blood vessels, nerves, and lymphatic vessels within the lamina propria contribute to the vascularization and innervation of the vaginal wall.
- Muscularis: Comprising smooth muscle fibers arranged in an inner circular layer and an outer longitudinal layer, the muscularis layer enables the contraction and relaxation of the vaginal wall. This functionality supports various physiological functions, including sexual activity and childbirth.
- Adventitia or Serosa: Constituting the outermost layer of the vaginal wall, this layer consists of loose connective tissue referred to as adventitia. In specific regions, such as the upper portion of the vagina, a serosal layer may be present instead of adventitia. The adventitia/serosa provides structural support and aids in anchoring the vagina to surrounding structures, such as the pelvic floor [22].
5. Conclusions
Author Contributions
Funding
Institutional Review Board Statement
Informed Consent Statement
Data Availability Statement
Conflicts of Interest
References
- Benini, V.; Ruffolo, A.F.; Casiraghi, A.; Degliuomini, R.S.; Frigerio, M.; Braga, A.; Serati, M.; Torella, M.; Candiani, M.; Salvatore, S. New Innovations for the Treatment of Vulvovaginal Atrophy: An Up-to-Date Review. Medicina 2022, 58, 770. [Google Scholar] [CrossRef]
- Manodoro, S.; Spelzini, F.; Cesana, M.C.; Frigerio, M.; Maggioni, D.; Ceresa, C.; Penati, C.; Sicuri, M.; Fruscio, R.; Nicolini, G.; et al. Histologic and metabolic assessment in a cohort of patients with genital prolapse: Preoperative stage and recurrence investigations. Minerva Obstet. Gynecol. 2017, 69, 233–238. [Google Scholar] [CrossRef]
- Balica, A.C.; Cooper, A.M.; McKevitt, M.K.; Schertz, K.; Wald-Spielman, D.; Egan, S.; Bachmann, G.A. Dyspareunia Related to GSM: Association of Total Vaginal Thickness via Transabdominal Ultrasound. J. Sex. Med. 2019, 16, 2038–2042. [Google Scholar] [CrossRef]
- Ruffolo, A.F.; Braga, A.; Torella, M.; Frigerio, M.; Cimmino, C.; De Rosa, A.; Sorice, P.; Castronovo, F.; Salvatore, S.; Serati, M. Vaginal Laser Therapy for Female Stress Urinary Incontinence: New Solutions for a Well-Known Issue—A Concise Review. Medicina 2022, 58, 512. [Google Scholar] [CrossRef] [PubMed]
- Bachmann, G.A.; Nevadunsky, N.S. Diagnosis and treatment of atrophic vaginitis. Am. Fam. Physician 2000, 61, 3090–3096. [Google Scholar] [PubMed]
- Samuels, J.B.; Garcia, M.A. Treatment to External Labia and Vaginal Canal with CO2 Laser for Symptoms of Vulvovaginal Atrophy in Postmenopausal Women. Aesthetic Surg. J. 2019, 39, 83–93. [Google Scholar] [CrossRef] [PubMed]
- Portman, D.; Gass, M. Genitourinary syndrome of menopause: New terminology for vulvovaginal atrophy from the International Society for the Study of Women’s Sexual Health and The North American Menopause Society. Maturitas 2014, 79, 349–354. [Google Scholar] [CrossRef] [PubMed]
- Gaspar, A.; Brandi, H.; Gomez, V.; Luque, D. Efficacy of Erbium:YAG laser treatment compared to topical estriol treatment for symptoms of genitourinary syndrome of menopause. Lasers Surg. Med. 2017, 49, 160–168. [Google Scholar] [CrossRef]
- Management of symptomatic vulvovaginal atrophy: 2013 position statement of The North American Menopause Society. Menopause 2013, 20, 888–902; quiz 903–904. [CrossRef]
- Santoro, N.; Komi, J. Prevalence and impact of vaginal symptoms among postmenopausal women. J. Sex. Med. 2009, 6, 2133–2142. [Google Scholar] [CrossRef]
- Iosif, C.S.; Bekassy, Z. Prevalence of genito-urinary symptoms in the late menopause. Acta Obstet. Gynecol. Scand. 1984, 63, 257–260. [Google Scholar] [CrossRef] [PubMed]
- Barba, M.; Cola, A.; Melocchi, T.; Braga, A.; Castronovo, F.; Manodoro, S.; Pennacchio, M.; Munno, G.M.; Ruffolo, A.F.; Degliuomini, R.S.; et al. Italian validation of the Pelvic Floor Distress Inventory (PFDI-20) questionnaire. Int. Urogynecol. J. 2022, 34, 2459–2465. [Google Scholar] [CrossRef] [PubMed]
- Mosca, L.; Riemma, G.; Braga, A.; Frigerio, M.; Ruffolo, A.F.; Dominoni, M.; Munno, G.M.; Uccella, S.; Serati, M.; Raffone, A.; et al. Female Sexual Dysfunctions and Urogynecological Complaints: A Narrative Review. Medicina 2022, 58, 981. [Google Scholar] [CrossRef] [PubMed]
- Frigerio, M.; Barba, M.; Cola, A.; Braga, A.; Celardo, A.; Munno, G.M.; Schettino, M.T.; Vagnetti, P.; De Simone, F.; Di Lucia, A.; et al. Quality of Life, Psychological Wellbeing, and Sexuality in Women with Urinary Incontinence—Where Are We Now: A Narrative Review. Medicina 2022, 58, 525. [Google Scholar] [CrossRef] [PubMed]
- Pérez-López, F.R.; Phillips, N.; Vieira-Baptista, P.; Cohen-Sacher, B.; Fialho, S.C.A.V.; Stockdale, C.K. Management of postmenopausal vulvovaginal atrophy: Recommendations of the International Society for the Study of Vulvovaginal Disease. Gynecol. Endocrinol. 2021, 37, 746–752. [Google Scholar] [CrossRef] [PubMed]
- Johnston, S.L.; Farrell, S.A.; Bouchard, C.; Farrell, S.A.; Beckerson, L.-A.; Comeau, M.; Johnston, S.L.; Lefebvre, G.; Papaioannou, A.; SOGC Joint Committee-Clinical Practice Gynaecology and Urogynaecology. The detection and management of vaginal atrophy. J. Obstet. Gynaecol. Can. 2004, 26, 503–515. [Google Scholar]
- Barba, M.; Cola, A.; De Vicari, D.; Costa, C.; Castelli, A.P.; Volontè, S.; Fruscio, R.; Frigerio, M. Efficacy of a Diode Vaginal Laser in the Treatment of the Genitourinary Syndrome of Menopause. Bioengineering 2023, 10, 1158. [Google Scholar] [CrossRef]
- Weber, M.A.; Limpens, J.; Roovers, J.P.W.R. Assessment of vaginal atrophy: A review. Int. Urogynecol. J. 2015, 26, 15–28. [Google Scholar] [CrossRef]
- Tucker, K.M.; Godha, K.; Mirkin, S.; Archer, D.F. Vaginal pH: A simple assessment highly correlated with vaginal morphology and symptoms in postmenopausal women. Menopause 2018, 25, 762–766. [Google Scholar] [CrossRef]
- Weber, M.A.; Diedrich, C.M.; Ince, C.; Roovers, J.-P. Focal depth measurements of the vaginal wall: A new method to noninvasively quantify vaginal wall thickness in the diagnosis and treatment of vaginal atrophy. Menopause 2016, 23, 833–838. [Google Scholar] [CrossRef]
- Panayi, D.C.; Digesu, G.A.; Tekkis, P.; Fernando, R.; Khullar, V. Ultrasound measurement of vaginal wall thickness: A novel and reliable technique. Int. Urogynecol. J. 2010, 21, 1265–1270. [Google Scholar] [CrossRef]
- DeLancey, J.O.; Starr, R.A. Histology of the connection between the vagina and levator ani muscles. Implications for urinary tract function. J. Reprod. Med. 1990, 35, 765–771. [Google Scholar] [PubMed]
- Italian Society of Obstetrics and Gynecology. Linee Guida per Ecografia Ostetrica e Ginecologica; Editeam Gruppo Editoriale-Ultraosund (SIEOG), 2021. [Google Scholar]
- Khullar, V.; Salvatore, S.; Cardozo, L.; Bourne, T.H.; Abbott, D.; Kelleher, C. A novel technique for measuring bladder wall thickness in women using transvaginal ultrasound. Ultrasound Obstet. Gynecol. 1994, 4, 220–223. [Google Scholar] [CrossRef] [PubMed]
- Lekskulchai, O.; Dietz, H.P. Detrusor wall thickness as a test for detrusor overactivity in women. Ultrasound Obstet. Gynecol. 2008, 32, 535–539. [Google Scholar] [CrossRef]
- Oelke, M.; Höfner, K.; Wiese, B.; Grünewald, V.; Jonas, U. Increase in detrusor wall thickness indicates bladder outlet obstruction (BOO) in men. World J. Urol. 2002, 19, 443–452. [Google Scholar] [CrossRef]
- Robinson, D.; Anders, K.; Cardozo, L.; Bidmead, J.; Toozs-Hobson, P.; Khullar, V. Can ultrasound replace ambulatory urodynamics when investigating women with irritative urinary symptoms? BJOG 2002, 109, 145–148. [Google Scholar] [CrossRef] [PubMed]
- Panay, N. Genitourinary syndrome of the menopause—Dawn of a new era? Climacteric 2015, 18, 13–17. [Google Scholar] [CrossRef]
- Alcazar, J.L.; Para, E.; Tomaizhe, A.; Laza, M.V.; Guerriero, S. Vaginal wall thickness as potential biomarker of vaginal health. A proposal for standardized ultrasound measurement using three-dimensional transvaginal ultrasound. J. Clin. Ultrasound 2023, 51, 1366–1369. [Google Scholar] [CrossRef]
- Balica, A.; Wald-Spielman, D.; Schertz, K.; Egan, S.; Bachmann, G. Assessing the thickness of the vaginal wall and vaginal mucosa in pre-menopausal versus post-menopausal women by transabdominal ultrasound: A feasibility study. Maturitas 2017, 102, 69–72. [Google Scholar] [CrossRef]
- Balica, A.; Schertz, K.; Wald-Spielman, D.; Egan, S.; Bachmann, G. Transabdominal sonography to measure the total vaginal and mucosal thicknesses. J. Clin. Ultrasound 2017, 45, 461–464. [Google Scholar] [CrossRef]
- Peker, H.; Gursoy, A. Relationship Between Genitourinary Syndrome of Menopause and 3D High-Frequency Endovaginal Ultrasound Measurement of Vaginal Wall Thickness. J. Sex. Med. 2021, 18, 1230–1235. [Google Scholar] [CrossRef]
- Pereira, G.M.V.; Juliato, C.R.T.; de Almeida, C.M.; Valente, I.S.; de Andrade, K.C.; Brito, L.G.O. Measurement of the vaginal wall thickness by transabdominal and transvaginal ultrasound of women with vaginal laxity: A cross-sectional study. Int. Urogynecol. J. 2022, 33, 3563–3572. [Google Scholar] [CrossRef]
- Türk, S.; Coşkun, A.D.E.; Vural, F. Ultrasonographic measurement of vaginal thickness: Relation to menopausal status and genitourinary syndrome of menopause. J. Obstet. Gynaecol. Res. 2022, 48, 2911–2917. [Google Scholar] [CrossRef] [PubMed]
- Ros, C.; Mension, E.; Rius, M.; Munmany, M.; De Guirior, C.; Espuña-Pons, M.; Anglès-Acedo, S.; Castelo-Branco, C. Assessing vaginal wall thickness by transvaginal ultrasound in breast cancer survivors: A pilot study. Maturitas 2023, 171, 7–12. [Google Scholar] [CrossRef] [PubMed]
- Manodoro, S.; Palmieri, S.; Cola, A.; Milani, R.; Frigerio, M. Novel sonographic method for the evaluation of the defects in the pubocervical fascia in patients with genital prolapse. Minerva Obstet. Gynecol. 2018, 70, 642–644. [Google Scholar] [CrossRef] [PubMed]
- Barba, M.; Frigerio, M.; Manodoro, S. Pelvic floor ultrasonography for the evaluation of the rectum-vaginal septum before and after prolapse native-tissue repair. Minerva Obstet. Gynecol. 2021, 72, 426–428. [Google Scholar] [CrossRef]



| Vaginal Points | First Operator Mean Measure of VWT in mm (SD) | Second Operator Mean Measure of VWT in mm (SD) | Mean Difference in mm | Standard Error in mm of the Mean Difference | 95% IC in mm | ICC |
|---|---|---|---|---|---|---|
| A1 | 2.8 (1.49) | 3.0 (1.08) | −0.16 | 0.18 | −0.56/0.23 | 0.945 |
| A2 | 2.7 (1.64) | 2.8 (1.42) | 0.05 | 0.1 | −0.17/0.27 | 0.987 |
| A3 | 2.7 (1.39) | 2.7 (1.29) | 0.08 | 0.15 | −0.26/0.42 | 0.931 |
| P1 | 2.8 (1.95) | 3.4 (1.94) | −0.06 | 0.19 | −0.47/0.34 | 0.952 |
| P2 | 3.0 (1.26) | 2.8 (1.23) | 0.05 | 0.08 | −0.14/0.23 | 0.975 |
| P3 | 2.3 (1.46) | 2.7 (1.62) | 0.18 | 0.12 | −0.09/0.46 | 0.974 |
| Vaginal Points | First Operator Mean Measure of VWT in mm (SD) at 1st Visit | First Operator Mean Measure of VWT in mm (SD) at 2nd Visit | Mean Difference in mm | Standard Error in mm of the Mean Difference | 95% IC in mm | ICC |
|---|---|---|---|---|---|---|
| A1 | 2.8 (1.49) | 3.0 (1.33) | −0.03 | 0.10 | −0.26/0.19 | 0.977 |
| A2 | 2.7 (1.64) | 3.0 (1.39) | 0.02 | 0.09 | −0.20/0.24 | 0.989 |
| A3 | 2.7 (1.39) | 2.6 (1.23) | −0.01 | 0.11 | −0.24/0.23 | 0.972 |
| P1 | 2.8 (1.95) | 3.2 (1.74) | 0.05 | 0.10 | −0.18/0.29 | 0.988 |
| P2 | 3.0 (1.26) | 3 (1.01) | 0.10 | 0.11 | −0.14/0.34 | 0.976 |
| P3 | 2.3 (1.46) | 2.5 (1.49) | 0.08 | 0.13 | −0.20/0.36 | 0.980 |
Disclaimer/Publisher’s Note: The statements, opinions and data contained in all publications are solely those of the individual author(s) and contributor(s) and not of MDPI and/or the editor(s). MDPI and/or the editor(s) disclaim responsibility for any injury to people or property resulting from any ideas, methods, instructions or products referred to in the content. |
© 2024 by the authors. Licensee MDPI, Basel, Switzerland. This article is an open access article distributed under the terms and conditions of the Creative Commons Attribution (CC BY) license (https://creativecommons.org/licenses/by/4.0/).
Share and Cite
Bosio, S.; Barba, M.; Vigna, A.; Cola, A.; De Vicari, D.; Costa, C.; Volontè, S.; Frigerio, M. A Novel Method for the Measurement of the Vaginal Wall Thickness by Transvaginal Ultrasound: A Study of Inter- and Intra-Observer Reliability. Medicina 2024, 60, 370. https://doi.org/10.3390/medicina60030370
Bosio S, Barba M, Vigna A, Cola A, De Vicari D, Costa C, Volontè S, Frigerio M. A Novel Method for the Measurement of the Vaginal Wall Thickness by Transvaginal Ultrasound: A Study of Inter- and Intra-Observer Reliability. Medicina. 2024; 60(3):370. https://doi.org/10.3390/medicina60030370
Chicago/Turabian StyleBosio, Sara, Marta Barba, Annalisa Vigna, Alice Cola, Desirèe De Vicari, Clarissa Costa, Silvia Volontè, and Matteo Frigerio. 2024. "A Novel Method for the Measurement of the Vaginal Wall Thickness by Transvaginal Ultrasound: A Study of Inter- and Intra-Observer Reliability" Medicina 60, no. 3: 370. https://doi.org/10.3390/medicina60030370
APA StyleBosio, S., Barba, M., Vigna, A., Cola, A., De Vicari, D., Costa, C., Volontè, S., & Frigerio, M. (2024). A Novel Method for the Measurement of the Vaginal Wall Thickness by Transvaginal Ultrasound: A Study of Inter- and Intra-Observer Reliability. Medicina, 60(3), 370. https://doi.org/10.3390/medicina60030370

